A Case of Incidental Schwannoma Mimicking Necrotic Metastatic Lymph Node from Bladder Cancer
Abstract
1. Introduction
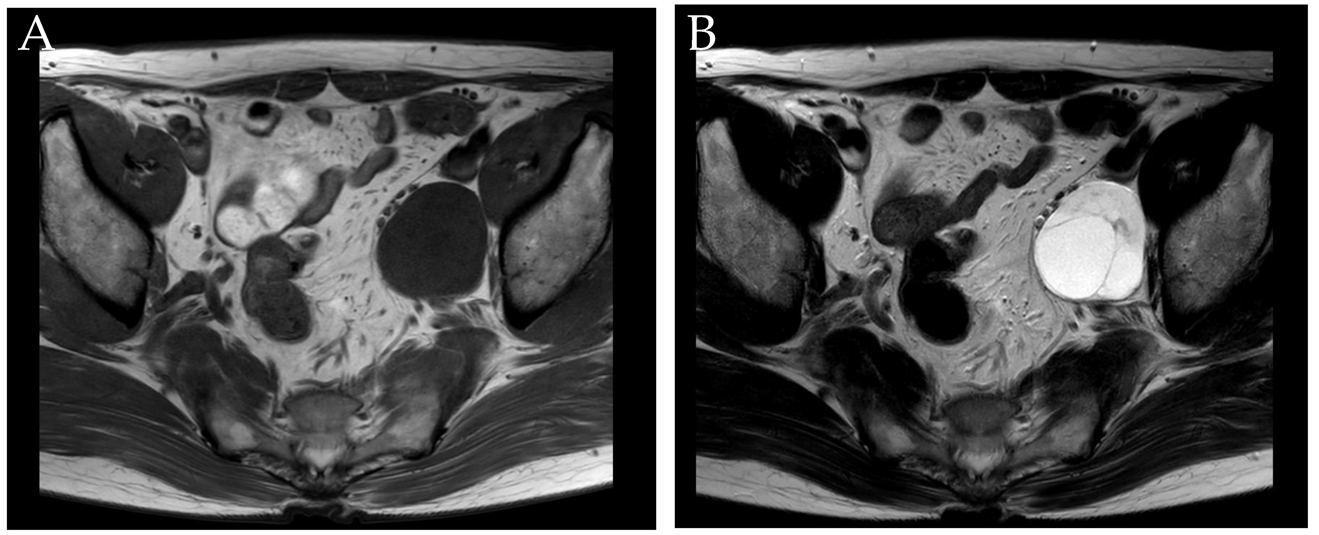
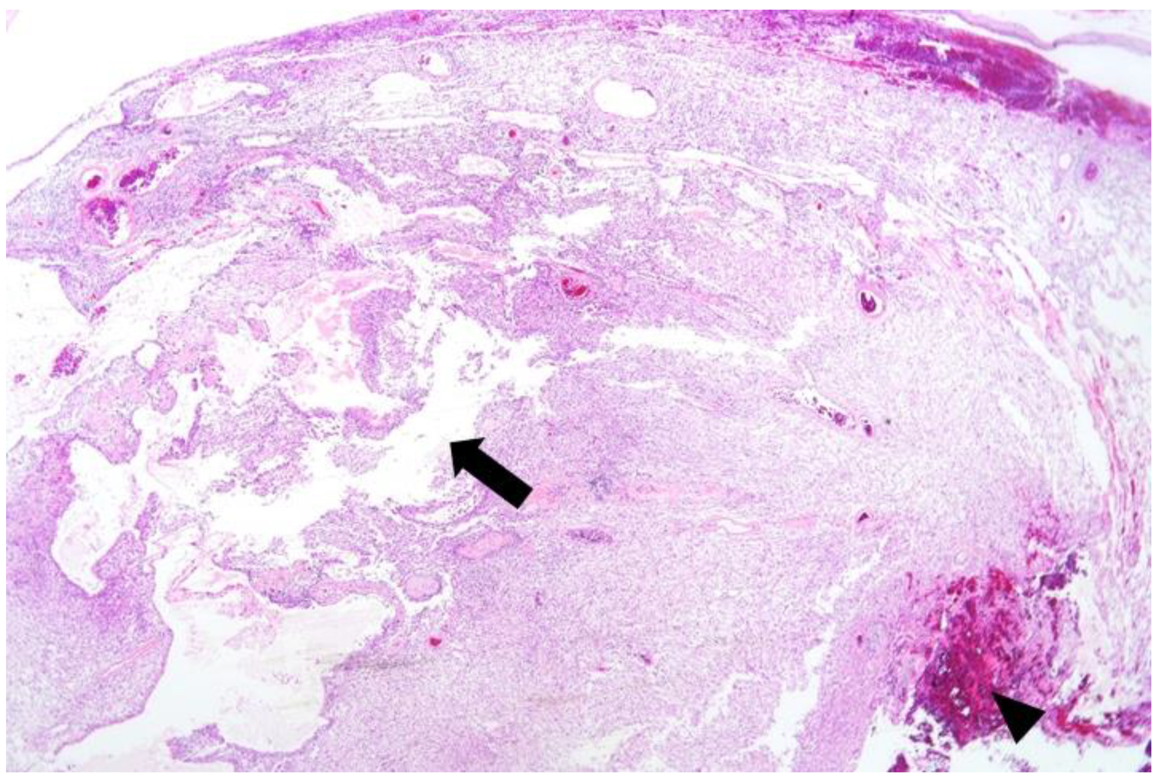
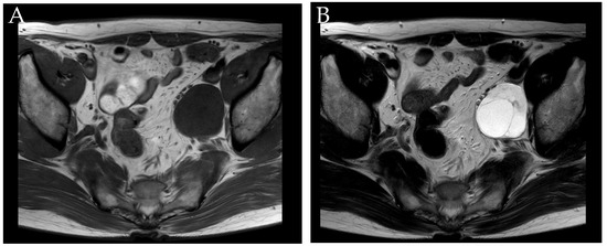
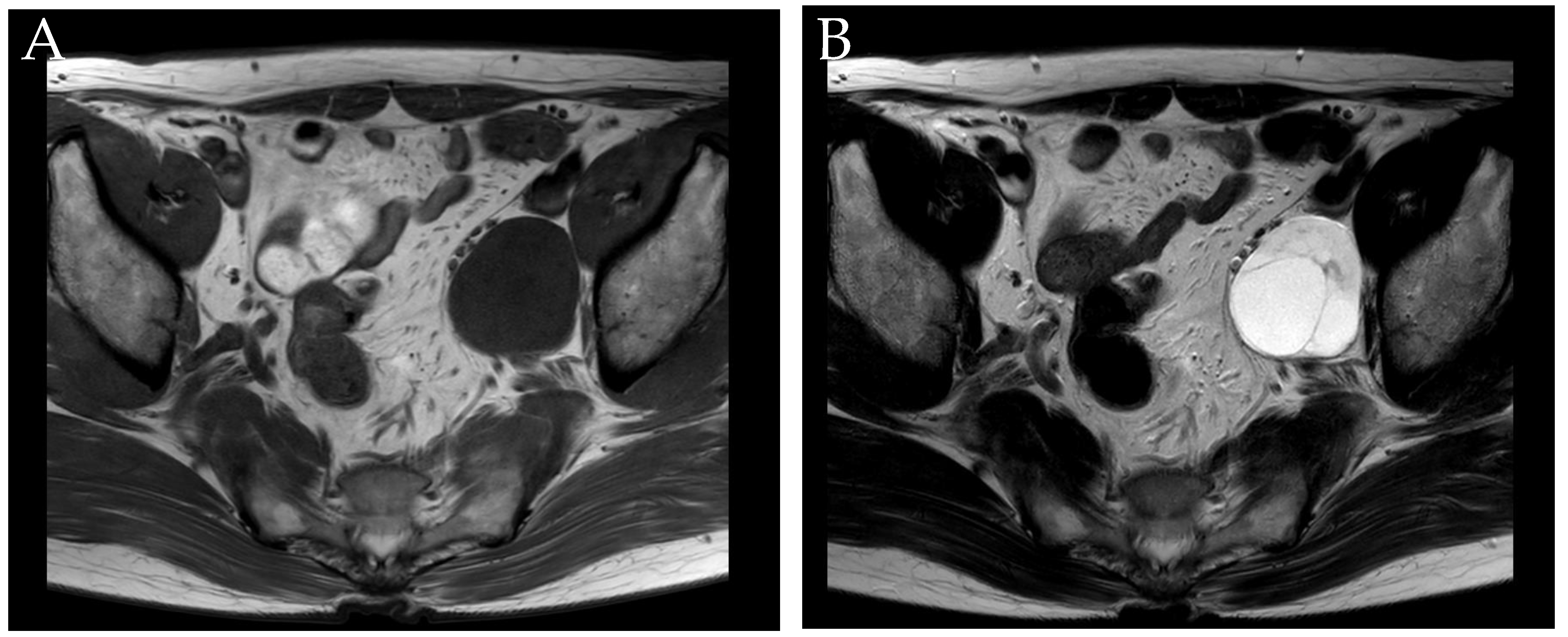
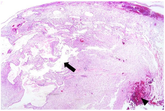
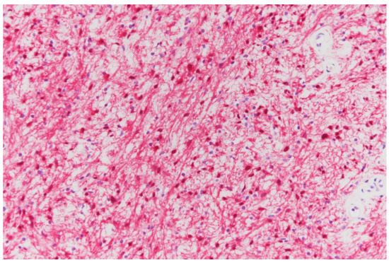
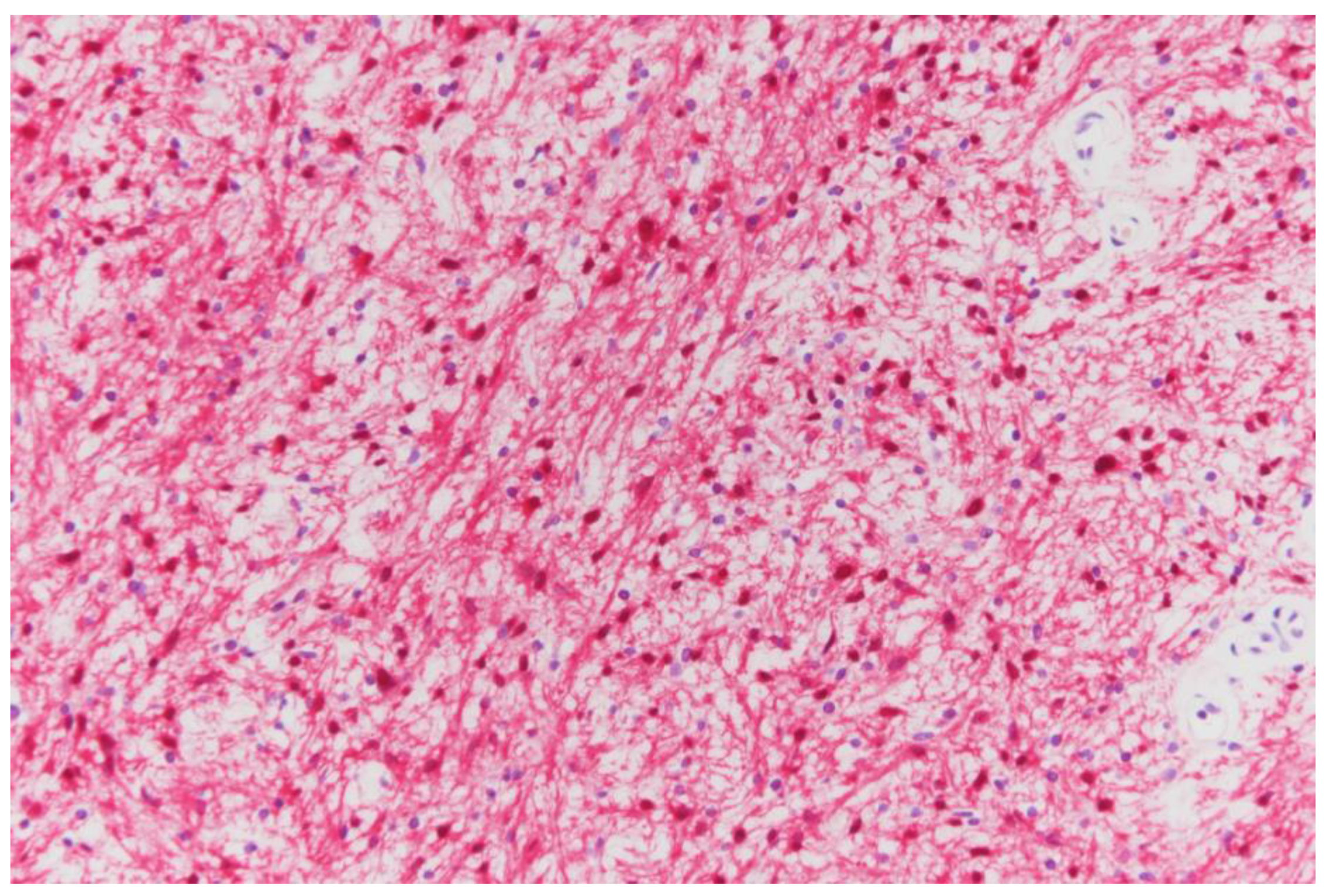
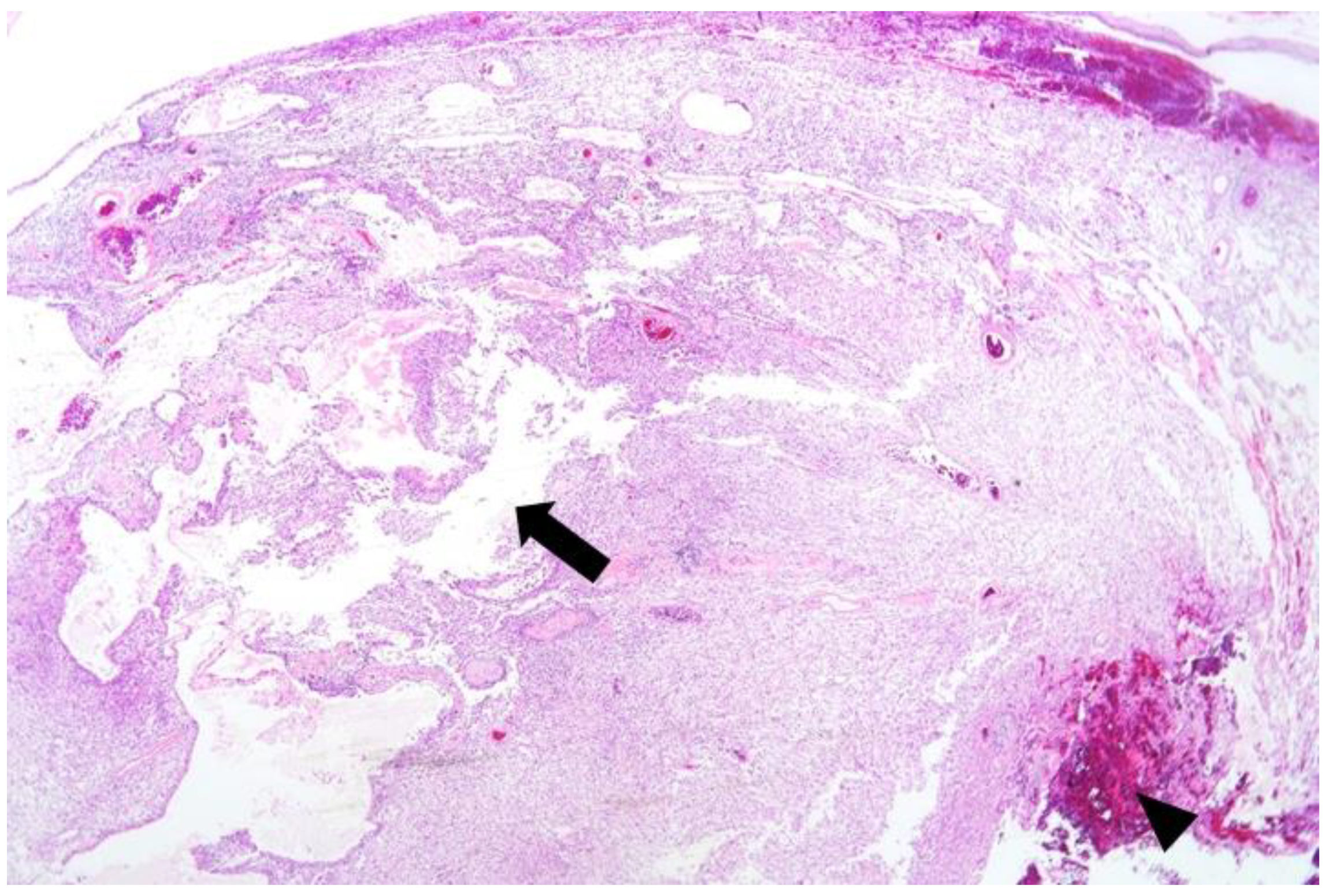
2. Case History
3. Discussion
4. Conclusions
Author Contributions
Funding
Institutional Review Board Statement
Informed Consent Statement
Data Availability Statement
Acknowledgments
Conflicts of Interest
References
- Dominguez, J.; Lobato, R.; Ramos, A.; Rivas, J.; Gómez, P.; Castro, S. Giant intrasacral schwannomas: Report of six cases. Acta Neurochir. 1997, 139, 954–960. [Google Scholar] [CrossRef] [PubMed]
- Hughes, M.J.; Thomas, J.M.; Fisher, C.; Moskovic, E.C. Imaging features of retroperitoneal and pelvic schwannomas. Clin. Radiol. 2005, 60, 886–893. [Google Scholar] [CrossRef] [PubMed]
- Das Gupta, T.K.; Brasfield, R.D.; Strong, E.W.; Hajdu, S.I. Benign solitary Schwannomas (neurilemomas). Cancer 1969, 24, 355–366. [Google Scholar] [CrossRef]
- Xu, H.; Sha, N.; Li, H.W.; Bai, M.; Chen, X.; Hu, H.L. A giant pelvic malignant schwannoma: A case report and literature review. Int. J. Clin. Exp. Pathol. 2015, 8, 15363–15368. [Google Scholar] [PubMed]
- Panebianco, V.; Narumi, Y.; Altun, E.; Bochner, B.H.; Efstathiou, J.A.; Hafeez, S.; Huddart, R.; Kennish, S.; Lerner, S.; Montironi, R.; et al. Multiparametric magnetic resonance imaging for bladder cancer: Development of VI-RADS (Vesical Imaging-Reporting And Data System). Eur. Urol. 2018, 74, 294–306. [Google Scholar] [CrossRef] [PubMed]
- Choudry, H.A.; Nikfarjam, M.; Liang, J.J.; Kimchi, E.T.; Conter, R.; Gusani, N.J.; Staveley-O’Carroll, K.F. Diagnosis and management of retroperitoneal ancient schwannomas. World J. Surg. Oncol. 2009, 7, 12. [Google Scholar] [CrossRef] [PubMed]
- Khandakar, B.; Dey, S.; Chandra Paul, P.; Medda, S.; Bhattacharya, A.; Datta, S. Retroperitoneal giant ancient schwannoma. Arch. Iran. Med. 2014, 17, 847–849. [Google Scholar] [PubMed]
- Jindal, T.; Mukherjee, S.; Kamal, M.R.; Sharma, R.K.; Ghosh, N.; Mandal, S.N.; Das, A.K.; Karmakar, D. Cystic schwannoma of the pelvis. Ann. R. Coll. Surg. Engl. 2013, 95, e1–e2. [Google Scholar] [CrossRef] [PubMed][Green Version]
- Andonian, S.; Karakiewicz, P.I.; Herr, H.W. Presacral cystic schwannoma in a man. Urology 2003, 62, 551. [Google Scholar] [CrossRef]
- Hayasaka, K.; Tanaka, Y.; Soeda, S.; Huppert, P.; Claussen, C.D. MR findings in primary retroperitoneal schwannoma. Acta Radiol. 1999, 40, 78–82. [Google Scholar] [CrossRef] [PubMed]
- Li, Q.; Gao, C.; Juzi, J.T.; Hao, X. Analysis of 82 cases of retroperitoneal schwannoma. ANZ J. Surg. 2007, 77, 237–240. [Google Scholar] [CrossRef] [PubMed]



Publisher’s Note: MDPI stays neutral with regard to jurisdictional claims in published maps and institutional affiliations. |
© 2021 by the authors. Licensee MDPI, Basel, Switzerland. This article is an open access article distributed under the terms and conditions of the Creative Commons Attribution (CC BY) license (https://creativecommons.org/licenses/by/4.0/).
Share and Cite
Choi, J.-H.; Yoo, K.-H.; Lee, D.-G.; Min, G.-E.; Kim, G.-Y.; Choi, T.-S. A Case of Incidental Schwannoma Mimicking Necrotic Metastatic Lymph Node from Bladder Cancer. Medicina 2021, 57, 728. https://doi.org/10.3390/medicina57070728
Choi J-H, Yoo K-H, Lee D-G, Min G-E, Kim G-Y, Choi T-S. A Case of Incidental Schwannoma Mimicking Necrotic Metastatic Lymph Node from Bladder Cancer. Medicina. 2021; 57(7):728. https://doi.org/10.3390/medicina57070728
Chicago/Turabian StyleChoi, Jeong-Hyouk, Koo-Han Yoo, Dong-Gi Lee, Gyeong-Eun Min, Gou-Young Kim, and Tae-Soo Choi. 2021. "A Case of Incidental Schwannoma Mimicking Necrotic Metastatic Lymph Node from Bladder Cancer" Medicina 57, no. 7: 728. https://doi.org/10.3390/medicina57070728
APA StyleChoi, J.-H., Yoo, K.-H., Lee, D.-G., Min, G.-E., Kim, G.-Y., & Choi, T.-S. (2021). A Case of Incidental Schwannoma Mimicking Necrotic Metastatic Lymph Node from Bladder Cancer. Medicina, 57(7), 728. https://doi.org/10.3390/medicina57070728

