Fifty Shades of PSMA-Avid Rib Lesions: A Comprehensive Review
Simple Summary
Abstract
1. Introduction
2. Materials and Methods
3. Biology and Clinical Translation of PSMA-Avid Rib Lesions in Prostate Cancer
3.1. Etiology and Pathophysiology of PSMA-Avid Rib Lesions
3.2. Therapeutic Targeting and Biomarkers for PSMA-Avid Rib Lesions
4. Rib Involvement in Prostate Cancer
5. Diagnostic Modalities of Rib Involvement in Prostate Cancer
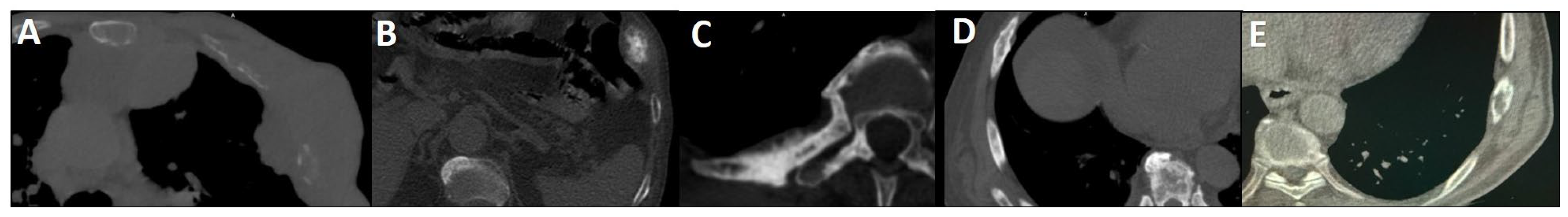
5.1. CT Scan: Structural Assessment with Limitations
5.2. Bone Scintigraphy: High Sensitivity but Lack of Specificity
5.3. Multiparametric MRI: High Sensitivity with Diagnostic Challenges
5.4. Ultrasonography: Complementary Characterization of Rib Metastases
5.5. PSMA PET/CT: Superior Accuracy but Not Perfect
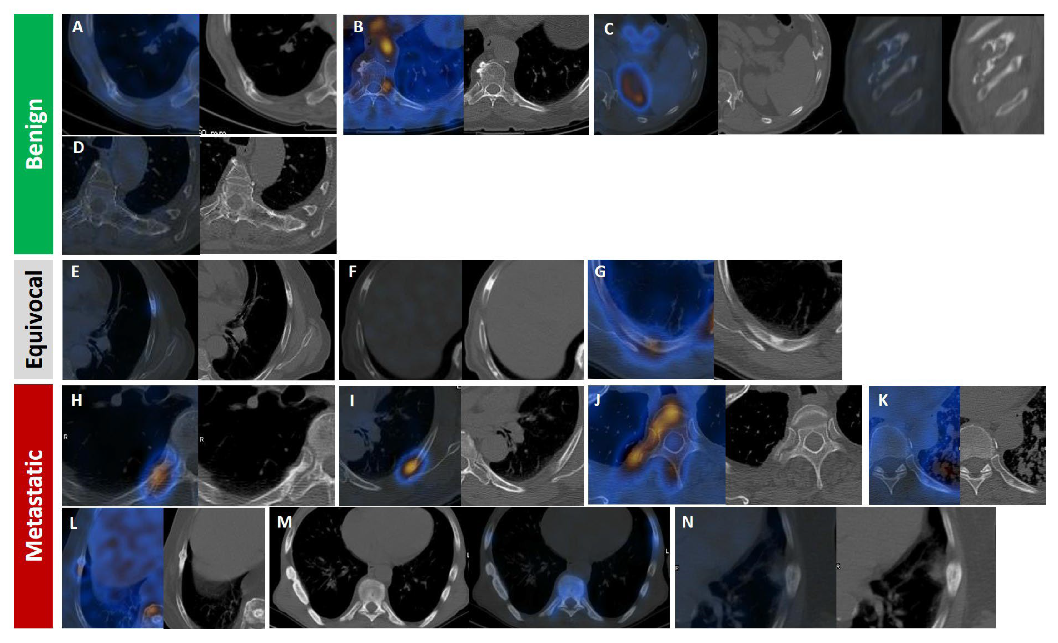
6. Pitfalls in UBU Diagnosis
6.1. High Incidence of UBUs and False Positives
6.2. Equivocal Lesions and Lack of CT Correlates
6.3. False Negatives Due to Heterogeneous PSMA Expression
6.4. Conflicting Results Among Different Studies
7. Approaching Rib Involvement in Prostate Cancer
7.1. Clinical Perspective
7.2. A Radiology Perspective
7.2.1. Radiotracer Uptake Intensity
7.2.2. Number of Lesions
7.2.3. Location
7.2.4. CT Morphology or Bone Scan
7.2.5. Patient-Specific Factors
7.2.6. Changes over Time
7.2.7. Tracer Type
7.3. Diagnostic Decision Tree for PSMA-Avid Rib Lesions
8. Conclusions
Supplementary Materials
Author Contributions
Funding
Institutional Review Board Statement
Informed Consent Statement
Data Availability Statement
Conflicts of Interest
References
- Desai, M.M.; Cacciamani, G.E.; Gill, K.; Zhang, J.; Liu, L.; Abreu, A.; Gill, I.S. Trends in Incidence of Metastatic Prostate Cancer in the US. JAMA Netw. Open 2022, 5, e222246. [Google Scholar] [CrossRef]
- Fukuokaya, W.; Mori, K.; Yanagisawa, T.; Urabe, F.; Rajwa, P.; Briganti, A.; Shariat, S.F.; Matsubara, N.; Kimura, T.; Hirakawa, A. Tumor burden and heterogenous treatment effect of apalutamide in metastatic castration-sensitive prostate cancer. Cancer 2025, 131, e35819. [Google Scholar] [CrossRef] [PubMed]
- Wong, S.K.; Mohamad, N.V.; Giaze, T.R.; Chin, K.Y.; Mohamed, N.; Ima-Nirwana, S. Prostate Cancer and Bone Metastases: The Underlying Mechanisms. Int. J. Mol. Sci. 2019, 20, 2587. [Google Scholar] [CrossRef] [PubMed]
- Huang, R.; Li, J.; Zhu, J.; Deng, W.; Wang, Z.; Xiang, S. System Analysis Identifies MYBL2 As a Novel Oncogene Target for Metastatic Prostate Cancer. J. Cancer 2025, 16, 1768–1781. [Google Scholar] [CrossRef] [PubMed]
- Barbosa, F.G.; Queiroz, M.A.; Nunes, R.F.; Viana, P.C.C.; Marin, J.F.G.; Cerri, G.G.; Buchpiguel, C.A. Revisiting Prostate Cancer Recurrence with PSMA PET: Atlas of Typical and Atypical Patterns of Spread. Radiographics 2019, 39, 186–212. [Google Scholar] [CrossRef]
- Perera, M.; Papa, N.; Roberts, M.; Williams, M.; Udovicich, C.; Vela, I.; Christidis, D.; Bolton, D.; Hofman, M.S.; Lawrentschuk, N.; et al. Gallium-68 Prostate-specific Membrane Antigen Positron Emission Tomography in Advanced Prostate Cancer-Updated Diagnostic Utility, Sensitivity, Specificity, and Distribution of Prostate-specific Membrane Antigen-avid Lesions: A Systematic Review and Meta-analysis. Eur. Urol. 2020, 77, 403–417. [Google Scholar] [CrossRef]
- Stoffels, M.; Cousin, F.; Lamande, M.; Denis, C.; Waltregny, D.; Hustinx, R.; Sautois, B.; Withofs, N. Characterization of exclusive rib lesions detected by [68Ga]Ga-PSMA-11 PET/CT. Nucl. Med. Commun. 2025, 46, 95–105. [Google Scholar] [CrossRef]
- Rizzo, A.; Morbelli, S.; Albano, D.; Fornarini, G.; Cioffi, M.; Laudicella, R.; Dondi, F.; Grimaldi, S.; Bertagna, F.; Racca, M.; et al. The Homunculus of unspecific bone uptakes associated with PSMA-targeted tracers: A systematic review-based definition. Eur. J. Nucl. Med. Mol. Imaging 2024, 51, 3753–3764. [Google Scholar] [CrossRef]
- Sheikhbahaei, S.; Afshar-Oromieh, A.; Eiber, M.; Solnes, L.B.; Javadi, M.S.; Ross, A.E.; Pienta, K.J.; Allaf, M.E.; Haberkorn, U.; Pomper, M.G. Pearls and pitfalls in clinical interpretation of prostate-specific membrane antigen (PSMA)-targeted PET imaging. Eur. J. Nucl. Med. Mol. Imaging 2017, 44, 2117–2136. [Google Scholar] [CrossRef]
- Muselaers, S.; Erdem, S.; Bertolo, R.; Ingels, A.; Kara, Ö.; Pavan, N.; Roussel, E.; Pecoraro, A.; Marchioni, M.; Carbonara, U. PSMA PET/CT in renal cell carcinoma: An overview of current literature. J. Clin. Med. 2022, 11, 1829. [Google Scholar] [CrossRef]
- Vollnberg, B.; Alberts, I.; Genitsch, V.; Rominger, A.; Afshar-Oromieh, A. Assessment of malignancy and PSMA expression of uncertain bone foci in [18F]PSMA-1007 PET/CT for prostate cancer-a single-centre experience of PET-guided biopsies. Eur. J. Nucl. Med. Mol. Imaging 2022, 49, 3910–3916. [Google Scholar] [CrossRef] [PubMed]
- Grünig, H.; Maurer, A.; Thali, Y.; Kovacs, Z.; Strobel, K.; Burger, I.A.; Müller, J. Focal unspecific bone uptake on [18F]-PSMA-1007 PET: A multicenter retrospective evaluation of the distribution, frequency, and quantitative parameters of a potential pitfall in prostate cancer imaging. Eur. J. Nucl. Med. Mol. Imaging 2021, 48, 4483–4494. [Google Scholar] [CrossRef] [PubMed]
- Arnfield, E.G.; Thomas, P.A.; Roberts, M.J.; Pelecanos, A.M.; Ramsay, S.C.; Lin, C.Y.; Latter, M.J.; Garcia, P.L.; Pattison, D.A. Clinical insignificance of [18F] PSMA-1007 avid non-specific bone lesions: A retrospective evaluation. Eur. J. Nucl. Med. Mol. Imaging 2021, 48, 4495–4507. [Google Scholar] [CrossRef] [PubMed]
- Ninatti, G.; Pini, C.; Gelardi, F.; Ghezzo, S.; Mapelli, P.; Picchio, M.; Antunovic, L.; Briganti, A.; Montorsi, F.; Landoni, C.; et al. The potential role of osteoporosis in unspecific [18F]PSMA-1007 bone uptake. Eur. J. Nucl. Med. Mol. Imaging 2023, 51, 304–311. [Google Scholar] [CrossRef]
- Kyriakopoulos, C.E.; Chen, Y.H.; Carducci, M.A.; Liu, G.; Jarrard, D.F.; Hahn, N.M.; Shevrin, D.H.; Dreicer, R.; Hussain, M.; Eisenberger, M.; et al. Chemohormonal Therapy in Metastatic Hormone-Sensitive Prostate Cancer: Long-Term Survival Analysis of the Randomized Phase III E3805 CHAARTED Trial. J. Clin. Oncol. 2018, 36, 1080–1087. [Google Scholar] [CrossRef]
- Tosoian, J.J.; Gorin, M.A.; Ross, A.E.; Pienta, K.J.; Tran, P.T.; Schaeffer, E.M. Oligometastatic prostate cancer: Definitions, clinical outcomes, and treatment considerations. Nat. Rev. Urol. 2017, 14, 15–25. [Google Scholar] [CrossRef]
- Woo, S.; Becker, A.S.; Leithner, D.; Charbel, C.; Mayerhoefer, M.E.; Friedman, K.P.; Tong, A.; Murina, S.; Siskin, M.; Taneja, S.S.; et al. PSMA-avid rib lesions in prostate cancer patients: Differentiating false positives from metastatic disease. Eur. Radiol. 2025, 35, 5337–5347. [Google Scholar] [CrossRef]
- Eiber, M.; Herrmann, K.; Calais, J.; Hadaschik, B.; Giesel, F.L.; Hartenbach, M.; Hope, T.; Reiter, R.; Maurer, T.; Weber, W.A.; et al. Prostate Cancer Molecular Imaging Standardized Evaluation (PROMISE): Proposed miTNM Classification for the Interpretation of PSMA-Ligand PET/CT. J. Nucl. Med. 2018, 59, 469–478. [Google Scholar] [CrossRef]
- Brenner, J.C.; Ateeq, B.; Li, Y.; Yocum, A.K.; Cao, Q.; Asangani, I.A.; Patel, S.; Wang, X.; Liang, H.; Yu, J.; et al. Mechanistic rationale for inhibition of poly(ADP-ribose) polymerase in ETS gene fusion-positive prostate cancer. Cancer Cell 2011, 19, 664–678. [Google Scholar] [CrossRef]
- Peinado, H.; Zhang, H.; Matei, I.R.; Costa-Silva, B.; Hoshino, A.; Rodrigues, G.; Psaila, B.; Kaplan, R.N.; Bromberg, J.F.; Kang, Y.; et al. Pre-metastatic niches: Organ-specific homes for metastases. Nat. Rev. Cancer 2017, 17, 302–317. [Google Scholar] [CrossRef]
- Smith, M.R.; Saad, F.; Oudard, S.; Shore, N.; Fizazi, K.; Sieber, P.; Tombal, B.; Damiao, R.; Marx, G.; Miller, K.; et al. Denosumab and bone metastasis-free survival in men with nonmetastatic castration-resistant prostate cancer: Exploratory analyses by baseline prostate-specific antigen doubling time. J. Clin. Oncol. 2013, 31, 3800–3806. [Google Scholar] [CrossRef]
- Zhang, X. Interactions between cancer cells and bone microenvironment promote bone metastasis in prostate cancer. Cancer Commun. 2019, 39, 76. [Google Scholar] [CrossRef] [PubMed]
- Keller, E.T.; Brown, J. Prostate cancer bone metastases promote both osteolytic and osteoblastic activity. J. Cell. Biochem. 2004, 91, 718–729. [Google Scholar] [CrossRef] [PubMed]
- Gillessen, S.; Armstrong, A.; Attard, G.; Beer, T.M.; Beltran, H.; Bjartell, A.; Bossi, A.; Briganti, A.; Bristow, R.G.; Bulbul, M.; et al. Management of Patients with Advanced Prostate Cancer: Report from the Advanced Prostate Cancer Consensus Conference 2021. Eur. Urol. 2022, 82, 115–141. [Google Scholar] [CrossRef] [PubMed]
- Baron, R.; Kneissel, M. WNT signaling in bone homeostasis and disease: From human mutations to treatments. Nat. Med. 2013, 19, 179–192. [Google Scholar] [CrossRef]
- Yadav, M.P.; Ballal, S.; Bal, C.; Sahoo, R.K.; Damle, N.A.; Tripathi, M.; Seth, A. Efficacy and Safety of 177Lu-PSMA-617 Radioligand Therapy in Metastatic Castration-Resistant Prostate Cancer Patients. Clin. Nucl. Med. 2020, 45, 19–31. [Google Scholar] [CrossRef]
- Hofman, M.S.; Violet, J.; Hicks, R.J.; Ferdinandus, J.; Thang, S.P.; Akhurst, T.; Iravani, A.; Kong, G.; Ravi Kumar, A.; Murphy, D.G.; et al. [177Lu]-PSMA-617 radionuclide treatment in patients with metastatic castration-resistant prostate cancer (LuPSMA trial): A single-centre, single-arm, phase 2 study. Lancet Oncol. 2018, 19, 825–833. [Google Scholar] [CrossRef]
- Herbertz, S.; Sawyer, J.S.; Stauber, A.J.; Gueorguieva, I.; Driscoll, K.E.; Estrem, S.T.; Cleverly, A.L.; Desaiah, D.; Guba, S.C.; Benhadji, K.A.; et al. Clinical development of galunisertib (LY2157299 monohydrate), a small molecule inhibitor of transforming growth factor-beta signaling pathway. Drug Des. Dev. Ther. 2015, 9, 4479–4499. [Google Scholar] [CrossRef]
- Yu, Y.; Li, K.; Peng, Y.; Wu, W.; Chen, F.; Shao, Z.; Zhang, Z. Animal models of cancer metastasis to the bone. Front. Oncol. 2023, 13, 1165380. [Google Scholar] [CrossRef]
- Fizazi, K.; Carducci, M.; Smith, M.; Damião, R.; Brown, J.; Karsh, L.; Milecki, P.; Shore, N.; Rader, M.; Wang, H.; et al. Denosumab versus zoledronic acid for treatment of bone metastases in men with castration-resistant prostate cancer: A randomised, double-blind study. Lancet 2011, 377, 813–822. [Google Scholar] [CrossRef]
- Sartor, O.; de Bono, J.; Chi, K.N.; Fizazi, K.; Herrmann, K.; Rahbar, K.; Tagawa, S.T.; Nordquist, L.T.; Vaishampayan, N.; El-Haddad, G.; et al. Lutetium-177-PSMA-617 for Metastatic Castration-Resistant Prostate Cancer. N. Engl. J. Med. 2021, 385, 1091–1103. [Google Scholar] [CrossRef]
- Morris, M.J.; Castellano, D.; Herrmann, K.; de Bono, J.S.; Shore, N.D.; Chi, K.N.; Crosby, M.; Piulats, J.M.; Fléchon, A.; Wei, X.X.; et al. 177Lu-PSMA-617 versus a change of androgen receptor pathway inhibitor therapy for taxane-naive patients with progressive metastatic castration-resistant prostate cancer (PSMAfore): A phase 3, randomised, controlled trial. Lancet 2024, 404, 1227–1239. [Google Scholar] [CrossRef] [PubMed]
- Rodon, J.; Carducci, M.A.; Sepulveda-Sánchez, J.M.; Azaro, A.; Calvo, E.; Seoane, J.; Braña, I.; Sicart, E.; Gueorguieva, I.; Cleverly, A.L.; et al. First-in-human dose study of the novel transforming growth factor-β receptor I kinase inhibitor LY2157299 monohydrate in patients with advanced cancer and glioma. Clin. Cancer Res. 2015, 21, 553–560. [Google Scholar] [CrossRef] [PubMed]
- Morris, J.C.; Tan, A.R.; Olencki, T.E.; Shapiro, G.I.; Dezube, B.J.; Reiss, M.; Hsu, F.J.; Berzofsky, J.A.; Lawrence, D.P. Phase I study of GC1008 (fresolimumab): A human anti-transforming growth factor-beta (TGFβ) monoclonal antibody in patients with advanced malignant melanoma or renal cell carcinoma. PLoS ONE 2014, 9, e90353. [Google Scholar] [CrossRef]
- Hofman, M.S.; Emmett, L.; Sandhu, S.; Iravani, A.; Joshua, A.M.; Goh, J.C.; Pattison, D.A.; Tan, T.H.; Kirkwood, I.D.; Ng, S.; et al. [177Lu]Lu-PSMA-617 versus cabazitaxel in patients with metastatic castration-resistant prostate cancer (TheraP): A randomised, open-label, phase 2 trial. Lancet 2021, 397, 797–804. [Google Scholar] [CrossRef]
- Antonarakis, E.S.; Lu, C.; Wang, H.; Luber, B.; Nakazawa, M.; Roeser, J.C.; Chen, Y.; Mohammad, T.A.; Chen, Y.; Fedor, H.L.; et al. AR-V7 and resistance to enzalutamide and abiraterone in prostate cancer. N. Engl. J. Med. 2014, 371, 1028–1038. [Google Scholar] [CrossRef]
- Scher, H.I.; Lu, D.; Schreiber, N.A.; Louw, J.; Graf, R.P.; Vargas, H.A.; Johnson, A.; Jendrisak, A.; Bambury, R.; Danila, D.; et al. Association of AR-V7 on Circulating Tumor Cells as a Treatment-Specific Biomarker with Outcomes and Survival in Castration-Resistant Prostate Cancer. JAMA Oncol. 2016, 2, 1441–1449. [Google Scholar] [CrossRef]
- Zhang, Y.E. Non-Smad pathways in TGF-beta signaling. Cell Res. 2009, 19, 128–139. [Google Scholar] [CrossRef]
- Bubendorf, L.; Schöpfer, A.; Wagner, U.; Sauter, G.; Moch, H.; Willi, N.; Gasser, T.C.; Mihatsch, M.J. Metastatic patterns of prostate cancer: An autopsy study of 1589 patients. Hum. Pathol. 2000, 31, 578–583. [Google Scholar] [CrossRef]
- Chen, M.Y.; Franklin, A.; Yaxley, J.; Gianduzzo, T.; McBean, R.; Wong, D.; Tatkovic, A.; McEwan, L.; Walters, J.; Kua, B. Solitary rib lesions showing prostate-specific membrane antigen (PSMA) uptake in pre-treatment staging 68Ga-PSMA-11 positron emission tomography scans for men with prostate cancer: Benign or malignant? BJU Int. 2020, 126, 396–401. [Google Scholar] [CrossRef]
- Halabi, S.; Kelly, W.K.; Ma, H.; Zhou, H.; Solomon, N.C.; Fizazi, K.; Tangen, C.M.; Rosenthal, M.; Petrylak, D.P.; Hussain, M.; et al. Meta-Analysis Evaluating the Impact of Site of Metastasis on Overall Survival in Men with Castration-Resistant Prostate Cancer. J. Clin. Oncol. 2016, 34, 1652–1659. [Google Scholar] [CrossRef]
- Zacho, H.D.; Nielsen, J.B.; Afshar-Oromieh, A.; Haberkorn, U.; de Souza, N.; De Paepe, K.; Dettmann, K.; Langkilde, N.C.; Haarmark, C.; Fisker, R.V.; et al. Prospective comparison of 68Ga-PSMA PET/CT, 18F-sodium fluoride PET/CT and diffusion weighted-MRI at for the detection of bone metastases in biochemically recurrent prostate cancer. Eur. J. Nucl. Med. Mol. Imaging 2018, 45, 1884–1897. [Google Scholar] [CrossRef] [PubMed]
- Fendler, W.P.; Weber, M.; Iravani, A.; Hofman, M.S.; Calais, J.; Czernin, J.; Ilhan, H.; Saad, F.; Small, E.J.; Smith, M.R.; et al. Prostate-Specific Membrane Antigen Ligand Positron Emission Tomography in Men with Nonmetastatic Castration-Resistant Prostate Cancer. Clin. Cancer Res. 2019, 25, 7448–7454. [Google Scholar] [CrossRef] [PubMed]
- Mottet, N.; van den Bergh, R.C.N.; Briers, E.; Van den Broeck, T.; Cumberbatch, M.G.; De Santis, M.; Fanti, S.; Fossati, N.; Gandaglia, G.; Gillessen, S.; et al. EAU-EANM-ESTRO-ESUR-SIOG Guidelines on Prostate Cancer-2020 Update. Part 1: Screening, Diagnosis, and Local Treatment with Curative Intent. Eur. Urol. 2021, 79, 243–262. [Google Scholar] [CrossRef] [PubMed]
- Woo, S.; Freedman, D.; Becker, A.; Leithner, D.; Mayerhoefer, M.; Friedman, K.; Vargas, H.; Arita, Y.; Han, S.; Burger, I.; et al. Equivocal bone lesions on PSMA PET/CT: Systematic review and meta-analysis on their prevalence and malignancy rate. Clin. Transl. Imaging 2024, 12, 485–500. [Google Scholar] [CrossRef]
- Kaewput, C.; Vinjamuri, S. Update of PSMA theranostics in prostate cancer: Current applications and future trends. J. Clin. Med. 2022, 11, 2738. [Google Scholar] [CrossRef]
- Trent, S.M.; Krumme, J.W.; Henshaw, R.M. Metastatic prostate carcinoma: A rare presentation initially misdiagnosed as a rib fracture. Radiol. Case Rep. 2020, 15, 1795–1798. [Google Scholar] [CrossRef]
- Kishore, T.; Shetty, A.; Tharun, B.; Joycee, M. A rare case of prostatic malignancy. Indian J. Med. Sci. 2012, 66, 189. [Google Scholar] [CrossRef]
- Chen, J.; Qi, L.; Tang, Y.; Tang, G.; Gan, Y.; Cai, Y. Current role of prostate-specific membrane antigen-based imaging and radioligand therapy in castration-resistant prostate cancer. Front. Cell Dev. Biol. 2022, 10, 958180. [Google Scholar] [CrossRef]
- Elkanawaty, M.; Farouk, H.; Abdel Kawi, M. Added Value of 68Gallium-PSMA PET/CT Over Contrast Enhanced CT in Prostate Cancer Patients. Benha Med. J. 2021, 38, 548–558. [Google Scholar] [CrossRef]
- Mena, E.; Lindenberg, L.M.; Choyke, P.L. New targets for PET molecular imaging of prostate cancer. Semin. Nucl. Med. 2019, 49, 326–336. [Google Scholar] [CrossRef]
- Li, B.; Duan, L.; Shi, J.; Han, Y.; Wei, W.; Cheng, X.; Cao, Y.; Kader, A.; Ding, D.; Wu, X. Diagnostic performance of 99mTc-HYNIC-PSMA SPECT/CT for biochemically recurrent prostate cancer after radical prostatectomy. Front. Oncol. 2022, 12, 1072437. [Google Scholar] [CrossRef]
- Masselli, G.; Sollaku, S.; De Angelis, C.; Polettini, E.; Gualdi, G.; Casciani, E. 68Ga-PSMA PET/CT in Recurrent Prostate Cancer after Radical Prostatectomy Using PSMA-RADS Version 2.0. Diagnostics 2024, 14, 1291. [Google Scholar] [CrossRef] [PubMed]
- Liu, T.; Liu, C.; Xu, X.; Liu, F.; Guo, X.; Li, N.; Wang, X.; Yang, J.; Yang, X.; Zhu, H. Preclinical evaluation and pilot clinical study of Al18F-PSMA-BCH for prostate cancer PET imaging. J. Nucl. Med. 2019, 60, 1284–1292. [Google Scholar] [CrossRef] [PubMed]
- Lütje, S.; Gomez, B.; Cohnen, J.; Umutlu, L.; Gotthardt, M.; Poeppel, T.D.; Bockisch, A.; Rosenbaum-Krumme, S. Imaging of prostate-specific membrane antigen expression in metastatic differentiated thyroid cancer using 68Ga-HBED-CC-PSMA PET/CT. Clin. Nucl. Med. 2017, 42, 20–25. [Google Scholar] [CrossRef] [PubMed]
- Dondi, F.; Albano, D.; Cerudelli, E.; Gazzilli, M.; Giubbini, R.; Treglia, G.; Bertagna, F. Radiolabelled PSMA PET/CT or PET/MRI in hepatocellular carcinoma (HCC): A systematic review. Clin. Transl. Imaging 2020, 8, 461–467. [Google Scholar] [CrossRef]
- Simsek, D.H.; Sanli, Y.; Kuyumcu, S.; Engin, M.N.; Buyukkaya, F.; Demirci, E. Clinical impact of lower-limb imaging in 68Ga-PSMA PET/CT for patients with prostate cancer. J. Nucl. Med. Technol. 2019, 47, 233–237. [Google Scholar] [CrossRef]
- Muzahir, S.; Grady, E.E.; Lee, S.J. Molecular Targeted Radionuclide Therapy for Prostate Cancer. In Molecular Imaging and Therapy; Exon Publications: Brisbane, Australia, 2023; pp. 171–185. [Google Scholar]
- Jafari, E.; Dadgar, H.; Zarei, A.; Samimi, R.; Manafi-Farid, R.; Divband, G.; Nikkholgh, B.; Fallahi, B.; Amini, H.; Ahmadzadehfar, H. Correction: The role of [68Ga] Ga-PSMA PET/CT in primary staging of newly diagnosed prostate cancer: Predictive value of PET-derived parameters for risk stratification through machine learning. Clin. Transl. Imaging 2025, 13, 93. [Google Scholar] [CrossRef]
- Herrmann, K.; Bluemel, C.; Weineisen, M.; Schottelius, M.; Wester, H.-J.; Czernin, J.; Eberlein, U.; Beykan, S.; Lapa, C.; Riedmiller, H. Biodistribution and radiation dosimetry for a probe targeting prostate-specific membrane antigen for imaging and therapy. J. Nucl. Med. 2015, 56, 855–861. [Google Scholar] [CrossRef]
- Seniaray, N.; Verma, R.; Khanna, S.; Belho, E.; Pruthi, A.; Mahajan, H. Localization and restaging of carcinoma prostate by 68Gallium prostate-specific membrane antigen positron emission tomography computed tomography in patients with biochemical recurrence. Indian J. Urol. 2020, 36, 191–199. [Google Scholar] [CrossRef]
- Wondergem, M.; Van Der Zant, F.; Broos, W.; Roeleveld, T.; Donker, R.; Ten Oever, D.; Geenen, R.; Knol, R. 18F-DCFPyL PET/CT for primary staging in 160 high-risk prostate cancer patients; metastasis detection rate, influence on clinical management and preliminary results of treatment efficacy. Eur. J. Nucl. Med. Mol. Imaging 2021, 48, 521–531. [Google Scholar] [CrossRef]
- Raju, S.; Sharma, A.; Patel, C.; Sahoo, R.; Das, C.J.; Kumar, S.; Sharma, A.; Kumar, R. Is there a utility of adding skeletal imaging to 68-Ga-prostate-specific membrane antigen-PET/computed tomography in initial staging of patients with high-risk prostate cancer? Nucl. Med. Commun. 2020, 41, 1183–1188. [Google Scholar] [CrossRef]
- Stasiak, C.E.S.; Cardillo, A.; Almeida, S.A.d.; Rodrigues, R.S.; Castro, P.H.R.d.; Parente, D.B. Preoperative evaluation of prostate cancer by 68Ga-PMSA positron emission tomography/computed tomography: Comparison with magnetic resonance imaging and with histopathological findings. Radiol. Bras. 2023, 56, 171–178. [Google Scholar] [CrossRef]
- Kooraki, S.; Jadvar, H. Correlative Approach to Prostate Imaging. In Radiology-Nuclear Medicine Diagnostic Imaging: A Correlative Approach; Wiley: Hoboken, NJ, USA, 2023; pp. 533–553. [Google Scholar]
- Rowe, S.P.; Gorin, M.A.; Pomper, M.G. Imaging of prostate-specific membrane antigen using [18F]DCFPyL. PET Clin. 2017, 12, 289–296. [Google Scholar] [CrossRef] [PubMed]
- Talbot, J.-N.; Aveline, C.; Zhang-Yin, J.; Nataf, V.; Rusu, T.; Balogova, S.; Gauthé, M.; Montravers, F. Imagerie du cancer de la prostate oligométastatique, le point de vue du médecin nucléaire. Médecine Nucléaire 2019, 43, 227–235. [Google Scholar] [CrossRef]
- Vetrone, L.; Fortunati, E.; Castellucci, P.; Fanti, S. Future imaging of prostate cancer: Do we need more than PSMA PET/CT? Semin. Nucl. Med. 2024, 54, 150–162. [Google Scholar] [CrossRef] [PubMed]
- Mena, E.; Lindenberg, M.L.; Turkbey, I.B.; Shih, J.H.; Harmon, S.A.; Lim, I.; Lin, F.; Adler, S.; Eclarinal, P.; McKinney, Y.L. 18F-DCFPyL PET/CT imaging in patients with biochemically recurrent prostate cancer after primary local therapy. J. Nucl. Med. 2020, 61, 881–889. [Google Scholar] [CrossRef]
- Baum, R.P.; Singh, A.; Benešová, M.; Vermeulen, C.; Gnesin, S.; Köster, U.; Johnston, K.; Müller, D.; Senftleben, S.; Kulkarni, H.R. Clinical evaluation of the radiolanthanide terbium-152: First-in-human PET/CT with 152Tb-DOTATOC. Dalton Trans. 2017, 46, 14638–14646. [Google Scholar] [CrossRef]
- Witkowska-Patena, E.; Giżewska, A.; Dziuk, M.; Miśko, J.; Budzyńska, A.; Walęcka-Mazur, A. Head-to-head comparison of 18F-prostate-specific membrane antigen-1007 and 18F-fluorocholine PET/CT in biochemically relapsed prostate cancer. Clin. Nucl. Med. 2019, 44, e629–e633. [Google Scholar] [CrossRef]
- Belue, M.J.; Harmon, S.A.; Yang, D.; An, J.Y.; Gaur, S.; Law, Y.M.; Turkbey, E.; Xu, Z.; Tetreault, J.; Lay, N.S. Deep Learning-Based Detection and Classification of Bone Lesions on Staging Computed Tomography in Prostate Cancer: A Development Study. Acad. Radiol. 2024, 31, 2424–2433. [Google Scholar] [CrossRef]
- Rowe, S.P.; Li, X.; Trock, B.J.; Werner, R.A.; Frey, S.; DiGianvittorio, M.; Bleiler, J.K.; Reyes, D.K.; Abdallah, R.; Pienta, K.J. Prospective comparison of PET imaging with PSMA-targeted 18F-DCFPyL versus Na18F for bone lesion detection in patients with metastatic prostate cancer. J. Nucl. Med. 2020, 61, 183–188. [Google Scholar] [CrossRef]
- Smith, C.P.; Laucis, A.; Harmon, S.; Mena, E.; Lindenberg, L.; Choyke, P.L.; Turkbey, B. Novel imaging in detection of metastatic prostate cancer. Curr. Oncol. Rep. 2019, 21, 31. [Google Scholar] [CrossRef] [PubMed]
- Lucas Lucas, C.; García Zoghby, L.; Amo-Salas, M.; Soriano Castrejón, Á.M.; García Vicente, A.M. Diagnostic and therapeutic impact of PET/CT with 18F-DCFPyL versus 18F-Fluorocholine in initial staging of intermediate-/high-risk prostate cancer: A pilot study. Ann. Nucl. Med. 2023, 37, 551–560. [Google Scholar] [CrossRef] [PubMed]
- Dolgushin, M.; Meshcheryakova, N.; Odzharova, A.; Matveev, V.; Nevzorov, D.; Platonova, O.; Kochergin, P. 18F-PSMA-1007 Positron Emission Tomography/Computed Tomography In The Diagnosis Of Recurrent Prostate Cancer: Clinical Observation. Cancer Urol. 2018, 14, 134–138. [Google Scholar] [CrossRef]
- Zhao, B.; Dong, A.; Zuo, C. Prostate-Specific Membrane Antigen–Avid Bone Metastases from Urothelial Carcinoma of the Bladder. Clin. Nucl. Med. 2022, 47, 892–894. [Google Scholar] [CrossRef]
- Grawe, F.; Blom, F.; Winkelmann, M.; Burgard, C.; Schmid-Tannwald, C.; Unterrainer, L.M.; Sheikh, G.T.; Pfitzinger, P.L.; Kazmierczak, P.; Cyran, C.C. Reliability and practicability of PSMA-RADS 1.0 for structured reporting of PSMA-PET/CT scans in prostate cancer patients. Eur. Radiol. 2024, 34, 1157–1166. [Google Scholar] [CrossRef]
- Werner, R.A.; Bundschuh, R.A.; Bundschuh, L.; Javadi, M.S.; Leal, J.P.; Higuchi, T.; Pienta, K.J.; Buck, A.K.; Pomper, M.G.; Gorin, M.A. Interobserver agreement for the standardized reporting system PSMA-RADS 1.0 on 18F-DCFPyL PET/CT imaging. J. Nucl. Med. 2018, 59, 1857–1864. [Google Scholar] [CrossRef]
- Petersen, L.J.; Nielsen, J.B.; Dettmann, K.; Fisker, R.V.; Haberkorn, U.; Stenholt, L.; Zacho, H.D. 68Ga-PSMA PET/CT for the detection of bone metastasis in recurrent prostate cancer and a PSA level < 2 ng/ml: Two case reports and a literature review. Mol. Clin. Oncol. 2017, 7, 67–72. [Google Scholar]
- Tatar, G.; Ergül, N.; Baloğlu, M.C.; Arslan, E.; Çermik, T.F. 68Ga-PSMA and 68Ga-FAPI-04 PET/CT findings with 18F-FDG PET/CT in a patient with recurrent prostate cancer. Clin. Nucl. Med. 2023, 48, e135–e137. [Google Scholar] [CrossRef]
- Alipour, R.; Azad, A.; Hofman, M.S. Guiding management of therapy in prostate cancer: Time to switch from conventional imaging to PSMA PET? Ther. Adv. Med. Oncol. 2019, 11, 1758835919876828. [Google Scholar] [CrossRef]
- Filippov, A.; Bonjoc, K.-J.C.; Chea, J.; Bowles, N.; Poku, E.; Chaudhry, A. Role of theranostics in thoracic oncology. J. Thorac. Dis. 2020, 12, 5140. [Google Scholar] [CrossRef]
- Al-Ibraheem, A.; Hammoudeh, R.; Kasasbeh, N.; Abdlkadir, A.S.; Juweid, M.E. Synchronous colorectal and prostate cancer: Dual PET/CT approach for detecting and distinguishing metastatic patterns. Nucl. Med. Mol. Imaging 2023, 57, 291–294. [Google Scholar] [CrossRef]
- Werner, R.A.; Hartrampf, P.E.; Fendler, W.P.; Serfling, S.E.; Derlin, T.; Higuchi, T.; Pienta, K.J.; Gafita, A.; Hope, T.A.; Pomper, M.G. Prostate-specific membrane antigen reporting and data system version 2.0. Eur. Urol. 2023, 84, 491–502. [Google Scholar] [CrossRef]
- Avul, A.R.; Özdemir, B.; Altun, G.D. A Case Report: The Role of Prostate-Specific Membrane Antigen Labeled Theranostic Agents in the Diagnosis and Treatment of Prostate Cancer. Turk. Med. Stud. J. 2019, 6, 69–75. [Google Scholar] [CrossRef]
- Tuncel, M.; Tuncalı, M.Ç.; Telli, T.; Erman, M. Clinical impact of PET imaging in patients with metastatic prostate cancer. Clin. Nucl. Med. 2020, 45, 757–764. [Google Scholar] [CrossRef]
- Jadvar, H.; Abreu, A.L.; Ballas, L.K.; Quinn, D.I. Oligometastatic prostate cancer: Current status and future challenges. J. Nucl. Med. 2022, 63, 1628–1635. [Google Scholar] [CrossRef]
- Pouliot, F.; Saad, F.; Rousseau, E.; Richard, P.O.; Zamanian, A.; Probst, S.; Lévesque, É.; Castonguay, V.; Marcoux, N.; Lodde, M. Intrapatient intermetastatic heterogeneity determined by triple-tracer PET imaging in mCRPC patients and correlation to survival: The 3TMPO cohort study. J. Nucl. Med. 2024, 65, 1710–1717. [Google Scholar] [CrossRef] [PubMed]
- Abdel-Aty, H.; Hujairi, N.; Murray, I.; Yogeswaran, Y.; van As, N.; James, N. The quantitative impact of prostate-specific membrane antigen (PSMA) PET/CT staging in newly diagnosed metastatic prostate cancer and treatment-decision implications. BJR Open 2024, 6, tzae040. [Google Scholar] [CrossRef] [PubMed]
- Zacho, H.D.; Ravn, S.; Afshar-Oromieh, A.; Fledelius, J.; Ejlersen, J.A.; Petersen, L.J. Added value of 68Ga-PSMA PET/CT for the detection of bone metastases in patients with newly diagnosed prostate cancer and a previous 99mTc bone scintigraphy. EJNMMI Res. 2020, 10, 31. [Google Scholar] [CrossRef]
- Chiu, L.W.; Lawhn-Heath, C.; Behr, S.C.; Juarez, R.; Perez, P.M.; Lobach, I.; Bucknor, M.D.; Hope, T.A.; Flavell, R.R. Factors predicting metastatic disease in 68Ga-PSMA-11 PET–positive osseous lesions in prostate cancer. J. Nucl. Med. 2020, 61, 1779–1785. [Google Scholar] [CrossRef]
- Orevi, M.; Ben-Haim, S.; Abourbeh, G.; Chicheportiche, A.; Mishani, E.; Yutkin, V.; Gofrit, O.N. False Positive Findings of [18F]PSMA-1007 PET/CT in Patients After Radical Prostatectomy with Undetectable Serum PSA Levels. Front. Surg. 2022, 9, 943760. [Google Scholar] [CrossRef]
- Rauscher, I.; Krönke, M.; König, M.; Gafita, A.; Maurer, T.; Horn, T.; Schiller, K.; Weber, W.; Eiber, M. Matched-Pair Comparison of (68)Ga-PSMA-11 PET/CT and (18)F-PSMA-1007 PET/CT: Frequency of Pitfalls and Detection Efficacy in Biochemical Recurrence After Radical Prostatectomy. J. Nucl. Med. 2020, 61, 51–57. [Google Scholar] [CrossRef] [PubMed]
- Koehler, D.; Berliner, C.; Shenas, F.; Karimzadeh, A.; Apostolova, I.; Klutmann, S.; Adam, G.; Sauer, M. PSMA hybrid imaging in prostate cancer–current applications and perspectives. RöFo-Fortschritte Geb. Röntgenstrahlen Bildgeb. Verfahr. 2023, 195, 1001–1008. [Google Scholar] [CrossRef] [PubMed]
- Luining, W.I.; Meijer, D.; Dahele, M.R.; Vis, A.N.; Oprea-Lager, D.E. Nuclear imaging for bone metastases in prostate cancer: The emergence of modern techniques using novel radiotracers. Diagnostics 2021, 11, 117. [Google Scholar] [CrossRef] [PubMed]
- Jochumsen, M.R.; Dias, A.H.; Bouchelouche, K. Benign traumatic rib fracture: A potential pitfall on 68Ga–prostate-specific membrane antigen PET/CT for prostate cancer. Clin. Nucl. Med. 2018, 43, 38–40. [Google Scholar] [CrossRef]
- Panagiotidis, E.; Paschali, A.; Giannoula, E.; Chatzipavlidou, V. Rib fractures mimicking bone metastases in 18F-PSMA-1007 PET/CT for prostate cancer. Clin. Nucl. Med. 2019, 44, e46–e48. [Google Scholar] [CrossRef]
- Mainta, I.C.; Neroladaki, A.; Wolf, N.B.; Benamran, D.; Boudabbous, S.; Zilli, T.; Garibotto, V. [68Ga] Ga-PSMA-11 PET and Prostate Cancer Bone Metastases: Diagnostic Performance of Available Standardized Criteria. J. Nucl. Med. 2024, 65, 1376–1382. [Google Scholar] [CrossRef]
- Simsek, D.H.; Sanli, Y.; Civan, C.; Engin, M.N.; Isik, E.G.; Ozkan, Z.G.; Kuyumcu, S. Does bone scintigraphy still have a role in the era of 68Ga-PSMA PET/CT in prostate cancer? Ann. Nucl. Med. 2020, 34, 476–485. [Google Scholar] [CrossRef]
- Reale, M.L.; Buttigliero, C.; Tucci, M.; Giardino, R.; Poti, C. 68Ga-PSMA uptake in fibrous dysplasia. Clin. Nucl. Med. 2019, 44, e396–e397. [Google Scholar] [CrossRef]
- Plouznikoff, N.; Garcia, C.; Artigas, C.; Entezari, K.; Flamen, P. Heterogeneity of 68Ga-PSMA PET/CT uptake in fibrous dysplasia. Clin. Nucl. Med. 2019, 44, e593–e594. [Google Scholar] [CrossRef]
- De Coster, L.; Sciot, R.; Everaerts, W.; Gheysens, O.; Verscuren, R.; Deroose, C.M.; Pans, S.; Van Laere, K.; Goffin, K.E. Fibrous dysplasia mimicking bone metastasis on 68GA-PSMA PET/MRI. Eur. J. Nucl. Med. Mol. Imaging 2017, 44, 1607–1608. [Google Scholar] [CrossRef] [PubMed]
- Wang, H.; Eiber, M.; Langbein, T. A rare case of polyostotic fibrous dysplasia detected on 18F-rhPSMA-7 PET/CT. Eur. J. Nucl. Med. Mol. Imaging 2020, 47, 2927–2929. [Google Scholar] [CrossRef] [PubMed]
- Wondergem, M.; van der Zant, F.M.; Broos, W.A.; Knol, R.J. Matched-pair comparison of 18F-DCFPyL PET/CT and 18F-PSMA-1007 PET/CT in 240 prostate cancer patients: Interreader agreement and lesion detection rate of suspected lesions. J. Nucl. Med. 2021, 62, 1422–1429. [Google Scholar] [CrossRef] [PubMed]
- Afaq, A.; Batura, D.; Bomanji, J. New frontiers in prostate cancer imaging: Clinical utility of prostate-specific membrane antigen positron emission tomography. Int. Urol. Nephrol. 2017, 49, 803–810. [Google Scholar] [CrossRef]
- Urso, L.; Filippi, L.; Castello, A.; Marzola, M.C.; Bartolomei, M.; Cittanti, C.; Florimonte, L.; Castellani, M.; Zucali, P.; Bruni, A. PSMA PET/CT in castration-resistant prostate cancer: Myth or reality? J. Clin. Med. 2023, 12, 7130. [Google Scholar] [CrossRef]
- von Stauffenberg, F.; Poyet, C.; Beintner-Skawran, S.; Maurer, A.; Schmid, F.A. Current clinical applications of PSMA-PET for prostate cancer diagnosis, staging, and treatment. Cancers 2024, 16, 4263. [Google Scholar] [CrossRef]
- Blazak, J.K.; Thomas, P. Paget disease: A potential pitfall in PSMA PET for prostate cancer. Clin. Nucl. Med. 2016, 41, 699–700. [Google Scholar] [CrossRef]
- Arslan, İ.; Demirci, E.; Özkara, S.; Taşdelen, N.; Selçuk, N.A. Myelodysplastic syndrome presenting with diffuse bone marrow uptake on 68Ga-PSMA PET/CT. Clin. Nucl. Med. 2020, 45, 330–333. [Google Scholar] [CrossRef]
- Pontes, Í.C.d.M.; Souza, A.R.; Fonseca, E.K.U.N.; Osawa, A.; Baroni, R.H.; Castro, A.d.A.e. Musculoskeletal pitfalls in 68Ga-PSMA PET/CT. Radiol. Bras. 2023, 56, 220–225. [Google Scholar] [CrossRef]
- Ali, A.; Hoyle, A.; Haran, Á.M.; Brawley, C.D.; Cook, A.; Amos, C.; Calvert, J.; Douis, H.; Mason, M.D.; Dearnaley, D.; et al. Association of Bone Metastatic Burden with Survival Benefit from Prostate Radiotherapy in Patients with Newly Diagnosed Metastatic Prostate Cancer: A Secondary Analysis of a Randomized Clinical Trial. JAMA Oncol. 2021, 7, 555–563. [Google Scholar] [CrossRef]
- Ost, P.; Reynders, D.; Decaestecker, K.; Fonteyne, V.; Lumen, N.; De Bruycker, A.; Lambert, B.; Delrue, L.; Bultijnck, R.; Claeys, T.; et al. Surveillance or Metastasis-Directed Therapy for Oligometastatic Prostate Cancer Recurrence: A Prospective, Randomized, Multicenter Phase II Trial. J. Clin. Oncol. 2018, 36, 446–453. [Google Scholar] [CrossRef]
- Taneja, S.; Jena, A.; Taneja, R.; Singh, A.; Ahuja, A. Effect of Combined 68Ga-PSMAHBED-CC Uptake Pattern and Multiparametric MRI Derived with Simultaneous PET/MRI in the Diagnosis of Primary Prostate Cancer: Initial Experience. AJR Am. J. Roentgenol. 2018, 210, 1338–1345. [Google Scholar] [CrossRef]
- Shen, G.; Deng, H.; Hu, S.; Jia, Z. Comparison of choline-PET/CT, MRI, SPECT, and bone scintigraphy in the diagnosis of bone metastases in patients with prostate cancer: A meta-analysis. Skelet. Radiol. 2014, 43, 1503–1513. [Google Scholar] [CrossRef]
- Even-Sapir, E.; Metser, U.; Mishani, E.; Lievshitz, G.; Lerman, H.; Leibovitch, I. The detection of bone metastases in patients with high-risk prostate cancer: 99mTc-MDP Planar bone scintigraphy, single- and multi-field-of-view SPECT, 18F-fluoride PET, and 18F-fluoride PET/CT. J. Nucl. Med. 2006, 47, 287–297. [Google Scholar] [PubMed]
- Chow, K.M.; So, W.Z.; Lee, H.J.; Lee, A.; Yap, D.W.T.; Takwoingi, Y.; Tay, K.J.; Tuan, J.; Thang, S.P.; Lam, W.; et al. Head-to-head Comparison of the Diagnostic Accuracy of Prostate-specific Membrane Antigen Positron Emission Tomography and Conventional Imaging Modalities for Initial Staging of Intermediate- to High-risk Prostate Cancer: A Systematic Review and Meta-analysis. Eur. Urol. 2023, 84, 36–48. [Google Scholar] [CrossRef] [PubMed]
- Hope, T.A.; Benz, M.; Jiang, F.; Thompson, D.; Barbato, F.; Juarez, R.; Hernandez Pampaloni, M.; Allen-Auerbach, M.; Gupta, P.; Fendler, W.P.; et al. Do Bone Scans Overstage Disease Compared with PSMA PET at Initial Staging? An International Multicenter Retrospective Study with Masked Independent Readers. J. Nucl. Med. 2023, 64, 1744–1747. [Google Scholar] [CrossRef]
- Cook, G.J.; Azad, G.; Padhani, A.R. Bone imaging in prostate cancer: The evolving roles of nuclear medicine and radiology. Clin. Transl. Imaging 2016, 4, 439–447. [Google Scholar] [CrossRef]
- Woo, S.; Suh, C.H.; Kim, S.Y.; Cho, J.Y.; Kim, S.H. Diagnostic Performance of Prostate Imaging Reporting and Data System Version 2 for Detection of Prostate Cancer: A Systematic Review and Diagnostic Meta-analysis. Eur. Urol. 2017, 72, 177–188. [Google Scholar] [CrossRef]
- Kitzing, Y.X.; Prando, A.; Varol, C.; Karczmar, G.S.; Maclean, F.; Oto, A. Benign Conditions That Mimic Prostate Carcinoma: MR Imaging Features with Histopathologic Correlation. Radiographics 2016, 36, 162–175. [Google Scholar] [CrossRef]
- Lecouvet, F.E.; Simon, M.; Tombal, B.; Jamart, J.; Vande Berg, B.C.; Simoni, P. Whole-body MRI (WB-MRI) versus axial skeleton MRI (AS-MRI) to detect and measure bone metastases in prostate cancer (PCa). Eur. Radiol. 2010, 20, 2973–2982. [Google Scholar] [CrossRef]
- Padhani, A.R.; Lecouvet, F.E.; Tunariu, N.; Koh, D.M.; De Keyzer, F.; Collins, D.J.; Sala, E.; Schlemmer, H.P.; Petralia, G.; Vargas, H.A.; et al. METastasis Reporting and Data System for Prostate Cancer: Practical Guidelines for Acquisition, Interpretation, and Reporting of Whole-body Magnetic Resonance Imaging-based Evaluations of Multiorgan Involvement in Advanced Prostate Cancer. Eur. Urol. 2017, 71, 81–92. [Google Scholar] [CrossRef]
- O’Sullivan, G.J.; Carty, F.L.; Cronin, C.G. Imaging of bone metastasis: An update. World J. Radiol. 2015, 7, 202–211. [Google Scholar] [CrossRef]
- Rosenkrantz, A.B.; Taneja, S.S. Radiologist, be aware: Ten pitfalls that confound the interpretation of multiparametric prostate MRI. AJR Am. J. Roentgenol. 2014, 202, 109–120. [Google Scholar] [CrossRef]
- Lee, K.S.; De Smet, A.A.; Liu, G.; Staab, M.J. High resolution ultrasound features of prostatic rib metastasis: A prospective feasibility study with implication in the high-risk prostate cancer patient. Urol. Oncol. 2014, 32, 24.e7–24.e11. [Google Scholar] [CrossRef] [PubMed][Green Version]
- Pianou, N.K.; Stavrou, P.Z.; Vlontzou, E.; Rondogianni, P.; Exarhos, D.N.; Datseris, I.E. More advantages in detecting bone and soft tissue metastases from prostate cancer using 18F-PSMA PET/CT. Hell. J. Nucl. Med. 2019, 22, 6–9. [Google Scholar] [CrossRef] [PubMed]
- Hofman, M.S.; Lawrentschuk, N.; Francis, R.J.; Tang, C.; Vela, I.; Thomas, P.; Rutherford, N.; Martin, J.M.; Frydenberg, M.; Shakher, R.; et al. Prostate-specific membrane antigen PET-CT in patients with high-risk prostate cancer before curative-intent surgery or radiotherapy (proPSMA): A prospective, randomised, multicentre study. Lancet 2020, 395, 1208–1216. [Google Scholar] [CrossRef] [PubMed]
- Perera, M.; Papa, N.; Christidis, D.; Wetherell, D.; Hofman, M.S.; Murphy, D.G.; Bolton, D.; Lawrentschuk, N. Sensitivity, Specificity, and Predictors of Positive 68Ga-Prostate-specific Membrane Antigen Positron Emission Tomography in Advanced Prostate Cancer: A Systematic Review and Meta-analysis. Eur. Urol. 2016, 70, 926–937. [Google Scholar] [CrossRef]
- Dyrberg, E.; Hendel, H.W.; Huynh, T.H.V.; Klausen, T.W.; Løgager, V.B.; Madsen, C.; Pedersen, E.M.; Pedersen, M.; Thomsen, H.S. 68Ga-PSMA-PET/CT in comparison with 18F-fluoride-PET/CT and whole-body MRI for the detection of bone metastases in patients with prostate cancer: A prospective diagnostic accuracy study. Eur. Radiol. 2019, 29, 1221–1230. [Google Scholar] [CrossRef]
- Ou, W.C.; Jennings, J.W.; Northrup, B.E.; Dettorre, G.M.; Winkler, W.L.; Imaoka, R.; Vander Velde, T.L.; Siegel, B.A. Performance of PSMA-PET/CT as verified by bone biopsy for diagnosing osseous metastases of prostate cancer. Skelet. Radiol. 2024, 54, 1479–1489. [Google Scholar] [CrossRef]
- Serani, F.; Fendler, W.P.; Castellucci, P.; Berliner, C.; Barbato, F.; Herrmann, K.; Farolfi, A.; Fanti, S. A Retrospective Multicenter Analysis of the Incidence of Bone-Only Disease at PSMA PET/CT in Castration Resistant Prostate Cancer Patients. Cancers 2023, 15, 2208. [Google Scholar] [CrossRef]
- Dancheva, Z.; Chausheva, S.; Stoeva, T.; Dyankova, M.; Yordanova, T.; Chaushev, B.; Marinov, R.; Nikolov, V.; Abushev, P.; Todorov, G.; et al. A pictorial view on false positive findings of 68Ga-PSMA-11 PET/CT and their prognostic value in patients with prostate carcinoma after radical prostatectomy and undetectable PSA values. Hell. J. Nucl. Med. 2024, 27, 16–26. [Google Scholar] [CrossRef] [PubMed]
- Shah, N.; Sedeh, A.E.; Deffler, C.; Ng, T.S.C.; Mercaldo, N.; Gao, X.; Mahmood, U.; Heidari, P.; Esfahani, S.A. The role of PSMA PET/CT in distinguishing malignant from benign solitary bone lesions in prostate cancer patients. Clin. Imaging 2025, 125, 110570. [Google Scholar] [CrossRef] [PubMed]
- Luo, L.; Wang, Z.; Wang, X.; Gao, J.; Zheng, A.; Duan, X. Fluorine-18 prostate-specific membrane antigen-1007-avid indeterminate bone lesions in prostate cancer: Clinical and PET/CT features to predict outcomes and prognosis. Clin. Radiol. 2024, 79, 346–353. [Google Scholar] [CrossRef] [PubMed]
- Benecke, J.A.; Calderón, E.; Reischl, G.; Brendlin, A.; Tsaur, I.; la Fougère, C.; Vogel, J. Focal Unspecific Bone Uptake on [18F]PSMA-1007 PET: Evaluation Analog PROMISE Criteria and Validation via PET/CT Follow-Up. Diagnostics 2024, 14, 2327. [Google Scholar] [CrossRef]
- Bauckneht, M.; D’Amico, F.; Albano, D.; Balma, M.; Cabrini, C.; Dondi, F.; Di Raimondo, T.; Liberini, V.; Sofia, L.; Peano, S.; et al. Composite Prediction Score to Interpret Bone Focal Uptake in Hormone-Sensitive Prostate Cancer Patients Imaged with [18F]PSMA-1007 PET/CT. J. Nucl. Med. 2024, 65, 1577–1583. [Google Scholar] [CrossRef]
- Hoberück, S.; Löck, S.; Borkowetz, A.; Sommer, U.; Winzer, R.; Zöphel, K.; Fedders, D.; Michler, E.; Kotzerke, J.; Kopka, K.; et al. Intraindividual comparison of [68Ga]-Ga-PSMA-11 and [18F]-F-PSMA-1007 in prostate cancer patients: A retrospective single-center analysis. EJNMMI Res. 2021, 11, 109. [Google Scholar] [CrossRef]
- Seifert, R.; Telli, T.; Opitz, M.; Barbato, F.; Berliner, C.; Nader, M.; Umutlu, L.; Stuschke, M.; Hadaschik, B.; Herrmann, K.; et al. Unspecific 18F-PSMA-1007 Bone Uptake Evaluated Through PSMA-11 PET, Bone Scanning, and MRI Triple Validation in Patients with Biochemical Recurrence of Prostate Cancer. J. Nucl. Med. 2023, 64, 738–743. [Google Scholar] [CrossRef]
- Fragkiadaki, V.; Panagiotidis, E.; Vlontzou, E.; Kalathas, T.; Paschali, A.; Kypraios, C.; Chatzipavlidou, V.; Datseris, I. Correlation of PSA blood levels with standard uptake value maximum (SUVmax) and total metabolic tumor volume (TMTV) in 18F-PSMA-1007 and 18F-choline PET/CT in patients with biochemically recurrent prostate cancer. Nucl. Med. Commun. 2024, 45, 924–930. [Google Scholar] [CrossRef]
- Panagiotidis, E.; Fragkiadaki, V.; Papathanasiou, N.; Kypraios, C.; Liatsikos, E.; Klampatsas, A.; Paschali, A.; Exarhos, D.; Zarokosta, F.; Chatzipavlidou, V. Comparison of 18F-PSMA-1007 and 18F-Choline PET/CT in prostate cancer patients with biochemical recurrence: A phase 3, prospective, multicenter, randomized study. Nucl. Med. Commun. 2023, 44, 1126–1134. [Google Scholar] [CrossRef]
- Ulaner, G.A.; Thomsen, B.; Bassett, J.; Torrey, R.; Cox, C.; Lin, K.; Patel, T.; Techasith, T.; Mauguen, A.; Rowe, S.P.; et al. 18F-DCFPyL PET/CT for Initially Diagnosed and Biochemically Recurrent Prostate Cancer: Prospective Trial with Pathologic Confirmation. Radiology 2022, 305, 419–428. [Google Scholar] [CrossRef]
- Phelps, T.E.; Harmon, S.A.; Mena, E.; Lindenberg, L.; Shih, J.H.; Citrin, D.E.; Pinto, P.A.; Wood, B.J.; Dahut, W.L.; Gulley, J.L.; et al. Predicting Outcomes of Indeterminate Bone Lesions on 18F-DCFPyL PSMA PET/CT Scans in the Setting of High-Risk Primary or Recurrent Prostate Cancer. J. Nucl. Med. 2023, 64, 395–401. [Google Scholar] [CrossRef] [PubMed]
- Yin, Y.; Werner, R.A.; Higuchi, T.; Lapa, C.; Pienta, K.J.; Pomper, M.G.; Gorin, M.A.; Rowe, S.P. Follow-up of Lesions with Equivocal Radiotracer Uptake on PSMA-Targeted PET in Patients with Prostate Cancer: Predictive Values of the PSMA-RADS-3A and PSMA-RADS-3B Categories. J. Nucl. Med. 2019, 60, 511–516. [Google Scholar] [CrossRef] [PubMed]
- Wright, G.L., Jr.; Haley, C.; Beckett, M.L.; Schellhammer, P.F. Expression of prostate-specific membrane antigen in normal, benign, and malignant prostate tissues. Urol. Oncol. 1995, 1, 18–28. [Google Scholar] [CrossRef] [PubMed]
- Sahafi, P.; Aryana, K.; Moghadam, S.Z.; Sadri, K.; Askari, E. Free TcO 4- in 99mTc-PSMA Scan: A Case Report and Review of an Old Pitfall in the New Era of Modern Imaging. Clin. Nucl. Med. 2024, 49, e327–e328. [Google Scholar] [CrossRef]
- Chen, D.C.; Buteau, J.P.; Emmett, L.; Alipour, R.; de Galiza Barbosa, F.; Roberts, M.J.; McVey, A.; O’Brien, J.; Levy, S.; Francis, R.J.; et al. Prevalence and Medium-Term Outcomes of Patients with Biopsy-Proven Intermediate- to High-Risk Prostate Adenocarcinoma with Low Intraprostatic Uptake on [68Ga]Ga-PSMA-11 PET/CT in the proPSMA Study. J. Nucl. Med. 2025, 66, 713–718. [Google Scholar] [CrossRef]
- Nabavi, N.; Mahdavi, S.R.; Ardalan, M.A.; Chamanara, M.; Mosaed, R.; Lara, A.; Bastos, D.; Harsini, S.; Askari, E.; Velho, P.I.; et al. Bipolar Androgen Therapy: When Excess Fuel Extinguishes the Fire. Biomedicines 2023, 11, 2084. [Google Scholar] [CrossRef]
- Fendler, W.P.; Calais, J.; Eiber, M.; Flavell, R.R.; Mishoe, A.; Feng, F.Y.; Nguyen, H.G.; Reiter, R.E.; Rettig, M.B.; Okamoto, S.; et al. Assessment of 68Ga-PSMA-11 PET Accuracy in Localizing Recurrent Prostate Cancer: A Prospective Single-Arm Clinical Trial. JAMA Oncol. 2019, 5, 856–863. [Google Scholar] [CrossRef]
- Kneebone, A.; Hruby, G.; Ainsworth, H.; Byrne, K.; Brown, C.; Guo, L.; Guminski, A.; Eade, T. Stereotactic Body Radiotherapy for Oligometastatic Prostate Cancer Detected via Prostate-specific Membrane Antigen Positron Emission Tomography. Eur. Urol. Oncol. 2018, 1, 531–537. [Google Scholar] [CrossRef]
- Roach, P.J.; Francis, R.; Emmett, L.; Hsiao, E.; Kneebone, A.; Hruby, G.; Eade, T.; Nguyen, Q.A.; Thompson, B.D.; Cusick, T.; et al. The Impact of 68Ga-PSMA PET/CT on Management Intent in Prostate Cancer: Results of an Australian Prospective Multicenter Study. J. Nucl. Med. 2018, 59, 82–88. [Google Scholar] [CrossRef]
- Smith, M.R.; Saad, F.; Chowdhury, S.; Oudard, S.; Hadaschik, B.A.; Graff, J.N.; Olmos, D.; Mainwaring, P.N.; Lee, J.Y.; Uemura, H.; et al. Apalutamide Treatment and Metastasis-free Survival in Prostate Cancer. N. Engl. J. Med. 2018, 378, 1408–1418. [Google Scholar] [CrossRef]
- Fizazi, K.; Shore, N.; Tammela, T.L.; Ulys, A.; Vjaters, E.; Polyakov, S.; Jievaltas, M.; Luz, M.; Alekseev, B.; Kuss, I.; et al. Darolutamide in Nonmetastatic, Castration-Resistant Prostate Cancer. N. Engl. J. Med. 2019, 380, 1235–1246. [Google Scholar] [CrossRef] [PubMed]
- Freedland, S.J.; Luz, M.d.A.; Giorgi, U.D.; Gleave, M.; Gotto, G.T.; Pieczonka, C.M.; Haas, G.P.; Kim, C.-S.; Ramirez-Backhaus, M.; Rannikko, A.; et al. Improved Outcomes with Enzalutamide in Biochemically Recurrent Prostate Cancer. N. Engl. J. Med. 2023, 389, 1453–1465. [Google Scholar] [CrossRef] [PubMed]
- Sternberg, C.N.; Fizazi, K.; Saad, F.; Shore, N.D.; De Giorgi, U.; Penson, D.F.; Ferreira, U.; Efstathiou, E.; Madziarska, K.; Kolinsky, M.P.; et al. Enzalutamide and Survival in Nonmetastatic, Castration-Resistant Prostate Cancer. N. Engl. J. Med. 2020, 382, 2197–2206. [Google Scholar] [CrossRef] [PubMed]
- Francolini, G.; Allegra, A.G.; Detti, B.; Di Cataldo, V.; Caini, S.; Bruni, A.; Ingrosso, G.; D’Angelillo, R.M.; Alitto, A.R.; Augugliaro, M.; et al. Stereotactic Body Radiation Therapy and Abiraterone Acetate for Patients Affected by Oligometastatic Castrate-Resistant Prostate Cancer: A Randomized Phase II Trial (ARTO). J. Clin. Oncol. 2023, 41, 5561–5568. [Google Scholar] [CrossRef]
- Sweeney, C.J.; Chen, Y.H.; Carducci, M.; Liu, G.; Jarrard, D.F.; Eisenberger, M.; Wong, Y.N.; Hahn, N.; Kohli, M.; Cooney, M.M.; et al. Chemohormonal Therapy in Metastatic Hormone-Sensitive Prostate Cancer. N. Engl. J. Med. 2015, 373, 737–746. [Google Scholar] [CrossRef]
- Hellman, S.; Weichselbaum, R.R. Oligometastases. J. Clin. Oncol. 1995, 13, 8–10. [Google Scholar] [CrossRef]
- Ong, W.L.; Koh, T.L.; Lim Joon, D.; Chao, M.; Farrugia, B.; Lau, E.; Khoo, V.; Lawrentschuk, N.; Bolton, D.; Foroudi, F. Prostate-specific membrane antigen-positron emission tomography/computed tomography (PSMA-PET/CT)-guided stereotactic ablative body radiotherapy for oligometastatic prostate cancer: A single-institution experience and review of the published literature. BJU Int. 2019, 124 (Suppl. S1), 19–30. [Google Scholar] [CrossRef]
- Caroli, P.; Sandler, I.; Matteucci, F.; De Giorgi, U.; Uccelli, L.; Celli, M.; Foca, F.; Barone, D.; Romeo, A.; Sarnelli, A.; et al. 68Ga-PSMA PET/CT in patients with recurrent prostate cancer after radical treatment: Prospective results in 314 patients. Eur. J. Nucl. Med. Mol. Imaging 2018, 45, 2035–2044. [Google Scholar] [CrossRef]
- Tong, L.Q.; Jiang, S.N.; Sui, Y.F.; Yin, Y.H.; Fu, L.Q.; Zhong, J.Y.; Zhong, J.L. Imaging signs and the qualitative diagnosis of solitary rib lesions using 99mtechnetium-methylene diphosphonate whole-body bone imaging in patients with a malignant tumor. Quant. Imaging Med. Surg. 2023, 13, 5688–5700. [Google Scholar] [CrossRef]
- Li, Q.; Chen, Z.; Zhao, Y.; Li, X.; Pan, H.; Xia, T.; Chen, L.; Xu, Z.; Zhou, W.; Liu, X. Risk of metastasis among rib abnormalities on bone scans in breast cancer patients. Sci. Rep. 2015, 5, 9587. [Google Scholar] [CrossRef]
- Markowski, M.C.; Chen, Y.; Feng, Z.; Cullen, J.; Trock, B.J.; Suzman, D.; Antonarakis, E.S.; Paller, C.J.; Rosner, I.; Han, M.; et al. PSA Doubling Time and Absolute PSA Predict Metastasis-free Survival in Men with Biochemically Recurrent Prostate Cancer After Radical Prostatectomy. Clin. Genitourin. Cancer 2019, 17, 470–475.e471. [Google Scholar] [CrossRef]
- Anconina, R.; Hod, N.; Levin, D.; Kazap, D.E.; Lantsberg, S. Incidental detection of metastatic malignant melanoma on 68Ga–prostate-specific membrane antigen PET/CT imaging: Correlative imaging with FDG PET/CT and review of the literature. Clin. Clin. Nucl. Med. 2018, 43, 204–206. [Google Scholar] [CrossRef] [PubMed]
- Werner, R.A.; Bundschuh, R.A.; Bundschuh, L.; Javadi, M.S.; Higuchi, T.; Weich, A.; Sheikhbahaei, S.; Pienta, K.J.; Buck, A.K.; Pomper, M.G. Molecular imaging reporting and data systems (MI-RADS): A generalizable framework for targeted radiotracers with theranostic implications. Ann. Nucl. Med. 2018, 32, 512–522. [Google Scholar] [CrossRef] [PubMed]
- Beşli, R.L.U.; Sağer, M.S.; Akgün, E.; Asa, S.; Şahin, O.E.; Demirdağ, Ç.; Güner, E.; Razavikhosroshahi, S.; Karayel, E.; Pehlivanoğlu, H. Comparison of Ga-68 PSMA positron emission tomography/computerized tomography with Tc-99m MDP bone scan in prostate cancer patients. Turk. J. Med. Sci. 2019, 49, 301–310. [Google Scholar] [CrossRef]
- Heinzel, A.; Boghos, D.; Mottaghy, F.M.; Gaertner, F.; Essler, M.; von Mallek, D.; Ahmadzadehfar, H. 68 Ga-PSMA PET/CT for monitoring response to 177 Lu-PSMA-617 radioligand therapy in patients with metastatic castration-resistant prostate cancer. Eur. J. Nucl. Med. Mol. Imaging 2019, 46, 1054–1062. [Google Scholar] [CrossRef]
- Cytawa, W.; Seitz, A.K.; Kircher, S.; Fukushima, K.; Tran-Gia, J.; Schirbel, A.; Bandurski, T.; Lass, P.; Krebs, M.; Połom, W. 68 Ga-PSMA I&T PET/CT for primary staging of prostate cancer. Eur. J. Nucl. Med. Mol. Imaging 2020, 47, 168–177. [Google Scholar]
- de Galiza Barbosa, F.; Queiroz, M.A.; Nunes, R.F.; Costa, L.B.; Zaniboni, E.C.; Marin, J.F.G.; Cerri, G.G.; Buchpiguel, C.A. Nonprostatic diseases on PSMA PET imaging: A spectrum of benign and malignant findings. Cancer Imaging 2020, 20, 1–23. [Google Scholar] [CrossRef]
- Domínguez, J.G.; de León, J.M.S.P.; Cortés, J.L.C. PET/CT with 18F-PSMA in Patients with Prostate Cancer, Review of the Initial Experience. Open J. Urol. 2021, 11, 158–175. [Google Scholar] [CrossRef]
- Zarbiv, Y.; Peerless, Y.; Wygoda, M.; Orevi, M.; Meir, K.; Gofrit, O.N.; Yutkin, V.; Frank, S. Real-world Israeli single institution experience with PET-PSMA for staging of patients with clinically staged localized prostate carcinoma. Cancer Rep. 2021, 4, e1386. [Google Scholar] [CrossRef]
- Curcean, A.; Curcean, S.; Rescigno, P.; Ap Dafydd, D.; Tree, A.; Reid, A.; Koh, D.-M.; Sohaib, A.; Tunariu, N.; Shur, J. Imaging features of the evolving patterns of metastatic prostate cancer. Clin. Radiol. 2022, 77, 88–95. [Google Scholar] [CrossRef]
- Lenis, A.T.; Pooli, A.; Lec, P.M.; Sadun, T.Y.; Johnson, D.C.; Lebacle, C.; Fendler, W.P.; Eiber, M.; Czernin, J.; Reiter, R.E. Prostate-specific membrane antigen positron emission tomography/computed tomography compared with conventional imaging for initial staging of treatment-naïve intermediate-and high-risk prostate cancer: A retrospective single-center study. Eur. Urol. Oncol. 2022, 5, 544–552. [Google Scholar] [CrossRef]
- Mapelli, P.; Ghezzo, S.; Samanes Gajate, A.M.; Preza, E.; Palmisano, A.; Cucchiara, V.; Brembilla, G.; Bezzi, C.; Rigamonti, R.; Magnani, P. 68Ga-PSMA and 68Ga-DOTA-RM2 PET/MRI in recurrent prostate cancer: Diagnostic performance and association with clinical and histopathological data. Cancers 2022, 14, 334. [Google Scholar] [CrossRef]
- Regula, N.; Kostaras, V.; Johansson, S.; Trampal, C.; Lindström, E.; Lubberink, M.; Iyer, V.; Velikyan, I.; Sörensen, J. Comparison of 68Ga-PSMA PET/CT with fluoride PET/CT for detection of bone metastatic disease in prostate cancer. Eur. J. Hybrid Imaging 2022, 6, 5. [Google Scholar] [CrossRef]
- Hoffman, A.; Amiel, G.E. The impact of PSMA PET/CT on modern prostate cancer management and decision making—The urological perspective. Cancers 2023, 15, 3402. [Google Scholar] [CrossRef]
- Vargas-Ahumada, J.E.; González-Rueda, S.D.; Sinisterra-Solís, F.A.; Casanova-Triviño, P.; Pitalúa-Cortés, Q.; Soldevilla-Gallardo, I.; Scavuzzo, A.; Jimenez-Ríos, M.A.; García-Pérez, F.O. Diagnostic Performance of 99mTc-iPSMA SPECT/CT in the Initial Staging of Patients with Unfavorable Intermediate-, High-, and Very High-Risk Prostate Cancer: A Comparative Analysis with 18F-PSMA-1007 PET/CT. Cancers 2023, 15, 5824. [Google Scholar] [CrossRef]
- Loeff, C.C.; van Gemert, W.; Privé, B.M.; van Oort, I.M.; Hermsen, R.; Somford, D.M.; Nagarajah, J.; Heijmen, L.; Janssen, M.J. [18F] PSMA-1007 PET for biochemical recurrence of prostate cancer, a comparison with [18F] Fluciclovine. EJNMMI Rep. 2024, 8, 38. [Google Scholar] [CrossRef] [PubMed]









| Diagnosis * | Radiologic Appearance | References (Intense Uptake) ** |
|---|---|---|
| Prostate Carcinoma Metastasis (including Bone Metastases) | Lytic or sclerotic lesion, often multiple; may show osteolytic, osteoblastic, or mixed patterns; soft-tissue mass in some cases; aggressive appearance with cortical disruption | [7,12,13,26,40,46,47,48,49,50,51,52,53,54,55,56,57,58,59,60,61,62,63,64,65,66,67,68,69,70,71,72,73,74,75,76,77,78,79,80,81,82,83,84,85,86,87,88,89,90,91,92,93] ([50,53,66,68,77,78,81,85]) |
| Rib Fractures | Subtle cortical disruption, sclerosis, fracture line with callus formation, “pearls on a string” pattern in some cases | [7,13,40,46,91,92,93,94,95,96,97,98,99,100] |
| Fibrous Dysplasia | Ground-glass matrix, sclerotic border, expansile appearance with cortical thinning, cystic areas, intact bone borders | [7,12,13,40,42,93,101,102,103,104] ([101,104]) |
| Degenerative Changes/ Unspecific Benign | No significant morphological changes, non-specific lytic lesion with reactive changes, or normal bone tissue on CT | [13,92,93,105,106,107,108] |
| Paget Disease | Cortical thickening, irregular trabecular pattern, heterogeneous internal components | [92,93,109] |
| Osteoblastic Metastasis | Sclerotic lesion with osteoblastic features, often corresponding to tracer uptake | [58,78] ([78]) |
| Myelodysplastic Syndrome | No lytic or sclerotic changes, focal increased uptake mimicking metastasis | [12,110] |
| Fibrous Cortical Defect | Small hypoattenuating lesion with well-delimited sclerotic borders | [111] |
| Post-Traumatic Rib Lesion | Post-traumatic changes with faint uptake, no significant morphological changes | [96] |
| First Author | Rate of Rib Lesions | Metastatic Rib Lesions | Isolated Rib (%) | Multiple Rib/Multifocal Uptake (%) | Rib SUV Range |
|---|---|---|---|---|---|
| Studies with 68Ga-PSMA-11 | |||||
| Stoffels—2025 [7] | 100% patients (inclusion criteria) | 14.8% (8/54) Cat I and III | - | 18.5% (10/54 patients had multiple rib lesions) | Mean: 2.90 (benign) and 4.8 (malignant) |
| Zacho—2020 [91] | 6.25% (7/112) patients | No metastasis Cat II | 100% | 0% | - |
| Chen—2020 [40] | 2.3% (111/4792) (62 of them had staging scans) | 1.6% (1/62) Cat I, III, IV | 100% (inclusion criteria) | - | Mean SUVmax: 2.21(malignant) 3.02(benign) |
| Sareni—2023 [132] | 11.2% (20/179) | - | 3.4% (6/179) | 14/20 (70%) had additional bone sites (Multi focal) | Median SUVmax: 13.8 (all lesions) |
| Chiu—2020 [92] | 33.9% (19/56) | 79% (15/19) Cat II | - | - | - |
| Mainta—2024 [99] | 30.6% | 33.3% Cat II | - | - | Mean SUVmax: 4.6 (all lesions) |
| Simsek—2020 [100] | 22.1% (25/113) | 25/26 (96%) Cat II | - | (ribs + other sites): ~23.9% | - |
| Dancheva—2024 [133] | 12.5% (5/40) | 0% Cat III/IV | - | (symmetrical/multiple in ribs) ~23% | 1.0–3.4 (bone lesions incl. ribs) |
| Shah—2025 [134] | 4.9% (72/1480) | 30.6% (22/72) Cat I/III/IV | Malignant: 40.9% (9/22); Benign: 51.6% (16/31) | (solitary focus; non-isolated: 59.1% with other mets) | Median range for lesions: Malignant: 4.31 (2.63–10.44); Benign: 2.18 (1.6–2.7) |
| Studies with 18F-PSMA-1007 | |||||
| Luo—2024 [135] | 37.3% (59/158) | 11.8% (7/59) Cat I and II | - | - | - |
| Arnfield—2021 [13] | 61.3% (122/199) | No metastasis Cat II | - | - | - |
| Benecke—2024 [136] | 50% (115/230) | 2% Cat IV | - | - | SUVmax range: 2.9–16.1(metastatic) |
| Grünig—2021 [12] | 57.5% | - | - | - | Mean SUVmax: 3.8 (all lesions) |
| Bauckneht—2024 [137] | 145/448(32.4%) | 28.3% (41/145) Cat II | - | - | - |
| Hoberück—2023 [138] | 58.7% (27/46) | - | - | - | - |
| Orevi—2022 [93] | 40% (35/14) | No metastasis Cat III | 11.8% solitary rib foci | Multifocal (including ribs and other sites): 29.4% | - |
| Seifert—2023 [139] | 38.2% (13/34) | No metastasis Cat II | - | - | |
| Fragkiadaki—2024 [140] | 19.2% (20/104) | 100% all metastatic Cat II | - | - | SUVmax range: 2.30–77.32 (all lesions) |
| Panagiotidis—2023 [141] | 14%(26/186) | - | - | - | - |
| Studies with 18F-DCFPyL | |||||
| Woo—2025 [17] | 100% (175/175) | 47/175 (26.9%) Cat II | 0.57% (1/175) for metastatic isolated rib lesions 54.9% (96/175) for single rib lesions with no other metastases | Multiple rib lesions only: 9.1% Multifocal (ribs + other sites): 24.0% (42/175) | Mean SUVmax and range: 1.8 (1.4, 2.6) (benign) 7.7 (2.7, 16.5) (malignant) |
| Ulaner—2022 [142] | 11.7% (7/60) | 57.1% (4/7) Cat I | 100% | - | - |
| Phelps—2022 [143] | 39/98(39.8%) | 23% (9/39) Cat I and II | - | - | SUVmax range: (2.4 to 15.2) |
| Yin—2019 [144] | 12/46(26.1%) | 25% (3/12) Cat IV | - | - | Median SUVmax and range: 1.15, (0.85–1.89) |
| Factor | Description | Benign Characteristics | Metastatic Characteristics | Diagnosis Utility | Pitfalls |
|---|---|---|---|---|---|
| Radiotracer Uptake Intensity | Standardized uptake value maximum on PSMA PET/CT | Low-moderate (<10); often < liver uptake | High (>10); typically > liver uptake | Predicts malignancy likelihood; guides radioligand therapy | Tracer variability (18F-PSMA-1007 higher unspecific uptake); no standardized cutoff |
| Number of Lesions | Number of PSMA-avid rib lesions | Solitary (98% benign if isolated) | Multiple (97–98% associated with polymetastatic disease) | Indicates disease extent; solitary lesions often benign | Rare isolated metastases (2–3%); needs correlation with other sites |
| Location | Rib lesion site | Posterior ribs (often degenerative) | Anterior/lateral ribs (higher malignancy risk) | Guides biopsy prioritization | Limited data on site-specific malignancy rates |
| CT Morphology or Bone Scan | Structural features on CT (lytic or sclerotic) | Normal or degenerative | Lytic or sclerotic lesions; cortical disruption | Enhances specificity when combined with PSMA uptake | Non-specific findings |
| Patient-Specific Factors | Patient-specific factors (such as PSA and Gleason score) | Low PSA (<10 ng/mL); Gleason <7 | High PSA (>20 ng/mL); Gleason ≥8 | Contextualizes imaging; high-risk features suggest metastases | Non-specific; overlap in early disease |
| Changes Over Time | Longitudinal changes on serial PSMA PET/ | Stable SUVmax, no new lesions; often degenerative or post-traumatic | Increasing SUVmax (>20% rise), new lesions, or morphological progression | Indicates disease progression; guides therapy adjustment | Requires serial imaging; limited data on optimal intervals; benign changes (such as healing fractures) may mimic progression |
| Tracer Type | PSMA ligand used (18F-PSMA-1007 vs. 68Ga-PSMA-11) | 18F-PSMA-1007: higher unspecific bone uptake (20% equivocal) | 68Ga-PSMA-11: lower unspecific uptake; higher specificity | Influences diagnostic accuracy; 68Ga-PSMA-11 preferred for rib lesions | 18F-PSMA-1007 increases false positives; protocol variability |
Disclaimer/Publisher’s Note: The statements, opinions and data contained in all publications are solely those of the individual author(s) and contributor(s) and not of MDPI and/or the editor(s). MDPI and/or the editor(s) disclaim responsibility for any injury to people or property resulting from any ideas, methods, instructions or products referred to in the content. |
© 2025 by the authors. Licensee MDPI, Basel, Switzerland. This article is an open access article distributed under the terms and conditions of the Creative Commons Attribution (CC BY) license (https://creativecommons.org/licenses/by/4.0/).
Share and Cite
Shamshirgaran, A.; Samadi, M.H.; Saeed, M.; Harsini, S.; Sahafi, P.; Divband, G.; Mohammadi, G.; Ayati, N.; Sadeghi, R.; Rizzo, A.; et al. Fifty Shades of PSMA-Avid Rib Lesions: A Comprehensive Review. Cancers 2025, 17, 3404. https://doi.org/10.3390/cancers17213404
Shamshirgaran A, Samadi MH, Saeed M, Harsini S, Sahafi P, Divband G, Mohammadi G, Ayati N, Sadeghi R, Rizzo A, et al. Fifty Shades of PSMA-Avid Rib Lesions: A Comprehensive Review. Cancers. 2025; 17(21):3404. https://doi.org/10.3390/cancers17213404
Chicago/Turabian StyleShamshirgaran, Amirreza, Mohammad Hadi Samadi, Michael Saeed, Sara Harsini, Pegah Sahafi, Ghasemali Divband, Gholamreza Mohammadi, Narjess Ayati, Ramin Sadeghi, Alessio Rizzo, and et al. 2025. "Fifty Shades of PSMA-Avid Rib Lesions: A Comprehensive Review" Cancers 17, no. 21: 3404. https://doi.org/10.3390/cancers17213404
APA StyleShamshirgaran, A., Samadi, M. H., Saeed, M., Harsini, S., Sahafi, P., Divband, G., Mohammadi, G., Ayati, N., Sadeghi, R., Rizzo, A., Treglia, G., & Askari, E. (2025). Fifty Shades of PSMA-Avid Rib Lesions: A Comprehensive Review. Cancers, 17(21), 3404. https://doi.org/10.3390/cancers17213404

