Identification of Resistance Loci and Functional Markers for Rhizoctonia solani Root Rot in Soybean via GWAS
Abstract
1. Introduction
2. Materials and Methods
2.1. Plant Materials
2.2. Preparation of Rhizoctonia solani Inoculum
2.3. Disease Assessment and Data Analysis
2.4. DNA Sequencing and Genotyping
2.5. Population Structure and LD Analysis
2.6. Genome-Wide Association Study
2.7. Identification and Expression Analysis of Candidate Genes
2.8. Establishment of CAPS and KASP Molecular Assays
3. Results
3.1. Evaluation of Soybean Germplasm for Resistance to Rhizoctonia solani
3.2. GWAS for RSRR Resistance Loci in Soybean
3.3. Identification of RSRR-Associated SNPs and Functional Allelic Variants in Candidate Genes
3.4. Response of Candidate Genes to RSRR Inoculation at the Transcript Level
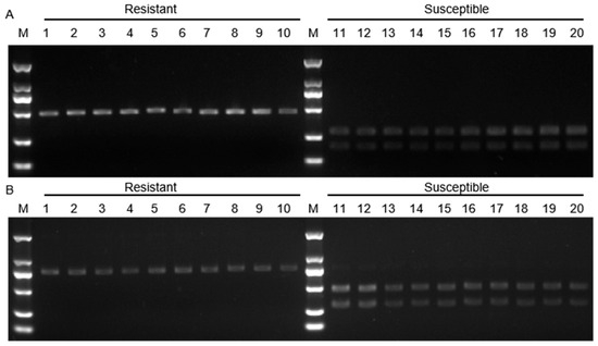
3.5. Development of CAPS Markers Based on SNP Variants for Rapid Genotyping of RSRR Resistance
3.6. KASP Marker Development for Efficient Genotyping of RSRR Resistance in Soybean
4. Discussion
5. Conclusions
Supplementary Materials
Author Contributions
Funding
Data Availability Statement
Conflicts of Interest
References
- Ajayi-Oyetunde, O.; Bradley, C. Rhizoctonia solani: Taxonomy, population biology and management of rhizoctonia seedling disease of soybean. Plant Pathol. 2018, 67, 3–17. [Google Scholar] [CrossRef]
- Abbas, A.; Mubeen, M.; Sohail, M.A.; Solanki, M.K.; Hussain, B.; Nosheen, S.; Kashyap, B.K.; Zhou, L.; Fang, X. Root rot a silent alfalfa killer in China: Distribution, fungal, and oomycete pathogens, impact of climatic factors and its management. Front. Microbiol. 2022, 13, 961794. [Google Scholar] [CrossRef] [PubMed]
- Drizou, F.; Graham, N.S.; Bruce, T.J.; Ray, R.V. Development of high-throughput methods to screen disease caused by Rhizoctonia solani AG 2-1 in oilseed rape. Plant Methods 2017, 13, 45. [Google Scholar] [CrossRef]
- Chang, K.-F.; Hwang, S.-F.; Ahmed, H.U.; Strelkov, S.; Harding, M.; Conner, R.L.; McLaren, D.; Gossen, B.; Turnbull, G.D. Disease reaction to Rhizoctonia solani and yield losses in soybean. Can. J. Plant Sci. 2017, 98, 115–124. [Google Scholar] [CrossRef]
- Chen, X.; Peng, L.; Ren, H.; Wang, Y.; Wang, Y. Genome-wide association study on resistance of soybean to Rhizoctonia solani root rot in Northeast China. Physiol. Mol. Plant Pathol. 2025, 139, 102792. [Google Scholar] [CrossRef]
- Chela Fenille, R.; Luiz de Souza, N.; Eurya Kuramae, E. Characterization of Rhizoctonia solani associated with soybean in Brazil. Eur. J. Plant Pathol. 2002, 108, 783–792. [Google Scholar] [CrossRef]
- Spurlock, T.N.; Rothrock, C.S.; Monfort, W.S.; Griffin, T.W. The distribution and colonization of soybean by Rhizoctonia solani AG11 in fields rotated with rice. Soil Biol. Biochem. 2016, 94, 29–36. [Google Scholar] [CrossRef]
- Ajayi-Oyetunde, O.O.; Bradley, C.A. Identification and characterization of Rhizoctonia species associated with soybean seedling disease. Plant Dis. 2017, 101, 520–533. [Google Scholar] [CrossRef]
- Zhang, C.; Yu, S.; Tian, H.; Wang, Z.; Yu, B.; Ma, L.; Nan, Z.; Fang, X. Varieties with a high level of resistance provide an opportunity to manage root rot caused by Rhizoctonia solani in alfalfa. Eur. J. Plant Pathol. 2021, 160, 983–989. [Google Scholar] [CrossRef]
- Heyman, F.; Blair, J.; Persson, L.; Wikström, M. Root rot of pea and faba bean in southern Sweden caused by Phytophthora pisi sp. nov. Plant Dis. 2013, 97, 461–471. [Google Scholar] [CrossRef]
- Guerrero-González, M.; Rodríguez-Kessler, M.; Rodríguez-Guerra, R.; González-Chavira, M.; Simpson, J.; Sanchez, F.; Jiménez-Bremont, J. Differential expression of Phaseolus vulgaris genes induced during the interaction with Rhizoctonia solani. Plant Cell Rep. 2011, 30, 1465–1473. [Google Scholar] [CrossRef]
- Thiessen, L.D.; Woodward, J.E. Diseases of peanut caused by soilborne pathogens in the Southwestern United States. Int. Sch. Res. Not. 2012, 2012, 517905. [Google Scholar] [CrossRef]
- Woodhall, J.; Lees, A.; Edwards, S.; Jenkinson, P. Characterization of Rhizoctonia solani from potato in Great Britain. Plant Pathol. 2007, 56, 286–295. [Google Scholar] [CrossRef]
- Koenning, S.R.; Wrather, J.A. Suppression of soybean yield potential in the continental United States by plant diseases from 2006 to 2009. Plant Health Prog. 2010, 11, 5. [Google Scholar] [CrossRef]
- Abd-Elmagid, W.; Aly, M.M.; El-Sharkawy, R.M. Control of peanut root and pod rots diseases using certain bioagents. J. Phytopathol. Pest Manag. 2020, 7, 79–90. [Google Scholar]
- Zhao, X.; Bao, D.; Wang, W.; Zhang, C.; Jing, Y.; Jiang, H.; Qiu, L.; Li, W.; Han, Y. Loci and candidate gene identification for soybean resistance to Phytophthora root rot race 1 in combination with association and linkage mapping. Mol. Breed. 2020, 40, 100. [Google Scholar] [CrossRef]
- Lin, F.; Wani, S.H.; Collins, P.J.; Wen, Z.; Li, W.; Zhang, N.; McCoy, A.G.; Bi, Y.; Tan, R.; Zhang, S. QTL mapping and GWAS for identification of loci conferring partial resistance to Pythium sylvaticum in soybean (Glycine max (L.) Merr.). Mol. Breed. 2020, 40, 54. [Google Scholar] [CrossRef]
- Sang, Y.; Liu, X.; Yuan, C.; Yao, T.; Li, Y.; Wang, D.; Zhao, H.; Wang, Y. Genome-wide association study on resistance of cultivated soybean to Fusarium oxysporum root rot in Northeast China. BMC Plant Biol. 2023, 23, 625. [Google Scholar] [CrossRef]
- Surbhi, K.; Singh, K.P.; Singh, N.K.; Aravind, T. Assessment of genetic diversity among soybean genotypes differing in response to aerial blight (Rhizoctonia solani Kuhn) using SSR markers. J. Phytopathol. 2021, 169, 37–44. [Google Scholar] [CrossRef]
- Zhao, G.; Ablett, G.; Anderson, T.; Rajcan, I.; Schaafsma, A. Inheritance and genetic mapping of resistance to Rhizoctonia root and hypocotyl rot in soybean. Crop Sci. 2005, 45, 1441–1447. [Google Scholar] [CrossRef]
- Jia, Q.; Zhou, M.; Xiong, Y.; Wang, J.; Xu, D.; Zhang, H.; Liu, X.; Zhang, W.; Wang, Q.; Sun, X. Development of KASP markers assisted with soybean drought tolerance in the germination stage based on GWAS. Front. Plant Sci. 2024, 15, 1352379. [Google Scholar] [CrossRef]
- Wang, J.; Zhou, M.; Zhang, H.; Liu, X.; Zhang, W.; Wang, Q.; Jia, Q.; Xu, D.; Chen, H.; Su, C. A genome-wide association analysis for salt tolerance during the soybean germination stage and development of KASP markers. Front. Plant Sci. 2024, 15, 1352465. [Google Scholar] [CrossRef]
- Li, Y.; Liu, X.; Deng, W.; Liu, J.; Fang, Y.; Liu, Y.; Ma, T.; Zhang, Y.; Xue, Y.; Tang, X. Fine mapping the soybean mosaic virus resistance gene in soybean cultivar Heinong 84 and development of CAPS markers for rapid identification. Viruses 2022, 14, 2533. [Google Scholar] [CrossRef]
- Xue, A.; Cober, E.; Morrison, M.; Voldeng, H.; Ma, B. Effect of seed treatments on emergence, yield, and root rot severity of soybean under Rhizoctonia solani inoculated field conditions in Ontario. Can. J. Plant Sci. 2007, 87, 167–174. [Google Scholar] [CrossRef]
- Allen, G.C.; Flores-Vergara, M.; Krasynanski, S.; Kumar, S.; Thompson, W. A modified protocol for rapid DNA isolation from plant tissues using cetyltrimethylammonium bromide. Nat. Protoc. 2006, 1, 2320–2325. [Google Scholar] [CrossRef]
- Schmutz, J.; Cannon, S.B.; Schlueter, J.; Ma, J.; Mitros, T.; Nelson, W.; Hyten, D.L.; Song, Q.; Thelen, J.J.; Cheng, J. Genome sequence of the palaeopolyploid soybean. Nature 2010, 463, 178–183. [Google Scholar] [CrossRef]
- Li, H.; Durbin, R. Fast and accurate short read alignment with Burrows–Wheeler transform. Bioinformatics 2009, 25, 1754–1760. [Google Scholar] [CrossRef] [PubMed]
- McKenna, A.; Hanna, M.; Banks, E.; Sivachenko, A.; Cibulskis, K.; Kernytsky, A.; Garimella, K.; Altshuler, D.; Gabriel, S.; Daly, M. The Genome Analysis Toolkit: A MapReduce framework for analyzing next-generation DNA sequencing data. Genome Res. 2010, 20, 1297–1303. [Google Scholar] [CrossRef] [PubMed]
- Danecek, P.; Auton, A.; Abecasis, G.; Albers, C.A.; Banks, E.; DePristo, M.A.; Handsaker, R.E.; Lunter, G.; Marth, G.T.; Sherry, S.T. The variant call format and VCFtools. Bioinformatics 2011, 27, 2156–2158. [Google Scholar] [CrossRef]
- Wang, J.; Zhang, Z. GAPIT version 3: Boosting power and accuracy for genomic association and prediction. Genom. Proteom. Bioinform. 2021, 19, 629–640. [Google Scholar] [CrossRef] [PubMed]
- Bradbury, P.J.; Zhang, Z.; Kroon, D.E.; Casstevens, T.M.; Ramdoss, Y.; Buckler, E.S. TASSEL: Software for association mapping of complex traits in diverse samples. Bioinformatics 2007, 23, 2633–2635. [Google Scholar] [CrossRef]
- Yu, J.; Pressoir, G.; Briggs, W.H.; Vroh Bi, I.; Yamasaki, M.; Doebley, J.F.; McMullen, M.D.; Gaut, B.S.; Nielsen, D.M.; Holland, J.B. A unified mixed-model method for association mapping that accounts for multiple levels of relatedness. Nat. Genet. 2006, 38, 203–208. [Google Scholar] [CrossRef] [PubMed]
- Yu, Z.; Chang, F.; Lv, W.; Sharmin, R.A.; Wang, Z.; Kong, J.; Bhat, J.A.; Zhao, T. Identification of QTN and candidate gene for seed-flooding tolerance in soybean [Glycine max (L.) Merr.] using genome-wide association study (GWAS). Genes 2019, 10, 957. [Google Scholar] [CrossRef] [PubMed]
- Kaler, A.S.; Purcell, L.C. Estimation of a significance threshold for genome-wide association studies. BMC Genom. 2019, 20, 618. [Google Scholar] [CrossRef]
- Brzyski, D.; Peterson, C.B.; Sobczyk, P.; Candès, E.J.; Bogdan, M.; Sabatti, C. Controlling the rate of GWAS false discoveries. Genetics 2017, 205, 61–75. [Google Scholar] [CrossRef] [PubMed]
- Chomczynski, P.; Sacchi, N. Single-step method of RNA isolation by acid guanidinium thiocyanate-phenol-chloroform extraction. Anal. Biochem. 1987, 162, 156–159. [Google Scholar] [CrossRef]
- Thulasi Devendrakumar, K.; Li, X.; Zhang, Y. MAP kinase signalling: Interplays between plant PAMP-and effector-triggered immunity. Cell. Mol. Life Sci. 2018, 75, 2981–2989. [Google Scholar] [CrossRef]
- Asai, T.; Tena, G.; Plotnikova, J.; Willmann, M.R.; Chiu, W.-L.; Gomez-Gomez, L.; Boller, T.; Ausubel, F.M.; Sheen, J. MAP kinase signalling cascade in Arabidopsis innate immunity. Nature 2002, 415, 977–983. [Google Scholar] [CrossRef]
- Hao, Q.; Yang, H.; Chen, S.; Qu, Y.; Zhang, C.; Chen, L.; Cao, D.; Yuan, S.; Guo, W.; Yang, Z. RNA-Seq and comparative transcriptomic analyses of Asian soybean rust resistant and susceptible soybean genotypes provide insights into identifying disease resistance genes. Int. J. Mol. Sci. 2023, 24, 13450. [Google Scholar] [CrossRef]
- Liu, Y.; Qin, L.; Han, L.; Xiang, Y.; Zhao, D. Overexpression of maize SDD1 (ZmSDD1) improves drought resistance in Zea mays L. by reducing stomatal density. Plant Cell Tissue Organ Cult. (PCTOC) 2015, 122, 147–159. [Google Scholar] [CrossRef]
- Morales-Navarro, S.; Pérez-Díaz, R.; Ortega, A.; De Marcos, A.; Mena, M.; Fenoll, C.; González-Villanueva, E.; Ruiz-Lara, S. Overexpression of a SDD1-like gene from wild tomato decreases stomatal density and enhances dehydration avoidance in Arabidopsis and cultivated tomato. Front. Plant Sci. 2018, 9, 940. [Google Scholar] [CrossRef] [PubMed]
- Aslam, M.M.; Waseem, M.; Zhang, Q.; Ke, W.; Zhang, J.; Xu, W. Identification of ABC transporter G subfamily in white lupin and functional characterization of L. albABGC29 in phosphorus use. BMC Genom. 2021, 22, 723. [Google Scholar] [CrossRef] [PubMed]
- Huang, J.; Li, X.; Chen, X.; Guo, Y.; Liang, W.; Wang, H. Genome-wide identification of soybean ABC transporters relate to aluminum toxicity. Int. J. Mol. Sci. 2021, 22, 6556. [Google Scholar] [CrossRef]
- Wang, Y.; Zhang, X.; Yan, Y.; Niu, T.; Zhang, M.; Fan, C.; Liang, W.; Shu, Y.; Guo, C.; Guo, D. GmABCG5, an ATP-binding cassette G transporter gene, is involved in the iron deficiency response in soybean. Front. Plant Sci. 2024, 14, 1289801. [Google Scholar] [CrossRef] [PubMed]
- Su, X.; Yan, X.; Chen, X.; Guo, M.; Xia, Y.; Cao, Y. Calcofluor white hypersensitive proteins contribute to stress tolerance and pathogenicity in entomopathogenic fungus, Metarhizium acridum. Pest Manag. Sci. 2021, 77, 1915–1924. [Google Scholar] [CrossRef]
- Chen, K.; Su, C.; Tang, W.; Zhou, Y.; Xu, Z.; Chen, J.; Li, H.; Chen, M.; Ma, Y. Nuclear transport factor GmNTF2B-1 enhances soybean drought tolerance by interacting with oxidoreductase GmOXR17 to reduce reactive oxygen species content. Plant J. 2021, 107, 740–759. [Google Scholar] [CrossRef]
- Collard, B.C.; Mackill, D.J. Marker-assisted selection: An approach for precision plant breeding in the twenty-first century. Philos. Trans. R. Soc. B Biol. Sci. 2008, 363, 557–572. [Google Scholar] [CrossRef]
- Kulkarni, K.P.; Appiah, R.K.; Reddy, U.K.; Melmaiee, K. Cleaved amplified polymorphic sequence markers in horticultural crops: Current status and future perspectives. Agronomy 2024, 14, 2598. [Google Scholar] [CrossRef]
- Park, J.-C.; Yoon, Y.-M.; Lee, C.-H.; Hur, O.-S.; Kim, S.-M. Development of cleaved amplified polymorphic sequence marker for powdery mildew resistance in Korean malting barley using QTL-seq. Front. Plant Sci. 2025, 16, 1596811. [Google Scholar] [CrossRef]
- Bongiorno, G.; Di Noia, A.; Ciancaleoni, S.; Marconi, G.; Cassibba, V.; Albertini, E. Development and application of a cleaved amplified polymorphic sequence marker (Phyto) linked to the Pc5. 1 locus conferring resistance to Phytophthora capsici in pepper (Capsicum annuum L.). Plants 2023, 12, 2757. [Google Scholar] [CrossRef]
- Wang, Y.; Han, J.; Meng, X.; Sun, M.; Qu, S.; Liu, Y.; Li, Y.; Zhan, Y.; Teng, W.; Li, H. Genome-Wide Association Study and Marker Development for Fusarium Oxysporum Root Rot Resistance in Soybean. Int. J. Mol. Sci. 2024, 25, 12573. [Google Scholar] [CrossRef]
- Jun, T.-H.; Mian, M.R.; Kang, S.-T.; Michel, A.P. Genetic mapping of the powdery mildew resistance gene in soybean PI 567301B. Theor. Appl. Genet. 2012, 125, 1159–1168. [Google Scholar] [CrossRef] [PubMed]
- Wilkes, J.E.; Fallen, B.; Saski, C.; Agudelo, P. Development of SNP molecular markers associated with resistance to reniform nematode in soybean using KASP genotyping. Euphytica 2023, 219, 27. [Google Scholar] [CrossRef]
- Jia, Q.; Hu, S.; Li, X.; Wei, L.; Wang, Q.; Zhang, W.; Zhang, H.; Liu, X.; Chen, X.; Wang, X. Identification of candidate genes and development of KASP markers for soybean shade-tolerance using GWAS. Front. Plant Sci. 2024, 15, 1479536. [Google Scholar] [CrossRef] [PubMed]
- Diaz, L.M.; Arredondo, V.; Ariza-Suarez, D.; Aparicio, J.; Buendia, H.F.; Cajiao, C.; Mosquera, G.; Beebe, S.E.; Mukankusi, C.M.; Raatz, B. Genetic analyses and genomic predictions of root rot resistance in common bean across trials and populations. Front. Plant Sci. 2021, 12, 629221. [Google Scholar] [CrossRef]
- Schneider, K.A.; Kelly, J.D. A greenhouse screening protocol for Fusarium root rot in bean. HortScience 2000, 35, 1095–1098. [Google Scholar] [CrossRef]






| Disease Rating | Symptom Description |
|---|---|
| 0 | No symptoms |
| 1 | Slight discoloration observed on the primary root, with healthy growth of lateral roots. |
| 3 | Dark brown lesions appeared on either the primary or lateral roots, accompanied by mild inhibition of plant growth. |
| 5 | The primary root fully browned, distinct brown lesions on lateral roots, notable restriction in aboveground growth |
| 7 | The primary root was broken, lateral roots turned black, and the plant either died or failed to germinate. |
| SNP | Candidate Genes | Region | Alleles | Mean DSI ± SE | ΔDSI |
|---|---|---|---|---|---|
| S3_38086892 | Glyma.03G166300 | Upstream | A (REF) | 34.55 ± 1.39 | |
| G (ALT) | 27.73 ± 0.64 | 6.82 | |||
| S3_38198254 | Glyma.03G167600 | Upstream | A (REF) | 27.31 ± 0.63 | |
| G (ALT) | 35.00 ± 1.33 | −7.69 | |||
| S3_38247290 | Glyma.03G168100 | Exon | A (REF) | 35.28 ± 1.70 | |
| G (ALT) | 28.22 ± 0.63 | 7.06 | |||
| S13_32584347 | Glyma.13G212100 | Upstream | G (REF) | 30.05 ± 0.65 | |
| T (ALT) | 25.08 ± 1.60 | 4.97 | |||
| S13_32595026 | Glyma.13G212300 | Upstream | C (REF) | 30.89 ± 0.75 | |
| T (ALT) | 25.42 ± 0.89 | 5.47 | |||
| S13_32624653 | Glyma.13G212700 | Upstream | C (REF) | 29.77 ± 0.66 | |
| A (ALT) | 26.15 ± 1.49 | 3.62 |
Disclaimer/Publisher’s Note: The statements, opinions and data contained in all publications are solely those of the individual author(s) and contributor(s) and not of MDPI and/or the editor(s). MDPI and/or the editor(s) disclaim responsibility for any injury to people or property resulting from any ideas, methods, instructions or products referred to in the content. |
© 2025 by the authors. Licensee MDPI, Basel, Switzerland. This article is an open access article distributed under the terms and conditions of the Creative Commons Attribution (CC BY) license (https://creativecommons.org/licenses/by/4.0/).
Share and Cite
Wang, Y.; Meng, X.; Han, J.; Fu, Z.; Xu, J.; Zhu, H.; Li, H.; Zhan, Y.; Teng, W.; Li, Y.; et al. Identification of Resistance Loci and Functional Markers for Rhizoctonia solani Root Rot in Soybean via GWAS. Agronomy 2025, 15, 2144. https://doi.org/10.3390/agronomy15092144
Wang Y, Meng X, Han J, Fu Z, Xu J, Zhu H, Li H, Zhan Y, Teng W, Li Y, et al. Identification of Resistance Loci and Functional Markers for Rhizoctonia solani Root Rot in Soybean via GWAS. Agronomy. 2025; 15(9):2144. https://doi.org/10.3390/agronomy15092144
Chicago/Turabian StyleWang, Yuhe, Xiangkun Meng, Jinfeng Han, Zhongqiu Fu, Junrong Xu, Hongjin Zhu, Haiyan Li, Yuhang Zhan, Weili Teng, Yongguang Li, and et al. 2025. "Identification of Resistance Loci and Functional Markers for Rhizoctonia solani Root Rot in Soybean via GWAS" Agronomy 15, no. 9: 2144. https://doi.org/10.3390/agronomy15092144
APA StyleWang, Y., Meng, X., Han, J., Fu, Z., Xu, J., Zhu, H., Li, H., Zhan, Y., Teng, W., Li, Y., & Zhao, X. (2025). Identification of Resistance Loci and Functional Markers for Rhizoctonia solani Root Rot in Soybean via GWAS. Agronomy, 15(9), 2144. https://doi.org/10.3390/agronomy15092144

