The Emerging Role of Radiation Therapy in Renal Cell Carcinoma
Abstract
Simple Summary
Abstract
1. Introduction
2. SAbR for Primary RCC
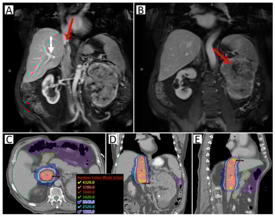
3. Locally Advanced RCC
4. Oligometastatic RCC
5. Oligoprogressive RCC
6. CNS and Spine Metastasis
7. Palliation
8. Conclusions
Funding
Institutional Review Board Statement
Informed Consent Statement
Data Availability Statement
Conflicts of Interest
References
- Linehan, W.M.; Walther, M.M.; Zbar, B. The Genetic Basis of Cancer of the Kidney. J. Urol. 2003, 170, 2163–2172. [Google Scholar] [CrossRef]
- Rabinovitch, R.A.; Zelefsky, M.J.; Gaynor, J.J.; Fuks, Z. Patterns of failure following surgical resection of renal cell carcinoma: Implications for adjuvant local and systemic therapy. J. Clin. Oncol. 1994, 12, 206–212. [Google Scholar] [CrossRef]
- Cozad, S.C.; Smalley, S.R.; Austenfeld, M.; Noble, M.; Jennings, S.; Raymond, R. Transitional cell carcinoma of the renal pelvis or ureter: Patterns of failure. Urology 1995, 46, 796–800. [Google Scholar] [CrossRef]
- Motzer, R.J.; Tannir, N.M.; McDermott, D.F.; Aren Frontera, O.; Melichar, B.; Choueiri, T.K.; Plimack, E.R.; Barthélémy, P.; Porta, C.; George, S.; et al. Nivolumab plus Ipilimumab versus Sunitinib in Advanced Renal-Cell Carcinoma. N. Engl. J. Med. 2018, 378, 1277–1290. [Google Scholar] [CrossRef]
- Rini, B.I.; Plimack, E.R.; Stus, V.; Gafanov, R.; Hawkins, R.; Nosov, D.; Pouliot, F.; Alekseev, B.; Soulières, D.; Melichar, B.; et al. Pembrolizumab plus Axitinib versus Sunitinib for Advanced Renal-Cell Carcinoma. N. Engl. J. Med. 2019, 380, 1116–1127. [Google Scholar] [CrossRef]
- Motzer, R.J.; Penkov, K.; Haanen, J.; Rini, B.; Albiges, L.; Campbell, M.T.; Venugopal, B.; Kollmannsberger, C.; Negrier, S.; Uemura, M.; et al. Avelumab plus Axitinib versus Sunitinib for Advanced Renal-Cell Carcinoma. N. Engl. J. Med. 2019, 380, 1103–1115. [Google Scholar] [CrossRef]
- Motzer, R.; Alekseev, B.; Rha, S.-Y.; Porta, C.; Eto, M.; Powles, T.; Grünwald, V.; Hutson, T.E.; Kopyltsov, E.; Méndez-Vidal, M.J.; et al. Lenvatinib plus Pembrolizumab or Everolimus for Advanced Renal Cell Carcinoma. N. Engl. J. Med. 2021, 384, 1289–1300. [Google Scholar] [CrossRef]
- Choueiri, T.K.; Powles, T.; Burotto, M.; Escudier, B.; Bourlon, M.T.; Zurawski, B.; Oyervides Juárez, V.M.; Hsieh, J.J.; Basso, U.; Shah, A.Y.; et al. Nivolumab plus Cabozantinib versus Sunitinib for Advanced Renal-Cell Carcinoma. N. Engl. J. Med. 2021, 384, 829–841. [Google Scholar] [CrossRef]
- Deschavanne, P.J.; Fertil, B. A review of human cell radiosensitivity in vitro. Int. J. Radiat. Oncol. 1996, 34, 251–266. [Google Scholar] [CrossRef]
- Kjaer, M.; Frederiksen, P.L.; Engelholm, S. Postoperative radiotherapy in stage II and III renal adenocarcinoma. A randomized trial by the Copenhagen renal cancer study group. Int. J. Radiat. Oncol. 1987, 13, 665–672. [Google Scholar] [CrossRef]
- Walsh, L.; Stanfield, J.L.; Cho, L.C.; Chang, C.-H.; Forster, K.; Kabbani, W.; Cadeddu, J.A.; Hsieh, J.-T.; Choy, H.; Timmerman, R.; et al. Efficacy of Ablative High-Dose-per-Fraction Radiation for Implanted Human Renal Cell Cancer in a Nude Mouse Model. Eur. Urol. 2006, 50, 795–800. [Google Scholar] [CrossRef]
- Ning, S.; Trisler, K.; Wessels, B.W.; Knox, S.J. Radiobiologic studies of radioimmunotherapy and external beam radiotherapy in vitro and in vivo in human renal cell carcinoma xenografts. Cancer 1997, 80 (Suppl. S12), 2519–2528. [Google Scholar] [CrossRef]
- Seung, S.K.; Larson, D.A.; Galvin, J.M.; Mehta, M.; Potters, L.; Schultz, C.J.; Yajnik, S.V.; Hartford, A.C.; Rosenthal, S.A. American College of Radiology (ACR) and American Society for Radiation Oncology (ASTRO) Practice Guideline for the Performance of Stereotactic Radiosurgery (SRS). Am. J. Clin. Oncol. 2013, 36, 310–315. [Google Scholar] [CrossRef]
- Timmerman, R.D.; Herman, J.; Cho, L.C. Emergence of Stereotactic Body Radiation Therapy and Its Impact on Current and Future Clinical Practice. J. Clin. Oncol. 2014, 32, 2847–2854. [Google Scholar] [CrossRef]
- Stanic, S.; Paulus, R.; Timmerman, R.D.; Michalski, J.M.; Barriger, R.B.; Bezjak, A.; Videtic, G.M.; Bradley, J. No Clinically Significant Changes in Pulmonary Function Following Stereotactic Body Radiation Therapy for Early- Stage Peripheral Non-Small Cell Lung Cancer: An Analysis of RTOG 0236. Int. J. Radiat. Oncol. 2014, 88, 1092–1099. [Google Scholar] [CrossRef]
- Meyer, J.J.; Foster, R.D.; Lev-Cohain, N.; Yokoo, T.; Dong, Y.; Schwarz, R.E.; Rule, W.; Tian, J.; Xie, Y.; Hannan, R.; et al. A Phase I Dose-Escalation Trial of Single-Fraction Stereotactic Radiation Therapy for Liver Metastases. Ann. Surg. Oncol. 2016, 23, 218–224. [Google Scholar] [CrossRef]
- Boike, T.P.; Lotan, Y.; Cho, L.C.; Brindle, J.; Derose, P.; Xie, X.-J.; Yan, J.; Foster, R.; Pistenmaa, D.; Perkins, A.; et al. Phase I Dose-Escalation Study of Stereotactic Body Radiation Therapy for Low- and Intermediate-Risk Prostate Cancer. J. Clin. Oncol. 2011, 29, 2020–2026. [Google Scholar] [CrossRef]
- Ryu, S.; Pugh, S.L.; Gerszten, P.C.; Yin, F.-F.; Timmerman, R.D.; Hitchcock, Y.J.; Movsas, B.; Kanner, A.A.; Berk, L.B.; Followill, D.S.; et al. RTOG 0631 phase 2/3 study of image guided stereotactic radiosurgery for localized (1-3) spine metastases: Phase 2 results. Pract. Radiat. Oncol. 2014, 4, 76–81. [Google Scholar] [CrossRef]
- Wersäll, P.J.; Blomgren, H.; Lax, I.; Kälkner, K.-M.; Linder, C.; Lundell, G.; Nilsson, B.; Nilsson, S.; Näslund, I.; Pisa, P.; et al. Extracranial stereotactic radiotherapy for primary and metastatic renal cell carcinoma. Radiother. Oncol. 2005, 77, 88–95. [Google Scholar] [CrossRef]
- Svedman, C.; Sandström, P.; Pisa, P.; Blomgren, H.; Lax, I.; Kälkner, K.-M.; Nilsson, S.; Wersäll, P. A prospective Phase II trial of using extracranial stereotactic radiotherapy in primary and metastatic renal cell carcinoma. Acta Oncol. 2006, 45, 870–875. [Google Scholar] [CrossRef]
- Zelefsky, M.J.; Greco, C.; Motzer, R.; Magsanoc, J.M.; Pei, X.; Lovelock, M.; Mechalakos, J.; Zatcky, J.; Fuks, Z.; Yamada, Y. Tumor Control Outcomes After Hypofractionated and Single-Dose Stereotactic Image-Guided Intensity-Modulated Radiotherapy for Extracranial Metastases From Renal Cell Carcinoma. Int. J. Radiat. Oncol. 2012, 82, 1744–1748. [Google Scholar] [CrossRef] [PubMed]
- Wang, C.J.; Christie, A.; Lin, M.-H.; Jung, M.; Weix, D.; Huelsmann, L.; Kuhn, K.; Meyer, J.; Desai, N.; Kim, D.W.N.; et al. Safety and Efficacy of Stereotactic Ablative Radiation Therapy for Renal Cell Carcinoma Extracranial Metastases. Int. J. Radiat. Oncol. 2017, 98, 91–100. [Google Scholar] [CrossRef] [PubMed]
- Beitler, J.J.; Makara, D.; Silverman, P.; Lederman, G. Definitive, High-Dose-Per-Fraction, Conformal, Stereotactic External Radiation for Renal Cell Carcinoma. Am. J. Clin. Oncol. 2004, 27, 646–648. [Google Scholar] [CrossRef]
- Gilson, B.; Lederman, G.; Qian, G.; Fastaia, M.; Cangiane, L. 2249: Hypo-fractionated Stereotactic Extra-Cranial Radiosurgery(HFSR) for Primary and Metastatic Renal Cell Carcinoma. Int. J. Radiat. Oncol. 2006, 66, S349. [Google Scholar] [CrossRef]
- Sun, M.R.M.; Brook, A.; Powell, M.F.; Kaliannan, K.; Wagner, A.A.; Kaplan, I.D.; Pedrosa, I. Effect of Stereotactic Body Radiotherapy on the Growth Kinetics and Enhancement Pattern of Primary Renal Tumors. Am. J. Roentgenol. 2016, 206, 544–553. [Google Scholar] [CrossRef]
- Ponsky, L.; Lo, S.S.; Zhang, Y.; Schluchter, M.; Liu, Y.; Patel, R.; Abouassaly, R.; Welford, S.; Gulani, V.; Haaga, J.R.; et al. Phase I dose-escalation study of stereotactic body radiotherapy (SBRT) for poor surgical candidates with localized renal cell carcinoma. Radiother. Oncol. 2015, 117, 183–187. [Google Scholar] [CrossRef]
- Siva, S.; Pham, D.; Kron, T.; Bressel, M.; Lam, J.; Tan, T.H.; Chesson, B.; Shaw, M.; Chander, S.; Gill, S.; et al. Stereotactic ablative body radiotherapy for inoperable primary kidney cancer: A prospective clinical trial. Br. J. Urol. 2017, 120, 623–630. [Google Scholar] [CrossRef]
- Siva, S.; Louie, A.V.; Warner, A.; Muacevic, A.; Gandhidasan, S.; Ponsky, L.; Ellis, R.; Kaplan, I.; Mahadevan, A.; Chu, W.; et al. Pooled analysis of stereotactic ablative radiotherapy for primary renal cell carcinoma: A report from the International Radiosurgery Oncology Consortium for Kidney (IROCK). Cancer 2017, 124, 934–942. [Google Scholar] [CrossRef]
- Siva, S.; Muacevic, A.; Staehler, M.; Warner, A.; Gandhidasan, S.; Ponsky, L.; Ellis, R.; Kaplan, I.; Mahadevan, A.; Chu, W.; et al. Individual Patient Data Meta-analysis of SBRT Kidney: A Report from the International Radiosurgery Oncology Consortium for Kidney (IROCK). Int. J. Radiat. Oncol. 2017, 99, S153–S154. [Google Scholar] [CrossRef][Green Version]
- Correa, R.J.; Louie, A.V.; Zaorsky, N.G.; Lehrer, E.; Ellis, R.; Ponsky, L.; Kaplan, I.; Mahadevan, A.; Chu, W.; Swaminath, A.; et al. The Emerging Role of Stereotactic Ablative Radiotherapy for Primary Renal Cell Carcinoma: A Systematic Review and Meta-Analysis. Eur. Urol. Focus 2019, 5, 958–969. [Google Scholar] [CrossRef]
- Siva, S.; Correa, R.J.; Warner, A.; Staehler, M.; Ellis, R.J.; Ponsky, L.; Kaplan, I.D.; Mahadevan, A.; Chu, W.; Gandhidasan, S.; et al. Stereotactic Ablative Radiotherapy for ≥T1b Primary Renal Cell Carcinoma: A Report From the International Radiosurgery Oncology Consortium for Kidney (IROCK). Int. J. Radiat. Oncol. 2020, 108, 941–949. [Google Scholar] [CrossRef] [PubMed]
- Hannan, R.; Margulis, V.; Chun, S.G.; Cannon, N.; Kim, D.W.N.; Abdulrahman, R.E.; Sagalowsky, A.; Pedrosa, I.; Choy, H.; Brugarolas, J.; et al. Stereotactic radiation therapy of renal cancer inferior vena cava tumor thrombus. Cancer Biol. Ther. 2015, 16, 657–661. [Google Scholar] [CrossRef] [PubMed]
- Haddad, A.Q.; Leibovich, B.C.; Abel, E.J.; Luo, J.-H.; Krabbe, L.-M.; Thompson, R.H.; Heckman, J.E.; Merrill, M.M.; Gayed, B.A.; Sagalowsky, A.I.; et al. Preoperative multivariable prognostic models for prediction of survival and major complications following surgical resection of renal cell carcinoma with suprahepatic caval tumor thrombus. Urol. Oncol. Semin. Orig. Investig. 2015, 33, 388.e1–388.e9. [Google Scholar] [CrossRef]
- Freifeld, Y.; Pedrosa, I.; Mclaughlin, M.; Correa, R.M.; Louie, A.V.; Maldonado, J.A.; Tang, C.; Kadow, B.; Kutikov, A.; Uzzo, R.G.; et al. Stereotactic ablative radiation therapy for renal cell carcinoma with inferior vena cava tumor thrombus. Urol. Oncol. Semin. Orig. Investig. 2022, 40, 166.e9–166.e13. [Google Scholar] [CrossRef] [PubMed]
- Margulis, V.; Freifeld, Y.; Pop, L.M.; Manna, S.; Kapur, P.; Pedrosa, I.; Christie, A.; Mohamad, O.; Mannala, S.; Singla, N.; et al. Neoadjuvant SABR for Renal Cell Carcinoma Inferior Vena Cava Tumor Thrombus—Safety Lead-in Results of a Phase 2 Trial. Int. J. Radiat. Oncol. 2021, 110, 1135–1142. [Google Scholar] [CrossRef]
- Méjean, A.; Ravaud, A.; Thezenas, S.; Colas, S.; Beauval, J.-B.; Bensalah, K.; Geoffrois, L.; Thiery-Vuillemin, A.; Cormier, L.; Lang, H.; et al. Sunitinib Alone or after Nephrectomy in Metastatic Renal-Cell Carcinoma. N. Engl. J. Med. 2018, 379, 417–427. [Google Scholar] [CrossRef]
- Singh, A.K.; Winslow, T.B.; Kermany, M.H.; Goritz, V.; Heit, L.; Miller, A.; Hoffend, N.C.; Stein, L.C.; Kumaraswamy, L.K.; Warren, G.W.; et al. A Pilot Study of Stereotactic Body Radiation Therapy Combined with Cytoreductive Nephrectomy for Metastatic Renal Cell Carcinoma. Clin. Cancer Res. 2017, 23, 5055–5065. [Google Scholar] [CrossRef]
- Ko, J.J.; Xie, W.; Kroeger, N.; Lee, J.-L.; Rini, B.I.; Knox, J.J.; Bjarnason, G.A.; Srinivas, S.; Pal, S.K.; Yuasa, T.; et al. The International Metastatic Renal Cell Carcinoma Database Consortium model as a prognostic tool in patients with metastatic renal cell carcinoma previously treated with first-line targeted therapy: A population-based study. Lancet Oncol. 2015, 16, 293–300. [Google Scholar] [CrossRef]
- Rini, B.I.; Dorff, T.B.; Elson, P.; Rodriguez, C.S.; Shepard, D.; Wood, L.; Humbert, J.; Pyle, L.; Wong, Y.-N.; Finke, J.H.; et al. Active surveillance in metastatic renal-cell carcinoma: A prospective, phase 2 trial. Lancet Oncol. 2016, 17, 1317–1324. [Google Scholar] [CrossRef]
- Singla, N.; Xie, Z.; Zhang, Z.; Gao, M.; Yousuf, Q.; Onabolu, O.; McKenzie, T.; Tcheuyap, V.T.; Ma, Y.; Choi, J.; et al. Pancreatic tropism of metastatic renal cell carcinoma. JCI Insight 2020, 5, e134564. [Google Scholar] [CrossRef]
- Dabestani, S.; Marconi, L.; Hofmann, F.; Stewart, F.; Lam, T.B.L.; Canfield, S.; Staehler, M.; Powles, T.; Ljungberg, B.; Bex, A. Local treatments for metastases of renal cell carcinoma: A systematic review. Lancet Oncol. 2014, 15, e549–e561. [Google Scholar] [CrossRef]
- Zhang, Y.; Schoenhals, J.; Christie, A.; Mohamad, O.; Wang, C.; Bowman, I.; Singla, N.; Hammers, H.; Courtney, K.; Bagrodia, A.; et al. Stereotactic Ablative Radiation Therapy (SAbR) Used to Defer Systemic Therapy in Oligometastatic Renal Cell Cancer. Int. J. Radiat. Oncol. 2019, 105, 367–375. [Google Scholar] [CrossRef] [PubMed]
- Tang, C.; Msaouel, P.; Hara, K.; Choi, H.; Le, V.; Shah, A.Y.; Wang, J.; Jonasch, E.; Choi, S.; Nguyen, Q.-N.; et al. Definitive radiotherapy in lieu of systemic therapy for oligometastatic renal cell carcinoma: A single-arm, single-centre, feasibility, phase 2 trial. Lancet Oncol. 2021, 22, 1732–1739. [Google Scholar] [CrossRef]
- Hannan, R.; Christensen, M.; Christie, A.; Garant, A.; Pedrosa, I.; Robles, L.; Mannala, S.; Wang, C.; Hammers, H.; Arafat, W.; et al. Stereotactic Ablative Radiation for Systemic Therapy–naïve Oligometastatic Kidney Cancer. Eur. Urol. Oncol. 2022, in press. [Google Scholar] [CrossRef] [PubMed]
- Naito, S.; Yamamoto, N.; Takayama, T.; Muramoto, M.; Shinohara, N.; Nishiyama, K.; Takahashi, A.; Maruyama, R.; Saika, T.; Hoshi, S.; et al. Prognosis of Japanese Metastatic Renal Cell Carcinoma Patients in the Cytokine Era: A Cooperative Group Report of 1463 Patients. Eur. Urol. 2010, 57, 317–326. [Google Scholar] [CrossRef] [PubMed]
- Tosco, L.; Van Poppel, H.; Frea, B.; Gregoraci, G.; Joniau, S. Survival and Impact of Clinical Prognostic Factors in Surgically Treated Metastatic Renal Cell Carcinoma. Eur. Urol. 2013, 63, 646–652. [Google Scholar] [CrossRef] [PubMed]
- Salama, J.K.; Hasselle, M.D.; Chmura, S.J.; Malik, R.; Mehta, N.; Yenice, K.M.; Villaflor, V.M.; Stadler, W.M.; Hoffman, P.C.; Cohen, E.; et al. Stereotactic body radiotherapy for multisite extracranial oligometastases. Cancer 2011, 118, 2962–2970. [Google Scholar] [CrossRef]
- Chalkidou, A.; Macmillan, T.; Grzeda, M.T.; Peacock, J.; Summers, J.; Eddy, S.; Coker, B.; Patrick, H.; Powell, H.; Berry, L.; et al. Stereotactic ablative body radiotherapy in patients with oligometastatic cancers: A prospective, registry-based, single-arm, observational, evaluation study. Lancet Oncol. 2021, 22, 98–106. [Google Scholar] [CrossRef]
- Hannan, R.; Christensen, M.; Robles, L.; Christie, A.; Garant, A.; Desai, N.B.; Hammers, H.J.; Arafat, W.; Bowman, I.A.; Cole, S.; et al. Phase II trial of stereotactic ablative radiation (SAbR) for oligometastatic kidney cancer. J. Clin. Oncol. 2021, 39, 311. [Google Scholar] [CrossRef]
- Potters, L.; Kavanagh, B.; Galvin, J.M.; Hevezi, J.M.; Janjan, N.A.; Larson, D.A.; Mehta, M.P.; Ryu, S.; Steinberg, M.; Timmerman, R.; et al. American Society for Therapeutic Radiology and Oncology (ASTRO) and American College of Radiology (ACR) Practice Guideline for the Performance of Stereotactic Body Radiation Therapy. Int. J. Radiat. Oncol. Biol. Phys. 2010, 76, 326–332. [Google Scholar] [CrossRef]
- Gerlinger, M.; Rowan, A.J.; Horswell, S.; Math, M.; Larkin, J.; Endesfelder, D.; Gronroos, E.; Martinez, P.; Matthews, N.; Stewart, A.; et al. Intratumor heterogeneity and branched evolution revealed by multiregion sequencing. N. Engl. J. Med. 2012, 366, 883–892. [Google Scholar] [CrossRef] [PubMed]
- Turajlic, S.; Xu, H.; Litchfield, K.; Rowan, A.; Chambers, T.; Lopez, J.I.; Nicol, D.; O’Brien, T.; Larkin, J.; Horswell, S.; et al. Tracking Cancer Evolution Reveals Constrained Routes to Metastases: TRACERx Renal. Cell 2018, 173, 581–594.e12. [Google Scholar] [CrossRef]
- Cao, G.; Wu, X.; Wang, Z.; Tian, X.; Zhang, C.; Wu, X.; Zhang, H.; Jing, G.; Yan, T. What is the optimum systemic treatment for advanced/metastatic renal cell carcinoma of favourable, intermediate and poor risk, respectively? A systematic review and network meta-analysis. BMJ Open 2020, 10, e034626. [Google Scholar] [CrossRef] [PubMed]
- Schoenhals, J.; Mohamad, O.; Christie, A.; Garant, A.; Desai, N.B.; Bowman, I.; Courtney, K.; Hammers, H.; Timmerman, R.D.; Brugarolas, J.; et al. Stereotactic Ablative Radiotherapy for Oligoprogressive Renal Cell Carcinoma. Adv. Radiat. Oncol. 2021, 6, 100692. [Google Scholar] [CrossRef] [PubMed]
- Santini, D.; Ratta, R.; Pantano, F.; De Lisi, D.; Maruzzo, M.; Galli, L.; Biasco, E.; Farnesi, A.; Buti, S.; Sternberg, C.N.; et al. Outcome of oligoprogressing metastatic renal cell carcinoma patients treated with locoregional therapy: A multicenter retrospective analysis. Oncotarget 2017, 8, 100708–100716. [Google Scholar] [CrossRef]
- Meyer, E.; Pasquier, D.; Bernadou, G.; Calais, G.; Maroun, P.; Bossi, A.; Theodore, C.; Albiges, L.; Stefan, D.; De Crevoisier, R.; et al. Stereotactic radiation therapy in the strategy of treatment of metastatic renal cell carcinoma: A study of the Getug group. Eur. J. Cancer 2018, 98, 38–47. [Google Scholar] [CrossRef]
- Franzese, C.; Franceschini, D.; Di Brina, L.; D’Agostino, G.R.; Navarria, P.; Comito, T.; Mancosu, P.; Tomatis, S.; Scorsetti, M. Role of Stereotactic Body Radiation Therapy for the Management of Oligometastatic Renal Cell Carcinoma. J. Urol. 2018, 201, 70–76. [Google Scholar] [CrossRef]
- Stenman, M.; Sinclair, G.; Paavola, P.; Wersäll, P.; Harmenberg, U.; Lindskog, M. Overall survival after stereotactic radiotherapy or surgical metastasectomy in oligometastatic renal cell carcinoma patients treated at two Swedish centres 2005–2014. Radiother. Oncol. 2018, 127, 501–506. [Google Scholar] [CrossRef]
- Kothari, G.; Foroudi, F.; Gill, S.; Corcoran, N.M.; Siva, S. Outcomes of stereotactic radiotherapy for cranial and extracranial metastatic renal cell carcinoma: A systematic review. Acta Oncol. 2014, 54, 148–157. [Google Scholar] [CrossRef]
- De, B.; Venkatesan, A.M.; Msaouel, P.; Ghia, A.J.; Li, J.; Yeboa, D.N.; Nguyen, Q.; Bishop, A.J.; Jonasch, E.; Shah, A.Y.; et al. Definitive radiotherapy for extracranial oligoprogressive metastatic renal cell carcinoma as a strategy to defer systemic therapy escalation. Br. J. Urol. 2021, 129, 610–620. [Google Scholar] [CrossRef]
- Cheung, P.; Patel, S.; North, S.A.; Sahgal, A.; Chu, W.; Soliman, H.; Ahmad, B.; Winquist, E.; Niazi, T.; Patenaude, F.; et al. Stereotactic Radiotherapy for Oligoprogression in Metastatic Renal Cell Cancer Patients Receiving Tyrosine Kinase Inhibitor Therapy: A Phase 2 Prospective Multicenter Study. Eur. Urol. 2021, 80, 693–700. [Google Scholar] [CrossRef] [PubMed]
- Hannan, R.; Christensen, M.; Hammers, H.; Christie, A.; Paulman, B.; Lin, D.; Garant, A.; Arafat, W.; Courtney, K.; Bowman, I.; et al. Phase II Trial of Stereotactic Ablative Radiation for Oligoprogressive Metastatic Kidney Cancer. Eur. Urol. Oncol. 2022, 5, 216–224. [Google Scholar] [CrossRef] [PubMed]
- Sha, C.M.; Lehrer, E.J.; Hwang, C.; Trifiletti, D.M.; Mackley, H.B.; Drabick, J.J.; Zaorsky, N.G. Toxicity in combination immune checkpoint inhibitor and radiation therapy: A systematic review and meta-analysis. Radiother. Oncol. 2020, 151, 141–148. [Google Scholar] [CrossRef]
- Verma, V.; Cushman, T.R.; Tang, C.; Welsh, J.W. Toxicity of radiation and immunotherapy combinations. Adv. Radiat. Oncol. 2018, 3, 506–511. [Google Scholar] [CrossRef] [PubMed]
- Meng, X.; Feng, R.; Yang, L.; Xing, L.; Yu, J. The Role of Radiation Oncology in Immuno-Oncology. Oncologist 2019, 24, S42–S52. [Google Scholar] [CrossRef] [PubMed]
- Mohamad, O.; De Leon, A.D.; Schroeder, S.; Leiker, A.; Christie, A.; Zhang-Velten, E.; Trivedi, L.; Khan, S.; Desai, N.B.; Laine, A.; et al. Safety and efficacy of concurrent immune checkpoint inhibitors and hypofractionated body radiotherapy. OncoImmunology 2018, 7, e1440168. [Google Scholar] [CrossRef]
- Tang, C.; Welsh, J.W.; de Groot, P.; Massarelli, E.; Chang, J.Y.; Hess, K.R.; Basu, S.; Curran, M.A.; Cabanillas, M.E.; Subbiah, V.; et al. Ipilimumab with Stereotactic Ablative Radiation Therapy: Phase I Results and Immunologic Correlates from Peripheral T Cells. Clin. Cancer Res. 2017, 23, 1388–1396. [Google Scholar] [CrossRef] [PubMed]
- Tchelebi, L.T.; Batchelder, E.; Wang, M.; Lehrer, E.J.; Drabick, J.J.; Sharma, N.; Machtay, M.; Trifiletti, D.M.; Zaorsky, N.G. Radiotherapy and Receptor Tyrosine Kinase Inhibition for Solid Cancers (ROCKIT): A Meta-Analysis of 13 Studies. JNCI Cancer Spectr. 2021, 5, pkab050. [Google Scholar] [CrossRef]
- Anscher, M.S.; Arora, S.; Weinstock, C.; Amatya, A.; Bandaru, P.; Tang, C.; Girvin, A.T.; Fiero, M.H.; Tang, S.; Lubitz, R.; et al. Association of Radiation Therapy With Risk of Adverse Events in Patients Receiving Immunotherapy: A Pooled Analysis of Trials in the US Food and Drug Administration Database. JAMA Oncol. 2022, 8, 232–240. [Google Scholar] [CrossRef]
- Sheehan, J.P.; Sun, M.-H.; Kondziolka, D.; Flickinger, J.; Lunsford, L.D. Radiosurgery in patients with renal cell carcinoma metastasis to the brain: Long-term outcomes and prognostic factors influencing survival and local tumor control. J. Neurosurg. 2003, 98, 342–349. [Google Scholar] [CrossRef]
- Du, Y.; Pahernik, S.; Hadaschik, B.; Teber, D.; Duensing, S.; Jäger, D.; Hohenfellner, M.; Grüllich, C. Impact of resection and systemic therapy on the survival of patients with brain metastasis of metastatic renal cell carcinoma. J. Neuro-Oncol. 2016, 130, 221–228. [Google Scholar] [CrossRef] [PubMed]
- Chang, E.L.; Wefel, J.S.; Hess, K.R.; Allen, P.K.; Lang, F.F.; Kornguth, D.G.; Arbuckle, R.B.; Swint, J.M.; Shiu, A.S.; Maor, M.H.; et al. Neurocognition in patients with brain metastases treated with radiosurgery or radiosurgery plus whole-brain irradiation: A randomised controlled trial. Lancet Oncol. 2009, 10, 1037–1044. [Google Scholar] [CrossRef]
- Wardak, Z.; Christie, A.; Bowman, A.; Stojadinovic, S.; Nedzi, L.; Barnett, S.; Patel, T.; Mickey, B.; Whitworth, T.; Hannan, R.; et al. Stereotactic Radiosurgery for Multiple Brain Metastases From Renal-Cell Carcinoma. Clin. Genitourin. Cancer 2018, 17, e273–e280. [Google Scholar] [CrossRef]
- Shuto, T.; Matsunaga, S.; Suenaga, J.; Inomori, S.; Fujino, H. Treatment strategy for metastatic brain tumors from renal cell carcinoma: Selection of gamma knife surgery or craniotomy for control of growth and peritumoral edema. J. Neuro-Oncol. 2010, 98, 169–175. [Google Scholar] [CrossRef]
- Muacevic, A.; Kreth, F.W.; Mack, A.; Tonn, J.-C.; Wowra, B. Stereotactic Radiosurgery without Radiation Therapy Providing High Local Tumor Control of Multiple Brain Metastases from Renal Cell Carcinoma. min-Minim. Invasive Neurosurg. 2004, 47, 203–208. [Google Scholar] [CrossRef]
- Noel, G.; Valery, C.-A.; Boisserie, G.; Cornu, P.; Hasboun, D.; Simon, J.M.; Tep, B.; Ledu, D.; Delattre, J.-Y.; Marsault, C.; et al. LINAC radiosurgery for brain metastasis of renal cell carcinoma. Urol. Oncol. Semin. Orig. Investig. 2004, 22, 25–31. [Google Scholar] [CrossRef]
- Levy, D.A.; Slaton, J.W.; Swanson, D.A.; Dinney, C.P. Stage specific guidelines for surveillance after radical nephrectomy for local renal cell carcinoma. J. Urol. 1998, 159, 1163–1167. [Google Scholar] [CrossRef]
- Shvarts, O.; Lam, J.S.; Kim, H.L.; Han, K.-R.; Figlin, R.; Belldegrun, A. Eastern cooperative oncology group performance status predicts bone metastasis in patients presenting with renal cell carcinoma: Implication for preoperative bone scans. J. Urol. 2004, 172, 867–870. [Google Scholar] [CrossRef] [PubMed]
- Teyssonneau, D.; Gross-Goupil, M.; Domblides, C.; Haaser, T.; Pointillart, V.; Daste, A.; Hauger, O.; Ravaud, A. Treatment of spinal metastases in renal cell carcinoma: A critical review. Crit. Rev. Oncol. 2018, 125, 19–29. [Google Scholar] [CrossRef]
- Balagamwala, E.H.; Angelov, L.; Koyfman, S.A.; Suh, J.H.; Reddy, C.A.; Djemil, T.; Hunter, G.K.; Xia, P.; Chao, S.T. Single-fraction stereotactic body radiotherapy for spinal metastases from renal cell carcinoma. J. Neurosurg. Spine 2012, 17, 556–564. [Google Scholar] [CrossRef]
- Nguyen, Q.-N.; Shiu, A.S.; Rhines, L.D.; Wang, H.; Allen, P.K.; Wang, X.S.; Chang, E.L. Management of Spinal Metastases From Renal Cell Carcinoma Using Stereotactic Body Radiotherapy. Int. J. Radiat. Oncol. 2010, 76, 1185–1192. [Google Scholar] [CrossRef] [PubMed]
- Laufer, I.; Iorgulescu, J.B.; Chapman, T.; Lis, E.; Shi, W.; Zhang, Z.; Cox, B.W.; Yamada, Y.; Bilsky, M.H. Local disease control for spinal metastases following “separation surgery” and adjuvant hypofractionated or high-dose single-fraction stereotactic radiosurgery: Outcome analysis in 186 patients. J. Neurosurg. Spine 2013, 18, 207–214. [Google Scholar] [CrossRef] [PubMed]
- Thibault, I.; Al-Omair, A.; Masucci, G.L.; Masson-Côté, L.; Lochray, F.; Korol, R.; Cheng, L.; Xu, W.; Yee, A.; Fehlings, M.G.; et al. Spine stereotactic body radiotherapy for renal cell cancer spinal metastases: Analysis of outcomes and risk of vertebral compression fracture. J. Neurosurg. Spine 2014, 21, 711–718. [Google Scholar] [CrossRef] [PubMed]
- Bianchi, M.; Sun, M.; Jeldres, C.; Shariat, S.F.; Trinh, Q.-D.; Briganti, A.; Tian, Z.; Schmitges, J.; Graefen, M.; Perrotte, P.; et al. Distribution of metastatic sites in renal cell carcinoma: A population-based analysis. Ann. Oncol. 2011, 23, 973–980. [Google Scholar] [CrossRef]
- Nikolaev, A.; Benda, R. Palliative Radiation Therapy for Symptomatic Control of Inoperable Renal Cell Carcinoma. Urol. Case Rep. 2015, 4, 51–52. [Google Scholar] [CrossRef][Green Version]


| Reference | Patients | Study Design | Follow-Up | Key Findings | Notes |
|---|---|---|---|---|---|
| Primary RCC | |||||
| Ponsky, Radiotherapy and Oncology 2015 [26] | 19 | Phase 1 dose escalation | 13.7 months (median) | 48Gy/4Fx without dose-limiting tox, acute G4 tox 5.2%, 80% stable disease, 20% partial response | |
| Sun, American Journal of Roentgenology 2016 [25] | 40 | Phase 1 dose escalation | 1.5 years (mean) | LC 92.7%, mean tumor volume growth rate decreased from 21.2 cm3/y prior to SAbR to −5.35 cm3/y post-treatment | No statistically significant change in tumor enhancement post radiation |
| Siva, Cancer 2017 [28] | 223 | Pooled Analysis of individual patient data pooled | 2.6 years (median) | 2-yr LC 97.8%, CSS 95.7%, PFS 77.4%. 4-yr 97.8%, 91.9%, and 65.4%. G3+ tox 1.3% | No difference in LF between single Fx cohort and multi-fraction cohort |
| Correa, European Urology Focus 2019 [30] | 372 | Meta-analysis | 28 months (median) | Random-effect estimates LC 97.2%, G3+ tox 1.5% | hisology confirmed 78.9% |
| Siva, IJROBP 2020 [31] | 95 | Pooled Analysis of individual patient data pooled | 2.7 years | 2-yr CSS 96.1%, OS 83.7%, PFS 81.0%. 4-yr LF 2.9%, DF 11.1%, any failure 12.1%. G3+ tox 0% | T1b tumors only |
| Locally Advanced RCC | |||||
| Hannan, Cancer Biology Therapy 2015 [32] | 2 | Case series, neo-SAbR for RCC IVC TT followed by RN and thrombectomy | 20 months | 24mo survival; other patient survived 18 months post-SAbR. No acute or late treatment-related toxicity. | Comparable to reported median survival of 20mo in patients with level IV IVC-TT treated with surgical resection |
| Margulis, IJROBP 2021 [35] | 6 | Prospective Phase 1-2 Neo-SAbR for RCC IVC TT followed by RN and thrombectomy | 24 months | G3+ AEs after within 90s of surgery 4%, Of 3 patients with mets at Dx, 1 CR and 1 partial abscopal response without use of concurrent systemic therapy | |
| Oligometastatic RCC | |||||
| Svedman, Acta Oncologica 2006 [20] | 30 | Prospective Phase 2 trial | 52 months median | LC 79% (loss to follow-up) or 98% if all stable, OS 32 months | |
| Zhang, IJROBP 2019 [42] | 47 | Retrospective review | 30 months (median) | 2-yr LC 91.5%, G3+ tox 0%, median freedom from systemic therapy 15.2 months, 2-yr OS 84.8% | |
| Tang, Lancet Oncology 2021 [43] | 30 | Single arm phase 2 | 17.5 months | Median PFS 22.7mo, 1-yr systemic therapy-free survival probability 82%, 10% G3+ tox | |
| Hannan, European Urology Oncology 2022 [44] | 23 | Single arm phase 2 | 21.7 months | 1-yr freedom from systemic therapy 91.3%, 1-yr PFS 82.6%, LC 100%, G3/4 tox 0%, one death due to immune-related colitis on checkpoint inhibitor therapy; | 1-yr OS 95.7%, 1-yr CSS 100% |
| Oligoprogressive RCC | |||||
| Schoenhals, Advances in Radiation Oncology, 2021 [54] | 36 | Retrospective review | 20.4 months (median) | Median PFS 9.2 months, median OS 43.4 months, 1-yr LC 93%, G1-2 tox 33%, 1 G5 tox related to treatment or disease progression | |
| Cheung, European Urology 2021 [61] | 37 | Prospective multicenter | 11.8 months | 1-yr LC 93%, median PFS 9.3mo, median time to change systemic therapy 12.6mo, no G3+ toxicities | |
| Hannan, European Urology Oncology 2021 [62] | 20 | Prospective phase 2 | 10.4 months | LC 100%, median time of new systemic therapy or death 11.1 months, median duration of SAbR-aided systemic therapy 24.4 months, G3+ tox 5% | |
Publisher’s Note: MDPI stays neutral with regard to jurisdictional claims in published maps and institutional affiliations. |
© 2022 by the authors. Licensee MDPI, Basel, Switzerland. This article is an open access article distributed under the terms and conditions of the Creative Commons Attribution (CC BY) license (https://creativecommons.org/licenses/by/4.0/).
Share and Cite
Christensen, M.; Hannan, R. The Emerging Role of Radiation Therapy in Renal Cell Carcinoma. Cancers 2022, 14, 4693. https://doi.org/10.3390/cancers14194693
Christensen M, Hannan R. The Emerging Role of Radiation Therapy in Renal Cell Carcinoma. Cancers. 2022; 14(19):4693. https://doi.org/10.3390/cancers14194693
Chicago/Turabian StyleChristensen, Michael, and Raquibul Hannan. 2022. "The Emerging Role of Radiation Therapy in Renal Cell Carcinoma" Cancers 14, no. 19: 4693. https://doi.org/10.3390/cancers14194693
APA StyleChristensen, M., & Hannan, R. (2022). The Emerging Role of Radiation Therapy in Renal Cell Carcinoma. Cancers, 14(19), 4693. https://doi.org/10.3390/cancers14194693
