Investigation of Antioxidant Activity of Protein Hydrolysates from New Zealand Commercial Low-Grade Fish Roes
Abstract
1. Introduction
2. Results and Discussion
2.1. Proximate Composition
2.2. Fatty Acid Composition
2.3. Phospholipid Composition
2.4. Enzyme Activity Assessment Using Casein as a substrate
2.5. Enzyme Activity on Hoki Roe and Gemfish Roe
2.6. Determination of Degree of Hydrolysis (DH)
2.6.1. Fresh Roe Homogenate without Delipidation
2.6.2. Fresh and Delipidation
2.6.3. Freeze-Dried without Delipidation
2.6.4. Freeze-Dried and Delipidation
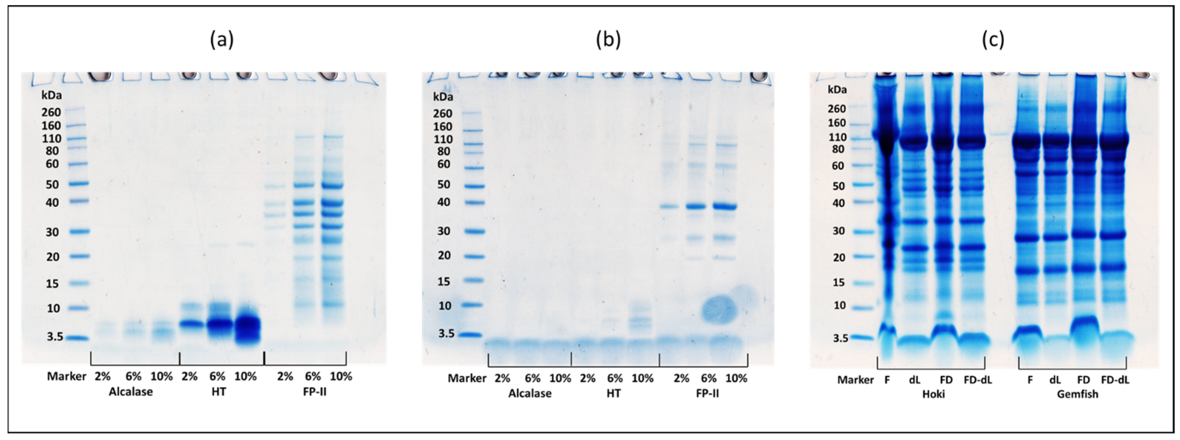
2.7. SDS-PAGE Analysis
2.8. Antioxidant Activity
2.8.1. Antioxidant Activity of Different Enzyme Treatments and Fish Roe
2.8.2. Antioxidant Activity of Fish Roe Homogenates from Fresh, Fresh-Delipidated, Freeze-Dried and Freeze-Dried-Delipidated Treatments
2.8.3. Antioxidant Activity of Different Treatments and Enzyme Treatments
3. Materials and Methods
3.1. Chemicals and Reagents
3.2. Sample and Protease Preparations
3.3. Proximate Composition
3.4. Fatty Acid Analysis by GC-FID
3.5. Phospholipid Analysis by 31P NMR
3.6. Enzyme Activity Assessment Using Casein, Hoki, and Gemfish Roe Homogenates as Substrates
3.7. Determination of Degree of Hydrolysis
3.8. SDS-PAGE Protein Profile of Hoki and Gemfish Roe Hydrolysates
3.9. Antioxidant Activity
3.10. Statistical Analysis
4. Conclusions
Supplementary Materials
Author Contributions
Funding
Institutional Review Board Statement
Data Availability Statement
Acknowledgments
Conflicts of Interest
References
- Bunga, S.; Carne, A.; Bekhit, A.E.-D.A. Chapter 3—Composition and Nutrition of Fish Roes. In Fish Roe; Bekhit, A.E.-D.A., Ed.; Academic Press: Cambridge, MA, USA, 2022; pp. 41–92. ISBN 978-0-12-819893-3. [Google Scholar]
- Yu, Z.; Ji, H.; Shen, J.; Kan, R.; Zhao, W.; Li, J.; Ding, L.; Liu, J. Identification and Molecular Docking Study of Fish Roe-Derived Peptides as Potent BACE 1, AChE, and BChE Inhibitors. Food Funct. 2020, 11, 6643–6651. [Google Scholar] [CrossRef] [PubMed]
- Hu, Y.-D.; Xi, Q.-H.; Kong, J.; Zhao, Y.-Q.; Chi, C.-F.; Wang, B. Angiotensin-I-Converting Enzyme (ACE)-Inhibitory Peptides from the Collagens of Monkfish (Lophius litulon) Swim Bladders: Isolation, Characterization, Molecular Docking Analysis and Activity Evaluation. Mar. Drugs 2023, 21, 516. [Google Scholar] [CrossRef] [PubMed]
- Intarasirisawat, R.; Benjakul, S.; Visessanguan, W.; Wu, J. Antioxidative and Functional Properties of Protein Hydrolysate from Defatted Skipjack (Katsuwonous pelamis) Roe. Food Chem. 2012, 135, 3039–3048. [Google Scholar] [CrossRef] [PubMed]
- Chalamaiah, M.; Jyothirmayi, T.; Bhaskarachary, K.; Vajreswari, A.; Hemalatha, R.; Dinesh Kumar, B. Chemical Composition, Molecular Mass Distribution and Antioxidant Capacity of Rohu (Labeo rohita) Roe (Egg) Protein Hydrolysates Prepared by Gastrointestinal Proteases. Food Res. Int. 2013, 52, 221–229. [Google Scholar] [CrossRef]
- Rajabzadeh, M.; Pourashouri, P.; Shabanpour, B.; Alishahi, A. Amino Acid Composition, Antioxidant and Functional Properties of Protein Hydrolysates from the Roe of Rainbow Trout (Oncorhynchus mykiss). Int. J. Food Sci. Technol. 2018, 53, 313–319. [Google Scholar] [CrossRef]
- Chalamaiah, M.; Jyothirmayi, T.; Diwan, P.V.; Dinesh Kumar, B. Antioxidant Activity and Functional Properties of Enzymatic Protein Hydrolysates from Common Carp (Cyprinus carpio) Roe (Egg). J. Food Sci. Technol. 2015, 52, 5817–5825. [Google Scholar] [CrossRef]
- Ghelichi, S.; Sørensen, A.-D.M.; García-Moreno, P.J.; Hajfathalian, M.; Jacobsen, C. Physical and Oxidative Stability of Fish Oil-in-Water Emulsions Fortified with Enzymatic Hydrolysates from Common Carp (Cyprinus carpio) Roe. Food Chem. 2017, 237, 1048–1057. [Google Scholar] [CrossRef][Green Version]
- Zhang, C.; Gao, S.; Zhang, C.; Zhang, Y.; Liu, H.; Hong, H.; Luo, Y. Evaluating in Vitro Dipeptidyl Peptidase IV Inhibition by Peptides from Common Carp (Cyprinus carpio) Roe in Cell Culture Models. Eur. Food Res. Technol. 2020, 246, 179–191. [Google Scholar] [CrossRef]
- Chen, Y.; Han, P.; Ma, B.; Wang, X.; Ma, M.; Qiu, N.; Fu, X. Effect of Thermal Treatment on the Antioxidant Activity of Egg White Hydrolysate and the Preparation of Novel Antioxidant Peptides. Int. J. Food Sci. Technol. 2022, 57, 2590–2599. [Google Scholar] [CrossRef]
- Adeoti, I.A.; Hawboldt, K. A Review of Lipid Extraction from Fish Processing By-Product for Use as a Biofuel. Biomass Bioenergy 2014, 63, 330–340. [Google Scholar] [CrossRef]
- Yang, J.-I.; Tang, J.-Y.; Liu, Y.-S.; Wang, H.-R.; Lee, S.-Y.; Yen, C.-Y.; Chang, H.-W. Roe Protein Hydrolysates of Giant Grouper (Epinephelus lanceolatus) Inhibit Cell Proliferation of Oral Cancer Cells Involving Apoptosis and Oxidative Stress. BioMed Res. Int. 2016, 2016, 8305073. [Google Scholar] [CrossRef] [PubMed]
- Ahmmed, M.K.; Carne, A.; Tian, H.; Bekhit, A.E.-D.A. Use of Fungal and Bacterial Protease Preparations to Enhance Extraction of Lipid from Fish Roe: Effect on Lipidomic Profile of Extracted Oil. Food Chem. X 2022, 16, 100499. [Google Scholar] [CrossRef]
- Ryder, K.; Ha, M.; Bekhit, A.E.-D.; Carne, A. Characterisation of Novel Fungal and Bacterial Protease Preparations and Evaluation of Their Ability to Hydrolyse Meat Myofibrillar and Connective Tissue Proteins. Food Chem. 2015, 172, 197–206. [Google Scholar] [CrossRef] [PubMed]
- Ryder, K.; Bekhit, A.E.-D.; McConnell, M.; Carne, A. Towards Generation of Bioactive Peptides from Meat Industry Waste Proteins: Generation of Peptides Using Commercial Microbial Proteases. Food Chem. 2016, 208, 42–50. [Google Scholar] [CrossRef] [PubMed]
- Bekhit, A.E.-D.A.; Duncan, A.; Bah, C.S.F.; Ahmed, I.A.M.; Al-Juhaimi, F.Y.; Amin, H.F. Impact of Fermentation Conditions on the Physicochemical Properties, Fatty Acid and Cholesterol Contents in Salted-Fermented Hoki Roe. Food Chem. 2018, 264, 73–80. [Google Scholar] [CrossRef] [PubMed]
- Bah, C.S.F.; Bekhit, A.E.-D.A.; Fang, E.F.; Ng, T.B.; McConnell, M.A.; Bekhit, A.A.; Morton, J.D. Physicochemical Properties and Bioactivity of Extracts from the Roe of New Zealand Hoki and Southern Blue Whiting. J. Aquat. Food Prod. Technol. 2016, 25, 1234–1248. [Google Scholar] [CrossRef]
- Bekhit, A.E.-D.A.; Morton, J.D.; Dawson, C.O.; Zhao, J.H.; Lee, H.Y.Y. Impact of Maturity on the Physicochemical and Biochemical Properties of Chinook Salmon Roe. Food Chem. 2009, 117, 318–325. [Google Scholar] [CrossRef]
- Vasconi, M.; Tirloni, E.; Stella, S.; Coppola, C.; Lopez, A.; Bellagamba, F.; Bernardi, C.; Moretti, V.M. Comparison of Chemical Composition and Safety Issues in Fish Roe Products: Application of Chemometrics to Chemical Data. Foods 2020, 9, 540. [Google Scholar] [CrossRef] [PubMed]
- Ahmmed, M.K.; Carne, A.; Ahmmed, F.; Stewart, I.; Tian, H.; Bekhit, A.E.-D.A. Positional Distribution of Fatty Acids and Phospholipid Composition in King Salmon (Oncorhynchus tshawytscha) Head, Roe and Skin Using Nuclear Magnetic Resonance Spectroscopy. Food Chem. 2021, 363, 130302. [Google Scholar] [CrossRef]
- Ahmmed, M.K.; Ahmmed, F.; Carne, A.; Tian, H.; Bekhit, A.E.-D.A. Chapter 4—Fish Roe Phospholipids and Health: Composition, Extraction, Storage and Brain Health Application. In Fish Roe; Bekhit, A.E.-D.A., Ed.; Academic Press: Cambridge, MA, USA, 2022; pp. 93–142. ISBN 978-0-12-819893-3. [Google Scholar]
- Bledsoe, G.E.; Bledsoe, C.D.; Rasco, B. Caviars and Fish Roe Products. Crit. Rev. Food Sci. Nutr. 2003, 43, 317–356. [Google Scholar] [CrossRef]
- Shirai, N.; Higuchi, T.; Suzuki, H. Analysis of Lipid Classes and the Fatty Acid Composition of the Salted Fish Roe Food Products, Ikura, Tarako, Tobiko and Kazunoko. Food Chem. 2006, 94, 61–67. [Google Scholar] [CrossRef]
- Haq, M.; Chun, B.-S. Characterization of Phospholipids Extracted from Atlantic Salmon By-Product Using Supercritical CO2 with Ethanol as Co-Solvent. J. Clean. Prod. 2018, 178, 186–195. [Google Scholar] [CrossRef]
- Prabhakara Rao, P.G.; Balaswamy, K.; Narsing Rao, G.; Jyothirmayi, T. Lipid Classes, Fatty Acid and Phospholipid Composition of Roe Lipids from Catla catla and Cirrhinus mrigala. Int. Food Res. J. 2013, 20, 275–279. [Google Scholar]
- Ahmmed, M.K.; Bunga, S.; Stewart, I.; Tian, H.; Carne, A.; Bekhit, A.E.-D.A. Simple and Efficient One-Pot Extraction Method for Phospholipidomic Profiling of Total Oil and Lecithin by Phosphorus-31 Nuclear Magnetic Resonance Measurements. J. Agric. Food Chem. 2020, 68, 14286–14296. [Google Scholar] [CrossRef] [PubMed]
- Glade, M.J.; Smith, K. Phosphatidylserine and the Human Brain. Nutrition 2015, 31, 781–786. [Google Scholar] [CrossRef] [PubMed]
- Cupp-Enyard, C. Sigma’s Non-Specific Protease Activity Assay—Casein as a Substrate. JoVE J. Vis. Exp. 2008, 19, e899. [Google Scholar] [CrossRef]
- Cui, Q.; Sun, Y.; Zhou, Z.; Cheng, J.; Guo, M. Effects of Enzymatic Hydrolysis on Physicochemical Properties and Solubility and Bitterness of Milk Protein Hydrolysates. Foods 2021, 10, 2462. [Google Scholar] [CrossRef]
- Guo, M.R.; Fox, P.F.; Flynn, A.; Kindstedt, P.S. Susceptibility of β-Lactoglobulin and Sodium Caseinate to Proteolysis by Pepsin and Trypsin. J. Dairy Sci. 1995, 78, 2336–2344. [Google Scholar] [CrossRef]
- Ustadi; Kim, K.Y.; Kim, S.M. Comparative Study on the Protease Inhibitors from Fish Eggs. J. Ocean Univ. China 2005, 4, 198–204. [Google Scholar] [CrossRef]
- Normah, I.; Jamilah, B.; Saari, N.; Yaakob, B.C.M. Optimization of Hydrolysis Conditions for the Production of Threadfin Bream (Nemipterus japonicus) Hydrolysate by Alcalase. J. Muscle Foods 2005, 16, 87–102. [Google Scholar] [CrossRef]
- Luo, Q.; Chen, D.; Boom, R.M.; Janssen, A.E.M. Revisiting the Enzymatic Kinetics of Pepsin Using Isothermal Titration Calorimetry. Food Chem. 2018, 268, 94–100. [Google Scholar] [CrossRef] [PubMed]
- Shu, G.; Zhang, B.; Zhang, Q.; Wan, H.; Li, H. Effect of Temperature, pH, Enzyme to Substrate Ratio, Substrate Concentration and Time on the Antioxidative Activity of Hydrolysates from Goat Milk Casein by Alcalase. Acta Univ. Cibiniensis Ser. E Food Technol. 2016, 20, 29–38. [Google Scholar] [CrossRef]
- Vlieg, P.; Body, D.R. Lipid Contents and Fatty Acid Composition of Some New Zealand Freshwater Finfish and Marine Finfish, Shellfish, and Roes. N. Z. J. Mar. Freshw. Res. 1988, 22, 151–162. [Google Scholar] [CrossRef]
- Reed, M.C.; Lieb, A.; Nijhout, H.F. The Biological Significance of Substrate Inhibition: A Mechanism with Diverse Functions. BioEssays 2010, 32, 422–429. [Google Scholar] [CrossRef] [PubMed]
- Hamel, F.G. Preliminary Report: Inhibition of Cellular Proteasome Activity by Free Fatty Acids. Metabolism 2009, 58, 1047–1049. [Google Scholar] [CrossRef] [PubMed]
- Storch, J.; McDermott, L. Structural and Functional Analysis of Fatty Acid-Binding Proteins. J. Lipid Res. 2009, 50, S126–S131. [Google Scholar] [CrossRef]
- Kumar, S.; Garcia-Carreño, F.; Chakrabarti, R.; Toro, M.; Córdova-Murueta, J. Digestive Proteases of Three Carps Catla catla, Labeo rohita and Hypophthalmichthys molitrix: Partial Characterization and Protein Hydrolysis Efficiency. Aquac. Nutr. 2007, 13, 381–388. [Google Scholar] [CrossRef]
- Noman, A.; Jiang, Q.; Xu, Y.; Ali, A.H.; Al-Bukhaiti, W.Q.; Abed, S.M.; Xia, W. Influence of Degree of Hydrolysis on Chemical Composition, Functional Properties, and Antioxidant Activities of Chinese Sturgeon (Acipenser sinensis) Hydrolysates Obtained by Using Alcalase 2.4 L. J. Aquat. Food Prod. Technol. 2019, 28, 583–597. [Google Scholar] [CrossRef]
- Ghelichi, S.; Shabanpour, B.; Pourashouri, P.; Hajfathalian, M.; Jacobsen, C. Extraction of Unsaturated Fatty Acid-Rich Oil from Common Carp (Cyprinus carpio) Roe and Production of Defatted Roe Hydrolysates with Functional, Antioxidant, and Antibacterial Properties. J. Sci. Food Agric. 2018, 98, 1407–1415. [Google Scholar] [CrossRef]
- Ai, Y.; Hasjim, J.; Jane, J. Effects of Lipids on Enzymatic Hydrolysis and Physical Properties of Starch. Carbohydr. Polym. 2013, 92, 120–127. [Google Scholar] [CrossRef]
- Palsdottir, H.; Hunte, C. Lipids in Membrane Protein Structures. Biochim. Biophys. Acta BBA Biomembr. 2004, 1666, 2–18. [Google Scholar] [CrossRef] [PubMed]
- Vorob’ev, M.M. Modeling of Proteolysis of β-Lactoglobulin and β-Casein by Trypsin with Consideration of Secondary Masking of Intermediate Polypeptides. Int. J. Mol. Sci. 2022, 23, 8089. [Google Scholar] [CrossRef]
- Kleekayai, T.; O’Neill, A.; Clarke, S.; Holmes, N.; O’Sullivan, B.; FitzGerald, R.J. Contribution of Hydrolysis and Drying Conditions to Whey Protein Hydrolysate Characteristics and In Vitro Antioxidative Properties. Antioxidants 2022, 11, 399. [Google Scholar] [CrossRef] [PubMed]
- Carpenter, J.F.; Izutsu, K.I.; Randolph, T.W. Freezing- and Drying-Induced Perturbations of Protein Structure and Mechanisms of Protein Protection by Stabilizing Additives. In Freeze-Drying/Lyophilization of Pharmaceutical and Biological Products; CRC Press: Boca Raton, FL, USA, 2010; ISBN 978-0-429-15185-9. [Google Scholar]
- Murueta, J.H.C.; Navarrete del Toro, M.d.l.Á.; Carreño, F.G. Concentrates of Fish Protein from Bycatch Species Produced by Various Drying Processes. Food Chem. 2007, 100, 705–711. [Google Scholar] [CrossRef]
- Dong, Y.; Yan, W.; Zhang, Y.-Q. Effects of Spray Drying and Freeze Drying on Physicochemical Properties, Antioxidant and ACE Inhibitory Activities of Bighead Carp (Aristichthys nobilis) Skin Hydrolysates. Foods 2022, 11, 2083. [Google Scholar] [CrossRef]
- Pokhariyal, R.; Basnet, B.; Gupta, A.K.; Sehrawat, U.; Jain, S.K.; Hariprasad, G. Effect of Lipid on Gel Based Electrophoretic Proteomic Experiments. J. Proteins Proteom. 2014, 5, 121–124. [Google Scholar]
- Elmalimadi, M.B.; Jovanović, J.R.; Stefanović, A.B.; Tanasković, S.J.; Djurović, S.B.; Bugarski, B.M.; Knežević-Jugović, Z.D. Controlled Enzymatic Hydrolysis for Improved Exploitation of the Antioxidant Potential of Wheat Gluten. Ind. Crops Prod. 2017, 109, 548–557. [Google Scholar] [CrossRef]
- Zheng, Z.; Li, J.; Chen, Y.; Sun, H.; Liu, Y. Preparation and Characterization of Lipophilic Antioxidative Peptides Derived from Mung Bean Protein. Food Chem. 2022, 395, 133535. [Google Scholar] [CrossRef]
- Maadane, A.; Merghoub, N.; Ainane, T.; El Arroussi, H.; Benhima, R.; Amzazi, S.; Bakri, Y.; Wahby, I. Antioxidant Activity of Some Moroccan Marine Microalgae: Pufa Profiles, Carotenoids and Phenolic Content. J. Biotechnol. 2015, 215, 13–19. [Google Scholar] [CrossRef]
- Huang, Z.; Brennan, C.; Zhao, H.; Guan, W.; Mohan, M.S.; Stipkovits, L.; Zheng, H.; Liu, J.; Kulasiri, D. Milk Phospholipid Antioxidant Activity and Digestibility: Kinetics of Fatty Acids and Choline Release. J. Funct. Foods 2020, 68, 103865. [Google Scholar] [CrossRef]
- Zhu, Y.; Zheng, X.; Zeng, Q.; Zhong, R.; Guo, Y.; Shi, F.; Liang, P. The Inhibitory Effect of Large Yellow Croaker Roe Phospholipid as a Potential Antioxidant on Fish Oil Oxidation Stability. Food Biosci. 2023, 56, 103291. [Google Scholar] [CrossRef]
- Vu, D.T.; Kletthagen, M.C.; Elvevoll, E.O.; Falch, E.; Jensen, I.-J. Simulated Digestion of Red Sea Cucumber (Parastichopus tremulus): A Study of Protein Quality and Antioxidant Activity. Appl. Sci. 2024, 14, 3267. [Google Scholar] [CrossRef]
- Ahmmed, M.K.; Carne, A.; Tian, H.; Bekhit, A.E.-D.A. The Effect of Pulsed Electric Fields on the Extracted Total Lipid Yield and the Lipidomic Profile of Hoki Roe. Food Chem. 2022, 384, 132476. [Google Scholar] [CrossRef] [PubMed]
- Brand-Williams, W.; Cuvelier, M.E.; Berset, C. Use of a Free Radical Method to Evaluate Antioxidant Activity. LWT—Food Sci. Technol. 1995, 28, 25–30. [Google Scholar] [CrossRef]
- Re, R.; Pellegrini, N.; Proteggente, A.; Pannala, A.; Yang, M.; Rice-Evans, C. Antioxidant Activity Applying an Improved ABTS Radical Cation Decolorization Assay. Free Radic. Biol. Med. 1999, 26, 1231–1237. [Google Scholar] [CrossRef] [PubMed]
- Benzie, I.F.F.; Strain, J.J. The Ferric Reducing Ability of Plasma (FRAP) as a Measure of “Antioxidant Power”: The FRAP Assay. Anal. Biochem. 1996, 239, 70–76. [Google Scholar] [CrossRef]







| Sample | Hoki Roe (mg/100 g Fresh Weight) | Gemfish Roe (mg/100 g Fresh Weight) | Hoki Roe (% Fatty Acids) | Gemfish Roe (% Fatty Acids) |
|---|---|---|---|---|
| C14:0 | 210.7 ± 35.5 A | 62.1 ± 5.5 B | 3.0 ± 0.09 A | 1.4 ± 0.09 B |
| C14:1 | 16.8 ± 1.8 | ND | 4.8 ± 0.2 | ND |
| C15:0 | 28.4 ± 2.2 A | 9.7 ± 0.5 B | 0.4 ± 0.01 A | 0.2 ± 0.01 B |
| C16:0 | 1020.8 ± 110.8 A | 568.3 ± 41.7 B | 14.8 ± 0.30 A | 12.5 ± 0.30 B |
| C16:1 | 39.2 ± 6.3 A | 11.5 ± 0.8 B | 0.6 ± 0.06 A | 0.3 ± 0.01 B |
| C17:0 | 55.0 ± 3.3 A | 23.6 ± 3.0 B | 0.8 ± 0.02 A | 0.5 ± 0.02 B |
| C17:1 | 383.2 ± 94.1 A | 132.2 ± 6.5 B | 5.5 ± 0.29 A | 2.9 ± 0.29 B |
| C18:0 | 163.2 ± 29.1 B | 199.3 ± 33.2 A | 2.4 ± 0.26 B | 4.4 ± 0.26 A |
| C18:1 tn-9 | 63.3 ± 20.2 A | 21.0 ± 2.7 B | 0.9 ± 0.08 A | 0.5 ± 0.08 B |
| C18:1 cn-9 | 1641.0 ± 292 | 1330.7 ± 61 | 23.7 ± 1.94 B | 29.4 ± 0.61 A |
| C18:1 n-11 | 267.2 ± 43.3 | 192.8 ± 11.1 | 3.9 ± 0.25 B | 4.3 ± 0.28 A |
| C18:2 tn-6 | 27.4 ± 6.1 | ND | 0.4 ± 0.05 | ND |
| C18:2 cn-6 | 82.1 ± 8.2 A | 50.9 ± 5.2 B | 1.2 ± 0.03 | 1.1 ± 0.08 |
| C18:3 n-3 | 31.1 ± 2.6 | 26.1 ± 2.8 | 0.5 ± 0.03 B | 0.6 ± 0.05 A |
| C20:0 | 39.9 ± 6.4 A | 14.8 ± 3.3 B | 0.6 ± 0.12 A | 0.3 ± 0.08 B |
| C20:1 | 324.5 ± 52.1 A | 165.1 ± 13.9 B | 4.7 ± 0.58 | 3.6 ± 0.21 |
| C20:2 | 17.3 ± 2.3 A | 10.7 ± 1.4 B | 0.3 ± 0.02 | 0.2 ± 0.03 |
| C20:3 n-3 | 63.0 ± 9.4 B | 80.2 ± 4.3 A | 0.9 ± 0.15 B | 1.7 ± 0.04 A |
| C22:0 | 94.6 ± 16.5 A | 52.3 ± 5.6 B | 1.4 ± 0.30 | 1.2 ± 0.09 |
| C22:1 n-9 | 23.5 ± 8.3 | 14.7 ± 0.9 | 0.3 ± 0.10 | 0.3 ± 0.02 |
| C20:5 n-3 (EPA) | 551.5 ± 36.6 A | 258.1 ± 18.1 B | 8.1 ± 0.90 A | 5.7 ± 0.41 B |
| C24:0 | 18.7 ± 2.6 B | 17.1 ± 2.1 A | 0.3 ± 0.03 B | 0.4 ± 0.04 A |
| C24:1 | 25.0 ± 5.4 A | 13.3 ± 0.7 B | 0.4 ± 0.05 A | 0.3 ± 0.004 B |
| C22:5n-3 (DPA) | 132.5 ± 16.2 B | 193.8 ± 14.5 A | 1.9 ± 0.30 B | 4.3 ± 0.20 A |
| C22:6 n-3 (DHA) | 1275.3 ± 67.0 | 972.1 ± 71.0 | 18.6 ± 1.63 B | 21.4 ± 0.59 A |
| Unknown | 233.8 ± 68.5 A | 111.5 ± 22.4 B | 3.4 ± 0.83 | 2.4 ± 0.40 |
| SFA | 1631.3 ± 0.58 A | 947.2 ± 0.21 B | 23.7 ± 1.35 A | 20.9 ± 0.62 B |
| MUFA | 2783.7 ± 2.83 | 1881.3 ± 0.64 | 40.2 ± 1.01 | 41.5 ± 4.40 |
| PUFA | 2180.2 ± 2.76 | 1591.9 ± 0.56 | 31.8 ± 1.31 B | 35.1 ± 1.12 A |
| n-3 | 2048.4 ± 0.52 | 1535.3 ± 0.52 | 30.0 ± 0.91 B | 33.8 ± 0.91 A |
| n-6 | 109.5 ± 0.05 A | 50.9 ± 0.05 B | 1.36 ± 0.03 B | 1.84 ± 0.03 A |
| n-6/n-3 | 0.064 | 0.039 | 0.045 | 0.054 |
| Items | Hoki Roe (%) | Gemfish Roe (%) | Hoki Roe (µM/100 g Wet Tissue) | Gemfish Roe (µM/100 g Wet Tissue) |
|---|---|---|---|---|
| PA | 6.1 ± 3.0 A | 7.3 ± 1.3 A | 59.1 ± 25.2 | 71.5 ± 25.2 |
| PG | 6.1 ± 1.1 A | 4.8 ± 0.3 B | 52.0 ± 20.3 A | 42.7 ± 6.8 A |
| CL | 2.6 ± 0.9 A | 3.4 ± 1.4 A | 20.7 ± 4.2 B | 28.4 ± 6.2 A |
| LPE | ND | ND | ND | ND |
| LPS | 27.4 ± 7.0 A | 33.3 ± 8.8 A | 247.0 ± 14.2 A | 323.7 ± 15.9 A |
| SM | 2.6 ± 0.3 A | 2.6 ± 0.1 A | 21.9 ± 5.9 A | 24.9 ± 5.6 A |
| LDPG | 10.1 ± 1.8 A | 9.2 ± 1.9 A | 86.0 ± 33.2 A | 83.2 ± 8.1 A |
| PS | 3.4 ± 1.4 A | 1.9 ± 1.1 A | 26.7 ± 7.0 A | 18.3 ± 7.2 A |
| PI | 4.1 ± 1.8 A | 3.6 ± 0.6 A | 34.1 ± 18.0 A | 33.5 ± 7.7 A |
| PC | 28.7 ± 6.2 A | 34.6 ± 6.5 A | 231.0 ± 42.6 B | 313 ± 28.2 A |
| Enzyme | Concentration (µL/mL or mg/mL) | U/mL Protease | Total Protein (mg/g) | Specific Activity µmol/min/g Substrate of Protein |
|---|---|---|---|---|
| Hoki roe as a substrate | ||||
| Alcalase | 1 | 1077 ± 0.001 | 166.4 ± 61.7 | 6.5 × 106 ± 6.0 × 103 |
| HT | 1 | 710 ± 0.0219 | 669.9 ± 23.8 | 1.1 × 106 ± 2.8 × 104 |
| FP-II | 1 | 221 ± 0.01 | 427.4 ± 15.5 | 5.2 × 105 ± 2.3 × 104 |
| Gemfish roe as a substrate | ||||
| Alcalase | 1 | 698 ± 0.02 | 166.4 ± 61.7 | 4.2 × 106 ± 9.0 × 104 |
| HT | 1 | 633 ± 0.02 | 669.9 ± 23.8 | 9.5 × 105 ± 2.7 × 104 |
| FP-II | 1 | 314 ± 0.01 | 427.4 ± 15.5 | 7.4 × 105 ± 2.1 × 104 |
Disclaimer/Publisher’s Note: The statements, opinions and data contained in all publications are solely those of the individual author(s) and contributor(s) and not of MDPI and/or the editor(s). MDPI and/or the editor(s) disclaim responsibility for any injury to people or property resulting from any ideas, methods, instructions or products referred to in the content. |
© 2024 by the authors. Licensee MDPI, Basel, Switzerland. This article is an open access article distributed under the terms and conditions of the Creative Commons Attribution (CC BY) license (https://creativecommons.org/licenses/by/4.0/).
Share and Cite
Li, S.; Carne, A.; Bekhit, A.E.-D.A. Investigation of Antioxidant Activity of Protein Hydrolysates from New Zealand Commercial Low-Grade Fish Roes. Mar. Drugs 2024, 22, 364. https://doi.org/10.3390/md22080364
Li S, Carne A, Bekhit AE-DA. Investigation of Antioxidant Activity of Protein Hydrolysates from New Zealand Commercial Low-Grade Fish Roes. Marine Drugs. 2024; 22(8):364. https://doi.org/10.3390/md22080364
Chicago/Turabian StyleLi, Shuxian, Alan Carne, and Alaa El-Din Ahmed Bekhit. 2024. "Investigation of Antioxidant Activity of Protein Hydrolysates from New Zealand Commercial Low-Grade Fish Roes" Marine Drugs 22, no. 8: 364. https://doi.org/10.3390/md22080364
APA StyleLi, S., Carne, A., & Bekhit, A. E.-D. A. (2024). Investigation of Antioxidant Activity of Protein Hydrolysates from New Zealand Commercial Low-Grade Fish Roes. Marine Drugs, 22(8), 364. https://doi.org/10.3390/md22080364

