You are currently on the new version of our website. Access the old version .
  • Cardiovascular Medicine is published by MDPI from Volume 28 Issue 1 (2025). Previous articles were published by another publisher in Open Access under a CC-BY (or CC-BY-NC-ND) licence, and they are hosted by MDPI on mdpi.com as a courtesy and upon agreement with Editores Medicorum Helveticorum (EMH).

Cardiovascular Medicine, Volume 13, Issue 1

01 2010 - 8 articles

  • Issues are regarded as officially published after their release is announced to the table of contents alert mailing list .
  • You may sign up for email alerts to receive table of contents of newly released issues.
  • PDF is the official format for papers published in both, html and pdf forms. To view the papers in pdf format, click on the "PDF Full-text" link, and use the free Adobe Reader to open them.

Articles (8)

  • Editorial
  • Open Access
1 Citations
99 Views
3 Pages

In this issue, the Working Group of Interventional Cardiology of the Swiss Society of Cardiology reports about activities in interventional cardiology in the year 2007, 30 years after the world’s first case of coronary angioplasty on September 16, 19...

  • Communication
  • Open Access
118 Views
4 Pages

Inflammation and Acute Coronary Syndromes (ACS) – A Clinical Research Network Funded by the Swiss National Science Foundation

  • Christian M. Matter,
  • Roland Klingenberg,
  • Christian Templin,
  • Lukas Altwegg,
  • Lorenz Räber,
  • David Carballo,
  • Reto Auer,
  • Ulf Landmesser,
  • Willibald Maier and
  • Stephan Windecker
  • + 5 authors

In February 2009, the Universities of Bern, Geneva, Lausanne and Zurich joined forces for the project “Inflammation and acute coronary syndromes (ACS) – Novel strategies for prevention and clinical management”. This clinical research program underwen...

  • Interesting Images
  • Open Access
121 Views
2 Pages

The authors report on a patient with ischaemic cardiopathy and chronic congestive heart failure treated with a cardiac resynchronisation therapy device with a defibrillator back-up (CRT-D), who experienced two syncopal episodes. The first syncope was...

  • Review
  • Open Access
1 Citations
99 Views
12 Pages

Echocardiographie et Sources Cardiaques d'embolie

  • Nadia Benyounes,
  • Nabila Haddour and
  • Ariel Cohen

Cardioembolic stroke is the second cause of ischemic stroke, with a high rate of morbidity and mortality. Echocardiography, mainly transesophageal echocardiography, is very useful for the diagnosis and risk stratification of the various potential car...

  • Interesting Images
  • Open Access
83 Views
2 Pages

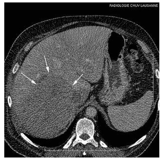
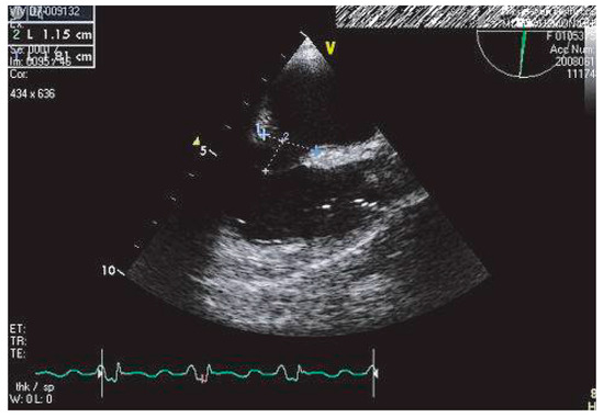
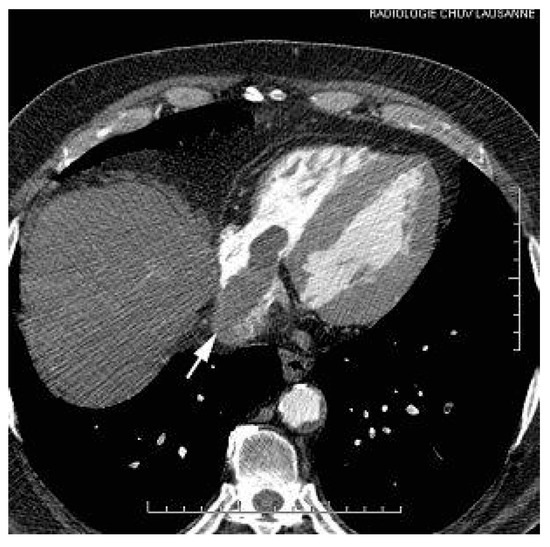
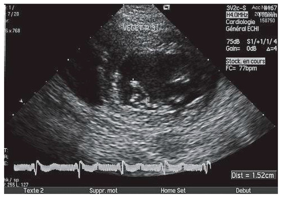
This report describes a case of involvement of inferior vena cava and the right atrium (RA) by a hepatocellular carcinoma (HCC), incidentally discovered during a transthoracic echocardiography in a patient with segmental left ventricular dysfunction,...

  • Article
  • Open Access
3 Citations
101 Views
7 Pages

Interventional Cardiology in Switzerland During the Year 2007

  • Micha T. Maeder,
  • Stephan Windecker,
  • Marco Roffi,
  • Christoph A. Kaiser,
  • Jean-Christoph Stauffer,
  • Giovanni Pedrazzini and
  • Hans Rickli

Background: Since 1987, a nationwide annual survey of percutaneous cardiac interventions is performed in Switzerland in order to assess trends with respect to type and frequency of endovascular cardiac procedures. Methods: Volume and type of endovasc...

Get Alerted

Add your email address to receive forthcoming issues of this journal.

XFacebookLinkedIn
Cardiovasc. Med. - ISSN 1664-204X