- Article
The Use of MMF Screws: Surgical Technique, Indications, Contraindications, and Common Problems in Review of the Literature
- Carl-Peter Cornelius and
- Michael Ehrenfeld
31 May 2010
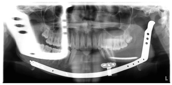
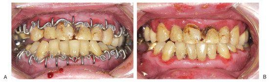
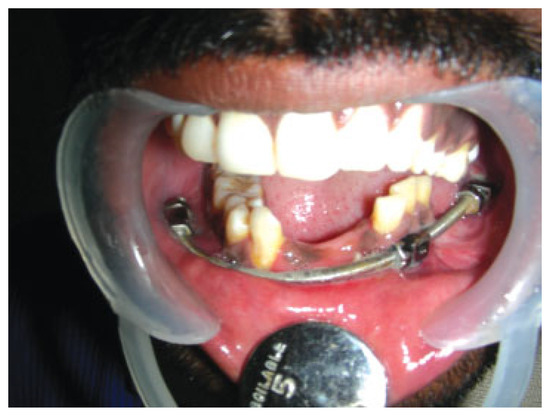
Mandibulo-maxillary fixation (MMF) screws are inserted into the bony base of both jaws in the process of fracture realignment and immobilisation. The screw heads act as anchor points to fasten wire loops or rubber bands connecting the mandible to the...

