Sarcoidosis-Associated Pulmonary Hypertension
Abstract
1. Introduction
2. Definition of SAPH
3. Epidemiology and Prognosis
4. Mechanism of Pulmonary Hypertension in Sarcoidosis
4.1. Pulmonary Arterial Hypertension and Pulmonary Venous Disease
4.2. Pulmonary Hypertension Secondary to Left Heart Disease
4.3. Pulmonary Hypertension Owing to Chronic Lung Disease
4.4. Chronic Thromboembolic Pulmonary Hypertension (CTEPH)
4.5. Other Mechanisms of SAPH
5. Diagnosis of SAPH
5.1. Medical History and Physical Examination
5.2. Chest X-Ray and CT Scan
5.3. Pulmonary Function and Exercise Test
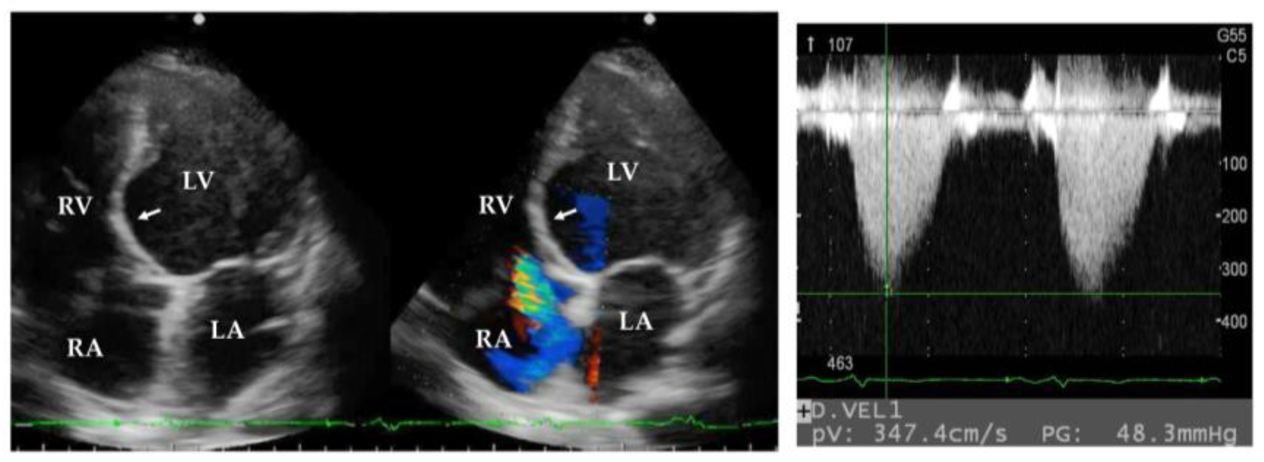
5.4. Echocardiography and Cardiac Catheter
5.5. 18F-Fluorodeoxyglucose-Positron Emission Tomography (FDG-PET)
6. Treatments
6.1. Corticosteroids
6.2. Anti-Inflammatory and Immunomodulatory Therapies
6.3. Endothelin Receptor Antagonists
6.4. Phosphodiesterase 5 Inhibitors and Soluble Guanylyl Cyclase Activator
6.5. Prostacyclins
6.6. Nitric Oxide
7. Conclusions
Author Contributions
Funding
Institutional Review Board Statement
Informed Consent Statement
Data Availability Statement
Acknowledgments
Conflicts of Interest
Abbreviations
| PH | Pulmonary hypertension |
| SAPH | Sarcoidosis-associated PH |
| TTE | Transthoracic echocardiography |
| RHC | Right heart catheterization |
| PAP | Pulmonary arterial pressure |
| WHO | World Health Organization |
| mPAP | Mean pulmonary arterial pressure |
| PAWP | Pulmonary arterial wedge pressure |
| PVR | Pulmonary vascular resistance |
| WU | Wood units |
| CO | Cardiac output |
| LV | Left ventricular |
| CTEPH | Chronic thromboembolic pulmonary hypertension |
| IL | Interleukin |
| AA | Ascending aorta |
| PASP | Pulmonary artery systolic pressure |
| FVC | Forced vital capacity |
| RV | Right ventricle |
| CT | Computed tomography |
| DLCO | Diffusing capacity of the lung for carbon monoxide |
| 6MWD | 6-min walk distance |
| 6MWT | 6-min walk test |
| FDG-PET | 18F-Fluorodeoxyglucose-positron emission tomography |
| PAH | Pulmonary arterial hypertension |
| SGRQ | St. George’s Respiratory Questionnaire |
| WHO-FC | World Health Organization functional classification |
| BNP | Brain natriuretic peptide |
| CI | Cardiac index |
| NYHA | New York Heart Association |
References
- Rizzato, G.; Pezzano, A.; Sala, G.; Merlini, R.; Ladelli, L.; Tansini, G.; Montanari, G.; Bertoli, L. Right heart impairment in sarcoidosis: Haemodynamic and echocardiographic study. Eur. J. Respir. Dis. 1983, 64, 21–28. [Google Scholar]
- Baughman, R.P.; Shlobin, O.A.; Wells, A.U.; Alhamad, E.H.; Culver, D.A.; Barney, J.; Cordova, F.C.; Carmona, E.M.; Scholand, M.B.; Wijsenbeek, M.; et al. Clinical features of sarcoidosis associated pulmonary hypertension: Results of a multi-national registry. Respir. Med. 2018, 139, 72–78. [Google Scholar] [CrossRef] [PubMed]
- Parikh, K.S.; Dahhan, T.; Nicholl, L.; Ruopp, N.; Pomann, G.M.; Fortin, T.; Tapson, V.F.; Rajagopal, S. Clinical features and outcomes of patients with sarcoidosis-associated pulmonary hypertension. Sci. Rep. 2019, 9, 4061. [Google Scholar] [CrossRef]
- Humbert, M.; Kovacs, G.; Hoeper, M.M.; Badagliacca, R.; Berger, R.M.F.; Brida, M.; Carlsen, J.; Coats, A.J.S.; Escribano-Subias, P.; Ferrari, P.; et al. 2022 ESC/ERS Guidelines for the diagnosis and treatment of pulmonary hypertension. Eur. Heart J. 2022, 43, 3618–3731. [Google Scholar] [CrossRef] [PubMed]
- Badesch, D.B.; Champin, H.C.; Gomez Sanchez, M.A.; Hoeper, M.M.; Loyd, J.E.; Manes, A.; McGoon, M.; Naeije, R.; Olschewski, H.; Oudiz, R.J.; et al. Diagnosis and assessment of pulmonary arterial hypertension. J. Am. Coll. Cardiol. 2009, 54, S55–S66. [Google Scholar] [CrossRef]
- Simonneau, G.; Robbins, I.M.; Beghetti, M.; Channick, R.N.; Delcroix, M.; Denton, C.P.; Elliott, C.G.; Gaine, S.P.; Gladwin, M.T.; Jing, Z.C.; et al. Update clinical classification of pulmonary hypertension. J. Am. Coll. Cardiol. 2009, 54, S43–S54. [Google Scholar] [CrossRef] [PubMed]
- Simonneau, G.; Gatzoulis, M.A.; Adatia, I.; Celermajer, D.; Denton, C.; Ghofrani, A.; Gomez Sanchez, M.A.; Krishna Kumar, R.; Landzberg, M.; Machado, R.F.; et al. Update clinical classification of pulmonary hypertension. J. Am. Coll. Cardiol. 2013, 62, D34–D41. [Google Scholar] [CrossRef]
- Handa, T.; Nagai, S.; Miki, S.; Fushimi, Y.; Ohta, K.; Mishima, M.; Izumi, T. Incidence of pulmonary hypertension and its clinical relevance in patients with sarcoidosis. Chest 2006, 129, 1246–1252. [Google Scholar] [CrossRef]
- Maimon, N.; Salz, L.; Shershevsky, Y.; Matveychuk, A.; Guber, A.; Shitrit, D. Sarcoidosis-associated pulmonary hypertension in patients with near-normal lung function. Int. J. Tuberc. Lung Dis. 2013, 17, 406–411. [Google Scholar] [CrossRef]
- Shorr, A.F.; Helman, D.L.; Davies, D.B.; Nathan, S.D. Pulmonary hypertension in advanced sarcoidosis epidemiology and clinical characteristics. Eur. Respir. J. 2005, 25, 783–788. [Google Scholar] [CrossRef] [PubMed]
- Baughman, R.P.; Engel, P.J.; Taylor, L.; Lower, E.E. Survival in sarcoidosis-associated pulmonary hypertension: The importance of hemodynamic evaluation. Chest 2010, 138, 1078–1085. [Google Scholar] [CrossRef]
- Sulica, R.; Teirstein, S.A.; Kakarla, S.; Nemani, N.; Behnegar, A.; Padilla, M.L. Distinctive clinical, radiographic, and functional characteristics of patients with sarcoidosis-related pulmonary hypertension. Chest 2005, 128, 1483–1489. [Google Scholar] [CrossRef]
- Rapti, A.; Kouranos, V.; Gialafos, E.; Aggeli, K.; Moyssakis, J.; Kallianos, A.; Kostopoulos, C.; Anagnostopoulou, O.; Sfikakis, P.P.; Wells, A.U.; et al. Elevated pulmonary arterial systolic pressure in patients with sarcoidosis: Prevalence and risk factors. Lung 2013, 191, 61–67. [Google Scholar] [CrossRef]
- Bonham, C.A.; Oldham, J.M.; Gomberg-Maitland, M.; Vij, R. Prostacycline and oral vasodilator therapy in sarcoidosis-associated pulmonary hypertension: A retrospective case series. Chest 2015, 148, 1055–1062. [Google Scholar] [CrossRef] [PubMed]
- Shorr, A.F.; Davies, D.B.; Nathan, S.D. Predicting mortality in patients with sarcoidosis awaiting lung transplantation. Chest 2003, 124, 922–928. [Google Scholar] [CrossRef]
- Baughman, R.P.; Culver, D.A.; Cordova, F.C.; Padilla, M.; Gibson, K.F.; Lower, E.E.; Engel, P.J. Bosentan for sarcoidosis-associated pulmonary hypertension: A double-blind placebo controlled randomized trial. Chest 2014, 145, 810–817. [Google Scholar] [CrossRef] [PubMed]
- Iannuzzi, M.C.; Rybicki, B.A.; Teirstein, A.S. Sarcoidosis. N. Engl. J. Med. 2007, 357, 2153–2165. [Google Scholar] [CrossRef]
- Corte, T.J.; Wells, A.U.; Nicholson, A.G. Pulmonary hypertension in sarcoidosis: A review. Respirology 2011, 16, 69–77. [Google Scholar] [CrossRef] [PubMed]
- Takemura, T.; Matsui, Y.; Saiki, S.; Mikami, R. Pulmonary vascular involvement in sarcoidosis: A report of 40 autopsy cases. Human Pathol. 1992, 23, 1216–1223. [Google Scholar] [CrossRef] [PubMed]
- Tayal, S.; Voelkel, N.F.; Rai, P.R.; Cool, C.D. Sarcoidosis and pulmonary hypertension—A case report. Eur. J. Med. Res. 2006, 11, 194–197. [Google Scholar]
- Vachiery, J.L.; Adir, Y.; Barbera, J.A.; Champion, H.; Coghlan, J.G.; Cottin, V.; De Marco, T.; Galiè, N.; Ghio, S.; Gibbs, J.S.; et al. Pulmonary hypertension due to left heart disease. J. Am. Coll. Cardiol. 2013, 62, D100–D108. [Google Scholar] [CrossRef]
- Dickinson, M.G.; Bartelds, B.; Borgdoff, M.A.J.; Berger, R.M.F. The role of distributed blood flow in the development of pulmonary arterial hypertension: Lessons from preclinical animal models. Am. J. Physiol. Lung Cell. Mol. Physiol. 2013, 305, L1–L14. [Google Scholar] [CrossRef] [PubMed]
- Verma, I.; Tripathi, H.; Sikachi, R.R.; Agrawal, A. Pulmonary Hypertension due to Radiofrequency Catheter Ablation (RFCA) for Atrial Fibrillation: The Lungs, the Atrium or the Ventricle? Heart Lung Circ. 2016, 25, 1177–1183. [Google Scholar] [CrossRef]
- Mohanty, S.; Della Rocca, D.G.; Torlapati, P.G.; Chierchia, G.B.; Dello Russo, A.; Casella, M.; Gianni, C.; MacDonald, B.; Mayedo, A.; La Fazia, V.M.; et al. Pulsed-Field Ablation Does Not Worsen Baseline Pulmonary Hypertension Following Prior Radiofrequency Ablations. JACC Clin. Electrophysiol. 2024, 10, 477–486. [Google Scholar] [CrossRef]
- Ferrier, K.; Campbell, A.; Yee, B.; Richards, M.; O’Meeghan, T.; Weatherall, M.; Neill, A. Sleep-disordered breathing occurs frequently in stable outpatients with congestive heart failure. Chest 2005, 128, 2116–2122. [Google Scholar] [CrossRef] [PubMed]
- Turner, G.A.; Lower, E.E.; Corser, B.C.; Gunther, K.L.; Baughman, R.P. Sleep apnea in sarcoidosis. Sarcoidosis Vasc. Diffus. Lung Dis. 1997, 14, 61–64. [Google Scholar]
- Ahmed, M.; Sulaiman, I.; Rutherford, R.; Gilmartin, J.J. First presentation of sarcoidosis with severe obstructive sleep apnea and epiglottic involvement. Sarcoidosis Vasc. Diffus. Lung Dis. 2013, 30, 146–148. [Google Scholar]
- Lai, C.; Medarov, B.I.; Judson, M.A. Interrelationship between sleep-disordered breathing and sarcoidosis. Chest 2015, 148, 1105–1144. [Google Scholar]
- Kim, N.H.; Lang, I.M. Risk factors for chronic thromboembolic pulmonary hypertension. Eur. Respir. Rev. 2012, 21, 27–31. [Google Scholar] [CrossRef]
- Hoeper, M.M.; Madani, M.M.; Nakanishi, N.; Meyer, B.; Cebotari, S.; Rubin, L.J. Chronic thromboembolic pulmonary hypertension. Lancet Respir. Med. 2014, 2, 573–582. [Google Scholar] [CrossRef] [PubMed]
- Goljan-Geremek, A.; Geremek, M.; Puscinska, E.; Sliwinski, P. Venous thromboembolism and sarcoidosis: Co-incidence or coexistence? Cent. Eur. J. Immunol. 2015, 40, 477–480. [Google Scholar] [CrossRef] [PubMed]
- Ungprasert, P.; Crowson, C.S.; Matteson, E.L. Association of sarcoidosis with increased risk of VTE: A population-based study, 1976 to 2013. Chest 2017, 151, 425–430. [Google Scholar] [CrossRef] [PubMed]
- Crawshaw, A.P.; Wotton, C.J.; Yeates, D.G.R.; Goldacre, M.J.; Ho, L.P. Evidence for association between sarcoidosis and pulmonary embolism from 35-year record linkage study. Thorax 2011, 66, 447–448. [Google Scholar] [CrossRef] [PubMed]
- Damuth, T.E.; Bower, J.S.; Cho, K.; Dantzker, D.R. Major pulmonary artery stenosis causing pulmonary hypertension in sarcoidosis. Chest 1980, 78, 888–891. [Google Scholar] [CrossRef] [PubMed]
- Toonkel, R.L.; Borczuk, A.C.; Pearson, G.D.; Horn, E.M.; Thomashow, B.M. Sarcoidosis-associated fibrosing mediastinitis with resultant pulmonary hypertension: A case report and review of the literature. Respir. Int. Rev. Thorac. Dis. 2010, 79, 341–345. [Google Scholar] [CrossRef] [PubMed]
- Blich, M.; Edoute, Y. Clinical manifestations of sarcoid liver disease. J. Gastroenterol. Hepatol. 2004, 19, 732–737. [Google Scholar] [CrossRef] [PubMed]
- Ramachandran, R.; Ralph, J.; Pulimi, R.; Rajamani, L.; Radhan, P.; Athiyappan, K. Revisiting Cystic Lung Disease—A Review on Diagnostic Approach in High Resolution Computed Tomography Thorax. J. Evolution Med. Dental Sci. 2021, 10, 2278–4748. [Google Scholar]
- Colman, R.; Whittingham, H.; Tomlinson, G.; Granton, J. Utility of the physical examination in detecting pulmonary hypertension. A mixed methods study. PLoS ONE 2014, 9, e108499. [Google Scholar]
- Baughman, R.P.; Engel, P.J.; Meyer, C.A.; Barret, A.B.; Lower, E.E. Pulmonary hypertension in sarcoidosis. Sarcoidosis Vasc. Diffus. Lung Dis. 2006, 23, 108–116. [Google Scholar] [CrossRef]
- Huitema, M.P.; Spee, M.; Vorselaars, V.M.M.; Boerman, S.; Snijder, R.J.; van Es, H.W.; Reesink, H.J.; Grutters, J.C.; Post, M.C. Pulmonary artery diameter to predict pulmonary hypertension in pulmonary sarcoidosis. Eur. Respir. J. 2016, 47, 673–676. [Google Scholar] [CrossRef]
- Zisman, D.A.; Karlamangla, A.S.; Ross, D.J.; Keane, M.P.; Belperio, J.A.; Saggar, R.; Lynch, J.P., 3rd; Ardehali, A.; Goldin, J. High-resolution chest CT findings do not predict the presence of pulmonary hypertension in advanced idiopathic pulmonary fibrosis. Chest 2007, 132, 7734–7779. [Google Scholar] [CrossRef] [PubMed]
- Bourbonnais, J.M.; Samavati, L. Clinical predictors of pulmonary hypertension in sarcoidosis. Eur. Respir. J. 2008, 32, 296–302. [Google Scholar] [CrossRef]
- Mirsaeidi, M.; Omar, H.R.; Baughman, R.; Machado, R.; Sweiss, N. The association between BNP, 6MWD test, DLCO% and pulmonary hypertension in sarcoidosis. Sarcoidosis Vasc. Diffus. Lung Dis. 2016, 33, 317–320. [Google Scholar]
- Bossone, E.; D’Andrea, A.; D’Alto, M.; Citro, R.; Argiento, P.; Ferrara, F.; Cittadini, A.; Rubenfire, M.; Naeije, R. Echocardiography in pulmonary arterial hypertension: From diagnosis to prognosis. J. Am. Soc. Echocardiogr. 2013, 26, 1–14. [Google Scholar] [CrossRef] [PubMed]
- Bertoli, L.; Rizzato, G.; Merlini, R.; Lo Cicero, S.; Mandelli, V.; Gallico, S.; Pezzano, A. Can pulmonary arterial hypertension be predicted by non-invasive approach? Echocardiographic and haemodynamic study. Acta Cardiol. 1984, 39, 97–106. [Google Scholar]
- Nathan, S.D.; Shlobin, O.A.; Barnett, S.D.; Saggar, R.; Belperio, J.A.; Ross, D.J.; Ahmad, S.; Saggar, R.; Libre, E.; Lynch, J.P., 3rd. Right ventricular systolic pressure by echocardiography as a predictor of pulmonary hypertension in idiopathic pulmonary fibrosis. Respir. Med. 2008, 102, 1305–1310. [Google Scholar] [CrossRef] [PubMed]
- Zhang, C.; Chan, K.M.; Schmidt, L.A.; Myers, J.L. Histopathology of explanted lungs from patients with a diagnosis of pulmonary sarcoidosis. Chest 2016, 149, 499–507. [Google Scholar] [CrossRef] [PubMed]
- Lauren, X.; Seth, K.; Allen, B. End-stage sarcoid lung disease is distinct from usual interstitial pneumonia. Am. J. Surg. Pathol. 2013, 37, 593–600. [Google Scholar]
- Brudin, L.H.; Valind, S.O.; Rhodes, C.G.; Pantin, C.F.; Sweatman, M.; Jones, T.; Hughes, J.M. Fluorine-18 deoxyglucose uptake in sarcoidosis measured with positron emission tomography. Eur. J. Nucl. Med. 1994, 21, 297–305. [Google Scholar] [CrossRef] [PubMed]
- Adams, H.; van Rooij, R.; van Moorsel, C.H.M.; Spee-Dropkova, M.; Grutters, J.C.; Keijsers, R.G. Volumetric FDG PET analysis of global lung inflammation: New tool for precision medicine in pulmonary sarcoidosis? Sarcoidosis Vasc. Diffus. Lung Dis. 2018, 35, 44–54. [Google Scholar]
- Schimmelpennink, M.C.; Vorselaars, A.D.M.; Veltkamp, M.; Keijsers, R.G.M. Quantification of pulmonary disease activity in sarcoidosis measured with 18F-FDG PET/CT: SUVmax versus total lung glycolysis. EJNMMI Res. 2019, 9, 54. [Google Scholar] [CrossRef]
- Mostard, R.L.; Verschakelen, J.A.; van Kroonenburgh, M.J.; Nelemans, P.J.; Wijnen, P.A.; Vöö, S.; Drent, M. Severity of pulmonary involvement and (18)F-FDG PET activity in sarcoidosis. Respir. Med. 2013, 107, 439–447. [Google Scholar] [CrossRef] [PubMed]
- Langah, R.; Spicer, K.; Gebregziabher, M.; Gordon, L. Effectiveness of prolonged fasting 18f-FDG PET-CT in the detection of cardiac sarcoidosis. J. Nucl. Cardiol. 2009, 16, 801–810. [Google Scholar] [CrossRef]
- Bekki, M.; Tahara, N.; Tahara, A.; Sugiyama, Y.; Maeda-Ogata, S.; Honda, A.; Igata, S.; Enomoto, M.; Kakuma, T.; Kaida, H.; et al. Localization of myocardial FDG uptake for prognostic risk stratification in corticosteroid-naïve cardiac sarcoidosis. J. Nucl. Cardiol. 2022, 29, 2132–2144. [Google Scholar] [CrossRef]
- Palmer, S.M.; Robinson, L.J.; Wang, A.; Gossage, J.R.; Bashore, T.; Tapson, V.F. Massive pulmonary edema and death after prostacyclin infusion in a patient with pulmonary veno-occlusive disease. Chest 1998, 113, 237–247. [Google Scholar] [CrossRef] [PubMed]
- Nunes, H.; Humbert, M.; Capron, F.; Brauner, M.; Sitbon, O.; Battesti, J.P.; Simonneau, G.; Valeyre, D. Pulmonary hypertension associated with sarcoidosis: Mechanisms, haemodynamics and prognosis. Thorax 2006, 61, 68–74. [Google Scholar] [CrossRef] [PubMed]
- Gluskowski, J.; Hawrylkiewicz, I.; Zych, D.; Zieliński, J. Effects of corticosteroid treatment on pulmonary haemodymanics in patients with sarcoidosis. Eur. Respir. J. 1990, 3, 403–407. [Google Scholar] [CrossRef] [PubMed]
- Boucly, A.; Cottin, V.; Nunes, H.; Jaïs, X.; Tazi, A.; Prévôt, G.; Reynaud-Gaubert, M.; Dromer, C.; Viacroze, C.; Horeau-Langlard, D. Management and long-term outcomes of sarcoidosis-associated pulmonary hypertension. Eur. Respir. J. 2017, 50, 1700465. [Google Scholar] [CrossRef] [PubMed]
- Barnett, C.F.; Bonura, E.J.; Nathan, S.D.; Ahmad, S.; Shlobin, O.A.; Osei, K.; Zaiman, A.L.; Hassoun, P.M.; Moller, D.R.; Barnett, S.D.; et al. Treatment of sarcoidosis-associated pulmonary hypertension. A two-center experience. Chest 2009, 135, 1455–1461. [Google Scholar] [CrossRef]
- Person, I.R.; Klinger, J.R.; Landzberg, M.J.; Houtchens, J.; Nelson, D.; Hill, N.S. Vasoresponsiveness of sarcoidosis-associated pulmonary hypertension. Chest 2001, 120, 866–872. [Google Scholar]
- Baughman, R.P.; Judson, M.A.; Lower, E.E.; Highland, K.; Kwon, S.; Craft, N.; Engel, P.J. Inhaled iloprost for sarcoidosis associated pulmonary hypertension. Sarcoidosis Vasc. Diffus. Lung Dis. 2009, 26, 110–120. [Google Scholar]
- Fisher, K.A.; Serkin, D.M.; Wilson, K.C.; Walter, R.E.; Berman, J.S.; Farber, H.W. Sarcoidosis-associated pulmonary hypertension: Outcome with long-term epoprostenol treatment. Chest 2006, 130, 1481–1488. [Google Scholar] [CrossRef] [PubMed]
- Judson, M.; Highland, K.; Kwon, S.; Donohue, J.F.; Aris, R.; Craft, N.; Burt, S.; Ford, H.J. Ambrisentan for sarcoidosis associated pulmonary hypertension. Sarcoidosis Vasc. Diffus. Lung Dis. 2011, 28, 139–145. [Google Scholar]
- Mathijssen, H.; Huitema, M.P.; Bakker, A.L.M.; Mager, J.J.; Snijder, R.J.; Grutters, J.C.; Post, M.C. Safety of macitentan in sarcoidosis-associated pulmonary hypertension: A case-series. Sarcoidosis Vasc. Diffus. Lung Dis. 2020, 37, 74–78. [Google Scholar] [PubMed]
- Milman, N.; Burton, C.M.; Iversen, M.; Videbaek, R.; Jensen, C.V.; Carlsen, J. Pulmonary hypertension in end-stage pulmonary sarcoidosis: Therapeutic effect of sildenafil? J. Heart Lung Transplant. 2008, 27, 329–334. [Google Scholar] [CrossRef]
- Ford, H.J.; Baughman, R.P.; Aris, R.; Engel, P.; Donohue, J.F. Tadarafil therapy for sarcoidosis-associated pulmonary hypertension. Pulm. Circ. 2016, 6, 557–562. [Google Scholar] [CrossRef] [PubMed]
- Shlobin, O.A.; Nathan, S.D. Management of end-stage sarcoidosis: Pulmonary hypertension and lung transplantation. Eur. Respir. J. 2012, 39, 1520–1533. [Google Scholar] [CrossRef] [PubMed]
- Davis, J.; Nellen, M.; Goodwin, J.F. Reversible pulmonary hypertension in sarcoidosis. Postgrad. Med. J. 1982, 58, 282–285. [Google Scholar] [CrossRef] [PubMed]
- Rodman, D.M.; Lindenfeld, J. Successful treatment of sarcoidosis-associated pulmonary hypertension with corticosterids. Chest 1990, 97, 500–502. [Google Scholar] [CrossRef] [PubMed]
- Valeyre, D.; Nunes, H.; Bernaudin, J.F. Advanced pulmonary sarcoidosis. Curr. Opin. Pulm. Med. 2014, 20, 488–495. [Google Scholar] [CrossRef] [PubMed]
- Asif, H.; Neto, M.R.; Culver, D. Pulmonary fibrosis in sarcoidosis. Sarcoidosis Vasc. Diffus. Lung Dis. 2023, 40, e2023027. [Google Scholar]
- Gupta, R.; Baughman, R.P. Advanced pulmonary sarcoidosis. Semin. Respir. Crit. Care Med. 2020, 41, 700–715. [Google Scholar] [CrossRef]
- Bonham, C.A.; Strek, M.E.; Patterson, K.C. From granuloma to fibrosis: Sarcoidosis associated pulmonary fibrosis. Curr. Opin. Pulm. Med. 2016, 22, 484–491. [Google Scholar] [CrossRef] [PubMed]
- Cremers, J.P.; Drent, M.; Bast, A.; Shigemitsu, H.; Baughman, R.P.; Valeyre, D.; Sweiss, N.J.; Jansen, T.L. Multinational evidence-based World Association of Sarcoidosis and Other Granulomatous Disorders recommendations for the use of methotrexate in sarcoidosis: Integrating systematic literature research and expert opinion of sarcoidologists worldwide. Curr. Opin. Pulm. Med. 2013, 19, 545–561. [Google Scholar] [CrossRef]
- Fang, C.; Zhang, Q.; Wang, N.; Jing, X.; Xu, Z. Effectiveness and tolerability of methotrexate in pulmonary sarcoidosis: A single center real-world study. Sarcoidosis Vasc. Diffus. Lung Dis. 2019, 36, 217–227. [Google Scholar]
- Vorselaars, A.D.M.; Wuyts, W.A.; Vorselaars, V.M.M.; Zanen, P.; Deneer, V.H.M.; Veltkamp, M.; Thomeer, M.; van Moorsel, C.H.M.; Grutters, J.C. Methotrexate vs azathioprine in second-line therapy of sarcoidosis. Chest 2013, 144, 805–812. [Google Scholar] [CrossRef]
- Rahaghi, F.F.; Baughman, R.P.; Saketkoo, L.A.; Sweiss, N.J.; Barney, J.B.; Birring, S.S.; Costabel, U.; Crouser, E.D.; Drent, M.; Gerke, A.K. Delphi consensus recommendations for a treatment algorithm in pulmonary sarcoidosis. Eur. Respir. Rev. 2020, 29, 190146. [Google Scholar] [CrossRef] [PubMed]
- Sweiss, N.J.; Lower, E.E.; Mirsaeidi, M.; Dudek, S.; Garcia, J.G.N.; Perkins, D.; Finn, P.W.; Baughman, R.P. Rituximab in the treatment of refractory pulmonary sarcoidosis. Eur. Respir. J. 2014, 43, 1525–1528. [Google Scholar] [CrossRef]
- Baughman, R.P.; Valeyre, D.; Korsten, P.; Mathioudakis, A.G.; Wuyts, W.A.; Wells, A.; Rottoli, P.; Nunes, H.; Lower, E.E.; Judson, M.A. ERS clinical practice guidelines on treatment of sarcoidosis. Eur. Respir. J. 2021, 58, 2004079. [Google Scholar] [CrossRef] [PubMed]
- Ghofrani, H.A.; Galiè, N.; Grimminger, F.; Grünig, E.; Humbert, M.; Jing, Z.C.; Keogh, A.M.; Langleben, D.; Kilama, M.O.; Fritsch, A.; et al. Riociguat for the treatment of pulmonary arterial hypertension. N. Engl. J. Med. 2013, 369, 330–340. [Google Scholar] [CrossRef] [PubMed]
- Sitbon, O.; Channick, R.; Chin, K.M.; Frey, A.; Gaine, S.; Galiè, N.; Ghofrani, H.A.; Hoeper, M.M.; Lang, I.M.; Preiss, R.; et al. Selexipag for the treatment of pulmonary arterial hypertension. N. Engl. J. Med. 2015, 373, 2522–2533. [Google Scholar] [CrossRef] [PubMed]
- Barst, R.J.; Rubin, L.J.; Long, W.A.; McGoon, M.D.; Rich, S.; Badesch, D.B.; Groves, B.M.; Tapson, V.F.; Bourge, R.C.; Brundage, B.H.; et al. A comparison of continuous intravenous epoprostenol (prostacyclin) with conventional therapy for primary pulmonary hypertension. N. Engl. J. Med. 1996, 33, 296–301. [Google Scholar] [CrossRef] [PubMed]
- Evans, J.D.; Girerd, B.; Montani, D.; Wang, X.J.; Galiè, N.; Austin, E.D.; Elliott, G.; Asano, K.; Grünig, E.; Yan, Y.; et al. BMPR2 mutations and survival in pulmonary arterial hypertension: An individual participant data meta-analysis. Lancet Respir. Med. 2016, 4, 129–137. [Google Scholar] [CrossRef] [PubMed]
- Montani, D.; Girerd, B.; Jaïs, X.; Laveneziana, P.; Lau, E.M.T.; Bouchachi, A.; Hascoët, S.; Günther, S.; Godinas, L.; Parent, F.; et al. Screening for pulmonary arterial hypertension in adults carrying a BMPR2 mutation. Eur. Respir. J. 2021, 58, 2004229. [Google Scholar] [CrossRef] [PubMed]
- Morrell, N.W.; Aldred, M.A.; Chung, W.K.; Elliott, C.G.; Nichols, W.C.; Soubrier, F.; Trembath, R.C.; Loyd, J.E. Genetics and genomics of pulmonary arterial hypertension. Eur. Respir. J. 2019, 53, 1801899. [Google Scholar] [CrossRef] [PubMed]




| PH Category | Definition |
|---|---|
| Pre-capillary PH | mPAP > 20 mmHg, PAWP ≤ 15 mmHg, PVR > 2 WU |
| Isolated post-capillary PH | mPAP > 20 mmHg, PAWP > 15 mmHg, PVR ≤ 2 WU |
| Combined pre- and post-capillary PH | mPAP > 20 mmHg, PAWP > 15 mmHg, PVR > 2 WU |
| Unclassified PH | mPAP > 20 mmHg, PAWP ≤ 15 mmHg, PVR ≤ 2 WU |
| Exercise PH | mPAP/CO slope between rest and exercise > 3 mmHg/L/min |
| Treatment | Study Design | N | Primary Endpoint | Result | Ref. |
|---|---|---|---|---|---|
| Prednisolone | Retrospective /single arm | 22 | Survival | 5-years survival is 59% | [56] |
| Prednisolone | Retrospective /single arm | 24 | 1 year change in chest X-ray findings and pulmonary function | In half of patients, improvement of chest X-ray findings and pulmonary function | [57] |
| PAH-target therapy with or without immunosuppressive therapy | Retrospective /single arm | 97 | PVR, Exercise resistance, Survival | Significant decrease in PVR but not exercise resistance Survival at 1, 3, and 5 years was 93%, 74%, and 55%, respectively | [58] |
| PAH-target therapy | Retrospective /single arm | 22 | 6MWD | Mean PAP, PVR, NYHA, and 6MWD were increased TFS at 1 and 3 years was 90% and 74% | [59] |
| Inhaled nitric oxide | Prospective /single arm | 8 | Mean PAP, PVR, 6MWD | Mean PAP was significantly improved, PVR was improved but not significantly, 6MWD was improved in all participants | [60] |
| Epoprostenol | Prospective /single arm | 6 | Mean PAP, PVR, 6MWD | 4 of 6 patients showed improvement in hemodynamics | [60] |
| Inhaled iloprost | Prospective /single arm | 22 | Hemodynamics, 6MWD, SGRQ | PVR was improved in 6 patients, increase in 6MWD in 3, SGRQ was decreased in 7 | [61] |
| Epoprostenol | Retrospective /single arm | 8 | Hemodynamics | Hemodynamics was significantly improved in 6 of 7 patients. | [62] |
| Prostacyclin | Retrospective /single arm | 26 | Hemodynamics, WHO-FC | CO, CI, PVR, BNP, and WHO-FC were significantly improved Eight and 5 patients survived at 5 and 8 years, respectively | [14] |
| Bosentan | double-blind, placebo-controlled trial | 35 | Mean PAP, PVR, 6MWD | Mean PAP and PVR were significantly reduced in treatment group but not placebo. 6MWD was not significantly changed in either group. | [16] |
| Ambrisentan | Prospective, open-label /single arm | 21 | Borg scale, WHO-FC, BNP, DLCO, Short Form-36, SGRQ | Only WHO-FC and SGRQ were improved but not significantly | [63] |
| Macitentan | Retrospective /single arm | 6 | WHO-FC, Exercise capacity | WHO-FC was improved in 4 patients, exercise capacity was improved in 3, 1 patient died | [64] |
| Sildenafil | Retrospective /single arm | 24 | Hemodynamics, 6MWD | MPAP, PVR, CO, CI was significantly improved, but 6MWD was not significantly changed. | [65] |
| Tadarafil | Retrospective /single arm | 12 | 6MWD, Short Form-36, SGRQ, Borg scale | All endpoints were not significantly improved. | [66] |
Disclaimer/Publisher’s Note: The statements, opinions and data contained in all publications are solely those of the individual author(s) and contributor(s) and not of MDPI and/or the editor(s). MDPI and/or the editor(s) disclaim responsibility for any injury to people or property resulting from any ideas, methods, instructions or products referred to in the content. |
© 2025 by the authors. Published by MDPI on behalf of the Lithuanian University of Health Sciences. Licensee MDPI, Basel, Switzerland. This article is an open access article distributed under the terms and conditions of the Creative Commons Attribution (CC BY) license (https://creativecommons.org/licenses/by/4.0/).
Share and Cite
Morimatsu, Y.; Tahara, N.; Okamoto, M.; Bekki, M.; Tahara, A.; Eto, Y.; Kugai, T.; Koga, Y.; Maeda-Ogata, S.; Honda, A.; et al. Sarcoidosis-Associated Pulmonary Hypertension. Medicina 2025, 61, 342. https://doi.org/10.3390/medicina61020342
Morimatsu Y, Tahara N, Okamoto M, Bekki M, Tahara A, Eto Y, Kugai T, Koga Y, Maeda-Ogata S, Honda A, et al. Sarcoidosis-Associated Pulmonary Hypertension. Medicina. 2025; 61(2):342. https://doi.org/10.3390/medicina61020342
Chicago/Turabian StyleMorimatsu, Yoshitaka, Nobuhiro Tahara, Masaki Okamoto, Munehisa Bekki, Atsuko Tahara, Yoshiko Eto, Tadahiro Kugai, Yuki Koga, Shoko Maeda-Ogata, Akihiro Honda, and et al. 2025. "Sarcoidosis-Associated Pulmonary Hypertension" Medicina 61, no. 2: 342. https://doi.org/10.3390/medicina61020342
APA StyleMorimatsu, Y., Tahara, N., Okamoto, M., Bekki, M., Tahara, A., Eto, Y., Kugai, T., Koga, Y., Maeda-Ogata, S., Honda, A., Igata, S., Zaizen, Y., Tanoue, S., Hoshino, T., Ishitake, T., & Fukumoto, Y. (2025). Sarcoidosis-Associated Pulmonary Hypertension. Medicina, 61(2), 342. https://doi.org/10.3390/medicina61020342

