A Potentially Misleading Hepatocellular Carcinoma
Abstract
1. Introduction
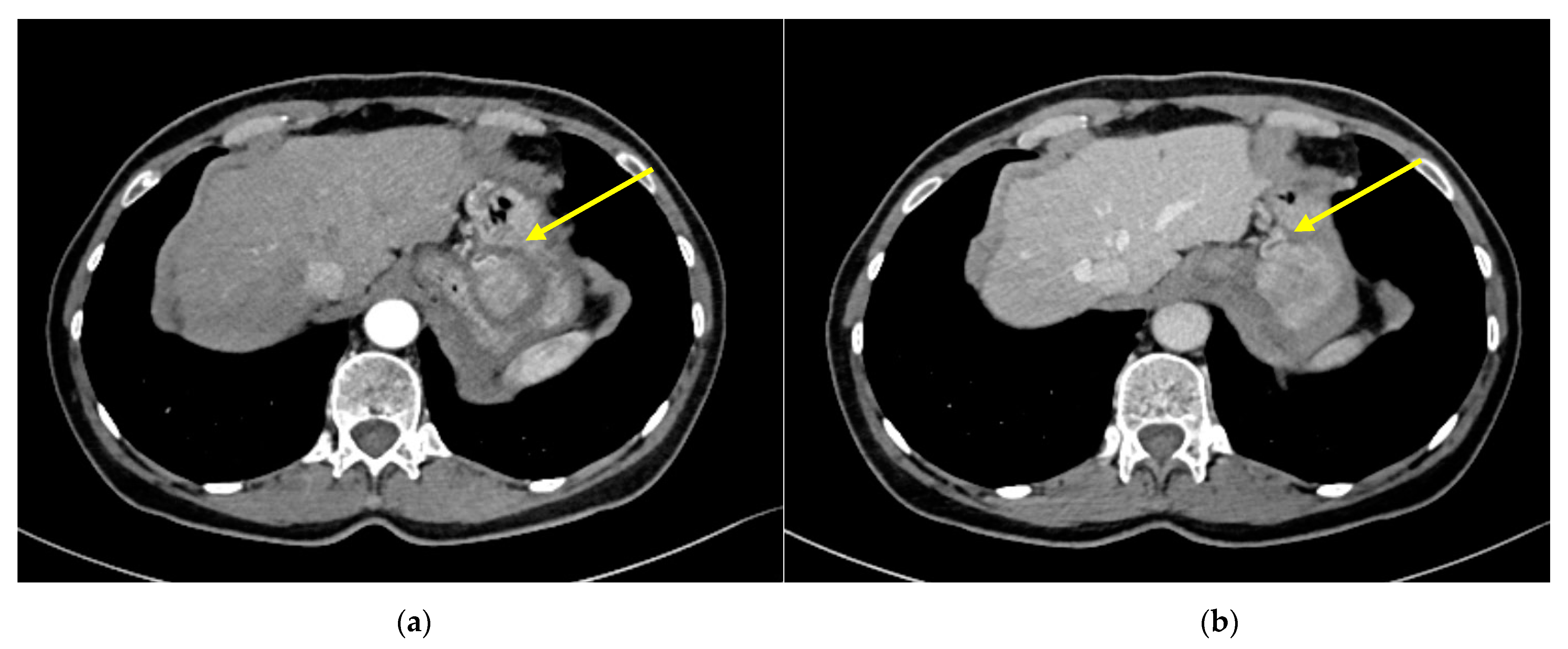
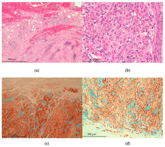
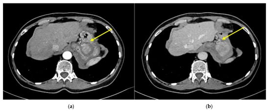
2. Case Report
3. Discussion
4. Conclusions
Author Contributions
Funding
Institutional Review Board Statement
Informed Consent Statement
Data Availability Statement
Conflicts of Interest
References
- Parkin, D.M. Global cancer statistics in the year 2000. Lancet Oncol. 2001, 2, 533–543. [Google Scholar] [CrossRef]
- El-Serag, H.B.; Rudolph, K.L. Hepatocellular Carcinoma: Epidemiology and Molecular Carcinogenesis. Gastroenterology 2007, 132, 2557–2576. [Google Scholar] [CrossRef] [PubMed]
- Champetier, J.; Yver, R.; Letoublon, C.; Vigneau, B. A general review of anomalies of hepatic morphology and their clinical implications. Anat Clin. 1985, 7, 285–299. [Google Scholar] [CrossRef] [PubMed]
- Khan, A.M.; Hundal, R.; Manzoor, K.; Dhuper, S.; Korsten, M.A. Accessory liver lobes: A diagnostic and therapeutic challenge of their torsions. Scand. J. Gastroenterol. 2006, 41, 125–130. [Google Scholar] [CrossRef] [PubMed]
- Gaber, M. Accessory liver containing metastatic tumour. Virchows Arch. A Pathol. Anat. Histol. 1980, 385, 361–364. [Google Scholar] [CrossRef]
- Riedel, I. Uber den zungenformigen Forsarz des rechten Leberlappens und seine pathognostische Bedeutung fur die Erkrankung der Gallenblase nebst Bemerkungen uber Gallenstein Operationen. Berl. Klin. Wochenschr. 1888, 29, 577–581. [Google Scholar]
- Gillard, J.H.; Patel, M.C.; Abrahams, P.H.; Dixon, A.K. Riedel’s lobe of the liver. Am. J. Surg. 1963, 105, 812–815. [Google Scholar]
- Morris, M.W., Jr.; Helling, T.S.; Creswell, L.L.; Jordan, B.; Mitchell, M.E. Ectopic liver masquerading as a floating intracaval mass. J. Vasc. Surg. 2012, 55, 1759–1761. [Google Scholar] [CrossRef][Green Version]
- Kostov, D.V.; Kobakov, G.L. Accessory hepatic lobe. Surg. Radiol. Anat. 2011, 33, 819–822. [Google Scholar] [CrossRef]
- Wang, X.; Zhang, Q.; Xu, K. Hepatocellular carcinoma arising from left accessory liver lobe supplied by the branch of left hepatic artery. A case report. Medicine 2019, 98, 40. [Google Scholar]
- Ferlay, J.; Soerjomataram, I.; Ervik, M.; Dikshit, R.; Eser, S.; Mathers, C.; Rebelo, M.; Parkin, D.M.; Forman, D.; Bray, F. Cancer incidence and mortality worldwide: Sources, methods and major patterns in GLOBOCAN 2012. Int. J. Cancer 2015, 136, 359–386. [Google Scholar] [CrossRef] [PubMed]
- Wallace, M.C.; Preen, D.; Jeffrey, G.P.; Adams, L.A. The evolving epidemiology of hepatocellular carcinoma: A global perspective. Expert Rev. Gastroenterol. Hepatol. 2015, 9, 765–779. [Google Scholar] [CrossRef] [PubMed]
- Chiesa, R.; Donato, F.; Tagger, A.; Favret, M.; Ribero, M.L.; Nardi, G.; Gelatti, U.; Bucella, E.; Tomasi, E.; Portolani, N.; et al. Etiology of hepatocellular carcinoma in Italian patients with and without cirrhosis. Cancer Epidemiol. Biomark. Prev. 2000, 9, 213–216. [Google Scholar]
- Simonetti, R.G.; Cammà, C.; Fiorello, F.; Politi, F.; D’Amico, G.; Pagliaro, L. Hepatocellular carcinoma. A worldwide problem and the major risk factors. Dig. Dis. Sci. 1991, 36, 962–972. [Google Scholar] [CrossRef] [PubMed]
- Schuppan, D.; Afdhal, N.H. Liver cirrhosis. Lancet 2008, 371, 838–851. [Google Scholar] [CrossRef]
- Carrabetta, S.; Piombo, A.; Podestà, R.; Auriati, L. Images in surgery: Torsion and infarction accessory liver lobe in young man. Surgery 2009, 145, 448–449. [Google Scholar] [CrossRef] [PubMed]
- Sato, S.; Watanabe, M.; Nagasawa, S.; Niigaki, M.; Sakai, S.; Akagi, S. Laparoscopic observations of congenital anomalies of the liver. Gastrointest. Endosc. 1998, 47, 136–140. [Google Scholar] [CrossRef]
- Yeh, C.N.; Lee, W.C.; Jeng, L.B.; Chen, M.F. Pedunculated hepatocellular carcinoma: Clinicopathologic study of 18 surgically resected cases. World J. Surg. 2002, 26, 1133–1138. [Google Scholar] [CrossRef]
- Arakawa, M.; Kimura, Y.; Sakata, K.; Kubo, Y.; Fukushima, T.; Okuda, K. Propensity of ectopic liver to hepatocarcinogenesis: Case reports and a review of the literature. Hepatology 1999, 29, 57–61. [Google Scholar] [CrossRef]
- Caygill, C.; Gatenby, P. Ectopic liver and hepatocarcinogenesis. Eur. J. Gastroenterol. Hepatol. 2004, 16, 727–729. [Google Scholar] [CrossRef]
- Karatzas, T.; Smirnis, A.; Dimitroulis, D.; Patsouras, D.; Evaggelou, K.; Kykalos, S.; Kouraklis, G. Giant pedunculated hepatocellular carcinoma with hemangioma mimicking intestinal obstruction. BMC Gastroenterol. 2011, 11, 99. [Google Scholar] [CrossRef] [PubMed]
- Horie, Y.; Shigoku, A.; Tanaka, H.; Tomie, Y.; Maeda, N.; Hoshino, U.; Koda, M.; Shiota, G.; Yamamoto, T.; Kato, S.; et al. Prognosis for pedunculated hepatocellular carcinoma. Oncology 1999, 57, 23–28. [Google Scholar] [CrossRef] [PubMed]
- Woodall, C.E.; Scoggins, C.R.; Loehle, J.; Ravindra, K.V.; McMasters, K.M.; Martin, R.C. Hepatic imaging characteristics predict overall survival in hepatocellular carcinoma. Ann. Surg. Oncol. 2007, 14, 2824–2830. [Google Scholar] [CrossRef] [PubMed]




Publisher’s Note: MDPI stays neutral with regard to jurisdictional claims in published maps and institutional affiliations. |
© 2021 by the authors. Licensee MDPI, Basel, Switzerland. This article is an open access article distributed under the terms and conditions of the Creative Commons Attribution (CC BY) license (https://creativecommons.org/licenses/by/4.0/).
Share and Cite
De Simoni, O.; Barina, A.; Gruppo, M.; Scapinello, A.; Mourmouras, V.; Pilati, P.; Franzato, B. A Potentially Misleading Hepatocellular Carcinoma. Medicina 2021, 57, 850. https://doi.org/10.3390/medicina57080850
De Simoni O, Barina A, Gruppo M, Scapinello A, Mourmouras V, Pilati P, Franzato B. A Potentially Misleading Hepatocellular Carcinoma. Medicina. 2021; 57(8):850. https://doi.org/10.3390/medicina57080850
Chicago/Turabian StyleDe Simoni, Ottavia, Andrea Barina, Mario Gruppo, Antonio Scapinello, Vasileios Mourmouras, Pierluigi Pilati, and Boris Franzato. 2021. "A Potentially Misleading Hepatocellular Carcinoma" Medicina 57, no. 8: 850. https://doi.org/10.3390/medicina57080850
APA StyleDe Simoni, O., Barina, A., Gruppo, M., Scapinello, A., Mourmouras, V., Pilati, P., & Franzato, B. (2021). A Potentially Misleading Hepatocellular Carcinoma. Medicina, 57(8), 850. https://doi.org/10.3390/medicina57080850

