Formulation of W/O/W Emulsion-Based Chitosan-Alginate Microcapsules for Encapsulation of Cannabidiol and A. annua L. Extract Containing Luteolin and Apigenin: A Response Surface Optimization Approach
Abstract
1. Introduction
2. Materials and Methods
2.1. Materials
2.2. Preparation of Artemisia annua L. Extract
2.3. W/O/W Emulsion Composition
2.4. Preparation of Microcapsules
2.5. Surface Response Design
2.6. Creaming Index (CI) Determination
2.7. Viscosity Determination
2.8. Inner and Outer Emulsion Droplet and Microcapsule Size Determination
2.9. HPLC Analysis of Apigenin and Luteolin
2.10. GC Analysis of CBD
2.11. EE and EY of Active Ingredients Determination
2.12. Moisture Content Determination
2.13. Compression Test
2.14. Bulk Density Determination
2.15. Release In Vitro of Active Ingredients Determination
2.16. SEM Analysis of Microcapsules
2.17. FT-IR Analysis of Microcapsules
2.18. Statistical Analysis
3. Results and Discussion
3.1. Surface Response Design Approach for Optimal W/O/W Emulsion Composition
3.1.1. Creaming Index (CI) Determination
3.1.2. W/O/W Emulsion Viscosity Determination
3.1.3. W/O/W Emulsion Inner and Outer Droplet Size Determination
3.1.4. Encapsulation Efficiency (EE) and Encapsulation Yield (EY) Evaluation
3.1.5. The W/O/W Emulsion Optimization
3.2. Surface Response Design Approach for Process Optimization of Alginate–Chitosan Microcapules Prepared Using W/O/W Emulsion
3.2.1. Microcapsule Moisture Content Determination
3.2.2. Microcapsule Texture Analysis
3.2.3. Microcapsule Bulk Density Determination
3.2.4. Microcapsule Size Determination
3.2.5. Encapsulation Efficiency and Encapsulation Yield Determination
3.2.6. Cumulative Release In Vitro of Bioactive Ingredients Determination
3.2.7. Microcapsule Technological Optimization
3.3. Comparison of the Microcapsules after Composition and Process Optimization
3.3.1. Release In Vitro Comparison
3.3.2. Microcapsule FT-IR Analysis
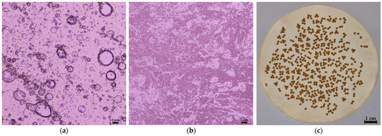
3.3.3. SEM Analysis
4. Conclusions
Author Contributions
Funding
Institutional Review Board Statement
Informed Consent Statement
Data Availability Statement
Acknowledgments
Conflicts of Interest
Abbreviations
| W/O/W | Water-in-oil-in-water-type emulsion |
| SEM | Scanning electron microscopy |
| FT-IR | Fourier transform infrared spectroscopy |
| HPLC-DAD | High-performance liquid chromatography equipped with diode array detector |
| GC-FID | Gas chromatography with flame ionization detection |
| EE | Encapsulation efficiency |
| EY | Encapsulation yield |
| CI | Creaming index |
| CBD | Cannabidiol |
References
- Anibogwu, R.; De Jesus, K.; Pradhan, S.; Pashikanti, S.; Mateen, S.; Sharma, K. Extraction, Isolation and Characterization of Bioactive Compounds from Artemisia and Their Biological Significance: A Review. Molecules 2021, 26, 6995. [Google Scholar] [CrossRef] [PubMed]
- Risaliti, L.; Pini, G.; Ascrizzi, R.; Donato, R.; Sacco, C.; Bergonzi, M.C.; Salvatici, M.C.; Bilia, A.R. Artemisia Annua Essential Oil Extraction, Characterization, and Incorporation in Nanoliposomes, Smart Drug Delivery Systems against Candida Species. J. Drug Deliv. Sci. Technol. 2020, 59, 101849. [Google Scholar] [CrossRef]
- Han, X.; Chai, Y.; Lv, C.; Chen, Q.; Liu, J.; Wang, Y.; Chou, G. Sesquiterpenes from Artemisia Annua and Their Cytotoxic Activities. Molecules 2022, 27, 5079. [Google Scholar] [CrossRef]
- Abate, G.; Zhang, L.; Pucci, M.; Morbini, G.; Mac Sweeney, E.; Maccarinelli, G.; Ribaudo, G.; Gianoncelli, A.; Uberti, D.; Memo, M.; et al. Phytochemical Analysis and Anti-Inflammatory Activity of Different Ethanolic Phyto-Extracts of Artemisia Annua L. Biomolecules 2021, 11, 975. [Google Scholar] [CrossRef] [PubMed]
- Efferth, T. From Ancient Herb to Modern Drug: Artemisia Annua and Artemisinin for Cancer Therapy. Semin. Cancer Biol. 2017, 46, 65–83. [Google Scholar] [CrossRef]
- Sharifi-Rad, J.; Herrera-Bravo, J.; Semwal, P.; Painuli, S.; Badoni, H.; Ezzat, S.M.; Farid, M.M.; Merghany, R.M.; Aborehab, N.M.; Salem, M.A.; et al. Artemisia spp.: An Update on Its Chemical Composition, Pharmacological and Toxicological Profiles. Oxidative Med. Cell. Longev. 2022, 2022, 5628601. [Google Scholar] [CrossRef] [PubMed]
- Wani, K.I.; Zehra, A.; Choudhary, S.; Naeem, M.; Khan, M.A.; Khan, R.; Aftab, T. Artemisia Annua L.: Traditional Uses, Phytochemistry, and Pharmacological Activities. In Medicinal Plants of the Asteraceae Family: Traditional Uses, Phytochemistry and Pharmacological Activities; Springer Nature: Berlin/Heidelberg, Germany, 2022; pp. 17–42. [Google Scholar]
- ElSohly, M.A.; Radwan, M.M.; Gul, W.; Chandra, S.; Galal, A. Phytochemistry of Cannabis Sativa L. Prog. Chem. Org. Nat. Prod. 2017, 103, 1–36. [Google Scholar] [PubMed]
- Asati, A.K.; Sahoo, H.B.; Sahu, S.; Dwivedi, A. Phytochemical and Pharmacological Profile of Cannabis Sativa L. Int. J. Indig. Herbs Drugs 2017, 2, 37–45. [Google Scholar]
- Peng, J.; Fan, M.; An, C.; Ni, F.; Huang, W.; Luo, J. A Narrative Review of Molecular Mechanism and Therapeutic Effect of Cannabidiol (CBD). Basic Clin. Pharmacol. Toxicol. 2022, 130, 439–456. [Google Scholar] [CrossRef] [PubMed]
- Fukushima, S.; Kishimoto, S.; Takeuchi, Y.; Fukushima, M. Preparation and Evaluation of o/w Type Emulsions Containing Antitumor Prostaglandin. Adv. Drug Deliv. Rev. 2000, 45, 65–75. [Google Scholar] [CrossRef]
- Henrique Rodrigues do Amaral, P.; Lopes Andrade, P.; Costa de Conto, L. Microencapsulation and Its Uses in Food Science and Technology: A Review. In Microencapsulation—Processes, Technologies and Industrial Applications; IntechOpen: London, UK, 2019. [Google Scholar]
- Yuni Hendrawati, T.; Meta Sari, A.; Iqbal Syauqi Rahman, M.; Ariatmi Nugrahani, R.; Siswahyu, A. Microencapsulation Techniques of Herbal Compounds for Raw Materials in Food Industry, Cosmetics and Pharmaceuticals. In Microencapsulation—Processes, Technologies and Industrial Applications; IntechOpen: London, UK, 2019. [Google Scholar]
- Singh, M.N.; Hemant, K.S.Y.; Ram, M.; Shivakumar, H.G. Microencapsulation: A Promising Technique for Controlled Drug Delivery. Res. Pharm. Sci. 2010, 5, 65. [Google Scholar] [PubMed]
- Choudhury, N.; Meghwal, M.; Das, K. Microencapsulation: An Overview on Concepts, Methods, Properties and Applications in Foods. Food Front. 2021, 2, 426–442. [Google Scholar] [CrossRef]
- Timilsena, Y.P.; Akanbi, T.O.; Khalid, N.; Adhikari, B.; Barrow, C.J. Complex Coacervation: Principles, Mechanisms and Applications in Microencapsulation. Int. J. Biol. Macromol. 2019, 121, 1276–1286. [Google Scholar] [CrossRef] [PubMed]
- Frent, O.D.; Vicas, L.G.; Duteanu, N.; Morgovan, C.M.; Jurca, T.; Pallag, A.; Muresan, M.E.; Filip, S.M.; Lucaciu, R.L.; Marian, E. Sodium Alginate—Natural Microencapsulation Material of Polymeric Microparticles. Int. J. Mol. Sci. 2022, 23, 12108. [Google Scholar] [CrossRef] [PubMed]
- Baruch, L.; Machluf, M. Alginate-Chitosan Complex Coacervation for Cell Encapsulation: Effect on Mechanical Properties and on Long-Term Viability. Biopolymers 2006, 82, 570–579. [Google Scholar] [CrossRef] [PubMed]
- Fraj, J.; Petrović, L.; Đekić, L.; Budinčić, J.M.; Bučko, S.; Katona, J. Encapsulation and Release of Vitamin C in Double W/O/W Emulsions Followed by Complex Coacervation in Gelatin-Sodium Caseinate System. J. Food Eng. 2021, 292, 110353. [Google Scholar] [CrossRef]
- Øye, G.; Simon, S.; Rustad, T.; Paso, K. Trends in Food Emulsion Technology: Pickering, Nano-, and Double Emulsions. Curr. Opin. Food Sci. 2023, 50, 101003. [Google Scholar] [CrossRef]
- Li, Y.; Pei, Y.; Shan, Z.; Jiang, Y.; Cui, S.W.; He, Z.; Zhang, Y.; Wang, H. A PH-Sensitive W/O/W Emulsion-Bound Carboxymethyl Chitosan-Alginate Hydrogel Bead System through the Maillard Reaction for Probiotics Intestine-Targeted Delivery. Food Hydrocoll. 2024, 153, 109956. [Google Scholar] [CrossRef]
- Bernatoniene, J.; Nemickaite, E.; Majiene, D.; Marksa, M.; Kopustinskiene, D.M. In Vitro and In Silico Anti-Glioblastoma Activity of Hydroalcoholic Extracts of Artemisia Annua L. and Artemisia Vulgaris L. Molecules 2024, 29, 2460. [Google Scholar] [CrossRef]
- Yang, Y.Y.; Lai, Y.R.; How, S.C.; Lin, T.H.; Wang, S.S.S. Encapsulation with a Complex of Acidic/Alkaline Polysaccharide-Whey Protein Isolate Fibril Bilayer Microcapsules Enhances the Stability of β-Carotene under Acidic Environments. J. Taiwan Inst. Chem. Eng. 2024, 160, 105344. [Google Scholar] [CrossRef]
- Cizauskaite, U.; Marksa, M.; Bernatoniene, J. The Optimization of Technological Processes, Stability and Microbiological Evaluation of Innovative Natural Ingredients-Based Multiple Emulsion. Pharm. Dev. Technol. 2018, 23, 636–645. [Google Scholar] [CrossRef] [PubMed]
- Kazlauskaite, J.A.; Matulyte, I.; Marksa, M.; Bernatoniene, J. Nutmeg Essential Oil, Red Clover, and Liquorice Extracts Microencapsulation Method Selection for the Release of Active Compounds from Gel Tablets of Different Bases. Pharmaceutics 2023, 15, 949. [Google Scholar] [CrossRef]
- Mazurkevičiūtė, A.; Matulytė, I.; Ivaškienė, M.; Žilius, M. Assessment of Physical, Mechanical, Biopharmaceutical Properties of Emulgels and Bigel Containing Ciclopirox Olamine. Polymers 2022, 14, 2783. [Google Scholar] [CrossRef] [PubMed]
- Khorshidian, N.; Mahboubi, A.; Kalantari, N.; Hosseini, H.; Yousefi, M.; Arab, M.; da Cruz, A.G.; Mortazavian, A.M.; Mahdavi, F.S. Chitosan-Coated Alginate Microcapsules Loaded with Herbal Galactagogue Extract: Formulation Optimization and Characterization. Iran. J. Pharm. Res. 2019, 18, 1180–1195. [Google Scholar] [CrossRef]
- Villate, A.; San Nicolas, M.; Olivares, M.; Aizpurua-Olaizola, O.; Usobiaga, A. Chitosan-Coated Alginate Microcapsules of a Full-Spectrum Cannabis Extract: Characterization, Long-Term Stability and In Vitro Bioaccessibility. Pharmaceutics 2023, 15, 859. [Google Scholar] [CrossRef] [PubMed]
- Pudziuvelyte, L.; Siauruseviciute, A.; Morkuniene, R.; Lazauskas, R.; Bernatoniene, J. Influence of Technological Factors on the Quality of Chitosan Microcapsules with Boswellia Serata L. Essential Oil. Pharmaceutics 2022, 14, 1259. [Google Scholar] [CrossRef]
- Costa, P.; Manuel, J.; Lobô, S. Modeling and Comparison of Dissolution Profiles. Eur. J. Pharm. Sci. 2001, 13, 123–133. [Google Scholar] [CrossRef]
- Chen, G.; Tao, D. An Experimental Study of Stability of Oil-Water Emulsion. Fuel Process. Technol. 2005, 86, 499–508. [Google Scholar] [CrossRef]
- Martínez, S.; Espert, M.; Salvador, A.; Sanz, T. The Role of Oil Concentration on the Rheological Properties, Microstructure, and in Vitro Digestion of Cellulose Ether Emulsions. Food Hydrocoll. 2022, 131, 107793. [Google Scholar] [CrossRef]
- Peng, Q.; Meng, Z.; Luo, Z.; Duan, H.; Ramaswamy, H.S.; Wang, C. Effect of Emulsion Particle Size on the Encapsulation Behavior and Oxidative Stability of Spray Microencapsulated Sweet Orange Oil (Citrus Aurantium Var. Dulcis). Foods 2023, 12, 116. [Google Scholar] [CrossRef] [PubMed]
- Cizauskaite, U.; Ivanauskas, L.; Jakštas, V.; Marksiene, R.; Jonaitiene, L.; Bernatoniene, J. Rosmarinus Officinalis L. Extract and Some of Its Active Ingredients as Potential Emulsion Stabilizers: A New Approach to the Formation of Multiple (W/O/W) Emulsion. Pharm. Dev. Technol. 2016, 21, 716–724. [Google Scholar] [CrossRef]
- Bouhoute, M.; Taarji, N.; Vodo, S.; Kobayashi, I.; Zahar, M.; Isoda, H.; Nakajima, M.; Neves, M.A. Formation and Stability of Emulsions Using Crude Extracts as Natural Emulsifiers from Argan Shells. Colloids Surf. A Physicochem. Eng. Asp. 2020, 591, 124536. [Google Scholar] [CrossRef]
- Binks, B.P.; Cho, W.G.; Fletcher, P.D.I.; Petsev, D.N. Stability of Oil-in-Water Emulsions in a Low Interfacial Tension System. Langmuir 2000, 16, 1025–1034. [Google Scholar] [CrossRef]
- Hong, I.K.; Kim, S.I.; Lee, S.B. Effects of HLB Value on Oil-in-Water Emulsions: Droplet Size, Rheological Behavior, Zeta-Potential, and Creaming Index. J. Ind. Eng. Chem. 2018, 67, 123–131. [Google Scholar] [CrossRef]
- Schreiner, T.B.; Dias, M.M.; Barreiro, M.F.; Pinho, S.P. Saponins as Natural Emulsifiers for Nanoemulsions. J. Agric. Food Chem. 2022, 70, 6573–6590. [Google Scholar] [CrossRef]
- Jarzębski, M.; Siejak, P.; Smułek, W.; Fathordoobady, F.; Guo, Y.; Pawlicz, J.; Trzeciak, T.; Kowalczewski, P.Ł.; Kitts, D.D.; Singh, A.; et al. Plant Extracts Containing Saponins Affects the Stability and Biological Activity of Hempseed Oil Emulsion System. Molecules 2020, 25, 2696. [Google Scholar] [CrossRef] [PubMed]
- Banerjee, A.; Binder, J.; Salama, R.; Trant, J.F. Synthesis, Characterization and Stress-Testing of a Robust Quillaja Saponin Stabilized Oil-in-Water Phytocannabinoid Nanoemulsion. J. Cannabis Res. 2021, 3, 43. [Google Scholar] [CrossRef]
- De Barros Fernandes, R.V.; Marques, G.R.; Borges, S.V.; Botrel, D.A. Effect of Solids Content and Oil Load on the Microencapsulation Process of Rosemary Essential Oil. Ind. Crops Prod. 2014, 58, 173–181. [Google Scholar] [CrossRef]
- Izadi, M.; Eskandari, M.H.; Niakousari, M.; Shekarforoush, S.; Hanifpour, M.A.; Izadi, Z. Optimisation of a Pilot-Scale Spray Drying Process for Probiotic Yoghurt, Using Response Surface Methodology. Int. J. Dairy Technol. 2014, 67, 211–219. [Google Scholar] [CrossRef]
- Narsaiah, K.; Wilson, R.A.; Gokul, K.; Mandge, H.M.; Jha, S.N.; Bhadwal, S.; Anurag, R.K.; Malik, R.K.; Vij, S. Effect of Bacteriocin-Incorporated Alginate Coating on Shelf-Life of Minimally Processed Papaya (Carica Papaya L.). Postharvest Biol. Technol. 2015, 100, 212–218. [Google Scholar] [CrossRef]
- Wang, M.; Shan, F.; Zou, Y.; Sun, X.; Zhang, Z.R.; Fu, Y.; Gong, T. Pharmacokinetic and Pharmacodynamic Study of a Phospholipid-Based Phase Separation Gel for Once a Month Administration of Octreotide. J. Control. Release 2016, 230, 45–56. [Google Scholar] [CrossRef] [PubMed]
- Kyzioł, A.; Mazgała, A.; Michna, J.; Regiel-Futyra, A.; Sebastian, V. Preparation and Characterization of Alginate/Chitosan Formulations for Ciprofloxacin-Controlled Delivery. J. Biomater. Appl. 2017, 32, 162–174. [Google Scholar] [CrossRef] [PubMed]
- Brun-Graeppi, A.K.A.S.; Richard, C.; Bessodes, M.; Scherman, D.; Merten, O.W. Cell Microcarriers and Microcapsules of Stimuli-Responsive Polymers. J. Control. Release 2011, 149, 209–224. [Google Scholar] [CrossRef] [PubMed]
- Uyen, N.T.T.; Hamid, Z.A.A.; Tram, N.X.T.; Ahmad, N. Fabrication of Alginate Microspheres for Drug Delivery: A Review. Int. J. Biol. Macromol. 2020, 153, 1035–1046. [Google Scholar] [CrossRef] [PubMed]
- Sun, X.; Cameron, R.G.; Bai, J. Effect of Spray-Drying Temperature on Physicochemical, Antioxidant and Antimicrobial Properties of Pectin/Sodium Alginate Microencapsulated Carvacrol. Food Hydrocoll. 2020, 100, 105420. [Google Scholar] [CrossRef]
- Nguyen, T.T.U.; Hamid, Z.A.A.; Ahmad, N. Effect of Stirring Speed on the Formation and Characteristic of Alginate Microspheres via Gelation/Emulsification Method. In Current Materials Research Using X-Rays and Related Techniques III; Trans Tech Publications Ltd.: Stafa-Zurich, Switzerland, 2022; Volume 908, pp. 171–176. [Google Scholar]
- Lengyel, M.; Kállai-Szabó, N.; Antal, V.; Laki, A.J.; Antal, I. Microparticles, Microspheres, and Microcapsules for Advanced Drug Delivery. Sci. Pharm. 2019, 87, 20. [Google Scholar] [CrossRef]
- Łętocha, A.; Miastkowska, M.; Sikora, E. Preparation and Characteristics of Alginate Microparticles for Food, Pharmaceutical and Cosmetic Applications. Polymers 2022, 14, 3834. [Google Scholar] [CrossRef]
- Sarghini, F.; De Vivo, A. Effect of Process Parameters on Microencapsulation of Active Compounds by Co-Flow Air Assisted Microfluidic Extrusion. Chem. Eng. Trans. 2019, 75, 439–444. [Google Scholar] [CrossRef]
- Taqieddin, E.; Amiji, M. Enzyme Immobilization in Novel Alginate-Chitosan Core-Shell Microcapsules. Biomaterials 2004, 25, 1937–1945. [Google Scholar] [CrossRef] [PubMed]
- Wu, T.; Li, Y.; Shen, N.; Yuan, C.; Hu, Y. Preparation and Characterization of Calcium Alginate-Chitosan Complexes Loaded with Lysozyme. J. Food Eng. 2018, 233, 109–116. [Google Scholar] [CrossRef]
- Fangmeier, M.; Lehn, D.N.; Maciel, M.J.; Volken de Souza, C.F. Encapsulation of Bioactive Ingredients by Extrusion with Vibrating Technology: Advantages and Challenges. Food Bioprocess Technol. 2019, 12, 1472–1486. [Google Scholar] [CrossRef]
- Essifi, K.; Brahmi, M.; Berraaouan, D.; Ed-Daoui, A.; El Bachiri, A.; Fauconnier, M.L.; Tahani, A. Influence of Sodium Alginate Concentration on Microcapsules Properties Foreseeing the Protection and Controlled Release of Bioactive Substances. J. Chem. 2021, 2021, 5531479. [Google Scholar] [CrossRef]
- Cui, Y.; Chen, H.; Zhou, F.; Feng, C.; Deng, Y.; Zhang, Z.; Lu, Q.; Zhou, X. Preparation and Drug Release of Sodium Alginate-Trypsin Microsphere. Fuhe Cailiao Xuebao/Acta Mater. Compos. Sin. 2011, 28, 117–122. [Google Scholar]
- Polk, A.; Amsden, B.; De Yao, K.; Goosen, M.F. Controlled Release of Albumin from Chitosan-Alginate Microcapsules. J. Pharm. Sci. 1993, 83, 178–185. [Google Scholar] [CrossRef] [PubMed]
- Li, C.; Li, B.; Zhu, C.; Meng, X. Modeling and Optimization of Tea Polyphenol-Alginate/Chitosan Magnetic Microcapsules. J. Mol. Struct. 2020, 1208, 127827. [Google Scholar] [CrossRef]
- Wang, Y.; Tan, C.; Davachi, S.M.; Li, P.; Davidowsky, P.; Yan, B. Development of Microcapsules Using Chitosan and Alginate via W/O Emulsion for the Protection of Hydrophilic Compounds by Comparing with Hydrogel Beads. Int. J. Biol. Macromol. 2021, 177, 92–99. [Google Scholar] [CrossRef]
- InstaNANO. FTIR Functional Group Database Table with Search. Available online: https://instanano.com/all/characterization/ftir/ftir-functional-group-search/ (accessed on 7 January 2025).
- Heckert Bastos, L.P.; Vicente, J.; Corrêa dos Santos, C.H.; Geraldo de Carvalho, M.; Garcia-Rojas, E.E. Encapsulation of Black Pepper (Piper Nigrum L.) Essential Oil with Gelatin and Sodium Alginate by Complex Coacervation. Food Hydrocoll. 2020, 102, 105605. [Google Scholar] [CrossRef]
- Ma, Y.; Chen, Z.; Wang, Z.; Chen, R.; Zhang, S. Molecular Interactions between Apigenin and Starch with Different Amylose/Amylopectin Ratios Revealed by X-Ray Diffraction, FT-IR and Solid-State NMR. Carbohydr. Polym. 2023, 310, 120737. [Google Scholar] [CrossRef] [PubMed]
- Rajhard, S.; Hladnik, L.; Vicente, F.A.; Srčič, S.; Grilc, M.; Likozar, B. Solubility of Luteolin and Other Polyphenolic Compounds in Water, Nonpolar, Polar Aprotic and Protic Solvents by Applying Ftir/Hplc. Processes 2021, 9, 1952. [Google Scholar] [CrossRef]
- Nurdalila, A.A.; Bunawan, H.; Kumar, S.V.; Rodrigues, K.F.; Baharum, S.N. Homogeneous Nature of Malaysian Marine Fish Epinephelus Fuscoguttatus (Perciformes; Serranidae): Evidence Based on Molecular Markers, Morphology and Fourier Transform Infrared Analysis. Int. J. Mol. Sci. 2015, 16, 14884–14900. [Google Scholar] [CrossRef]
- Kusuktham, B.; Prasertgul, J.; Srinun, P. Morphology and Property of Calcium Silicate Encapsulated with Alginate Beads. Silicon 2014, 6, 191–197. [Google Scholar] [CrossRef]
- Yousefi, M.; Khanniri, E.; Shadnoush, M.; Khorshidian, N.; Mortazavian, A.M. Development, Characterization and In Vitro Antioxidant Activity of Chitosan-Coated Alginate Microcapsules Entrapping Viola Odorata Linn. Extract. Int. J. Biol. Macromol. 2020, 163, 44–54. [Google Scholar] [CrossRef]













| Variable | Concentration Range (%) | ||
|---|---|---|---|
| Code | Name | Minimum | Maximum |
| A | Tween 20 inner phase | 0.00 | 0.60 |
| B | Span 80 | 1.50 | 4.50 |
| C | CBD | 3.75 | 7.50 |
| D | Artemisia annua L. | 10.00 | 20.00 |
| E | Tween 20 outer phase | 0.50 | 1.50 |
| Variable | Unit | Range | ||
|---|---|---|---|---|
| Code | Name | Minimum | Maximum | |
| A | Stirring speed | rpm | 100 | 400 |
| B | Stirring duration | min | 10 | 30 |
| C | Flow rate | mL/min | 0.01 | 0.05 |
| D | Sodium alginate | % | 1.0 | 4.0 |
| Term | Aliased Terms Equations |
|---|---|
| Intercept | = Intercept − 0.0292 * AB + 0.0276 * AC − 0.069 * AD − 0.0256 * AE − 0.0172 * BC − 0.0287 * BD + 0.00847 * BE + 0.00078 * CD + 0.0137 * CE + 0.0216 * DE + 0.603 * A2 + 0.629 * B2 + 0.608 * C2 + 0.609 * D2 + 0.637 * E2 |
| A | = A + 0.0253 * AB − 0.145 * AC + 0.0447 * AD + 0.0693 * AE − 0.0525 * BC − 0.0322 * BD − 0.0611 * BE − 0.0269 * CD − 0.0305 * CE + 0.127 * DE + 0.026 * A2 − 0.00414 * B2 − 0.0248 * C2 + 0.0296 * D2 + 0.043 * E2 |
| B | = B − 0.0835 * AB − 0.0518 * AC − 0.0379 * AD − 0.0718 * AE − 0.146 * BC + 0.115 * BD − 0.00607 * BE + 0.027 * CD − 0.00578 * CE + 0.19 * DE + 0.00455 * A2 + 0.0521 * B2 + 0.00539 * C2 − 0.0315 * D2 + 0.0362 * E2 |
| C | = C − 0.0517 * AB − 0.0891 * AC − 0.0285 * AD − 0.0341 * AE + 0.0322 * BC + 0.0283 * BD + 0.109 * CD + 0.0595 * CE + 0.0104 * DE − 0.0412 * A2 − 0.0365 * B2 |
| D | = D − 0.0323 * AB − 0.0323 * AC − 0.048 * AD + 0.107 * AE + 0.0218 * BC − 0.00978 * BD + 0.181 * BE − 0.0982 * CD + 0.00737 * CE + 0.106 * DE − 0.0174 * A2+ 0.0542 * B2 + 0.0319 * C2 + 0.0943 * D2 + 0.0324 * E2 |
| E | = E − 0.0731 * AB − 0.0262 * AC + 0.103 * AD − 0.0342 * AE − 0.00496 * BC + 0.181 * BD+ 0.0523 * BE + 0.00843 * CD − 0.0746 * CE + 0.0897 * DE + 0.0333 * A2 − 0.0403 * B2 + 0.0209 * C2 + 0.0577 * D2 + 0.0188 * E2 |
| Term | Aliased Terms Equations |
|---|---|
| Intercept | = Intercept + 0.0341 * AB − 0.0487 * AC − 0.0546 * AD − 0.0322 * BC − 0.0213 * BD + 0.0261 * CD + 0.605 * A2 + 0.587 * B2 + 0.602 * C2 + 0.594 * D2 |
| A | = A + 0.0328 * AB − 0.0122 * AC − 0.00361 * AD − 0.0453 * BC − 0.0532 * BD + 0.0404 * CD + 0.016 * A2 + 0.0498 * B2 + 0.0157 * C2 + 0.0331 * D2 |
| B | = B + 0.0207 * AB − 0.0358 * AC − 0.0429 * AD + 0.0252 * BC + 0.0273 * BD − 0.0714 * CD + 0.0496 * A2 + 0.0344 * B2 − 0.00649 * C2 − 0.0209 * D2 |
| C | = C − 0.0268 * AB − 0.00762 * AC + 0.0252 * AD − 0.0115 * BC − 0.0716 * BD + 0.0312 * CD + 0.0401 * A2 + 0.0786 * B2 − 0.0977 * C2 + 0.0534 * D2 |
| D | = D − 0.0392 * AB + 0.0326 * AC + 0.00931 * AD − 0.0726 * BC − 0.0301 * BD + 0.00106 * CD − 0.0171 * A2 + 0.0204 * B2 + 0.0246 * C2 − 0.0329 * D2 |
Disclaimer/Publisher’s Note: The statements, opinions and data contained in all publications are solely those of the individual author(s) and contributor(s) and not of MDPI and/or the editor(s). MDPI and/or the editor(s) disclaim responsibility for any injury to people or property resulting from any ideas, methods, instructions or products referred to in the content. |
© 2025 by the authors. Licensee MDPI, Basel, Switzerland. This article is an open access article distributed under the terms and conditions of the Creative Commons Attribution (CC BY) license (https://creativecommons.org/licenses/by/4.0/).
Share and Cite
Nemickaite, E.; Zlabiene, U.; Mazurkeviciute, A.; Marksa, M.; Bernatoniene, J. Formulation of W/O/W Emulsion-Based Chitosan-Alginate Microcapsules for Encapsulation of Cannabidiol and A. annua L. Extract Containing Luteolin and Apigenin: A Response Surface Optimization Approach. Pharmaceutics 2025, 17, 309. https://doi.org/10.3390/pharmaceutics17030309
Nemickaite E, Zlabiene U, Mazurkeviciute A, Marksa M, Bernatoniene J. Formulation of W/O/W Emulsion-Based Chitosan-Alginate Microcapsules for Encapsulation of Cannabidiol and A. annua L. Extract Containing Luteolin and Apigenin: A Response Surface Optimization Approach. Pharmaceutics. 2025; 17(3):309. https://doi.org/10.3390/pharmaceutics17030309
Chicago/Turabian StyleNemickaite, Emilija, Ugne Zlabiene, Agne Mazurkeviciute, Mindaugas Marksa, and Jurga Bernatoniene. 2025. "Formulation of W/O/W Emulsion-Based Chitosan-Alginate Microcapsules for Encapsulation of Cannabidiol and A. annua L. Extract Containing Luteolin and Apigenin: A Response Surface Optimization Approach" Pharmaceutics 17, no. 3: 309. https://doi.org/10.3390/pharmaceutics17030309
APA StyleNemickaite, E., Zlabiene, U., Mazurkeviciute, A., Marksa, M., & Bernatoniene, J. (2025). Formulation of W/O/W Emulsion-Based Chitosan-Alginate Microcapsules for Encapsulation of Cannabidiol and A. annua L. Extract Containing Luteolin and Apigenin: A Response Surface Optimization Approach. Pharmaceutics, 17(3), 309. https://doi.org/10.3390/pharmaceutics17030309

