Toxic Encephalopathy and Methemoglobinemia after 5-Amino-2-(trifluoromethyl)pyridine Poisoning
Abstract
1. Introduction
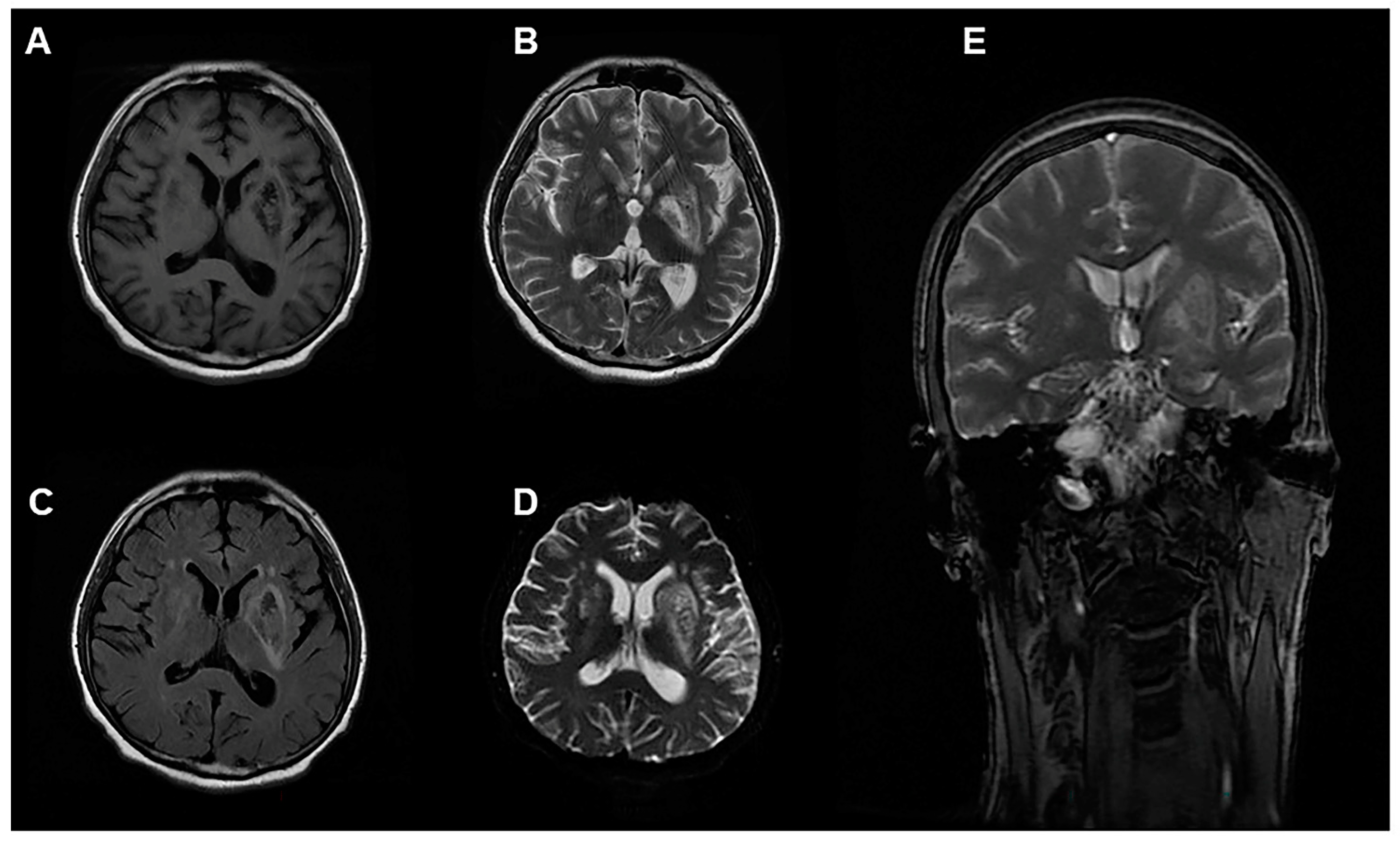
2. Case Presentation
3. Discussing
4. Conclusions
Author Contributions
Funding
Institutional Review Board Statement
Informed Consent Statement
Data Availability Statement
Conflicts of Interest
References
- National Center for Biotechnology Information. PubChem Compound Summary for CID 2737744, 5-Amino-2-(Trifluoromethyl) Pyridine. 2022. Available online: https://pubchem.ncbi.nlm.nih.gov/compound/2737744 (accessed on 24 August 2022).
- Armitage, I.; Fu, M.; Hicks, F.; Kattuboina, A.; Li, J.S.N.; McCarron, A.; Zhu, L. The use of Chloroformamidine hydrochloride as a reagent for the synthesis of guanidines from electron deficient aromatic amines. J. Heterocycl. Chem. 2017, 54, 728–734. [Google Scholar] [CrossRef]
- Debenham, S.D.; Chan, A.; Liu, K.; Price, K.; Wood, H.B. A convenient one-pot synthesis of 4-, 6-, and 7-azaindoles from aminopyridines. Tetrahedron Lett. 2005, 46, 2283–2285. [Google Scholar] [CrossRef]
- Iwersen-Bergmann, S.; Schmoldt, A. Acute intoxication with aniline: Detection of acetaminophen as aniline metabolite. Int. J. Legal Med. 2000, 113, 171–174. [Google Scholar] [CrossRef] [PubMed]
- Harvey, J.W.; Keitt, A.S. Studies of the efficacy and potential hazards of methylene blue therapy in aniline-induced methaemoglobinaemia. Br. J. Haematol. 1983, 54, 29–41. [Google Scholar] [CrossRef] [PubMed]
- Iolascon, A.; Bianchi, P.; Andolfo, I.; Russo, R.; Barcellini, W.; Fermo, E.; Toldi, G.; Ghirardello, S.; Rees, D.; Van Wijk, R.; et al. Recommendations for diagnosis and treatment of methemoglobinemia. Am. J. Hematol. 2021, 96, 1666–1678. [Google Scholar] [CrossRef] [PubMed]
- Shi, L.; Yu, G.; Zhao, L.; Wen, Z.; Li, Y.; Kan, B.; Jian, X. Methemoglobinemia and delayed encephalopathy after 5-Bromo-2-Nitropyridine poisoning: A rare case report. Front. Public Health 2022, 10, 942003. [Google Scholar] [CrossRef] [PubMed]
- Wright, R.O.; Lewander, W.J.; Woolf, A.D. Methemoglobinemia: Etiology, pharmacology, and clinical management. Ann. Emerg. Med. 1999, 34, 646–656. [Google Scholar] [CrossRef]
- Cannata, G.; Abate, L.; Scarabello, C.; Rubini, M.; Giacometti, A.; Principi, N.; Esposito, S.; Dodi, I. The dose makes the poison: A case report of acquired methemoglobinemia. Int. J. Environ. Res. Public Health 2020, 17, 1845. [Google Scholar] [CrossRef] [PubMed]
- D’sa, S.R.; Victor, P.; Jagannati, M.; Sudarsan, T.I.; Carey, R.A.B.; Peter, J.V. Severe methemoglobinemia due to ingestion of toxicants. Clin. Toxicol. 2014, 52, 897–900. [Google Scholar] [CrossRef] [PubMed]
- Centers for Disease Control and Prevention (CDC). Severe methemoglobinemia and hemolytic anemia from aniline purchased as 2C-E (4-ethyl-2,5-dimethoxyphenethylamine), a recreational drug, on the Internet—Oregon. Morb. Mortal. Wkly. Rep. 2012, 61, 85–88. [Google Scholar]
- Yiming, T.; Jie, H.; Yongsheng, L. Autoimmune hemolytic anemia in patients with relapsed Hodgkin’s lymphoma after treatment with penpulimab, a monoclonal antibody against programmed death receptor-1. Investig. New Drugs 2022, 40, 854–857. [Google Scholar] [CrossRef]
- Mele, C.; Remuzzi, G.; Noris, M. Hemolytic uremic syndrome. Semin. Immunopathol. 2014, 36, 399–420. [Google Scholar] [CrossRef] [PubMed]
- Chang, K.H.; Han, M.H.; Kim, H.S.; Wie, B.A.; Han, M.C. Delayed encephalopathy after acute carbon monoxide intoxication: MR imaging features and distribution of cerebral white matter lesions. Radiology 1992, 184, 117–122. [Google Scholar] [CrossRef] [PubMed]
- Wen, Z.; Dai, P.; Zhou, Z.; Guo, L.; Zhang, T.; Genjiafu, A.; Jian, T.; Li, Y.; Kan, B.; Jian, X. Case Report: Toxic encephalopathy caused by repeated inhalation of liquid sealant. Front. Public Health 2022, 10, 920310. [Google Scholar] [CrossRef] [PubMed]
- Swor, D.E.; Sharp, F.R.; Jickling, G.C. Clinical Reasoning: A case of altered mental status, not otherwise specified. Neurology 2017, 89, e154–e158. [Google Scholar] [CrossRef] [PubMed]
- Mak, R.S.P.; Liebelt, E.L. Methylene blue: An antidote for methemoglobinemia and beyond. Pediatr. Emerg. Care 2021, 37, 474–477. [Google Scholar] [CrossRef]


| Parameters | 10 h after Disease Onset | 12 h after Disease Onset | 3 Days after Disease Onset | 7 Days after Disease Onset | 19 Days after Disease Onset | 25 Days after Disease Onset | Normal Values |
|---|---|---|---|---|---|---|---|
| WBC (×109/L) | 14.05 | - | 18.19 | 15.78 | 10.35 | 8.67 | 3.5–9.5 |
| RBC (×1012/L) | 5.26 | - | 4.54 | 2.78 | 4.19 | 4.22 | 4.3–5.8 |
| Retic (×109/L) | 367.8 | 219.2 | 112.1 | 24–84 | |||
| HGB (g/L) | 159 | - | 129 | 69 | 131 | 136 | 130–175 |
| PLT (×109/L) | 197 | - | 104 | 65 | 180 | 191 | 125–350 |
| LDH (U/L) | 3231 | 3973 | 2926 | 763 | 317 | 313–618 | |
| ALT (U/L) | 96 | - | 142 | 127 | 23 | 25 | 9–50 |
| AST (U/L) | 101 | - | 181 | 136 | 19 | 17 | 15–40 |
| DBIL (μmol/L) | 7 | - | 9.1 | 13.1 | 2.7 | 2.1 | 0–5 |
| IBIL (μmol/L) | 18 | - | 27 | 35.3 | 11.8 | 9.7 | 0–19 |
| BUN (mmol/L) | 9.1 | - | 18.7 | 32.8 | 16.6 | 5.8 | 3.2–7.1 |
| Cr (μmol/L) | 181 | - | 296 | 676 | 317 | 99 | 57–97 |
| PO2 (mmHg) | 191 | 221 | 91 | - | - | - | 80–100 |
| SaO2 | 81.70 | 93.30 | 96 | - | - | - | >94% |
| MetHb | 39.40 | 20.10 | 3.1 | <1% | <1% | - | <1% |
Publisher’s Note: MDPI stays neutral with regard to jurisdictional claims in published maps and institutional affiliations. |
© 2022 by the authors. Licensee MDPI, Basel, Switzerland. This article is an open access article distributed under the terms and conditions of the Creative Commons Attribution (CC BY) license (https://creativecommons.org/licenses/by/4.0/).
Share and Cite
Tao, Y.; Shi, L.; Han, J.; Jian, X.; Li, Y. Toxic Encephalopathy and Methemoglobinemia after 5-Amino-2-(trifluoromethyl)pyridine Poisoning. Int. J. Environ. Res. Public Health 2022, 19, 14031. https://doi.org/10.3390/ijerph192114031
Tao Y, Shi L, Han J, Jian X, Li Y. Toxic Encephalopathy and Methemoglobinemia after 5-Amino-2-(trifluoromethyl)pyridine Poisoning. International Journal of Environmental Research and Public Health. 2022; 19(21):14031. https://doi.org/10.3390/ijerph192114031
Chicago/Turabian StyleTao, Yiming, Longke Shi, Jie Han, Xiangdong Jian, and Yongsheng Li. 2022. "Toxic Encephalopathy and Methemoglobinemia after 5-Amino-2-(trifluoromethyl)pyridine Poisoning" International Journal of Environmental Research and Public Health 19, no. 21: 14031. https://doi.org/10.3390/ijerph192114031
APA StyleTao, Y., Shi, L., Han, J., Jian, X., & Li, Y. (2022). Toxic Encephalopathy and Methemoglobinemia after 5-Amino-2-(trifluoromethyl)pyridine Poisoning. International Journal of Environmental Research and Public Health, 19(21), 14031. https://doi.org/10.3390/ijerph192114031
