Next Article in Journal
Percutaneous Implantation of an ASD Occluder with Intracardiac Ultrasound
Previous Article in Journal
Preserved Cerebral Function After Resuscitation and Induction of Hypothermia with Packed Snow
 
 
Cardiovascular Medicine is published by MDPI from Volume 28 Issue 1 (2025). Previous articles were published by another publisher in Open Access under a CC-BY (or CC-BY-NC-ND) licence, and they are hosted by MDPI on mdpi.com as a courtesy and upon agreement with Editores Medicorum Helveticorum (EMH).
Font Type:
Arial Georgia Verdana
Font Size:
Aa Aa Aa
Line Spacing:
Column Width:
Background:
Review

Cardiovascular Risk Prediction with Ultrasound †

by
Michèle Depairon
1,2,*,
Roger Darioli
3 and
Michel Romanens
4
1
Michèle Depairon, MD, Division of Angiology, University of Lausanne, Lausanne, Switzerland
2
Division of Angiology University Hospital, CH-1011 Lausanne, Switzerland
3
Roger Darioli, MD, Department of Ambulatory Care and Community Medicine, University of Lausanne, Medical Outpatient Clinic, University Hospital, Lausanne, Switzerland
4
Michel Romanens, Cardiology Consultant, Cantonal Hospital, Olten, Switzerland
*
Author to whom correspondence should be addressed.
This article serves as a review and basis for the development of new guidelines on cardiovascular risk prediction, taking into account emerging tests, to be proposed in the future by members of the “Taskforce on Vascular Risk Prediction” under the auspices of the Working Group “Swiss Atherosclerosis” of the Swiss Society of Cardiology.
Cardiovasc. Med. 2010, 13(9), 255; https://doi.org/10.4414/cvm.2010.01523
Submission received: 15 June 2010 / Revised: 15 July 2010 / Accepted: 15 August 2010 / Published: 15 September 2010

Abstract

This paper addresses primary care physicians, cardiologists, internists, angiologists and doctors desirous of improving vascular risk prediction in primary care. Many cardiovascular risk factors act aggressively on the arterial wall and result in atherosclerosis and atherothrombosis. Cardiovascular prognosis derived from ultrasound imaging is, however, excellent in subjects without formation of intimal thickening or atheromas. Since ultrasound visualises the arterial wall directly, the information derived from the arterial wall may add independent incremental information to the knowledge of risk derived from global risk assessment. This paper provides an overview on plaque imaging for vascular risk prediction in two parts: Part 1: Carotid IMT is frequently used as a surrogate marker for outcome in intervention studies addressing rather large cohorts of subjects. Carotid IMT as a risk prediction tool for the prevention of acute myocardial infarction and stroke has been extensively studied in many patients since 1987, and has yielded incremental hazard ratios for these cardiovascular events independently of established cardiovascular risk factors. However, carotid IMT measurements are not used uniformly and therefore still lack widely accepted standardisation. Hence, at an individual, practicebased level, carotid IMT is not recommended as a risk assessment tool. The total plaque area of the carotid arteries (TPA) is a measure of the global plaque burden within both carotid arteries. It was recently shown in a large Norwegian cohort involving over 6000 subjects that TPA is a very good predictor for future myocardial infarction in women with an area under the curve (AUC) using a receiver operating curves (ROC) value of 0.73 (in men: 0.63). Further, the AUC for risk prediction is high both for vascular death in a vascular prevention clinic group (AUC 0.77) and fatal or nonfatal myocardial infarction in a true primary care group (AUC 0.79). Since TPA has acceptable reproducibility, allows calculation of post-test risk and is easily obtained at low cost, this risk assessment tool may come in for more widespread use in the future and also serve as a tool for atherosclerosis tracking and guidance for intensity of preventive therapy. However, more studies with TPA are needed. Part 2: Carotid and femoral plaque formation as detected by ultrasound offers a global view of the extent of atherosclerosis. Several prospective cohort studies have shown that cardiovascular risk prediction is greater for plaques than for carotid IMT. The number of arterial beds affected by significant atheromas may simply be added numerically to derive additional information on the risk of vascular events. A new atherosclerosis burden score (ABS) simply calculates the sum of carotid and femoral plaques encountered during ultrasound scanning. ABS correlates well and independently with the presence of coronary atherosclerosis and stenosis as measured by invasive coronary angiogram. However, the prognostic power of ABS as an independent marker of risk still needs to be elucidated in prospective studies. In summary, the large number of ways to measure atherosclerosis and related changes in human arteries by ultrasound indicates that this technology is not yet sufficiently perfected and needs more standardisation and workup on clearly defined outcome studies before it can be recommended as a practice-based additional risk modifier.

First part: Carotid IMT and carotid plaque area

Carotid intima-to-media thickness (IMT) has been studied extensively as a tool for prediction of cardiovascular events, i.e., myocardial infarction and stroke. A large number of investigations have shown that interventions aiming at risk reduction for cardiovascular events went along with reductions in carotid IMT. Carotid IMT may therefore be used as a surrogate marker for outcome, e.g., in studies using statins [1].
However, there is ongoing debate as to whether carotid IMT should be used to predict cardiovascular events on an individual basis in clinical practice, or, in other words, whether carotid IMT may serve as a tool to guide intensity of primary prevention activities in primary care.

Evidence from community-based cohorts

The ARIC studies

Carotid IMT has been used in clinical trials for decades. The largest study ever performed – the “Atherosclerosis Risk in Communities” (ARIC) study – was also one of the first, and measured carotid IMT in humans as a risk prediction tool for myocardial infarction (ARIC-AMI [2]) and stroke of ischaemic origin (ARIC-STROKE, [3]). The ARIC study originally included 7289 women and 5552 men aged 45–64 years. Maximum carotid IMT was measured at 12 predefined sites within the common and internal carotid artery and the bulbs, including near and far wall measurements. The feasibility of this method was however low: only in 15% of all subjects were all measurements available and corrections for missing values had to be made using maximum likelihood methods [2]. Further, risk prediction for acute myocardial infarction (AMI) was relatively low, especially in men, when the 3rd tertile (IMT >0.8 mm) was used: of 194 AMI occurring during a follow-up of 4–7 years, only 106 (sensitivity 55%) were correctly predicted. As a comparison, an LDL value >4.14 mol/l had a sensitivity of 38%. However, the hazard ratio (HR) for IMT >0.8 mm in men remained statistically significant after correction for major cardiovascular risk factors (HR: 2.9, 95% CI 1.9–4.3). In women the 3rd tertile (IMT >0.7 mm), the sensitivity in detecting incident AMI was 69% with an HR of 5.6 (95% CI 3.0–14.9), and for LDL >4.14 mol/l sensitivity was 45%. Although hazard ratios may be impressive, test performance in terms of sensitivity may not be satisfactory.
To circumvent this problem receiver operating curves (ROC) are increasingly used to define the additional value of a test when major cardiovascular risk factors are already known. In the ARIC-AMI study [2] such calculations were not performed. For the ARIC-STROKE study [3] areas under the curve (AUC) were performed for traditional cardiovascular risk factors and additional measurements. Among 22 nontraditional factors considered, the joint addition of Body Mass Index, waist-hip ratio, high density lipoprotein cholesterol, albumin, von Willebrand factor, alcohol consumption, peripheral arterial disease and carotid artery wall thickness improved prediction of future ischaemic stroke modestly and to a statistically significant degree over a risk score that included traditional factors. Further improvement was obtained by adding age and race. For women the area under the receiver operating characteristic curve went from 0.79 to 0.83 to 0.84; for men it went from 0.76 to 0.78 to 0.80. As the authors stated, “these modest improvements are not enough to influence clinical and public health efforts to reduce the community burden of ischaemic stroke”.

Cardiovascular Health Research Group

In contrast to the ARIC studies, which included subjects of middle age, the Cardiovascular Health Study Collaborative Research Group included only subjects aged at least 64 years during a follow-up period of 6.2 years with 267 AMI and 284 ischaemic strokes observed in 4476 subjects [4]. For the total group, a carotid IMT >1.17 mm (maximum IMT derived from far walls of the common carotid arteries and the carotid bulb corresponding to the 5th quintile) was associated with an annual event rate for AMI of 18/1000 and for ischaemic stroke of 24/1000. By extrapolation to a ten-year observation period, therefore, IMT >1.17 mm identified only intermediate risk subjects for AMI (18%), but high risk subjects for STROKE (24%). Although hazard ratios were significant after correction for conventional cardiovascular risk factors (HR 3.15, 95% CI 2.19–4.52), again, ROC analysis was not performed. Hence the true sensitivity and predictive values in this study are unknown and the incremental value based on AUC remains to be determined.

The Rotterdam studies

Another large observational study included a population-based sample of 5130 subjects aged >55 years (mean age 72 years) recruited from the Rotterdam area [5]. In this analysis, a nested case control design was used with 1496 controls and 374 cases (194 AMI and 191 STROKE). Mean carotid IMT measurements ware taken from multiple measurements of the common carotid artery, including near and far wall measurements. Again, the hazard ratios remained significantly high after correction for age and gender with values for the combined IMT of 1.71 (95% CI 1.45–2.01) for AMI and 1.68 (95% CI 1.44–1.96) for STROKE. However, using ROC analysis, the incremental gain in risk by adding carotid IMT was minimal. The ROC area of a model with age and sex only was 0.65 (95% CI 0.62–0.69). Independent risk factors were previous myocardial infarction and stroke, diabetes mellitus, smoking, systolic blood pressure, diastolic blood pressure, and total and HDL cholesterol levels. These risk factors increased the ROC area from 0.65 to 0.72 (95% CI 0.69–0.75). This model correctly predicted 17% of all subjects with coronary heart disease and cerebrovascular disease. When common carotid IMT was added to the previous model, the ROC area increased to 0.75 (95% CI 0.72–0.78). When only the IMT measurement was used, the ROC area was 0.71 (95% CI 0.68–0.74), and 14% of all subjects were correctly predicted. There was no difference in ROC area when different measurement sites were used. The authors concluded: “Adding IMT to a risk function for coronary heart disease and cerebrovascular disease does not result in a substantial increase in predictive value when used as a screening tool.”
In a more recent study where carotid IMT was measured between 1997 and 2000 in 1795 population-based asymptomatic subjects with a mean age of 71 years [6], 50 coronary events occurred (40 fatal or non-fatal AMI, 10 coronary revascularisations). In this group observed for 3.3 years, the severest level of carotid IMT exhibited a nonsignificant hazard ratio of 1.6 (95% CI 0.8–3.1).

The Tromsø study

The Tromsø study investigated 6226 men and women over a period of 6 years. Average age of the cohort was 60 years. The adjusted RR (95% CI) in the highest versus lowest IMT quartile was 1.73 (0.98–3.06) in men and 2.86 (1.07–7.65) in women. When bulb IMT was excluded from analyses, IMT did not predict MI in either sex [7].

The GENIC Study

In the GENIC Study [8], the ability of carotid IMT (mean thickness of the common carotid artery, far wall measurements, CCA-IMT) to detect ischaemic stroke confirmed by magnetic resonance imaging was tested in a case control study comprising 470 cases and 933 controls. The risk of ischaemic stroke increased continuously with increasing CCA-IMT. The odds ratio per standard deviation (SD) increase (0.150 mm) was 1.82 (95% CI 1.54–2.15); adjustment for cardiovascular risk factors slightly attenuated this relation (HR 1.73; 95% CI 1.45–2.07). The hazard ratio for a CCA-IMT above the 75th percentile (CCA-IMT >0.871 mm) was 5.93 (95% CI 3.71–9.47, p <0.0001). The mean CCA-IMT for all types of stroke was 0.797 mm in cases and 0.735 mm in controls, with a difference of 0.062 mm between cases and controls.

Carotid IMT in younger subjects

In younger subjects there are virtually no outcome data for hard cardiovascular events based on carotid IMT. Studies therefore relied on the associations between carotid IMT and cardiovascular risk factors. In the carotid IMT, part of the Muscatine study, 182 asymptomatic men and 136 asymptomatic women aged 33–42 years were studied. Significant risk factors for increased carotid IMT were elevated LDL cholesterol and smoking in men and elevated LDL cholesterol and systolic blood pressure in women [9]. In the Bogalusa Heart Study 518 asymptomatic individuals with a mean age of 32 years were studied. Risk factors included were Body Mass Index, cholesterol, cigarette smoking, systolic blood pressure, waist circumference and insulin level. IMT increased significantly as the number of risk factors increased [10]. However, in a recent overview on the association of carotid IMT in young diabetic subjects, conflicting results were found [11]. Although carotid IMT measurements were thought to be useful over and above conventional risk factors including diabetes mellitus, the authors concluded that “IMT measurements in the children and teens with type 1 diabetes have yielded conflicting results, and larger, longitudinal studies are needed in this area”.

Final comments on IMT

In a recent European consensus paper [12] the authors commented that since carotid IMT is not yet an accepted screening tool for cardiovascular events, “there is no need to ‘treat IMT values’ or to monitor IMT values in individual patients save in a few exceptional cases (e.g., familial hypercholesterolaemia)”, whilst a taskforce paper for the American Society of Echocardiography [13] argued in favour of measuring IMT in primary care individuals. The evidence in favour of a statistically significant and incremental value of carotid IMT measurements over known vascular risk factors is, however, still modest. For the future, more studies are needed using large cohorts of patients with standardised carotid IMT measurements as defined in the recent European consensus paper [12], which stated that plaques should be excluded from IMT measurements. However, in the large IMT epidemiological studies plaque measurements were probably included [14].
Further, by using only high resolution B-mode ultrasound transducers (≥10 mHz), better results in cardiovascular risk prediction may be achieved. For intervention studies, carotid IMT should be measured in a standardised manner as defined by the European consensus paper [12], preferably at the common carotid artery far wall. Further, although manual tracing is feasible and reproducible, semi-automatic software, as exemplified in Figure 1, is readily performed and easy to handle.
Debate is ongoing as to the incremental value of IMT measurements over major independent cardiovascular risk factors. Analysis based on hazard ratios shows a large overlap between cases and controls, and it may be difficult in clinical situations to identify with enough certainty which subject may benefit more from aggressive cardiovascular risk factor modification with a given degree of increased carotid IMT. Further, increases of 0.1 mm in IMT involve only a modest increase in risk with a hazard ratio of some 1.1 [14]. On the other hand, analysis of the value of the IMT as an additional test using ROC analysis has been criticised as too insensitive [15]. An elegant way to escape this ongoing scientific debate would be to use estimates of risk from conventional risk factor testing as the pretest probability for vascular events, and use IMT measurements to calculate posterior probabilities based on Bayes statistics [16,17,18]. This approach would allow subjects to be reclassified into a higher or lower risk category on the basis of widely accepted mathematical models.
In summary, carotid IMT is used as a surrogate marker for outcome in intervention studies addressing rather large cohorts of subjects. At an individual, practice-based level, carotid IMT deserves further study before it can be implemented as an accepted risk assessment tool. More studies are needed to define with greater clarity how results from carotid IMT measurements may be used in clinical practice.

Total plaque area of carotid arteries (TPA)

Focal thickening within the carotid wall expresses atherosclerosis of the vessel and is termed plaque. The definition of carotid plaque formation is, however, not uniform. A recent European consensus paper [12] defined plaque as a focal thickening of >1.5 mm and/or defines plaque as focal widening of the vessel wall of 50% relative to adjacent segments, with protrusion into the lumen, composed of calcified or noncalcified components. The protrusion is generally evaluated by eyeballing judgment, without measuring the thickness of the lesions or of the adjacent structure. A total plaque score may be built which reflects the total number of sites with plaques and may range from 0 to 6 (left- and right-sided common carotid artery, bifurcation, and internal carotid artery) [19].
Carotid plaques may also be measured as a surface area longitudinally (Figure 2). This technique was used in the original London cohort with a large number of subjects to predict cardiovascular risk [20]. Images are acquired in the supine position. During the carotid artery examination, the patient is made comfortable in a position that allows head rotation to either side. The sonographer stands to the right of the patient’s chest. The head is rotated 35–45° away from the side examined and retroflexed by about 10–20°. Imaging is started with a transverse (short axis) sweep including the total length of the common carotid artery, the bulb, and all visible parts of the internal and external carotid arteries to check for the presence of plaque defined by a thickening >1 mm. Plaque quantification is made from a longitudinal image. Online tracing of the plaque surface is performed using calipers. The plane in which the measurement of each plaque was made is chosen by panning around the artery until the view showing the largest extent of that plaque was obtained. The sum of all plaque surface areas is defined as the total plaque area (TPA). Intraobserver reliability (intraclass correlation) was 0.94 for repeated measurements [21].
Figure 3. Example of common femoral artery plaque. The figure shows an atherosclerotic plaque in the common femoral artery.
Figure 3. Example of common femoral artery plaque. The figure shows an atherosclerotic plaque in the common femoral artery.
Cardiovascmed 13 00255 g003

Diagnostic performance of TPA

The diagnostic performance of TPA for the combined endpoint of myocardial infarction and stroke was originally tested in 1686 subjects [20]. The mean age of these subjects was 59 years and the fatal myocardial infarction and stroke event rate for the whole group was 1.4% in 2.61 years, or, by linear extrapolation, 5.2% in 10 years, thus forming a moderately high risk group for fatal myocardial infarction or fatal stroke. With increasing levels of TPA, an increase in fatal myocardial infarction and fatal stroke incidents was observed with a 10-year event rate of 17.5% in the highest quartile (TPA > 1.19 cm2). The adjusted 5-year relative risk of combined outcome of stroke, myocardial infarction, and vascular death was 3.5 (95%CI 1.8–6.7, p < 0.001) for the 4th versus the 1st quartile of TPA. The diagnostic performance of TPA using receiver-operating characteristics (ROC) showed the highest area under the curve (AUC) for fatal myocardial infarction (n = 20, AUC 0.79), for death of any cause (n = 44, AUC 0.77) and for death due to myocardial infarction or stroke (n = 23, AUC 0.77). For the combined endpoint of fatal and non-fatal myocardial infarction, AUC was only 0.56 (p = 0.02).
TPA was further tested in a subgroup of the original London cohort, in which no previous vascular disease was present and the dataset was complete, to calculate 10-year risk estimates for fatal or nonfatal myocardial infarction based on the NCEP III risk algorithm [12,14,15]. The comparison between TPA and NCEP III risk showed a high AUC for TPA to detect 13 subjects with fatal or nonfatal myocardial infarction during a mean follow-up of 3 years (AUC 0.79, p < 0.0001). For the cutoff value of TPA > 1.00 cm2, the sensitivity was 62% and the specificity 87%. For the same cohort, NCEP III performed less well (AUC 0.68, p = 0.002, loss of diagnostic information of AUC = 11%, p = 0.096). A NCEP III risk of >20% in 10 years had a sensitivity of 31% and a specificity of 90%. When NCEP III risk was used as the pretest probability and TPA results as the post test probability after applying the Bayes theorem, the post test AUC was 0.77 (95% CI: 0.67–0.87, p = 0.0027). TPA-PTP added 9.5% additional prognostic information, which was statistically significant (p = 0.0029).
The prognostic information for myocardial infarction was published for TPA in a large population-based Norwegian cohort [7]. In this study, 6226 subjects (3237 women) were investigated. All subjects were originally free of vascular disease and the mean age was approx. 60 years. Subjects were divided into tertiles with respect to TPA results. In 2989 men followed up over 6 years, annualised risk per 1000 subjects for AMI was 8% in the no plaque group, 10% in the first, 18% in the second and 23% in the third tertile. The AUC of no plaques and tertiles of TPA was 0.63, yielding a good TPA diagnostic value. In 3237 women followed up over 6 years, annualised risk per 1000 subjects for AMI was 2% in the no plaque group, 5% in the first tertile, 10% in the second and 16% in the third. The AUC of no plaques and tertiles of TPA was 0.73, yielding a good diagnostic value for TPA. TPA is thus an especially valuable test for risk prediction of future myocardial infarction in women with a negative likelihood ratio of 0.36 in women without plaques (men: 0.63) and a positive likelihood ratio of 3.4 in women with plaques in the third tertile (men: 1.84). Although TPA was assessed only in the right carotid artery in all patients, the large number of patients and events allows extrapolation of the data to a TPA derived from both carotid arteries by simply doubling the values within the tertiles.
Recently, the same group published the data on prognosis for a first ischaemic stroke using plaque area and intimamedia thickness in the carotid artery [22]. IMT and total plaque area in the right carotid artery were measured in 3214 men and 3313 women aged 25–84 years who participated in a population health study in 1994–1995. During follow-up (median 8.9 years), incident ischaemic strokes occurred in 6.5% (n = 209) of men and 4.4% (n = 146) of women. The age-adjusted hazards ratio for ischaemic stroke in the highest quartile of plaque area versus no plaque was 2.67 (95% CI 1.83–3.91, p < 0.0001) in men and 2.21 (95% CI 1.42–3.44, p < 0.001) in women. The associations were weakened, but remained significant after adjustment for systolic blood pressure, HDL-cholesterol, smoking, prevalent diabetes and coronary heart disease. There were no significant associations between IMT and ischaemic stroke.

Calculation of post test risk based on EAS-SCORE and IAS-PROCAM

Based on the original London cohort, post test probabilities may be calculated using the Bayes formula with the EU-SCORE as the pretest probability [23], since both these risk charts and TPA have been shown to predict vascular mortality with good accuracy. In a Swiss group of patients, however, risk appeared to be overestimated when EAS-SCORE and TPA post test probability on one hand were compared with CH-PROCAM and coronary calcification post test probability on the other hand [24]. In view of the new data from Norway, TPA can now be used to calculate post test risk in men and women separately for the risk of myocardial infarction using IAS-PROCAM as the pretest probability.

Final comments on TPA

TPA has emerged as a strong predictor of vascular mortality, the combined endpoint of death due to coronary artery disease and stroke, and incident myocardial infarction and ischaemic stroke in large cohorts of patients. TPA may therefore serve as an additional tool to stratify risk in intermediate risk subjects defined by the EAS-SCORE or IAS-PROCAM. Since TPA is readily measured with a reportedly acceptable reproducibility, its increased future use can be anticipated.

Second part: Plaque imaging in carotid and/or femoral arteries

Plaque definition

The atherosclerotic plaque is defined by focal encroachment into the lumen of at least 50% of the surrounding IMT value. In the Mannheim Intima Media Thickness Consensus, the definition of plaque includes either local encroachment into the arterial lumen >50% (or 0.5 mm), or a local thickness >1.5 mm [12]. However, as reported by Bots [25], a cutoff of 1.1–1.2 mm was used in many studies to define the presence of plaque.
To assess the severity of atherosclerosis, some authors used an ultrasound morphology classification of the arterial wall. The IMT measurements were classified into four categories: no atherosclerotic lesion, intimamedia thickening, nonstenotic plaque and large stenotic plaque [26,27,28,29]. Others used a plaque score which is computed by summing the maximum thickness of all plaques in both carotid systems [30] or as a sum of all plaques in all segments of the carotid artery [31,32,33,34,35].

Correlation between plaques and cardiovascular risk

In recent years, increased attention has been given to the correlation between coronary artery disease (CAD) and the cumulative extent of peripheral atherosclerosis in carotid and femoral arteries, as well as in the aorta [28,29,36,37,38,39,40,41,42,43,44,45]. Table 1 summarises the 13 principal prospective studies that have analysed the value of carotid and femoral plaques as a means of identifying individuals at increased risk for premature myocardial infarction, stroke or death. These studies included asymptomatic patients [27,28,33,46] or cardiovascular risk patients with or without a cardiovascular history [29,30,31,32,34,35,47,48]. The mean follow-up was between 1.1 and 12.7 years. In half of them, the plaque was defined on arbitrarily-chosen cutoff points of local thickness of IMT ranking, usually between 1.0 and 1.5 mm [27,28,34,35,46,47], and in others by focal encroachment into the lumen of at least 50% of the surrounding IMT value [29,31,32,48]. In the majority of them, plaque had a better predictive value for cardiovascular events than IMT. Severity of atherosclerosis was appraised by use of a plaque score, a cutoff point of IMT or the degree of stenosis.
For example, the Rotterdam Study [31] used a total plaque score reflecting the presence of plaques at 6 different locations within the carotid arteries to evaluate the risk of stroke in 3996 neurologically asymptomatic subjects aged >55 years. The authors found an increased rate ratio for stroke after a mean follow-up of 6.1 years, from 1.0 (95% CI) in patients without plaque to 1.18 (0.82–1.71), if 1–2 plaques were present, and to 1.47 (1.02–2.13) for the presence of 3–6 carotid plaques respectively. These results may argue again in favour of cardiovascular risk assessment based on the extent of atherosclerosis with detection of plaques on carotid sites, rather than using the average of multiple carotid intima media thickness (C-IMT) measurements.
All studies have shown a correlation between the presence of plaques and/or the severity of atherosclerosis and the occurrence of cardiovascular events. In addition, their analysis supports the superiority of plaque imaging to IMT in cardiovascular risk prediction [26,29,33,34,46].
The inclusion of the femoral artery added more information to that provided by the carotid artery alone in predicting risk of cardiovascular events. The CAFES-CAVE study, a 10-year follow-up study including 10 000 asymptomatic subjects at low risk with a mean age of 53.2 + 6.3 years [28] supports this view. In this study, the rate of cardiovascular events in each class over the next 10 years rose dramatically from 0.13% in class I (normal wall) to 8.6% in class II (wall thickening), to 39.3% in class III (nonstenosing plaques) and 81.6% in class IV (stenosing plaques). The authors note that the combination of both carotid and femoral screening provided an additional value to the single carotid measurement and that 30% of subjects with normal carotid arteries had femoral plaques. In addition, a common carotid artery IMT <1.0 mm was observed in 74% of subjects of class II, in 54% of class III and in 44% of subjects in class IV. However, the drawbacks of this study were discussed in the first section of this position paper.
Among 693 asymptomatic patients with hypercholesterolaemia, Levenson [49] reported a prevalence of atherosclerotic lesions in 25% within carotid arteries, 34% within the aorta and in 51% within the femoral arteries. In the LiVicordia study, Kristenson [40] found a prevalence of femoral plaques in comparison to carotid arteries in 200 randomly sampled 50-year-old asymptomatic men. Simon [38] also reported a lower prevalence of carotid plaques (20%) than femoral plaques (40%) in hypertensive middle-aged men.
Taken together, these results showed that the detection of carotid and femoral plaques could offer a more global view of the subjects’ atherosclerotic status and that, therefore, such screening may provide a better indicator of the risk of cardiovascular events than carotid IMT measurements alone.

Other methods of plaque measurement to predict cardiovascular events

Plaque echogenicity

Another approach to measurement of the atherosclerotic burden is to evaluate the qualitative characteristics of atherosclerosis in an effort to distinguish vulnerable from stable atherosclerotic plaques. Echogenic properties of carotid plaques have been associated with the risk of cardiovascular and cerebrovascular events in different patient populations [50,51,52,53]. Echolucent carotid plaques may help to identify patients at greater risk for future stroke [48,49] or to predict coronary events [54,55,56].

The Atherosclerosis Burden Score (ABS score)

We propose an alternative approach to targeting and monitoring of preventive vascular therapy based on the use of a new score (atherosclerosis burden score, ABS) defined as the number of carotid and femoral arteries presenting plaques defined as focal thickening of at least 1.2 mm.
The choice of a focal thickness ≥1.2 mm was based on the data of our previous study, performed to evaluate the reference values of C-IMT and femoral intima-media thickness (F-IMT) in healthy subjects aged 20–60 without major cardiovascular risk factors [57]. Our data [58] demonstrate that ABS is highly reproducible and correlates more closely with conventional cardiovascular risk factors than carotid IMT. Furthermore, this score is better at predicting the presence of coronary artery disease defined by coronary angiogram than carotid IMT, and correlates more closely with the severity of this disease. Our results are in agreement with other studies clearly distinguishing carotid IMT from atherosclerotic plaques and demonstrating that coronary heart disease risk is largely associated with the presence of nonobstructive or obstructive plaque rather than carotid IMT [26,28].

Final comments for ultrasound carotid and femoral plaque imaging

The presence of plaque, together with other major cardiovascular risk factors, could be used to define persons at high risk for myocardial infarction or stroke. Also, the presence of a subclinical plaque may provide added motivation for people to modify lifestyle risk factors and adhere to any necessary medication. Finally, plaque imaging may also be helpful in evaluating the efficacy of anti-atherosclerotic therapy and individual monitoring of therapy. However, these assumptions await further elucidation by ongoing scientific work.

Future directions for atherosclerosis imaging

This paper addresses primary care doctors, cardiologists, internists, angiologists and doctors working to improve vascular risk prediction in primary care.
In it, we were able to review a considerable number of papers aiming at improving vascular risk prediction. Despite the large volume of published literature in that field of research, the clinical acceptance and inclusion of atherosclerosis imaging in national guidelines is still pending. There are several reasons for this:
different definitions of vessel wall morbidity for the same outcome measurements,
the statistical approach to definition of the independent incremental value of atherosclerosis imaging over the major independent cardiovascular risk factors,
the lack of definite proof that atherosclerosis imaging really helps to motivate primary care subjects to adhere better to medical advice and therapy,
the need for cost-effectiveness studies,
the need for outcome studies showing that intervention guided by atherosclerosis imaging really improves outcome,
the lack of a consensus as to which imaging method using ultrasound, computed tomography or magnetic resonance – to mention only the noninvasive technologies – should be used first in sequential testing.
Nevertheless, improvements need to be made in vascular risk prediction in view of the low sensitivity of published risk charts such as PROCAM, FRAMINGHAM, REYNOLDS, ESC-SCORE, etc. However, one crucial point seems to be resolved with respect to the correct statistical approach to judgement of the incremental value of a new emerging test (e.g., atherosclerosis imaging) over conventional cardiovascular risk factors: Net Reclassification Improvement (NRI) is a simple and reliable tool which is increasingly replacing receiver-operating curves (ROC) [59,60]. In the mean time, the debate on the clinical usefulness of atherosclerosis imaging over the emerging risk factors will certainly continue for several years. One important proof of concept has been published recently for the large ARIC cohort, which comprises 13,145 subjects over a mean follow-up of 15.1 years. This study showed a 22% net reclassification improvement for the combined measurement of IMT and carotid plaques. Thus, the clinical utility of carotid imaging in improving cardiovascular risk prediction over the presence of traditional cardiovascular risk factors is scientifically established [61].

Acknowledgments

The taskforce on vascular risk prediction was created by the Swiss Working Group on Lipids and Atherosclerosis (Swiss Atherosclerosis) in 2005. From 2009, future work will be performed under the designation Taskforce Atherosclerosis Imaging of the AGLA (www.taskforce.atherosclerosisimaging.ch).

Conflicts of Interest

The authors certify that there is no actual or potential conflict of interest in relation to this article.

References

  1. Espeland, M.; O’Leary, D.; Terry, J.; Morgan, T.; Evans, G.; Mudra, H. Carotid intimal-media thickness as a surrogate for cardiovascular disease events in trials of HMG-CoA reductase inhibitors. Current Controlled Trials in Cardiovascular Medicine 2005, 63–69. [Google Scholar] [CrossRef]
  2. Chambless, L.; Heiss, G.; Folsom, A.; Rosamond, W.; Szklo, M.; Sharrett, A.; et al. Association of Coronary Heart Disease Incidence with Carotid Arterial Wall Thickness and Major Risk Factors. The Atherosclerosis Risk in Communities (ARIC) Study, 1987–1993. Am J Epidemiol. 1997, 146, 483–494. [Google Scholar] [CrossRef] [PubMed]
  3. Chambless, L.; Heiss, G.; Shahar, E.; Earp, M.; Toole, J. Prediction of Ischemic Stroke Risk in the Atherosclerosis Risk in Communities Study. Am J Epidemiol. 2004, 160, 259–269. [Google Scholar] [CrossRef]
  4. O’Leary, D.; Wolfson, S.; et al. Carotid-artery intima and media thickness as a risk factor for myocardial infarction and stroke in older adults. N Engl J Med. 1999, 240, 14–22. [Google Scholar] [CrossRef]
  5. Del Sol, A.; Moons, K.; Hollander, M.; Hofman, A.; Koudstaal, P.; Grobbee, D.; Breteler, M.; Witteman, J.; Bots, M. Is Carotid Intima-Media Thickness Useful in Cardiovascular Disease Risk Assessment? Stroke. 2001, 32, 1532–1538. [Google Scholar] [CrossRef]
  6. Vliegenthart, R.; Oudkerk, M.; Hofman Aet, a.l. Coronary Calcification Improves Cardiovascular Risk Prediction in the Elderly. Circulation. 2005, 112, 572–577. [Google Scholar] [CrossRef]
  7. Stein, H.; Mathiesen, E.; Joakimsen, O.; et al. Carotid Atherosclerosis Is a Stronger Predictor of Myocardial Infarction in Women Than in Men A 6-Year Follow-Up Study of 6226 Persons: The Tromsø Study. Stroke. 2007, 38, 2879–2880. [Google Scholar]
  8. Touboul, P.; Elbaz, A.; Koller, C.; Amarenco, P. Common carotid artery Intima-medial thickness and brain infarction (Génic study). Circulation. 2000, 102, 313–318. [Google Scholar] [CrossRef]
  9. Davis, P.; Dawson, J.; Mahoney, L.; Lauer, R. Increased carotid intimalmedial thickness and coronary calcification are related in young and middle aged adults: the Muscatine Study. Circulation. 1999, 100, 838–842. [Google Scholar] [CrossRef]
  10. Urbina, E.; Srinivasan, S.; Tang, R.; Bond, M.; Kieltyka, L.; Berenson, G. Bogalusa Heart Study: Impact of multiple coronary risk factors on the intima-media thickness of different segments of carotid artery in healthy young adults (the Bogalusa Heart Study). Am J Cardiol. 2002, 90, 953–958. [Google Scholar] [CrossRef]
  11. Parikh, A.; Daneman, D. Is Carotid Ultrasound a Useful Tool in Assessing Cardiovascular Disease in Individuals with Diabetes? Diabetes Technology and Therapeutics. 2004, 6, 65–69. [Google Scholar] [CrossRef] [PubMed]
  12. Touboul, P.J.; Hennerici, M.G.; Meairs, S.; Adams, H.; Amarenco, P.; Desvarieux, M.; et al. Mannheim Intima-Media Thickness Consensus, on Behalf of the Advisory Board of the 3rd Watching the Risk Symposium 2004, 13th European Stroke Conference, Mannheim, Germany, May 14, 2004. Cerebrovasc Dis. 2004, 18, 346–349. [Google Scholar] [CrossRef]
  13. Stein, J.; Korcarz, C.; Hurst, T.; et al. Use of Carotid Ultrasound to Identify Subclinical Vascular Disease and Evaluate Cardiovascular Disease Risk: A Consensus Statement from the American Society of Echocardiography Carotid Intima-Media Thickness Task Force Endorsed by the Society for Vascular Medicine. J Am Soc Echocardiography. 2008, 21, 93–111. [Google Scholar]
  14. Lorenz, M.; Markus, H.; Bots, M.; Rosvall, M.; Sitzer, M. Prediction of Clinical Cardiovascular Events With Carotid Intima-Media Thickness A Systematic Review and Meta-Analysis. Circulation. 2007, 115, 459–467. [Google Scholar] [CrossRef]
  15. Cook, N. Use and Misuse of the Receiver Operating Characteristic Curve in Risk Prediction. Circulation. 2007, 115, 928–935. [Google Scholar] [CrossRef]
  16. Bayes, E.T. An assay toward solving a problem in the doctrine of chance. Philos Trans R Soc Lond. (Biol) 1763, 53, 370–418. [Google Scholar]
  17. Fagan, T.J. Nomogram for Bayes theorem. N Engl J Med. 1975, 293, 257. [Google Scholar]
  18. Newcombe Robert, G. Interval Estimation for the Difference Between Independent Proportions: Comparison of Eleven Methods. Statistics in Medicine 1998, 17, 873–890. [Google Scholar] [CrossRef]
  19. Hollander, M.; Bots, M.; Breteler, B.; et al. Carotid plaques increase the risk for stroke and subtypes of cerebral infarction in asymptomatic elderly. The Rotterdam study. Circulation. 2002, 105, 2872–2877. [Google Scholar] [CrossRef]
  20. Spence, D.; Eliasziw, M.; Di Cicco, M.; et al. Carotid Plaque Area: a tool for targeting and evaluating vascular preventive therapy. Stroke. 2002, 33, 2916–2922. [Google Scholar] [CrossRef] [PubMed]
  21. Barnett, P.; Spence, D.J.; Manuck, S.; Jennings, J. Psychological stress and the progression of carotid artery disease. J Hypertens. 1997, 15, 49–55. [Google Scholar] [CrossRef]
  22. Mathiesen, E.; Johnsen, S.; Wilsgaard, T.; et al. Plaque area and intimamedia thickness in the carotid artery and risk of first-ever ischemic stroke. The Tromsø Study. Abstract European Stroke Conference, Stockholm, Sweden, May 2009. [Google Scholar]
  23. European guidelines on cardiovascular disease prevention in clinical practice. Eur J Cardiovasc Prev Rehabil. 2003, 10 (Suppl 1), S1–S78. [CrossRef]
  24. Romanens, M.; Miserez, A.; Ackermann, F.; Riesen, W.; Spence, D.; Darioli, R. Imaging as a cardiovascular risk modifier in primary care patients using predictor models of the European and international atherosclerosis societies. Kardiovaskuläre Medizin. 2007, 10, 139–150. [Google Scholar]
  25. Bots, M.L.; Egbertus, D.E. Intima media thickness as a surrogate marker for generalised atherosclerosis. Cardiovasc Drugs Ther. 2002, 16, 341–351. [Google Scholar] [CrossRef] [PubMed]
  26. Salonen, J.T.; Salonen, R. Ultrasonographically assessed carotid morphology and the risk of coronary heart disease. Arterioscler Thromb. 1991, 11, 1245–1249. [Google Scholar] [CrossRef] [PubMed]
  27. Belcaro, G.; Nicolaides, A.N.; Laurora, G.; Cesarone, M.R.; De Sanctis, M.; Incandela, L.; Barsotti, A. Ultrasound morphology classification of the arterial wall and cardiovascular events in a 6-year follow-up study. Arterioscler Thromb Vasc Biol. 1996, 16, 851–856. [Google Scholar] [CrossRef] [PubMed]
  28. Belcaro, G.; Nicolaides, A.N.; Ramaswami, G.; Cesarone, M.R.; De Sanctis, M.; Incandela, L.; et al. Carotid and femoral ultrasound morphology screening and cardiovascular events in low-risk subjects: a 10-year follow-up study (the CAFES-CAVE study). Atherosclerosis. 2001, 156, 379–387. [Google Scholar] [CrossRef]
  29. Held, C.; Hjemdahl, P.; Eriksson, S.V.; Bjorkander, I.; Forslund, L.; Rehnqvist, N. Prognostic implications of intima-media thickness and plaques in the carotid and femoral arteries in patients with stable angina pectoris. Eur Heart J. 2001, 22, 62–72. [Google Scholar] [CrossRef]
  30. Handa, N.; Matsumoto, M.; Maeda, H.; Kamada, T. Ischemic stroke events and carotid atherosclerosis. Results of the Osaka follow-up study for ultrasonographic assessment of carotid atherosclerosis (the Osaca Study). Stroke. 1995, 26, 1781–1786. [Google Scholar] [CrossRef]
  31. Hollander, M.; Hak, A.E.; Koudstaal, P.J.; Bots, M.L.; Grobee, D.E.; Hofman, A.; et al. Comparison between measures of atherosclerosis and risk of stroke. The Rotterdam Study. Stroke. 2003, 34, 2367–2373. [Google Scholar] [CrossRef]
  32. van der Meer, I.M.; Bots, M.L.; Hofman, A.; Iglesias del Sol, A.; van der Kuip, D.A.M.; Witteman, J.C.M. Predictive value of noninvasive measures of atherosclerosis for incident myocardial infarction. The Rotterdam Study. Circulation. 2004, 109, 1089–1094. [Google Scholar] [CrossRef]
  33. Störk, S.; van den Beld, A.W.; von Schacky, C.; Angermann, C.E.; Lamberts, S.W.J.; Grobbee, D.E.; et al. Carotid artery plaque burden, stiffness, and mortality risk in elderly men. A prospective, population-based cohort study. Circulation. 2004, 110, 344–348. [Google Scholar] [CrossRef]
  34. Rosvall, M.; Janzon, L.; Berglund, G.; Engström, G.; Hedblad, B. Incidence coronary events and case fatality in relation to common carotid intimamedia thickness. J Intern Med. 2005, 257, 430–437. [Google Scholar] [CrossRef]
  35. Rosvall, M.; Janzon, L.; Berglund, G.; Engström, G.; Hedblad, B. Incidence of stroke is related to common carotid IMT even in the absence of plaque atherosclerosis. Atherosclerosis 2005, 179, 325–331. [Google Scholar] [CrossRef]
  36. Megnien, J.L.; Simon, A.; Gariepy, J. Preclinical changes of extracoronary arterial structures as indicators of coronary atherosclerosis in men. J Hypertens. 1998, 16, 157–163. [Google Scholar] [CrossRef] [PubMed]
  37. Tartière, J.M.; Henry, O.F.; Safar, H.; Bureau, J.M.; Girerd, X.; Safar, M.E.; et al. Carotid intima–media thickness and carotid and/or iliofemoral plaques: comparison of two markers of cardiovascular risk in hypertensive patients. J Hypertens. 2003, 21, 739–746. [Google Scholar] [CrossRef] [PubMed]
  38. Simon, A.; Megnien, J.L.; Gariepy, J.; Levenson, J. Early atherosclerosis in human hypertension. Am J Hypertens. 1998, 11, 882–883. [Google Scholar] [CrossRef] [PubMed]
  39. Wendelhag, I.; Wiklund, O.; Wikstrand, J. Atherosclerotic changes in the femoral and carotid arteries in familial hypercholesterolemia. Ultrasonographic assessment of the intima-media thickness and plaque occurrence. Arterioscler Thromb. 1993, 13, 1404–1411. [Google Scholar] [CrossRef]
  40. Kristenson, M.; Lassvik, C.; Bergdahl, B.; Kucinskiène, Z.; Aizieniène, L.; Bo, Z.; Schäfer Elinder, L.; Olsson, A.G. Ultrasound determined carotid and femoral atherosclerosis in Lithuanian and Swedish men: the LiVicordia study. Atherosclerosis. 2000, 151, 501–508. [Google Scholar] [CrossRef]
  41. Lekakis, J.P.; Papamichael, C.M.; Cimponeriu, A.T.; et al. Atherosclerotic changes of extracoronary arteries are associated with the extent of coronary atherosclerosis. Am J Cardiol. 2000, 85, 949–952. [Google Scholar] [CrossRef]
  42. Rietzschel, E.R.; De Buyzere, M.L.; Duprez, D.A.; Clement, D.L. Interchangeabilty of carotid and femoral intima-media thickness in risk stratification. Int Angiol. 2001, 20, 38–46. [Google Scholar]
  43. Belhassen, L.; Carville, C.; Pelle, G.; Monin, J.L.; Teiger, E.; Duval-Moulin, A.M.; et al. Evaluation of carotid artery and aortic intima-media thickness measurements for exclusion of significant coronary atherosclerosis in patients scheduled for heart valve surgery. J Am Coll Cardiol. 2002, 39, 1139–1144. [Google Scholar] [CrossRef] [PubMed]
  44. Rohani, M.; Jogestrand, T.; Margareta Ekberg, M.; van der Linden, J.; Källner, G.; Jussila, R.; Agewal, S. Interrelation between the extent of atherosclerosis in the thoracic aorta, carotid intima-media thickness and the extent of coronary artery disease. Atherosclerosis. 2004, 179, 311–316. [Google Scholar] [CrossRef] [PubMed]
  45. Rajala, U.; Laakso, M.; Päivänsalo, M.; Suramo, I.; Keinänen-Kiukaanniemi, S. Blood pressure and atherosclerotic plaques in carotid, aortic and femoral arteries in elderly Finns with diabetes mellitus or impaired glucose tolerance. J Hum Hypertens. 2005, 19, 85–91. [Google Scholar] [CrossRef] [PubMed][Green Version]
  46. Prati, P.; Tosetto, A.; Vanuzzo, D.; Bader, G.; Casaroli, M.; Canciani, L.; et al. Carotid intima-media thickness and plaques can predict the occurrence of ischemic cerebrovascular events. Stroke. 2008, 39, 2470–2476. [Google Scholar] [CrossRef]
  47. Kitamura, A.; Iso, H.; Imano, H.; Ohira, T.; Okada, T.; Sato, S.; et al. Carotid intima-media thickness and plaque characteristics as a risk factor for stroke in Japanese elderly men. Stroke. 2004, 35, 2788–2794. [Google Scholar] [CrossRef]
  48. Rundek, T.; Arif, H.; Boden-Albala, B.; Elkind, M.S.; Paik, M.C.; Sacco, R.L. Carotid plaque, a subclinical precursor of vascular events. The Northern Manhattan Study. Neurology. 2008, 70, 1200–1207. [Google Scholar] [CrossRef]
  49. Levenson, J.; Giral Ph Megnien, J.L.; Gariepy, J.; Plainfosse, M.C.; Simon, A. Fibrinogen and its relations to subclinical extracoronary and coronary atherosclerosis in hypercholesterolemic men. Arterioscler Thromb Vasc Boil. 1997, 17, 45–50. [Google Scholar] [CrossRef]
  50. Mathiesen, E.B.; Bønaa, K.H.; Joakimsen, O. Echolucent plaques are associated with high risk of ischemic cerebrovascular events in carotid stenosis. The Tromsø study. Circulation. 2001, 103, 2171–2175. [Google Scholar] [CrossRef]
  51. Grønholdt, M.L.; Norderstgaard, B.G.; Schroeder, T.V.; Vorstrup, S.; Sillesen, H. Ultrasonic echolucent plaques predict future strokes. Circulation. 2001, 104, 68–73. [Google Scholar] [CrossRef]
  52. Liapis, C.D.; Kasikis, J.D.; Dimitroulis, D.A.; Kostakis, A.G. The impact of the carotid plaque type on restenosis and future cardiovascular events: a 12-year prospective study. Eur J Vasc Endovasc Surg. 2002, 24, 239–244. [Google Scholar] [CrossRef]
  53. Schmidt, C.; Fagerberg, B.; Wirkstand, J.; Hulthe, J.; RIS Study Group. Multiple risk factor intervention reduces cardiovascular risk in hypertensive patients with echolucent plaques in the carotid artery. J Intern Med. 2003, 253, 430–438. [Google Scholar] [CrossRef]
  54. Nossen, J.; Vierzigmann, T.; Weiss, W.; Lang, E. Kalzifizierte Plaques der extrakraniellen hirnversorgenden Gefässe im Vergleich mit tradizionellen Risikofaktoren als Prediktor für relevante Koronararterienstenosen. Herz. 2001, 26, 454–460. [Google Scholar] [CrossRef]
  55. Honda, O.; Sugiyama, S.; Kugiyama, K.; Koide, S.; Kojima, S.; Hirai, N.; et al. Echolucent carotid plaques predict future coronary events in patients with coronary artery disease. J Am Coll Cardiol. 2004, 43, 1177–1184. [Google Scholar] [CrossRef]
  56. Schmidt, C.; Fagerberg, B.; Hulthe, J. Non-stenotic echolucent ultrasoundassessed femoral artery plaques are predictive for future cardiovascular events in middle-aged men. Atherosclerosis. 2005, 181, 125–130. [Google Scholar] [CrossRef]
  57. Depairon, M.; Tutta, P.; van Melle, G.; Hayoz, D.; Kappenberger, L.; Darioli, R. Reference value for intima-media thickness of carotid and femoral arteries in subjects 20 to 60 years of age without cardiovascular risk factors. Arch Mal Coeur. 2000, 93, 721–726. [Google Scholar] [PubMed]
  58. Depairon, M.; Yerly, P.; Chessex, S.; Owlya, R.; de Benedetti, E.; Eeckhout, E.; et al. A reproducible and easy to measure femoral and carotid atherosclerosis burden score for cardiovascular risk stratification (in preparation).
  59. Pencina, M.; D’Agostino, R.; D’Agostino RBJr Vasan, R. Evaluating the added predictive ability of a new marker: from area under the ROC curve to reclassification and beyond. Stat Med. 2008, 27, 157–172. [Google Scholar] [CrossRef] [PubMed]
  60. Romanens, M.; Ackermann, F.; Pencina, M.; et al. Improvement of Cardiovascular Risk Prediction: Time to Review Current Knowledge and Fundamentals on How To Assess Test Characteristics. Eur J Cardiovasc Prev Rehabil. 2010, 17, 18–23. [Google Scholar] [CrossRef]
  61. Nambi, V.; Chambless, L.; Folsom, A.; He, M.; Hu, Y.; Mosley, T.; et al. Carotid intima-media thickness and presence or absence of plaque impoves prediction of coronary heart disease risk. The ARIC (Atherosclerosis Risk In Communities)Study. J Am Coll Cardiol. 2010, 55, 1600–1607. [Google Scholar] [CrossRef]
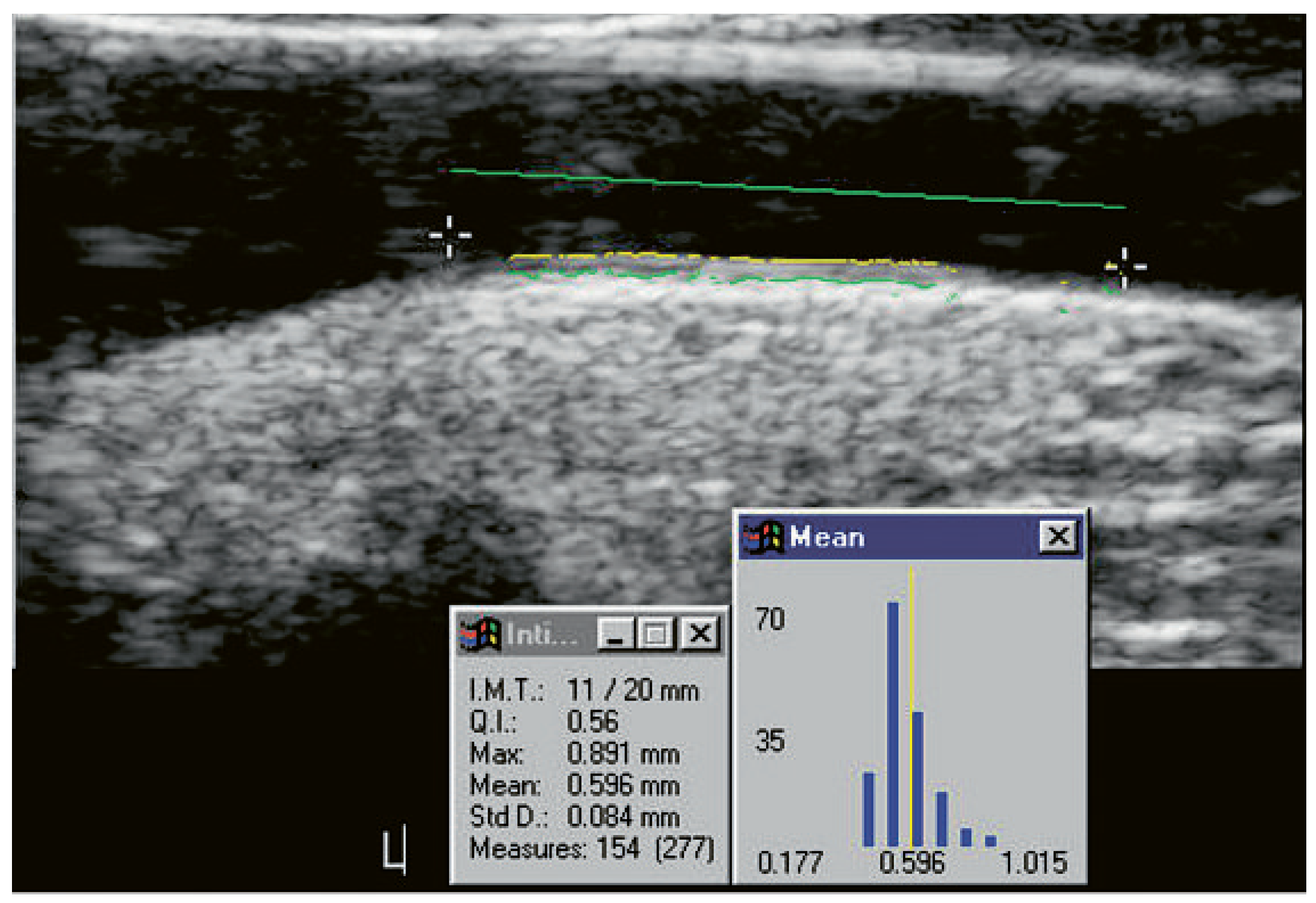
Figure 1. Carotid IMT. The figure shows a case of IMT quantification with the M’ATH software. The mean common carotid IMT was 0.60 mm.
Figure 1. Carotid IMT. The figure shows a case of IMT quantification with the M’ATH software. The mean common carotid IMT was 0.60 mm.
Cardiovascmed 13 00255 g001
Figure 2. The figure shows an example of how plaque area can be measured in practice. In the image a single large plaque measured 0.57 cm2. The sum of all plaques within both carotid arteries is the total plaque area (TPA).
Figure 2. The figure shows an example of how plaque area can be measured in practice. In the image a single large plaque measured 0.57 cm2. The sum of all plaques within both carotid arteries is the total plaque area (TPA).
Cardiovascmed 13 00255 g002
Table 1. Atherosclerotic plaques and prediction of cardiovascular events in prospectives studies.
Table 1. Atherosclerotic plaques and prediction of cardiovascular events in prospectives studies.
Cardiovascmed 13 00255 i001

Share and Cite

MDPI and ACS Style

Depairon, M.; Darioli, R.; Romanens, M. Cardiovascular Risk Prediction with Ultrasound. Cardiovasc. Med. 2010, 13, 255. https://doi.org/10.4414/cvm.2010.01523

AMA Style

Depairon M, Darioli R, Romanens M. Cardiovascular Risk Prediction with Ultrasound. Cardiovascular Medicine. 2010; 13(9):255. https://doi.org/10.4414/cvm.2010.01523

Chicago/Turabian Style

Depairon, Michèle, Roger Darioli, and Michel Romanens. 2010. "Cardiovascular Risk Prediction with Ultrasound" Cardiovascular Medicine 13, no. 9: 255. https://doi.org/10.4414/cvm.2010.01523

APA Style

Depairon, M., Darioli, R., & Romanens, M. (2010). Cardiovascular Risk Prediction with Ultrasound. Cardiovascular Medicine, 13(9), 255. https://doi.org/10.4414/cvm.2010.01523

Article Metrics

Back to TopTop