Next Issue
Volume 21, 10
Previous Issue
Volume 21, 06
 
 
cardiovascmed-logo

Journal Browser

Journal Browser
Cardiovascular Medicine is published by MDPI from Volume 28 Issue 1 (2025). Previous articles were published by another publisher in Open Access under a CC-BY (or CC-BY-NC-ND) licence, and they are hosted by MDPI on mdpi.com as a courtesy and upon agreement with Editores Medicorum Helveticorum (EMH).

Cardiovasc. Med., Volume 21, Issue 9 (09 2018) – 6 articles

  • Issues are regarded as officially published after their release is announced to the table of contents alert mailing list.
  • You may sign up for e-mail alerts to receive table of contents of newly released issues.
  • PDF is the official format for papers published in both, html and pdf forms. To view the papers in pdf format, click on the "PDF Full-text" link, and use the free Adobe Reader to open them.
Order results
Result details
Select all
Export citation of selected articles as:
3 pages, 341 KB  
Editorial
ESC CardioMed
by Thomas F. Lüscher, John A. Camm, Gerald Maurer and Patrick Serruys
Cardiovasc. Med. 2018, 21(9), 236; https://doi.org/10.4414/cvm.2018.00567 - 19 Sep 2018
Cited by 1 | Viewed by 199
Abstract
Education – the mission of the ESC. The education of trainees, postgraduate and established cardiologists alike has always been a critical component of the mission of the European Society of Cardiology (ESC) [...] Full article
Show Figures

Figure 1

2 pages, 211 KB  
Interesting Images
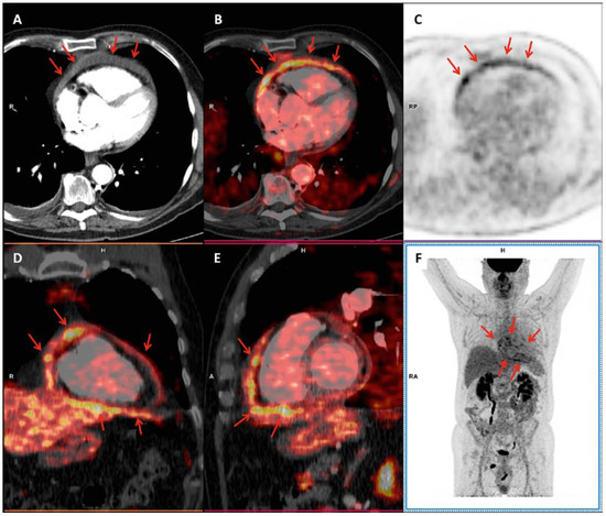
A "Ring of Fire" Around the Heart: Pericarditis Detected by FDG-PET/CT
by Giorgio Treglia, Mariana Raditchkova, Luca Ceriani and Luca Giovanella
Cardiovasc. Med. 2018, 21(9), 234; https://doi.org/10.4414/cvm.2018.00576 - 19 Sep 2018
Viewed by 320
Abstract
FDG-PET/CT enables direct visualisation of inflammatory activity and may represent a useful tool for diagnosis, risk stratification and therapy monitoring in patients with pericarditis. Full article
Show Figures

Figure 1

7 pages, 237 KB  
Article
Coronary Stent Thrombosis in Acute Coronary Syndromes
by Nicole M. Mosca, Slayman Obeid, Nooraldaem Yousif, Marco Roffi, François Mach, Xavier Mueller, Fabian Nietlispach, Christian Templin, Roland Klingenberg, Christian M. Matter, Lorenz Räber and Thomas F. Lüscher
Cardiovasc. Med. 2018, 21(9), 227; https://doi.org/10.4414/cvm.2018.00581 - 19 Sep 2018
Viewed by 317
Abstract
Background: In ACS patients who are treated with a primary percutaneous coronary intervention (pPCI), stent thrombosis is a serious and potentially lethal complication. We analysed the occurrence, risk factors and outcomes of angiographically proven (definite) stent thrombosis in patients with ACS undergoing pPCI [...] Read more.
Background: In ACS patients who are treated with a primary percutaneous coronary intervention (pPCI), stent thrombosis is a serious and potentially lethal complication. We analysed the occurrence, risk factors and outcomes of angiographically proven (definite) stent thrombosis in patients with ACS undergoing pPCI enrolled in the prospective multicentre Swiss Special Programme University Medicine (SPUM-ACS) registry. Methods: The prospectively gathered data of consecutive patients with ACS, who were enrolled from December 2009 to October 2012, were analysed at 1 year regarding the primary outcome of definite stent thrombosis. An independent committee reviewed all the events. Baseline data of 2131 patients were considered for analysis. 2004 patients underwent pPCI, and 1843 had coronary stenting; of these, 1473 (79.9%) received a drug-eluting stent (DES), 338 (18.3%) a bare metal stent (BMS) and 30 (1.6%) both stent types. Results: 20 of the 1843 patients (1.1%) had developed definite stent thrombosis at 1 year. Of the DESs that thrombosed, one was first-generation (sirolimus), 7 second-generation (5 everolimus, 2 zotarolimus) and 3 third-generation (biolimus). 7 thrombosed stents were BMS, and in 2 cases the affected stent type could not be determined. 11 DESs and 7 BMSs (0.7% and 2.1%, respectively) developed thrombosis (p = 0.03). There were 14 cases of early (<30 days) and 6 cases of late (30 days to 1 year) stent thrombosis. On average, early stent thromboses occurred 5.7 days and late ones 259.7 days after pPCI. Significant risk factors for stent thrombosis were female gender, presentation as a STEMI and anteroseptal infarction on ECG (p = 0.03, 0.01 and 0.02, respectively). Surprisingly, patients on clopidogrel prior to pPCI were also at higher risk for stent thrombosis (p = 0.048). Angiographically proven restenosis of a pre-existing stent, occlusion or thrombus at the site of stenting, insertion of more than two stents and residual stenosis distal to the implanted stent were further significant risk factors (p = 0.03, 0.01, 0.03, 0.048 and 0.03, respectively). Patients with stent thrombosis had a higher mortality rate than patients without thrombosis (15% compared to 3.7%; p = 0.01). Conclusion: With current stent technology and guideline-based ACS management, stent thrombosis is rare, albeit associated with high mortality. (Study registered at ClinicalTrials.gov, no. NCT01000701.) Full article
Show Figures

Figure 1

9 pages, 1290 KB  
Review
Bradyarrhythmias
by Vanessa Weberndörfer, Ian Russi and Richard Kobza
Cardiovasc. Med. 2018, 21(9), 218; https://doi.org/10.4414/cvm.2018.00580 - 19 Sep 2018
Cited by 1 | Viewed by 568
Abstract
Pacemaker implantation is indicated when symptoms can clearly be attributed to bradyarrhythmias or in asymptomatic patients with type 2 second degree atrioventricular (AV) block or complete heart block. First-degree AV block or Mobitz 1 second-degree AV block usually do not need any intervention [...] Read more.
Pacemaker implantation is indicated when symptoms can clearly be attributed to bradyarrhythmias or in asymptomatic patients with type 2 second degree atrioventricular (AV) block or complete heart block. First-degree AV block or Mobitz 1 second-degree AV block usually do not need any intervention unless there are signs of an infranodal AV block. Biventricular pacemakers and implantable cardioverter defibrillators should be considered in patients with a pacing indication and reduced left ventricular ejection fraction. Prior to pacemaker implantation reversible causes of bradyarrhythmias should be excluded. Atropine should only be administered in intranodal AV block, as there is an elevated risk of causing asystole in infranodal block. Full article
Show Figures

Figure 1

6 pages, 682 KB  
Review
Kardiomyopathie bei Morbus Fabry
by Simone Müller, Felix C. Tanner, Christiane Gruner, Frank Ruschitzka, Andreas Flammer and Albina Nowak
Cardiovasc. Med. 2018, 21(9), 212; https://doi.org/10.4414/cvm.2018.00578 - 19 Sep 2018
Viewed by 126
Abstract
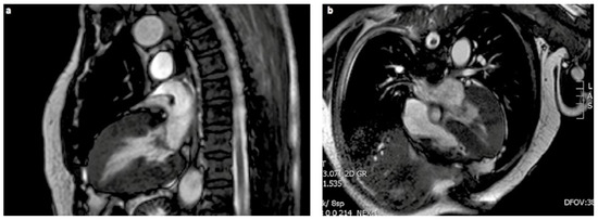
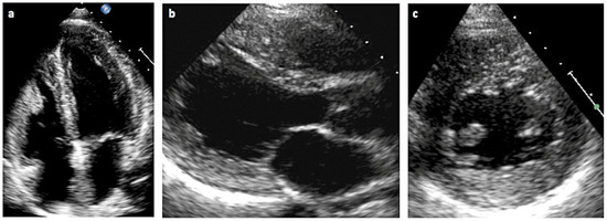
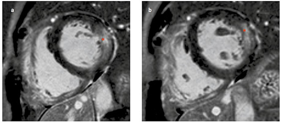
Fabry disease – a rare but important cause of left ventricular hypertrophy. Fabry disease (synonym: Morbus Fabry, Anderson Fabry disease) is an Xlinked lysosomal storage disease due to a deficient activity of alpha-galactosidase A. This leads to pathological glycosphingolipid metabolism, resulting in deposition [...] Read more.
Fabry disease – a rare but important cause of left ventricular hypertrophy. Fabry disease (synonym: Morbus Fabry, Anderson Fabry disease) is an Xlinked lysosomal storage disease due to a deficient activity of alpha-galactosidase A. This leads to pathological glycosphingolipid metabolism, resulting in deposition of glycosphingolipids in lysosomes and body fluids. There is evidence that the glycolipids also accumulate extralysosomally, which is a very important factor in the pathogenic impact. Cardiac involvement is one of the most important disease manifestations because the patients mainly die from cardiac complications. There are two phenotypes: classic and later-onset. First symptoms of the classic phenotype occur during the childhood and include angiokeratomas, hypohidrosis, cornea verticillata, and tortuosity of conjunctival and retinal vessels. Young patients typically suffer from acroparaesthesias, abdominal cramping and pain crises. With advancing age, the progressive sphingolipid deposition, particularly in the endothelial cells, cardiomyocytes and podocytes, leads to arterial hypertension, cardiomyopathy, nephropathy and premature strokes. In contrast to the classic phenotype, patients with the later-onset phenotype lack the early disease symptoms. They typically present to the hospital in adulthood with cardiomyopathy or with nephropathy. In females, alpha-galactosidase A activity can range from low to normal owing to random X-chromosome inactivation. Generally, females have a milder phenotype because of the second, unaffected X-chromosome. Patients with Fabry cardiomyopathy suffer from left ventricular hypertrophy, conduction abnormalities and valvular involvement, as well as from diastolic and/or systolic heart failure symptoms. The enzyme activity determination in leucocytes is diagnostic in males but can be misleading in females owing to random X-chromosome deactivation. Thus, genetic testing is suitable for the diagnosis in females and should also be performed in males for the confirmation of the diagnosis. Since 2001, intravenous enzyme replacement therapy has been available for the treatment of patients with Fabry disease. Since 2016, oral pharmacological chaperone therapy has been available for patients with amenable mutations. Substrate reduction and gene therapies are currently in development. Full article
Show Figures

Figure 1

3 pages, 258 KB  
Review
50 Years of Heart Transplantation
by Marko Turina
Cardiovasc. Med. 2018, 21(9), 209; https://doi.org/10.4414/cvm.2018.00583 - 19 Sep 2018
Viewed by 162
Abstract
Heart transplantation has made tremendous progress since its first clinical use in 1968 and has enabled survival of many patients with intractable heart failure. A pioneer of the Swiss heart transplant programme looks back. Full article
Show Figures

Figure 1

Previous Issue
Next Issue
Back to TopTop