Kardiales Papilläres Fibroelastom
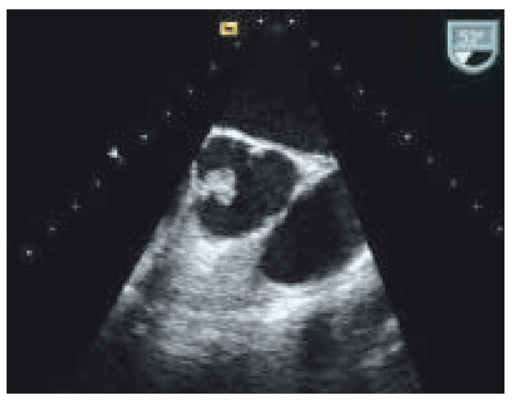
Fallbeschreibung


Diskussion
References
- Mayer, K.; Niederhaeuser, U.; Jenni, R. Images in cardiology. Cardiac papillary fibroelastoma with cerebral and coronary embolic events. Heart 1998, 79, 307. [Google Scholar] [CrossRef] [PubMed]
- Burke, A.; Virmani, R. Atlas of tumor pathology. 3rd series. Fascicle 16. Washington DC: Armed Forces Institute of Pathology; 1995. p. 47–54.
© 2005 by the author. Attribution - Non-Commercial - NoDerivatives 4.0.
Share and Cite
Largiadèr, T.; Genoni, M.; Jenni, R. Kardiales Papilläres Fibroelastom. Cardiovasc. Med. 2005, 8, 332. https://doi.org/10.4414/cvm.2005.01122
Largiadèr T, Genoni M, Jenni R. Kardiales Papilläres Fibroelastom. Cardiovascular Medicine. 2005; 8(9):332. https://doi.org/10.4414/cvm.2005.01122
Chicago/Turabian StyleLargiadèr, Thomas, Michele Genoni, and Rolf Jenni. 2005. "Kardiales Papilläres Fibroelastom" Cardiovascular Medicine 8, no. 9: 332. https://doi.org/10.4414/cvm.2005.01122
APA StyleLargiadèr, T., Genoni, M., & Jenni, R. (2005). Kardiales Papilläres Fibroelastom. Cardiovascular Medicine, 8(9), 332. https://doi.org/10.4414/cvm.2005.01122
