Supracardiac Total Anomalous Pulmonary Venous Connection with Right Ascending Vertical Vein
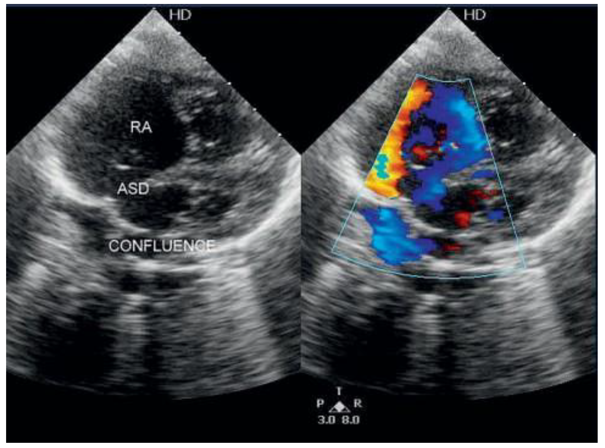
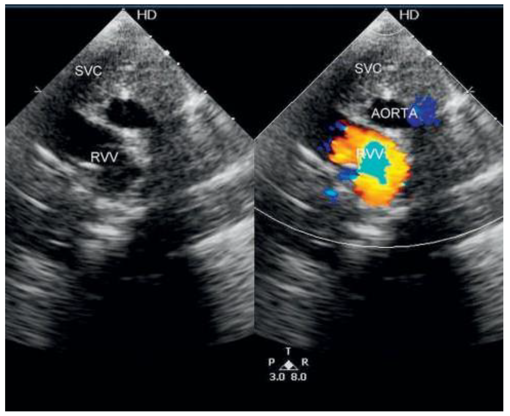
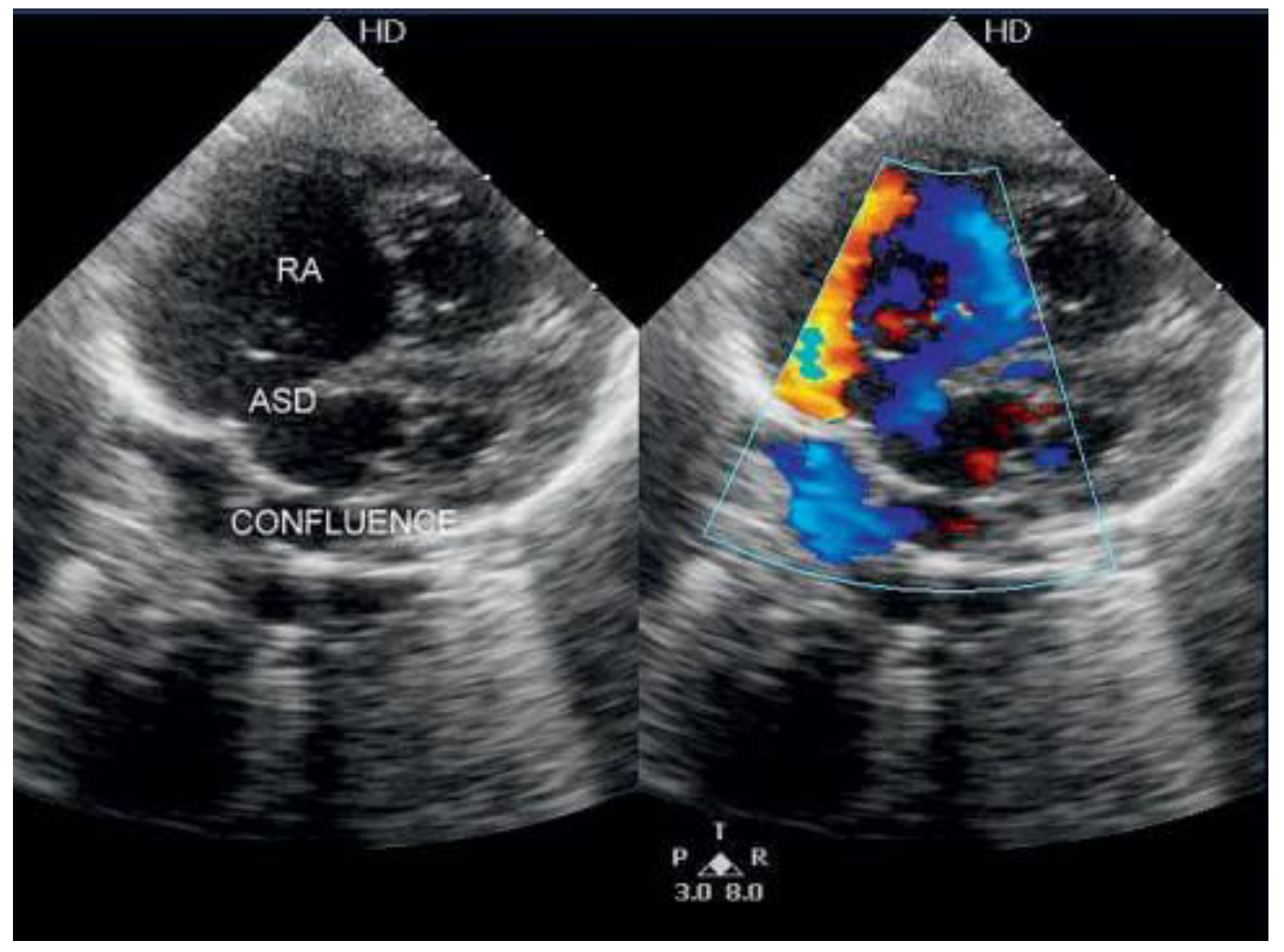
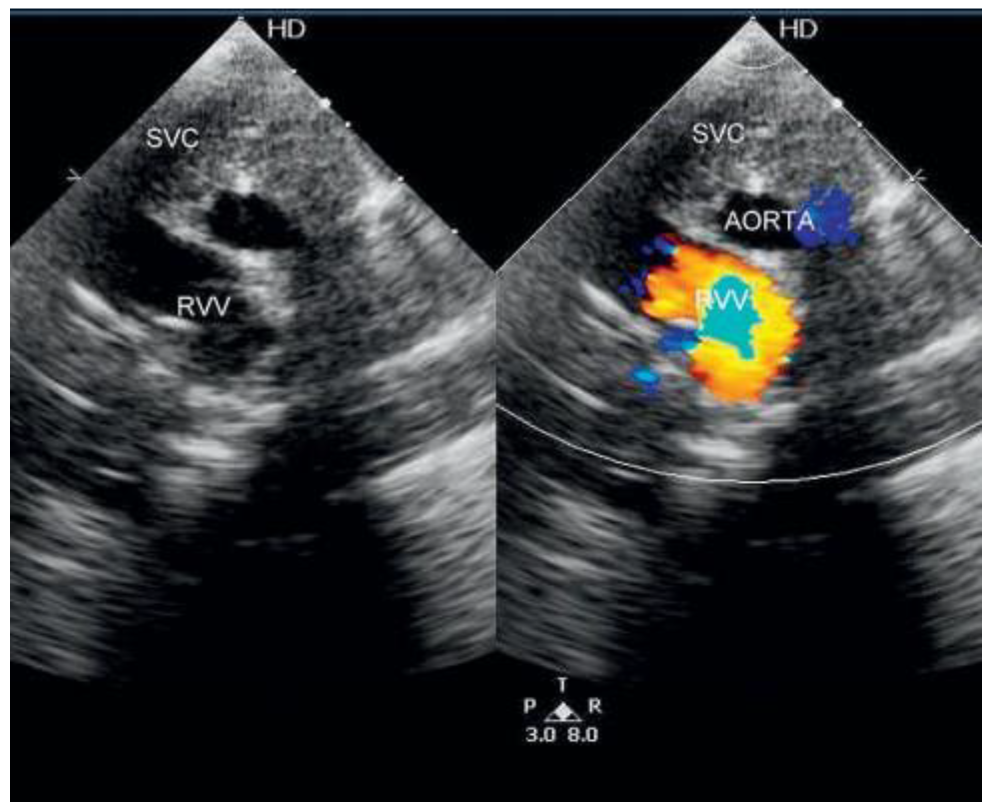
Case Report
Funding
Acknowledgments
Potential Competing Interests
References
- Craig, J.M.; Darling, R.C.; Pothney, W.B. Total anomalous pulmonary venous drainage on right side of heart; report of 17 autopsied cases not associated with other major cardiovascular anomalies. Lab Invest. 1957, 6, 44–64. [Google Scholar] [PubMed]
- Brown, D.W.; Geva, T. Anomalies of the pulmonary veins. In Moss and Adams’ Heart Disease in Infants, Children, and Adolescents, 8th ed.; Allen, H., Driscoll, D., Shaddy, R., Feltes, T., Eds.; Lippincott Williams & Wilkins: Philadelphia, PA, USA, 2013; pp. 823–825. [Google Scholar]
- Lehner, A.; Kozlik-Feldmann, R.; Herrmann, F.; et al. An unusual form of supracardiac total anomalous pulmonary venous return via a right-sided vertical vein in a heterotaxy syndrome case. Pediatr Cardiol. 2012, 33, 1200–1202. [Google Scholar] [CrossRef] [PubMed]
- Grosse-Wortmann, L.; Friedberg, M.K. Bilateral vertical veins from a common confluence in supracardiactotal anomalous pulmonary venous connection. Circulation 2008, 118, e103–e104. [Google Scholar] [CrossRef] [PubMed][Green Version]





© 2014 by the author. Attribution-Non-Commercial-NoDerivatives 4.0.
Share and Cite
Mahla, H.; Mallikarjun, K.; Rama Sastry, U.M.K.; Mahimarangaiah, J.; Manjunath, C.N. Supracardiac Total Anomalous Pulmonary Venous Connection with Right Ascending Vertical Vein. Cardiovasc. Med. 2014, 17, 273. https://doi.org/10.4414/cvm.2014.00265
Mahla H, Mallikarjun K, Rama Sastry UMK, Mahimarangaiah J, Manjunath CN. Supracardiac Total Anomalous Pulmonary Venous Connection with Right Ascending Vertical Vein. Cardiovascular Medicine. 2014; 17(9):273. https://doi.org/10.4414/cvm.2014.00265
Chicago/Turabian StyleMahla, Himanshu, Kavya Mallikarjun, Usha Mandikal Kodanda Rama Sastry, Jayarangnath Mahimarangaiah, and Cholenahally Nanjappa Manjunath. 2014. "Supracardiac Total Anomalous Pulmonary Venous Connection with Right Ascending Vertical Vein" Cardiovascular Medicine 17, no. 9: 273. https://doi.org/10.4414/cvm.2014.00265
APA StyleMahla, H., Mallikarjun, K., Rama Sastry, U. M. K., Mahimarangaiah, J., & Manjunath, C. N. (2014). Supracardiac Total Anomalous Pulmonary Venous Connection with Right Ascending Vertical Vein. Cardiovascular Medicine, 17(9), 273. https://doi.org/10.4414/cvm.2014.00265
