Next Issue
Volume 17, 12
Previous Issue
Volume 17, 10
 
 
cardiovascmed-logo

Journal Browser

Journal Browser
Cardiovascular Medicine is published by MDPI from Volume 28 Issue 1 (2025). Previous articles were published by another publisher in Open Access under a CC-BY (or CC-BY-NC-ND) licence, and they are hosted by MDPI on mdpi.com as a courtesy and upon agreement with Editores Medicorum Helveticorum (EMH).

Cardiovasc. Med., Volume 17, Issue 11 (11 2014) – 7 articles

  • Issues are regarded as officially published after their release is announced to the table of contents alert mailing list.
  • You may sign up for e-mail alerts to receive table of contents of newly released issues.
  • PDF is the official format for papers published in both, html and pdf forms. To view the papers in pdf format, click on the "PDF Full-text" link, and use the free Adobe Reader to open them.
Order results
Result details
Select all
Export citation of selected articles as:
1 pages, 31 KB  
Reply
Reply to the Letter of Andras Kertesz
by Ursula Maria Flückiger
Cardiovasc. Med. 2014, 17(11), 344; https://doi.org/10.4414/cvm.2014.00289 - 19 Nov 2014
Viewed by 56
Abstract
The correct dose of cefuroxime is 1 g p.o. The dose of cefuroxime 2 g is a mistake. If you chose amoxicillin, the correct dose is 2 g p.o [...] Full article
10 pages, 1573 KB  
Review
Treatment of Pulmonary Arterial Hypertension: An Update
by Maura Prella, Patrick Yerly and John-David Aubert
Cardiovasc. Med. 2014, 17(11), 334; https://doi.org/10.4414/cvm.2014.00276 - 19 Nov 2014
Viewed by 64
Abstract
The actual guidelines on the treatment of pulmonary arterial hypertension (PAH) advocates, besides the prescription of nonspecific measures such as oxygen and diuretics, the sequential use of PAH-specific drugs according to predefined clinical targets. The PAH drugs licensed for this indication amount to [...] Read more.
The actual guidelines on the treatment of pulmonary arterial hypertension (PAH) advocates, besides the prescription of nonspecific measures such as oxygen and diuretics, the sequential use of PAH-specific drugs according to predefined clinical targets. The PAH drugs licensed for this indication amount to 9 different compounds divided into three main therapeutic classes. Although most clinical studies, except for the most recent ones, were of short duration with questionable primary endpoints, there is some evidence that these specific therapies have improved the morbidity and the mortality of the disease. In addition to pharmacological treatment, pulmonary rehabilitation has also recently been shown to be beneficial in these patients. Despite all this encouraging progress, PAH remains an incurable disease, and further therapeutic modalities are much awaited. Full article
6 pages, 1774 KB  
Review
Chronic Thromboembolic Pulmonary Hypertension
by Séverine Müller-Mottet, Elisabeth Hasler, Isabelle Opitz, Walter Weder, Reto A. Schuepbach, Rudolf Speich and Silvia Ulrich
Cardiovasc. Med. 2014, 17(11), 328; https://doi.org/10.4414/cvm.2014.00285 - 19 Nov 2014
Cited by 2 | Viewed by 42
Abstract
Chronic thromboembolic pulmonary hypertension (CTEPH) is a rare and potentially fatal disease which occasionally occurs as a complication of acute pulmonary embolism. The mechanisms leading to failure of thrombus resolution are not completely understood with only some risk factors identified. Vascular alterations are [...] Read more.
Chronic thromboembolic pulmonary hypertension (CTEPH) is a rare and potentially fatal disease which occasionally occurs as a complication of acute pulmonary embolism. The mechanisms leading to failure of thrombus resolution are not completely understood with only some risk factors identified. Vascular alterations are present in the large and small vessel compartment. Signs and symptoms of CTEPH are nonspecific, rendering diagnosis challenging. A VQ scan followed by computed tomography, magnetic resonance or conventional pulmonary angiography is mandatory to confirm diagnosis and assess operability by a multidisciplinary team. Pulmonary endarterectomy remains the treatment of choice in operable patients and results in significantly improved haemodynamics and functional capacity. In inoperable patients medical treatment is well defined, and mainly includes the recently introduced pharmacological substances with impact on haemodynamics and functional performance. Full article
Show Figures

Figure 1

8 pages, 1611 KB  
Review
Pulmonary Hypertension Associated with Left Heart and Lung Diseases
by Micha T. Maeder, Rebekka Kleiner, Daniel Weilenmann and Otto D. Schoch
Cardiovasc. Med. 2014, 17(11), 320; https://doi.org/10.4414/cvm.2014.00278 - 19 Nov 2014
Cited by 1 | Viewed by 57
Abstract
Pulmonary hypertension (PH) associated with left heart diseases (PH-LHD) and PH associated with lung diseases (PH-lung) are common types of PH which typically represent more advanced disease stages of left heart and lung disease, characterised by more severe symptoms and worse prognosis. The [...] Read more.
Pulmonary hypertension (PH) associated with left heart diseases (PH-LHD) and PH associated with lung diseases (PH-lung) are common types of PH which typically represent more advanced disease stages of left heart and lung disease, characterised by more severe symptoms and worse prognosis. The tailored work-up should include an assessment of the severity and haemodynamic constellation of PH and the mechanism of the underlying left heart or lung disease and the respective therapeutic targets. Transthoracic echocardiography is the primary noninvasive imaging tool to estimate the likelihood of PH. However, the accuracy of echocardiography is limited in patients with only moderately elevated pulmonary pressures, and acoustic windows in patients with lung disease are often poor. Therefore, right heart catheterisation is always required if exact knowledge of the haemodynamic constellation is required. Echocardiography, cardiac catheterisation, blood gas analysis, lung function testing and ergospirometry as well as additional modalities such as high-resolution computed tomography, overnight sleep studies and cardiac magnetic resonance imaging may be required to characterise the underlying left heart or lung disease and the targets for therapy. The general treatment principle for the management of PH-LHD and PH-lung is to treat the underlying left heart or lung disease in an optimal manner. Specific vasodilator therapies currently do not play a prominent role in PH-LHD and PH-lung but additional trials are underway and may define subgroups deriving benefit. Full article
8 pages, 1865 KB  
Review
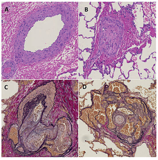
Pulmonary Hypertension: Classification and Pathobiology
by Lars C. Huber, Bart Vrugt and Mattia Arrigo
Cardiovasc. Med. 2014, 17(11), 312; https://doi.org/10.4414/cvm.2014.00286 - 19 Nov 2014
Cited by 3 | Viewed by 63
Abstract
Pulmonary hypertension is defined as an increase of the mean pulmonary arterial pressure above 25 mm Hg and, as such, the diagnosis requires invasive haemodynamic measurement by right heart catheterisation. More than just a single disease, pulmonary hypertension is an umbrella term that [...] Read more.
Pulmonary hypertension is defined as an increase of the mean pulmonary arterial pressure above 25 mm Hg and, as such, the diagnosis requires invasive haemodynamic measurement by right heart catheterisation. More than just a single disease, pulmonary hypertension is an umbrella term that includes many different disorders and pathophysiological entities. However, most forms of pulmonary hypertension share a final common pathway, in particular the trias of vasoconstriction, m icrothrombosis and vascular remodelling. The classification of pulmonary hypertension has been subjected to many changes within the last decade. At the same time, major achievements in our understanding of the complex pathobiology have been made. Here, these developments are discussed in the light of the recently published report from the fifth World Symposium on pulmonary hypertension. Full article
Show Figures

Figure 1

1 pages, 1470 KB  
Editorial
Pulmonary Hypertension
by Silvia Ulrich
Cardiovasc. Med. 2014, 17(11), 311; https://doi.org/10.4414/cvm.2014.00298 - 19 Nov 2014
Viewed by 55
Abstract
Since the first description of pulmonary vascular disorders by Ernst von Romberg in 1891, decades of research have led to progresses in the pathogenetic understanding, clinical classification and therapy of pulmonary hypertension (PH) [1][...] Full article
1 pages, 25 KB  
Letter
Revidierte Schweizerische Richtlinien für die Endokarditis-Prophylaxe
by Andras Kertesz
Cardiovasc. Med. 2014, 17(11), 287; https://doi.org/10.4414/cvm.2014.00287 (registering DOI) - 19 Nov 2014
Viewed by 43
Abstract
Im Dokument «Revidierte schweizerische Richtlinien für die Endokarditis-Prophylaxe» [...] Full article
Previous Issue
Next Issue
Back to TopTop