Tubulocystic Renal Cell Carcinoma Is Not an Indolent Tumor: A Case Report of Recurrences in the Retroperitoneum and Contralateral Kidney
Abstract
1. Introduction
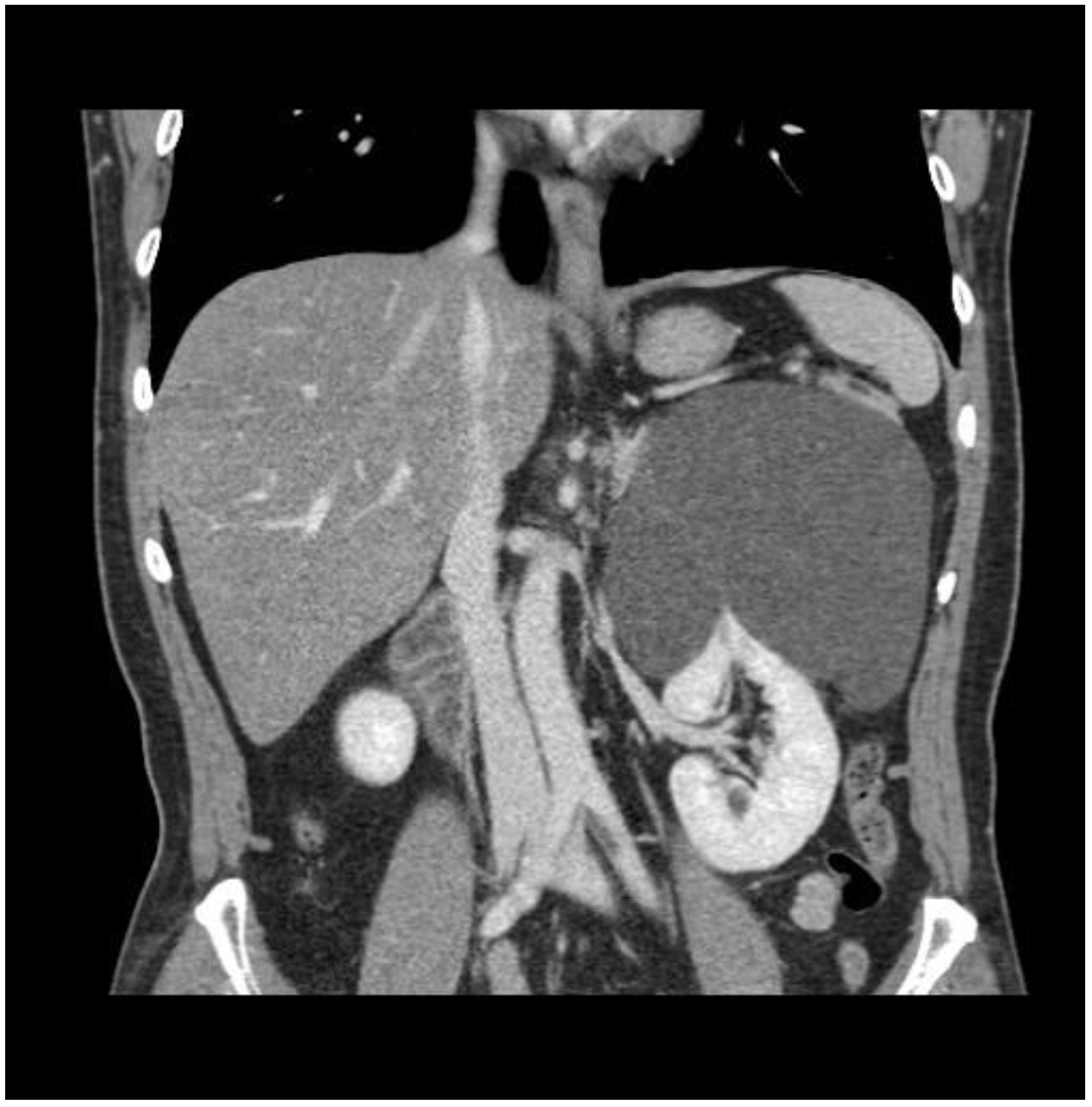
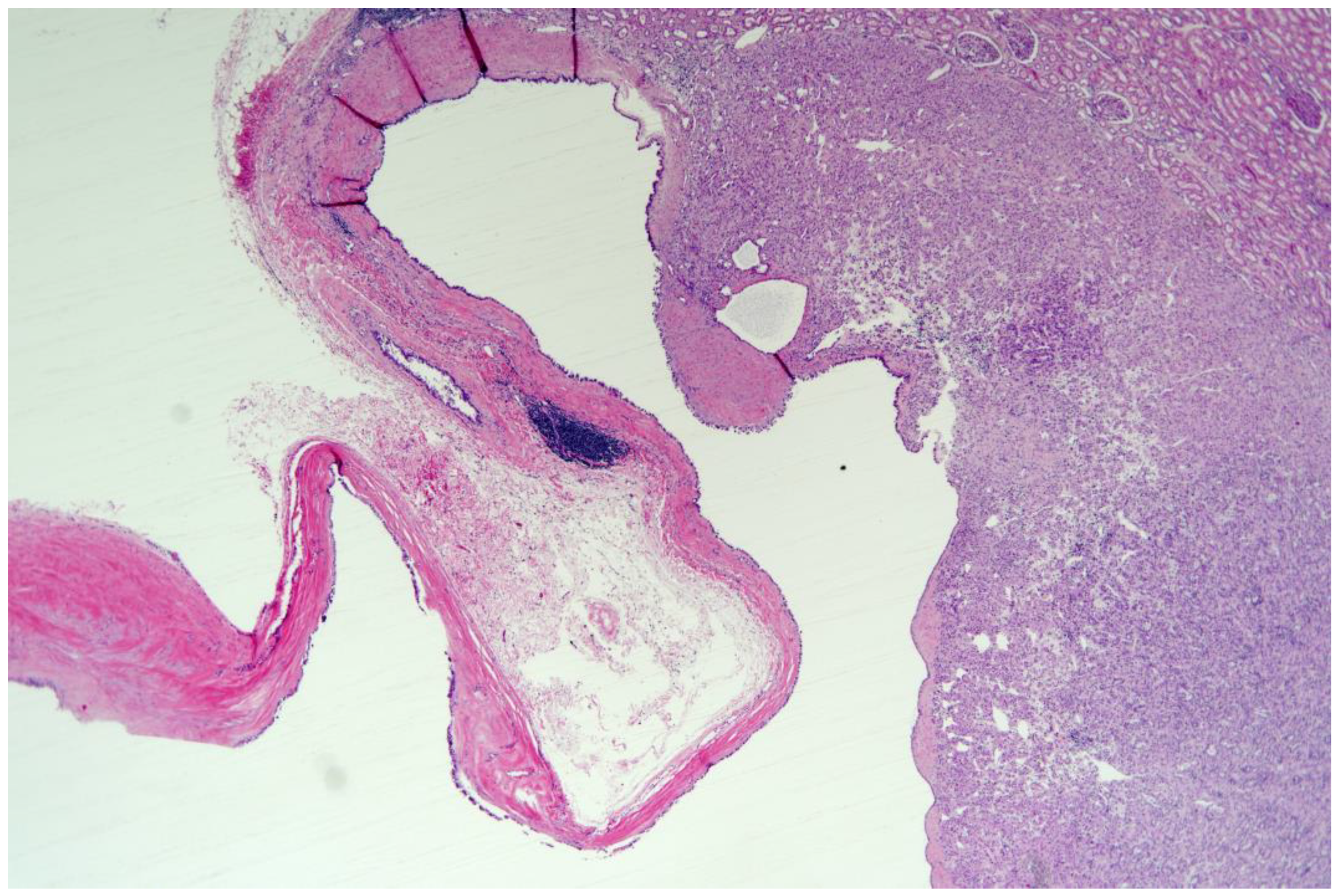
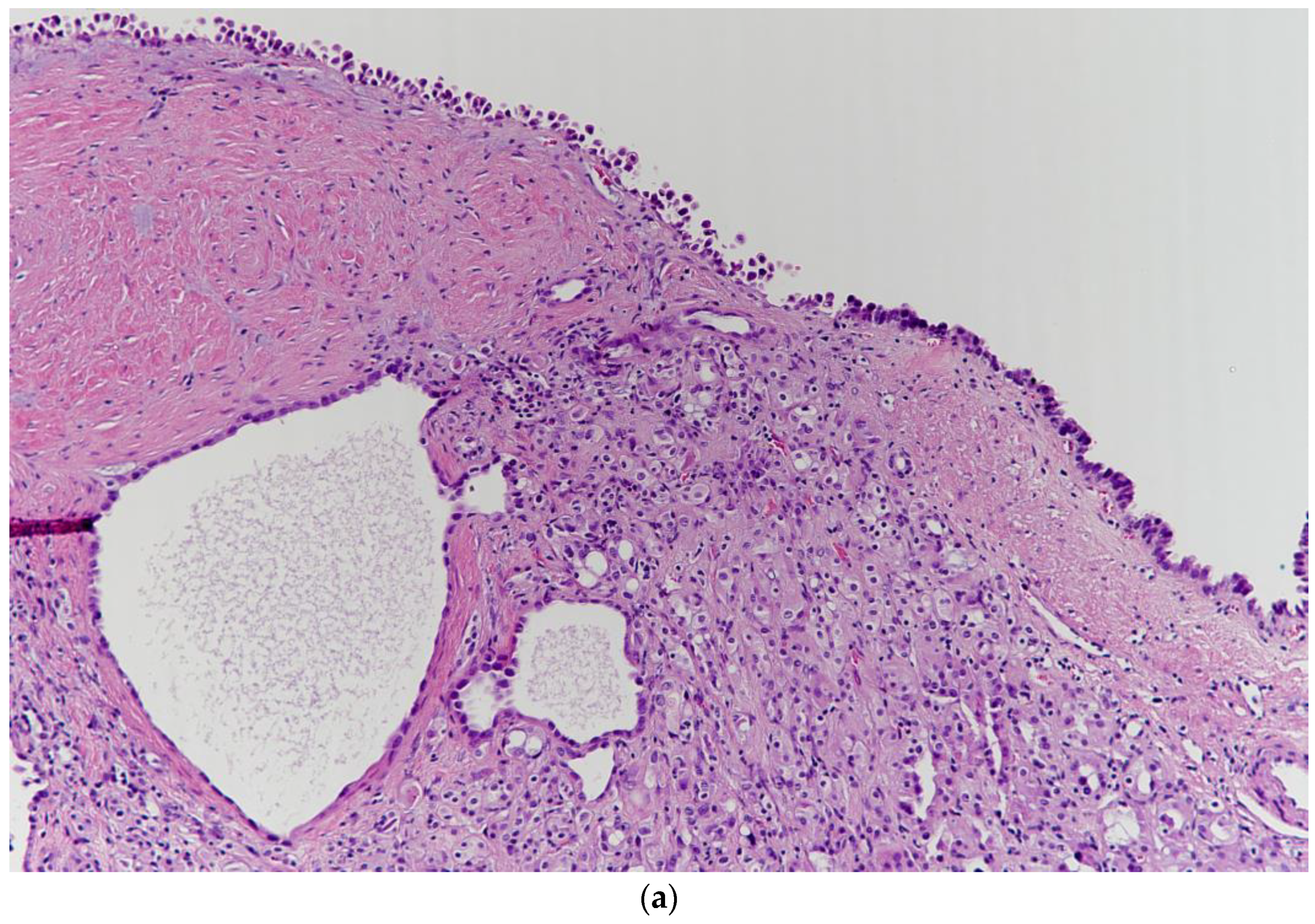
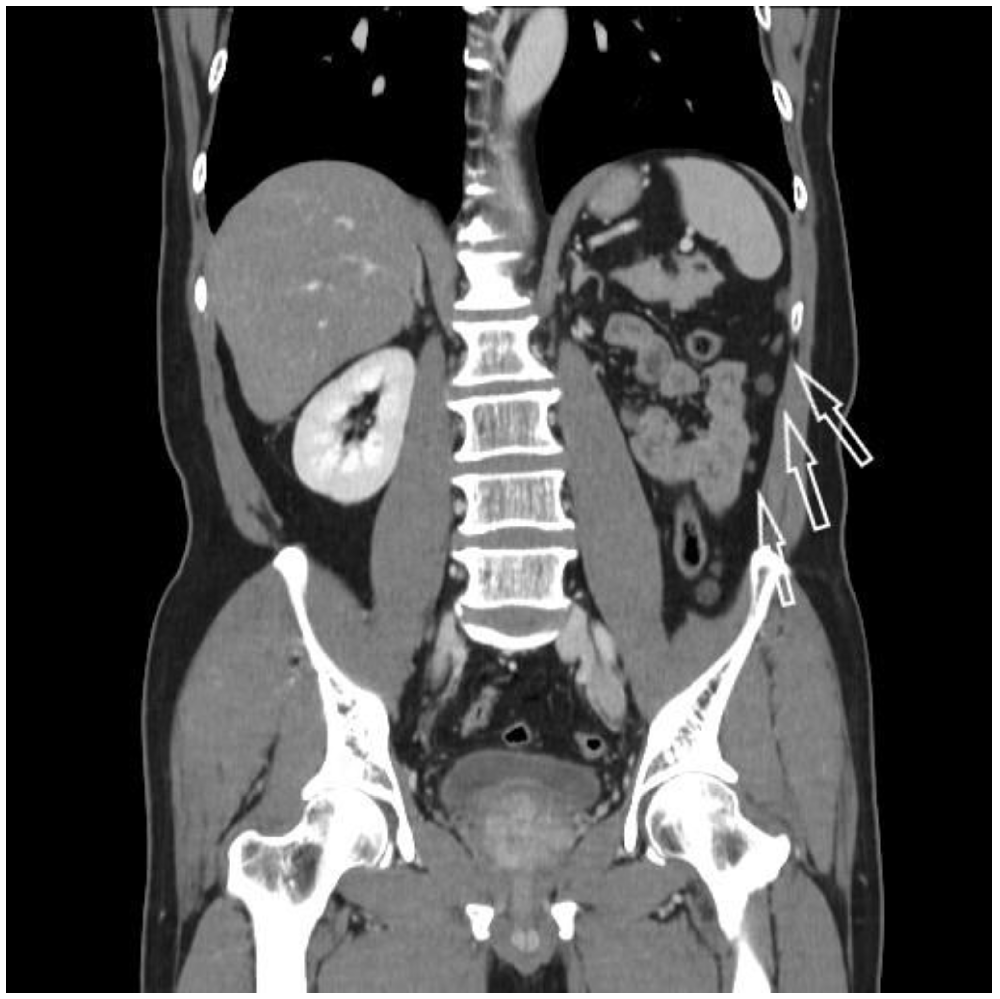
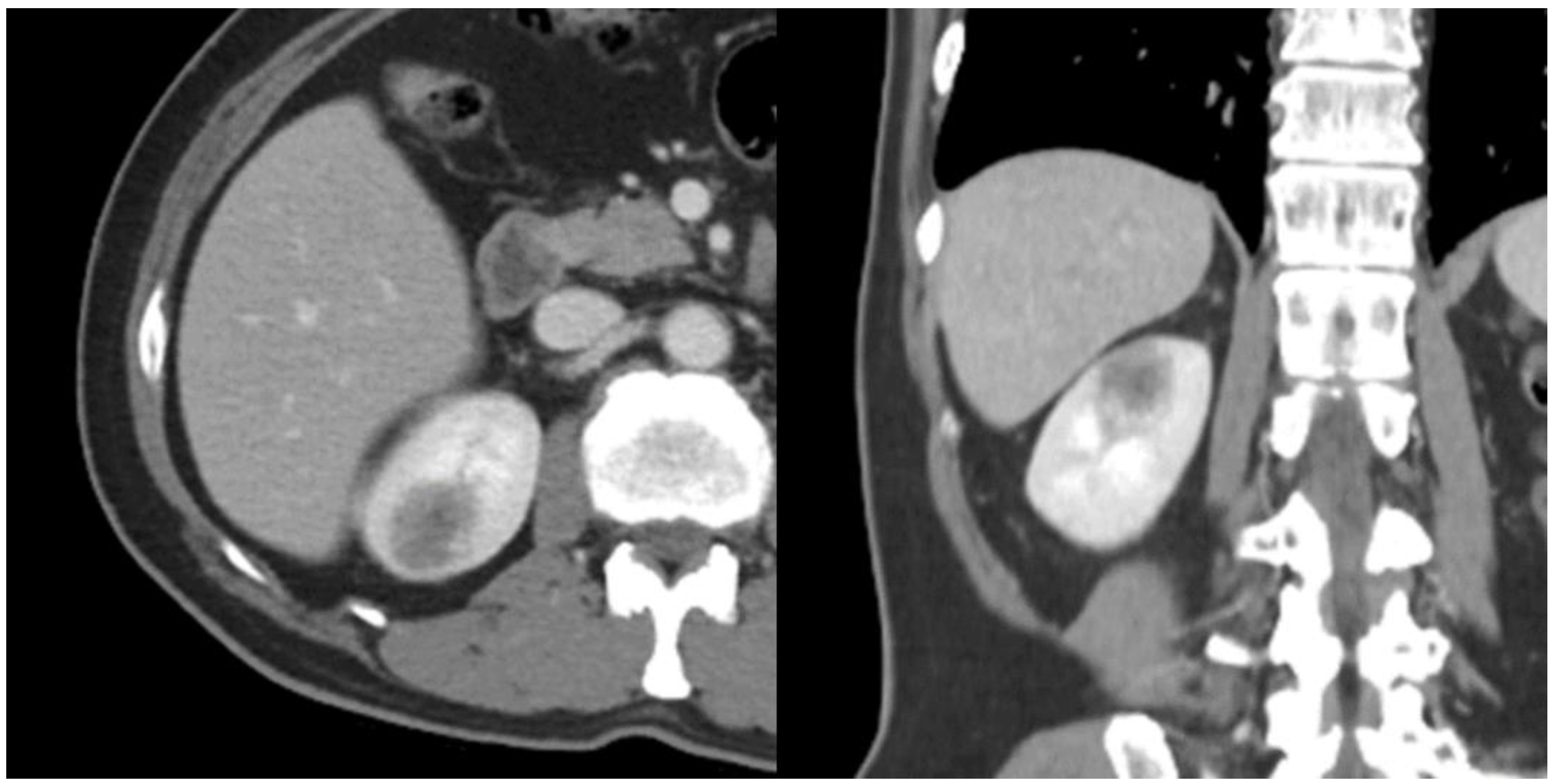
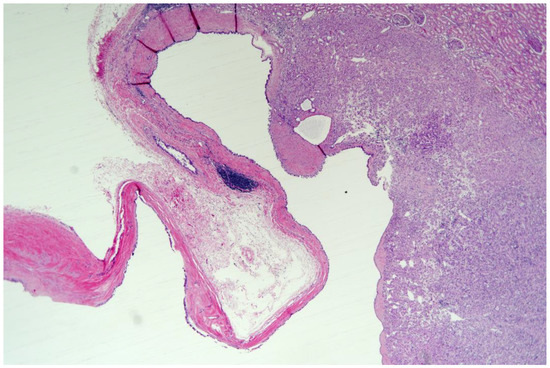
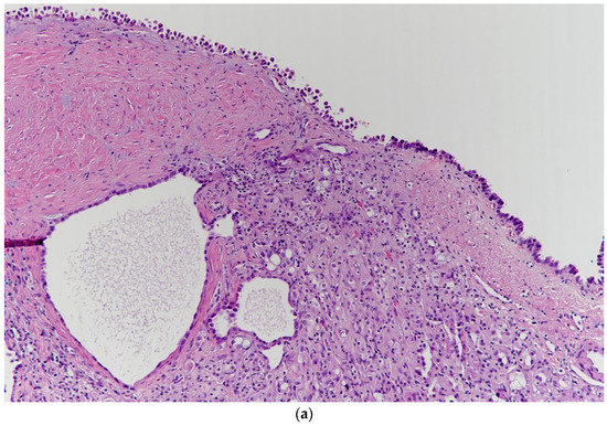
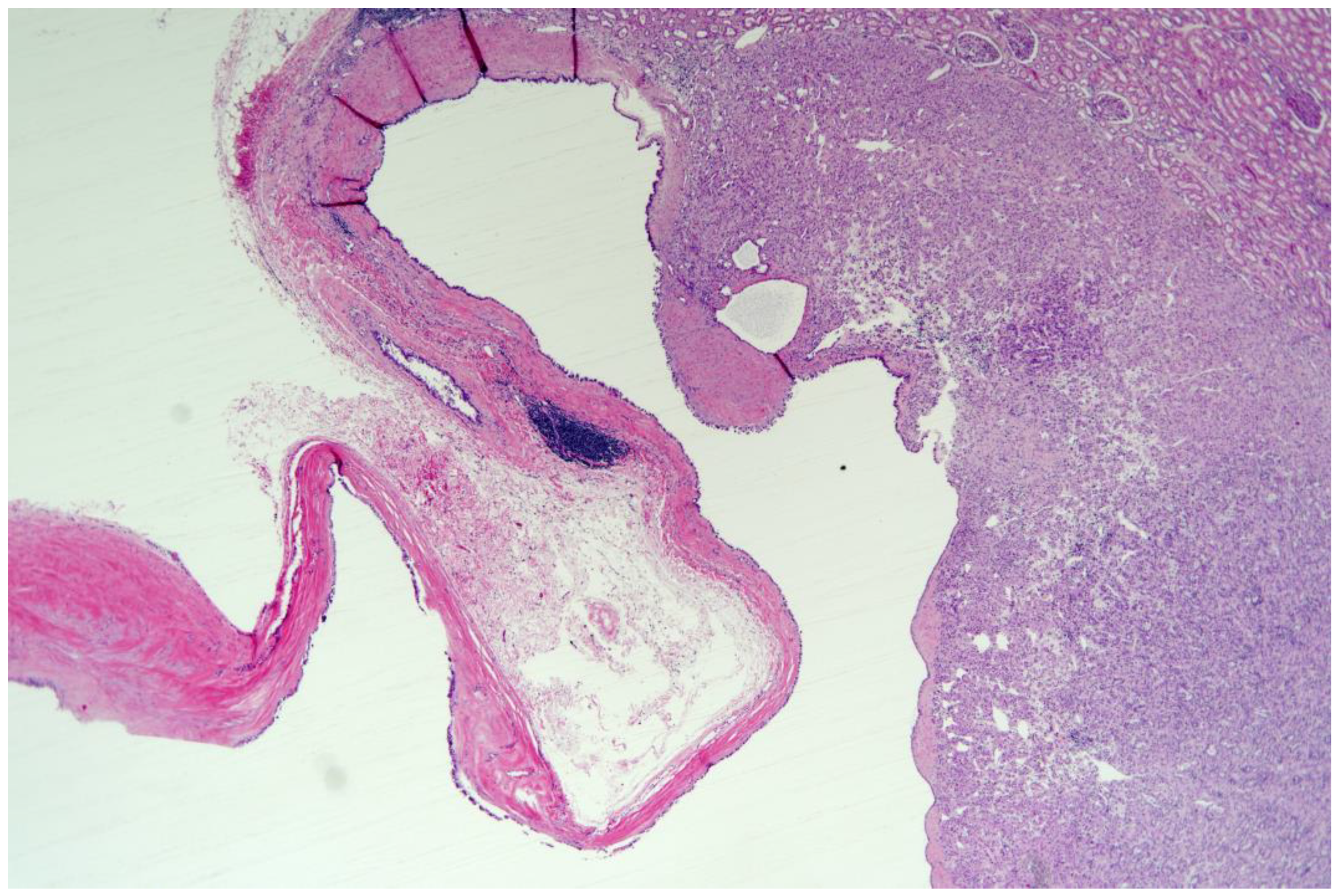
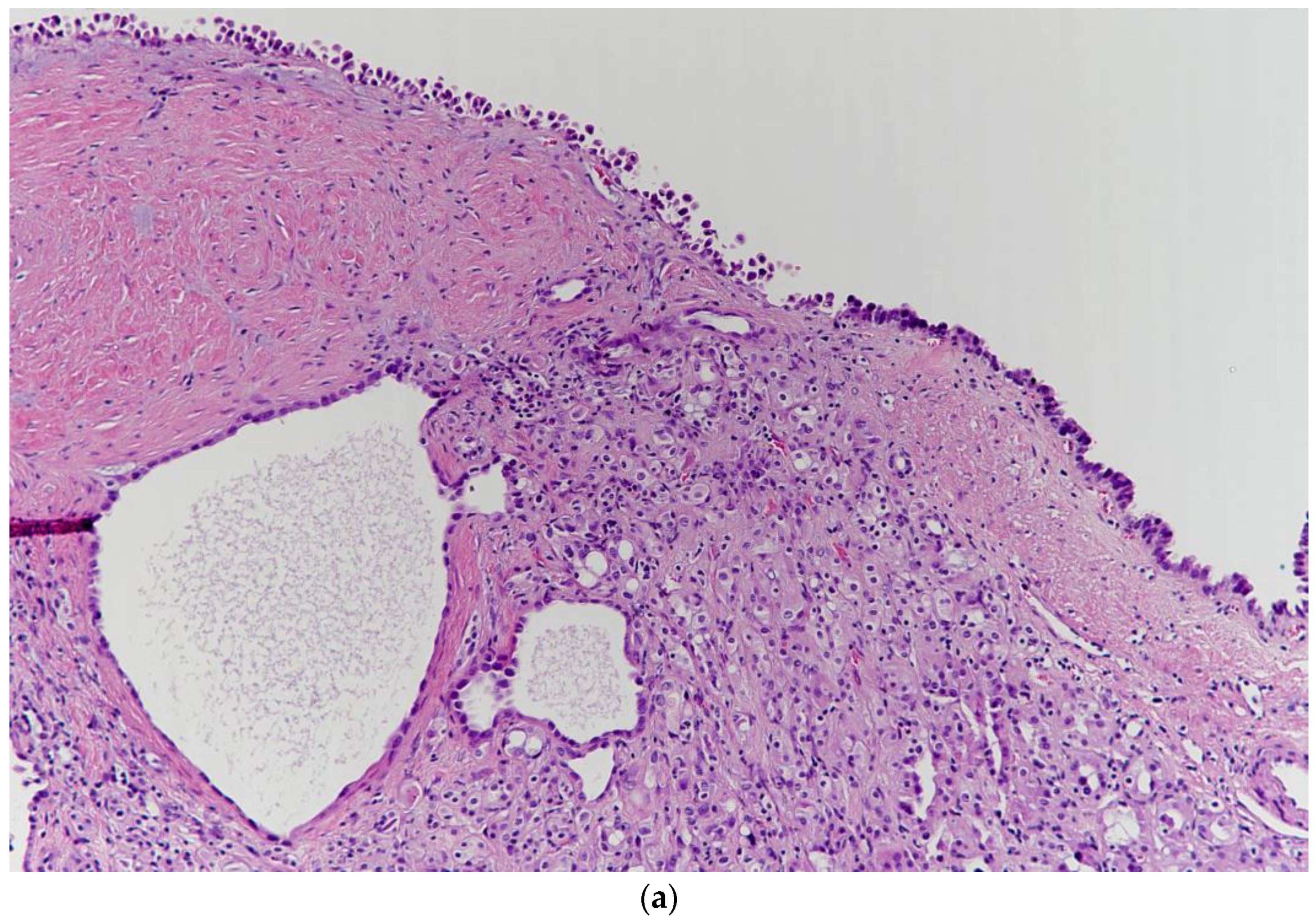
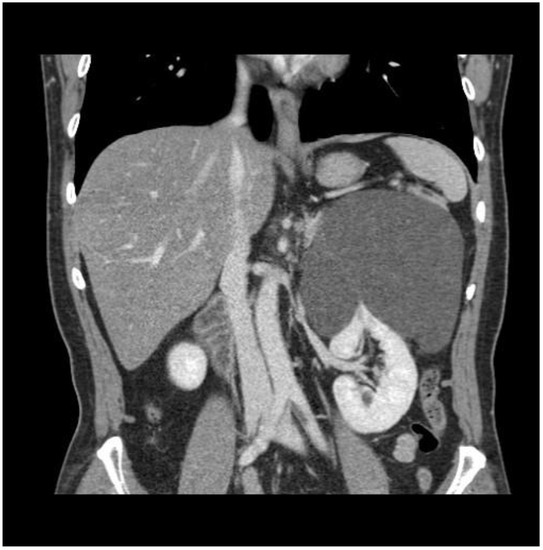
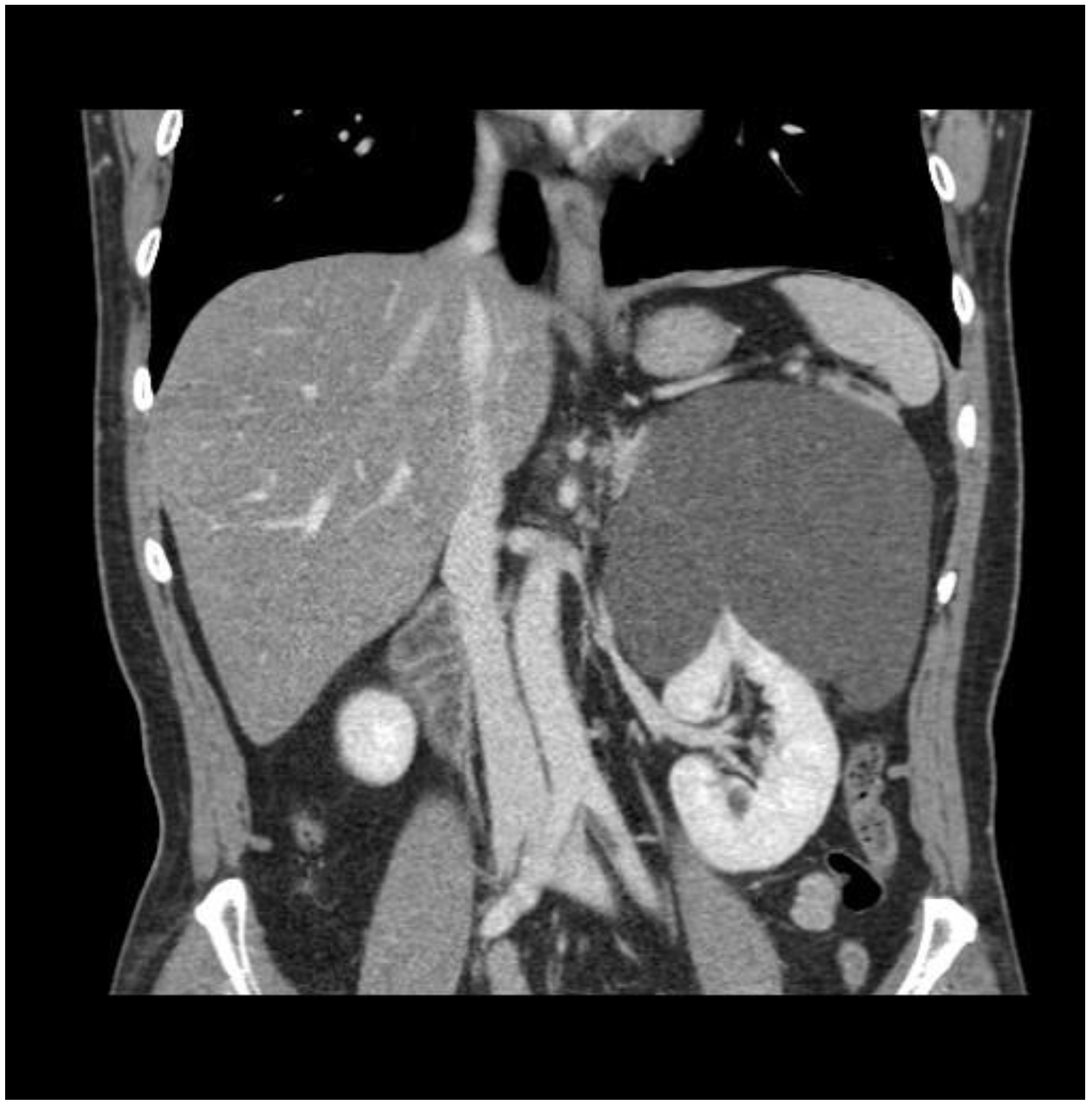
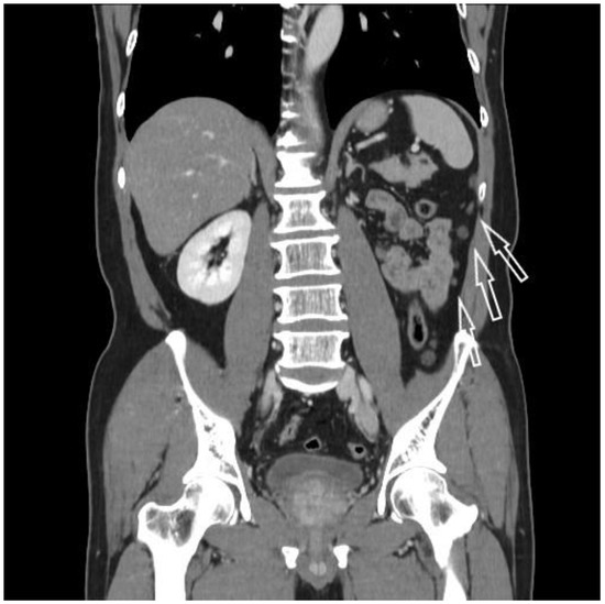
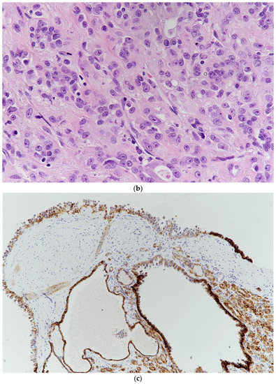
2. Case Report
3. Discussion
Author Contributions
Funding
Institutional Review Board Statement
Informed Consent Statement
Data Availability Statement
Acknowledgments
Conflicts of Interest
References
- Moch, H.; Cubilla, A.L.; Humphrey, P.A.; Reuter, V.E.; Ulbright, T.M. The 2016 WHO Classification of Tumours of the Urinary System and Male Genital Organs-Part A: Renal, Penile, and Testicular Tumours. Eur. Urol. 2016, 70, 93–105. [Google Scholar] [CrossRef] [PubMed]
- Banerjee, I.; Yadav, S.S.; Tomar, V.; Yadav, S.; Talreja, S. Tubulocystic Renal Cell Carcinoma: A Great Imitator. Rev. Urol. 2016, 18, 118–121. [Google Scholar] [CrossRef]
- Amin, M.B.; MacLennan, G.T.; Gupta, R.; Grignon, D.; Paraf, F.; Vieillefond, A.; Paner, G.P.; Stovsky, M.; Young, A.N.; Srigley, J.R.; et al. Tubulocystic carcinoma of the kidney: Clinicopathologic analysis of 31 cases of a distinctive rare subtype of renal cell carcinoma. Am. J. Surg. Pathol. 2009, 33, 384–392. [Google Scholar] [CrossRef] [PubMed]
- Yang, X.J.; Zhou, M.; Hes, O.; Shen, S.; Li, R.; Lopez, J.; Shah, R.B.; Yang, Y.; Chuang, S.T.; Lin, F.; et al. Tubulocystic carcinoma of the kidney: Clinicopathologic and molecular characterization. Am. J. Surg. Pathol. 2008, 32, 177–187. [Google Scholar] [CrossRef] [PubMed]
- Bhullar, J.S.; Thamboo, T.; Esuvaranathan, K. Unique case of tubulocystic carcinoma of the kidney with sarcomatoid features: A new entity. Urology 2011, 78, 1071–1072. [Google Scholar] [CrossRef]
- Cornelis, F.; Hélénon, O.; Correas, J.M.; Lemaitre, L.; André, M.; Meuwly, J.Y.; Sengel, C.; Derchi, L.; Yacoub, M.; Verkarre, V.; et al. Tubulocystic renal cell carcinoma: A new radiological entity. Eur. Radiol. 2016, 26, 1108–1115. [Google Scholar] [CrossRef] [PubMed]
- MacLennan, G.T.; Cheng, L. Tubulocystic carcinoma of the kidney. J. Urol. 2011, 185, 2348–2349. [Google Scholar] [CrossRef] [PubMed]
- Narayanasamy, S.; Krishna, S.; Prasad Shanbhogue, A.K.; Flood, T.A.; Sadoughi, N.; Sathiadoss, P.; Schieda, N. Contemporary update on imaging of cystic renal masses with histopathological correlation and emphasis on patient management. Clin. Radiol. 2019, 74, 83–94. [Google Scholar] [CrossRef] [PubMed]
- Oderda, M.; Maletta, F.; Palazzetti, A.; Faletti, R.; Falcone, M.; Marra, G.; Galliano, D.; Davico Bonino, L.; Gontero, P. Tubulocystic renal cell carcinoma disguised as a renal cyst. Minerva Urol. E Nefrol. Ital. J. Urol. Nephrol. 2016, 68, 451–455. [Google Scholar]
- Tran, T.; Jones, C.L.; Williamson, S.R.; Eble, J.N.; Grignon, D.J.; Zhang, S.; Wang, M.; Baldridge, L.A.; Wang, L.; Montironi, R.; et al. Tubulocystic renal cell carcinoma is an entity that is immunohistochemically and genetically distinct from papillary renal cell carcinoma. Histopathology 2016, 68, 850–857. [Google Scholar] [CrossRef] [PubMed]
- Osunkoya, A.O.; Young, A.N.; Wang, W.; Netto, G.J.; Epstein, J.I. Comparison of gene expression profiles in tubulocystic carcinoma and collecting duct carcinoma of the kidney. Am. J. Surg. Pathol. 2009, 33, 1103–1106. [Google Scholar] [CrossRef] [PubMed]
- Zhou, M.; Yang, X.J.; Lopez, J.I.; Shah, R.B.; Hes, O.; Shen, S.S.; Li, R.; Yang, Y.; Lin, F.; Elson, P.; et al. Renal tubulocystic carcinoma is closely related to papillary renal cell carcinoma: Implications for pathologic classification. Am. J. Surg. Pathol. 2009, 33, 1840–1849. [Google Scholar] [CrossRef] [PubMed]
- Al-Hussain, T.O.; Cheng, L.; Zhang, S.; Epstein, J.I. Tubulocystic carcinoma of the kidney with poorly differentiated foci: A series of 3 cases with fluorescence in situ hybridization analysis. Hum. Pathol. 2013, 44, 1406–1411. [Google Scholar] [CrossRef] [PubMed]
- Smith, S.C.; Trpkov, K.; Chen, Y.B.; Mehra, R.; Sirohi, D.; Ohe, C.; Cani, A.K.; Hovelson, D.H.; Omata, K.; McHugh, J.B.; et al. Tubulocystic Carcinoma of the Kidney with Poorly Differentiated Foci: A Frequent Morphologic Pattern of Fumarate Hydratase-deficient Renal Cell Carcinoma. Am. J. Surg. Pathol. 2016, 40, 1457–1472. [Google Scholar] [CrossRef]
- Zhao, M.; Teng, X.; Ru, G.; Zhao, Z.; Hu, Q.; Han, L.; He, X. Tubulocystic renal cell carcinoma with poorly differentiated foci is indicative of aggressive behavior: Clinicopathologic study of two cases and review of the literature. Int. J. Clin. Exp. Pathol. 2015, 8, 11124–11131. [Google Scholar]
- Al-Hussain, T.O.; Alahmadi, B.; Junejo, N.N.; Alshammari, K.; Bakshi, N.; Alzahrani, H.M. Tubulocystic renal cell carcinoma with poorly differentiated foci and loss of fumarate hydratase: A case report. Urol. Case Rep. 2020, 33, 101236. [Google Scholar] [CrossRef]
- Mego, M.; Sycova-Mila, Z.; Rejlekova, K.; Rychly, B.; Obertova, J.; Rajec, J.; Hes, O.; Mardiak, J. Sunitinib in the treatment of tubulocystic carcinoma of the kidney. A case report. Ann. Oncol. Off. J. Eur. Soc. Med. Oncol. 2008, 19, 1655–1656. [Google Scholar] [CrossRef]
- Teramoto, S.; Niwakawa, M.; Muraoka, K.; Ogawa, M.; Kunieda, F.; Matsuzaki, M.; Yamashita, R.; Matsui, T.; Yamaguchi, R.; Tobisu, K. Tubulocystic carcinoma of the kidney. Nihon Hinyokika Gakkai Zasshi Jpn. J. Urol. 2011, 102, 696–700. [Google Scholar] [CrossRef][Green Version]
- Urabe, F.; Miki, J.; Yanagisawa, T.; Kimura, T.; Nakano, M.; Suzuki, M.; Kishimoto, K.; Egawa, S. A Case of Metastatic Tubulocystic Carcinoma of the Kidney Treated with Molecularly Targeted Therapy. Hinyokika Kiyo Acta Urol. Jpn. 2016, 62, 569–574. [Google Scholar] [CrossRef]
- Motzer, R.J.; Jonasch, E.; Michaelson, M.D.; Nandagopal, L.; Gore, J.L.; George, S.; Alva, A.; Haas, N.; Harrison, M.R.; Plimack, E.R.; et al. NCCN Guidelines Insights: Kidney Cancer, Version 2. 2020. J. Natl. Compr. Cancer Netw. JNCCN 2019, 17, 1278–1285. [Google Scholar] [CrossRef] [PubMed]
- Curry, D.; Pahuja, A.; Loan, W.; Thwaini, A. Radiofrequency Ablation of Small Renal Masses: Outcomes, Complications and Effects on Renal Function. Curr. Urol. 2017, 11, 196–200. [Google Scholar] [CrossRef] [PubMed]
- Kim, H.J.; Park, B.K.; Park, J.J.; Kim, C.K. CT-Guided Radiofrequency Ablation of T1a Renal Cell Carcinoma in Korea: Mid-Term Outcomes. Korean J. Radiol. 2016, 17, 763–770. [Google Scholar] [CrossRef] [PubMed][Green Version]
- Gonnet, A.; Salabert, L.; Roubaud, G.; Catena, V.; Brouste, V.; Buy, X.; Gross Goupil, M.; Ravaud, A.; Palussière, J. Renal cell carcinoma lung metastases treated by radiofrequency ablation integrated with systemic treatments: Over 10 years of experience. BMC Cancer 2019, 19, 1182. [Google Scholar] [CrossRef] [PubMed]






Publisher’s Note: MDPI stays neutral with regard to jurisdictional claims in published maps and institutional affiliations. |
© 2021 by the authors. Licensee MDPI, Basel, Switzerland. This article is an open access article distributed under the terms and conditions of the Creative Commons Attribution (CC BY) license (https://creativecommons.org/licenses/by/4.0/).
Share and Cite
Choi, T.-S.; Lee, D.-G.; Won, K.-Y.; Min, G.-E. Tubulocystic Renal Cell Carcinoma Is Not an Indolent Tumor: A Case Report of Recurrences in the Retroperitoneum and Contralateral Kidney. Medicina 2021, 57, 851. https://doi.org/10.3390/medicina57080851
Choi T-S, Lee D-G, Won K-Y, Min G-E. Tubulocystic Renal Cell Carcinoma Is Not an Indolent Tumor: A Case Report of Recurrences in the Retroperitoneum and Contralateral Kidney. Medicina. 2021; 57(8):851. https://doi.org/10.3390/medicina57080851
Chicago/Turabian StyleChoi, Tae-Soo, Dong-Gi Lee, Kyu-Yeoun Won, and Gyeong-Eun Min. 2021. "Tubulocystic Renal Cell Carcinoma Is Not an Indolent Tumor: A Case Report of Recurrences in the Retroperitoneum and Contralateral Kidney" Medicina 57, no. 8: 851. https://doi.org/10.3390/medicina57080851
APA StyleChoi, T.-S., Lee, D.-G., Won, K.-Y., & Min, G.-E. (2021). Tubulocystic Renal Cell Carcinoma Is Not an Indolent Tumor: A Case Report of Recurrences in the Retroperitoneum and Contralateral Kidney. Medicina, 57(8), 851. https://doi.org/10.3390/medicina57080851

