High Wnt2 Expression Confers Poor Prognosis in Colorectal Cancer, and Represents a Novel Therapeutic Target in BRAF-Mutated Colorectal Cancer
Abstract
1. Introduction
2. Materials and Methods
2.1. Clinical CRC Specimen and Clinical Information
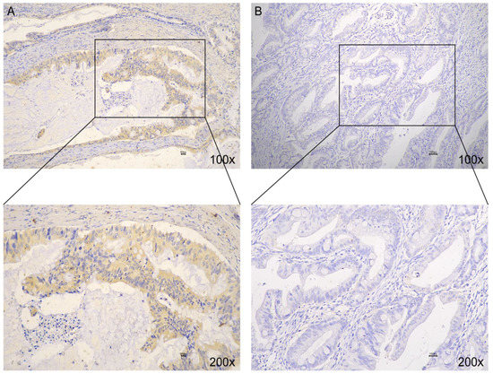
2.2. Immunohistochemical Analysis
2.3. Mutation Detection
2.4. Statistical Analysis
3. Results
3.1. Clinicopathological Features of the Patients with CRC
3.2. High Wnt2 Expression and BRAF Mutations Are Associated with Poor Prognosis in Patients with CRC
3.3. Wnt2 Expression Was Associated with BRAF-Mutated CRC
4. Discussion
5. Conclusions
Author Contributions
Funding
Institutional Review Board Statement
Informed Consent Statement
Data Availability Statement
Acknowledgments
Conflicts of Interest
Abbreviations
| CRC | colorectal cancer |
| OS | overall survival |
References
- Arnold, M.; Sierra, M.S.; Laversanne, M.; Soerjomataram, I.; Jemal, A.; Bray, F. Global patterns and trends in colorectal cancer incidence and mortality. Gut 2017, 66, 683–691. [Google Scholar] [CrossRef]
- Siegel, R.L.; Miller, K.D.; Goding Sauer, A.; Fedewa, S.A.; Butterly, L.F.; Anderson, J.C.; Cercek, A.; Smith, R.A.; Jemal, A. Colorectal cancer statistics, 2020. CA Cancer J. Clin. 2020, 70, 145–164. [Google Scholar] [CrossRef] [PubMed]
- Cao, Y.; Gu, J.; Deng, S.; Li, J.; Wu, K.; Cai, K. Long-term tumour outcomes of self-expanding metal stents as ‘bridge to surgery’ for the treatment of colorectal cancer with malignant obstruction: A systematic review and meta-analysis. Int. J. Colorectal Dis. 2019, 34, 1827–1838. [Google Scholar] [CrossRef] [PubMed]
- Aizawa, T.; Karasawa, H.; Funayama, R.; Shirota, M.; Suzuki, T.; Maeda, S.; Suzuki, H.; Yamamura, A.; Naitoh, T.; Nakayama, K.; et al. Cancer-associated fibroblasts secrete Wnt2 to promote cancer progression in colorectal cancer. Cancer Med. 2019, 8, 6370–6382. [Google Scholar] [CrossRef]
- Katoh, M. WNT2 and human gastrointestinal cancer (review). Int. J. Mol. Med. 2003, 12, 811–816. [Google Scholar] [CrossRef] [PubMed]
- Huguet, E.L.; McMahon, J.A.; McMahon, A.P.; Bicknell, R.; Harris, A.L. Differential expression of human Wnt genes 2, 3, 4, and 7B in human breast cell lines and normal and disease states of human breast tissue. Cancer Res. 1994, 54, 2615–2621. [Google Scholar]
- Sawyer, E.J.; Hanby, A.M.; Poulsom, R.; Jeffery, R.; Gillett, C.E.; Ellis, I.O.; Ellis, P.; Tomlinson, I.P. Beta-catenin abnormalities and associated insulin-like growth factor overexpression are important in phyllodes tumours and fibroadenomas of the breast. J. Pathol. 2003, 200, 627–632. [Google Scholar] [CrossRef]
- Alsaleem, M.; Toss, M.S.; Joseph, C.; Aleskandarany, M.; Kurozumi, S.; Alshankyty, I.; Ogden, A.; Rida, P.C.G.; Ellis, I.O.; Aneja, R.; et al. The molecular mechanisms underlying reduced E-cadherin expression in invasive ductal carcinoma of the breast: High throughput analysis of large cohorts. Mod. Pathol. 2019, 32, 967–976. [Google Scholar] [CrossRef]
- Brooks, M.D.; Wicha, M.S. Tumor twitter: Cellular communication in the breast cancer stem cell niche. Cancer Discov. 2015, 5, 469–471. [Google Scholar] [CrossRef]
- Xiu, D.H.; Liu, G.F.; Yu, S.N.; Li, L.Y.; Zhao, G.Q.; Liu, L.; Li, X.F. Long non-coding RNA LINC00968 attenuates drug resistance of breast cancer cells through inhibiting the Wnt2/beta-catenin signaling pathway by regulating WNT2. J. Exp. Clin. Cancer Res. 2019, 38, 94. [Google Scholar] [CrossRef]
- Cheng, X.X.; Wang, Z.C.; Chen, X.Y.; Sun, Y.; Kong, Q.Y.; Liu, J.; Li, H. Correlation of Wnt-2 expression and beta-catenin intracellular accumulation in Chinese gastric cancers: Relevance with tumour dissemination. Cancer Lett. 2005, 223, 339–347. [Google Scholar] [CrossRef] [PubMed]
- Kramer, N.; Schmollerl, J.; Unger, C.; Nivarthi, H.; Rudisch, A.; Unterleuthner, D.; Scherzer, M.; Riedl, A.; Artaker, M.; Crncec, I.; et al. Autocrine WNT2 signaling in fibroblasts promotes colorectal cancer progression. Oncogene 2017, 36, 5460–5472. [Google Scholar] [CrossRef]
- In, H.; Solsky, I.; Palis, B.; Langdon-Embry, M.; Ajani, J.; Sano, T. Validation of the 8th Edition of the AJCC TNM Staging System for Gastric Cancer using the National Cancer Database. Ann. Surg. Oncol. 2017, 24, 3683–3691. [Google Scholar] [CrossRef]
- Huang, T.X.; Tan, X.Y.; Huang, H.S.; Li, Y.T.; Liu, B.L.; Liu, K.S.; Chen, X.; Chen, Z.; Guan, X.Y.; Zou, C.; et al. Targeting cancer-associated fibroblast-secreted WNT2 restores dendritic cell-mediated antitumour immunity. Gut 2022, 71, 333–344. [Google Scholar] [CrossRef]
- Balmain, A. Cancer genetics: From Boveri and Mendel to microarrays. Nat. Rev. Cancer 2001, 1, 77–82. [Google Scholar] [CrossRef]
- Lal, A.; Ramazzotti, D.; Weng, Z.; Liu, K.; Ford, J.M.; Sidow, A. Comprehensive genomic characterization of breast tumors with BRCA1 and BRCA2 mutations. BMC Med. Genom. 2019, 12, 84. [Google Scholar] [CrossRef] [PubMed]
- Bailey, M.H.; Tokheim, C.; Porta-Pardo, E.; Sengupta, S.; Bertrand, D.; Weerasinghe, A.; Colaprico, A.; Wendl, M.C.; Kim, J.; Reardon, B.; et al. Comprehensive Characterization of Cancer Driver Genes and Mutations. Cell 2018, 174, 1034–1035. [Google Scholar] [CrossRef]
- Janardhan, H.P.; Meng, X.; Dresser, K.; Hutchinson, L.; Trivedi, C.M. KRAS or BRAF mutations cause hepatic vascular cavernomas treatable with MAP2K-MAPK1 inhibition. J. Exp. Med. 2020, 217, e20192205. [Google Scholar] [CrossRef] [PubMed]
- Lee, J.W.; Yoo, N.J.; Soung, Y.H.; Kim, H.S.; Park, W.S.; Kim, S.Y.; Lee, J.H.; Park, J.Y.; Cho, Y.G.; Kim, C.J.; et al. BRAF mutations in non-Hodgkin’s lymphoma. Br. J. Cancer 2003, 89, 1958–1960. [Google Scholar] [CrossRef] [PubMed]
- Caputo, F.; Santini, C.; Bardasi, C.; Cerma, K.; Casadei-Gardini, A.; Spallanzani, A.; Andrikou, K.; Cascinu, S.; Gelsomino, F. BRAF-Mutated Colorectal Cancer: Clinical and Molecular Insights. Int. J. Mol. Sci. 2019, 20, 5369. [Google Scholar] [CrossRef]
- Li, X.; Sun, K.; Liao, X.; Gao, H.; Zhu, H.; Xu, R. Colorectal carcinomas with mucinous differentiation are associated with high frequent mutation of KRAS or BRAF mutations, irrespective of quantity of mucinous component. BMC Cancer 2020, 20, 400. [Google Scholar] [CrossRef]
- Enumah, S.; Fingeret, A.; Parangi, S.; Dias-Santagata, D.; Sadow, P.M.; Lubitz, C.C. BRAF(V600E) Mutation is Associated with an Increased Risk of Papillary Thyroid Cancer Recurrence. World J. Surg. 2020, 44, 2685–2691. [Google Scholar] [CrossRef]
- Parker, K.G.; White, M.G.; Cipriani, N.A. Comparison of Molecular Methods and BRAF Immunohistochemistry (VE1 Clone) for the Detection of BRAF V600E Mutation in Papillary Thyroid Carcinoma: A Meta-Analysis. Head Neck Pathol. 2020, 14, 1067–1079. [Google Scholar] [CrossRef]
- Facchinetti, F.; Lacroix, L.; Mezquita, L.; Scoazec, J.Y.; Loriot, Y.; Tselikas, L.; Gazzah, A.; Rouleau, E.; Adam, J.; Michiels, S.; et al. Molecular mechanisms of resistance to BRAF and MEK inhibitors in BRAF(V600E) non-small cell lung cancer. Eur. J. Cancer 2020, 132, 211–223. [Google Scholar] [CrossRef]
- Hofman, V.; Benzaquen, J.; Heeke, S.; Lassalle, S.; Poudenx, M.; Long, E.; Lanteri, E.; Bordone, O.; Lespinet, V.; Tanga, V.; et al. Real-world assessment of the BRAF status in non-squamous cell lung carcinoma using VE1 immunohistochemistry: A single laboratory experience (LPCE, Nice, France). Lung Cancer 2020, 145, 58–62. [Google Scholar] [CrossRef] [PubMed]
- Urbanska, E.M.; Sorensen, J.B.; Melchior, L.C.; Costa, J.C.; Santoni-Rugiu, E. Changing ALK-TKI-Resistance Mechanisms in Rebiopsies of ALK-Rearranged NSCLC: ALK- and BRAF-Mutations Followed by Epithelial-Mesenchymal Transition. Int. J. Mol. Sci. 2020, 21, 2847. [Google Scholar] [CrossRef]
- Ishikawa, R.; Kadota, K.; Hayashi, T.; Kimura, N.; Inoue, K.; Ibuki, E.; Kagawa, S.; Kushida, Y.; Okada, M.; Miyake, K.; et al. A rare case of BRAF V600E-mutated epithelioid glioblastoma with a sarcomatous component. Pathol. Int. 2020, 70, 166–170. [Google Scholar] [CrossRef]
- Jones, D.T.; Kocialkowski, S.; Liu, L.; Pearson, D.M.; Backlund, L.M.; Ichimura, K.; Collins, V.P. Tandem duplication producing a novel oncogenic BRAF fusion gene defines the majority of pilocytic astrocytomas. Cancer Res. 2008, 68, 8673–8677. [Google Scholar] [CrossRef] [PubMed]
- Rosell, R.; Karachaliou, N. BRAF(V600E) and BRAF-inactivating mutations in NSCLC. Lancet Oncol. 2017, 18, 1286–1287. [Google Scholar] [CrossRef] [PubMed]
- Wang, P.P.; Lin, C.; Wang, J.; Margonis, G.A.; Wu, B. BRAF Mutations in Colorectal Liver Metastases: Prognostic Implications and Potential Therapeutic Strategies. Cancers 2022, 14, 4067. [Google Scholar] [CrossRef] [PubMed]
- Tan, E.; Whiting, J.; Xie, H.; Imanirad, I.; Carballido, E.; Felder, S.; Frakes, J.; Mo, Q.; Walko, C.; Permuth, J.B.; et al. BRAF Mutations Are Associated with Poor Survival Outcomes in Advanced-stage Mismatch Repair-deficient/Microsatellite High Colorectal Cancer. Oncologist 2022, 27, 191–197. [Google Scholar] [CrossRef] [PubMed]
- Vogelstein, B.; Papadopoulos, N.; Velculescu, V.E.; Zhou, S.; Diaz, L.A., Jr.; Kinzler, K.W. Cancer genome landscapes. Science 2013, 339, 1546–1558. [Google Scholar] [CrossRef] [PubMed]
- Huang, D.; Sun, W.; Zhou, Y.; Li, P.; Chen, F.; Chen, H.; Xia, D.; Xu, E.; Lai, M.; Wu, Y.; et al. Mutations of key driver genes in colorectal cancer progression and metastasis. Cancer Metastasis Rev. 2018, 37, 173–187. [Google Scholar] [CrossRef]
- Malik, H.; Khan, A.Z.; Berry, D.P.; Cameron, I.C.; Pope, I.; Sherlock, D.; Helmy, S.; Byrne, B.; Thompson, M.; Pulfer, A.; et al. Liver resection rate following downsizing chemotherapy with cetuximab in metastatic colorectal cancer: UK retrospective observational study. Eur. J. Surg. Oncol. 2015, 41, 499–505. [Google Scholar] [CrossRef][Green Version]
- Unterleuthner, D.; Neuhold, P.; Schwarz, K.; Janker, L.; Neuditschko, B.; Nivarthi, H.; Crncec, I.; Kramer, N.; Unger, C.; Hengstschlager, M.; et al. Cancer-associated fibroblast-derived WNT2 increases tumor angiogenesis in colon cancer. Angiogenesis 2020, 23, 159–177. [Google Scholar] [CrossRef] [PubMed]
- Tran, K.B.; Kolekar, S.; Wang, Q.; Shih, J.H.; Buchanan, C.M.; Deva, S.; Shepherd, P.R. Response to BRAF-targeted Therapy Is Enhanced by Cotargeting VEGFRs or WNT/beta-Catenin Signaling in BRAF-mutant Colorectal Cancer Models. Mol. Cancer Ther. 2022, 21, 1777–1787. [Google Scholar] [CrossRef]




| Exon | Base Changes |
|---|---|
| KRAS-2 | 35G > A |
| 34G > A | |
| 35G > C | |
| 35G > T | |
| 34G > C | |
| 34G > T | |
| 37G > T | |
| BRAF-15 | 1799T > A |
| PIK3CA-9 | 545G > A |
| 542G > A | |
| PIK3CA-20 | 1047A > G |
| ERBB2-20 | 2369C > T |
| Clinicopathological Characteristics | Total | High Expression (n = 37) | Low Expression (n = 99) | p-Value |
|---|---|---|---|---|
| Age | 0.58 | |||
| ≤60 | 34 | 11 | 23 | |
| >60 | 102 | 26 | 76 | |
| Gender | 0.89 | |||
| Female | 63 | 18 | 45 | |
| Male | 73 | 19 | 54 | |
| T-Stage | 0.65 | |||
| T1-2 | 35 | 8 | 27 | |
| T3-4 | 101 | 29 | 72 | |
| N-Stage | 0.63 | |||
| N0 | 87 | 22 | 65 | |
| N1-N2 | 49 | 15 | 34 | |
| M-Stage | 0.69 | |||
| M0 | 113 | 32 | 81 | |
| M1 | 23 | 5 | 18 | |
| TNM-Stage | 0.99 | |||
| Stage I-II | 82 | 22 | 60 | |
| Stage III-IV | 54 | 15 | 39 | |
| ERBB2 | ||||
| Wild-type | 132 | 36 | 96 | 1 |
| Mutation | 4 | 1 | 3 | |
| KRAS | ||||
| Wild-type | 83 | 23 | 60 | 1 |
| Mutation | 53 | 14 | 39 | |
| BRAF | ||||
| Wild-type | 122 | 26 | 96 | 0.0001 |
| Mutation | 14 | 11 | 3 | |
| PIK3CA | ||||
| Wild-type | 112 | 30 | 82 | 0.8 |
| Mutation | 24 | 7 | 17 |
| Variable | Univariate Analysis | Multivariate Analysis | ||
|---|---|---|---|---|
| HR (95%CI) | p-Value | HR(95% CI) | p-Value | |
| Age | 0.48 (0.22–1.07) | 0.074 | ||
| Gender | 0.71 (0.35–1.44) | 0.338 | ||
| Wnt2 expression | 6.3 (2.43–16.33) | <0.0001 | 4.19 (1.1–15.95) | 0.035 |
| T-Stage | 15 (2.02–111.36) | 0.008 | 6.51 (0.77–54.62) | 0.085 |
| N-Stage | 7.16 (3.03–16.93) | <0.0001 | 0.58 (0.11–3.01) | 0.519 |
| M-Stage | 6.27 (3.01–13.07) | <0.0001 | 2.56 (0.99–6.65) | 0.053 |
| TNM-Stage (III–IV v.s. I–II) | 9.91 (3.73–26.3) | <0.0001 | 4.8 (0.61–37.73) | 0.136 |
| ERBB2 | 0.39 (0.05–2.98) | 0.366 | ||
| KRAS | 0.88 (0.43–1.81) | 0.724 | ||
| BRAF | 15.96 (6.17–41.3) | <0.0001 | 7.12 (1.94–26.14) | <0.0001 |
| PIK3CA | 0.87 (0.35–2.16) | 0.77 | ||
| BRAF Mutation | Wnt2 Expression | Tatol, n | χ2 | p | |
|---|---|---|---|---|---|
| High | Low | ||||
| Positive | 41 | 9 | 50 | 52.672 | <0.001 |
| Negtive | 26 | 92 | 118 | ||
| Total, n | 67 | 101 | |||
Disclaimer/Publisher’s Note: The statements, opinions and data contained in all publications are solely those of the individual author(s) and contributor(s) and not of MDPI and/or the editor(s). MDPI and/or the editor(s) disclaim responsibility for any injury to people or property resulting from any ideas, methods, instructions or products referred to in the content. |
© 2023 by the authors. Licensee MDPI, Basel, Switzerland. This article is an open access article distributed under the terms and conditions of the Creative Commons Attribution (CC BY) license (https://creativecommons.org/licenses/by/4.0/).
Share and Cite
Liu, H.; Zhang, L.; Wang, Y.; Wu, R.; Shen, C.; Li, G.; Shi, S.; Mao, Y.; Hua, D. High Wnt2 Expression Confers Poor Prognosis in Colorectal Cancer, and Represents a Novel Therapeutic Target in BRAF-Mutated Colorectal Cancer. Medicina 2023, 59, 1133. https://doi.org/10.3390/medicina59061133
Liu H, Zhang L, Wang Y, Wu R, Shen C, Li G, Shi S, Mao Y, Hua D. High Wnt2 Expression Confers Poor Prognosis in Colorectal Cancer, and Represents a Novel Therapeutic Target in BRAF-Mutated Colorectal Cancer. Medicina. 2023; 59(6):1133. https://doi.org/10.3390/medicina59061133
Chicago/Turabian StyleLiu, Huan, Lihua Zhang, Ye Wang, Rendi Wu, Chenjie Shen, Guifang Li, Shiqi Shi, Yong Mao, and Dong Hua. 2023. "High Wnt2 Expression Confers Poor Prognosis in Colorectal Cancer, and Represents a Novel Therapeutic Target in BRAF-Mutated Colorectal Cancer" Medicina 59, no. 6: 1133. https://doi.org/10.3390/medicina59061133
APA StyleLiu, H., Zhang, L., Wang, Y., Wu, R., Shen, C., Li, G., Shi, S., Mao, Y., & Hua, D. (2023). High Wnt2 Expression Confers Poor Prognosis in Colorectal Cancer, and Represents a Novel Therapeutic Target in BRAF-Mutated Colorectal Cancer. Medicina, 59(6), 1133. https://doi.org/10.3390/medicina59061133
