Next Article in Journal
Interventional Cardiology in Switzerland During the Year 2007
Previous Article in Journal
Echocardiographie et Sources Cardiaques d'embolie
 
 
Cardiovascular Medicine is published by MDPI from Volume 28 Issue 1 (2025). Previous articles were published by another publisher in Open Access under a CC-BY (or CC-BY-NC-ND) licence, and they are hosted by MDPI on mdpi.com as a courtesy and upon agreement with Editores Medicorum Helveticorum (EMH).
Font Type:
Arial Georgia Verdana
Font Size:
Aa Aa Aa
Line Spacing:
Column Width:
Background:
Interesting Images

Asymptomatic Right Atrium Extension of a Hepatocellular Carcinoma Detected by Echocardiography

by
Danielle Zaugg
1,*,
Salah Dine Qanadli
2 and
Andres Jaussi
1
1
Division of Cardiology, Department of Internal Medicine, CHUV, CH-1011 Lausanne, Switzerland
2
Radiodiagnosis Service and Interventional Radiology, University Hospital CHUV, Lausanne, Switzerland
*
Author to whom correspondence should be addressed.
Cardiovasc. Med. 2010, 13(1), 25; https://doi.org/10.4414/cvm.2010.01467
Submission received: 20 October 2009 / Revised: 20 November 2009 / Accepted: 20 December 2009 / Published: 20 January 2010

Abstract

This report describes a case of involvement of inferior vena cava and the right atrium (RA) by a hepatocellular carcinoma (HCC), incidentally discovered during a transthoracic echocardiography in a patient with segmental left ventricular dysfunction, 18 years after a myocardial infarction and with a moderate calcified aortic valvular stenosis.

Case report

A 55-year-old smoker with a past medical history of diabetes type II, hypertension, hypercholesterolaemia, who had a myocardial infarction at the age of 40, underwent a cardiological control examination to evaluate the progression of a moderately severe calcified valvular aortic stenosis and the global and segmental left ventricular function. He described a general fatigue and a slightly reduced exercise tolerance.
On physical examination, the general state was slightly diminished. A subicterus was visible on the sclera and the skin. The epigastrium and the right hypochondrium palpation were slightly sore.
A transthoracic echocardiography (TTE) revealed a mild segmental left ventricular dysfunction, there was infero-basal akinesia and the ejection fraction was at the lower limit of normal (50%). The calcified valvular aortic stenosis was quite severe with a maximal gradient of 58 mm Hg, a mean gradient of 38 mm Hg and an opening area of 1.1 cm2 (0.5 cm2/m2).
The examination unexpectedly revealed a mobile mass in the right atrium (RA) seeming to grow out of the inferior vena cava (IVC) (Figure 1A–C) and a large hepatic mass (Figure 1D).
Erythropoietin (EPO) was elevated to 41 U/l (normal value 5–25 U/l), Interleukin-6 (IL-6) to 48.9 pg/mL (normal value <0.3 pg/mL), and alpha-foetoprotein (AFP) was elevated to more than 12,000 kU/l (normal value <0.5 kU/l). The blood counts showed a polycythaemia with elevation of haemoglobin to 200 g/l and a haematocrit to 59%. White blood cells were normal and platelets were slightly diminished to 120 G/l. The patient was not known to have a pre-existing renal or hepatic disease.
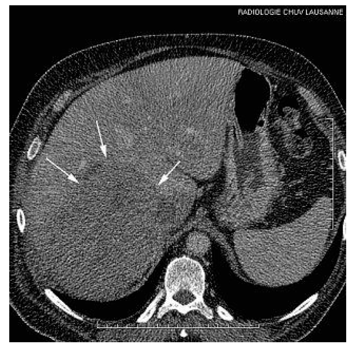
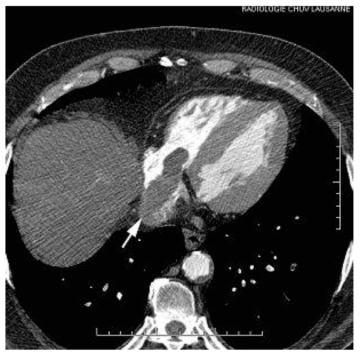
A thoraco-abdominal computed tomography (CT) scan showed the presence of a huge right hepatic mass with extension into the IVC and the RA (Figure 2 and Figure 3).
The clinical and radiological presentation, associated with a high level of AFP and EPO clarified the diagnosis of hepatocellular carcinoma (HCC) and no biopsy was performed. Indeed, the extension of the tumour precluded any surgical treatment and was considered as chemoresistant by the oncology consultant. A symptomatic palliative treatment was performed and the patient died three weeks after the diagnostic examination. An autopsy has not been performed due to the absence of family consent.

Discussion

Diagnosis of an IVC and RA mass by routine TTE, along with the biological results, initially pointed to a renal cell carcinoma. A CT scan showing a huge hepatic mass, also objectivated at abdominal ultrasound examination, before the diagnosis of HCC was established.
The most frequent tumour involving IVC and RA is the renal cell tumour (about 4–10% cases) [1] followed by carcinoma of the thyroid, testicular tumours and then HCC [2].
HCC is the fifth most common tumour worldwide. Its annual incidence ranges between 3% and 9%. The highest annual incidence rates are found in countries which are endemic for viral hepatitis. In contrast, in western countries alcoholic cirrhosis is predominant [3,4].
Most cases of HCC are discovered at an advanced stage and the tumour most frequently spreads to the lungs, peritoneum, adrenal glands and bones. Extrahepatic extension or metastasis of HCC is an unusual form of secondary cardiac malignancy [2].
HCC extension to IVC and the RA have a poor prognosis [5,6]. In fact, this patient died 3 weeks after the diagnostic examination. In addition, this case highlights the importance of a comprehensive echocardiographic examination even in straight forward follow-up conditions, such as controls of a known valvulopathy.

Conflicts of Interest

The authors certify that there is no actual or potential conflict of interest in relation to this article.

References

  1. Zini, L.; Haulon, S.; Decoene, C.; et al. Renal Cell Carcinoma Associated with tumor Thrombus in The Inferior Vena Cava: Surgical Strategies. Ann Vasc Surg. 2005, 19, 522–528. [Google Scholar] [CrossRef] [PubMed]
  2. Masci, G.; Magagnoli, M.; Grimaldi, A.; et al. Metastasis of Hepatocellular Carcinoma to The Heart: a Case Report and Review of The Literature. Tumori. 2004, 90, 345–347. [Google Scholar] [CrossRef] [PubMed]
  3. Kulik, L.M. Advancements in Hepatocellular Carcinoma. Curr Opin Gastroenterol. 2007, 23, 268–274. [Google Scholar] [CrossRef] [PubMed]
  4. Velazquez, R.F.; Rodriguez, M.; Navascuès, C.A.; et al. Prospective analysis of Risk Factors for Hepatocellular Carcinoma in Patients with Liver Cirrhosis. Hepatology. 2003, 37, 520–527. [Google Scholar] [CrossRef] [PubMed]
  5. Jorge, A. Marrero: Hepatocellular carcinoma. Curr Opin Gastroenterol. 2006, 22, 248–253. [Google Scholar]
  6. Mansour, Z.; Mazzucotelli, J.-P. RightAtrium Metastasis of Hepatocellular Carcinoma. J Card Surg. 2007, 22, 224–239. [Google Scholar] [CrossRef] [PubMed]
Figure 1. TTE. (A) Apical 4-chamber-view: mobile right atrial mass (T) growing from the inferior vena cava (IVC) and prolabing into the right ventricle. (B) Slight oblique parasternal short axis showing the prolabing right atrial mass (T). (C) Color Doppler of IVC in a subcostal view showing a narrowed venous flow (F). (D) Large hepatic mass visible in the subcostal view (arrows). AO = aorta; IVC = inferior vena cava; LA = left atrium; LV = left ventricle; RV = right ventricle; RA = right atrium; TV = tricuspid valve.
Figure 1. TTE. (A) Apical 4-chamber-view: mobile right atrial mass (T) growing from the inferior vena cava (IVC) and prolabing into the right ventricle. (B) Slight oblique parasternal short axis showing the prolabing right atrial mass (T). (C) Color Doppler of IVC in a subcostal view showing a narrowed venous flow (F). (D) Large hepatic mass visible in the subcostal view (arrows). AO = aorta; IVC = inferior vena cava; LA = left atrium; LV = left ventricle; RV = right ventricle; RA = right atrium; TV = tricuspid valve.
Cardiovascmed 13 00025 g001
Figure 2. Abdominal CT. A huge hepatic mass involving almost the whole right liver (arrows).
Figure 2. Abdominal CT. A huge hepatic mass involving almost the whole right liver (arrows).
Cardiovascmed 13 00025 g002
Figure 3. Abdominal CT. Intracardiac mass into the right atrium with extension into the vena cava (arrow).
Figure 3. Abdominal CT. Intracardiac mass into the right atrium with extension into the vena cava (arrow).
Cardiovascmed 13 00025 g003

Share and Cite

MDPI and ACS Style

Zaugg, D.; Qanadli, S.D.; Jaussi, A. Asymptomatic Right Atrium Extension of a Hepatocellular Carcinoma Detected by Echocardiography. Cardiovasc. Med. 2010, 13, 25. https://doi.org/10.4414/cvm.2010.01467

AMA Style

Zaugg D, Qanadli SD, Jaussi A. Asymptomatic Right Atrium Extension of a Hepatocellular Carcinoma Detected by Echocardiography. Cardiovascular Medicine. 2010; 13(1):25. https://doi.org/10.4414/cvm.2010.01467

Chicago/Turabian Style

Zaugg, Danielle, Salah Dine Qanadli, and Andres Jaussi. 2010. "Asymptomatic Right Atrium Extension of a Hepatocellular Carcinoma Detected by Echocardiography" Cardiovascular Medicine 13, no. 1: 25. https://doi.org/10.4414/cvm.2010.01467

APA Style

Zaugg, D., Qanadli, S. D., & Jaussi, A. (2010). Asymptomatic Right Atrium Extension of a Hepatocellular Carcinoma Detected by Echocardiography. Cardiovascular Medicine, 13(1), 25. https://doi.org/10.4414/cvm.2010.01467

Article Metrics

Back to TopTop