Successful Multidisciplinary Repair of Severe Bilateral Uretero-Enteric Stricture with Inflammatory Reaction Extending to the Left Iliac Artery, after Robotic Radical Cystectomy and Intracorporeal Ileal Neobladder
Abstract
:1. Introduction
2. Case Report
2.1. Patient History
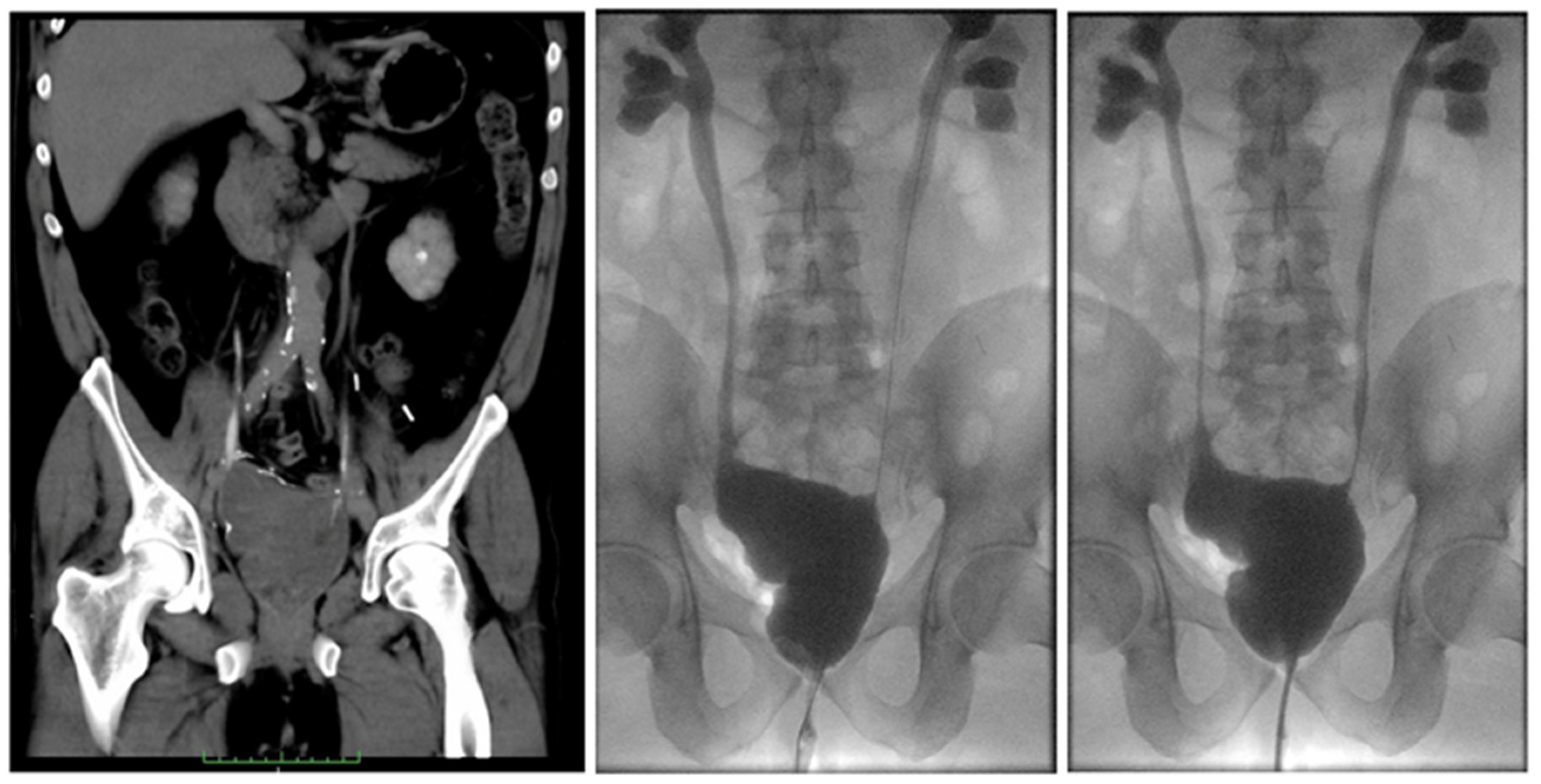
2.2. Treatment
3. Discussion
4. Conclusions
Author Contributions
Funding
Institutional Review Board Statement
Informed Consent Statement
Data Availability Statement
Conflicts of Interest
References
- Hautmann, R.E.; de Petriconi, R.C.; Volkmer, B.G. 25 years of experience with 1000 neobladders: Long-term complications. J. Urol. 2011, 185, 2207–2212. [Google Scholar] [CrossRef] [PubMed]
- Yuh, B.E.; Nazmy, M.; Ruel, N.H.; Jankowsy, J.T.; Menchaca, A.R.; Torrey, R.R.; Linehan, J.A.; Lau, C.S.; Chan, K.G.; Wilson, T.G. Standardized analysis of frequency and severity of complications after robot-assisted radical cystectomy. Eur. Urol. 2012, 6, 806–813. [Google Scholar] [CrossRef] [PubMed]
- Narita, S.; Saito, M.; Numakura, K.; Habuchi, T. Incidence, etiology, prevention, and management of uretero-enteric strictures after robot-assisted radical cystectomy: A review of published evidence and personal experience. Curr. Oncol. 2021, 28, 4109–4117. [Google Scholar] [CrossRef] [PubMed]
- Laven, B.A.; O’Connor, R.C.; Gerber, G.S.; Steinberg, G.D. Long-term results of endoureterotomy and open surgical revision for the management of ureteroenteric strictures after urinary diversion. J. Urol. 2003, 170, 1226–1230. [Google Scholar] [CrossRef]
- Lobo, N.; Dupré, S.; Sahai, A.; Thurairaja, R.; Shamim Khan, M. Getting out a tight spot: An overview of ureteroenteric anastomotic strictures. Nat. Rev. Urol. 2016, 13, 447–455. [Google Scholar] [CrossRef] [PubMed]
- Packiam, V.T.; Agrawal, V.A.; Cohen, A.J.; Pariser, J.J.; Johnson, S.C.; Bales, G.T.; Smith, N.D.; Steinberg, G.D. Lessons from 151 ureteral reimplantations for postcystectomy ureteroenteric strictures: A single-center experience over a decade. Urol. Oncol. 2017, 35, 112.e19–112.e25. [Google Scholar] [CrossRef] [PubMed]
- Tuderti, G.; Brassetti, A.; Minisola, F.; Anceschi, U.; Ferriero, M.; Leonardo, C.; Misuraca, L.; Vallati, G.; Guaglianone, S.; Gallucci, M.; et al. Transnephrostomic indocyanine green-guided robotic ureteral reimplantation for benign ureteroileal strictures After robotic cystectomy and intracorporeal neobladder: Step-by-step surgical technique, perioperative and functional outcomes. J. Endourol. 2019, 33, 823–828. [Google Scholar] [CrossRef]
- Ahmed, Y.E.; Hussein, A.A.; May, P.R.; Ahmad, B.; Ali, T.; Durrani, A.; Khan, S.; Kumar, P.; Guru, K.A. Natural history, predictors and management of ureteroenteric strictures after robot assisted radical cystectomy. J. Urol. 2017, 198, 567–574. [Google Scholar] [CrossRef]
- Gin, G.E.; Ruel, N.H.; Parihar, J.S.; Warner, J.N.; Yuh, B.E.; Yamzon, J.; Wilson, T.G.; Lau, C.S.; Chan, K.G. Ureteroenteric anastomotic revision as initial management of stricture after urinary diversion. Int. J. Urol. 2017, 24, 390–395. [Google Scholar] [CrossRef] [PubMed] [Green Version]
- Pagano, F.; Artibani, W.; Ligato, P.; Piazza, R.; Garbeglio, A.; Passerini, G. Vescica Ileale Padovana: A technique for total bladder replacement. Eur. Urol. 1990, 17, 149–154. [Google Scholar] [CrossRef] [PubMed]
- Simone, G.; Papalia, R.; Misuraca, L.; Tuderti, F.; Minisola, M.; Ferriero, M.; Vallati, G.; Guaglianone, S.; Gallucci, M. Robotic intracorporeal padua ileal bladder: Surgical technique, perioperative, oncologic and functional outcomes. Eur. Urol. 2018, 73, 934–940. [Google Scholar] [CrossRef] [PubMed]
- Anderson, C.B.; Morgan, T.M.; Kappa, S.; Moore, D.; Clark, P.E.; Davis, R.; Penson, D.F.; Barocas, D.A.; Smith, J.A.; Cookson, M.S.; et al. Ureteroenteric anastomotic strictures after radical cystectomy-does operative approach matter? J. Urol. 2013, 189, 541–547. [Google Scholar] [CrossRef] [PubMed]
- Scherzer, N.D.; Greenberg, J.W.; Shaw, E.J.; Silberstein, J.L.; Thomas, R.; Krane, L.S. Robotic vs. open surgical management of ureteroenteric anastomotic strictures: Technical modifications to enhance success. J. Robot. Surg. 2020, 14, 615–619. [Google Scholar] [CrossRef] [PubMed]
- Kaouk, J.; Eltemamy, M.; Aminsharifi, A.; Schwen, Z.; Wilson, C.; Abou Zeinab, M.; Garisto, J.; Lenfant, L.; Wee, A. Initial experience with single-port robotic-assisted kidney transplantation and autotransplantation. Eur. Urol. 2021, 80, 366–373. [Google Scholar] [CrossRef] [PubMed]




| Day 0 | Postoperative Day 1 | Day 7 | Day 14 | Day 21 | Day 28 | |
|---|---|---|---|---|---|---|
| Stricture length (cm) | Left: 5, Right 3 | |||||
| Operative time (hours) | 10 | |||||
| Estimated blood loss (ml) | 1000 | |||||
| Serum creatinine (umol/L) | 204 | 178 | 136 | 125 | 137 | 140 |
| Diuresis (ml) | 3500 | 2200 | 3000 | 2500 | 2000 | 2500 |
| Temperature (°C) | 37.5 | 37.3 | 36.5 | 36.3 | 36.5 | 36.6 |
| Hb (g/dL) | 9.0 | 9.1 | 9.4 | 9.5 | 9.9 | 11 |
| Complication | - | - | - | Urinary leak,left | - | - |
| Hospital stay | Hospital discharge |
Publisher’s Note: MDPI stays neutral with regard to jurisdictional claims in published maps and institutional affiliations. |
© 2021 by the authors. Licensee MDPI, Basel, Switzerland. This article is an open access article distributed under the terms and conditions of the Creative Commons Attribution (CC BY) license (https://creativecommons.org/licenses/by/4.0/).
Share and Cite
Mancini, M.; Nguyen, A.A.L.; Taverna, A.; Beltrami, P.; Zattoni, F.; Dal Moro, F. Successful Multidisciplinary Repair of Severe Bilateral Uretero-Enteric Stricture with Inflammatory Reaction Extending to the Left Iliac Artery, after Robotic Radical Cystectomy and Intracorporeal Ileal Neobladder. Curr. Oncol. 2022, 29, 155-162. https://doi.org/10.3390/curroncol29010014
Mancini M, Nguyen AAL, Taverna A, Beltrami P, Zattoni F, Dal Moro F. Successful Multidisciplinary Repair of Severe Bilateral Uretero-Enteric Stricture with Inflammatory Reaction Extending to the Left Iliac Artery, after Robotic Radical Cystectomy and Intracorporeal Ileal Neobladder. Current Oncology. 2022; 29(1):155-162. https://doi.org/10.3390/curroncol29010014
Chicago/Turabian StyleMancini, Mariangela, Alex Anh Ly Nguyen, Alessandra Taverna, Paolo Beltrami, Filiberto Zattoni, and Fabrizio Dal Moro. 2022. "Successful Multidisciplinary Repair of Severe Bilateral Uretero-Enteric Stricture with Inflammatory Reaction Extending to the Left Iliac Artery, after Robotic Radical Cystectomy and Intracorporeal Ileal Neobladder" Current Oncology 29, no. 1: 155-162. https://doi.org/10.3390/curroncol29010014
APA StyleMancini, M., Nguyen, A. A. L., Taverna, A., Beltrami, P., Zattoni, F., & Dal Moro, F. (2022). Successful Multidisciplinary Repair of Severe Bilateral Uretero-Enteric Stricture with Inflammatory Reaction Extending to the Left Iliac Artery, after Robotic Radical Cystectomy and Intracorporeal Ileal Neobladder. Current Oncology, 29(1), 155-162. https://doi.org/10.3390/curroncol29010014

