Influence of Filler Metal on Electrochemical Characteristics of a Laser-Welded CoCrMoW Alloy Used in Prosthodontics
Abstract
1. Introduction
2. Materials and Methods
- Determination of the open circuit potential (Eocp) in electroless conditions over 1 h;
- Anodic polarization recording potential variation from Eocp-100 mV with step and potential speed changes of 1 mV/s until reaching a current density of 1 mA/cm2. The polarity was reversed, and the curve to the initial potential was recorded.
| Element | NaCl | KCl | NaH2PO4·2H2O | CaCl2·2H2O | Na2S·9H2O | Urea | Distilled Water |
|---|---|---|---|---|---|---|---|
| Content | 0.4 g/L | 0.4 g/L | 0.69 g/L | 0.79 g/L | 0.005 g/L | 1.0 g/L | 1 L |
3. Results
3.1. Potentiodynamic Polarization Curves
3.2. Electrochemical Impedance Spectroscopy
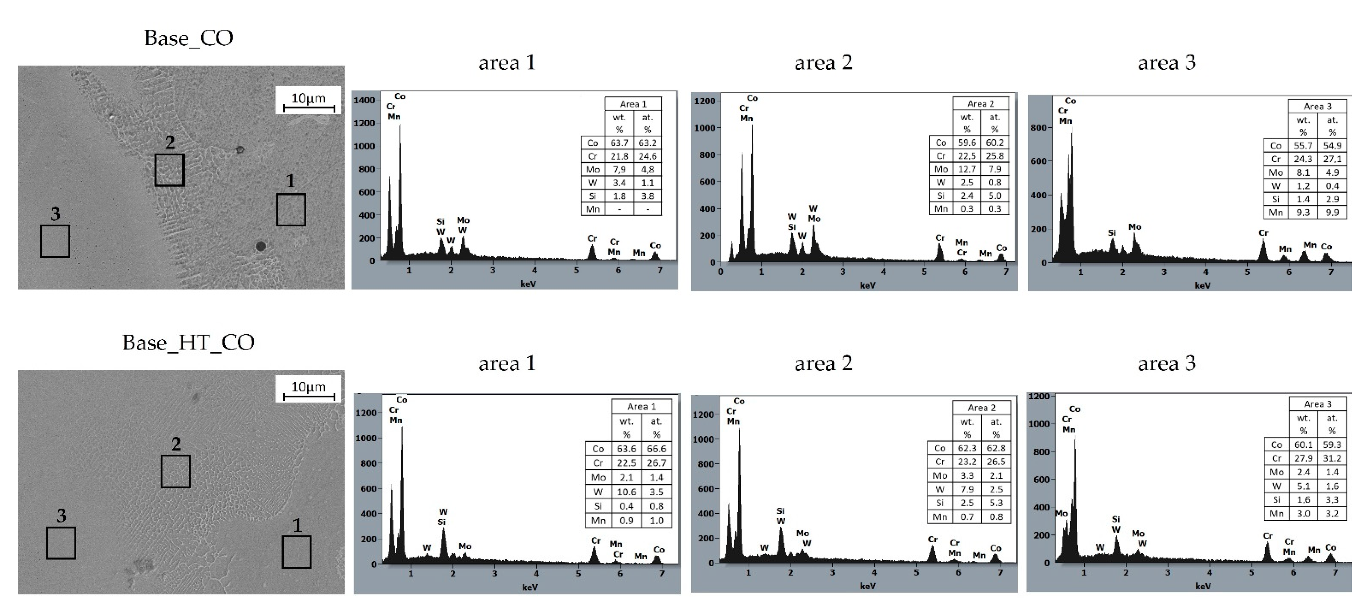
3.3. Microstructural Characterization
4. Discussion
5. Conclusions
- Welding of the CoCrMoW alloy for denture applications performed as autogenous welding (without filler material) and with the use of filler materials (stainless steel, CoCr wire) improved the corrosion resistance at steady-state potential conditions.
- The CoCrMoW alloy welded with filler materials showed lower corrosion properties than the CoCrMoW base alloy in non-welded conditions, as evidenced by the potentiodynamic results, in which the welded materials showed lower polarization resistances, or Rpol.
- Comparing the corrosion resistance of CoCrMoW base alloy welded with two different wires (stainless steel and CoCr wire), slightly better electrochemical parameters were obtained with materials welded with stainless steel wire. Only the Bode diagram curve analyses showed greater homogeneity and stability when using CoCr wire as the filler metal.
- Comparing the polarization resistance Rpol from the Tafel analysis and the total charge transfer resistance Rp(EIS) measured in EIS, the CoCrMoW alloy welded with a stainless steel wire after PFM heat treatment equaled or even slightly exceeded the corrosion resistance of the base alloy and alloy welded with dedicated CoCr wire after heat treatment.
- The structures of welded CoCrMoW alloys were dendritic and refined in the weld zone and transition zone (HAZ) due to the high LBW cooling rate, while the base material showed a coarse microstructure.
- The heat treatment simulating PFM firing affected the homogenization of the chemical composition in the transition between HAZ and the weld metal towards a composition of the CoCrMoW base alloy.
- It may be acceptable to use stainless steel wire instead of CoCr for welding CoCrMoW dental alloys using PFM. Such an interchangeable use of that filler material does not create a strong corrosive cell in artificial saliva.
Author Contributions
Funding
Institutional Review Board Statement
Informed Consent Statement
Data Availability Statement
Conflicts of Interest
References
- Jemt, T.; Henry, P.; Linden, B.; Naert, I.; Weber, H.; Bergstrom, C. A comparison of laser-welded titanium and conventional cast frameworks supported by implants in the partially edentulous jaw: A 3-year prospective multicenter study. Int. J. Prosthodont. 2000, 13, 282–288. [Google Scholar]
- Tambasco, J.; Anthony, T.; Sandven, O. Laser welding in the dental laboratory: An alternative to soldering. J. Dent. Technol. 1996, 13, 23–31. [Google Scholar]
- Perveen, A.; Molardi, C.; Fornaini, C. Applications of Laser Welding in Dentistry: A State-of-the-Art Review. Micromachines 2018, 9, 209. [Google Scholar] [CrossRef]
- Akman, E.; Demir, A.; Canel, T.; Sinmazcelik, T. Laser welding of Ti6Al4V titanium alloys. J. Mater. Process. Technol. 2009, 209, 3705–3713. [Google Scholar] [CrossRef]
- Kumar, V.C. Process parameters influencing melt profile and hardness of pulsed laser treated Ti–6Al–4V. Surf. Coat. Technol. 2006, 201, 3174–3180. [Google Scholar] [CrossRef]
- Barbosa, G.A.; das Neves, F.D.; de Mattos, M.; da G. Rodrigues, R.C.; Ribeiro, R.F. Implant/abutment vertical misfit of one-piece cast frameworks made with different materials. Braz. Dent. J. 2010, 21, 515–519. [Google Scholar] [CrossRef]
- Chai, T.; Chou, C.K. Mechanical properties of laser-welded cast titanium joints under different conditions. J. Prosthet. Dent. 1998, 79, 477–483. [Google Scholar] [CrossRef]
- Wiskott, H.W.; Doumas, T.; Scherrer, S.S.; Susz, C.; Besler, U.C. Microstructures of brazings and welds using grade 2 commercially pure titanium. Int. J. Prosthodont. 2001, 14, 40–47. [Google Scholar] [PubMed]
- Uriciuc, W.A.; Vermeșan, H.; Boșca, A.B.; Ilea, A. Interaction of Saliva with Cobalt-Chromium-Based Dental Alloys in Casted Prosthetic Pieces. Curr. Trends Biomedical. Eng. Biosci. 2018, 14, 555882. [Google Scholar] [CrossRef]
- Karaali, A.; Mirouh, K.; Hamamda, S.; Guiraldenq, P. Effect of tungsten 0–8 wt.% on the oxidation of Co–Cr alloys. Comput. Mater. Sci. 2005, 33, 37–43. [Google Scholar] [CrossRef]
- Roudnicka, M.; Bigas, J.; Molnarova, O.; Palousek, D.; Vojtech, D. Different Response of Cast and 3D-Printed Co-Cr-Mo Alloy to Heat Treatment: A Thorough Microstructure Characterization. Metals 2021, 11, 687. [Google Scholar] [CrossRef]
- Giacchi, J.V.; Morando, C.N.; Fornaro, O.; Palacio, H.A. Microstructural characterization of as-cast biocompatible Co–Cr–Mo alloys. Mater. Charact. 2011, 62, 53–61. [Google Scholar] [CrossRef]
- Ghiban, A.; Buzatu, M.; Bortun, C.M.; Ghiban, B.; Serban, N. Laser welding optimization procedure applied to cobalt alloys for removable partial dentures. Adv. Mater. Res. 2015, 1114, 272–277. [Google Scholar] [CrossRef]
- Zupancic, R.; Legat, A.; Funduk, N. Tensile strength and corrosion resistance of brazed and laser-welded cobalt-chromium alloy joints. J. Prosthet Dent. 2006, 96, 273–282. [Google Scholar] [CrossRef] [PubMed]
- Spiechowicz, E. Dental Prosthetics; Medical Publishing House PZWL: Warsaw, Poland, 2008. [Google Scholar]
- Reimann, Ł. Electrochemical Characteristics of a Cobalt Alloy with a Protective Passive Layer. Arch. Metall. Mater. 2016, 61, 937–944. [Google Scholar] [CrossRef][Green Version]
- Uriciuc, W.A.; Boșca, A.B.; Băbțan, A.-M.; Vermeșan, H.; Cristea, C.; Tertiș, M.; Pășcuță, P.; Borodi, G.; Suciu, M.; Barbu-Tudoran, L.; et al. Study on the Surface of Cobalt-Chromium Dental Alloys and Their Behavior in Oral Cavity as Cast Materials. Materials 2022, 15, 3052. [Google Scholar] [CrossRef] [PubMed]
- Meticos-Hukovic, M.; Pilic, Z.; Babic, R.; Omanovic, D. Influence of alloying elements on the corrosion stability of CoCrMo implant alloy in Hank’s solution. Acta Biomater. 2006, 2, 693–700. [Google Scholar] [CrossRef]
- Podrez-Radziszewska, M.; Haimann, K.; Dudziński, W.; Morawska-Sołtysik, M. Characteristic of intermetallic phases in cast dental CoCrMo alloy. Arch. Foundry Eng. 2010, 10, 51–56. [Google Scholar]
- Muguruma, T.; Iijima, M.; Mizoguchi, I. Corrosion of laser-welded stainless steel orthodontic wires. Orthod. Waves 2018, 77, 18–23. [Google Scholar] [CrossRef]
- Bock, J.J.; Bailly, J.; Gernhardt, C.R.; Fuhrmann, A.W. Fracture strength of different soldered and welded orthodontic joining configurations with and without filling material. J. Appl. Oral. Sci. 2008, 16, 328–335. [Google Scholar] [CrossRef]
- Santos, M.L.; Acciari, H.A.; Vercik, L.C.O.; Guastaldi, A.C. Laser weld: Microstructure and corrosion study of Ag–Pd–Au–Cu alloy of the dental application. Mater. Lett. 2003, 57, 1888–1893. [Google Scholar] [CrossRef]
- Niemi, L.; Holland, R.I. Tarnish and Corrosion of a Commercial Dental Ag-Pd-Cu-Au Casting Alloy. J. Dent. Res. 1984, 63, 1014–1018. [Google Scholar] [CrossRef] [PubMed]
- Reimann, Ł.; Dobrzanski, L.A. Influence of Cr and Co on hardness and corrosion resistance CoCrMo alloys used on dentures. J. Achiev. Mater. Manuf. Eng. 2011, 49, 193–199. [Google Scholar]
- Xin, X.-Z.; Chen, J.; Xiang, N.; Gong, Y.; Wei, B. Surface characteristics and corrosion properties of selective laser melted Co–Cr dental alloy after porcelain firing. Dent Mater. 2014, 30, 263–270. [Google Scholar] [CrossRef] [PubMed]
- Kwok, C.T.; Fong, S.L.; Cheng, F.T.; Man, H.C. Pitting and galvanic corrosion behavior of laser-welded stainless steels. J. Mater. Process. Technol. 2006, 176, 168–178. [Google Scholar] [CrossRef]
- Matos, I.C.; Bastos, I.N.; Diniz, M.G.; Miranda, M.S. Corrosion in artificial saliva of a Ni-Cr-based dental alloy joined by TIG welding and conventional brazing. J. Prosthet. Dent. 2015, 114, 278–285. [Google Scholar] [CrossRef]










| Material (Commercial Name) | Element Concentration [wt. %] | |||||||
|---|---|---|---|---|---|---|---|---|
| Co | Cr | Mo | W | Si | Mn | N | Other | |
| Base CoCrMoW alloy (Remanium 2000+) | 61 | 25 | 7 | 5 | 1.5 | <1 | <1 | - |
| Stainless steel wire (Menzanium 1.4456) | - | 16–20 | 1.8–2.5 | - | ≤1 | 16–20 | 0.7–1.0 | C ≤ 0.1; Ni ≤ 0.2; V ≤ 0.2; Fe rest |
| CoCr welding wire (Schütz Dental GmbH) | 64.25 | 17.85 | 2.25 | - | - | 14.7 | - | - |
| Stage | Start Temperature [°C] | Heat Speed [°C/min] | Final Temperature [°C] | Time [min] |
|---|---|---|---|---|
| 1 | 500 | 80 | 950 | 1 |
| 2 | 55 | 930 | ||
| 3 | 55 | 920 |
| Sample | Eocp | Ecor | Jcor | Rpol | Ebr | Erp | rcor |
|---|---|---|---|---|---|---|---|
| [mV] | [mV] | [nA/cm2] | [kΩ∙cm2] | [mV] | [mV] | [g/m−2∙year] | |
| Base | −277 | −313 | 21 | 634 | 900 | 908 | 0.30 |
| Base_HT | −198 | −217 | 41 | 402 | 916 | 961 | 0.58 |
| Base_0 | −236 | −257 | 20 | 561 | 919 | 901 | 0.55 |
| Base_HT_0 | −222 | −256 | 10 | 814 | 923 | 964 | 0.28 |
| Base_CO | −189 | −210 | 35 | 400 | 907 | 898 | 0.50 |
| Base_HT_CO | −189 | −210 | 21 | 436 | 934 | 909 | 0.29 |
| Base_ST | −178 | −207 | 12.7 | 450 | 929 | 968 | 0.18 |
| Base_HT_ST | −215 | −243 | 14.7 | 452 | 930 | 950 | 0.41 |
| Sample | Rs | Y1 | n1 | R1 | Y2 | n2 | R2 |
|---|---|---|---|---|---|---|---|
| [Ω] | [F∙s(a−1)] | [kΩ] | [F∙s(a−1)] | [kΩ] | |||
| Base | 64 | 1.4 × 10−6 | 0.951 | 0.01 | 45.3 × 10−6 | 0.866 | 198 |
| Base_HT | 63 | 7 × 10−3 | 0.311 | 0.4 | 34.5 × 10−6 | 0.897 | 95 |
| Base_0 | 62 | 3.1 × 10−3 | 0.372 | 2.0 | 35.7 × 10−6 | 0.903 | 127 |
| Base_HT_0 | 51 | 1.4 × 10−3 | 0.456 | 1.0 | 32.3 × 10−6 | 0.878 | 204 |
| Base_CO | 57 | 1.5 × 10−3 | 0.557 | 2.0 | 50.8 × 10−6 | 0.913 | 90 |
| Base_HT_CO | 51 | 2.2 × 10−3 | 0.145 | 0.1 | 43.8 × 10−6 | 0.876 | 83 |
| Base_ST | 63 | 0.4 × 10−3 | 0.673 | 14 | 58.6 × 10−6 | 0.866 | 78 |
| Base_HT_ST | 71 | 8.2 × 10−3 | 0.276 | 0.4 | 49.7 × 10−6 | 0.847 | 98 |
Publisher’s Note: MDPI stays neutral with regard to jurisdictional claims in published maps and institutional affiliations. |
© 2022 by the authors. Licensee MDPI, Basel, Switzerland. This article is an open access article distributed under the terms and conditions of the Creative Commons Attribution (CC BY) license (https://creativecommons.org/licenses/by/4.0/).
Share and Cite
Reimann, L.; Brytan, Z.; Jania, G. Influence of Filler Metal on Electrochemical Characteristics of a Laser-Welded CoCrMoW Alloy Used in Prosthodontics. Materials 2022, 15, 5721. https://doi.org/10.3390/ma15165721
Reimann L, Brytan Z, Jania G. Influence of Filler Metal on Electrochemical Characteristics of a Laser-Welded CoCrMoW Alloy Used in Prosthodontics. Materials. 2022; 15(16):5721. https://doi.org/10.3390/ma15165721
Chicago/Turabian StyleReimann, Lukasz, Zbigniew Brytan, and Grzegorz Jania. 2022. "Influence of Filler Metal on Electrochemical Characteristics of a Laser-Welded CoCrMoW Alloy Used in Prosthodontics" Materials 15, no. 16: 5721. https://doi.org/10.3390/ma15165721
APA StyleReimann, L., Brytan, Z., & Jania, G. (2022). Influence of Filler Metal on Electrochemical Characteristics of a Laser-Welded CoCrMoW Alloy Used in Prosthodontics. Materials, 15(16), 5721. https://doi.org/10.3390/ma15165721

