An Investigation of the Relationship Between Pancreas Volume, Nutritional Status, and HbA1c in Geriatric Patients
Abstract
1. Introduction
2. Materials and Methods
2.1. Data Collection
2.2. CT Acquisition
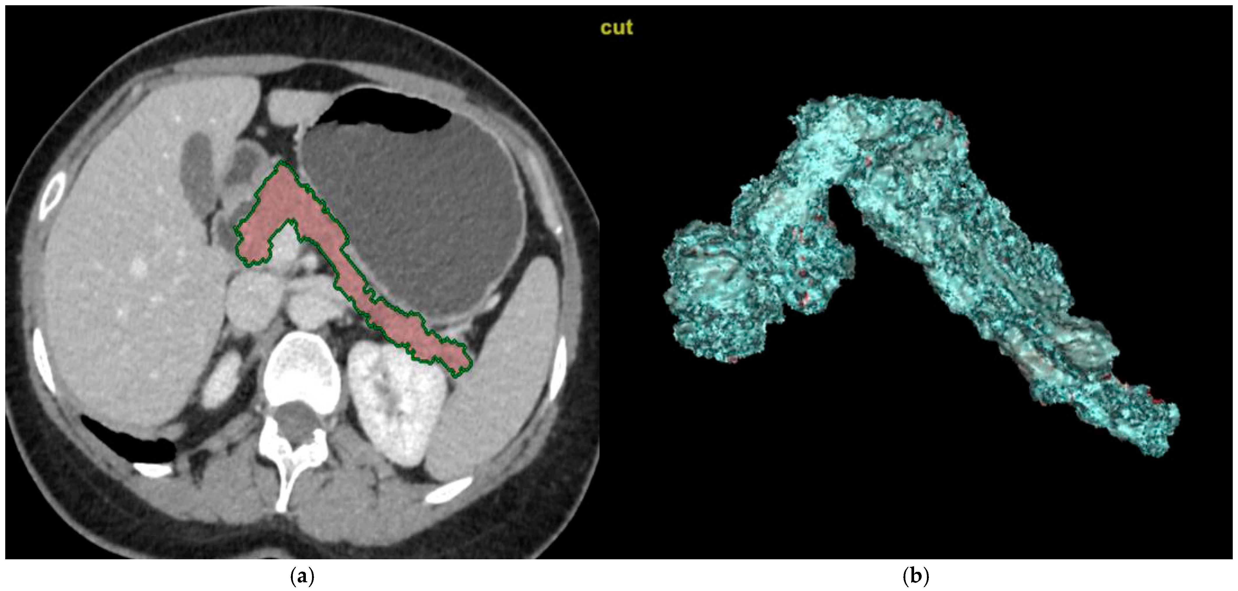
2.3. Image Analysis
2.4. Statistical Analysis
3. Results
4. Discussion
5. Conclusions
Author Contributions
Funding
Institutional Review Board Statement
Informed Consent Statement
Data Availability Statement
Conflicts of Interest
Abbreviations
| PV | Pancreas volume |
| HbA1c | Glycolyzed hemoglobin A1c |
| DM | Diabetes mellitus |
| CT | Computed tomography |
| HDL | High density lipoprotein |
| MNAsf | Mini Nutritional Assessment Short Form |
| CAD | Coronary artery disease |
| HT | Hypertension |
| MRI | Magnetic resonance imaging |
| BMI | Body mass index |
References
- Beard, J.R.; Officer, A.; de Carvalho, I.A.; Sadana, R.; Pot, A.M.; Michel, J.-P.; Lloyd-Sherlock, P.; Epping-Jordan, J.E.; Peeters, G.M.E.E.G.; Mahanani, W.R.; et al. The World report on ageing and health: A policy framework for healthy ageing. Lancet 2016, 387, 2145–2154. [Google Scholar] [CrossRef] [PubMed]
- Rowe, J.W.; Kahn, R.L. Successful aging. Gerontologist 1997, 37, 433–440. [Google Scholar] [CrossRef]
- Löhr, J.M.; Panic, N.; Vujasinovic, M.; Verbeke, C.S. The ageing pancreas: A systematic review of the evidence and analysis of the consequences. J. Intern. Med. 2018, 283, 446–460. [Google Scholar] [CrossRef] [PubMed]
- Geraghty, E.M.; Boone, J.M.; McGahan, J.P.; Jain, K. Normal organ volume assessment from abdominal CT. Abdom. Imaging 2004, 29, 482–490. [Google Scholar] [CrossRef] [PubMed]
- Matsuda, Y. Age-related pathological changes in the pancreas. Front. Biosci. 2018, 10, 137–142. [Google Scholar] [CrossRef]
- DeSouza, S.V.; Singh, R.G.; Yoon, H.D.; Murphy, R.; Plank, L.D.; Petrov, M.S. Pancreas volume in health and disease: A systematic review and meta-analysis. Expert Rev. Gastroenterol. Hepatol. 2018, 12, 757–766. [Google Scholar] [CrossRef]
- Schrader, H.; Menge, B.A.; Schneider, S.; Belyaev, O.; Tannapfel, A.; Uhl, W.; Schmidt, W.E.; Meier, J.J. Reduced pancreatic volume and beta-cell area in patients with chronic pancreatitis. Gastroenterology 2009, 136, 513–522. [Google Scholar] [CrossRef]
- Min, M.; Patel, B.D.; Han, S.; Bocelli, L.D.; Kheder, J.; Vaze, A.; Wassef, W. Exocrine Pancreatic Insufficiency and Malnutrition in Chronic Pancreatitis: Identification, Treatment, and Consequences. Pancreas 2018, 47, 1015–1018. [Google Scholar] [CrossRef]
- Li, L.; Wang, S.; Wang, F.; Huang, G.-N.; Zhang, D.; Wang, G.-X. Normal pancreatic volume assessment using abdominal computed tomography volumetry. Medicine 2021, 100, e27096. [Google Scholar] [CrossRef]
- Avanesov, M.; Löser, A.; Smagarynska, A.; Keller, S.; Guerreiro, H.; Tahir, E.; Karul, M.; Adam, G.; Yamamura, J. Clinico-radiological comparison and short-term prognosis of single acute pancreatitis and recurrent acute pancreatitis including pancreatic volumetry. PLoS ONE 2018, 13, e0206062. [Google Scholar] [CrossRef]
- Miyamoto, R.; Oshiro, Y.; Sano, N.; Inagawa, S.; Ohkohchi, N. Three-Dimensional Remnant Pancreatic Volumetry Predicts Postoperative Pancreatic Fistula in Pancreatic Cancer Patients after Pancreaticoduodenectomy. Gastrointest. Tumors 2019, 5, 90–99. [Google Scholar] [CrossRef] [PubMed]
- Klupp, F.; Klauss, M.; Rahbari, N.N.; Felix, K.; Hinz, U.; Manglberger, I.; Bergmann, F.; Gaida, M.M.; Hackert, T.; Strobel, O.; et al. Volume changes of the pancreatic head remnant after distal pancreatectomy. Surgery 2020, 167, 455–467. [Google Scholar] [CrossRef]
- Macauley, M.; Percival, K.; Thelwall, P.E.; Hollingsworth, K.G.; Taylor, R. Altered volume, morphology and composition of the pancreas in type 2 diabetes. PLoS ONE 2015, 10, e0126825. [Google Scholar] [CrossRef]
- Djuric-Stefanovic, A.; Masulovic, D.; Kostic, J.; Randjic, K.; Saranovic, D. CT volumetry of normal pancreas: Correlation with the pancreatic diameters measurable by the cross-sectional imaging, and relationship with the gender, age, and body constitution. Surg. Radiol. Anat. 2012, 34, 811–817. [Google Scholar] [CrossRef]
- Yoon, J.; Kim, K.G.; Kim, Y.J.; Lim, S.; Park, Y.-H.; Kim, D.; Kang, H.-T.; Lee, D.-H. Distribution and Characteristics of Pancreatic Volume Using Computed Tomography Volumetry. Healthc. Inform. Res. 2020, 26, 321–327. [Google Scholar] [CrossRef] [PubMed]
- Vellas, B.; Villars, H.; Abellan, G.; Soto, M.E.; Rolland, Y.; Guigoz, Y.; Morley, J.E.; Chumlea, W.; Salva, A.; Rubenstein, L.Z. Overview of the MNA—Its history and challenges. J. Nutr. Health Aging 2006, 10, 456–463. [Google Scholar]
- Rubenstein, L.Z.; Harker, J.O.; Salvà, A.; Guigoz, Y.; Vellas, B. Screening for undernutrition in geriatric practice: Developing the short-form mini-nutritional assessment (MNA-SF). J. Gerontol. Ser. A Biol. Sci. Med. Sci. 2001, 56, M366–M372. [Google Scholar] [CrossRef] [PubMed]
- Heuck, A.; Maubach, P.A.; Reiser, M.; Feuerbach, S.; Allgayer, B.; Lukas, P.; Kahn, T. Age-related morphology of the normal pancreas on computed tomography. Gastrointest. Radiol. 1987, 12, 18–22. [Google Scholar] [CrossRef]
- Oz, I.I.; Bilici, M.; Serifoglu, I.; Karakaya Arpaci, D.; Buyukuysal, M.C.; Bayraktaroglu, T. Association of Pancreas Volume and Insulin Resistance with Abdominal Fat Distribution in Type-2 Diabetes as Evaluated by Computed Tomography. Acta Endocrinol. 2017, 13, 168–173. [Google Scholar] [CrossRef]
- Goda, K.; Goda, K.; Sasaki, E.; Nagata, K.; Fukai, M.; Ohsawa, N.; Hahafusa, T. Pancreatic volume in type 1 and type 2 diabetes mellitus. Acta Diabetol. 2001, 38, 145–149. [Google Scholar] [CrossRef]
- Noda, Y.; Goshima, S.; Tsuji, Y.; Kajita, K.; Kawada, H.; Kawai, N.; Tanahashi, Y.; Matsuo, M. Correlation of quantitative pancreatic T(1) value and HbA1c value in subjects with normal and impaired glucose tolerance. J. Magn. Reson. Imaging 2019, 49, 711–718. [Google Scholar] [CrossRef]
- Iwamoto, Y.; Kimura, T.; Tatsumi, F.; Sugisaki, T.; Kubo, M.; Nakao, E.; Dan, K.; Wamata, R.; Iwamoto, H.; Takahashi, K.; et al. Association between changes in pancreatic morphology and vascular complications in subjects with type 2 diabetes mellitus: A retrospective study. Sci. Rep. 2022, 12, 17166. [Google Scholar] [CrossRef] [PubMed]
- Palmer, A.K.; Gustafson, B.; Kirkland, J.L.; Smith, U. Cellular senescence: At the nexus between ageing and diabetes. Diabetologia 2019, 62, 1835–1841. [Google Scholar] [CrossRef]
- Aguayo-Mazzucato, C. Functional changes in beta cells during ageing and senescence. Diabetologia 2020, 63, 2022–2029. [Google Scholar] [CrossRef] [PubMed]
- Morley, J.E. Diabetes and aging: Epidemiologic overview. Clin. Geriatr. Med. 2008, 24, 395–405. [Google Scholar] [CrossRef] [PubMed]
- Gunasekaran, U.; Gannon, M. Type 2 diabetes and the aging pancreatic beta cell. Aging 2011, 3, 565–575. [Google Scholar] [CrossRef]
- Zhu, M.; Liu, X.; Liu, W.; Lu, Y.; Cheng, J.; Chen, Y. β cell aging and age-related diabetes. Aging 2021, 13, 7691–7706. [Google Scholar] [CrossRef]
- Dubowitz, N.; Xue, W.; Long, Q.; Ownby, J.G.; Olson, D.E.; Barb, D.; Rhee, M.K.; Mohan, A.V.; Watson-Williams, P.I.; Jackson, S.L.; et al. Aging is associated with increased HbA1c levels, independently of glucose levels and insulin resistance, and also with decreased HbA1c diagnostic specificity. Diabet. Med. 2014, 31, 927–935. [Google Scholar] [CrossRef]
- Niederau, C.; Sonnenberg, A.; E Müller, J.; Erckenbrecht, J.F.; Scholten, T.; Fritsch, W.P. Sonographic measurements of the normal liver, spleen, pancreas, and portal vein. Radiology 1983, 149, 537–540. [Google Scholar] [CrossRef]
- Migdalis, I.N.; Voudouris, G.; Kalogeropoulou, K.; Iliopoulou, V.; Koutoulidis, K.; Samartzis, M. Size of the pancreas in non-insulin-dependent diabetic patients. J. Med. 1991, 22, 179–186. [Google Scholar]
- Zeng, N.; Wang, Y.; Cheng, Y.; Huang, Z.; Song, B. Imaging evaluation of the pancreas in diabetic patients. Abdom. Radiol. 2022, 47, 715–726. [Google Scholar] [CrossRef] [PubMed]
- Phillip, V.; Zahel, T.; Bärtl, K.; Rasch, S.; Ebert, O.; Schmid, R.M.; Rummeny, E.; Algül, H. Influence of Sorafenib and Bevacizumab on pancreatic volume—A monocentric CT based analysis. Pancreatology 2016, 16, 621–624. [Google Scholar] [CrossRef] [PubMed]
- Lindkvist, B. Diagnosis and treatment of pancreatic exocrine insufficiency. World J. Gastroenterol. 2013, 19, 7258–7266. [Google Scholar] [CrossRef]
- Pezzilli, R.; Andriulli, A.; Bassi, C.; Balzano, G.; Cantore, M.; Delle Fave, G.; Falconi, M.; Frulloni, L. Exocrine pancreatic insufficiency in adults: A shared position statement of the Italian Association for the Study of the Pancreas. World J. Gastroenterol. 2013, 19, 7930–7946. [Google Scholar] [CrossRef]
- Altay, M. Which factors determine exocrine pancreatic dysfunction in diabetes mellitus? World J. Gastroenterol. 2019, 25, 2699–2705. [Google Scholar] [CrossRef]
- Chantarojanasiri, T.; Hirooka, Y.; Ratanachu-ek, T.; Kawashima, H.; Ohno, E.; Goto, H. Evolution of pancreas in aging: Degenerative variation or early changes of disease? J. Med. Ultrason. 2015, 42, 177–183. [Google Scholar] [CrossRef] [PubMed]
- Milne, A.C.; Potter, J.; Vivanti, A.; Avenell, A. Protein and energy supplementation in elderly people at risk from malnutrition. Cochrane Database Syst. Rev. 2009, 2009, Cd003288. [Google Scholar] [CrossRef]
- Sanz-Paris, A.; Fernández, M.G.; Perez-Nogueras, J.; Serrano-Oliver, A.; Torres-Anoro, E.; Sanz-Arque, A.; Arbones-Mainar, J.M. Prevalence of Malnutrition and 1-Year All-Cause Mortality in Institutionalized Elderly Patients Comparing Different Combinations of the GLIM Criteria. J. Parenter. Enter. Nutr. 2021, 45, 1164–1171. [Google Scholar] [CrossRef]
- Pongprasobchai, S. Maldigestion from pancreatic exocrine insufficiency. J. Gastroenterol. Hepatol. 2013, 28 (Suppl. 4), 99–102. [Google Scholar] [CrossRef]
- Saisho, Y.; Butler, A.; Meier, J.; Monchamp, T.; Allen-Auerbach, M.; Rizza, R.; Butler, P. Pancreas volumes in humans from birth to age one hundred taking into account sex, obesity, and presence of type-2 diabetes. Clin. Anat. 2007, 20, 933–942. [Google Scholar] [CrossRef]
- Meier, J.M.; Alavi, A.; Iruvuri, S.; Alzeair, S.; Parker, R.; Houseni, M.; Hernandez-Pampaloni, M.; Mong, A.; Torigian, D.A. Assessment of age-related changes in abdominal organ structure and function with computed tomography and positron emission tomography. Semin. Nucl. Med. 2007, 37, 154–172. [Google Scholar] [CrossRef] [PubMed]
- Domínguez-Muñoz, J.E.; Hardt, P.D.; Lerch, M.M.; Löhr, M.J. Potential for Screening for Pancreatic Exocrine Insufficiency Using the Fecal Elastase-1 Test. Dig. Dis. Sci. 2017, 62, 1119–1130. [Google Scholar] [CrossRef] [PubMed]
- Roh, E.; Kim, K.M.; Park, K.S.; Kim, Y.J.; Chun, E.J.; Choi, S.H.; Jang, H.C.; Lim, S. Comparison of pancreatic volume and fat amount linked with glucose homeostasis between healthy Caucasians and Koreans. Diabetes Obes. Metab. 2018, 20, 2642–2652. [Google Scholar] [CrossRef] [PubMed]



| All Patients (N = 109) | DM (−) (n = 54) | DM (+) (n = 55) | p Value | |
|---|---|---|---|---|
| Age (year) * | 77.40 ± 7.32 | 78 ± 7.76 | 76.81 ± 6.89 | 0.470 |
| Gender, F ** | 59 (54.1) | 25 (46.3) | 34 (61.8) | 0.104 |
| Comorbidities (+) ** | ||||
| HT | 70 (64.2) | 28 (51.9) | 42 (76.4) | 0.008 |
| CAD | 34 (31.2) | 11 (20.4) | 23 (41.8) | 0.016 |
| Dementia | 30 (27.5) | 12 (22.2) | 18 (32.7) | 0.220 |
| COPD | 17 (15.6) | 11 (20.4) | 6 (10.9) | 0.173 |
| CVD | 14 (12.8) | 8 (14.8) | 6 (10.9) | 0.542 |
| CHF | 13 (11.9) | 5 (9.3) | 8 (14.5) | 0.395 |
| Non-Pancreatic Malignancy | 9 (10.5) | 7 (14) | 2 (5.6) | 0.207 |
| MNAsf score * | 8.03 ± 3.94 | 7.15 ± 3.70 | 9.66 ± 3.94 | 0.028 |
| All Patients (N = 109) | DM (−) (n = 54) | DM (+) (n = 55) | p Value | |
|---|---|---|---|---|
| Glucose (mg/dL) | 125.86 ± 52.75 | 104.56 ± 25.50 | 146.38 ± 63.35 | <0.001 |
| HbA1c (%) | 6.57 ± 1.80 | 5.58 ± 0.63 | 7.50 ± 2.04 | <0.001 |
| Vitamin D (nmol/L) | 47.80 ± 33.31 | 45.90 ± 32.68 | 49.62 ± 34.12 | 0.581 |
| Vitamin B12 (ng/L) | 552 ± 395 | 543 ± 432 | 562 ± 358 | 0.311 |
| Ferritin (µg/L) | 180 ± 358 | 223 ± 435 | 136 ± 252 | 0.095 |
| Folat (ng/L) | 11.96 ± 9.79 | 12.90 ± 11.51 | 11.06 ± 7.78 | 0.937 |
| Amylase (U/L) | 70.14 ± 45.40 | 72.92 ± 45.04 | 67.41 ± 46 | 0.202 |
| Lipase (U/L) | 37.10 ± 18.94 | 38.60 ± 19.94 | 35.65 ± 17.98 | 0.363 |
| Hemoglobin | 11.46 ± 2.14 | 11.41 ± 2.16 | 11.51 ± 2.13 | 0.961 |
| Albumin (g/dL) | 3.68 ± 0.73 | 3.64 ± 0.71 | 3.73 ± 0.74 | 0.418 |
| HDL cholesterol | 40.89 ± 17.04 | 46.77 ± 19.12 | 35.12 ± 12.38 | <0.001 |
| LDL cholesterol | 95.33 ± 34.89 | 98.33 ± 37.03 | 92.33 ± 32.68 | 0.258 |
| Triglyceride | 131.80 ± 50.07 | 115.88 ± 45.89 | 147.42 ± 49.46 | <0.001 |
| ALT | 20.10 ± 12.64 | 19.90 ± 13.97 | 20.29 ± 11.31 | 0.466 |
| PV (cm3) | 47.96 ± 20.52 | 52.12 ± 20.62 | 43.87 ± 19.76 | 0.028 |
| 65–74 Years | ≥75 Years | p Value | |
|---|---|---|---|
| Diabetes Mellitus (+) * | 22 (40) | 33 (60) | 0.604 |
| HbA1c (%) | 6.88 ± 2.05 | 6.38 ± 1.62 | 0.245 |
| Glucose (mg/dL) | 128.29 ± 57.44 | 124.37 ± 50.05 | 0.562 |
| Vitamin D (nmol/L) | 47.91 ± 31.30 | 47.73 ± 34.71 | 0.751 |
| Vitamin B12 (ng/L) | 458 ± 267 | 608 ± 446 | 0.079 |
| Hemoglobin | 11.96 ± 2.01 | 11.16 ± 2.17 | 0.061 |
| Albumin (g/dL) | 3.93 ± 0.64 | 3.53 ± 0.74 | 0.006 |
| Total protein | 6.31 ± 0.70 | 5.96 ± 0.88 | 0.050 |
| PV (cm3) | 51.77 ± 21.66 | 45.66 ± 19.60 | 0.201 |
| Male | Female | p Value | |
|---|---|---|---|
| Diabetes Mellitus * | 34 (61.8) | 21 (38.2) | 0.104 |
| HbA1c (%) | 6.29 ± 1.45 | 6.79 ± 2.02 | 0.426 |
| Glucose (mg/dL) | 123.78 ± 42.97 | 127.65 ± 60.24 | 0.637 |
| Vitamin D (nmol/L) | 42 ± 31.92 | 52.37 ± 33.94 | 0.071 |
| Vitamin B12 (ng/L) | 446 ± 272 | 641 ± 457 | 0.012 |
| Hemoglobin | 11.61 ± 2.29 | 11.34 ± 2.01 | 0.397 |
| Albumin (g/dL) | 3.71 ± 0.72 | 3.66 ± 0.74 | 0.677 |
| Total protein (g/dL) | 6.05 ± 0.85 | 6.12 ± 0.82 | 0.556 |
| PV (cm3) | 51.16 ± 21.35 | 45.25 ± 19.56 | 0.170 |
| PV | Age | MNAsf | Albumin | Amylase | Lipase | HbA1c | |
|---|---|---|---|---|---|---|---|
| Age | −0.145 | - | |||||
| MNAsf | 0.413 * | −0.337 * | - | ||||
| Albumin | 0.180 | −0.335 ** | 0.428 * | - | |||
| Amylase | 0.170 | −0.055 | 0.058 | 0.194 * | - | ||
| Lipase | 0.297 * | −0.042 | −0.050 | 0.129 | 0.520 ** | - | |
| HbA1c | −0.072 | −0.140 | 0.250 | 0.249 * | −0.289 * | −0.187 | - |
| Vitamin D | −0.082 | 0.007 | 0.133 | 0.086 | 0.147 | 0.142 | −0.081 |
| Vitamin B12 | −0.078 | 0.155 | −0.040 | −0.197 * | −0.093 | 0.003 | 0.001 |
Disclaimer/Publisher’s Note: The statements, opinions and data contained in all publications are solely those of the individual author(s) and contributor(s) and not of MDPI and/or the editor(s). MDPI and/or the editor(s) disclaim responsibility for any injury to people or property resulting from any ideas, methods, instructions or products referred to in the content. |
© 2025 by the authors. Published by MDPI on behalf of the Lithuanian University of Health Sciences. Licensee MDPI, Basel, Switzerland. This article is an open access article distributed under the terms and conditions of the Creative Commons Attribution (CC BY) license (https://creativecommons.org/licenses/by/4.0/).
Share and Cite
Tastemur, M.; Ozdemir, C.; Olcucuoğlu, E.; Besler, M.S.; Tekdemir, H.; Arik, G.; Silay, K. An Investigation of the Relationship Between Pancreas Volume, Nutritional Status, and HbA1c in Geriatric Patients. Medicina 2025, 61, 711. https://doi.org/10.3390/medicina61040711
Tastemur M, Ozdemir C, Olcucuoğlu E, Besler MS, Tekdemir H, Arik G, Silay K. An Investigation of the Relationship Between Pancreas Volume, Nutritional Status, and HbA1c in Geriatric Patients. Medicina. 2025; 61(4):711. https://doi.org/10.3390/medicina61040711
Chicago/Turabian StyleTastemur, Mercan, Cagla Ozdemir, Esin Olcucuoğlu, Muhammed Said Besler, Halil Tekdemir, Gunes Arik, and Kamile Silay. 2025. "An Investigation of the Relationship Between Pancreas Volume, Nutritional Status, and HbA1c in Geriatric Patients" Medicina 61, no. 4: 711. https://doi.org/10.3390/medicina61040711
APA StyleTastemur, M., Ozdemir, C., Olcucuoğlu, E., Besler, M. S., Tekdemir, H., Arik, G., & Silay, K. (2025). An Investigation of the Relationship Between Pancreas Volume, Nutritional Status, and HbA1c in Geriatric Patients. Medicina, 61(4), 711. https://doi.org/10.3390/medicina61040711

