- Review
Left Atrial Appendage Device Closure as Non-Pharmacological Prevention of Thromboembolism in Atrial Fibrillation
- Bernhard Meier
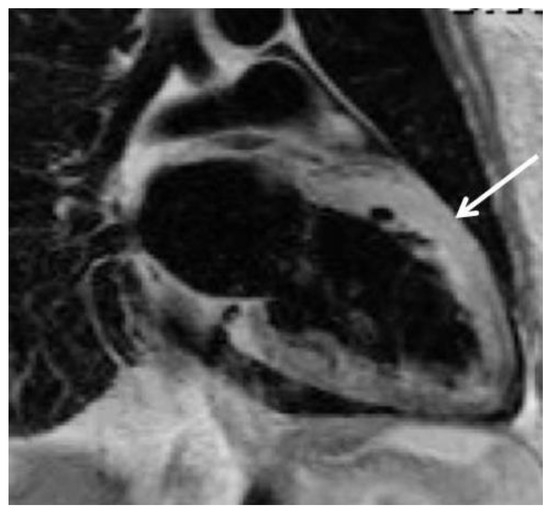
The fact that non-valvular (non-rheumatic) atrial fibrillation creates detectable thrombi in 17% of patients without oral anticoagulation and that 16% of the 17% (over 90% relatively) reside in the left atrial appendage (LAA), suggest that patients w...

