Ultrasound Imaging Analysis of the Lumbar Multifidus Muscle Echo Intensity: Intra-Rater and Inter-Rater Reliability of a Novice and an Experienced Rater
Abstract
1. Introduction
2. Materials and Methods
2.1. Participants
2.2. Procedures
2.3. Ultrasound
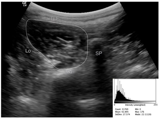
2.4. Images Assessment
2.5. Statistical Analysis
3. Results
3.1. Participants
3.2. Intra-Rater Reliability
3.3. Inter-Rater Reliability
4. Discussion
4.1. Intra-Rater Reliability
4.2. Inter-Rater Reliability
4.3. Strengths and Limitations
5. Conclusions
Author Contributions
Funding
Institutional Review Board Statement
Informed Consent Statement
Data Availability Statement
Conflicts of Interest
References
- Kay, A.G. An extensive literature review of the lumbar multifidus: Biomechanics. J. Man. Manip. Ther. 2001, 9, 17–39. [Google Scholar] [CrossRef]
- Wilke, H.J.; Wolf, S.; Claes, L.E.; Arand, M.; Wiesend, A. Stability increase of the lumbar spine with different muscle groups. A biomechanical in vitro study. Spine 1995, 20, 192–198. [Google Scholar] [CrossRef] [PubMed]
- Brumagne, S.; Cordo, P.; Lysens, R.; Verschueren, S.; Swinnen, S. The role of paraspinal muscle spindles in lumbosacral position sense in individuals with and without low back pain. Spine 2000, 25, 989–994. [Google Scholar] [CrossRef]
- Kibler, W.B.; Press, J.; Sciascia, A. The role of core stability in athletic function. Sports Med. 2006, 36, 189–198. [Google Scholar] [CrossRef]
- Barker, K.L.; Shamley, D.R.; Jackson, D. Changes in the cross-sectional area of multifidus and psoas in patients with unilateral back pain: The relationship to pain and disability. Spine 2004, 29, E515–E519. [Google Scholar] [CrossRef] [PubMed]
- Danneels, L.A.; Vanderstraeten, G.G.; Cambier, D.C.; Witvrouw, E.E.; De Cuyper, H.J. CT imaging of trunk muscles in chronic low back pain patients and healthy control subjects. Eur. Spine J. 2000, 9, 266–272. [Google Scholar] [CrossRef] [PubMed]
- Hides, J.; Gilmore, C.; Stanton, W.; Bohlscheid, E. Multifidus size and symmetry among chronic LBP and healthy asymptomatic subjects. Man. Ther. 2008, 13, 43–49. [Google Scholar] [CrossRef]
- Hides, J.A.; Stanton, W.R.; McMahon, S.; Sims, K.; Richardson, C.A. Effect of stabilization training on multifidus muscle cross-sectional area among young elite cricketers with low back pain. J. Orthop. Sports Phys. Ther. 2008, 38, 101–108. [Google Scholar] [CrossRef]
- Hides, J.A.; Oostenbroek, T.; Franettovich Smith, M.M.; Mendis, M.D. The effect of low back pain on trunk muscle size/function and hip strength in elite football (soccer) players. J. Sports Sci. 2016, 34, 2303–2311. [Google Scholar] [CrossRef]
- Kulig, K.; Scheid, A.R.; Beauregard, R.; Popovich, J.M., Jr.; Beneck, G.J.; Colletti, P.M. Multifidus morphology in persons scheduled for single-level lumbar microdiscectomy: Qualitative and quantitative assessment with anatomical correlates. Am. J. Phys. Med. Rehabil. 2009, 88, 355–361. [Google Scholar] [CrossRef]
- Ploumis, A.; Michailidis, N.; Christodoulou, P.; Kalaitzoglou, I.; Gouvas, G.; Beris, A. Ipsilateral atrophy of paraspinal and psoas muscle in unilateral back pain patients with monosegmental degenerative disc disease. Br. J. Radiol. 2011, 84, 709–713. [Google Scholar] [CrossRef] [PubMed]
- Ranger, T.A.; Cicuttini, F.M.; Jensen, T.S.; Peiris, W.L.; Hussain, S.M.; Fairley, J.; Urquhart, D.M. Are the size and composition of the paraspinal muscles associated with low back pain? A systematic review. Spine J. 2017, 17, 1729–1748. [Google Scholar] [CrossRef] [PubMed]
- Fortin, M.; Gibbons, L.E.; Videman, T.; Battié, M.C. Do variations in paraspinal muscle morphology and composition predict low back pain in men? Scand. J. Med. Sci. Sports 2015, 25, 880–887. [Google Scholar] [CrossRef] [PubMed]
- Mengiardi, B.; Schmid, M.R.; Boos, N.; Pfirrmann, C.W.; Brunner, F.; Elfering, A.; Hodler, J. Fat content of lumbar paraspinal muscles in patients with chronic low back pain and in asymptomatic volunteers: Quantification with MR spectroscopy. Radiology 2006, 240, 786–792. [Google Scholar] [CrossRef]
- Sasaki, T.; Yoshimura, N.; Hashizume, H.; Yamada, H.; Oka, H.; Matsudaira, K.; Iwahashi, H.; Shinto, K.; Ishimoto, Y.; Nagata, K.; et al. MRI-defined paraspinal muscle morphology in Japanese population: The wakayama spine study. PLoS ONE 2017, 12, e0187765. [Google Scholar] [CrossRef]
- Shahidi, B.; Hubbard, J.C.; Gibbons, M.C.; Ruoss, S.; Zlomislic, V.; Allen, R.T.; Garfin, S.R.; Ward, S.R. Lumbar multifidus muscle degenerates in individuals with chronic degenerative lumbar spine pathology. J. Orthop. Res. 2017, 35, 2700–2706. [Google Scholar] [CrossRef] [PubMed]
- Larivière, C.; Gagnon, D.; Loisel, P. The comparison of trunk muscles EMG activation between subjects with and without chronic low back pain during flexion-extension and lateral bending tasks. J. Electromyogr. Kinesiol. 2000, 10, 79–91. [Google Scholar] [CrossRef]
- Van Dieën, J.H.; Cholewicki, J.; Radebold, A. Trunk muscle recruitment patterns in patients with low back pain enhance the stability of the lumbar spine. Spine 2003, 28, 834–841. [Google Scholar] [CrossRef]
- Van Dieën, J.H.; Selen, L.P.; Cholewicki, J. Trunk muscle activation in low-back pain patients, an analysis of the literature. J. Electromyogr. Kinesiol. 2003, 13, 333–351. [Google Scholar] [CrossRef]
- Vlychou, M.; Teh, J. Ultrasound of muscle. Curr. Probl. Diagn. Radiol. 2008, 37, 219–230. [Google Scholar] [CrossRef] [PubMed]
- Mayans, D.; Cartwright, M.S.; Walker, F.O. Neuromuscular ultrasonography: Quantifying muscle and nerve measurements. Phys. Med. Rehabil. Clin. N. Am. 2012, 23, 133–148. [Google Scholar] [CrossRef] [PubMed]
- Young, H.J.; Jenkins, N.T.; Zhao, Q.; McCully, K.K. Measurement of intramuscular fat by muscle echo intensity. Muscle Nerve 2015, 52, 963–971. [Google Scholar] [CrossRef] [PubMed]
- Fortin, M.; Rizk, A.; Frenette, S.; Boily, M.; Rivaz, H. Ultrasonography of multifidus muscle morphology and function in ice hockey players with and without low back pain. Phys. Ther. Sport 2019, 37, 77–85. [Google Scholar] [CrossRef] [PubMed]
- Nandlall, N.; Rivaz, H.; Rizk, A.; Frenette, S.; Boily, M.; Fortin, M. The effect of low back pain and lower limb injury on lumbar multifidus muscle morphology and function in university soccer players. BMC Musculoskelet Disord. 2020, 21, 96. [Google Scholar] [CrossRef]
- Schryver, A.; Rivaz, H.; Rizk, A.; Frenette, S.; Boily, M.; Fortin, M. Ultrasonography of lumbar multifidus muscle in university American football players. Med. Sci. Sports Exerc. 2020, 52, 1495–1501. [Google Scholar] [CrossRef]
- Lévesque, J.; Rivaz, H.; Rizk, A.; Frenette, S.; Boily, M.; Fortin, M. Lumbar multifidus muscle characteristics, body composition, and injury in university rugby players. J. Athl. Train. 2020, 55, 1116–1123. [Google Scholar] [CrossRef]
- Arts, I.M.; Pillen, S.; Schelhaas, H.J.; Overeem, S.; Zwarts, M.J. Normal values for quantitative muscle ultrasonography in adults. Muscle Nerve 2010, 41, 32–41. [Google Scholar] [CrossRef]
- Pillen, S.; Tak, R.O.; Zwarts, M.J.; Lammens, M.M.; Verrijp, K.N.; Arts, I.M.; van der Laak, J.A.; Hoogerbrugge, P.M.; van Engelen, B.G.; Verrips, A. Skeletal muscle ultrasound: Correlation between fibrous tissue and echo intensity. Ultrasound Med. Biol. 2009, 35, 443–446. [Google Scholar] [CrossRef]
- Caresio, C.; Molinari, F.; Emanuel, G.; Minetto, M.A. Muscle echo intensity: Reliability and conditioning factors. Clin. Physiol. Funct. Imaging 2015, 35, 393–403. [Google Scholar] [CrossRef]
- Chan, R.; Newton, M.; Nosaka, K. Effects of set-repetition configuration in eccentric exercise on muscle damage and the repeated bout effect. Eur. J. Appl. Physiol. 2012, 112, 2653–2661. [Google Scholar] [CrossRef]
- Reimers, C.D.; Fleckenstein, J.L.; Witt, T.N.; Müller-Felber, W.; Pongratz, D.E. Muscular ultrasound in idiopathic inflammatory myopathies of adults. J. Neurol. Sci. 1993, 116, 82–92. [Google Scholar] [CrossRef]
- Reimers, K.; Reimers, C.D.; Wagner, S.; Paetzke, I.; Pongratz, D.E. Skeletal muscle sonography: A correlative study of echogenicity and morphology. J. Ultrasound Med. 1993, 12, 73–77. [Google Scholar] [CrossRef] [PubMed]
- Eisele, R.; Schmid, R.; Kinzl, L.; Kramer, M.; Katzmaier, P.; Hartwig, E. Soft tissue texture analysis by B-mode-ultrasound in the evaluation of impairment in chronic low back pain. Eur. J. Ultrasound 1998, 8, 167–175. [Google Scholar] [CrossRef]
- Kjaer, P.; Bendix, T.; Sorensen, J.S.; Korsholm, L.; Leboeuf-Yde, C. Are MRI-defined fat infiltrations in the multifidus muscles associated with low back pain? BMC Med. 2007, 5, 2. [Google Scholar] [CrossRef] [PubMed]
- Hildebrandt, M.; Fankhauser, G.; Meichtry, A.; Luomajoki, H. Correlation between lumbar dysfunction and fat infiltration in lumbar multifidus muscles in patients with low back pain. BMC Musculoskelet Disord. 2017, 18, 12. [Google Scholar] [CrossRef] [PubMed]
- Le Cara, E.C.; Marcus, R.L.; Dempsey, A.R.; Hoffman, M.D.; Hebert, J.J. Morphology versus function: The relationship between lumbar multifidus intramuscular adipose tissue and muscle function among patients with low back pain. Arch. Phys. Med. Rehabil. 2014, 95, 1846–1852. [Google Scholar] [CrossRef]
- Masaki, M.; Ikezoe, T.; Fukumoto, Y.; Minami, S.; Tsukagoshi, R.; Sakuma, K.; Ibuki, S.; Yamada, Y.; Kimura, M.; Ichihashi, N. Association of sagittal spinal alignment with thickness and echo intensity of lumbar back muscles in middle-aged and elderly women. Arch. Gerontol. Geriatr. 2015, 61, 197–201. [Google Scholar] [CrossRef]
- Cadore, E.L.; Izquierdo, M.; Conceição, M.; Radaelli, R.; Pinto, R.S.; Baroni, B.M.; Vaz, M.A.; Alberton, C.L.; Pinto, S.S.; Cunha, G.; et al. Echo intensity is associated with skeletal muscle power and cardiovascular performance in elderly men. Exp. Gerontol. 2012, 47, 473–478. [Google Scholar] [CrossRef]
- Fukumoto, Y.; Ikezoe, T.; Yamada, Y.; Tsukagoshi, R.; Nakamura, M.; Mori, N.; Kimura, M.; Ichihashi, N. Skeletal muscle quality assessed from echo intensity is associated with muscle strength of middle-aged and elderly persons. Eur. J. Appl. Physiol. 2012, 112, 1519–1525. [Google Scholar] [CrossRef]
- Watanabe, Y.; Yamada, Y.; Fukumoto, Y.; Ishihara, T.; Yokoyama, K.; Yoshida, T.; Miyake, M.; Yamagata, E.; Kimura, M. Echo intensity obtained from ultrasonography images reflecting muscle strength in elderly men. Clin. Interv. Aging 2013, 8, 993–998. [Google Scholar] [CrossRef]
- Pillen, S.; Arts, I.M.; Zwarts, M.J. Muscle ultrasound in neuromuscular disorders. Muscle Nerve 2008, 37, 679–693. [Google Scholar] [CrossRef] [PubMed]
- Heckmatt, J.Z.; Dubowitz, V.; Leeman, S. Detection of pathological change in dystrophic muscle with B-scan ultrasound imaging. Lancet 1980, 1, 1389–1390. [Google Scholar] [CrossRef]
- Mangine, G.T.; Fukuda, D.H.; LaMonica, M.B.; Gonzalez, A.M.; Wells, A.J.; Townsend, J.R.; Jajtner, A.R.; Fragala, M.S.; Stout, J.R.; Hoffman, J.R. Influence of gender and muscle architecture asymmetry on jump and sprint performance. J. Sports Sci. Med. 2014, 13, 904–911. [Google Scholar] [PubMed]
- Mangine, G.T.; Fukuda, D.H.; Townsend, J.R.; Wells, A.J.; Gonzalez, A.M.; Jajtner, A.R.; Bohner, J.D.; LaMonica, M.; Hoffman, J.R.; Fragala, M.S.; et al. Sprinting performance on the Woodway Curve 3.0 is related to muscle architecture. Eur. J. Sport Sci. 2015, 15, 606–614. [Google Scholar] [CrossRef]
- Sarafraz, H.; Hadian, M.R.; Ayoobi Yazdi, N.; Olyaei, G.; Bagheri, H.; Jalaie, S.; Rasouli, O. Test-retest reliability of nerve and muscle morphometric characteristics utilizing ultrasound imaging in individuals with unilateral sciatica and controls. Chiropr. Man. Therap. 2018, 26, 47. [Google Scholar] [CrossRef] [PubMed]
- Resende, E.M.S.; de Oliveira, V.B.; Pereira, W.C.A.; de Oliveira, L.F. Superficial and deep lumbar multifidus layers of asymptomatic individuals: Intraday and interday reliability of the echo intensity measurement. Eur. Spine J. 2021, 30, 227–231. [Google Scholar] [CrossRef]
- Yamamoto, A.; Miyazaki, J. Examination of the inter-operator reliability of ultrasound measures of multifidus muscle echo intensity. Rigakuryoho Kagaku 2018, 33, 443–446. [Google Scholar] [CrossRef]
- Pillen, S.; van Alfen, N. Skeletal muscle ultrasound. Neurol. Res. 2011, 33, 1016–1024. [Google Scholar] [CrossRef]
- Dionne, C.E.; Dunn, K.M.; Croft, P.R.; Nachemson, A.L.; Buchbinder, R.; Walker, B.F.; Wyatt, M.; Cassidy, J.D.; Rossignol, M.; Leboeuf-Yde, C.; et al. A consensus approach toward the standardization of back pain definitions for use in prevalence studies. Spine 2008, 33, 95–103. [Google Scholar] [CrossRef] [PubMed]
- Skeie, E.J.; Borge, J.A.; Leboeuf-Yde, C.; Bolton, J.; Wedderkopp, N. Reliability of diagnostic ultrasound in measuring the multifidus muscle. Chiropr. Man. Therap. 2015, 23, 15. [Google Scholar] [CrossRef] [PubMed]
- Portney, L.G.; Watkins, M.P. Foundations of Clinical Research: Applications to Practice; Prentice Hall: Upper Saddle River, NJ, USA, 2000. [Google Scholar]
- Koppenhaver, S.L.; Parent, E.C.; Teyhen, D.S.; Hebert, J.J.; Fritz, J.M. The effect of averaging multiple trials on measurement error during ultrasound imaging of transversus abdominis and lumbar multifidus muscles in individuals with low back pain. J. Orthop. Sports Phys. Ther. 2009, 39, 604–611. [Google Scholar] [CrossRef] [PubMed]
- Abbott, R.; Pedler, A.; Sterling, M.; Hides, J.; Murphey, T.; Hoggarth, M.; Elliott, J. The geography of fatty infiltrates within the cervical multifidus and semispinalis cervicis in individuals with chronic whiplash-associated disorders. J. Orthop. Sports Phys. Ther. 2015, 45, 281–288. [Google Scholar] [CrossRef] [PubMed]
- Scholten, R.R.; Pillen, S.; Verrips, A.; Zwarts, M.J. Quantitative ultrasonography of skeletal muscles in children: Normal values. Muscle Nerve 2003, 27, 693–698. [Google Scholar] [CrossRef] [PubMed]
- Crawford, R.J.; Filli, L.; Elliott, J.M.; Nanz, D.; Fischer, M.A.; Marcon, M.; Ulbrich, E.J. Age- and level-dependence of fatty infiltration in lumbar paravertebral muscles of healthy volunteers. AJNR Am. J. Neuroradiol. 2016, 37, 742–748. [Google Scholar] [CrossRef] [PubMed]
- Ishida, H.; Suehiro, T.; Suzuki, K.; Watanabe, S. Muscle thickness and echo intensity measurements of the rectus femoris muscle of healthy subjects: Intra and interrater reliability of transducer tilt during ultrasound. J. Bodyw. Mov. Ther. 2018, 22, 657–660. [Google Scholar] [CrossRef] [PubMed]
- Rabello, R.; Fröhlich, M.; Bueno, A.F.; Marcolino, M.A.Z.; De Bona Bernardi, T.; Sbruzzi, G.; Aurélio Vaz, M. Echo intensity reliability between two rectus femoris probe sites. Ultrasound 2019, 27, 233–240. [Google Scholar] [CrossRef]
- Lee, H.; Jee, S.; Park, S.H.; Ahn, S.C.; Im, J.; Sohn, M.K. Quantitative muscle ultrasonography in carpal tunnel syndrome. Ann. Rehabil. Med. 2016, 40, 1048–1056. [Google Scholar] [CrossRef] [PubMed]

| All (n = 20) | Female (n = 10) | Male (n = 10) | |
|---|---|---|---|
| Age (yr) | 21.2 ± 1.3 | 21.3 ± 1.3 | 21.0 ± 1.3 |
| Height (cm) | 173.4 ± 10.1 | 166.5 ± 9.1 | 180.3 ± 5.3 |
| Weight (kg) | 75.0 ± 12.3 | 68.0 ± 11.8 | 81.9 ± 8.6 |
| BMI (kg/m2) | 24.8 ± 2.6 | 24.4 ± 2.4 | 25.3 ± 2.9 |
| Sport, n (%) | |||
| Hockey | 11 (55) | 5 (50) | 6 (60) |
| Soccer | 5 (25) | 3 (30) | 2 (20) |
| Rugby | 4 (20) | 2 (20) | 2 (20) |
| Competitive level (yr) a | 9.3 ± 4.3 | 8.6 ± 4.6 | 10.0 ± 4.0 |
| University level (yr) | 2.5 ± 2.2 | 2.1 ± 1.4 | 2.8 ± 2.8 |
| LBP four weeks prior, n (%) | 18 (90) | 9 (90) | 9 (90) |
| LBP three months prior, n (%) | 19 (95) | 10 (100) | 9 (90) |
| LBP last competitive year, n (%) | 12 (60) | 6 (60) | 6 (60) |
| LBP location four weeks prior, n (%) b | |||
| Centered | 5 (28) | 2 (22) | 3 (33) |
| Bilateral | 6 (33) | 3 (33) | 3 (33) |
| Unilateral | 7 (39) | 4 (44) | 3 (33) |
| LBP location three months prior, n (%) a | |||
| Centered | 7 (37) | 4 (40) | 3 (33) |
| Bilateral | 8 (42) | 3 (30) | 5 (56) |
| Unilateral | 4 (21) | 3 (30) | 1 (11) |
| NPRS LBP (0–10) four weeks prior b | 3.5 ± 1.2 | 3.5 ± 1.4 | 3.4 ± 1.1 |
| NPRS LBP (0–10) three months prior a | 4.3 ± 2.0 | 3.8 ± 2.3 | 4.8 ± 1.5 |
| Participants and Side | ICC (95% CI) | SEM |
|---|---|---|
| All (n = 20) | ||
| Right | 0.999 (0.998–1.000) | 0.511 |
| Left | 0.999 (0.997–0.999) | 0.443 |
| Female (n = 10) | ||
| Right | 0.999 (0.996–1.000) | 0.466 |
| Left | 0.997 (0.986–0.999) | 0.592 |
| Male (n = 10) | ||
| Right | 0.997 (0.989–0.999) | 0.608 |
| Left | 0.999 (0.998–1.000) | 0.424 |
| Novice 1 (N.N.) and Experienced Rater | Novice 2 (J.L.) and Experienced Rater | ||||
|---|---|---|---|---|---|
| Participants and Side | ICC (95% CI) | SEM | Participants and Side | ICC (95% CI) | SEM |
| All (n = 17) a | All (n = 20) | ||||
| Right | 0.963 (0.614–0.991) | 3.308 | Right | 0.992 (0.974–0.997) | 1.432 |
| Left | 0.982 (0.914–0.994) | 1.999 | Left | 0.972 (0.897–0.990) | 2.257 |
| Female (n = 8) | Female (n = 10) | ||||
| Right | 0.977 (0.372–0.996) | 2.351 | Right | 0.993 (0.963–0.998) | 1.237 |
| Left | 0.972 (0.661–0.995) | 1.854 | Left | 0.976 (0.895–0.994) | 1.707 |
| Male (n = 9) | Male (n = 10) | ||||
| Right | 0.898 (0.241–0.980) | 3.954 | Right | 0.978 (0.913–0.994) | 1.614 |
| Left | 0.976 (0.890–0.995) | 2.246 | Left | 0.953 (0.759–0.989) | 2.701 |
Publisher’s Note: MDPI stays neutral with regard to jurisdictional claims in published maps and institutional affiliations. |
© 2021 by the authors. Licensee MDPI, Basel, Switzerland. This article is an open access article distributed under the terms and conditions of the Creative Commons Attribution (CC BY) license (https://creativecommons.org/licenses/by/4.0/).
Share and Cite
Fortin, M.; Rosenstein, B.; Levesque, J.; Nandlall, N. Ultrasound Imaging Analysis of the Lumbar Multifidus Muscle Echo Intensity: Intra-Rater and Inter-Rater Reliability of a Novice and an Experienced Rater. Medicina 2021, 57, 512. https://doi.org/10.3390/medicina57050512
Fortin M, Rosenstein B, Levesque J, Nandlall N. Ultrasound Imaging Analysis of the Lumbar Multifidus Muscle Echo Intensity: Intra-Rater and Inter-Rater Reliability of a Novice and an Experienced Rater. Medicina. 2021; 57(5):512. https://doi.org/10.3390/medicina57050512
Chicago/Turabian StyleFortin, Maryse, Brent Rosenstein, Jerome Levesque, and Neil Nandlall. 2021. "Ultrasound Imaging Analysis of the Lumbar Multifidus Muscle Echo Intensity: Intra-Rater and Inter-Rater Reliability of a Novice and an Experienced Rater" Medicina 57, no. 5: 512. https://doi.org/10.3390/medicina57050512
APA StyleFortin, M., Rosenstein, B., Levesque, J., & Nandlall, N. (2021). Ultrasound Imaging Analysis of the Lumbar Multifidus Muscle Echo Intensity: Intra-Rater and Inter-Rater Reliability of a Novice and an Experienced Rater. Medicina, 57(5), 512. https://doi.org/10.3390/medicina57050512

