VGG19 Network Assisted Joint Segmentation and Classification of Lung Nodules in CT Images
Abstract
:1. Introduction
- i.
- Implementation of VGG19 to construct the VGG-SegNet scheme to extract lung nodule.
- ii.
- Deep learning feature extraction based on VGG19.
- iii.
- Combining handcrafted features and deep features to improving nodule detection accuracy.
2. Related Work
3. Methodology
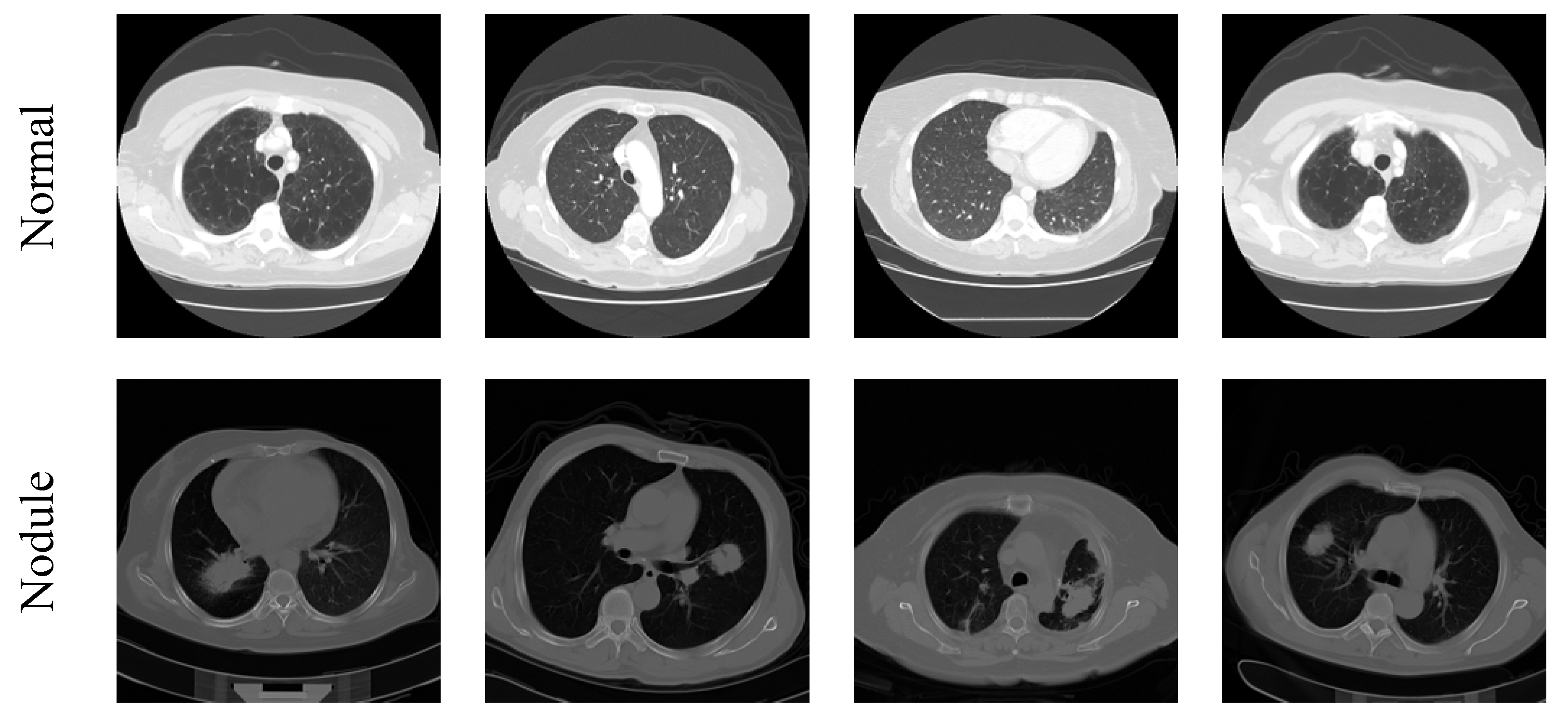
3.1. Image Database Preparation
3.2. Nodule Segmentation
3.3. Nodule Classification
3.3.1. Deep Features
3.3.2. Handcrafted Features
3.3.3. Features Concatenation
3.3.4. Classifier Implementation
3.4. Performance Computation and Validation
4. Results and Discussions
5. Conclusions
Author Contributions
Funding
Institutional Review Board Statement
Informed Consent Statement
Data Availability Statement
Acknowledgments
Conflicts of Interest
References
- WHO. Available online: https://www.who.int/news-room/fact-sheets/detail/cancer (accessed on 21 September 2021).
- Olson, E.J. Available online: https://www.mayoclinic.org/diseases-conditions/lung-cancer/expert-answers/lung-nodules/faq-20058445 (accessed on 21 September 2021).
- Girvin, F.; Ko, J.P. Pulmonary nodules: Detection, assessment, and CAD. Am. J. Roentgenol. 2008, 191, 1057–1069. [Google Scholar] [CrossRef] [PubMed]
- Bhandary, A.; Prabhu, G.A.; Rajinikanth, V.; Thanaraj, K.P.; Satapathy, S.C.; Robbins, D.E.; Shasky, C.; Zhang, Y.D.; Tavares, J.M.R.S.; Raja, N.S.M. Deep-learning framework to detect lung abnormality—A study with chest X-Ray and lung CT scan images. Pattern Recognit. Lett. 2020, 129, 271–278. [Google Scholar] [CrossRef]
- Choi, W.J.; Choi, T.S. Automated pulmonary nodule detection system in computed tomography images: A hierarchical block classification approach. Entropy 2013, 15, 507–523. [Google Scholar] [CrossRef] [Green Version]
- Tran, G.S.; Nghiem, T.P.; Nguyen, V.T.; Luong, C.M.; Burie, J.C. Improving accuracy of lung nodule classification using deep learning with focal loss. J. Healthc. Eng. 2019, 2019, 5156416. [Google Scholar] [CrossRef] [PubMed]
- Akram, T.; Attique, M.; Gul, S.; Shahzad, A.; Altaf, M.; Naqvi, S.S.R.; Damaševičius, R.; Maskeliūnas, R. A novel framework for rapid diagnosis of COVID-19 on computed tomography scans. Pattern Anal. Appl. 2021, 24, 951–964. [Google Scholar] [CrossRef] [PubMed]
- Rajaraman, S.; Folio, L.R.; Dimperio, J.; Alderson, P.O.; Antani, S.K. Improved semantic segmentation of tuberculosis—Consistent findings in chest x-rays using augmented training of modality-specific u-net models with weak localizations. Diagnostics 2021, 11, 616. [Google Scholar] [CrossRef]
- Rehman, N.; Zia, M.S.; Meraj, T.; Rauf, H.T.; Damaševičius, R.; El-Sherbeeny, A.M.; El-Meligy, M.A. A self-activated cnn approach for multi-class chest-related COVID-19 detection. Appl. Sci. 2021, 11, 9023. [Google Scholar] [CrossRef]
- Połap, D.; Woźniak, M.; Damaševičius, R.; Wei, W. Chest radiographs segmentation by the use of nature-inspired algorithm for lung disease detection. 2018 IEEE Symposium Series on Computational Intelligence. SSCI 2018, 2019, 2298–2303. [Google Scholar] [CrossRef]
- Capizzi, G.; Sciuto, G.L.; Napoli, C.; Polap, D.; Wozniak, M. Small lung nodules detection based on fuzzy-logic and probabilistic neural network with bioinspired reinforcement learning. IEEE Trans. Fuzzy Syst. 2020, 28, 1178–1189. [Google Scholar] [CrossRef]
- Rajaraman, S.; Kim, I.; Antani, S.K. Detection and visualization of abnormality in chest radiographs using modality-specific convolutional neural network ensembles. PeerJ 2020, 8, e8693. [Google Scholar] [CrossRef] [PubMed]
- Rajinikanth, V.; Kadry, S. Development of a framework for preserving the disease-evidence-information to support efficient disease diagnosis. Int. J. Data Warehous. Min. 2021, 17, 63–84. [Google Scholar] [CrossRef]
- Clark, K.; Vendt, B.; Smith, K.; Freymann, J.; Kirby, J.; Koppel, P.; Moore, S.; Phillips, S.; Maffitt, D.; Pringle, M.; et al. The Cancer Imaging Archive (TCIA): Maintaining and operating a public information repository. J. Digit. Imaging 2013, 26, 1045–1057. [Google Scholar] [CrossRef] [Green Version]
- Armato, S.G., III; McLennan, G.; Bidaut, L.; McNitt-Gray, M.F.; Meyer, C.R.; Reeves, A.P.; Zhao, B.; Aberle, D.R.; Henschke, C.I.; Hoffman, E.A.; et al. The lung image database consortium (LIDC) and image database resource initiative (IDRI): A completed reference database of lung nodules on CT scans. Med. Phys. 2011, 38, 915–931. [Google Scholar] [CrossRef] [PubMed]
- Armato, S.G.; McLennan, G.; Bidaut, L.; McNitt-Gray, M.F.; Meyer, C.R.; Reeves, A.P.; Zhao, B.; Aberle, D.R.; Henschke, C.I.; Hoffman, E.A.; et al. Data from LIDC-IDRI, 2015. The Cancer Imaging Archive. Available online: https://wiki.cancerimagingarchive.net/display/Public/LIDC-IDRI (accessed on 24 November 2021).
- Li, P.; Wang, S.; Li, T.; Lu, J.; Huangfu, Y.; Wang, D. A Large-Scale CT and PET/CT Dataset for Lung Cancer Diagnosis [Data set], 2020. The Cancer Imaging Archive. Available online: https://wiki.cancerimagingarchive.net/pages/viewpage.action?pageId=70224216 (accessed on 24 November 2021).
- Kuruvilla, J.; Gunavathi, K. Lung cancer classification using neural networks for CT images. Comput. Methods Programs Biomed. 2014, 113, 202–209. [Google Scholar] [CrossRef] [PubMed]
- Nascimento, L.B.; de Paiva, A.C.; Silva, A.C. Lung nodules classification in CT images using Shannon and Simpson diversity indices and SVM. In Proceedings of the International Workshop on Machine Learning and Data Mining in Pattern Recognition, Berlin, Germany, 13–20 July 2012; Springer: Berlin/Heidelberg, Germany, 2012; pp. 454–466. [Google Scholar]
- Khehrah, N.; Farid, M.S.; Bilal, S.; Khan, M.H. Lung Nodule Detection in CT Images Using Statistical and Shape-Based Features. J. Imaging 2020, 6, 6. [Google Scholar] [CrossRef] [PubMed] [Green Version]
- Wang, W.; Liu, F.; Zhi, X.; Zhang, T.; Huang, C. An Integrated Deep Learning Algorithm for Detecting Lung Nodules with Low-dose CT and Its Application in 6G-enabled Internet of Medical Things. IEEE Internet Things J. 2020, 8, 5274–5284. [Google Scholar] [CrossRef]
- Li, W.; Cao, P.; Zhao, D.; Wang, J. Pulmonary nodule classification with deep convolutional neural networks on computed tomography images. Comput. Math. Methods Med. 2016, 2016, 6215085. [Google Scholar] [CrossRef] [PubMed]
- Kaya, A.; Can, A.B. A weighted rule based method for predicting malignancy of pulmonary nodules by nodule characteristics. J. Biomed. Inform. 2015, 56, 69–79. [Google Scholar] [CrossRef] [Green Version]
- Song, Q.; Zhao, L.; Luo, X.; Dou, X. Using deep learning for classification of lung nodules on computed tomography images. J. Healthc. Eng. 2017, 2017, 8314740. [Google Scholar] [CrossRef] [PubMed] [Green Version]
- Shaukat, F.; Raja, G.; Frangi, A.F. Computer-aided detection of lung nodules: A review. J. Med. Imaging 2019, 6, 020901. [Google Scholar] [CrossRef]
- Jia, T.; Zhang, H.; Bai, Y.K. Benign and malignant lung nodule classification based on deep learning feature. J. Med. Imaging Health Inform. 2015, 5, 1936–1940. [Google Scholar] [CrossRef]
- Wang, X.; Mao, K.; Wang, L.; Yang, P.; Lu, D.; He, P. An appraisal of lung nodules automatic classification algorithms for CT images. Sensors 2019, 19, 194. [Google Scholar] [CrossRef] [Green Version]
- Yushkevich, P.A.; Piven, J.; Hazlett, H.C.; Smith, R.G.; Ho, S.; Gee, J.C.; Gerig, G. User-guided 3D active contour segmentation of anatomical structures: Significantly improved efficiency and reliability. Neuroimage 2006, 31, 1116–1128. [Google Scholar] [CrossRef] [Green Version]
- Badrinarayanan, V.; Kendall, A.; Cipolla, R. Segnet: A deep convolutional encoder-decoder architecture for image segmentation. IEEE Trans. Pattern Anal. Mach. Intell. 2017, 39, 2481–2495. [Google Scholar] [CrossRef] [PubMed]
- Kendall, A.; Badrinarayanan, V.; Cipolla, R. Bayesian segnet: Model uncertainty in deep convolutional encoder-decoder architectures for scene understanding. arXiv 2015, arXiv:1511.02680. [Google Scholar]
- Rajaraman, S.; Antani, S. Weakly labeled data augmentation for deep learning: A study on COVID-19 detection in chest X-rays. Diagnostics 2020, 10, 358. [Google Scholar] [CrossRef] [PubMed]
- El Adoui, M.; Mahmoudi, S.A.; Larhmam, M.A.; Benjelloun, M. MRI breast tumor segmentation using different encoder and decoder CNN architectures. Computers 2019, 8, 52. [Google Scholar] [CrossRef] [Green Version]
- Khan, S.A.; Khan, M.A.; Song, O.Y.; Nazir, M. Medical Imaging Fusion Techniques: A Survey Benchmark Analysis, Open Challenges and Recommendations. J. Med. Imaging Health Inform. 2020, 10, 2523–2531. [Google Scholar] [CrossRef]
- Khan, M.A.; Sarfraz, M.S.; Alhaisoni, M.; Albesher, A.A.; Wang, S.; Ashraf, I. StomachNet: Optimal Deep Learning Features Fusion for Stomach Abnormalities Classification. IEEE Access 2020, 8, 197969–197981. [Google Scholar] [CrossRef]
- Khan, M.A.; Ashraf, I.; Alhaisoni, M.; Damaševičius, R.; Scherer, R.; Rehman, A.; Bukhari, S.A.C. Multimodal brain tumor classification using deep learning and robust feature selection: A machine learning application for radiologists. Diagnostics 2020, 10, 565. [Google Scholar] [CrossRef]
- Dey, N.; Rajinikanth, V.; Shi, F.; Tavares, J.M.R.; Moraru, L.; Karthik, K.A.; Lin, H.; Kamalanand, K.; Emmanuel, C. Social-Group-Optimization based tumor evaluation tool for clinical brain MRI of Flair/diffusion-weighted modality. Biocybern. Biomed. Eng. 2019, 39, 843–856. [Google Scholar] [CrossRef] [Green Version]
- Zhang, Y.D.; Satapathy, S.C.; Liu, S.; Li, G.R. A five-layer deep convolutional neural network with stochastic pooling for chest CT-based COVID-19 diagnosis. Mach. Vis. Appl. 2020, 32, 14. [Google Scholar] [CrossRef]
- Zhang, Y.D.; Satapathy, S.C.; Zhu, L.Y.; Górriz, J.M.; Wang, S.H. A seven-layer convolutional neural network for chest CT based COVID-19 diagnosis using stochastic pooling. IEEE Sens. J. 2020. [Google Scholar] [CrossRef]
- Kumar, D.; Jain, N.; Khurana, A.; Mittal, S.; Satapathy, S.C.; Senkerik, R.; Hemanth, J.D. Automatic Detection of White Blood Cancer From Bone Marrow Microscopic Images Using Convolutional Neural Networks. IEEE Access 2020, 8, 142521–142531. [Google Scholar] [CrossRef]
- Rodrigues, D.D.A.; Ivo, R.F.; Satapathy, S.C.; Wang, S.; Hemanth, J.; Rebouças Filho, P.P. A new approach for classification skin lesion based on transfer learning, deep learning, and IoT system. Pattern Recognit. Lett. 2020, 136, 8–15. [Google Scholar] [CrossRef]
- Rajinikanth, V.; Joseph Raj, A.N.; Thanaraj, K.P.; Naik, G.R. A Customized VGG19 Network with Concatenation of Deep and Handcrafted Features for Brain Tumor Detection. Appl. Sci. 2020, 10, 3429. [Google Scholar] [CrossRef]
- Arshad, H.; Khan, M.A.; Sharif, M.I.; Yasmin, M.; Tavares, J.M.R.; Zhang, Y.D.; Satapathy, S.C. A multilevel paradigm for deep convolutional neural network features selection with an application to human gait recognition. Expert Syst. 2020, e12541. [Google Scholar] [CrossRef]
- Khan, M.A.; Kadry, S.; Alhaisoni, M.; Nam, Y.; Zhang, Y.; Rajinikanth, V.; Sarfraz, M.S. Computer-Aided Gastrointestinal Diseases Analysis from Wireless Capsule Endoscopy: A Framework of Best Features Selection. IEEE Access 2020, 8, 132850–132859. [Google Scholar] [CrossRef]
- Akram, T.; Khan, M.A.; Sharif, M.; Yasmin, M. Skin lesion segmentation and recognition using multichannel saliency estimation and M-SVM on selected serially fused features. J. Ambient Intell. Humaniz. Comput. 2018, 1–20. [Google Scholar] [CrossRef]
- Khan, M.A.; Khan, M.A.; Ahmed, F.; Mittal, M.; Goyal, L.M.; Hemanth, D.J.; Satapathy, S.C. Gastrointestinal diseases segmentation and classification based on duo-deep architectures. Pattern Recognit. Lett. 2020, 131, 193–204. [Google Scholar] [CrossRef]
- Saba, T.; Mohamed, A.S.; El-Affendi, M.; Amin, J.; Sharif, M. Brain tumor detection using fusion of hand crafted and deep learning features. Cogn. Syst. Res. 2020, 59, 221–230. [Google Scholar] [CrossRef]
- Batool, F.E.; Attique, M.; Sharif, M.; Javed, K.; Nazir, M.; Abbasi, A.A.; Iqbal, Z.; Riaz, N. Offline signature verification system: A novel technique of fusion of GLCM and geometric features using SVM. Multimed. Tools Appl. 2020, 1–20. [Google Scholar] [CrossRef]
- Murtza, I.; Khan, A.; Akhtar, N. Object detection using hybridization of static and dynamic feature spaces and its exploitation by ensemble classification. Neural Comput. Appl. 2019, 31, 347–361. [Google Scholar] [CrossRef]
- Bakiya, A.; Kamalanand, K.; Rajinikanth, V.; Nayak, R.S.; Kadry, S. Deep neural network assisted diagnosis of time-frequency transformed electromyograms. Multimed. Tools Appl. 2020, 79, 11051–11067. [Google Scholar] [CrossRef]
- Acharya, U.R.; Fernandes, S.L.; WeiKoh, J.E.; Ciaccio, E.J.; Fabell, M.K.M.; Tanik, U.J.; Rajinikanth, V.; Yeong, C.H. Automated detection of Alzheimer’s disease using brain MRI images—A study with various feature extraction techniques. J. Med. Syst. 2019, 43, 302. [Google Scholar] [CrossRef] [PubMed]
- Jahmunah, V.; Oh, S.L.; Rajinikanth, V.; Ciaccio, E.J.; Cheong, K.H.; Arunkumar, N.; Acharya, U.R. Automated detection of schizophrenia using nonlinear signal processing methods. Artif. Intell. Med. 2019, 100, 101698. [Google Scholar] [CrossRef] [PubMed]
- Gudigar, A.; Raghavendra, U.; Devasia, T.; Nayak, K.; Danish, S.M.; Kamath, G.; Samanth, J.; Pai, U.M.; Nayak, V.; Tan, R.S.; et al. Global weighted LBP based entropy features for the assessment of pulmonary hypertension. Pattern Recognit. Lett. 2019, 125, 35–41. [Google Scholar] [CrossRef]
- Ronneberger, O.; Fischer, P.; Brox, T. U-net: Convolutional networks for biomedical image segmentation. In Proceedings of the International Conference on Medical Image Computing and Computer-Assisted Intervention, Munich, Germany, 5–9 October 2015; Springer: Cham, Switzerland, 2015; pp. 234–241. [Google Scholar]
- Kadry, S.; Rajinikanth, V.; Raja, N.S.M.; Hemanth, D.J.; Hannon, N.M.; Raj, A.N.J. Evaluation of brain tumor using brain MRI with modified-moth-flame algorithm and Kapur’s thresholding: A study. Evol. Intell. 2021, 14, 1053–1063. [Google Scholar] [CrossRef]
- Meraj, T.; Rauf, H.T.; Zahoor, S.; Hassan, A.; Lali, M.I.; Ali, L.; Bukhari, S.A.C.; Shoaib, U. Lung nodules detection using semantic segmentation and classification with optimal features. Neural Comput. Appl. 2021, 33, 10737–10750. [Google Scholar] [CrossRef]
- Aziz, A.; Tariq, U.; Nam, Y.; Nazir, M.; Jeong, C.-W.; Mostafa, R.R.; Sakr, R.H. An Ensemble of Optimal Deep Learning Features for brain tumor classification. Comput. Mater. Continua 2021, 69, 2653–2670. [Google Scholar] [CrossRef]
- Sharif, M.I.; Alhussein, M.; Aurangzeb, K.; Raza, M. A decision support system for multimodal brain tumor classification using deep learning. Complex Intell. Syst. 2021, 3, 1–14. [Google Scholar] [CrossRef]
- Albahli, S.; Rauf, H.T.; Arif, M.; Nafis, M.T.; Algosaibi, A. Identification of thoracic diseases by exploiting deep neural networks. Neural Netw. 2021, 5, 6. [Google Scholar] [CrossRef]
- Albahli, S.; Rauf, H.T.; Algosaibi, A.; Balas, V.E. AI-driven deep CNN approach for multi-label pathology classification using chest X-Rays. PeerJ Comput. Sci. 2021, 7, e495. [Google Scholar] [CrossRef] [PubMed]













| Reference | Lung Nodule Detection Technique | Accuracy (%) | Sensitivity (%) | Specificity (%) |
|---|---|---|---|---|
| Bhandary et al. [4] | A modified AlexNet with the Support Vector Machine (SVM) based binary classification helped to achieve improved result. | 97.27 | 97.80 | 98.09 |
| Choi and Choi [5] | An automated Computer-Aided-Detection scheme is proposed to examine the lung nodules using CT images. | 97.60 | 95.20 | 96.20 |
| Tran et al. [6] | A novel 15-layer DL architecture is implemented by considering the cross entropy/focal as the loss functions. | 97.20 | 96.00 | 97.30 |
| Rajinikanth and Kadry [13] | Implemented VGG16 DL scheme to segment and classify the lung nodules using deep and handcrafted features. | 97.67 | 96.67 | 98.67 |
| Kuruvilla and Gunavathi [18] | This research implemented Neural-Network (NN) supported recognition of lung nodules in CT images. | 93.30 | 91.40 | 100 |
| Nascimento et al. [19] | This work implemented a lung nodule classification based on Shannon and Simpson-Diversity Indices and SVM classifier. | 92.78 | 85.64 | 97.89 |
| Khehrah et al. [20] | Improved lung nodule detection is achieved with the help of statistical and shape features. | 92.00 | 93.75 | 91.18 |
| Wang et al. [21] | Deep NN (DNN) and 6G communication network supported lung nodule detection is proposed and implemented in this work using the CT images. | 91.70 | 92.23 | 91.17 |
| Li et al. [22] | This work implements a Convolutional-Neural-Network (CNN) supported lung nodule detection using the lung CT images. | 86.40 | 87.10 | n/a |
| Kaya and Can [23] | The lung nodule classification is implemented in this work and the ensemble random-forest classifier provided enhanced classification result. | 84.89 | 83.11 | 92.09 |
| Song et al. [24] | This work implemented a DNN scheme to classify the cropped lung nodule sections from the CT image slices. | 82.37 | 80.66 | 83.90 |
| Image Class | Dimension | Total Images | Training Images | Validation Images |
|---|---|---|---|---|
| Normal | 224 × 224 × 3 | 1000 | 750 | 250 |
| Nodule | 224 × 224 × 3 | 1000 | 750 | 250 |
| Approach | Jaccard (%) | Dice (%) | ACC (%) | PRE (%) | SEN (%) | SPE (%) |
|---|---|---|---|---|---|---|
| VGG-SegNet | 82.6464 | 90.4988 | 99.6811 | 98.4496 | 83.7363 | 99.9756 |
| SegNet | 73.1898 | 84.5198 | 99.4539 | 96.6408 | 75.1004 | 99.9471 |
| UNet | 79.2308 | 88.4120 | 99.6233 | 93.1525 | 84.1307 | 99.8925 |
| DL Scheme (Image Size) | TP | FN | TN | FP | ACC (%) | PRE (%) | SEN (%) | SPE (%) | NPV (%) | F1S (%) |
|---|---|---|---|---|---|---|---|---|---|---|
| VGG19 (224 × 224 × 3) | 235 | 15 | 236 | 14 | 94.20 | 94.38 | 94.00 | 94.40 | 94.02 | 94.19 |
| VGG16 (224 × 224 × 3) | 236 | 14 | 230 | 20 | 93.20 | 92.19 | 94.40 | 92.00 | 94.26 | 93.28 |
| ResNet18 (224 × 224 × 3) | 229 | 21 | 228 | 22 | 91.40 | 91.23 | 91.60 | 91.20 | 91.57 | 91.42 |
| ResNet50 (224 × 224 × 3) | 228 | 22 | 231 | 19 | 91.80 | 92.31 | 91.20 | 92.40 | 91.30 | 91.75 |
| Ale × Net (2274 × 227 × 3) | 231 | 19 | 233 | 17 | 92.80 | 93.14 | 92.40 | 93.20 | 92.46 | 92.77 |
| Classifier | TP | FN | TN | FP | ACC (%) | PRE (%) | SEN (%) | SPE (%) | NPV (%) | F1S (%) |
|---|---|---|---|---|---|---|---|---|---|---|
| SoftMax | 237 | 13 | 244 | 6 | 96.20 | 97.53 | 94.80 | 97.60 | 94.94 | 96.14 |
| DT | 238 | 12 | 241 | 9 | 95.80 | 96.36 | 95.20 | 96.40 | 95.25 | 95.77 |
| RF | 240 | 10 | 238 | 12 | 95.60 | 95.24 | 96.00 | 95.20 | 95.97 | 95.62 |
| KNN | 241 | 9 | 242 | 8 | 96.60 | 96.79 | 96.40 | 96.80 | 96.41 | 96.59 |
| SVM-RBF | 243 | 7 | 246 | 4 | 97.83 | 98.38 | 97.20 | 98.40 | 97.23 | 97.79 |
Publisher’s Note: MDPI stays neutral with regard to jurisdictional claims in published maps and institutional affiliations. |
© 2021 by the authors. Licensee MDPI, Basel, Switzerland. This article is an open access article distributed under the terms and conditions of the Creative Commons Attribution (CC BY) license (https://creativecommons.org/licenses/by/4.0/).
Share and Cite
Khan, M.A.; Rajinikanth, V.; Satapathy, S.C.; Taniar, D.; Mohanty, J.R.; Tariq, U.; Damaševičius, R. VGG19 Network Assisted Joint Segmentation and Classification of Lung Nodules in CT Images. Diagnostics 2021, 11, 2208. https://doi.org/10.3390/diagnostics11122208
Khan MA, Rajinikanth V, Satapathy SC, Taniar D, Mohanty JR, Tariq U, Damaševičius R. VGG19 Network Assisted Joint Segmentation and Classification of Lung Nodules in CT Images. Diagnostics. 2021; 11(12):2208. https://doi.org/10.3390/diagnostics11122208
Chicago/Turabian StyleKhan, Muhammad Attique, Venkatesan Rajinikanth, Suresh Chandra Satapathy, David Taniar, Jnyana Ranjan Mohanty, Usman Tariq, and Robertas Damaševičius. 2021. "VGG19 Network Assisted Joint Segmentation and Classification of Lung Nodules in CT Images" Diagnostics 11, no. 12: 2208. https://doi.org/10.3390/diagnostics11122208
APA StyleKhan, M. A., Rajinikanth, V., Satapathy, S. C., Taniar, D., Mohanty, J. R., Tariq, U., & Damaševičius, R. (2021). VGG19 Network Assisted Joint Segmentation and Classification of Lung Nodules in CT Images. Diagnostics, 11(12), 2208. https://doi.org/10.3390/diagnostics11122208

