Next Article in Journal
Transient Complete Nodal Atrioventricular Block and Left Bundle Branch Block During Radiofrequency Catheter Ablation of a Left Free Wall Accessory Pathway
Previous Article in Journal
Kardiales Papilläres Fibroelastom
 
 
Cardiovascular Medicine is published by MDPI from Volume 28 Issue 1 (2025). Previous articles were published by another publisher in Open Access under a CC-BY (or CC-BY-NC-ND) licence, and they are hosted by MDPI on mdpi.com as a courtesy and upon agreement with Editores Medicorum Helveticorum (EMH).
Font Type:
Arial Georgia Verdana
Font Size:
Aa Aa Aa
Line Spacing:
Column Width:
Background:
Editorial

Die Behandlung der Karotisstenose aus der Sicht des Interventionalisten

Kardiologie, UniversitätsSpital Zürich, Zurich, Switzerland
*
Author to whom correspondence should be addressed.
Cardiovasc. Med. 2005, 8(9), 306; https://doi.org/10.4414/cvm.2005.01121
Submission received: 30 June 2005 / Revised: 30 July 2005 / Accepted: 30 August 2005 / Published: 30 September 2005

Summary

In the hand of experienced interventionalists carotid stenting is a valuable alternative to endarterectomy for patients with carotid stenosis. Mechanical emboli-protection systems have been a major advance in the field by reducing the incidence of periprocedural neurologic events. The greatest advantage of carotid stenting over endarterectomy is that the outcomes are far less influenced by the comorbidities of the patients. Therefore, the endovascular treatment of carotid disease is particularly suitable for patients at high-risk for surgery. The SAPPHIRE study, which randomised patients at high-risk for surgery to endarterectomy or carotid stenting with filter-emboli protection, demonstrated that patients allocated to carotid stenting had significantly less adverse events. Advantages of carotid stenting over endarterectomy include the reduction of periprocedural myocardial infarctions, the lack of general anesthesia and of neck complications such as cranial nerve lesions. In addition, patients are generally discharged the day following stenting, which leads to a reduction in costs. Patients particularly suitable for carotid stenting are elderly (75 years of age), with restenosis following surgery, with stenosis/occlusion of the contralateral carotid, and those requiring coronary bypass surgery. The only large-scale randomised trial published in non-high risk patients (CAVATAS) showed similar results in patients treated surgically or with balloon angioplasty. The results of ongoing trials should be awaited before expanding the indication of carotid stenting to this patient population off-protocol and in non-specialised centers.

Zusammenfassung

In den Händen des erfahrenen Interventionalisten stellt die perkutane Dilatation und Stent-Einlage der Karotis heutzutage eine valide Alternative zur chirurgischen Karotis Endarterektomie dar. Das Einführen von distalen Embolieprotektionssystemen, mit der daraus resultierenden Senkung embolischer Ereignisse, hat die Methode revolutioniert. Der grösste Vorteil des Karotis-Stentings gegenüber der Chirurgie besteht darin, dass die Resultate kaum von den Komorbiditäten des Patienten beeinflusst werden. Somit eignet sich diese Therapie insbesondere bei Individuen, die ein Hochrisiko für die Chirurgie aufweisen. Die SAPPHIRE-Studie, welche das Karotis-Stenting unter Filter-Embolie-Protektion mit der Karotis-Endarterektomie bei Hochrisiko-Patienten verglichen hat, zeigte bei Patienten randomisiert zum Karotis-Stenting einen signifikant besseren Verlauf. Neben der Verminderung von perioperativen Herzinfarkten können mit dem Stenting der Karotis eine Allgemeinnarkose sowie lokale Halskomplikationen wie Hirnnervenlähmungen vermieden werden. Gleichzeitig können die Patienten früher entlassen werden (meistens am nächsten Tag), was zu einer Kostensenkung führt. Hochrisiko-Patientengruppen die besonders vom Stenting der Karotis profitieren, sind ältere Patienten (75 Jahre alt), Patienten mit einer Restenose nach Chirurgie, mit einem Verschluss oder schweren Stenose der kontralateralen Karotis und Patienten mit einer schweren koronaren Herzkrankheit. In Nicht-Hochrisiko-Patienten hat die einzige publizierte grosse randomisierte Studie (CAVATAS) vergleichbare Resultate zwischen Karotis-Angioplastie und -Endarterektomie gezeigt. Weitere randomisierte Studien, welche den Stellenwert des Karotis-Stentings im Vergleich zur Chirurgie in dieser Patientenpopulation untersuchen, sind am laufen. Diese Resultate sollten abgewartet werden, bevor das Karotis-Stenting in Nicht-Hochrisiko-Patienten ausserhalb von klinischen Protokollen oder spezialisierten Zentren ausgeweitet wird.

Warum eine Alternative zur Endarterektomie?

Die grossen randomisierten Studien (NASCET [1], ECST [2], ACAS [3], ACST [4]), welche den Vorteil der Karotis-Endarterektomie in der Prävention von Schlaganfällen gegenüber der medikamentösen Therapie bei Karotisstenose bewiesen haben, wurden von selektionierten Chirurgen bei hochselektionierten Patienten durchgeführt. Zum Beispiel wurde in der ACAS-Studie [3], welche den Stellenwert der Endarterektomie gegenüber der medikamentösen Behandlung bei Patienten mit asymptomatischer Karotisstenose untersucht hat, nur jeder 25. Patient, welcher «gescreent» wurde, in die Studie eingeschlossen. Extrem streng war in dieser Studie auch der Selektionsprozess für die beteiligten Spitäler/Chirurgen: das Spital gesamthaft und jeder einzelne Chirurg mussten eine Komplikationsrate (Mortalität oder Schlaganfallrate) von <3% aufweisen, um an der Studie teilnehmen zu können. Wenn eine neurologische Komplikation im Rahmen der Endarterektomie bei einem Studienpatient stattfand, wurde der Chirurge untersucht und die Studienleitung entschied, ob er an der Studie weiterhin teilnehmen konnte oder nicht [5]. Dieser pointierte Selektionsprozess war extrem erfolgreich und die chirurgischen Resultate in der ACAS-Studie waren exzellent mit einer perioperativen Mortalität von 0,1% und Schlaganfallrate von 2,3% [3].
Solche Komplikationsraten widerspiegeln kaum die Realität der Karotis-Endarterektomie. Als Beispiel dient eine Untersuchung, in der über 100000 Karotis-Endarterektomien in den USAanalysiert wurden. Dabei wurden die Resultate von zwei randomisierten Studien (ACAS und NASCET) mit den Gesamtresultaten der Zentren selbst und mit anderen Zentren verglichen [5]. Diese Analyse zeigte, obwohl die 30-Tage-Mortalität bei 0,1% in der ACAS- und bei 0,6% in der NASCET-Studie lag, dass die Gesamtereignisrate in den gleichen Spitzenspitälern im gleichen Zeitraum 1,4% betrug. Spitäler mit einem niedrigen Operationsvolumen hatten eine Mortalität von 2,5%. Somit bestand zwischen der Mortalität in der ACAS-Studie und der Mortalität in Zentren mit niedrigem Operationsvolumen ein 25facher Unterschied. Im Ontario Registry wurden die Resultate von mehr als 6000 Endarterektomien, welche zwischen 1994 und 1997 in Kanada durchgeführt wurden, zusammengestellt [6]. Die 30-Tage-Mortalitätsoder Schlaganfallrate betrug gesamthaft 6,0%. Folgende unabhängige Risikoprädiktoren wurden in dieser Studie herauskristallisiert: symptomatische Karotisstenosen (Risikoerhöhung um 70%), kontralateraler Karotisverschluss (um 70%), Herzinsuffizienz (um 80%) und Diabetes mellitus (um 30%). Bemerkenswert ist, dass in dieser Studie, wie übrigens in allen grossen randomisierten Endarterektomie-Studien, die kardialen Komplikationen (Herzinfarkt) nicht erfasst wurden. Dies ist bedenklich, wenn man schätzt, dass die Prävalenz einer signifikanten koronaren Herzkrankheit bei Patienten mit Karotisstenose auch in Abwesenheit von kardialen Symptomen zwischen 25% und 60% liegt [7]. Somit dürfte die Gesamtkomplikationsrate noch höher liegen.

Patientengruppen, die ein besonderes Risiko für die Chirurgie aufweisen

Einer der grössten Nachteile der Chirurgie, wenn nicht der grösste Nachteil überhaupt, besteht in der beträchtlichen Beeinflussung der Resultate durch die Komorbiditäten des Patienten. Sogar an weltberühmten Zentren wie der Cleveland Clinic schwankten die Resultate der Endarterektomien je nach Komorbiditäten des Patienten signifikant, mit 0,3% 30-Tage-Mortalität bei Niedrigrisiko- vs. 4,4% bei Hochrisikopatienten (definiert als koronare Bypass-Operation in den letzten 6 Monaten, Anamnese von Herzinsuffizienz, schwere chronisch-obstruktive Lungenerkrankung oder mittelschwere bis schwere Niereninsuffizienz) [8]. Ein Hochrisiko-Merkmal für die Karotis-Endarterektomie, mit dem wir mehr und mehr konfrontiert sein werden, ist das fortgeschrittene Alter. Eine Studie, welche über 2000 Patienten mit Endarterektomie untersucht hat, zeigte, dass die 30-Tage-Mortalität nach Karotis-Chirurgie bei Patienten >80 Jahre bei 5% lag [9]. Diese Patientenpopulation können wir schlecht konservativ behandeln, weil gerade ältere Patienten am meisten von einer Revaskularisation der Karotis profitieren [10].
Es gibt mindestens eine Patientengruppe, bei der auch die meisten Chirurgen einverstanden sind, dass die Endarterektomie keine gute Option ist, nämlich die Restenose nach Chirurgie. In der Tat ist die Komplikationsrate eines erneuten chirurgischen Eingriffs beträchtlich. Die beste Studie, um dies abzuleiten, ist eine Serie von fast 400 Endarterektomien, durchgeführt von einem einzigen Chirurgen [11]. Er hat seine Operationsresultate der De-novo-Läsionen und der Restenose nach Chirurgie verglichen. Obwohl die Schlaganfallrate in den primären Operationen extrem niedrig war (0,8%), war sie in den Restenose-Operationen um das 6fache erhöht (4,8%; p = 0,015). Die Rate der Hirnnervenlähmungen stieg ebenfalls massiv (5,3% vs. 17,0%; p <0,001).
Eine weitere Patientengruppe, die ungünstige Resultate nach Chirurgie aufweist, ist jene mit einer schweren Karotisstenose, welche gleichzeitig eine Bypass-Operation wegen fortgeschrittener koronarer Herzkrankheit benötigt. Eine vor kurzem publizierte systematische Analyse von fast 9000 Patienten hat gezeigt, dass unabhängig, ob die Karotis und die Koronarien gleichzeitig oder sequentiell angegangen wurden, die chirurgischen Resultate mit einer 30-Tage-Mortalität-, Schlaganfall- oder Herzinfarktrate von 10–12% verbunden waren [12]. In dieser Patientenpopulation, Individuen mit schwerer kontralateraler Karotisstenose/-verschluss, bestand eine noch höhere Komplikationsrate als in einer ohne kontralaterale Karotis-Pathologie (Odds ratio 2,5 für Mortalität oder Schlaganfall; p = 0,001). Operationen bei symptomatischer Karotisstenose wiesen ebenfalls deutlich erhöhte Komplikationsraten auf als solche bei asymptomatischen Individuen (OR 1,8; p = 0,008) [13]. Diese Daten verdeutlichen, dass es Patientengruppen gibt, die prohibitive Komplikationsraten nach Endarterektomie aufweisen und stellen somit die Basis für die Entwicklung von alternativen Revaskularisationsmethoden der Karotis dar.

Entwicklung und Technik des Karotis-Stentings

Man schätzt, dass bis 1999 ungefähr 3000 perkutane Eingriffe an den Karotiden weltweit durchgeführt wurden. Zunächst wurden nur Dilatationen mit Ballon-Kathetern durchgeführt, im Verlauf ersetzte die Stent-Einlage aufgrund der besseren Resultate, die reine Ballon-Angioplastie. Vom Jahr 2000 an nahm die Anzahl der perkutanen Karotis-Interventionen exponentiell zu. Man schätzt, dass 2003 lediglich in den USA ca. 15000 Karotis-Stenting-Eingriffe durchgeführt wurden (ungefähr 10% aller Endarterektomien). Die rasche Zunahme der Fallzahlen hat mehrere Erklärungen: die zunehmende Erfahrung der Interventionalisten, die optimierte plättchenhemmende Therapie (Aspirin und Clopidogrel) und die technischen Fortschritte im Materialwesen (Katheter, Ballone und insbesondere Embolieprotektionssysteme). Der Eingriff wird, ähnlich wie bei der Herzkatheteruntersuchung, durch einen femoralen arteriellen Zugang in Lokalanästhesie durchgeführt. Mittels Digitalsubstraktionsangiographie werden vor und nach dem Eingriff die Verhältnisse sowohl lokal (Abb. 1) als auch intrakraniell (Abb. 2) erfasst. Distale Embolieprotektionssysteme (Abb. 3, 4), welche die Inzidenz von neurologischen Ereignissen beim Karotis-Stenting signifikant reduziert haben [14, 15], sollten konsequent gebraucht werden. Der Patient wird postinterventionell neurologisch und hämodynamisch überwacht und meistens am nächsten Tag entlassen. Die nötigen prä- und postinterventionellen Massnahmen / Untersuchungen sind in Tabelle 1 zusammengefasst. Im Gegensatz zu den Koronareingriffen ist die Restenose nach Stenting der Karotis selten (4–7%) [16].
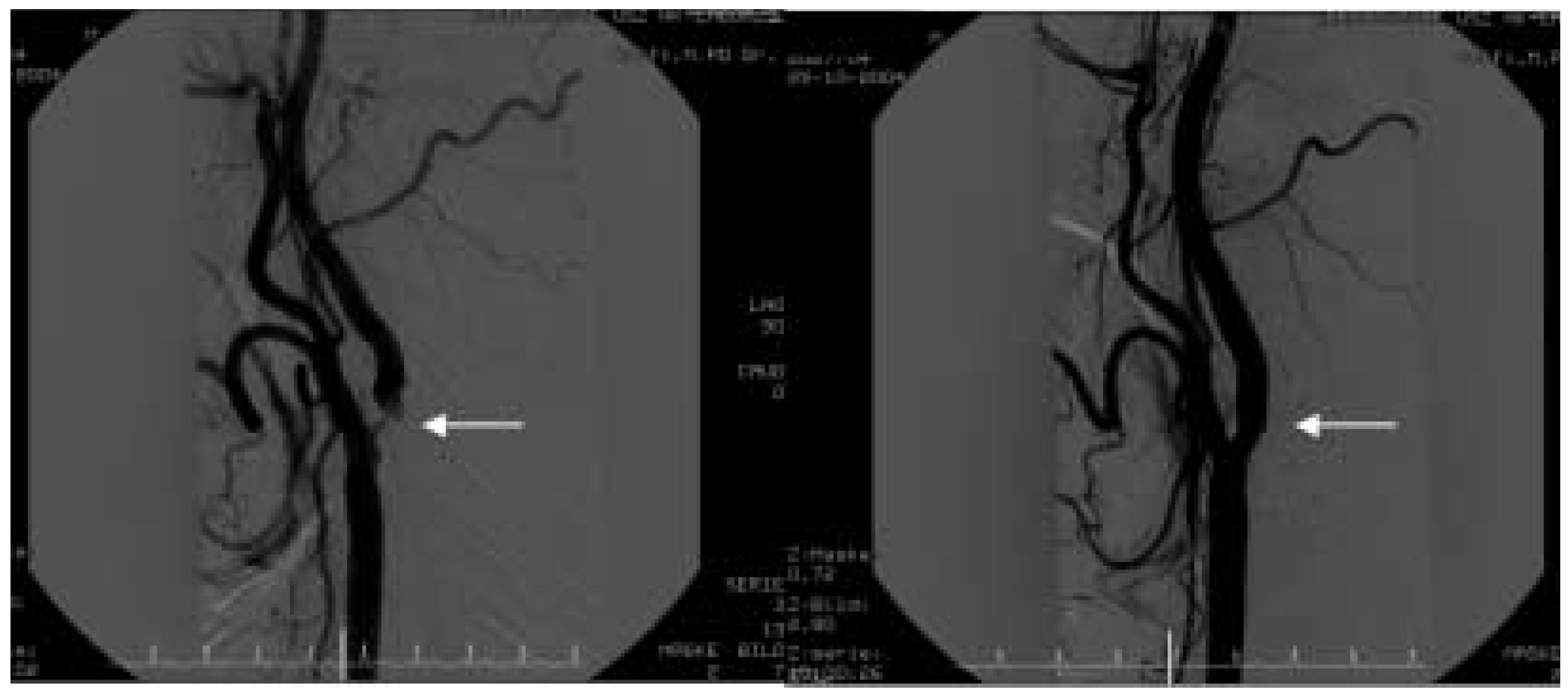
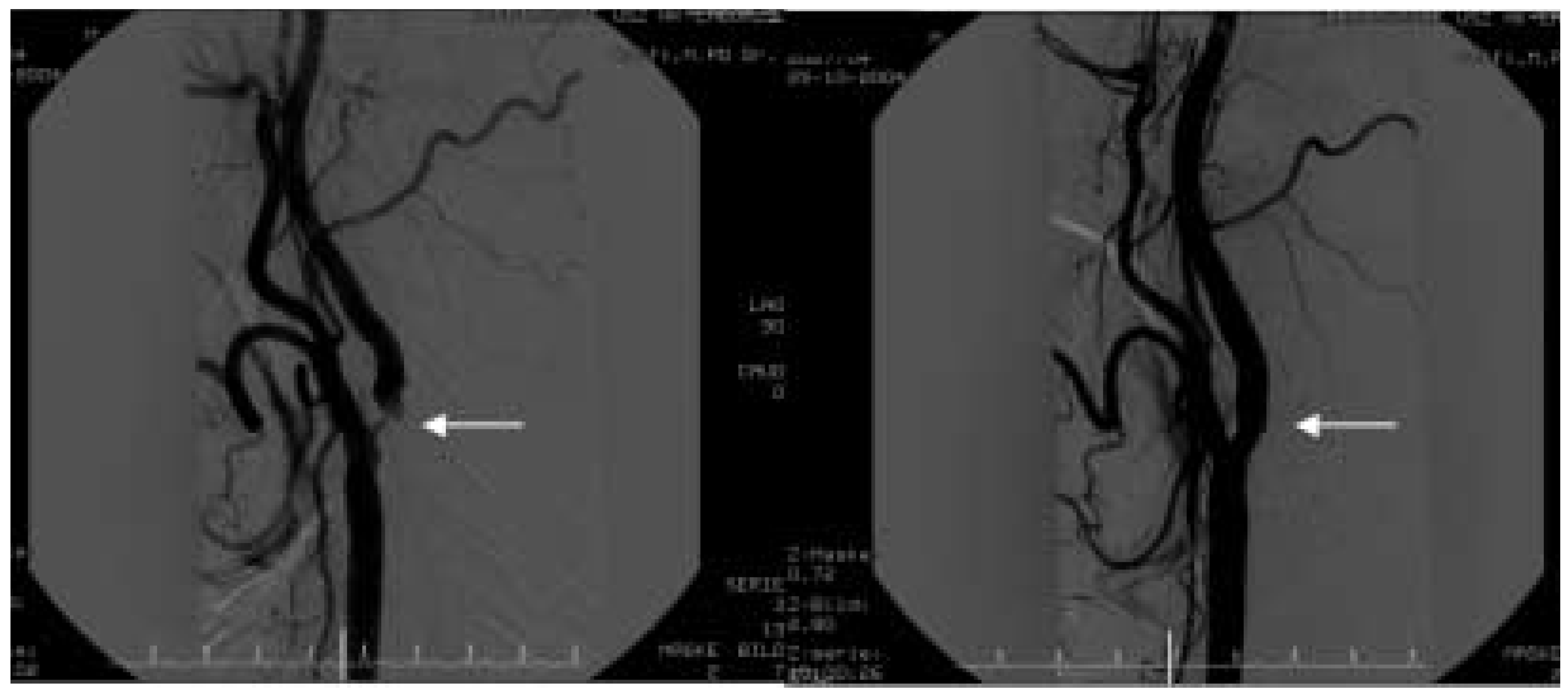
Abbildung 1. Digital-Subtraktionsangiographie einer schweren Stenose der Carotis interna vor (links) und nach (rechts) Karotis-Stenting.
Abbildung 1. Digital-Subtraktionsangiographie einer schweren Stenose der Carotis interna vor (links) und nach (rechts) Karotis-Stenting.
Cardiovascmed 08 00306 g001
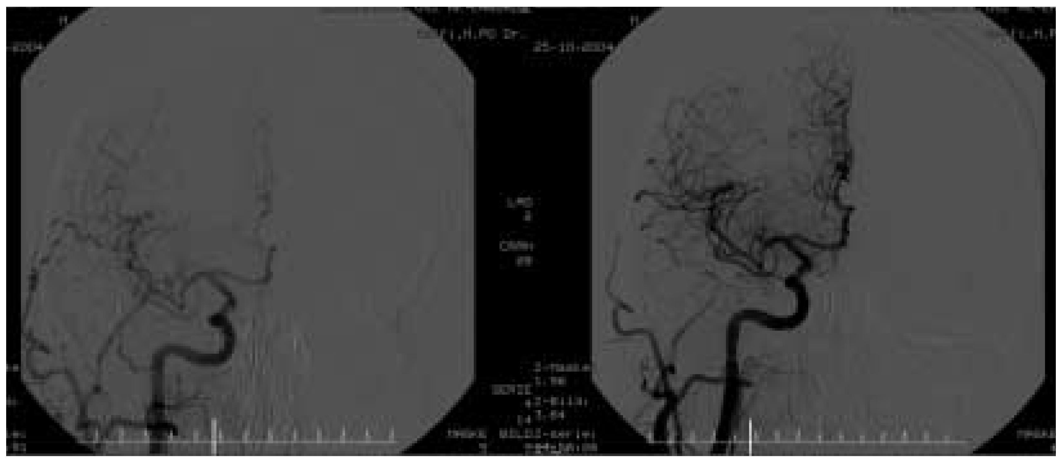
Abbildung 2. Intrakranielle Digital-Subtraktionsangiographie vor (links) und nach (rechts) Stenting der Carotis interna rechts. Zu beachten ist die Zunahme des Blutflusses.
Abbildung 2. Intrakranielle Digital-Subtraktionsangiographie vor (links) und nach (rechts) Stenting der Carotis interna rechts. Zu beachten ist die Zunahme des Blutflusses.
Cardiovascmed 08 00306 g002
Abbildung 3. Embolieprotektionssysteme fur das Karotis-Stenting. Auf der linken Seite ist ein Filtersystem abgebildet. Der grosste Vorteil dieses Systems ist, dass der Blutfluss wahrend des ganzen Eingriffs erhalten bleibt. Dies im Gegenteil zum weniger haufig gebrauchten distalen (in der Mitte abgebildet) oder proximalen (rechts abgebildet) Okklusionssystem. Modifiziert nach Roffi und Mukherjee [18].
Abbildung 3. Embolieprotektionssysteme fur das Karotis-Stenting. Auf der linken Seite ist ein Filtersystem abgebildet. Der grosste Vorteil dieses Systems ist, dass der Blutfluss wahrend des ganzen Eingriffs erhalten bleibt. Dies im Gegenteil zum weniger haufig gebrauchten distalen (in der Mitte abgebildet) oder proximalen (rechts abgebildet) Okklusionssystem. Modifiziert nach Roffi und Mukherjee [18].
Cardiovascmed 08 00306 g003
Abbildung 4. Filter-Embolieprotektionssystem mit aufgefangenen Emboli nach Stenting der Karotis.
Abbildung 4. Filter-Embolieprotektionssystem mit aufgefangenen Emboli nach Stenting der Karotis.
Cardiovascmed 08 00306 g004
Tabelle 1. Prä-und postinterventionelle Massnahmen beim Stenting der Karotis am Universitäts-Spital Zürich.
Tabelle 1. Prä-und postinterventionelle Massnahmen beim Stenting der Karotis am Universitäts-Spital Zürich.
Cardiovascmed 08 00306 i001

Endarterektomie versus Stenting der Karotis: Resultate der grossen randomisierten Studien und praktische Implikationen

Hochrisiko-Patienten für die Chirurgie Die SAPPHIRE-Studie ist die erste und bis jetzt einzige Studie, welche Patienten zur Karotis-Endarterektomie oder zum State-ofthe-art-Karotis-Stenting mit distaler Embolie-Protektion randomisierte [17]. Die Studie wurde von einem multidisziplinären Executive Committee geführt, welches Kardiologen, Gefässchirurgen, Radiologen und Neurologen involvierte. Die Datenanalyse wurde unabhängig von der Studienleitung und des Sponsors (Johnson & Johnson) durchgeführt. Sowohl die Chirurgen als auch die Interventionalisten waren erfahren. Die mediane Anzahl von Karotis-Endarterektomien pro Chirurg lag bei 30 pro Jahr, was weit über dem Durchschnitt des Operationsvolumens in den USA liegt, und die Interventionalisten wiesen eine mediane Gesamtanzahl von 64 endovaskulären Karotiseingriffen vor Studienbeginn vor. Die Einschlusskriterien waren eine ≥50prozentige symptomatische Karotisstenose oder eine ≥80prozentige asymptomatische Karotisinterna-Stenose. Gleichzeitig mussten die Patienten mindestens ein Hochrisiko-Charakteristikum aufweisen (Tab. 2).
Tabelle 2. Einschlusskriterien der SAPPHIRE-Studie [17].
Tabelle 2. Einschlusskriterien der SAPPHIRE-Studie [17].
Cardiovascmed 08 00306 i002
Ein Team, welches aus einem Neurologen, einem Chirurgen und einem Interventionalisten bestand, überprüfte die Indikation für die Karotis-Revaskularisation. Wenn sowohl der Chirurg als auch der Interventionalist der Meinung waren, dass der Patient für beide Eingriffe qualifizierte, wurde der Patient randomisiert entweder zur Karotis-Endarterektomie oder zum Karotis-Stenting plus Filter-Embolieprotektion. Wenn der Chirurg der Meinung war, dass der Patient, obwohl er eine Revaskularisation der Karotis benötigte, ein zu hohes Risiko für die Chirurgie darstellte, wurde der Patient einem Stenting der Karotis unterzogen und in einem Karotis-Stent-Register verfolgt. Wenn der Interventionalist meinte, dass der Patient ungünstig für eine perkutane Intervention war, dann wurde der Patient operiert und in einem chirurgischen Register verfolgt. Insgesamt wurden 310 Patienten randomisiert, 409 Patienten wurden im Stent-Register und 7 Patienten im chirurgischen Register verfolgt. Der primäre Endpunkt der Studie war eine Kombination zwischen Mortalität, Schlaganfall und Herzinfarkt innerhalb 30 Tagen plus Mortalität oder ipsilateraler Schlaganfall zwischen Tag 31 und einem Jahr.
Im randomisierten Arm der Studie wiesen die Patienten, welche perkutan behandelt wurden, eine kombinierte Ereignisrate (Mortalität, Schlaganfall und Herzinfarkt) nach 30 Tagen von 4,4% auf. Patienten, welche chirurgisch behandelt wurden, hatten eine Ereignisrate von 9,9% (p = 0,06). Der grösste Vorteil des Karotis-Stentings lag in der Abnahme von Herzinfarkten (1,9% in der Stent-Gruppe vs. 6,6% in der Endarterektomie-Gruppe; p = 0,04). Nach einem Jahr (primärer Endpunkt) hatten Patienten randomisiert zur Stent-Gruppe signifikant weniger Ereignisse als solche, welche einer Endarterektomie unterzogen wurden (Abb. 5). Hinzu hatten die zur Endarterektomie randomisierten Patienten mehr Hirnnervenlähmungen (5,3% vs. 0%; p = 0,003), einen längeren Spitalaufenthalt (im Durchschnitt 2,9 Tage vs. 1,9 Tage; p <0,001) und vermehrten Bedarf für eine erneute Karotis-Revaskularisation infolge Restenose innerhalb eines Jahres (4,6 vs. 0,7%; p = 0,04) gegenüber solchen, die zum Stent randomisiert wurden.
Abbildung 5. Kaplan-Meier-Kurven, welche das 1-Jahres-Überleben ohne kardiovaskuläre oder neurologische Ereignisse in der randomisierten SAPPHIRE-Studie zeigen. Die statistisch signifikante Überlegenheit des Karotis-Stentings mit Embolieprotektion gegenüber der Endarterektomie in dieser Hochrisikopopulation ist dargestellt. Modifiziert nach Jadav et al. [17].
Abbildung 5. Kaplan-Meier-Kurven, welche das 1-Jahres-Überleben ohne kardiovaskuläre oder neurologische Ereignisse in der randomisierten SAPPHIRE-Studie zeigen. Die statistisch signifikante Überlegenheit des Karotis-Stentings mit Embolieprotektion gegenüber der Endarterektomie in dieser Hochrisikopopulation ist dargestellt. Modifiziert nach Jadav et al. [17].
Cardiovascmed 08 00306 g005
Wichtig sind auch die Resultate bei Patienten, die ein zu hohes Risiko für die Chirurgie darstellten und somit im Karotis-Stent-Register der SAPPHIRE-Studie verfolgt wurden. Im Vergleich zu den Patienten, die randomisiert wurden, hatten die Patienten im Stent-Register häufiger eine frühere Bestrahlung am Hals (17,2 vs. 7,1%; p = 0,001), eine Restenose nach Endarterektomie (40,8 vs. 24,5%; p <0,001), eine für den Chirurgen schwer zugängliche Läsion (20,6 vs. 6,3%; p <0,001) und mehr als ein Hochrisikomerkmal (36,5 vs. 24,6%, p = 0,004). Somit hatten die Patienten im Karotis-Stent-Register ein deutlich erhöhtes Baseline-Risiko als solche, welche randomisiert worden sind. Nichtsdestotrotz wiesen Patienten, welche einem Karotis-Stenting im Rahmen des Stent-Registers unterzogen worden sind, eine durchaus akzeptable Komplikationsrate auf. Der kombinierte Endpunkt von Mortalität, Schlaganfall und Herzinfarkt innert 30 Tagen lag bei 6,9%. Auch nach einem Jahr war die Komplikationsrate vergleichbar zu dem der Endarterktomie.
Betreffend der Resultate des Karotis-Stentings bei Hochrisikopatienten stehen uns auch verschiedene Register zur Verfügung (ARCHER, SECURITY, CABERNET u.a.). Bei mehr als 2000 Patienten, welche einem Karotis-Stenting mit Embolie-Protektionssystem unterzogen worden sind und welche ein Hochrisiko für die Chirurgie aufwiesen, schwankte die 30-Tage-Mortalität, Schlaganfall und Herzinfarktrate zwischen 3,8 und 7,6%. Heutzutage soll das Karotis-Stenting mit Embolieprotektion als eine gleichwertige, wenn nicht überlegene Alternative zur Chirurgie bei Patienten, die ein Hochrisiko für die Chirurgie aufweisen, angesehen werden. Patientengruppen, die besonders von dieser Technik profitieren könnten, sind in Tabelle 3 aufgelistet. Die Details der Begründung können anderswo abgeleitet werden [18].
Tabelle 3. Vergleich der zwei Revaskularisationsmethoden der Karotis, je nach Patientenpopulation.
Tabelle 3. Vergleich der zwei Revaskularisationsmethoden der Karotis, je nach Patientenpopulation.
Cardiovascmed 08 00306 i003

Nicht-Hochrisiko-Patienten fur die Chirurgie

Die CAVATAS-Studie ist die einzige grosse publizierte Studie, welche Nicht-HochrisikoPatienten mit einer symptomatischen Karotisstenose zur Karotis-Endarterektomie oder Karotis-Angioplastie randomisierte [19]. Die Studie konnte keine Unterschiede in der Ereignisrate zwischen den zwei Gruppen sowohl nach 30 Tagen als auch nach 3 Jahren, nachweisen. Dieser Trial wurde in den 1990er Jahren durchgeführt und wird von vielen als nicht mehr aktuell betrachtet. Die Chirurgen kritisierten die hohe Ereignisrate in der Endarterektomie-Gruppe (10% Mortalität oder Schlaganfall innert 30 Tagen), die Interventionalisten kritisierten das Fehlen der Stent-Einlage (nur in 25% der Fälle eingesetzt) und der distalen Embolieprotektionssystemen. Zurzeit laufen grosse randomisierte Studien, welche den Stellenwert des Karotis-Stentings im Vergleich zur Endarterektomie bei Nicht-Hochrisiko-Patienten untersuchen. Diese Resultate sollen abgewartet werden, bevor die Indikation für ein Stenting der Karotis bei dieser Patientenpopulation ausserhalb von klinischen Protokollen oder spezialisierten Zentren ausgeweitet wird.

Sind Embolieprotektionssysteme beim Stenting der Karotis nötig?

Distale Embolieprotektionssysteme finden seit dem Jahr 2000 breite Anwendung, werden aber immer noch kontrovers diskutiert [20]. Die Skeptiker meinen, dass randomisierte Daten für die Anwendung solcher Protektionssysteme fehlen. Die Befürworter, und wir zählen uns dazu, sind der Meinung, dass eine randomisierte Studie, welche Karotis-Stenting mit oder ohne Embolieprotektionssysteme vergleichen würde, unethisch wäre. Es gibt mehrere Hinweise, dass der Gebrauch von distalen Embolieprotektionssystemen eine Reduktion der embolischen Ereignisse zur Folge hat. Eine Metaanalyse von allen publizierten Serien bis 2002 hat gezeigt, dass das Einführen von zerebralen Embolieprotektionssystemen eine signifikante Reduktion von grösseren (von 1,2 auf 0,3%) und kleineren Schlaganfällen (von 3,7 auf 0,5%) zur Folge hatte [15]. In einem weltweit durchgeführten Karotis-Stenting-Register, welches über 10000 Eingriffe zusammenfasst, konnte eine über 50prozentige Abnahme der neurologischen Komplikationen nach dem Einführen der Embolieprotektionssysteme verzeichnet werden [14]. Hinzu kommt, dass die Landmark-Studie des Karotis-Stentings (SAPPHIRE) mit Embolieprotektionssystemen durchgeführt wurde. Eine leicht fassbare Evidenz für die Wirksamkeit dieser Systeme ist aus Abbildung 4 abzuleiten. Unserer Meinung nach gehören distale Embolieprotektionssysteme zum Standard des Karotis-Stentings und sollten systematisch angewendet werden.

Schlussfolgerungen

In den Händen des erfahrenen Interventionalisten stellt heutzutage das Stenting der Karotis eine wichtige Alternative zur Karotis-Endarterektomie dar. Zwei grosse randomisierte Studien haben die Äquivalenz, wenn nicht die Überlegenheit dieser Methode gegenüber der Karotis-Endarterektomie dokumentiert. Der grösste Vorteil dieser perkutanen Therapie besteht darin, dass die Resultate kaum von den Komorbiditäten des Patienten abhängig sind. Somit eignet sich diese Technik insbesondere bei Patienten, die ein Hochrisiko für die Chirurgie aufweisen. Das ist nicht selten der Fall, da häufig eine Karotisstenose mit einer generalisierten schweren Atherosklerose und insbesondere mit einer koronarer Herzkrankheit einhergeht. Weitere Vorteile des Karotis-Stentings gegenüber der Chirurgie sind das Vermeiden einer Allgemeinnarkose, das Fehlen von lokalen Halskomplikationen (z.B. Hirnnervenlähmung), die niedrige Hospitalisationsdauer und die niedrigen Kosten. Die distalen Embolieprotektionssysteme sind ein extrem wichtiger Fortschritt in der perkutanen Behandlung der Karotisstenose und sollen konsequent eingesetzt werden. Ideale Kandidaten für das Stenting der Karotis sind ältere Patienten (≥75 Jahre alt), solche mit einer Restenose nach Endarterektomie, nach Bestrahlung oder ausgedehnter Operation am Hals (z.B. Neck-Dissection), vor aortokoronarer Bypass-Operation und mit kontralateraler Karotisstenose/-verschluss. Die Resultate von zurzeit laufenden randomisierten Studien sollten aber vor einer breiten Anwendung des Karotis-Stentings bei Nicht-Hochrisiko-Patienten, ausserhalb von Protokollen oder spezialisierten Zentren, abgewartet werden.

Danksagung

Die Autoren möchten Frau Karin Zambelis für die redaktionelle Unterstützung danken.

References

  1. Beneficial effect of carotid endarterectomy in symptomatic patients with high-grade carotid stenosis. North American Symptomatic Carotid Endarterectomy Trial Collaborators. N Engl J Med 1991, 325, 445–453. [Google Scholar]
  2. Randomised trial of endarterectomy for recently symptomatic carotid stenosis: final results of the MRC European Carotid Surgery Trial (ECST). Lancet 1998, 351, 1379–1387. [CrossRef]
  3. Endarterectomy for asymptomatic carotid artery stenosis. Executive Committee for the Asymptomatic Carotid Atherosclerosis Study. JAMA 1995, 273, 1421–1428. [Google Scholar] [CrossRef]
  4. Halliday, A.; Mansfield, A.; Marro, J.; et al. Prevention of disabling and fatal strokes by successful carotid endarterectomy in patients without recent neurological symptoms: randomised controlled trial. Lancet 2004, 363, 1491–1502. [Google Scholar] [CrossRef] [PubMed]
  5. Wennberg, D.E.; Lucas, F.L.; Birkmeyer, J.D.; et al. Variation in carotid endarterectomy mortality in the Medicare population: trial hospitals, volume, and patient characteristics. JAMA 1998, 279, 1278–1281. [Google Scholar] [CrossRef] [PubMed]
  6. Tu, J.V.; Wang, H.; Bowyer, B.; et al. Risk factors for death or stroke after carotid endarterectomy: observations from the Ontario Carotid Endarterectomy Registry. Stroke 2003, 34, 2568–2573. [Google Scholar] [CrossRef] [PubMed]
  7. Adams, R.J.; Chimowitz, M.I.; Alpert, J.S.; et al. Coronary risk evaluation in patients with transient ischemic attack and ischemic stroke: a scientific statement for healthcare professionals from the Stroke Council and the Council on Clinical Cardiology of the American Heart Association/American Stroke Association. Circulation 2003, 108, 1278–1290. [Google Scholar] [PubMed]
  8. Ouriel, K.; Hertzer, N.R.; Beven, E.G.; et al. Preprocedural risk stratification: identifying an appropriate population for carotid stenting. J Vasc Surg 2001, 33, 728–732. [Google Scholar] [CrossRef] [PubMed]
  9. Fisher, E.S.; Malenka, D.J.; Solomon, N.A.; et al. Risk of carotid endarterectomy in the elderly. Am J Public Health 1989, 79, 1617–1620. [Google Scholar] [CrossRef] [PubMed]
  10. Alamowitch, S.; Eliasziw, M.; Algra, A.; et al. Risk, causes, and prevention of ischaemic stroke in elderly patients with symptomatic internal-carotid-artery stenosis. Lancet 2001, 357, 1154–1160. [Google Scholar] [CrossRef] [PubMed]
  11. AbuRahma, A.F.; Jennings, T.G.; Wulu, J.T.; et al. Redo carotid endarterectomy versus primary carotid endarterectomy. Stroke 2001, 32, 2787–2792. [Google Scholar] [CrossRef] [PubMed]
  12. Naylor, A.R.; Cuffe, R.L.; Rothwell, P.M.; et al. A systematic review of outcomes following staged and synchronous carotid endarterectomy and coronary artery bypass. Eur J Vasc Endovasc Surg 2003, 25, 380–389. [Google Scholar] [CrossRef] [PubMed]
  13. Naylor, R.; Cuffe, R.L.; Rothwell, P.M.; et al. Asystematic review of outcome following synchronous carotid endarterectomy and coronary artery bypass: influence of surgical and patient variables. Eur J Vasc Endovasc Surg 2003, 26, 230–241. [Google Scholar] [CrossRef] [PubMed]
  14. Wholey, M.H.; Al-Mubarek, N. Updated review of the global carotid artery stent registry. Catheter Cardiovasc Interv 2003, 60, 259–266. [Google Scholar] [CrossRef] [PubMed]
  15. Kastrup, A.; Groschel, K.; Krapf, H.; et al. Early outcome of carotid angioplasty and stenting with and without cerebral protection devices: a systematic review of the literature. Stroke 2003, 34, 813–819. [Google Scholar] [CrossRef] [PubMed]
  16. Groschel, K.; Riecker, A.; Schulz, J.B.; et al. Systematic review of early recurrent stenosis after carotid angioplasty and stenting. Stroke 2005, 36, 367–373. [Google Scholar] [CrossRef] [PubMed]
  17. Yadav, J.S.; Wholey, M.H.; Kuntz, R.E.; et al. Protected carotidartery stenting versus endarterectomy in high-risk patients. N Engl J Med 2004, 351, 1493–1501. [Google Scholar] [CrossRef] [PubMed]
  18. Roffi, M.; Mukherjee, D. Carotid artery disease management. In: Rajagopalan S, Mukherjee F, Mohler ER, eds. Manual of Vascular Diseases. Philadelphia, PA, USA: Lippincott Williams and Wilkins; 2005. p. 135–5.
  19. Endovascular versus surgical treatment in patients with carotid stenosis in the Carotid and Vertebral Artery Transluminal Angioplasty Study (CAVATAS): a randomised trial. Lancet 2001, 357, 1729–1737. [CrossRef]
  20. Eckert, B.; Zeumer, H. Carotid artery stenting with or without protection devices? Strong opinions, poor evidence! Stroke 2003, 34, 1941–1943. [Google Scholar] [CrossRef] [PubMed]

Share and Cite

MDPI and ACS Style

Roffi, M.; Eberli, F.R. Die Behandlung der Karotisstenose aus der Sicht des Interventionalisten. Cardiovasc. Med. 2005, 8, 306. https://doi.org/10.4414/cvm.2005.01121

AMA Style

Roffi M, Eberli FR. Die Behandlung der Karotisstenose aus der Sicht des Interventionalisten. Cardiovascular Medicine. 2005; 8(9):306. https://doi.org/10.4414/cvm.2005.01121

Chicago/Turabian Style

Roffi, Marco, and Franz R. Eberli. 2005. "Die Behandlung der Karotisstenose aus der Sicht des Interventionalisten" Cardiovascular Medicine 8, no. 9: 306. https://doi.org/10.4414/cvm.2005.01121

APA Style

Roffi, M., & Eberli, F. R. (2005). Die Behandlung der Karotisstenose aus der Sicht des Interventionalisten. Cardiovascular Medicine, 8(9), 306. https://doi.org/10.4414/cvm.2005.01121

Article Metrics

Back to TopTop