Next Issue
Volume 13, 10
Previous Issue
Volume 13, 08
 
 
cardiovascmed-logo

Journal Browser

Journal Browser
Cardiovascular Medicine is published by MDPI from Volume 28 Issue 1 (2025). Previous articles were published by another publisher in Open Access under a CC-BY (or CC-BY-NC-ND) licence, and they are hosted by MDPI on mdpi.com as a courtesy and upon agreement with Editores Medicorum Helveticorum (EMH).

Cardiovasc. Med., Volume 13, Issue 9 (09 2010) – 8 articles

  • Issues are regarded as officially published after their release is announced to the table of contents alert mailing list.
  • You may sign up for e-mail alerts to receive table of contents of newly released issues.
  • PDF is the official format for papers published in both, html and pdf forms. To view the papers in pdf format, click on the "PDF Full-text" link, and use the free Adobe Reader to open them.
Order results
Result details
Select all
Export citation of selected articles as:
2 pages, 439 KB  
Interesting Images
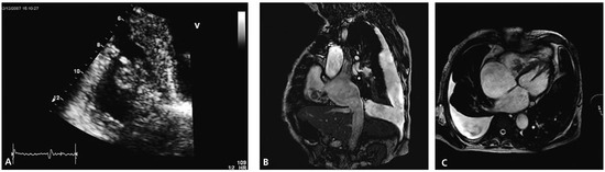
Acute Leriche Syndrome in an 83-Year-Old Man with Non NSTEMI After Cardiac Resuscitation Because of Ventricular Fibrillation
by Daniel Sürder, Jos C. van den Berg, Tiziano Moccetti and Giovanni B. Pedrazzini
Cardiovasc. Med. 2010, 13(9), 292; https://doi.org/10.4414/cvm.2010.01521 - 15 Sep 2010
Cited by 1 | Viewed by 112
Abstract
An 83-year-old man on permanent haemodialysis was admitted to the emergency department in cardiogenic shock after prolonged electromechanical resuscitation because of ventricular fibrillation [...] Full article
Show Figures

Figure 1

2 pages, 295 KB  
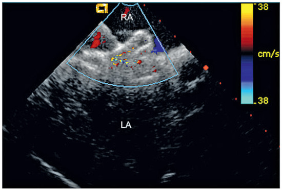
Interesting Images
Percutaneous Implantation of an ASD Occluder with Intracardiac Ultrasound
by Frank Enseleit, Oliver Kretschmar and Thomas F. Lüscher
Cardiovasc. Med. 2010, 13(9), 290; https://doi.org/10.4414/cvm.2010.01522 - 15 Sep 2010
Viewed by 110
Abstract
A 52-year-old female was admitted for further evaluation of a continuous heart murmur. Transthoracic echocardiography revealed a secundum type atrial septal defect (ASD II) with a size of 13 × 16 mm and considerable left-to-right shunt (Qp/Qs = 2), as well as elevated [...] Read more.
A 52-year-old female was admitted for further evaluation of a continuous heart murmur. Transthoracic echocardiography revealed a secundum type atrial septal defect (ASD II) with a size of 13 × 16 mm and considerable left-to-right shunt (Qp/Qs = 2), as well as elevated pulmonary artery pressure (RV/RA pressure gradient = 38 mm Hg) [...] Full article
Show Figures

Figure 1

2 pages, 856 KB  
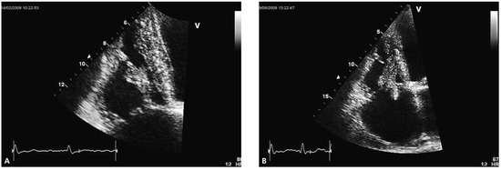
Interesting Images
Curing Heart Failure with Cathether Ablation?
by Marcus Mutschelknauss, Peter Rickenbacher and Michael Kühne
Cardiovasc. Med. 2010, 13(9), 288; https://doi.org/10.4414/cvm.2010.01528 - 15 Sep 2010
Viewed by 103
Abstract
A 63-year-old Japanese tourist presented to the emergency department with increasing shortness of breath and palpitations over the previous two weeks [...] Full article
Show Figures

Figure 1

4 pages, 303 KB  
Case Report
Preserved Cerebral Function After Resuscitation and Induction of Hypothermia with Packed Snow
by Alexander J. Pfister, Patrik R. Schwab, Andreas Wahl, Jukka Takala, Bernhard Meier and Carlo Höfliger
Cardiovasc. Med. 2010, 13(9), 284; https://doi.org/10.4414/cvm.2010.01524 - 15 Sep 2010
Viewed by 149
Abstract
Objective: The objective is to report an easy and fast way of out-of-hospital induction of mild therapeutic hypothermia after prolonged cardiopulmonary resuscitation. Method: Retrospective case report. Case reports: We report two cases of witnessed out-of-hospital cardiac arrest at an alpine ski resort. Both [...] Read more.
Objective: The objective is to report an easy and fast way of out-of-hospital induction of mild therapeutic hypothermia after prolonged cardiopulmonary resuscitation. Method: Retrospective case report. Case reports: We report two cases of witnessed out-of-hospital cardiac arrest at an alpine ski resort. Both patients underwent prolonged cardiopulmonary resuscitation due to persistent ventricular fibrillation. On scene, mild therapeutic hypothermia was induced with packed snow either after return of spontaneous circulation or already during active resuscitation. For percutaneous coronary intervention, the patients were airlifted to a tertiary cardiology centre. During the 16 minute flight, they both reached the hypothermia target temperature of 33 ± 1 °C and were kept hypothermic for 24 hours. After active rewarming and extubation, the patients recovered completely and did not suffer from any neurological dysfunction. Discussion: We attribute the excellent outcome to the resolute implementation of the resuscitation and the early out-of-hospital onset of mild therapeutic hypothermia. Full article
Show Figures

Figure 1

4 pages, 186 KB  
Case Report
Cardiac Thrombus as a Primary Manifestation of Polycythemia Vera
by Stefan Bloechlinger and Ulrich Ingold
Cardiovasc. Med. 2010, 13(9), 281; https://doi.org/10.4414/cvm.2010.01527 - 15 Sep 2010
Viewed by 161
Abstract
We report the case of a patient who became symptomatic with clinical signs of, predominantly, right sided heart failure caused by multiple pulmonary emboli from a large thrombus attached to the tricuspid valve, despite oral anticoagulation. Based on haematological findings and genetic testing, [...] Read more.
We report the case of a patient who became symptomatic with clinical signs of, predominantly, right sided heart failure caused by multiple pulmonary emboli from a large thrombus attached to the tricuspid valve, despite oral anticoagulation. Based on haematological findings and genetic testing, the diagnosis of polycythemia vera as underlying prothrombotic disease was established. Full article
Show Figures

Figure 1

9 pages, 2146 KB  
Editorial
Moderne Technologien in der Ablation des Vorhofflimmerns
by Laurent M. Haegeli, Firat Duru and Thomas F. Lüscher
Cardiovasc. Med. 2010, 13(9), 272; https://doi.org/10.4414/cvm.2010.01529 - 15 Sep 2010
Cited by 3 | Viewed by 110
Abstract
Modern technologies in catheter ablation for atrial fibrillation. Catheter ablation for atrial fibrillation has become an accepted therapy. The arrhythmia affects around 6% of the population over the age of 65 years. Electrical isolation of the pulmonary veins from the left atrium is [...] Read more.
Modern technologies in catheter ablation for atrial fibrillation. Catheter ablation for atrial fibrillation has become an accepted therapy. The arrhythmia affects around 6% of the population over the age of 65 years. Electrical isolation of the pulmonary veins from the left atrium is the central strategy in catheter ablation for paroxysmal atrial fibrillation. However, procedural outcomes and efficacy using sequential “point-by-point” radiofrequency lesion creation with a conventional ablation catheter are operator-dependent and time-consuming. Moreover, reconduction across an initially complete lesion leads to recovery in electrical isolation of the pulmonary vein and recurrence of atrial fibrillation. New energy sources such as cryothermia, ultrasound and laser have emerged and are currently under investigation. These apply “single-shot” lesions via balloon mounted catheters positioned at the pulmonary vein ostia. Other new tools, such as magnetic navigation system and electromechanical robotic system, allow complete remote controlled mapping and ablation by combining three dimensional electroanatomical mapping. All these tools and technologies have to prove their effectiveness and safety. Full article
Show Figures

Figure 1

7 pages, 462 KB  
Review
Concepts et Évidences de l’importance de la Fréquence Cardiaque de Repos dans la Prévention et la Prise en Charge des Maladies Cardiovasculaires
by Stéphane Cook, Otto M. Hess, René Lerch, Thomas Lüscher and François Mach
Cardiovasc. Med. 2010, 13(9), 265; https://doi.org/10.4414/cvm.2010.01525 - 15 Sep 2010
Viewed by 131
Abstract
Concepts and evidence of the importance of resting heart rate in the prevention and management of cardiovascular diseases This article summarises the latest available data in the literature concerning heart rate as a risk factor in cardiovascular disease. Resting heart rate is a [...] Read more.
Concepts and evidence of the importance of resting heart rate in the prevention and management of cardiovascular diseases This article summarises the latest available data in the literature concerning heart rate as a risk factor in cardiovascular disease. Resting heart rate is a major determinant of the risk of ischaemia in symptomatic coronary patients, since the risk of effort ischaemia doubles where resting heart rate rises from below 60 to ≥90 beats per minute (bpm) [1]. Resting heart rate is also an important cardiovascular prognostic parameter, an increase in resting heart rate being associated with a rise in mortality after myocardial infarction, in coronary patients with chronic angina pectoris, in diabetics, hypertensive patients and finally in the general population. Just as for blood pressure measurement, guidelines have been drawn up for the measurement of heart rate in clinical practice: the patient should be sitting for at least 5 minutes in a quiet room at a comfortable temperature. At least two measurements of sitting heart rate should be taken in a period of 30 seconds by palpation of a central pulse. According to current data in the literature the following target values can today be recommended for resting heart rate (RHR): Symptomatic coronary patients: RHR 55–60 bpm: with the aim of ameliorating anginal symptoms and improving quality of life. Asymptomatic coronary patients with an RHR over 70 bpm: lower the RHR to below 70 bpm with the aim of reducing coronary events such as myocardial infarction. The beneficial prognostic effects of a lower RHR have been demonstrated in a large scale study in coronary patients with left ventricular dysfunction. Heart failure patients: RHR <70 bpm. An RHR value of this order in patients of this type has a proven prognostic impact in addition to improvement of symptoms. The data of the European Heart Survey conducted in over 3000 symptomatic coronary patients show that mean RHR is higher than 70 bpm in nearly 50% of patients despite currently available heart rate slowing treatments. This ratio is also confirmed in Switzerland according to a recent study to be published, which emphasises the need to optimise still further the management of heart rate and to regard a high resting heart rate as a risk factor in the same way as, for example, blood pressure, cholesterol or control of serum glucose. Full article
Show Figures

Figure 1

10 pages, 678 KB  
Review
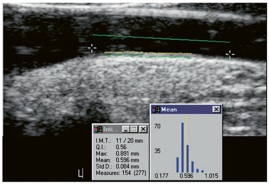
Cardiovascular Risk Prediction with Ultrasound
by Michèle Depairon, Roger Darioli and Michel Romanens
Cardiovasc. Med. 2010, 13(9), 255; https://doi.org/10.4414/cvm.2010.01523 - 15 Sep 2010
Cited by 4 | Viewed by 183
Abstract
This paper addresses primary care physicians, cardiologists, internists, angiologists and doctors desirous of improving vascular risk prediction in primary care. Many cardiovascular risk factors act aggressively on the arterial wall and result in atherosclerosis and atherothrombosis. Cardiovascular prognosis derived from ultrasound imaging is, [...] Read more.
This paper addresses primary care physicians, cardiologists, internists, angiologists and doctors desirous of improving vascular risk prediction in primary care. Many cardiovascular risk factors act aggressively on the arterial wall and result in atherosclerosis and atherothrombosis. Cardiovascular prognosis derived from ultrasound imaging is, however, excellent in subjects without formation of intimal thickening or atheromas. Since ultrasound visualises the arterial wall directly, the information derived from the arterial wall may add independent incremental information to the knowledge of risk derived from global risk assessment. This paper provides an overview on plaque imaging for vascular risk prediction in two parts: Part 1: Carotid IMT is frequently used as a surrogate marker for outcome in intervention studies addressing rather large cohorts of subjects. Carotid IMT as a risk prediction tool for the prevention of acute myocardial infarction and stroke has been extensively studied in many patients since 1987, and has yielded incremental hazard ratios for these cardiovascular events independently of established cardiovascular risk factors. However, carotid IMT measurements are not used uniformly and therefore still lack widely accepted standardisation. Hence, at an individual, practicebased level, carotid IMT is not recommended as a risk assessment tool. The total plaque area of the carotid arteries (TPA) is a measure of the global plaque burden within both carotid arteries. It was recently shown in a large Norwegian cohort involving over 6000 subjects that TPA is a very good predictor for future myocardial infarction in women with an area under the curve (AUC) using a receiver operating curves (ROC) value of 0.73 (in men: 0.63). Further, the AUC for risk prediction is high both for vascular death in a vascular prevention clinic group (AUC 0.77) and fatal or nonfatal myocardial infarction in a true primary care group (AUC 0.79). Since TPA has acceptable reproducibility, allows calculation of posttest risk and is easily obtained at low cost, this risk assessment tool may come in for more widespread use in the future and also serve as a tool for atherosclerosis tracking and guidance for intensity of preventive therapy. However, more studies with TPA are needed. Part 2: Carotid and femoral plaque formation as detected by ultrasound offers a global view of the extent of atherosclerosis. Several prospective cohort studies have shown that cardiovascular risk prediction is greater for plaques than for carotid IMT. The number of arterial beds affected by significant atheromas may simply be added numerically to derive additional information on the risk of vascular events. A new atherosclerosis burden score (ABS) simply calculates the sum of carotid and femoral plaques encountered during ultrasound scanning. ABS correlates well and independently with the presence of coronary atherosclerosis and stenosis as measured by invasive coronary angiogram. However, the prognostic power of ABS as an independent marker of risk still needs to be elucidated in prospective studies. In summary, the large number of ways to measure atherosclerosis and related changes in human arteries by ultrasound indicates that this technology is not yet sufficiently perfected and needs more standardisation and workup on clearly defined outcome studies before it can be recommended as a practice-based additional risk modifier. Full article
Show Figures

Figure 1

Previous Issue
Next Issue
Back to TopTop