Whole-Body MRI in Rheumatology: Major Advances and Future Perspectives
Abstract
:1. Introduction
2. WB-MRI: Acquisition Techniques
3. WB-MRI: Indications in Rheumatology
3.1. Seronegative Spondyloarthritis
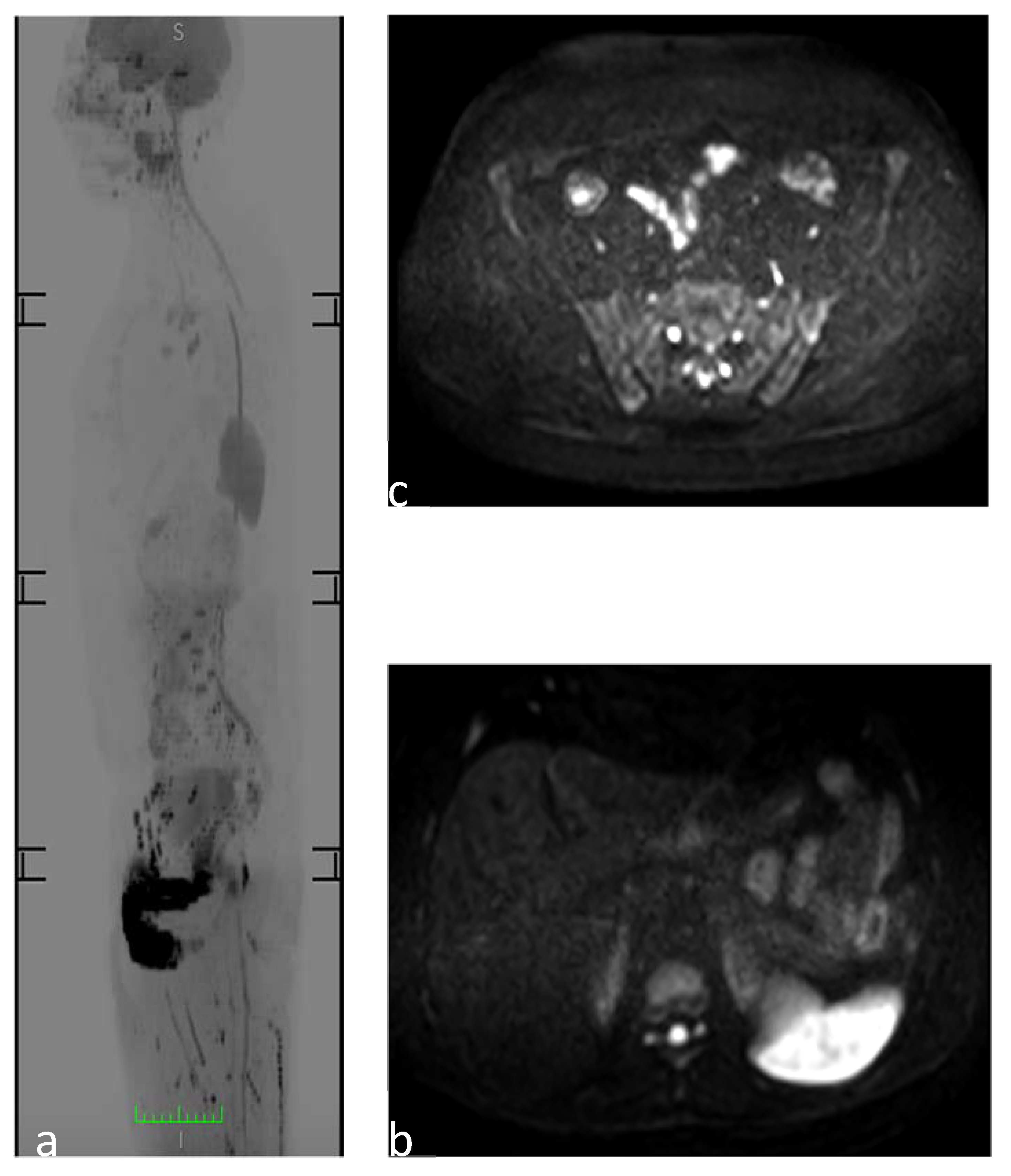
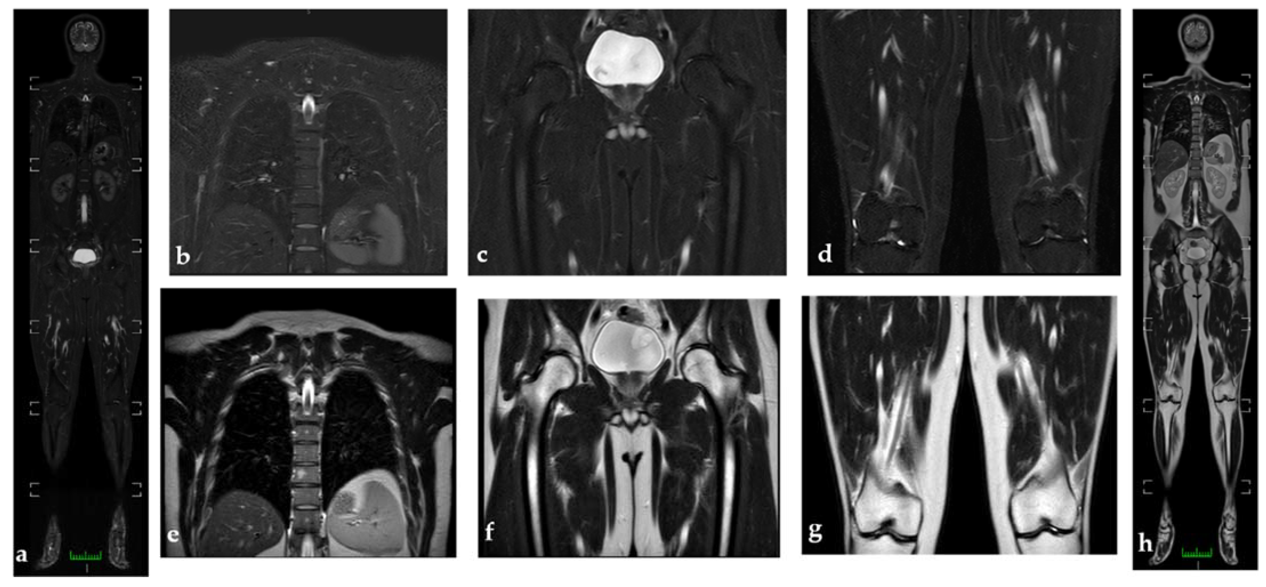
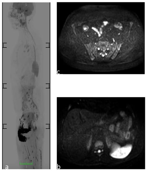
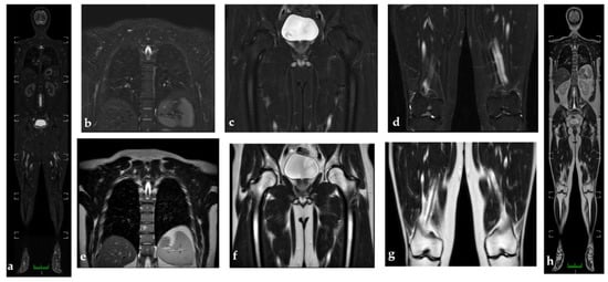
3.1.1. Ankylosing Spondylitis
- Second-line exam in patients with unsure AS diagnosis after SIJ and rachis MRI as well as following strong clinical suspicion;
- Complimentary examination for advanced axial disease (ankylosis) to detect peripheral zones of active inflammation;
- Analysis of the extra-axial skeleton in seronegative spondyloarthritis with prevalent peripheral involvement; and
- Evaluation of the therapy response in the three cases just described.
3.1.2. Juvenile Spondyloarthritis
3.1.3. Psoriatic Arthritis
3.1.4. Multifocal Aseptic Musculoskeletal Disorders
3.2. Systemic Sclerosis
- Hypointensity in T1-weighted sequences, along with the thickening of the cutaneous and subcutaneous plan; and
- Hyperintensity in STIR sequences and gain of contrast in T1-weighted sequences after gadolinium.
3.3. Polymyalgia Rheumatica
3.4. Muscular Multifocal Inflammatory Diseases
3.4.1. Antisynthetase Syndrome (ASS)
- The involved tissues including muscles, fasciae, and subcutaneous tissue. Muscular and subcutaneous tissue are both involved in DM and even the fasciae can be involved. In PM, we generally find isolated muscular edema.
- The topographical distribution of the lesions. In PM, shoulder and pelvic girdle are primarily involved.
- The portion of the muscle affected by the process (central, peripheric, or diffuse) [5].
3.4.2. IBM
3.5. Neuromuscular Diseases
3.6. Eosinophilic Fasciitis (Shulman’s Syndrome)
3.7. Sarcoidosis
3.8. Langerhans Cell Histiocytosis
3.9. Avascular Multifocal Osteonecrosis (AVN)
3.10. Polyostotic Fibrous Dysplasia (PFD)
4. Conclusions
Author Contributions
Funding
Data Availability Statement
Conflicts of Interest
References
- Lecouvert, F.E. Whole-Body MR Imaging: Musculoskeletal Applications. Radiology 2016, 279, 345–365. [Google Scholar] [CrossRef]
- Michoux, N.; Toukap, A.; Larbi, A.; Berg, B.; Malghem, J.; Triqueneaux, P.; Lecouvet, F.; Omoumi, P.; Stoenoiu, M. The Increasing Spectrum of Indications of Whole-Body MRI Beyond Oncology: Imaging Answers to Clinical Needs. Semin. Musculoskelet. Radiol. 2015, 19, 348–362. [Google Scholar] [CrossRef] [PubMed]
- Damasio, M.B.; Magnaguagno, F.; Stagnaro, G. Whole-body MRI: Non-oncological applications in paediatrics. Radiol. Med. 2016, 121, 454–461. [Google Scholar] [CrossRef] [PubMed]
- Zhao, Y.; Ferguson, P.J. Chronic Nonbacterial Osteomyelitis and Chronic Recurrent Multifocal Osteomyelitis in Children. Pediatr. Clin. N. Am. 2018, 65, 783–800. [Google Scholar] [CrossRef] [PubMed]
- Barakat, E.; Kirchgesner, T.; Triqueneaux, P.; Galant, C.; Stoenoiu, M.; Lecouvet, F.E. Whole-Body Magnetic Resonance Imaging in Rheumatic and Systemic Diseases. Magn. Reson. Imaging Clin. N. Am. 2018, 26, 581–597. [Google Scholar] [CrossRef] [PubMed]
- Aquino, M.R.; Tse, S.M.L.; Gupta, S.; Rachlis, A.C.; Stimec, J. Whole-body MRI of juvenile spondyloarthritis: Protocols and pictorial review of characteristic patterns. Pediatr. Radiol. 2015, 45, 754–762. [Google Scholar] [CrossRef]
- Lecouvet, F.; Simon, M.; Tombal, B.; Jamart, J.; Berg, B.C.V.; Simoni, P. Whole-body MRI (WB-MRI) versus axial skeleton MRI (AS-MRI) to detect and measure bone metastases in prostate cancer (PCa). Eur. Radiol. 2010, 20, 2973–2982. [Google Scholar] [CrossRef] [PubMed]
- Schmidt, G.P.; Baur-Melnyk, A.; Herzog, P.; Schmid, R.; Tiling, R.; Schmidt, M.; Reiser, M.F.; Schoenberg, S.O. High-Resolution Whole-Body Magnetic Resonance Image Tumor Staging With the Use of Parallel Imaging Versus Dual-Modality Positron Emission Tomography–Computed Tomography. Investig. Radiol. 2005, 40, 743–753. [Google Scholar] [CrossRef]
- Sudoł-Szopińska, I.; Pracoń, G. Diagnostyka obrazowa łuszczycowego zapalenia stawów. Część II: Rezonans magnetyczny i ultrasonografia. J. Ultrason. 2016, 16, 163–174. [Google Scholar] [CrossRef]
- Panwar, J.; Patel, H.; Tolend, M.; Akikusa, J.; Herregods, N.; Highmore, K.; Clemente, E.J.I.; Jans, L.; Jaremko, J.L.; von Kalle, T.; et al. Toward Developing a Semiquantitative Whole Body-MRI Scoring for Juvenile Idiopathic Arthritis: Critical Appraisal of the State of the Art, Challenges, and Opportunities. Acad. Radiol. 2021, 28, 271–286. [Google Scholar] [CrossRef]
- Del Grande, F.; Santini, F.; Herzka, D.; Aro, M.R.; Dean, C.W.; Gold, G.E.; Carrino, J.A. Fat-Suppression Techniques for 3-T MR Imaging of the Musculoskeletal System. Radiographics 2014, 34, 217–233. [Google Scholar] [CrossRef] [Green Version]
- Schick, F. Whole-body MRI at high field: Technical limits and clinical potential. Eur. Radiol. 2005, 15, 946–959. [Google Scholar] [CrossRef]
- Schmidt, G.P.; Baur-Melnyk, A.; Haug, A.; Heinemann, V.; Bauerfeind, I.; Reiser, M.F.; Schoenberg, S.O. Comprehensive imaging of tumor recurrence in breast cancer patients using whole-body MRI at 1.5 and 3T compared to FDG–PET–CT. Eur. J. Radiol. 2008, 65, 47–58. [Google Scholar] [CrossRef]
- Althoff, C.E.; Sieper, J.; Song, I.-H.; Haibel, H.; Weiß, A.; Diekhoff, T.; Rudwaleit, M.; Freundlich, B.; Hamm, B.; Hermann, K.-G. Active inflammation and structural change in early active axial spondyloarthritis as detected by whole-body MRI. Ann. Rheum. Dis. 2012, 72, 967–973. [Google Scholar] [CrossRef] [PubMed]
- Rudwaleit, M.; Schwarzlose, S.; Hilgert, E.S.; Listing, J.; Braun, J.; Sieper, J. MRI in predicting a major clinical response to anti-tumour necrosis factor treatment in ankylosing spondylitis. Ann. Rheum. Dis. 2007, 67, 1276–1281. [Google Scholar] [CrossRef] [PubMed]
- Rudwaleit, M.; Landewe, R.; Van Der Heijde, D.; Listing, J.; Brandt, J.; Braun, J.; Burgos-Vargas, R.; Estévez, E.C.; Davis, J.; Dijkmans, B.; et al. The development of Assessment of SpondyloArthritis international Society classification criteria for axial spondyloarthritis (part I): Classification of paper patients by expert opinion including uncertainty appraisal. Ann. Rheum. Dis. 2009, 68, 770–776. [Google Scholar] [CrossRef] [PubMed]
- Mandl, P.; Navarro-Compán, V.; Terslev, L.; Aegerter, P.; Van Der Heijde, D.; D’Agostino, M.A.; Baraliakos, X.; Pedersen, S.J.; Jurik, A.G.; Naredo, E.; et al. EULAR recommendations for the use of imaging in the diagnosis and management of spondyloarthritis in clinical practice. Ann. Rheum. Dis. 2015, 74, 1327–1339. [Google Scholar] [CrossRef] [PubMed]
- Aydin, S.Z.; Maksymowych, W.P.; Bennett, A.N.; McGonagle, D.; Emery, P.; Marzo-Ortega, H. Validation of the ASAS criteria and definition of a positive MRI of the sacroiliac joint in an inception cohort of axial spondyloarthritis followed up for 8 years. Ann. Rheum. Dis. 2011, 71, 56–60. [Google Scholar] [CrossRef]
- Hermann, K.-G.A.; Baraliakos, X.; Van Der Heijde, D.M.F.M.; Jurik, A.-G.; Landewé, R.; Marzo-Ortega, H.; Østergaard, M.; Rudwaleit, M.; Sieper, J.; Braun, J. Descriptions of spinal MRI lesions and definition of a positive MRI of the spine in axial spondyloarthritis: A consensual approach by the ASAS/OMERACT MRI study group. Ann. Rheum. Dis. 2012, 71, 1278–1288. [Google Scholar] [CrossRef] [Green Version]
- Bredella, M.A.; Steinbach, L.S.; Morgan, S.; Ward, M.; Davis, J.C. MRI of the Sacroiliac Joints in Patients with Moderate to Severe Ankylosing Spondylitis. Am. J. Roentgenol. 2006, 187, 1420–1426. [Google Scholar] [CrossRef]
- Bozgeyik, Z.; Ozgocmen, S.; Kocakoc, E. Role of Diffusion-Weighted MRI in the Detection of Early Active Sacroiliitis. Am. J. Roentgenol. 2008, 191, 980–986. [Google Scholar] [CrossRef]
- Weber, U.; Zubler, V.; Zhao, Z.; Lambert, R.; Chan, S.M.; Pedersen, S.J.; Østergaard, M.; Rufibach, K.; Maksymowych, W.P. Does spinal MRI add incremental diagnostic value to MRI of the sacroiliac joints alone in patients with non-radiographic axial spondyloarthritis? Ann. Rheum. Dis. 2014, 74, 985–992. [Google Scholar] [CrossRef]
- Saurenmann, R.K.; Rose, J.B.; Tyrrell, P.; Feldman, B.M.; Laxer, R.M.; Schneider, R.; Silverman, E.D. Epidemiology of juvenile idiopathic arthritis in a multiethnic cohort: Ethnicity as a risk factor. Arthritis Rheum. 2007, 56, 1974–1984. [Google Scholar] [CrossRef]
- Avenarius, D.M.F.; Müller, L.-S.O.; Eldevik, P.; Owens, C.M.; Rosendahl, K. The paediatric wrist revisited—Findings of bony depressions in healthy children on radiographs compared to MRI. Pediatr. Radiol. 2012, 42, 791–798. [Google Scholar] [CrossRef]
- Coates, L.C.; Hodgson, R.; Conaghan, P.; Freeston, J.E. MRI and ultrasonography for diagnosis and monitoring of psoriatic arthritis. Best Pract. Res. Clin. Rheumatol. 2012, 26, 805–822. [Google Scholar] [CrossRef] [PubMed]
- Earwaker, J.W.S.; Cotten, A. SAPHO: Syndrome or concept? Imaging findings. Skelet. Radiol. 2003, 32, 311–327. [Google Scholar] [CrossRef] [PubMed]
- Weckbach, S. Whole-Body MRI for Inflammatory Arthritis and Other Multifocal Rheumatoid Diseases. Semin. Musculoskelet. Radiol. 2012, 16, 377–388. [Google Scholar] [CrossRef]
- Falip, C.; Alison, M.; Boutry, N.; Job-Deslandre, C.; Cotten, A.; Azoulay, R.; Adamsbaum, C. Chronic recurrent multifocal osteomyelitis (CRMO): A longitudinal case series review. Pediatr. Radiol. 2013, 43, 355–375. [Google Scholar] [CrossRef]
- Avouac, J.; Walker, U.A.; Hachulla, E.; Riemekasten, G.; Cuomo, G.; Carreira, P.E.; Caramaschi, P.; Ananieva, L.P.; Matucci-Cerinic, M.; Czirjak, L.; et al. Joint and tendon involvement predict disease progression in systemic sclerosis: A EUSTAR prospective study. Ann. Rheum. Dis. 2014, 75, 103–109. [Google Scholar] [CrossRef]
- Salvarani, C.; Cantini, F.; Olivieri, I.; Barozzi, L.; Macchioni, L.; Niccoli, L.; Padula, A.; De Matteis, M.; Pavlica, P. Proximal bursitis in active polymyalgia rheumatica. Ann. Intern. Med. 1997, 127, 27–31. [Google Scholar] [CrossRef] [PubMed]
- Mackie, S.L.; Pease, C.T.; Fukuba, E.; Harris, E.; Emery, P.; Hodgson, R.; Freeston, J.; McGonagle, D. Whole-body MRI of patients with polymyalgia rheumatica identifies a distinct subset with complete patient-reported response to glucocorticoids. Ann. Rheum. Dis. 2015, 74, 2188–2192. [Google Scholar] [CrossRef]
- Cantwell, C.; Ryan, M.; O’Connell, M.; Cunningham, P.; Brennan, D.; Costigan, D.; Lynch, T.; Eustace, S. A comparison of inflammatory myopathies at whole-body turbo STIR MRI. Clin. Radiol. 2005, 60, 261–267. [Google Scholar] [CrossRef] [PubMed]
- Shelly, M.J.; Bolster, F.; Foran, P.; Crosbie, I.; Kavanagh, E.C.; Eustace, S.J. Whole-Body Magnetic Resonance Imaging in Skeletal Muscle Disease. Semin. Musculoskelet. Radiol. 2010, 14, 047–056. [Google Scholar] [CrossRef] [PubMed]
- Del Grande, F.; Carrino, J.A.; Del Grande, M.; Mammen, A.L.; Stine, L.C. Magnetic Resonance Imaging of Inflammatory Myopathies. Top. Magn. Reson. Imaging 2011, 22, 39–43. [Google Scholar] [CrossRef]
- Brennan, D.D.; Whelan, P.F.; Robinson, K.; Ghita, O.; O’Brien, J.M.; Sadleir, R.; Eustace, S.J. Rapid Automated Measurement of Body Fat Distribution from Whole-Body MRI. Am. J. Roentgenol. 2005, 185, 418–423. [Google Scholar] [CrossRef] [Green Version]
- Barraclough, D.; Begg, M.W. Diffuse Fasciitis with Eosinophilia. Aust. N. Z. J. Med. 1980, 10, 333–335. [Google Scholar] [CrossRef] [PubMed]
- Baumann, F.; Brühlmann, P.; Andreisek, G.; Michel, B.A.; Marincek, B.; Weishaupt, D. MRI for Diagnosis and Monitoring of Patients with Eosinophilic Fasciitis. Am. J. Roentgenol. 2005, 184, 169–174. [Google Scholar] [CrossRef]
- Sekine, T.; Amano, Y.; Hidaka, F.; Takagi, R.; Machida, T.; Naito, Z.; Kumita, S. Hepatosplenic and muscular sarcoidosis: Characterization with MR imaging. Magn. Reson. Med. Sci. 2012, 11, 83–89. [Google Scholar] [CrossRef] [PubMed] [Green Version]
- Goo, H.W.; Yang, D.H.; Ra, Y.S.; Song, J.S.; Im, H.J.; Seo, J.J.; Ghim, T.; Moon, H.N. Whole-body MRI of Langerhans cell histiocytosis: Comparison with radiography and bone scintigraphy. Pediatr. Radiol. 2006, 36, 1019–1031. [Google Scholar] [CrossRef]
- Zibis, A.H.; Varitimidis, S.E.; Dailiana, Z.H.; Karantanas, A.H.; Arvanitis, D.L.; Malizos, K.N. Fast sequences MR imaging at the investigation of painful skeletal sites in patients with hip osteonecrosis. SpringerPlus 2015, 4, 3. [Google Scholar] [CrossRef] [Green Version]
- Darge, K.; Jaramillo, D.; Siegel, M.J. Whole-body MRI in children: Current status and future applications. Eur. J. Radiol. 2008, 68, 289–298. [Google Scholar] [CrossRef] [PubMed]


| Disease | Most Commonly Involved Areas | Other Areas | General Radiological Features | WB-MRI DWI |
|---|---|---|---|---|
| AS | Sacroiliac and discovertebral joints | Peripheral enthesitis and thoracic wall joints | BME, bone erosions, bone sclerosis, and ankylosis DWI is able to highlight active inflammation areas with high b-values | It has greater resolution power compared to STIR sequences in detecting inflammatory lesions and in distinguishing them from degenerative ones. |
| Juvenile spondyloarthritis | Peripheral joints (lower-limb joints) and the enthesis | Sacroiliac and discovertebral joints | BME in proximity of the enthesis | |
| Psoriatic arthritis | DIP and PIP joints (distal joints) | MCP/MTP and CMC/TMT joints (proximal joints) | Sinovitis and enthesitis; pencil-in-cup deformity | |
| SAPHO | Sacroiliac and sterno-clavear regions, and the anterior chest wall | Extra-axial skeleton | Presence of chronic (fibroadipose involution) and active (BME) lesions | |
| CRMO | Long-bones metaphysis, ankle, and calcaneus | Appendicular and axial skeletal | Non-specific signs of inflammation and relapsing-remitting lesions | DWI may be useful to distinguish malignancy from CRMO in the spine |
| Systemic sclerosis | Fingers, wrists, and ankles | Systemic disease: esophagus, skin, lungs, and kidneys | Synovitis, tenosynovitis, myositis, enthesitis, and fasciitis | |
| Polymyalgia rheumatica | Pelvic and shoulder girdle | NA | Inflammation of peri-acetabular space and underneath the pubic symphysis | |
| Polymyositis | Proximal limb muscles, symmetrical; | Swallowing and respiratory muscles | Inflammation of the affected muscles | |
| Dermatomyositis | proximal limb muscles and skin symmetrical; | Swallowing and respiratory muscles | Inflammation of the affected muscles | |
| IBM | distal muscles of the limbs, asymmetrical; and | Swallowing and respiratory muscles | Inflammation of the affected muscles | |
| ASS | joints, entheses, and synoviums | Respiratory and limbs muscles | Inflammation of these structures | |
| Eosinophilic fasciitis | Fasciae | Muscles and hypoderma close to the fascia | Inflammation with fibrosis and thickening of the fasciae | |
| Sarcoidosis | Multifocal involvement of the axial skeleton | Systemic disease: lungs, eyes, hepato-splenic, and muscles | Presence of chronic and active lesions | |
| Langerhans cell histiocytosis | Skull bones, upper limbs, and flat bones | Skin, endocrine system, and lungs | Coexistence of active and quiescent lesions | |
| AVN | Epiphysis long bones | Joints of the knees, shoulders, ankles, wrist, hips, and jaw | Ischemic lesions | |
| Hereditary ostechondromatosis | Flat bones or metaphysis of the long bones | NA | Multiple benign ostechondromas; signs of malignant transformation: growth of lesions after puberty or thickening of the cartilage hood | |
| PFD | There is no preferential bone location | NA | Multifocal benign proliferation of bone-fibrous tissue inside the bone marrow space | |
| Neurofibromatosis | Deformity of the orbit, facial bones, and spine | CNS and PNS | Nerve tumor that deforms adjacent structures |
Publisher’s Note: MDPI stays neutral with regard to jurisdictional claims in published maps and institutional affiliations. |
© 2021 by the authors. Licensee MDPI, Basel, Switzerland. This article is an open access article distributed under the terms and conditions of the Creative Commons Attribution (CC BY) license (https://creativecommons.org/licenses/by/4.0/).
Share and Cite
Deplano, L.; Piga, M.; Porcu, M.; Stecco, A.; Suri, J.S.; Mannelli, L.; Cauli, A.; Carriero, A.; Saba, L. Whole-Body MRI in Rheumatology: Major Advances and Future Perspectives. Diagnostics 2021, 11, 1770. https://doi.org/10.3390/diagnostics11101770
Deplano L, Piga M, Porcu M, Stecco A, Suri JS, Mannelli L, Cauli A, Carriero A, Saba L. Whole-Body MRI in Rheumatology: Major Advances and Future Perspectives. Diagnostics. 2021; 11(10):1770. https://doi.org/10.3390/diagnostics11101770
Chicago/Turabian StyleDeplano, Luca, Matteo Piga, Michele Porcu, Alessandro Stecco, Jasjit S. Suri, Lorenzo Mannelli, Alberto Cauli, Alessandro Carriero, and Luca Saba. 2021. "Whole-Body MRI in Rheumatology: Major Advances and Future Perspectives" Diagnostics 11, no. 10: 1770. https://doi.org/10.3390/diagnostics11101770
APA StyleDeplano, L., Piga, M., Porcu, M., Stecco, A., Suri, J. S., Mannelli, L., Cauli, A., Carriero, A., & Saba, L. (2021). Whole-Body MRI in Rheumatology: Major Advances and Future Perspectives. Diagnostics, 11(10), 1770. https://doi.org/10.3390/diagnostics11101770

