Next Article in Journal
Anterior ST-Elevation Myocardial Infarction After Excimer Laser Extraction of Defibrillator Leads
Previous Article in Journal
High Altitude in the Heart of Healthy and Sick
 
 
Cardiovascular Medicine is published by MDPI from Volume 28 Issue 1 (2025). Previous articles were published by another publisher in Open Access under a CC-BY (or CC-BY-NC-ND) licence, and they are hosted by MDPI on mdpi.com as a courtesy and upon agreement with Editores Medicorum Helveticorum (EMH).
Font Type:
Arial Georgia Verdana
Font Size:
Aa Aa Aa
Line Spacing:
Column Width:
Background:
Case Report

Primary Left Atrial Angiosarcoma Determining Severe Mitral Valve Stenosis

by
Natalia Pavone
1,*,
Vasileios Tsiopoulos
1,
Riccardo Marano
2,
Mariangela Novello
3 and
Mario Gaudino
1
1
Division of Cardiac Surgery, Catholic University, Rome, Italy
2
Department of Bioimaging and Radiological Sciences Institute of Radiology, Catholic University, Rome, Italy
3
Department of Pathology, Catholic University, Rome, Italy
*
Author to whom correspondence should be addressed.
Cardiovasc. Med. 2012, 15(2), 55; https://doi.org/10.4414/cvm.2012.01642
Submission received: 22 November 2011 / Revised: 22 December 2011 / Accepted: 22 January 2012 / Published: 22 February 2012

Abstract

Primary cardiac tumours are a rare pathogical entity. In the vast majority of cases these tumours are benign [1,2]; among malignant histotypes, angiosarcoma is the most common, representing 15–35% of all cardiac tumours [2,3]. Primary cardiac angiosarcomas usually arise from the right atrium or the pericardium; they typically occur in the third to fifth decade of life and are two to three times more frequent in males. We report a case of primary angiosarcoma arising from the left atrium in a female patient who had already undergone mitral valve repair.

Case report

A 71-year-old Caucasian woman was admitted to our hospital for progressive shortness of breath, asthenia and systemic symptoms of generalised malaise.
Six years earlier the patient had undergone mitral valve repair; since then she had been in good physical condition.
A few months before admission the patient reported weight loss, weakness, dyspnoea recurrence and fatigue. She also referred to recurrent urinary tract infections and slow healing of a wound in the left arm.
Physical examination revealed loss of muscle mass, cognitive slowing and a holodiastolic murmur. Vital signs were stable, the lungs were clear and no palpable lymph nodes were found.
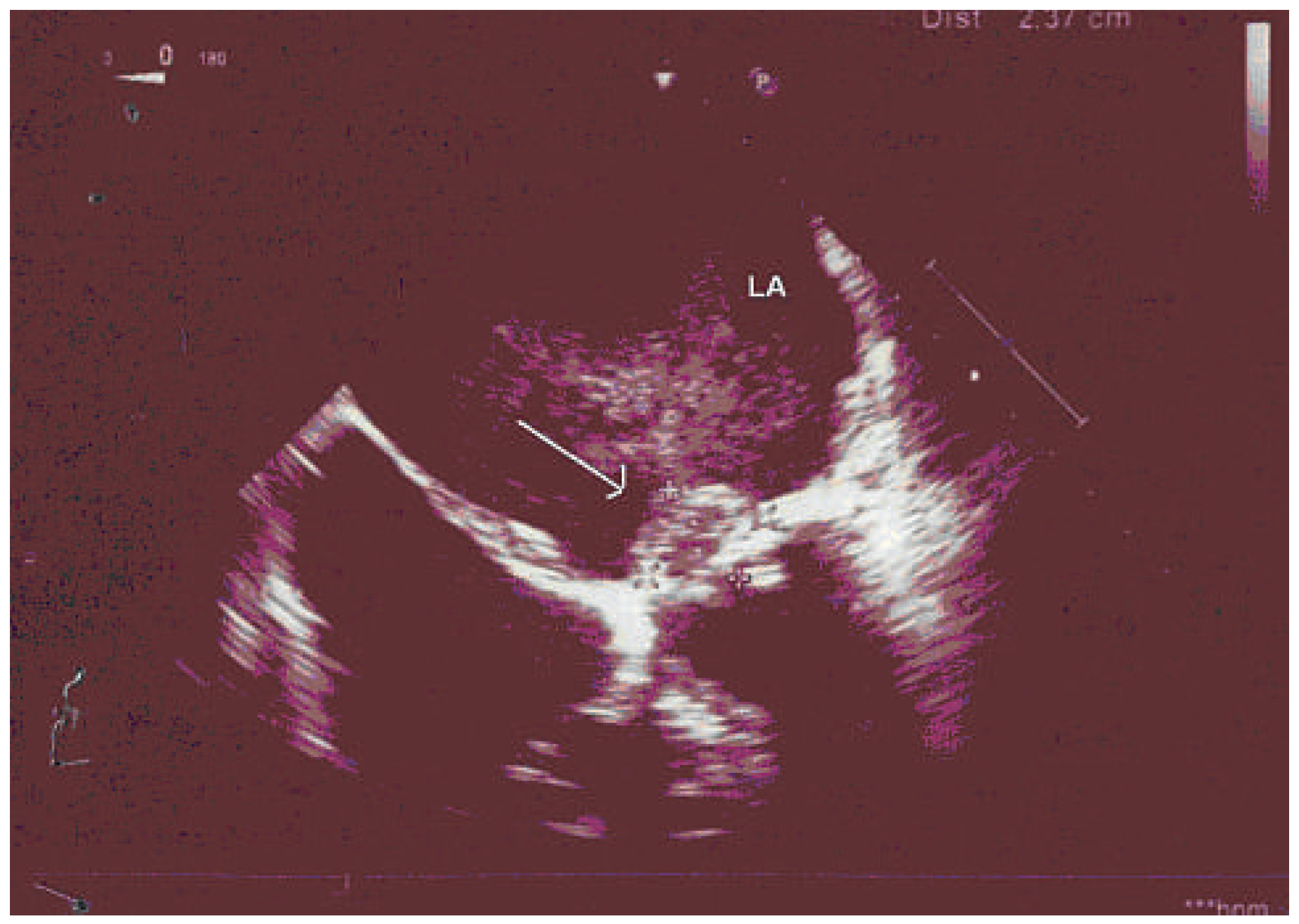
Transoesophageal echocardiography (Figure 1) showed two masses in the left atrium; a large lesion (20 × 23 mm) adherent to the free edge of the anterior mitral leaflet causing severe functional mitral obstruction with a mean gradient of 20 mm Hg, and a further lesion occluding the left appendage extending to the side wall and to the roof of the left atrium (46 × 20 mm).
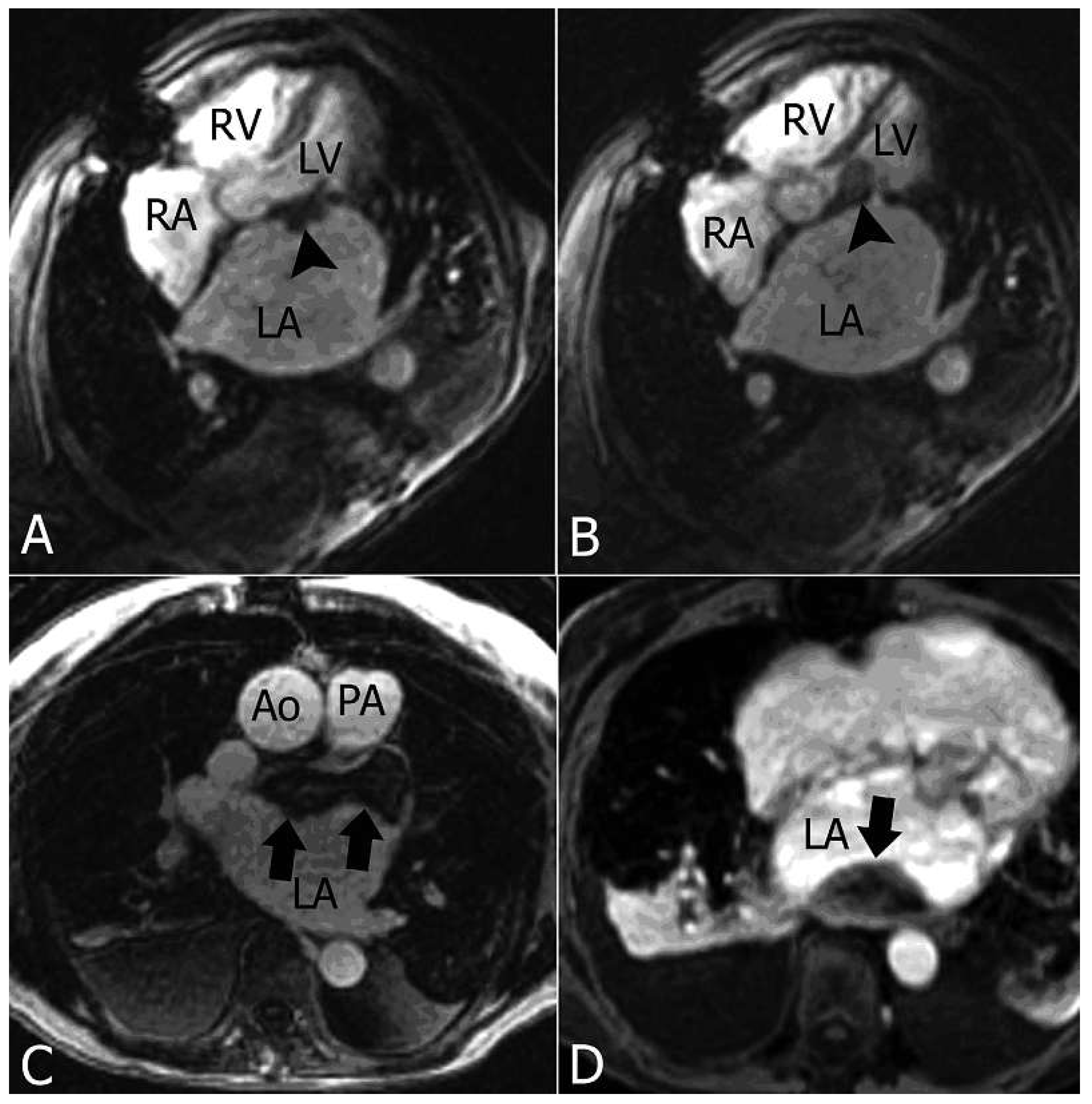
Cardiac MR confirmed the findings (Figure 2).
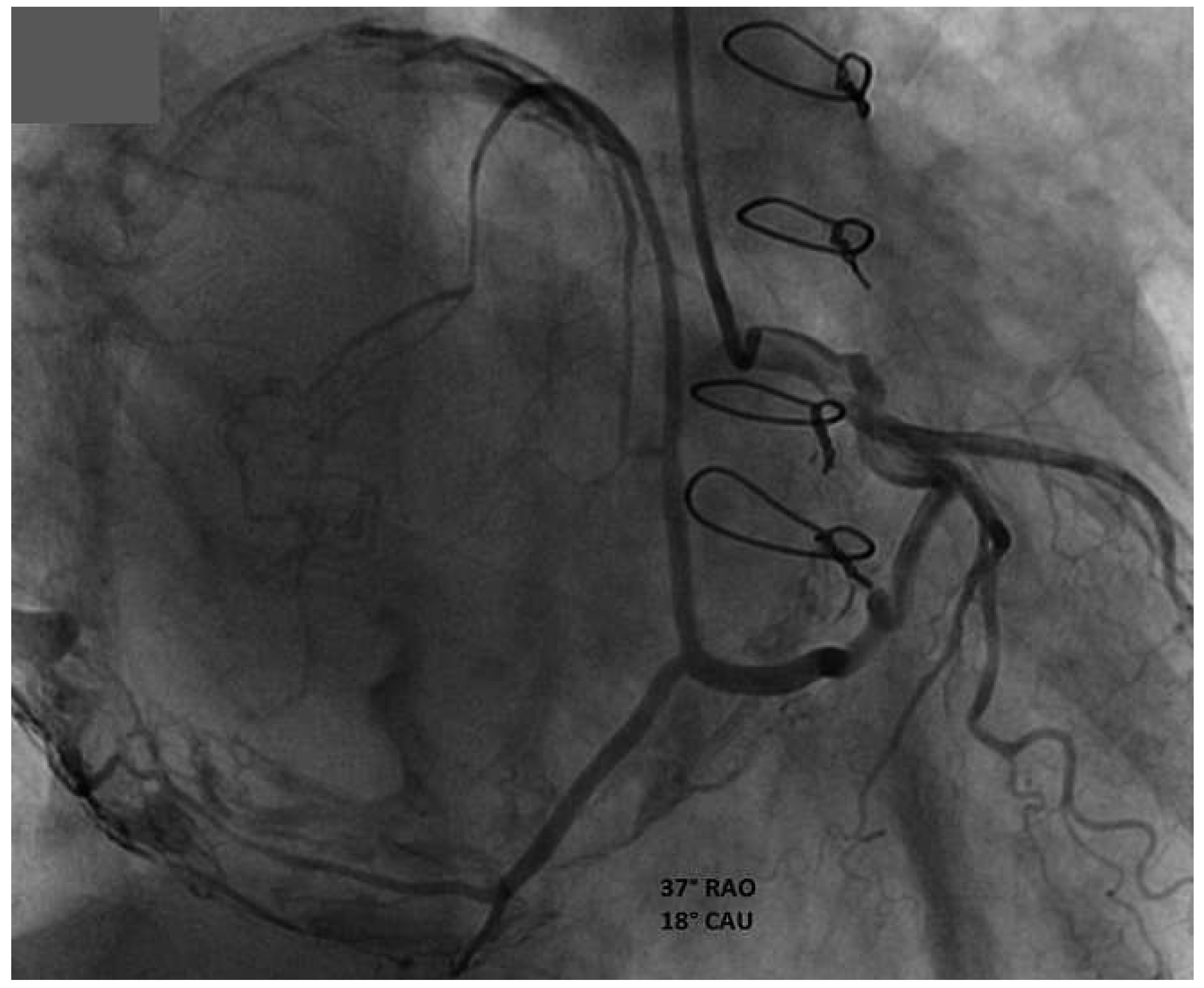
Coronary angiography revealed normal coronary arteries and showed several hypertrophic branches for the left atrium supplying blood to the two masses, with evidence of left-to-left shunt (Figure 3).
Urgent surgical excision was scheduled. The operation was performed through full median sternotomy using normothermic cardiopulmonary bypass; myocardial protection was achieved by ante-retrograde warm blood cardioplegia.
The left atrium was entered via the vertical transseptal approach; a giant lesion was found, adherent to the side wall and to the roof and extending into the atrial appendage. The mass appeared solid, with areas of thrombosis. A further, walnut-shaped mass infiltrated the anterior mitral leaflet, determining mitral valve stenosis. The left atrial endocardium appeared thickened and subtotal left atrial endoarterectomy was performed. The two masses were completely excised.
The mitral valve was replaced with a porcine valve and a tricuspid valve annuloplasty was performed using a prosthetic ring.
The post-operative stay was uneventful.
Pathological material was available for gross and histological examination.
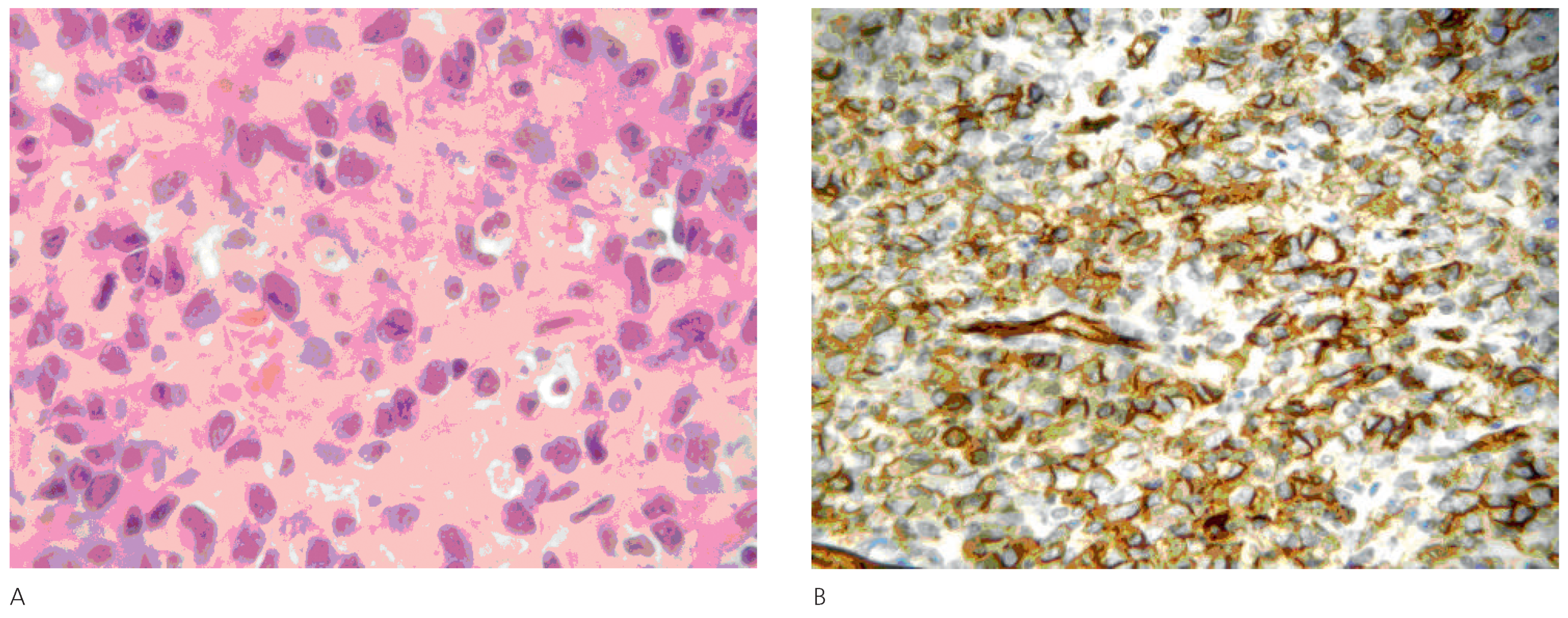
Microscopically the tumour displayed a prevalent epithelioid pattern, involving large cells with irregular nuclei and abundant cytoplasm. Mitoses were numerous and areas of necrosis were present. Frequent small slits were observed among the cells and, more rarely, vascular channels bordered by atypical cells. Immunohistochemical analysis showed positivity of the neoplastic cells for vimentin, CD31 and CD34. Cells were negative for S100, melan-a, tireoglobulin, SMA, TTF1, desmin, caldesmon and LCA. Rare cytokeratin (AE1AE3,CAM5.2) positive neoplastic cells were occasionally found. On the basis of morphology and immunophenotype, epithelioid angiosarcoma was diagnosed (Figure 4A,B).
After recovery from surgery, the patient was scheduled for chemotherapy.
The patient received a total of two cycles of combination chemotherapy. Four months after surgery she was readmitted to our hospital for onset of dyspnoea, fatigue, night fever and progressive systemic deterioration.
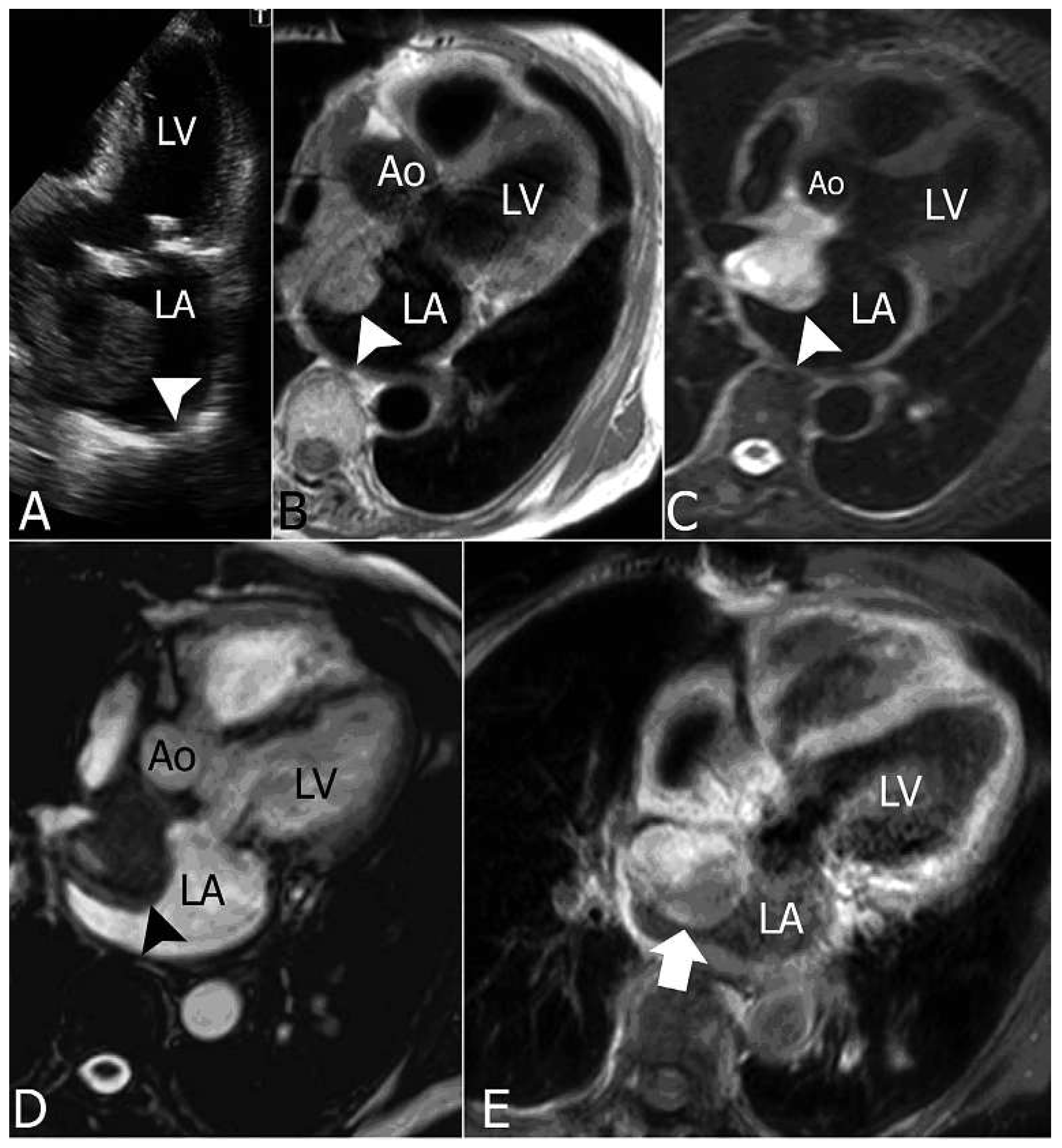
Transthoracic echocardiography showed local recurrence of the tumour in the left atrium, with a round-shaped lesion (39 × 39 mm) adherent to the roof and the upper part of the atrial septum (Figure 5).
Total-body CT scan revealed no systemic metastases.
A second cycle of chemotherapy was started but the patient died of multiorgan failure one month after tumour recurrence.

Comment

Primary cardiac tumours have a prevalence at autopsy ranging from 0.001 to 0.3% [4]; almost 70% are benign and fewer than 30% are malignant [4]. The most common histological type of the malignant tumours is angiosarcoma [1,3,4].
Primary cardiac angiosarcomas usually arise from the right atrium or the pericardium; they typically occur in the third to fifth decade of life and are two to three times more prevalent in males [2].
More than half of these tumours have already produced systemic metastases at the time of discovery, most commonly to the lungs; other sites include the liver, brain and bone [3].
At present the therapeutic approach includes surgery, chemotherapy and radiation therapy [3], although, due to the rarity of the tumours, there are no generally applicable guidelines.
Despite aggressive treatment, the prognosis is poor and death usually occurs within one year of diagnosis [5,6].
Although primary cardiac angiosarcomas are usually found in the right heart, in our case the tumour was located in the left atrium.
Moreover, to the best of our knowledge, no previous case of left-sided angiosarcoma has been reported in patients already undergoing cardiac operations [1,7,8].
Despite complete surgical resection of the tumours and subtotal endocardial resection of the left atrium, followed by chemotherapy, the tumour recurred within a very short time.
In conclusion, primary cardiac angiosarcomas are rare and highly aggressive malignant tumours.
Complete surgical resection continues to be the central component of management, but does not ensure survival.

Funding/potential competing interests

No financial support and no other potential conflict of interest relevant to this article was reported.

References

  1. Engelen, M.; Bruch, C.; Hoffmeier, A.; Kersting, C.; Stypmann, J. Primary left atrial angiosarcoma mimicking severe mitral valve stenosis. Heart 2005, 91, e27. [Google Scholar] [CrossRef] [PubMed][Green Version]
  2. Luk, A.; Nwachukwu, H.; Lim, K.-D.; Cusimano, R.J.; Butany, J. Cardiac angiosarcoma: a case report and review of the literature. Cardiovasc Pathol. 2010, 19, e69–74. [Google Scholar] [CrossRef]
  3. Brandt, R.R.; Arnold, R.; Bohle, R.M.; Dill, T.; Hamm, C.W. Cardiac angiosarcoma: case report and review of the literature. Z Kardiol. 2005, 94, 824–828. [Google Scholar] [CrossRef] [PubMed]
  4. Yu, K.; Liu, Y.; Wang, H.; Hu, S.; Long, C. Epidemiological and pathological characteristics of cardiac tumors: a clinical study of 242 cases. Interact CardioVasc Thorac Surg. 2007, 6, 636–639. [Google Scholar] [CrossRef] [PubMed]
  5. Hamidi, M.; Moody, J.S.; Weigel, T.L.; Kozak, K.R. Primary cardiac sarcoma. Ann Thorac Surg. 2010, 90, 176–181. [Google Scholar] [CrossRef]
  6. Orlandi, A.; Ferlosio, A.; Roselli, M.; Chiariello, L.; Spagnoli, L.G. Cardiac sarcomas: an update. J Thorac Oncol. 2010, 5, 1483–1489. [Google Scholar] [CrossRef]
  7. Dennig, K.; Lehmann, G.; Richter, T. An Angiosarcoma in the left atrium. N Engl J Med. 2000, 342, 443–444. [Google Scholar] [CrossRef] [PubMed]
  8. Ho, C.K.; Wang, E.; Au, W.K.; Cheng, L.C. Primary cardiac angiosarcoma of left atrium. J Card Surg. 2009, 24, 522–528. [Google Scholar] [CrossRef] [PubMed]
Figure 1. Transoesophageal echocardiogram. Note an echodense mass adherent to the anterior mitral leaflet.
Figure 1. Transoesophageal echocardiogram. Note an echodense mass adherent to the anterior mitral leaflet.
Cardiovascmed 15 00055 g001
Figure 2. The axial MR images show enlargement of LA, confirming the presence of a solid lesion on the free edge of the anterior mitral leaflet (arrowhead in A and B) and the solid tissue occluding the left appendage and extended along the anterior wall and roof of the LA (arrows in C), associated with a similar finding along the posterior LA wall (arrow in D). Ao = aorta; LA = left atrium; LV = left ventricle; PA = pulmonary artery; RA = right atrium; RV = right ventricle.
Figure 2. The axial MR images show enlargement of LA, confirming the presence of a solid lesion on the free edge of the anterior mitral leaflet (arrowhead in A and B) and the solid tissue occluding the left appendage and extended along the anterior wall and roof of the LA (arrows in C), associated with a similar finding along the posterior LA wall (arrow in D). Ao = aorta; LA = left atrium; LV = left ventricle; PA = pulmonary artery; RA = right atrium; RV = right ventricle.
Cardiovascmed 15 00055 g002
Figure 3. Angiogram of the 37°RAO–18°CAU view. This view shows several hypertrophic branches for the left atrium supplying blood to the two masses, with evidence of left-to-left shunt.
Figure 3. Angiogram of the 37°RAO–18°CAU view. This view shows several hypertrophic branches for the left atrium supplying blood to the two masses, with evidence of left-to-left shunt.
Cardiovascmed 15 00055 g003
Figure 4. (A) Haematoxylin & eosin staining of epithelioid angiosarcoma showing solid sheets of cells with occasional small vascular channels containing erythrocytes (×200). (B) CD31 positivity with a membrane staining pattern is observed in the majority of epithelioid cells.
Figure 4. (A) Haematoxylin & eosin staining of epithelioid angiosarcoma showing solid sheets of cells with occasional small vascular channels containing erythrocytes (×200). (B) CD31 positivity with a membrane staining pattern is observed in the majority of epithelioid cells.
Cardiovascmed 15 00055 g004
Figure 5. Follow-up transthoracic echocardiography (A) showed local recurrence of the tumour in the LA with presence of a round-shaped lesion (39 × 39 mm) adherent to the roof and upper portion of the IAS. Cardiac MR (BD) confirms the presence in the LA (arrowheads) of solid and well defined tissue adherent to the atrial roof and upper portion of the IAS, extending anteriorly behind the aortic root, with a significative enhancement of the lesion (arrow) in the post-contrast scan (D). IAS = interatrial septum; Ao = aorta; LA = left atrium; LV = left ventricle; TTE = transthoracic echocardiography.
Figure 5. Follow-up transthoracic echocardiography (A) showed local recurrence of the tumour in the LA with presence of a round-shaped lesion (39 × 39 mm) adherent to the roof and upper portion of the IAS. Cardiac MR (BD) confirms the presence in the LA (arrowheads) of solid and well defined tissue adherent to the atrial roof and upper portion of the IAS, extending anteriorly behind the aortic root, with a significative enhancement of the lesion (arrow) in the post-contrast scan (D). IAS = interatrial septum; Ao = aorta; LA = left atrium; LV = left ventricle; TTE = transthoracic echocardiography.
Cardiovascmed 15 00055 g005

Share and Cite

MDPI and ACS Style

Pavone, N.; Tsiopoulos, V.; Marano, R.; Novello, M.; Gaudino, M. Primary Left Atrial Angiosarcoma Determining Severe Mitral Valve Stenosis. Cardiovasc. Med. 2012, 15, 55. https://doi.org/10.4414/cvm.2012.01642

AMA Style

Pavone N, Tsiopoulos V, Marano R, Novello M, Gaudino M. Primary Left Atrial Angiosarcoma Determining Severe Mitral Valve Stenosis. Cardiovascular Medicine. 2012; 15(2):55. https://doi.org/10.4414/cvm.2012.01642

Chicago/Turabian Style

Pavone, Natalia, Vasileios Tsiopoulos, Riccardo Marano, Mariangela Novello, and Mario Gaudino. 2012. "Primary Left Atrial Angiosarcoma Determining Severe Mitral Valve Stenosis" Cardiovascular Medicine 15, no. 2: 55. https://doi.org/10.4414/cvm.2012.01642

APA Style

Pavone, N., Tsiopoulos, V., Marano, R., Novello, M., & Gaudino, M. (2012). Primary Left Atrial Angiosarcoma Determining Severe Mitral Valve Stenosis. Cardiovascular Medicine, 15(2), 55. https://doi.org/10.4414/cvm.2012.01642

Article Metrics

Back to TopTop