Aortic Valve Rupture Due to a Motorcycle Accident
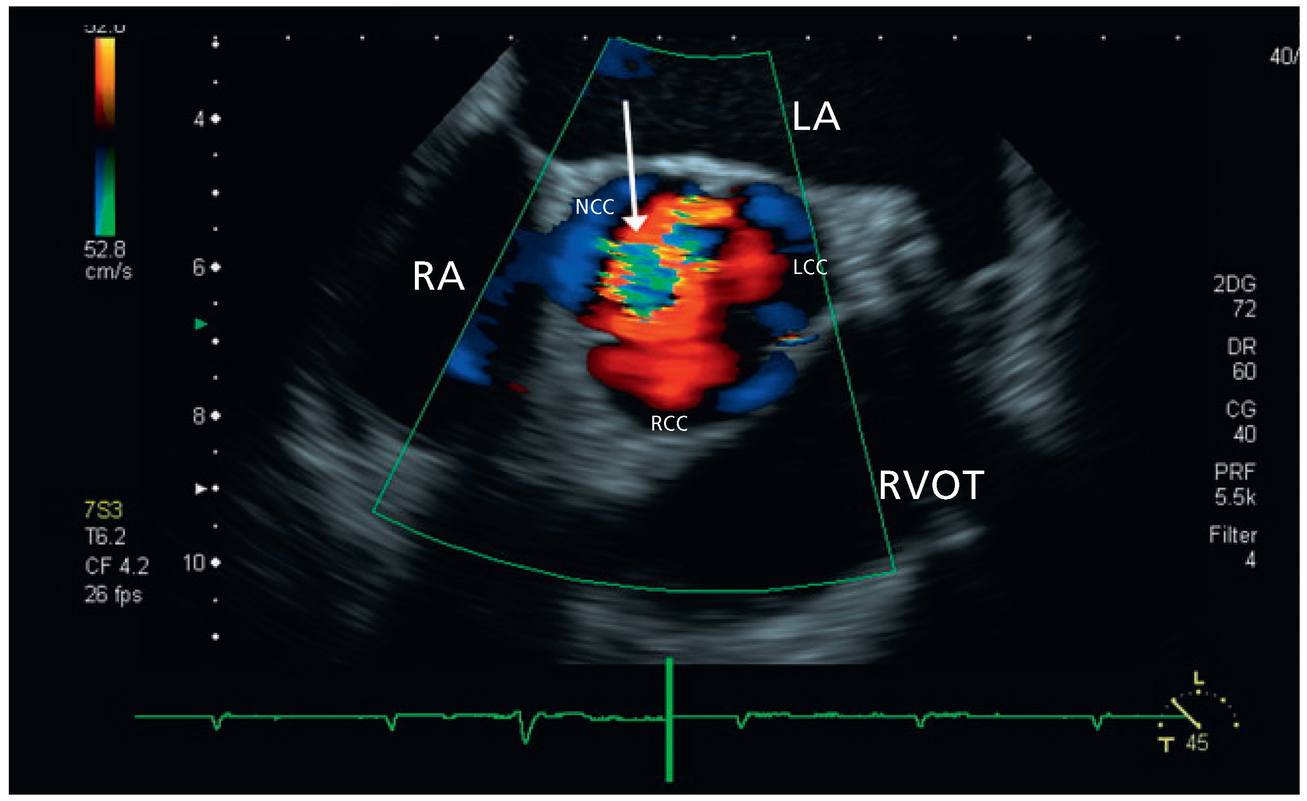
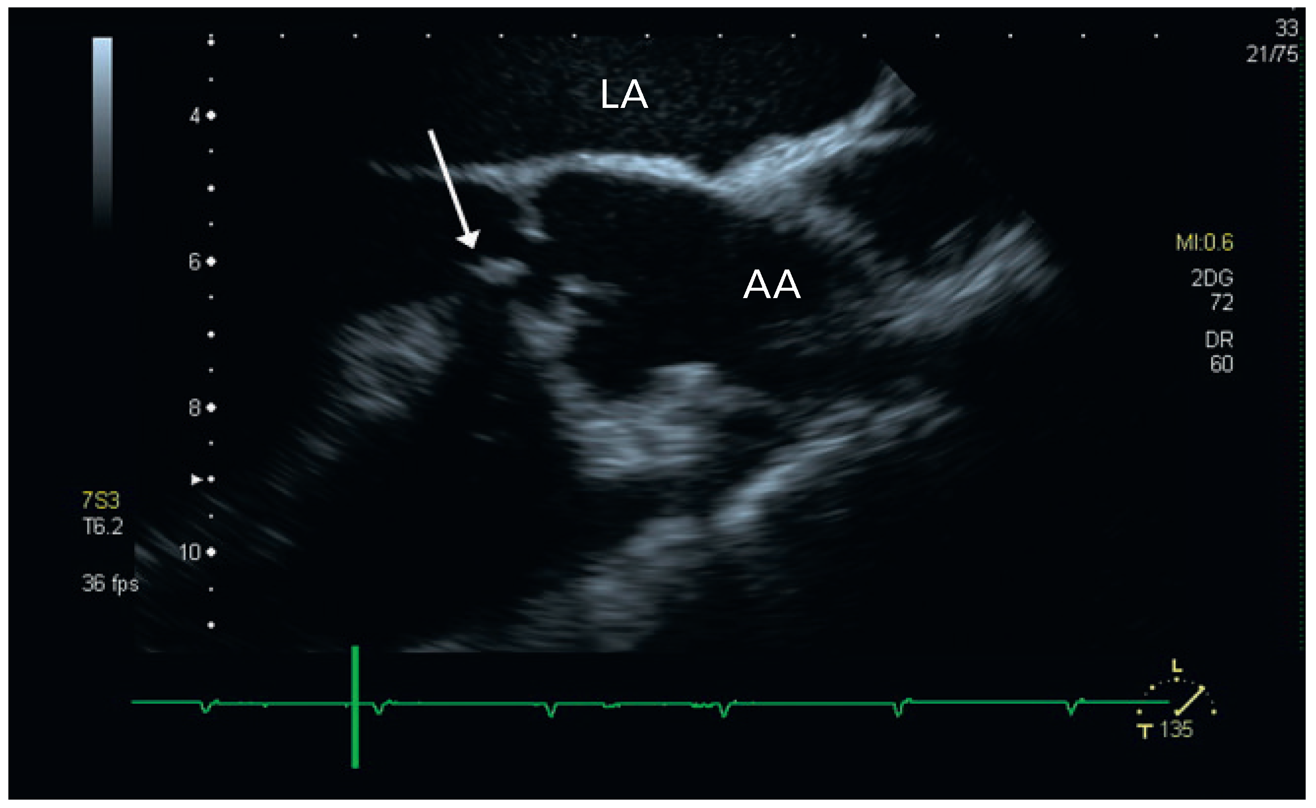
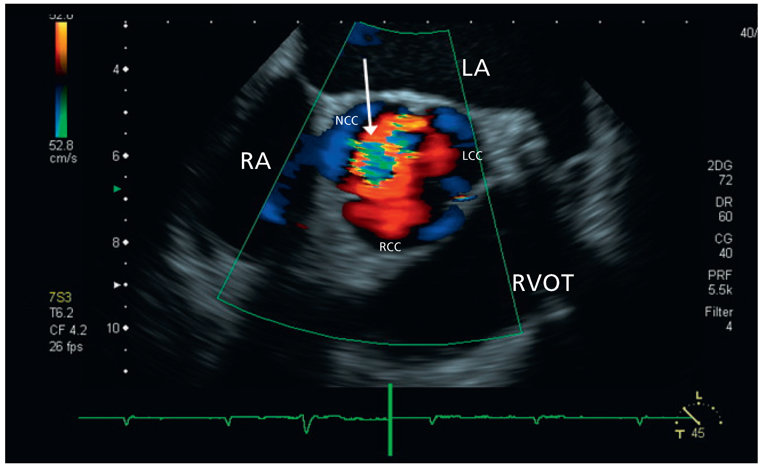
Case report

Funding/potential competing interests
References
- Bernabeau, E.; Mestres, C.A.; Loma-Osorio, P.; et al. Acute aortic and mitral valve regurgitation following blunt chest trauma. Int Cardiovasc Thorac Surg. 2004, 3, 189–200. [Google Scholar]
- Halstead, J.; Hosseinpour, A.R.; Wells, F.C. Conservative surgical treatment of valvular injury after blunt chest trauma. Ann Thorac Surg. 2000, 69, 766–768. [Google Scholar] [CrossRef] [PubMed]
- Pretre, R.; Chilcott, M. Blunt trauma to the heart and great vessels. N Engl J Med. 1997, 336, 626–632. [Google Scholar] [CrossRef] [PubMed]
- Banning, A.P.; Pillai, R. Non-penetrating cardiac and aortic trauma. Heart 1997, 78, 226–229. [Google Scholar] [CrossRef] [PubMed]
- Payne, D.D.; De Weese, J.A.; Mahoney, E.B.; Murphy, G.W. Surgical treatment of traumatic rupture of the normal aortic valve. Ann Thorac Surg. 1974, 17, 223–229. [Google Scholar] [CrossRef] [PubMed]
- Kan, C.-D.; Yang, Y.-J. Traumatic aortic and mitral valve injury following blunt chest injury with a variable clinical course. Heart 2005, 91, 568–570. [Google Scholar] [CrossRef] [PubMed][Green Version]






© 2011 by the author. Attribution - Non-Commercial - NoDerivatives 4.0.
Share and Cite
Vocke, D.; Moarof, I.; Matt, P.; Anabitarte, P. Aortic Valve Rupture Due to a Motorcycle Accident. Cardiovasc. Med. 2011, 14, 192. https://doi.org/10.4414/cvm.2011.01597
Vocke D, Moarof I, Matt P, Anabitarte P. Aortic Valve Rupture Due to a Motorcycle Accident. Cardiovascular Medicine. 2011; 14(6):192. https://doi.org/10.4414/cvm.2011.01597
Chicago/Turabian StyleVocke, Daniela, Igal Moarof, Peter Matt, and Pablo Anabitarte. 2011. "Aortic Valve Rupture Due to a Motorcycle Accident" Cardiovascular Medicine 14, no. 6: 192. https://doi.org/10.4414/cvm.2011.01597
APA StyleVocke, D., Moarof, I., Matt, P., & Anabitarte, P. (2011). Aortic Valve Rupture Due to a Motorcycle Accident. Cardiovascular Medicine, 14(6), 192. https://doi.org/10.4414/cvm.2011.01597
