Traumatic Tamponade and Ventricular Septal Defect
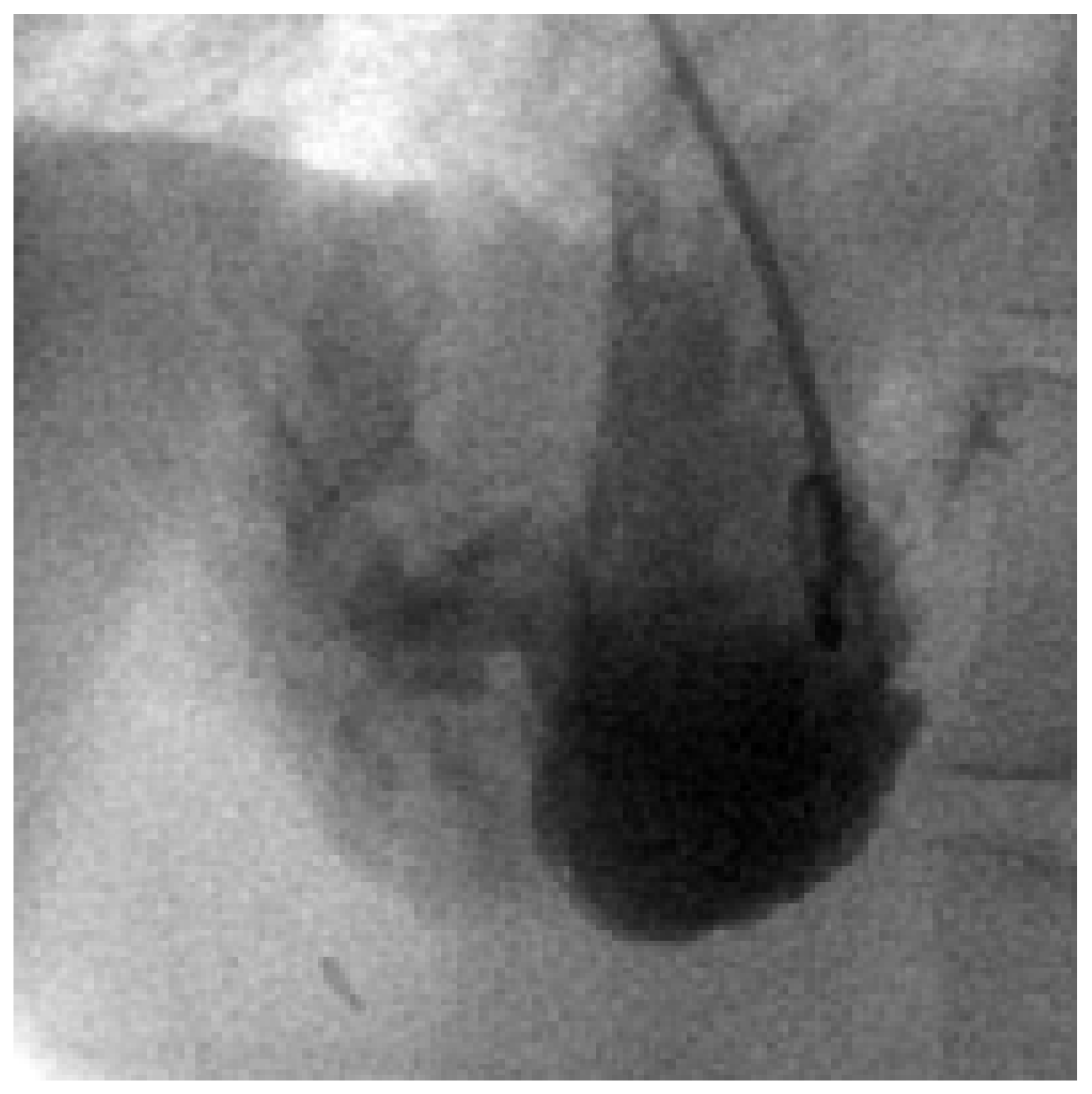
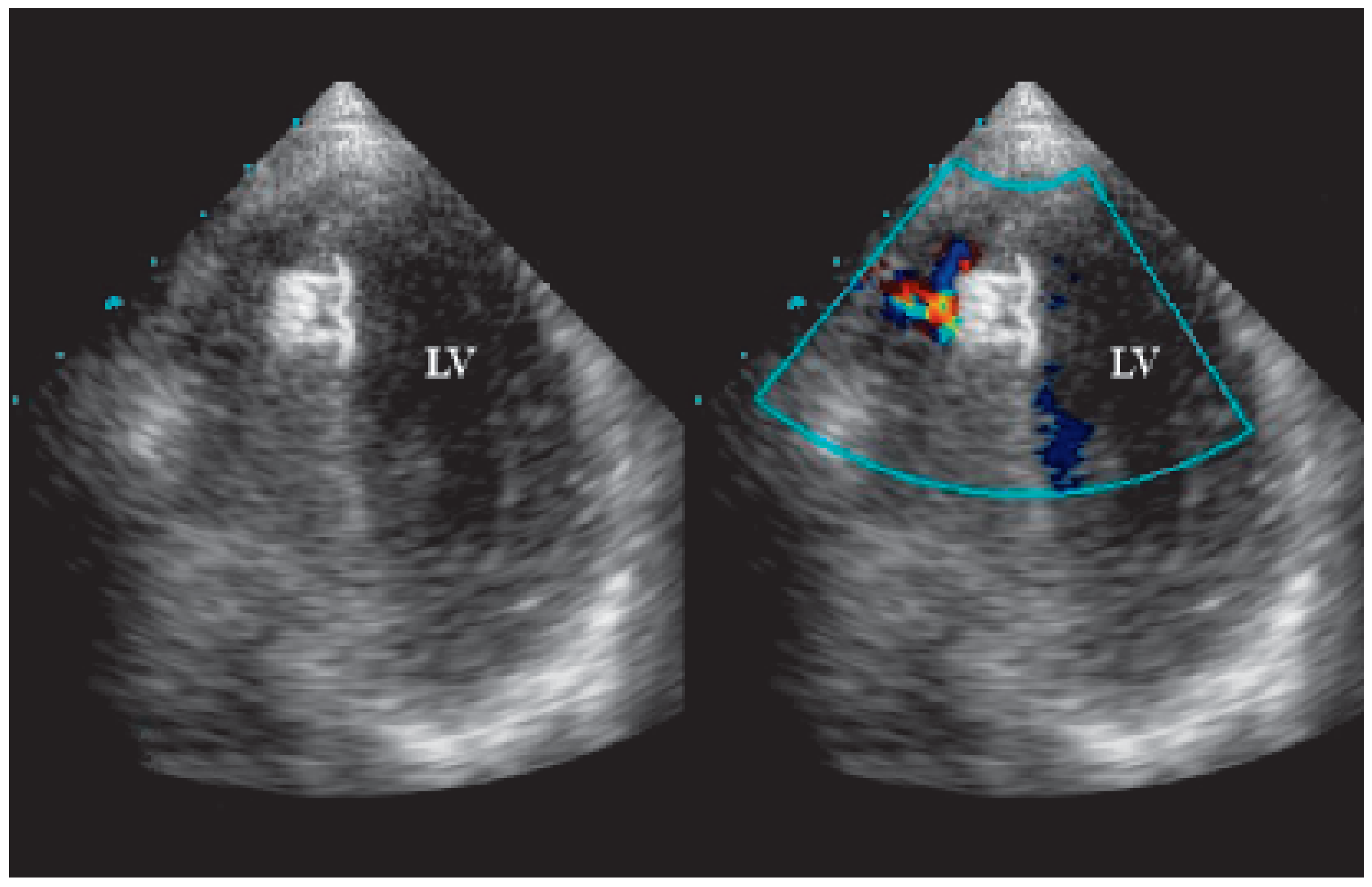
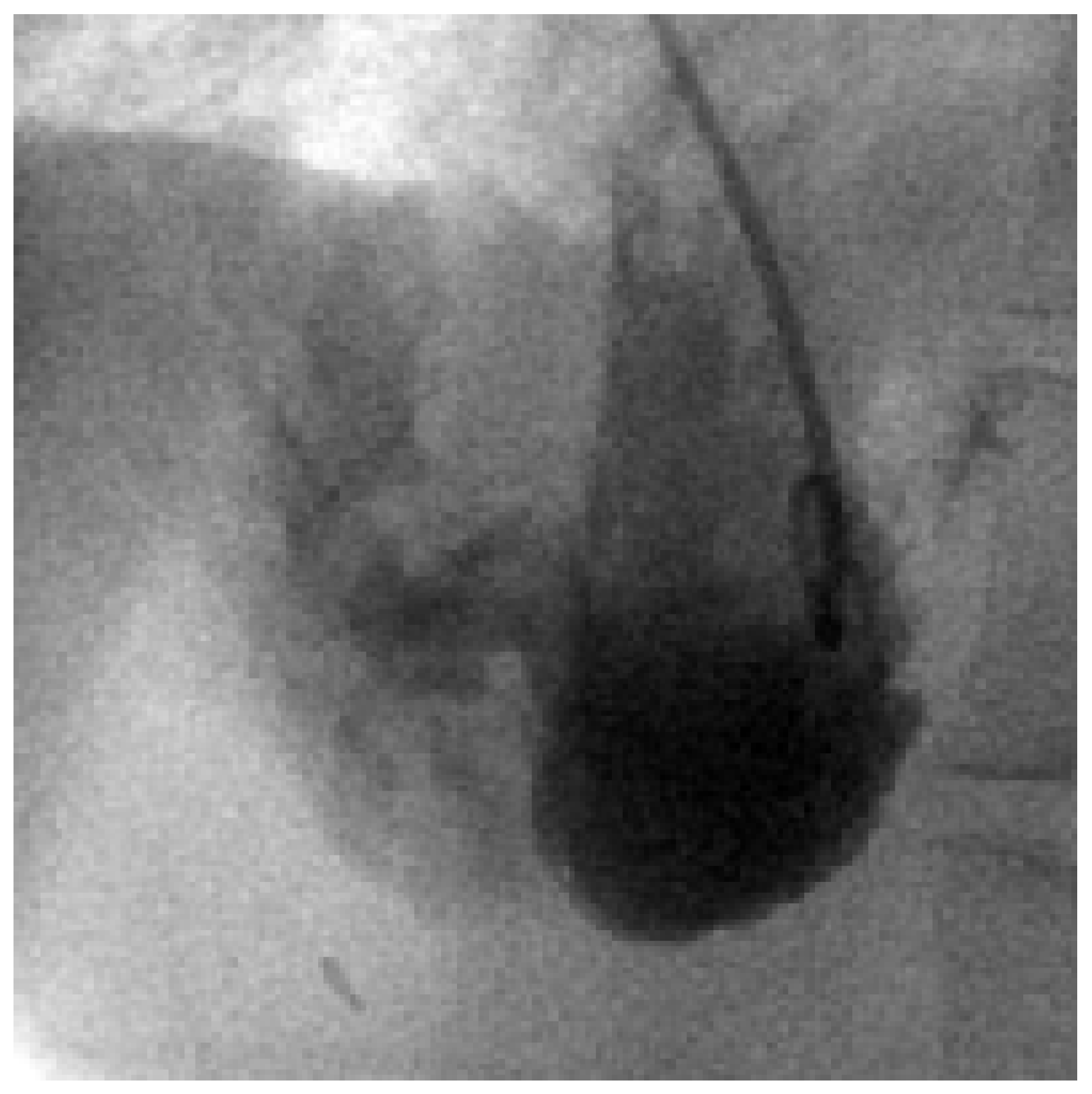
Case report
Discussion
References
- Bauriedel, G.; Redel, D.A.; Schmitz, C.; et al. Transcatheter closure of a posttraumatic ventricular septal defect with an Amplatzer Occluder Device. Catheter Cardiovasc Interv 2001, 53, 508–512. [Google Scholar] [CrossRef] [PubMed]
- Cowley, C.G.; Shaddy, R.E. Transcatheter treatment of a large traumatic ventricular septal defect. Catheter Cardiovasc Interv 2004, 61, 144–146. [Google Scholar] [CrossRef] [PubMed]
- Thanopoulos, B.S.; Karanassios, E.; Tsaousis, G.; et al. Catheter closure of congenital/acquired muscular VSDs and perimembranous VSDs using the Amplatzer devices. J Interven Cardiol 2003, 16, 399–407. [Google Scholar] [CrossRef] [PubMed]
- Fraisse, A.; Agnoletti, G.; Bonhoeffer, P.; et al. Multicentre study of percutaneous closure of interventricular muscular defects with the aid of an Amplatzer duct occluder prosthesis. Arch Mal Coeur Vaiss 2004, 97, 484–488. [Google Scholar] [PubMed]
- Holzer, R.; Balzer, D.; Zahid, A.; et al. Transcatheter closure of postinfarction ventricular septal defects using a new Amplatzer muscular VSD occluder: Results from the US registry. Catheter Cardiovasc Interv 2004, 61, 196–201. [Google Scholar] [CrossRef] [PubMed]
- Chessa, M.; Carminati, M.; Cao, Q.L.; et al. Transcatheter closure of congenital and acquired muscular ventricular septal defects using the Amplatzer devices. J Invasive Cardiol 2002, 14, 322–327. [Google Scholar] [PubMed]






© 2006 by the author. Attribution - Non-Commercial - NoDerivatives 4.0.
Share and Cite
Alibegovic, J.; Aggoun, Y.; Vuille, C.; on behalf of the Catheterisation and Echocardiography Laboratories. Traumatic Tamponade and Ventricular Septal Defect. Cardiovasc. Med. 2006, 9, 83. https://doi.org/10.4414/cvm.2006.01154
Alibegovic J, Aggoun Y, Vuille C, on behalf of the Catheterisation and Echocardiography Laboratories. Traumatic Tamponade and Ventricular Septal Defect. Cardiovascular Medicine. 2006; 9(2):83. https://doi.org/10.4414/cvm.2006.01154
Chicago/Turabian StyleAlibegovic, J., Y. Aggoun, Cédric Vuille, and on behalf of the Catheterisation and Echocardiography Laboratories (U. Sigwart and R. Lerch). 2006. "Traumatic Tamponade and Ventricular Septal Defect" Cardiovascular Medicine 9, no. 2: 83. https://doi.org/10.4414/cvm.2006.01154
APA StyleAlibegovic, J., Aggoun, Y., Vuille, C., & on behalf of the Catheterisation and Echocardiography Laboratories. (2006). Traumatic Tamponade and Ventricular Septal Defect. Cardiovascular Medicine, 9(2), 83. https://doi.org/10.4414/cvm.2006.01154
