Various Flexible Fixation Techniques Using Suture Button for Ligamentous Lisfranc Injuries: A Review of Surgical Options
Abstract
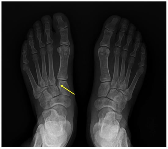
1. Introduction
2. Classifications
3. Previous Technical Overview
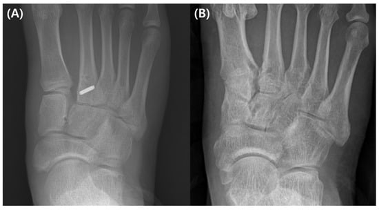
4. Operative Technique—Single TightRope
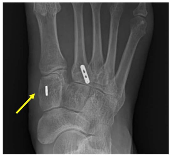
5. Operative Technique—Dual TightRope
6. Operative Technique—InternalBrace
7. Other Surgical Technique (Ligament Reconstructions)
8. Postoperative Management
9. Discussion
10. Conclusions
Author Contributions
Funding
Institutional Review Board Statement
Informed Consent Statement
Data Availability Statement
Conflicts of Interest
References
- Shapiro, M.S.; Wascher, D.C.; Finerman, G.A. Rupture of Lisfranc’s ligament in athletes. Am. J. Sport. Med. 1994, 22, 687–691. [Google Scholar] [CrossRef] [PubMed]
- Garríguez-Pérez, D.; Puerto-Vázquez, M.; Tomé Delgado, J.L.; Galeote, E.; Marco, F. Impact of the Subtle Lisfranc Injury on Foot Structure and Function. Foot Ankle Int. 2021, 42, 1303–1310. [Google Scholar] [CrossRef] [PubMed]
- Kalia, V.; Fishman, E.K.; Carrino, J.A.; Fayad, L.M. Epidemiology, imaging, and treatment of Lisfranc fracture-dislocations revisited. Skelet. Radiol. 2012, 41, 129–136. [Google Scholar] [CrossRef]
- De Orio, M.; Erickson, M.; Usuelli, F.G.; Easley, M. Lisfranc injuries in sport. Foot Ankle Clin. 2009, 14, 169–186. [Google Scholar] [CrossRef]
- Curtis, M.J.; Myerson, M.; Szura, B. Tarsometatarsal joint injuries in the athlete. Am. J. Sport. Med. 1993, 21, 497–502. [Google Scholar] [CrossRef] [PubMed]
- Gupta, R.T.; Wadhwa, R.P.; Learch, T.J.; Herwick, S.M. Lisfranc injury: Imaging findings for this important but often-missed diagnosis. Curr. Probl. Diagn. Radiol. 2008, 37, 115–126. [Google Scholar] [CrossRef]
- Shim, D.W.; Choi, E.; Park, Y.-C.; Shin, S.C.; Lee, J.W.; Sung, S.-Y. Comparing bilateral feet computed tomography scans can improve surgical decision making for subtle Lisfranc injury. Arch. Orthop. Trauma Surg. 2022, 142, 3705–3714. [Google Scholar] [CrossRef]
- Kennelly, H.; Klaassen, K.; Heitman, D.; Youngberg, R.; Platt, S.R. Utility of weight-bearing radiographs compared to computed tomography scan for the diagnosis of subtle Lisfranc injuries in the emergency setting. Emerg. Med. Australas. 2019, 31, 741–744. [Google Scholar] [CrossRef]
- Bhimani, R.; Ashkani-Esfahani, S.; Lubberts, B.; Guss, D.; Hagemeijer, N.C.; Waryasz, G.; DiGiovanni, C.W. Utility of volumetric measurement via weight-bearing computed tomography scan to diagnose syndesmotic instability. Foot Ankle Int. 2020, 41, 859–865. [Google Scholar] [CrossRef]
- Ponkilainen, V.T.; Laine, H.-J.; Mäenpää, H.M.; Mattila, V.M.; Haapasalo, H.H. Incidence and characteristics of midfoot injuries. Foot Ankle Int. 2019, 40, 105–112. [Google Scholar] [CrossRef]
- Quénu, E. Etude sur les luxations du metatarse (luxations metatarsotarsiennes) du diastasis entre 1er et le 2e metatarsien. Rev. Chir. 1909, 39, 1093–1134. [Google Scholar]
- Hardcastle, P.; Reschauer, R.; Kutscha-Lissberg, E.; Schoffmann, W. Injuries to the tarsometatarsal joint. Incidence, classification and treatment. J. Bone Jt. Surgery. Br. Vol. 1982, 64, 349–356. [Google Scholar] [CrossRef] [PubMed]
- Mahmoud, S.; Hamad, F.; Riaz, M.; Ahmed, G.; Al Ateeq, M.; Ibrahim, T. Reliability of the Lisfranc injury radiological classification (Myerson-modified Hardcastle classification system). Int. Orthop. 2015, 39, 2215–2218. [Google Scholar] [CrossRef] [PubMed]
- Sivakumar, B.S.; An, V.V.; Oitment, C.; Myerson, M. Subtle Lisfranc injuries: A topical review and modification of the classification system. Orthopedics 2018, 41, e168–e175. [Google Scholar] [CrossRef] [PubMed]
- Data from Nunley, J.A.; Vertullo, C.J. Classification, investigation, and management of midfoot sprains: Lisfranc injuries in the athlete. Am. J. Sport. Med. 2002, 30, 871–878. [Google Scholar] [CrossRef]
- Sripanich, Y.; Steadman, J.; Kraehenbuehl, N.; Rungprai, C.; Saltzman, C.L.; Lenz, A.L.; Barg, A. Anatomy and biomechanics of the Lisfranc ligamentous complex: A systematic literature review. J. Biomech. 2021, 119, 110287. [Google Scholar] [CrossRef]
- Miyamoto, W.; Takao, M.; Innami, K.; Miki, S.; Matsushita, T. Ligament reconstruction with single bone tunnel technique for chronic symptomatic subtle injury of the Lisfranc joint in athletes. Arch. Orthop. Trauma Surg. 2015, 135, 1063–1070. [Google Scholar] [CrossRef]
- Crates, J.M.; Barber, F.A. Dual tightrope fixation for subtle lisfranc injuries. Tech. Foot Ankle Surg. 2012, 11, 163–167. [Google Scholar] [CrossRef]
- Kuo, R.; Tejwani, N.; Digiovanni, C.; Holt, S.; Benirschke, S.; Hansen, S., Jr.; Sangeorzan, B. Outcome after open reduction and internal fixation of Lisfranc joint injuries. JBJS 2000, 82, 1609. [Google Scholar] [CrossRef]
- Ly, T.V.; Coetzee, J.C. Treatment of primarily ligamentous Lisfranc joint injuries: Primary arthrodesis compared with open reduction and internal fixation: A prospective, randomized study. J. Bone Jt. Surg. 2006, 88, 514–520. [Google Scholar]
- Stavlas, P.; Roberts, C.S.; Xypnitos, F.N.; Giannoudis, P.V. The role of reduction and internal fixation of Lisfranc fracture–dislocations: A systematic review of the literature. Int. Orthop. 2010, 34, 1083–1091. [Google Scholar] [CrossRef] [PubMed]
- Panchbhavi, V.K.; Vallurupalli, S.; Yang, J.; Andersen, C.R. Screw fixation compared with suture-button fixation of isolated Lisfranc ligament injuries. JBJS 2009, 91, 1143–1148. [Google Scholar] [CrossRef] [PubMed]
- Cho, J.; Kim, J.; Min, T.-H.; Chun, D.-I.; Won, S.H.; Park, S.; Yi, Y. Suture Button vs. Conventional Screw Fixation for Isolated Lisfranc Ligament Injuries. Foot Ankle Int. 2021, 42, 598–608. [Google Scholar] [CrossRef]
- Chun, D.-I.; Kim, J.; Min, T.-H.; Cho, J.; Won, S.H.; Lee, M.; Yi, Y. Fixation of isolated Lisfranc ligament injury with the TightRope™: A technical report. Orthop. Traumatol. Surg. Res. 2021, 107, 102940. [Google Scholar] [CrossRef]
- Brin, Y.S.; Nyska, M.; Kish, B. Lisfranc injury repair with the TightRope™ device: A short-term case series. Foot Ankle Int. 2010, 31, 624–627. [Google Scholar] [CrossRef]
- Cottom, J.M.; Hyer, C.F.; Berlet, G.C. Treatment of Lisfranc fracture dislocations with an interosseous suture button technique: A review of 3 cases. J. Foot Ankle Surg. 2008, 47, 250–258. [Google Scholar] [CrossRef]
- Charlton, T.; Boe, C.; Thordarson, D.B. Suture button fixation treatment of chronic Lisfranc injury in professional dancers and high-level athletes. J. Danc. Med. Sci. 2015, 19, 135–139. [Google Scholar] [CrossRef] [PubMed]
- De los Santos-Real, R.; Canillas, F.; Varas-Navas, J.; Morales-Muñoz, P.; Barrio-Sanz, P.; Medina-Santos, M. Lisfranc joint ligament complex reconstruction: A promising solution for missed, delayed, or chronic Lisfranc injury without arthritis. J. Foot Ankle Surg. 2017, 56, 1350–1356. [Google Scholar] [CrossRef]
- Sripanich, Y.; Weinberg, M.W.; Krähenbühl, N.; Rungprai, C.; Haller, J.; Saltzman, C.L.; Barg, A. Surgical outcome of chronic Lisfranc injury without secondary degenerative arthritis: A systematic literature review. Injury 2020, 51, 1258–1265. [Google Scholar] [CrossRef]
- Zwipp, H.; Rammelt, S. Anatomical reconstruction of chronically instable Lisfranc’s ligaments. Der Unf. 2014, 117, 791–797. [Google Scholar]
- Data from Nery, C.; Réssio, C.; Alloza, J.F.M. Subtle Lisfranc joint ligament lesions: Surgical neoligamentplasty technique. Foot Ankle Clin. 2012, 17, 407–416. [Google Scholar] [CrossRef]
- Hirano, T.; Niki, H.; Beppu, M. Anatomical considerations for reconstruction of the Lisfranc ligament. J. Orthop. Sci. 2013, 18, 720–726. [Google Scholar] [CrossRef]
- VanPelt, M.D.; Athey, A.; Yao, J.; Ennin, K.; Kassem, L.; Mulligan, E.; Lalli, T.; Liu, G.T. Is routine hardware removal following open reduction internal fixation of tarsometatarsal joint fracture/dislocation necessary? J. Foot Ankle Surg. 2019, 58, 226–230. [Google Scholar] [CrossRef]
- Cenatiempo, M.; Buzzi, R.; Bianco, S.; Iapalucci, G.; Campanacci, D.A. Tarsometatarsal joint complex injuries: A study of injury pattern in complete homolateral lesions. Injury 2019, 50 (Suppl. 2), S8–S11. [Google Scholar] [CrossRef]
- Moracia-Ochagavía, I.; Rodríguez-Merchán, E.C. Lisfranc fracture-dislocations: Current management. EFORT Open Rev. 2019, 4, 430–444. [Google Scholar] [CrossRef]
- Pourmorteza, M.; Vosoughi, A.R. Lisfranc fleck sign: Characteristics and clinical outcomes following fixation using a percutaneous position Lisfranc screw. Eur. J. Trauma Emerg. Surg. 2022, 48, 471–479. [Google Scholar] [CrossRef] [PubMed]
- Nery, C.; Baumfeld, D.; Baumfeld, T.; Prado, M.; Giza, E.; Wagner, P.; Wagner, E. Comparison of Suture-Augmented Ligamentplasty to Transarticular Screws in a Lisfranc Cadaveric Model. Foot Ankle Int. 2020, 41, 735–743. [Google Scholar] [CrossRef] [PubMed]
- Porter, D.A.; Barnes, A.F.; Rund, A.; Walrod, M.T. Injury Pattern in Ligamentous Lisfranc Injuries in Competitive Athletes. Foot Ankle Int. 2019, 40, 185–194. [Google Scholar] [CrossRef]
- Park, Y.H.; Ahn, J.H.; Choi, G.W.; Kim, H.J. Percutaneous Reduction and 2.7-mm Cortical Screw Fixation for Low-Energy Lisfranc Injuries. J. Foot Ankle Surg. 2020, 59, 914–918. [Google Scholar] [CrossRef] [PubMed]
- Panchbhavi, V.K.; Molina, D., IV; Villarreal, J.; Curry, M.C.; Andersen, C.R. Three-dimensional, digital, and gross anatomy of the Lisfranc ligament. Foot Ankle Int. 2013, 34, 876–880. [Google Scholar] [CrossRef]
- Lee, C.A.; Birkedal, J.P.; Dickerson, E.A.; Vieta, P.A.; Webb, L.X.; Teasdall, R.D. Stabilization of Lisfranc joint injuries: A biomechanical study. Foot Ankle Int. 2004, 25, 365–370. [Google Scholar] [CrossRef] [PubMed]
- Alberta, F.G.; Aronow, M.S.; Barrero, M.; Diaz-Doran, V.; Sullivan, R.J.; Adams, D.J. Ligamentous Lisfranc joint injuries: A biomechanical comparison of dorsal plate and transarticular screw fixation. Foot Ankle Int. 2005, 26, 462–473. [Google Scholar] [CrossRef] [PubMed]
- Grass, R.; Rammelt, S.; Biewener, A.; Zwipp, H. Peroneus longus ligamentoplasty for chronic instability of the distal tibiofibular syndesmosis. Foot Ankle Int. 2003, 24, 392–397. [Google Scholar] [CrossRef]
- Baravarian, B.; Geffen, D. Lisfranc tightrope. Foot Ankle Spec. 2009, 2, 249–250. [Google Scholar] [CrossRef] [PubMed]
- Yongfei, F.; Chaoyu, L.; Wenqiang, X.; Xiulin, M.; Jian, X.; Wei, W. Clinical outcomes of Tightrope system in the treatment of purely ligamentous Lisfranc injuries. BMC Surg. 2021, 21, 395. [Google Scholar] [CrossRef]
- Ahmed, S.; Bolt, B.; McBryde, A. Comparison of standard screw fixation versus suture button fixation in Lisfranc ligament injuries. Foot Ankle Int. 2020, 31, 892–896. [Google Scholar] [CrossRef]
- Delman, C.; Patel, M.; Campbell, M.; Kreulen, C.; Giza, E. Flexible fixation technique for Lisfranc injuries. Foot Ankle Int. 2019, 40, 1338–1345. [Google Scholar] [CrossRef]
- Gentchos, C. Lisfranc Injuries. Tech. Foot Ankle Surg. 2021, 20, 66–74. [Google Scholar] [CrossRef]
- Briceno, J.; Leucht, A.-K.; Younger, A.; Veljkovic, A. Subtle Lisfranc injuries: Fix it, fuse it, or bridge it? Foot Ankle Clin. 2020, 25, 711–726. [Google Scholar] [CrossRef]








| Type | Radiographic Diastasis | Radiographic Loss of Arch Length | Description |
|---|---|---|---|
| Stage I | None | None |
|
| Stage II | 1–5 mm | None |
|
| Stage III | >5 mm | Decrease in distance between plantar base of the fifth metatarsal and plantar medial cuneiform. |
|
| Type | Description |
|---|---|
| C1–M2 | Medial cuneiform—second metatarsal bone damage with diastasis |
| C1–C2 | Medial cuneiform—intermediate cuneiform instability |
| C1–M1 | Medial cuneiform—first metatarsal bone instability |
| C2–M2 | Intermediate cuneiform—second metatarsal bone instability |
| Surgical Technique | Advantages | Disadvantages |
|---|---|---|
| Single TightRope Technique |
|
|
| Dual TightRope Technique |
|
|
| Internal brace Technique |
|
|
Disclaimer/Publisher’s Note: The statements, opinions and data contained in all publications are solely those of the individual author(s) and contributor(s) and not of MDPI and/or the editor(s). MDPI and/or the editor(s) disclaim responsibility for any injury to people or property resulting from any ideas, methods, instructions or products referred to in the content. |
© 2023 by the authors. Licensee MDPI, Basel, Switzerland. This article is an open access article distributed under the terms and conditions of the Creative Commons Attribution (CC BY) license (https://creativecommons.org/licenses/by/4.0/).
Share and Cite
Yi, Y.; Chaudhari, S. Various Flexible Fixation Techniques Using Suture Button for Ligamentous Lisfranc Injuries: A Review of Surgical Options. Medicina 2023, 59, 1134. https://doi.org/10.3390/medicina59061134
Yi Y, Chaudhari S. Various Flexible Fixation Techniques Using Suture Button for Ligamentous Lisfranc Injuries: A Review of Surgical Options. Medicina. 2023; 59(6):1134. https://doi.org/10.3390/medicina59061134
Chicago/Turabian StyleYi, Young, and Sagar Chaudhari. 2023. "Various Flexible Fixation Techniques Using Suture Button for Ligamentous Lisfranc Injuries: A Review of Surgical Options" Medicina 59, no. 6: 1134. https://doi.org/10.3390/medicina59061134
APA StyleYi, Y., & Chaudhari, S. (2023). Various Flexible Fixation Techniques Using Suture Button for Ligamentous Lisfranc Injuries: A Review of Surgical Options. Medicina, 59(6), 1134. https://doi.org/10.3390/medicina59061134

