Next Article in Journal
Asymptomatic Right Atrium Extension of a Hepatocellular Carcinoma Detected by Echocardiography
Previous Article in Journal
Subclavian Steal Syndrome: A “Not-So-Unexpected” Cause of Syncope in a Patient with Ischaemic Cardiopathy and a CRT-D Device
 
 
Cardiovascular Medicine is published by MDPI from Volume 28 Issue 1 (2025). Previous articles were published by another publisher in Open Access under a CC-BY (or CC-BY-NC-ND) licence, and they are hosted by MDPI on mdpi.com as a courtesy and upon agreement with Editores Medicorum Helveticorum (EMH).
Font Type:
Arial Georgia Verdana
Font Size:
Aa Aa Aa
Line Spacing:
Column Width:
Background:
Review

Echocardiographie et Sources Cardiaques d'embolie

by
Nadia Benyounes
,
Nabila Haddour
and
Ariel Cohen
*
Service de Cardiologie, Hôpital Saint-Antoine, 75012 Paris, France
*
Author to whom correspondence should be addressed.
Cardiovasc. Med. 2010, 13(1), 6; https://doi.org/10.4414/cvm.2010.01468
Submission received: 20 October 2009 / Revised: 20 November 2009 / Accepted: 20 December 2009 / Published: 20 January 2010

Abstract

Cardioembolic stroke is the second cause of ischemic stroke, with a high rate of morbidity and mortality. Echocardiography, mainly transesophageal echocardiography, is very useful for the diagnosis and risk stratification of the various potential cardiac causes of embolism. These can be stratified in major cardiac sources, with a high known potential embolic risk and specific treatments, and minor sources, statistically associated with stroke. Nevertheless, in the latter causal implication is not well established.

Introduction

Les maladies cérébrovasculaires représentent la troisième cause de décès, et une importante cause d’hospitalisation et d’incapacité fonctionnelle dans les pays industrialisés.
Une cause cardioembolique, dominée par la fibrillation auriculaire (FA), est incriminée dans 17 à 46% des accidents ischémiques cérébraux (AIC) [1,2], constituant la deuxième cause d’infarctus cérébral en fréquence, après les embolies artério-artérielles.
La reconnaissance d’une source cardiaque potentielle d’embolie (SCE) est impérative du fait des implications thérapeutiques et du pronostic, globalement plus sévère des AVC cardioemboliques que celui des AIC d’origine autre, vraisemblablement du fait d’une morbi-mortalité cardiovasculaire plus élevée d’une part et d’une taille supérieure de l’infarctus cérébral d’autre part, par brutalité de l’ischémie cérébrale, qui ne permet pas le développement de collatéralités.
Le diagnostic formel d’AIC cardioembolique demeure cependant souvent difficile à porter, en l’absence de critères cliniques fiables et validés, et du fait des associations fréquentes des sources cardiaques ellesmêmes d’une part et de plusieurs localisations de l’athérosclérose d’autre part (par exemple carotidienne et aortique).
La probabilité de mettre en évidence une cardiopathie potentiellement emboligène dépend des méthodes diagnostiques mises en œuvre.
Les techniques d’investigation ultrasonore, échocardiographie transœsophagienne (ETO) avec épreuve de contraste en particulier, ont contribué à mieux préciser les sources potentielles d’embolie artérielle d’origine cardiaque ou aortique.

Apports respectifs de l’échocardiographie transthoracique et transœsophagienne dans l’exploration des AIC

Les limites de l’échocardiographie transthoracique (ETT) sont connues: échogénicité imparfaite chez certains patients, mauvaise définition des anomalies structurales de petite taille, accessibilité insuffisante de certaines structures telles l’auricule gauche, la cloison interauriculaire et surtout la région de la fosse ovale ou l’aorte thoracique [3]. L’ETO a permis de s’affranchir des limites de l’ETT et est parfaitement adaptée à l’étude des SCE [4]. Dans l’évaluation des accidents emboliques, l’ETO donne accès à l’examen constant de l’oreillette et l’auricule gauches, de la face auriculaire des prothèses valvulaires en position mitrale, du septum interauriculaire (SIA) et de l’aorte thoracique.
La rentabilité diagnostique de l’ETO a été évaluée [5,6,7,8]: elle est constamment supérieure à l’ETT [9], en particulier en l’absence de signes cliniques évocateurs de cardiopathie. Cependant, elle semble dépendre de l’âge des patients. Il importe donc de nuancer les indications de l’ETO en fonction du terrain de survenue de l’accident embolique cérébral ou périphérique: l’âge et les antécédents pathologiques doivent être intégrés dans la démarche diagnostique, ainsi que le risque de récidive et les conséquences du traitement. Les indications de l’échocardiographie selon la Société Française de Cardiologie sont résumées dans le tableau 1 [10].
Tableau 1. Consensus sur les indications de l’échocardiographie dans l’AIC [10].
Tableau 1. Consensus sur les indications de l’échocardiographie dans l’AIC [10].
Cardiovascmed 13 00006 i002

Sources cardiaques d’embolie

Définition et classification des sources cardiaques d’embolie

Il ne suffit pas de documenter une potentielle SCE pour affirmer son rôle causal, du fait de la difficulté fréquente d’établir un lien de causalité entre une potentielle SCE et l’AIC. Il est ainsi commode de classer les SCE en fonction de leur risque emboligène, en différenciant les sujets jeunes et âgés. Une classification en sources cardiaques majeures d’embolie, associées à un risque élevé d’embolie artérielle, d’AIC et d’événements cardiovasculaires et en sources cardiaques mineures d’embolie (regroupant le plus souvent les cardiopathies et anomalies à risque faible à modéré et/ou à risque indéterminé) peut être proposée (tab. 2 et 3) [11,12,13].
Tableau 2. Classification des sources cardiaques d’embolie en fonction de leur risque emboligène, basée sur la force du lien d’imputabilité de la source cardiaque considérée (à partir des données de la littérature), en différenciant les sujets jeunes et les sujets âgés.
Tableau 2. Classification des sources cardiaques d’embolie en fonction de leur risque emboligène, basée sur la force du lien d’imputabilité de la source cardiaque considérée (à partir des données de la littérature), en différenciant les sujets jeunes et les sujets âgés.
Cardiovascmed 13 00006 i003
Tableau 3. Sources cardiaques potentielles d’embolie et indication du traitement anticoagulant [modifié d’après 11–13].
Tableau 3. Sources cardiaques potentielles d’embolie et indication du traitement anticoagulant [modifié d’après 11–13].
Cardiovascmed 13 00006 i004Cardiovascmed 13 00006 i005

Sources cardiaques majeures d’embolie

Fibrillation auriculaire

La FA touche 0.3 à 0.4% de la population adulte [14], avec une prévalence qui croît avec l’âge, jusqu’à 10% chez les plus de 75 ans [15]. Elle est la principale cause d’AIC cardioembolique, sa responsabilité étant retenue dans près d’un cas sur deux [16].
L’incidence annuelle des AIC en présence d’une FA non valvulaire non traitée par anticoagulant est de 5% par an [17]. Elle est de 6% par an si associée à une hypertension artérielle (HTA), un diabète, une cardiopathie ischémique ou s’il existe un antécédent d’événement cérébrovasculaire ou d’insuffisance cardiaque congestive [17,18].
En prenant en compte les seuls facteurs échocardiographiques (dilatation de l’oreillette gauche et dysfonction ventriculaire gauche), le taux d’événement est de 6.4% par an. Les patients aux antécédents d’AIC sont considérés comme à très haut risque, avec un taux annuel d’événements de 12% [19].
L’étude SPAF III a pris en compte des facteurs échographiques transœsophagiens afin de mieux préciser le risque thromboembolique artériel: présence d’une dilatation de l’auricule gauche, d’un contraste spontané (CS) ou d’un thrombus dans l’oreillette et l’auricule gauches (Figure 1), basses vélocités dans l’auricule gauche, présence d’un athérome aortique protrusif d’épaisseur ≥4 mm.
Le risque d’AIC était de 7.5% par an en présence d’un CS ou d’un thrombus auriculaire gauche, de 12% par an en présence d’un athérome aortique protrusif d’épaisseur ≥4 mm sur l’aorte thoracique et de 20.5% par an lorsque ces deux facteurs étaient associés. En l’absence de CS, de thrombus auriculaire gauche et d’athérome aortique, le risque de récidive d’infarctus cérébral n’est que de 1.2% par an [20].
Le mécanisme étiopathogénique des accidents cardioemboliques est probablement différent en fonction de l’âge des patients en FA.Ainsi, le CS auriculaire gauche semble plus intense et les vélocités maximales des flux auriculaires gauches plus basses chez les patients jeunes en FA avec infarctus cérébral, alors que chez les sujets de plus de 70 ans avec infarctus cérébral, c’est la fréquence de l’athérome complexe de l’aorte thoracique descendante qui est plus fréquent, par rapport à des sujets du même âge en FA sans infarctus cérébral [21].

Masses intracardiaques

Tumeurs de l’oreillette gauche

Le myxome représente près de la moitié des tumeurs intracardiaques mais reste une pathologie rare (8 à 150 cas pour un million dans les séries autopsiques), même si le mode de présentation embolique est classique, survenant dans près de 30 à 45% des myxomes du cœur gauche. L’insertion habituelle est la fosse ovale du SIA. Le diagnostic est généralement porté par ETT, confirmé par l’ETO, qui apporte des informations en faveur de la nature bénigne de cette tumeur polylobée, non infiltrative, d’allure kystique, s’insérant électivement sur le SIA et s’enclavant dans l’entonnoir mitral, en diastole. Des insertions «atypiques» sont possibles (paroi libre des oreillettes, toit ou plancher de l’oreillette gauche, ou sa paroi postérieure, exceptionnellement base de l’auricule gauche) dans près de 20% des myxomes de l’oreillette gauche opérés [22].
Les myxomes «emboligènes» sont friables ou avec villosités superficielles. Ils représentaient 35% de l’ensemble des myxomes dans la série de Pinede [23]. En raison de leur risque embolique, l’exérèse chirurgicale est généralement indiquée en semi-urgence.

Tumeurs valvulaires

Le fibro-élastome papillaire est une tumeur cardiaque primitive rare. Il s’agit de la troisième tumeur bénigne cardiaque, et la plus fréquente des tumeurs valvulaires, dont il représente les trois quarts des cas [24]. Le diagnostic est majoritairement posé par échocardiographie, qui montre une petite masse (moins de 20 mm dans 99% des cas) arrondie, ovale ou de forme irrégulière avec des digitations lui conférant un «aspect d’anémone de mer», aux contours bien délimités et de texture homogène, pédiculée dans près de 50% des cas (alors mobile), siégeant avec prédilection sur l’endocarde valvulaire (90% des cas), plus souvent sur la valve aortique que mitrale [25].
L’indication de résection chirurgicale des fibro-élastomes papillaires dépend de leur taille, localisation, mobilité et de leur caractère symptomatique. Les fibroélastomes du cœur gauche atteignant ou dépassant 10 mm doivent faire envisager l’excision chirurgicale, surtout si mobiles, chez le sujet jeune à faible risque opératoire et haut risque d’accident embolique.
En présence d’un antécédent embolique artériel symptomatique ou silencieux documenté, l’indication opératoire est habituellement retenue. Des recommandations dans ce sens ont été proposées [25].

Thrombus de l’oreillette et de l’auricule gauches

L’ETO est l’outil de choix pour la recherche des thrombi de l’oreillette ou de l’auricule gauches. Le diagnostic de thrombus auriculaire gauche chez les patients en FA justifie un traitement anticoagulant. Il existe une association entre la localisation dans l’OG du thrombus et la présence d’une valvulopathie mitrale alors que la localisation dans l’auricule gauche est associée à la présence d’une FA ou d’un flutter auriculaire [26].

Thrombus et dysfonction systolique ventriculaire gauche ischémique et non ischémique

L’AIC complique un infarctus du myocarde (IDM) dans 2 à 4% des cas [27]. La thrombose ventriculaire gauche (VG) est habituellement précoce, survenant dans la première semaine suivant l’IDM. Le siège électif est l’apex VG, en regard d’une zone akinétique ou dyskinétique, ou au sein d’un anévrisme (Figure 2). Cette localisation élective explique la performance diagnostique élevée d’ETT. La présence d’un thrombus VG à la phase aiguë d’un IDM multiplie par 5 le risque embolique [28].
Dans les cardiopathies non ischémiques, la prévalence de la thrombose VG est élevée, en particulier lorsque la FEVG est inférieure à 45% [29]. Dans les cardiopathies dilatées évoluées, les fréquences rapportées de thrombose VG se situent entre 11 et 44%. L’incidence des événements emboliques est évaluée entre 1.4 et 12.0% par an dans cette population [29,30]. Dans la série de Sharma [31] comportant 144 patients consécutifs avec FEVG inférieure ou égale à 35% examinés par ETT dans le cadre d’un programme d’évaluation prétransplantation cardiaque, 19% avaient un thrombus VG. Les patients avec thrombus VG avaient un diamètre télédiastolique VG significativement plus important, une fréquence plus élevée de cardiopathie ischémique et d’anévrisme antéro-apical et une FEVG tendant à être plus basse (17.5 ± 5.5% versus 20.0 ± 6.9%, p = 0.07). Il n’y avait pas de différence significative en termes de fréquence des événements emboliques, une embolie artérielle étant survenue chez 17.9% des patients ayant un thrombus VG et 11.2% des patients n’ayant pas de thrombus VG (p = 0.35), au cours d’un suivi moyen de 27.6 ± 14.9 mois. Les seuls facteurs prédictifs des accidents emboliques en analyse multivariée étaient la présence d’une cardiopathie ischémique (odds ratio 3.79, intervalle de confiance à 95%: 1.13–12.64, p = 0.03) et une FEVG basse (odds ratio 0.91, intervalle de confiance à 95%: 0.82–1.00, p = 0.04).

Végétations infectieuses

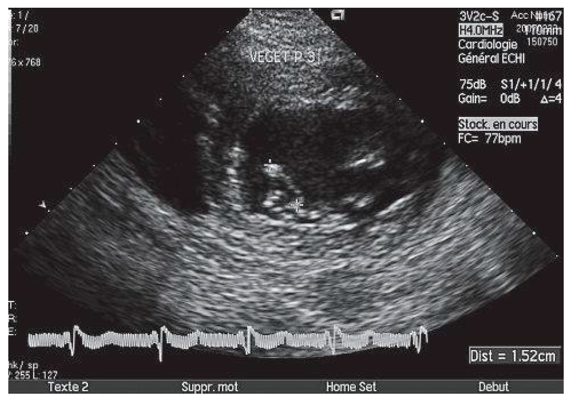
L’endocardite infectieuse explique 3% des accidents emboliques, dont 2⁄3 sont des embolies cérébrales [32]. La performance diagnostique de l’ETO est excellente, très supérieure à celle de l’ETT (Figure 3), en particulier pour les végétations de petite taille (<5 mm) [33] et sur les prothèses valvulaires mécaniques.
La prévalence des AVC varie dans l’endocardite infectieuse de 15 à 20% [32], les végétations de plus de 10 mm, mobiles, étant associées à un fort risque embolique [34].

Végétations marastiques, lupiques ou associées à un syndrome des antiphospholipides

Les endocardites thrombotiques non bactériennes expliqueraient un quart des AIC des patients porteurs d’une néoplasie et une embolie est détectée chez 30% des patients ayant une endocardite non infectieuse [16]. Les embolies sont généralement multiples, à partir de thrombus valvulaires de petite taille, prédominant sur la face atriale de la valve mitrale.
Les végétations lupiques sont des végétations stériles fibrofibrineuses, pouvant se développer sur tout l’endocarde mais principalement sur les valves du cœur gauche et en particulier sur le feuillet mitral postérieur. Ces végétations sont «verruqueuses», d’implantation sessile, de petite taille (3 à 4 mm en règle générale).
Dans le lupus [35] comme dans le syndrome primaire des anti-phospholipides [36], l’observation concomitante de lésions valvulaires et d’accidents thrombotiques a également été rapportée.

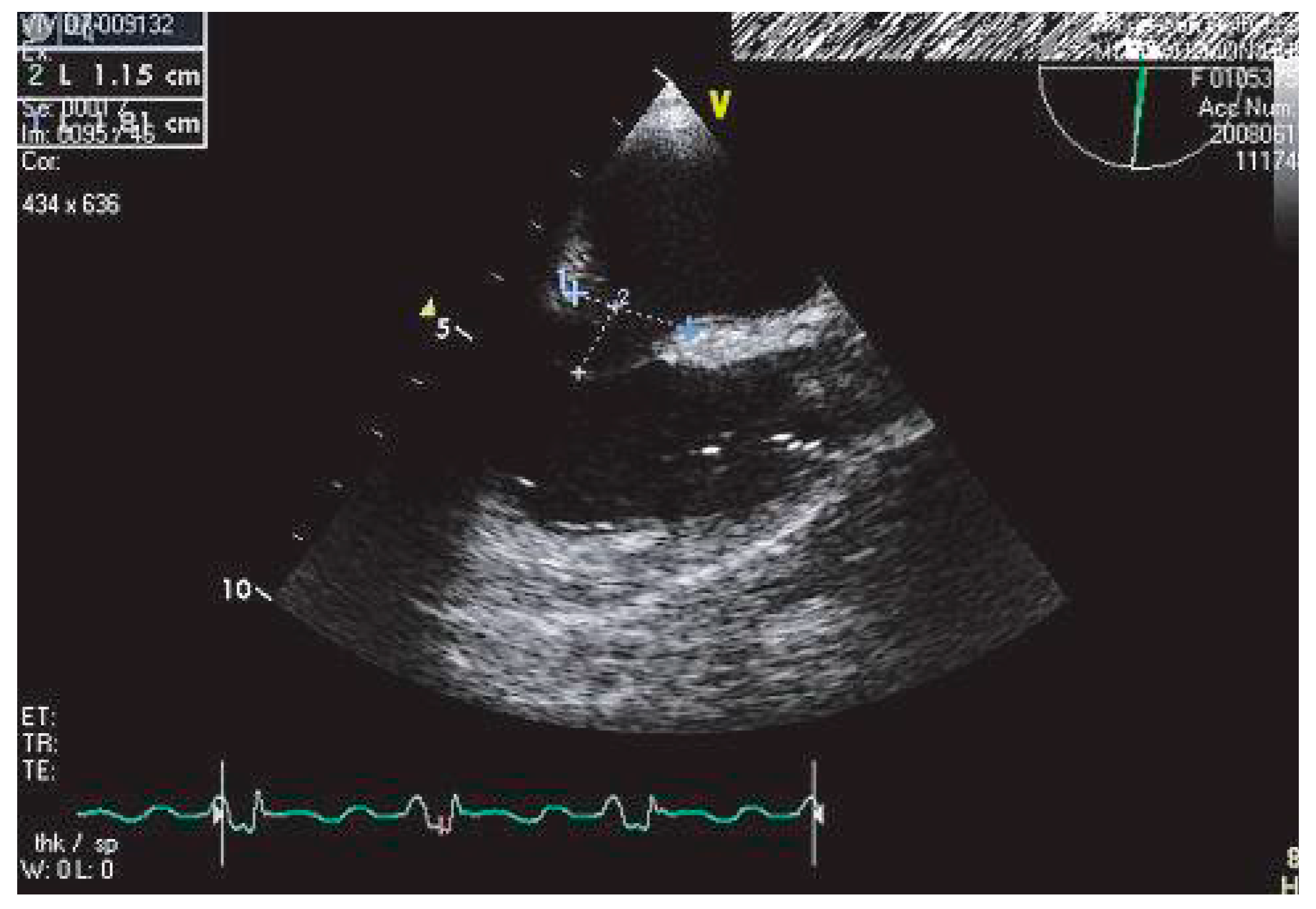
Athérome aortique

Des études anatomiques [37], cas-témoins et de suivi prospectif de patients ayant eu un infarctus cérébral et âgés de plus de 60 ans ont établi un lien entre la présence d’un athérome protrusif de la crosse aortique et de l’aorte ascendante ou de plaques ulcérées et le risque d’infarctus cérébral, multiplié par un facteur 3 à 9 selon l’étude considérée (Tab. 4) [38].
L’ETO permet l’analyse des paramètres morphologiques des plaques. Les plaques de 4 mm et plus d’épaisseur représentent une source aortique potentielle d’embolie et un facteur de risque indépendant d’infarctus cérébral [39]. Leur risque attribuable est de 12.6% et elles sont mises en évidence chez 1⁄3 environ des patients avec AIC cryptogénique.
Tableau 4. Etudes cas-témoins ayant évalué la fréquence des plaques athéroscléreuses «protrusives» de la crosse aortique et le risque qui leur est associé [38].
Tableau 4. Etudes cas-témoins ayant évalué la fréquence des plaques athéroscléreuses «protrusives» de la crosse aortique et le risque qui leur est associé [38].
Cardiovascmed 13 00006 i006
L’analyse des ulcérations de paroi [37,40], des calcifications [41], des thrombi surajoutés et/ou des plaques hypo-échogènes (Figure 4 et Figure 5) permet de mieux identifier les lésions à risque.
La définition échographique habituellement retenue des ulcérations de paroi est la présence d’un cratère de profondeur et de largeur de 2 millimètres ou plus sur une plaque athéroscléreuse. Les travaux concordent en faveur d’un risque accru d’infarctus cérébral en présence de l’association: épaisseur de plaque d’au moins 4 millimètres et irrégularités et/ou ulcérations de plaque.
Dans l’étude cas-témoin de FAPS [39], bien que les calcifications et irrégularités de surface des plaques étaient indépendamment associées à l’infarctus cérébral, l’épaisseur de plaque restait le facteur morphologique le plus fortement associé au risque d’infarctus cérébral. En combinant l’épaisseur des plaques avec la présence ou l’absence des autres paramètres morphologiques (irrégularité de la surface des plaques et calcifications), les plaques de 4 millimètres et plus d’épaisseur non calcifiées étaient le plus fortement associées au risque d’infarctus cérébral, suggérant qu’il puisse s’agir de plaques instables, à haut risque de rupture et de complications.
Dans cette étude [39], un élément mobile était présent chez 7 des 250 patients consécutifs explorés pour infarctus cérébral. Dans 6 de ces 7 cas, l’infarctus cérébral était cryptogénique. La présence d’éléments thrombotiques multiples multiplie par 6 le risque embolique [42].

Prothèses valvulaires mécaniques

Les fréquences des complications emboliques et thromboses des prothèses valvulaires mécaniques sont considérées comme à peu près constantes après le premier mois postopératoire.
Le taux d’incidence des complications thromboemboliques et des thromboses de prothèse sont respectivement de 3.0% par an et 0.8% par an.
Le risque d’embolie artérielle associée aux thromboses valvulaires dépend du type de la prothèse (mécanique versus bioprothèse), de la taille de l’oreillette gauche, de la fonction ventriculaire gauche, ainsi que de la qualité du suivi du traitement anticoagulant.
La thrombose de prothèse valvulaire mécanique, complication rare, est gravissime si obstructive. Son diagnostic est difficile lorsqu’elle est non obstructive, du fait de la pauvreté de la symptomatologie fonctionnelle et de l’examen clinique. Elle expose néanmoins au risque d’embolie artérielle. La rentabilité de l’ETT est faible pour le diagnostic des thromboses non obstructives de prothèses mécaniques en position mitrale. Guéret a montré l’intérêt de l’ETO dans cette indication [43].

Bioprothèses

Le risque thromboembolique est particulièrement élevé dans les trois premiers mois postopératoires chez les patients ne recevant pas de traitement anticoagulant, surtout lorsque la bioprothèse est en position mitrale. Chez les patients recevant un traitement anticoagulant, il est plus élevé lorsque la bioprothèse est en position mitrale et lorsqu’il existe une FA. L’association d’un antécédent thromboembolique ou d’un thrombus de l’oreillette gauche majore le risque.
Les porteurs de bioprothèses porcines ou péricardiques ont un risque thromboembolique au long cours de 0.2% à 2.6% par an [44].

Sources cardiaques mineures d’embolie

Il s’agit du contraste spontané intra-auriculaire gauche, de la pathologie du septum interauriculaire, du prolapsus valvulaire mitral, et des calcifications annulaires mitrales, à risque embolique moindre ou controversé.

Contraste spontané intra-auriculaire gauche

Le contraste spontané (CS) est un marqueur des événements emboliques antérieurs chez les patients en FA non valvulaire ou porteurs d’un rétrécissement mitral ou d’une prothèse valvulaire mitrale [45]. Le lien entre la présence d’un CS intra-auriculaire gauche et le risque d’événement embolique artériel a été établi [46]. De même a été montrée une association entre CS dans l’oreillette gauche et thrombose auriculaire gauche, la majorité des thrombi survenant en présence d’un contraste spontané.
La recherche de contraste CS dans le massif auriculaire gauche par ETO participe donc à la stratification du risque embolique chez les patients en FA non valvulaire [46].

Pathologie du septum interauriculaire

L’association entre anévrisme du septum interauriculaire (ASIA) et embolie systémique avait été initialement décrite à partir d’observations isolées [47,48]. Les mécanismes évoqués comportaient la présence de thrombus au sein de la membrane anévrismale interauriculaire, l’embolie paradoxale d’une thrombose veineuse au travers d’un foramen ovale perméable, ou l’association à une arythmie auriculaire paroxystique [59]. Le lien d’imputabilité est difficile à établir, la mise en évidence d’une thrombose veineuse ou cavitaire droite ou d’une circonstance clinique évoquant un Valsalva précédant la survenue d’un AIC étant rare. Quelques observations de thromboses enclavées au sein de la cloison interauriculaire évoquent fortement ce mécanisme.

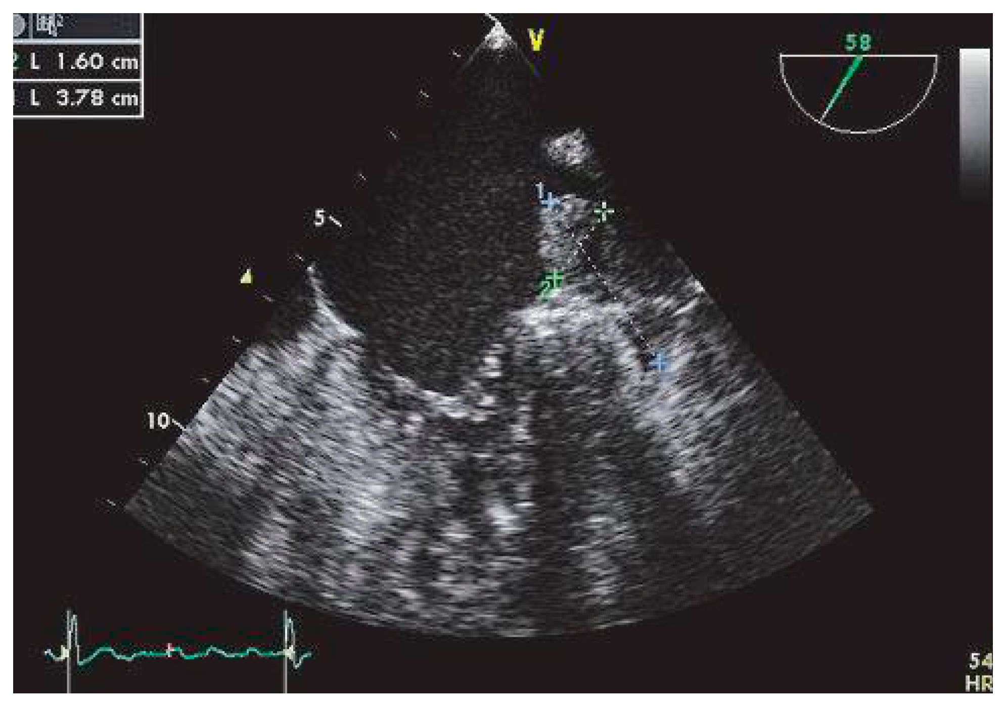
Anévrisme du septum interauriculaire

La fréquence de l’ASIA varie, de 8% en ETO chez des patients explorés dans un laboratoire d’échocardiographie [50] (Figure 6) à 15% dans des séries échographiques chez des patients avec AIC [50]. Elle atteindrait 28% dans certaines séries très sélectionnées d’AIC du sujet jeune et 39% chez les patients avec AIC cryptogénique et un âge moyen de 39 ans [51].
Le risque de récidive d’AIC est évalué dans l’étude multicentrique française à 2% à deux ans dans la série globale, atteignant 9% à deux ans chez les patients ayant un ASIA associé à un FOP [52].
Les anomalies du septum interauriculaire (FOP et ASIA) semblent associées au risque d’AIC chez les patients de moins de 55 ans. Chez les patients de 55 ans et plus, elle nécessite confirmation [53].
Cependant, l’association FOP et ASIA pris séparément et récidive d’AIC «cryptogénique» du sujet de moins de 55 ans, ne fait pas l’unanimité [54]. Seule l’association des deux pourrait être à risque.

Foramen ovale perméable

Le foramen ovale perméable est défini par la présence d’un shunt à l’étage auriculaire en regard de la région de la fosse ovale (Figure 7), en l’absence de solution de continuité au sein de la membrane [55].
Tableau 5. Recommandations consensuelles des Sociétés Françaises de Cardiologie et Neuro-Vasculaire [63].
Tableau 5. Recommandations consensuelles des Sociétés Françaises de Cardiologie et Neuro-Vasculaire [63].
Cardiovascmed 13 00006 i007
Le foramen ovale se referme normalement à la naissance, lorsque la pression auriculaire gauche dépasse celle de l’oreillette droite. Cependant, dans 25% des cas en moyenne [56], cette fermeture reste incomplète et le foramen ovale demeure perméable.
La prévalence du FOP varie entre 22 et 54% en présence d’un AIC, en utilisant l’ETT avec épreuve de contraste, l’ETO ou le Doppler transcrânien [51,57,58,59].
Le diamètre du foramen ovale perméable, la précocité de visualisation du passage des bulles dans la cavité auriculaire gauche et le nombre de bulles sont des éléments à prendre en considération dans la définition du risque embolique lié au FOP [58,60].
Si l’association avec les AIC du sujet jeune est classique, elle a récemment été évoquée chez le sujet âgé aussi [61] même si une étude en population [62] n’a pas retrouvé d’association entre FOP et événements cérébrovasculaires ultérieurs, au terme d’un suivi médian de 5.1 ans.
De ce fait, les modalités thérapeutiques en présence d’un foramen ovale perméable chez un patient exploré pour AIC restent discutées. Un texte de consensus rédigé par les experts de la Société Française de Cardiologie et la Société Française Neurovasculaire est disponible [63].

Prolapsus valvulaire mitral

Un lien entre prolapsus valvulaire mitral et AIC chez les patients de moins de 45 ans a été suggéré [64], infirmé par les études épidémiologiques ultérieures [65,66].

Calcifications annulaires mitrales

Les calcifications annulaires mitrales (CAM) s’intègrent dans le contexte d’un processus dégénératif chronique intéressant en particulier les sujets âgés, surtout les femmes et les patients hypertendus et diabétiques. Leur prévalence a été évaluée dans l’étude Framingham à 2.8%, 90% des patients avec CAM provenant du sous-groupe des patients de plus de 59 ans [67]. Elles sont reconnues sur la présence d’échos denses en regard de l’anneau mitral en ETT [68].
Si plusieurs études ont rapporté une augmentation du risque d’AIC en présence de CAM [67], elles seraient, en s’intégrant dans le cadre d’une athérosclérose diffuse, plus une comorbidité associée à l’AIC qu’une cause potentielle [69,70].

Filaments valvulaires ou strands

Les filaments valvulaires ou «excroissance de Lambl» décrits initialement par les anatomistes sont diagnostiqués par la seule ETO (Figure 8). Il s’agit de filaments mobiles, s’insérant de façon élective sur la face auriculaire de la valve mitrale et la face ventriculaire des valves semi-lunaires aortiques, la localisation valvulaire droite étant exceptionnelle. La prévalence des filaments valvulaires augmente avec l’âge, pour être quasi constante après 80 ans dans les séries anatomiques [71]. Un lien a été suggéré entre la présence de filaments valvulaires et le risque d’AIC [72]. Cependant, l’étude de suivi de la cohorte française a montré qu’il n’y avait pas d’augmentation du risque de récidive d’infarctus cérébral [73]. La présence de filaments valvulaires pourrait donc ne constituer qu’un marqueur du risque d’infarctus cérébral, associé dans tous les cas à un faible risque de récidive. Il faut cependant différencier les filaments valvulaires sur valves natives des filaments valvulaires décrits chez les patients porteurs de prothèses valvulaires, plus souvent mécaniques que bioprothèses, avec une fréquence évaluée respectivement à 27% et 8% [p = 0.03) dans la série d’Orsinelli [74]. Il s’agit dans ce dernier cas de thromboses non obstructives, associées à un risque accru d’embolie artérielle, en particulier dans la phase postopératoire. Un traitement anticoagulant adapté contribue à réduire ce risque; dans ce contexte, le contraste spontané dans l’oreillette gauche est un facteur favorisant, de même que la fibrillation auriculaire.

Apport de l’échographie dans la prise en charge thérapeutique des accidents vasculaires cérébraux

Bien que la performance diagnostique de l’échographie dans la détection des sources cardiaques ou aortiques d’embolie ait été parfaitement documentée, au moins en ce qui concerne l’ETO, l’influence sur le traitement n’a été que peu envisagée. Même s’il apparaît évident que la découverte d’une thrombose intracavitaire conduit à la prescription d’un traitement anticoagulant, il s’agit en fait le plus souvent de patients en FA. En reprenant quelques données de la littérature, une modification thérapeutique induite par les données de l’ETT est décrite dans 4 à 10% des cas [4,5,6,7,8,50]. En utilisant l’ETO, une modification du traitement est décrite en fonction de la sélection de la population dans 5 à 20% des cas, si l’on inclut en particulier la pathologie de la cloison interauriculaire (Tab. 6).
Tableau 6. Recommandations du «Canadian Task Force on Preventive Health Care» pour l’exploration et le traitement des potentielles sources cardiaques d’embolie chez les patients avec infarctus cérébral [11].
Tableau 6. Recommandations du «Canadian Task Force on Preventive Health Care» pour l’exploration et le traitement des potentielles sources cardiaques d’embolie chez les patients avec infarctus cérébral [11].
Cardiovascmed 13 00006 i008

Conflicts of Interest

No conflict of interest to declare.

Abbreviations

Cardiovascmed 13 00006 i001

References

  1. Caplan, L.R.; Hier, D.B.; D’Cruz, I. Cerebral embolism in the Michael Reese Stroke Registry. Stroke. 1983, 14, 530–536. [Google Scholar] [CrossRef]
  2. Petty, G.W.; Brown, R.D., Jr; Whisnant, J.P.; Sicks, J.D.; O’Fallon, W.M.; Wiebers, D.O. Ischemic stroke subtypes: a population-based study of functional outcome, survival, and recurrence. Stroke. 2000, 31, 1062–1068. [Google Scholar] [CrossRef] [PubMed]
  3. Robbins, J.A.; Sagar, K.B.; French, M.; Smith, P.J. Influence systemic emboli. Stroke. 1983, 14, 546–549. [Google Scholar] [CrossRef] [PubMed]
  4. Hata, J.S.; Ayres, R.W.; Biller, J.; et al. Impact of transesophageal echocardiography on the anticoagulation management of patients admitted with focal cerebral ischemia. Am J Cardiol. 1993, 72, 707–710. [Google Scholar] [CrossRef]
  5. Pop, G.; Sutherland, G.R.; Koudstaal, P.J.; Sit, T.W.; de Jong, G.; Roelandt, J.R. Transesophageal echocardiography in the detection of intracardiac embolic sources in patients with transient ischemic attacks. Stroke. 1990, 21, 560–565. [Google Scholar] [CrossRef]
  6. Hofmann, T.; Kasper, W.; Meinertz, T.; Geibel, A.; Just, H. Echocardiographic evaluation of patients with clinically suspected arterial emboli. Lancet. 1990, 336, 1421–1424. [Google Scholar]
  7. De Belder, M.A.; Lovat, L.B.; Tourikis, L.; Leech, G.; Camm, A.J. Limitations of transoesophageal echocardiography in patients with focal cerebral ischemic events. Br Heart J. 1992, 67, 297–303. [Google Scholar] [CrossRef]
  8. Comess, K.A.; De Rook, F.A.; Beach, K.W.; Lytle, N.J.; Golby, A.J.; Albers, G.W. Transesophageal echocardiography and carotid ultrasound in patients with cerebral ischemia: prevalence of findings and recurrent stroke risk. J Am Coll Cardiol. 1994, 23, 1598–1603. [Google Scholar] [CrossRef]
  9. de Bruijn, S.F.; Agema, W.R.; Lammers, G.J.; et al. Transesophageal echocardiography is superior to transthoracic echocardiography in management of patients of any age with transient ischemic attack or stroke. Stroke. 2006, 37, 2531–2534. [Google Scholar] [CrossRef]
  10. Cohen, A.; Abergel, E.; Blanchard, B.; et al. Recommendations de la société française de cardiologie sur les indications de l’échocardiographie Doppler. Arch Mal Cœur Vaiss. 2003, 96, 223–263. [Google Scholar]
  11. Kapral, M.K.; Silver, F.L. Preventive health care, 1999 update: 2. Echocardiography for the detection of a cardiac source of embolus in patients with stroke. Canadian Task Force on Preventive Health Care. CMAJ. 1999, 161, 989–996. [Google Scholar]
  12. Guyatt, G.; Schunemann, H.; Cook, D.; Jaeschke, R.; Pauker, S.; Bucher, H. Grades of recommendation for antithrombotic agents. Chest. 2001, 119 (Suppl. 1), 3S–7S. [Google Scholar] [CrossRef] [PubMed]
  13. Fuster, V.; Rydén, L.E.; Asinger, R.W.; Cannom, D.S.; Crijns, H.J.; Frye, R.L. ACC/AHA/ESC guidelines for management of patients with atrial fibrillation: executive summary. J Am Coll Cardiol. 2001, 38, 1231–1266. [Google Scholar] [CrossRef] [PubMed]
  14. Wolf, P.A.; Abbott, R.D.; Kannel, W.B. Atrial fibrillation as an independent risk factor for stroke: the Framingham Study. Stroke. 1991, 22, 983–988. [Google Scholar] [CrossRef]
  15. Feinberg, W.M.; Blackshear, J.L.; Laupacis, A.; Kronmal, R.; Hart, R.G. Prevalence, age distribution, and gender of patients with atrial fibrillation. Analysis and implications. Arch Intern Med. 1995, 155, 469–473. [Google Scholar] [CrossRef] [PubMed]
  16. No authors listed. Cardiogenic brain embolism. The second report of the Cerebral Embolism Task Force. Arch Neurol. 1989, 46, 727–743. [Google Scholar] [CrossRef]
  17. No authors listed. Risk factors for stroke and efficacy of antithrombotic therapy in atrial fibrillation. Analysis of pooled data from five randomized controlled trials. Arch Intern Med. 1994, 154, 1449–1457. [Google Scholar] [CrossRef]
  18. No authors listed. Warfarin versus aspirin for prevention of thromboembolism in atrial Fibrillation: Stroke Prevention in Atrial Fibrillation II Study. Lancet. 1994, 343, 687–691. [Google Scholar]
  19. No authors listed. EAFT (European Atrial Fibrillation Trial) Study Group. Secondary prevention in non-rheumatic atrial fibrillation after transient ischaemic attack or minor stroke. Lancet. 1993, 342, 1255–1262. [Google Scholar] [CrossRef]
  20. No authors listed. Transesophageal echocardiographic correlates of thromboembolism in high-risk patients with nonvalvular atrial fibrillation. The Stroke Prevention in Atrial Fibrillation Investigators Committee on Echocardiography. Ann Intern Med. 1998, 128, 639–647. [Google Scholar] [CrossRef]
  21. Shinokawa, N.; Hirai, T.; Takashima, S.; et al. A transesophageal echocardiographic study on risk factors for stroke in elderly patients with atrial fibrillation. A comparison with younger patients. Chest. 2001, 120, 840–846. [Google Scholar] [CrossRef]
  22. Loire, R. Le myxome de l’oreillette gauche. Bilan évolutif de 100 malades opérés. Arch Mal Cœur Vaiss. 1996, 89, 1119–1125. [Google Scholar]
  23. Pinede, L.; Duhaut, P.; Loire, R. Clinical presentation of left atrial cardiac myxoma. A series of 112 consecutive cases. Medicine (Baltimore). 2001, 80, 159–172. [Google Scholar] [CrossRef] [PubMed]
  24. Edwards, F.H.; Hale, D.; Cohen, A.; Thompson, L.; Pezzella, A.T.; Virmani, R. Primary cardiac valve tumors. Ann Thorac Surg. 1991, 52, 1127–1131. [Google Scholar] [CrossRef]
  25. Sun, J.P.; Asher, C.R.; Yang, X.S.; et al. Clinical and echocardiographic characteristics of papillary fibroelastomas: a retrospective and prospective study in 162 patients. Circulation. 2001, 103, 2687–2693. [Google Scholar] [CrossRef] [PubMed]
  26. Jaber, W.A.; Prior, D.L.; Thamilarasan, M.; et al. Efficacy of anticoagulation in resolving left atrial and left atrial appendage thrombi: A transesophageal echocardiographic study. Am Heart J. 2000, 140, 150–156. [Google Scholar] [CrossRef] [PubMed]
  27. Cairns, J.A.; Hirsh, J.; Lewis, H.D., Jr; Resnekov, L.; Theroux, P. Antithrombotic agents in coronary artery disease. Chest. 1992, 102 (Suppl. 4), 456S–481S. [Google Scholar] [CrossRef]
  28. Vaitkus, P.T.; Barnathan, E.S. Embolic potential, prevention and management of mural thrombus complicating anterior myocardial infarction: a meta-analysis. J Am Coll Cardiol. 1993, 22, 1004–1009. [Google Scholar] [CrossRef]
  29. Gottdiener, J.S.; Gay, J.A.; VanVoorhees, L.; DiBianco, R.; Fletcher, R.D. Frequency and embolic potential of left ventricular thrombus in dilated cardiomyopathy: assessment by 2-dimensional echocardiography. Am J Cardiol. 1983, 52, 1281–1285. [Google Scholar] [CrossRef]
  30. Ciaccheri, M.; Castelli, G.; Cecchi, F.; et al. Lack of correlation between intracavitary thrombosis detected by cross sectional echocardiography and systemic emboli in patients with dilated cardiomyopathy. Br Heart J. 1989, 62, 26–29. [Google Scholar] [CrossRef]
  31. Sharma, N.D.; McCullough, P.A.; Philbin, E.F.; Weaver, W.D. Left ventricular thrombus and subsequent thromboembolism in patients with severe systolic dysfunction. Chest. 2000, 117, 314–320. [Google Scholar] [CrossRef]
  32. Hart, R.G.; Foster, J.W.; Luther, M.F.; Kanter, M.C. Stroke in infective endocarditis. Stroke. 1990, 21, 695–700. [Google Scholar] [CrossRef]
  33. Erbel, R.; Rohmann, S.; Drexler, M.; et al. Improved diagnostic value of echocardiography in patients with infective endocarditis by transoesophageal approach. A prospective study. Eur Heart J. 1988, 9, 43–53. [Google Scholar] [CrossRef] [PubMed]
  34. Di Salvo, G.; Habib, G.; Pergola, V.; et al. Echocardiography predicts embolic events in infective endocarditis. J Am Coll Cardiol. 2001, 37, 1069–76. [Google Scholar] [CrossRef] [PubMed]
  35. Anderson, D.; Bell, D.; Lodge, R.; Grant, E. Recurrent cerebral ischemia and mitral valve vegetation in a patient with antiphospholipid antibodies. J Rheumatol. 1987, 14, 839–841. [Google Scholar] [PubMed]
  36. Grondin, F.; Giannoccaro, J.P. Antiphospholipid antibody syndrome associated with large aortic valve vegetation and stroke. Can J Cardiol. 1995, 11, 133–135. [Google Scholar]
  37. Amarenco, P.; Duyckaerts, C.; Tzourio, C.; Henin, D.; Bousser, M.G.; Hauw, J.J. The prevalence of ulcerated plaques in the aortic arch in patients with stroke. N Engl J Med. 1992, 326, 221–225. [Google Scholar] [CrossRef]
  38. Amarenco, P. Crosse de l’aorte et risque artériel cérébral; Masson: Paris, 2000; pp. 121–133. [Google Scholar]
  39. Amarenco, P.; Cohen, A.; Tzourio, C.; et al. Atherosclerotic disease of the aortic arch and the risk of ischemic stroke. N Engl J Med. 1994, 331, 1474–1479. [Google Scholar] [CrossRef]
  40. Di Tullio, M.R.; Sacco, R.L.; Gersony, D.; et al. Aortic atheromas and acute ischemic stroke: a transesophageal echocardiographic study in an ethnically mixed population. Neurology. 1996, 46, 1560–1566. [Google Scholar] [CrossRef]
  41. Cohen, A.; Tzourio, C.; Bertrand, B.; Chauvel, C.; Bousser, M.G.; Amarenco, P. Aortic plaque morphology and vascular events: a follow-up study in patients with ischemic stroke. FAPS Investigators. French Study of Aortic Plaques in Stroke. Circulation. 1997, 96, 3838–3841. [Google Scholar] [CrossRef]
  42. Karalis, D.G.; Chandrasekaran, K.; Victor, M.F.; Ross, J.J., Jr; Mintz, G.S. Recognition and embolic potential of intraaortic atherosclerotic debris. J Am Coll Cardiol. 1991, 17, 73–78. [Google Scholar] [CrossRef] [PubMed]
  43. Gueret, P.; Vignon, P.; Fournier, P.; et al. Transesophageal echocardiography for the diagnosis and management of nonobstructive thrombosis of mechanical mitral valve prosthesis. Circulation. 1995, 9, 103–110. [Google Scholar] [CrossRef] [PubMed]
  44. Stein, P.D.; Alpert, J.S.; Bussey, H.I.; Dalen, J.E.; Turpie, A.G. Antithrombotic therapy in patients with mechanical and biological prosthetic heart valves. Chest. 2001, 119 (Suppl. 1), 220S–227S. [Google Scholar] [CrossRef]
  45. Black, I.W.; Hopkins, A.P.; Lee, L.C.; Walsh, W.F. Left atrial spontaneous echo contrast: a clinical and echocardiographic analysis. J Am Coll Cardiol. 1991, 18, 398–404. [Google Scholar] [CrossRef] [PubMed]
  46. Leung, D.Y.; Black, I.W.; Cranney, G.B.; Hopkins, A.P.; Walsh, W.F. Prognostic implications of left atrial spontaneous echo contrast in nonvalvular atrial fibrillation. J Am Coll Cardiol. 1994, 24, 755–762. [Google Scholar] [CrossRef]
  47. Belkin, R.N.; Hurwitz, B.J.; Kisslo, J. Atrial septal aneurysm: association with cerebrovascular and peripheral embolic events. Stroke. 1987, 18, 856–862. [Google Scholar] [CrossRef]
  48. Di Pasquale, G.; Andreoli, A.; Grazi, P.; Dominici, P.; Pinelli, G. Cardioembolic stroke from atrial septal aneurysm. Stroke. 1988, 19, 640–643. [Google Scholar] [CrossRef]
  49. Berthet, K.; Lavergne, T.; Cohen, A.; et al. Significant association of atrial vulnerability with atrial septal abnormalities in young patients with ischemic stroke of unknown cause. Stroke. 2000, 31, 398–403. [Google Scholar] [CrossRef]
  50. Pearson, A.C.; Nagelhout, D.; Castello, R.; Gomez, C.R.; Labovitz, A.J. Atrial septal aneurysm and stroke: a transesophageal echocardiographic study. J Am Coll Cardiol. 1991, 18, 1223–1229. [Google Scholar] [CrossRef]
  51. Cabanes, L.; Mas, J.L.; Cohen, A.; et al. Atrial septal aneurysm and patent foramen ovale as risk factors for cryptogenic stroke in patients less than 55 years of age. A study using transesophageal echocardiography. Stroke. 1993, 24, 1865–1873. [Google Scholar] [CrossRef]
  52. Mas, J.L.; Zuber, M. Recurrent cerebrovascular events in patients with patent foramen ovale, atrial septal aneurysm, or both and cryptogenic stroke or transient ischemic attack. French Study Group on Patent Foramen Ovale and Atrial Septal Aneurysm. Am Heart J. 1995, 130, 1083–1088. [Google Scholar]
  53. Overell, J.R.; Bone, I.; Lees, K.R. Interatrial septal abnormalities and stroke: a meta-analysis of case-control studies. Neurology. 2000, 55, 1172–1179. [Google Scholar] [PubMed]
  54. Mas, J.L.; Arquizan, C.; Lamy, C.; et al. Patent Foramen Ovale and Atrial Septal Aneurysm Study Group. Recurrent cerebrovascular events associated with patent foramen ovale, atrial septal aneurysm, or both. N Engl J Med. 2001, 345, 1740–1746. [Google Scholar] [CrossRef] [PubMed]
  55. Cohen, A. Intérêt de l’échocardiographie transœsophagienne dans le bilan d’un accident embolique artériel. In Echographie Transœsophagienne en Cardiologie et en Anésthésie; Arnette: Paris, 1992; pp. 207–230. [Google Scholar]
  56. Hagen, P.T.; Scholz, D.G.; Edwards, W.D. Incidence and size of patent foramen ovale during the first 10 decades of life: an autopsy study of 965 normal hearts. Mayo Clin Proc. 1984, 59, 17–20. [Google Scholar] [CrossRef] [PubMed]
  57. Lechat, P.; Mas, J.L.; Lascault, G.; et al. Prevalence of patent foramen ovale in patients with stroke. N Engl J Med. 1988, 318, 1148–1152. [Google Scholar] [CrossRef]
  58. Homma, S.; Di Tullio, M.R.; Sacco, R.L.; Mihalatos, D.; Li Mandri, G.; Mohr, J.P. Characteristics of patent foramen ovale associated with cryptogenic stroke. A biplane transesophageal echocardiographic study. Stroke. 1994, 25, 582–586. [Google Scholar] [CrossRef]
  59. Bogousslavsky, J.; Garazi, S.; Jeanrenaud, X.; Aebischer, N.; Van Melle, G. Stroke recurrence in patients with patent foramen ovale: the Lausanne Study. Lausanne Stroke with Paradoxal Embolism Study Group. Neurology. 1996, 46, 1301–1305. [Google Scholar] [CrossRef]
  60. Schuchlenz, H.W.; Weihs, W.; Horner, S.; Quehenberger, F. The association between the diameter of a patent foramen ovale and the risk of embolic cerebrovascular events. Am J Med. 2000, 109, 456–462. [Google Scholar] [CrossRef]
  61. Handke, M.; Harloff, A.; Olschewski, M.; Hetzel, A.; Geibel, A. Patent foramen ovale and cryptogenic stroke in older patients. N Engl J Med. 2007, 357, 2262–2268. [Google Scholar] [CrossRef]
  62. Meissner, I.; Khandheria, B.K.; Heit, J.A.; et al. Patent Foramen Ovale: Innocent or Guilty? Evidence From a Prospective Population-Based Study. J Am Coll Cardiol. 2006, 47, 440–445. [Google Scholar] [CrossRef]
  63. Albucher, J.F.; Chaine, P.; Mas, J.L.; et al. Consensus sur les indications de la fermeture endovasculaire du foramen ovale perméable après un accident ischémique cérébral. Arch Mal Cœur Vaiss. 2007, 100, 771–774. [Google Scholar] [CrossRef]
  64. Barnett, H.J.; Boughner, D.R.; Taylor, D.W.; Cooper, P.E.; Kostuk, W.J.; Nichol, P.M. Further evidence relating mitral-valve prolapse to cerebral ischemic events. N Engl J Med. 1980, 302, 139–144. [Google Scholar] [CrossRef]
  65. Freed, L.A.; Levy, D.; Levine, R.A.; et al. Prevalence and clinical outcome of mitral-valve prolapse. N Engl J Med. 1999, 341, 1–7. [Google Scholar] [CrossRef] [PubMed]
  66. Gilon, D.; Buonanno, F.S.; Joffe, M.M.; et al. Lack of evidence of an association between mitral-valve prolapse and stroke in young patients. N Engl J Med. 1999, 341, 8–13. [Google Scholar] [CrossRef] [PubMed]
  67. Savage, D.D.; Garrison, R.J.; Castelli, W.P.; et al. Prevalence of submitral (anular) calcium and its correlates in a general population-based sample (the Framingham Study). Am J Cardiol. 1983, 51, 1375–1378. [Google Scholar]
  68. Benjamin, E.J.; Plehn, J.F.; D’Agostino, R.B.; et al. Mitral annular calcification and the risk of stroke in an elderly cohort. N Engl J Med. 1992, 327, 374–379. [Google Scholar] [CrossRef] [PubMed]
  69. Adler, Y.; Fink, N.; Spector, D.; Wiser, I.; Sagie, A. Mitral annulus calcification:a window to diffuse atherosclerosis of the vascular system. Atherosclerosis. 2001, 155, 1–8. [Google Scholar]
  70. Boon, A.; Lodder, J.; Cheriex, E.; Kessels, F. Mitral annulus calcification and carotid atherosclerotic disease. Stroke. 1999, 30, 693. [Google Scholar]
  71. Magarey, F.R. On the mode of formation of Lambl’s excrescences and their relation to chronic thickening of the mitral valve. J Pathol Bacteriol. 1949, 61, 203–208. [Google Scholar] [CrossRef]
  72. Freedberg, R.S.; Goodkin, G.M.; Perez, J.L.; Tunick, P.A.; Kronzon, I. Valve strands are strongly associated with systemic embolization: a transesophageal echocardiographic study. J Am Coll Cardiol. 1995, 26, 1709–12. [Google Scholar]
  73. Cohen, A.; Tzourio, C.; Chauvel, C.; et al. Mitral valve strands and the risk of ischemic stroke in elderly patients. The French Study of Aortic Plaques in Stroke (FAPS) Investigators. Circulation. 1997, 96, 3838–3841. [Google Scholar] [CrossRef]
  74. Orsinelli, D.A.; Pearson, A.C. Detection of prosthetic valve strands by transesophageal echocardiography: clinical significance in patients with suspected cardiac source of embolism. J Am Coll Cardiol. 1995, 26, 1713–1718. [Google Scholar] [CrossRef][Green Version]
Figure 1. Thrombus auriculaire gauche chez une patiente en fibrillation auriculaire, visualisé en ETO à 58 degrés.
Figure 1. Thrombus auriculaire gauche chez une patiente en fibrillation auriculaire, visualisé en ETO à 58 degrés.
Cardiovascmed 13 00006 g001
Figure 2. Thrombus mobile du VG chez un patient hospitalisé pour AIC et porteur d’une séquelle apicale, visualisé en ETT par la fenêtre apicale.
Figure 2. Thrombus mobile du VG chez un patient hospitalisé pour AIC et porteur d’une séquelle apicale, visualisé en ETT par la fenêtre apicale.
Cardiovascmed 13 00006 g002
Figure 3. Végétation en bâton de tambour, de plus de 5 mm, sur le segment P3 de la valve mitrale postérieure, visualisée en ETT (fenêtre parasternale petit axe).
Figure 3. Végétation en bâton de tambour, de plus de 5 mm, sur le segment P3 de la valve mitrale postérieure, visualisée en ETT (fenêtre parasternale petit axe).
Cardiovascmed 13 00006 g003
Figure 4. Trois thrombi mobiles dans la crosse aortique, visualisés en ETO à 0°.
Figure 4. Trois thrombi mobiles dans la crosse aortique, visualisés en ETO à 0°.
Cardiovascmed 13 00006 g004
Figure 5. Volumineuse plaque complexe hypoéchogène de la crosse aortique visualisée en ETO à 0°.
Figure 5. Volumineuse plaque complexe hypoéchogène de la crosse aortique visualisée en ETO à 0°.
Cardiovascmed 13 00006 g005
Figure 6. Anévrisme du septum interauriculaire avec excursion de 11.5 mm vers l’OD, mesurée en ETO à 85° chez une patiente admise en réanimation pour AIC massif.
Figure 6. Anévrisme du septum interauriculaire avec excursion de 11.5 mm vers l’OD, mesurée en ETO à 85° chez une patiente admise en réanimation pour AIC massif.
Cardiovascmed 13 00006 g006
Figure 7. Epreuve de contraste très positive, en ETO, chez la même patiente qu’en 6, ventilée pour AIC massif.
Figure 7. Epreuve de contraste très positive, en ETO, chez la même patiente qu’en 6, ventilée pour AIC massif.
Cardiovascmed 13 00006 g007
Figure 8. Filament valvulaire (strand) sur la valve aortique.
Figure 8. Filament valvulaire (strand) sur la valve aortique.
Cardiovascmed 13 00006 g008

Share and Cite

MDPI and ACS Style

Benyounes, N.; Haddour, N.; Cohen, A. Echocardiographie et Sources Cardiaques d'embolie. Cardiovasc. Med. 2010, 13, 6. https://doi.org/10.4414/cvm.2010.01468

AMA Style

Benyounes N, Haddour N, Cohen A. Echocardiographie et Sources Cardiaques d'embolie. Cardiovascular Medicine. 2010; 13(1):6. https://doi.org/10.4414/cvm.2010.01468

Chicago/Turabian Style

Benyounes, Nadia, Nabila Haddour, and Ariel Cohen. 2010. "Echocardiographie et Sources Cardiaques d'embolie" Cardiovascular Medicine 13, no. 1: 6. https://doi.org/10.4414/cvm.2010.01468

APA Style

Benyounes, N., Haddour, N., & Cohen, A. (2010). Echocardiographie et Sources Cardiaques d'embolie. Cardiovascular Medicine, 13(1), 6. https://doi.org/10.4414/cvm.2010.01468

Article Metrics

Back to TopTop