Accessory Ossicles in the Region of the Foot and Ankle: An Epidemiologic Survey in a Jordanian Population
Abstract
1. Introduction
2. Materials and Methods
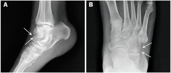
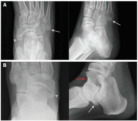
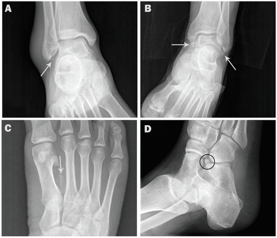
3. Results
4. Discussion
5. Conclusions
Author Contributions
Funding
Institutional Review Board Statement
Informed Consent Statement
Data Availability Statement
Conflicts of Interest
References
- Nwawka, O.K.; Hayashi, D.; Diaz, L.E.; Goud, A.R.; Arndt, W.F., 3rd; Roemer, F.W.; Malguria, N.; Guermazi, A. Sesamoids and accessory ossicles of the foot: Anatomical variability and related pathology. Insights Imaging 2013, 4, 581–593. [Google Scholar] [CrossRef] [PubMed]
- Li, X.; Shi, L.; Liu, T.; Wang, L. Progress in the clinical imaging research of bone diseases on ankle and foot sesamoid bones and accessory ossicles. Intractable Rare Dis. Res. 2012, 1, 122–128. [Google Scholar] [CrossRef]
- Chan, B.Y.; Markhardt, B.K.; Williams, K.L.; Kanarek, A.A.; Ross, A.B. Os Conundrum: Identifying Symptomatic Sesamoids and Accessory Ossicles of the Foot. Am. J. Roentgenol. 2019, 213, 417–426. [Google Scholar] [CrossRef]
- Mellado, J.M.; Ramos, A.; Salvado, E.; Camins, A.; Danus, M.; Sauri, A. Accessory ossicles and sesamoid bones of the ankle and foot: Imaging findings, clinical significance and differential diagnosis. Eur. Radiol. 2003, 13 (Suppl. 6), L164–L177. [Google Scholar] [CrossRef]
- Moonen, P.J.; Mercelina, L.; Boer, W.; Fret, T. Diagnostic error in the Emergency Department: Follow up of patients with minor trauma in the outpatient clinic. Scand. J. Trauma Resusc. Emerg. Med. 2017, 25, 13. [Google Scholar] [CrossRef] [PubMed]
- Sayal, A. Emergency Medicine Orthopedic Assessment: Pearls and Pitfalls. Emerg. Med. Clin. N. Am. 2020, 38, 1–13. [Google Scholar] [CrossRef]
- Bizarro, A.H. On Sesamoid and Supernumerary Bones of the Limbs. J. Anat. 1921, 55, 256–268. [Google Scholar] [PubMed]
- Cilli, F.; Akcaoglu, M. The incidence of accessory bones of the foot and their clinical significance. Acta Orthop. Traumatol. Turc. 2005, 39, 243–246. [Google Scholar]
- Coskun, N.; Yuksel, M.; Cevener, M.; Arican, R.Y.; Ozdemir, H.; Bircan, O.; Sindel, T.; Ilgi, S.; Sindel, M. Incidence of accessory ossicles and sesamoid bones in the feet: A radiographic study of the Turkish subjects. Surg. Radiol. Anat. 2009, 31, 19–24. [Google Scholar] [CrossRef]
- Arslan, S.; Bakdik, S.; Oncu, F.; Karahan, A.Y.; Durmaz, M.S.; Ozen, K.E.; Cicekbasi, A.E. Incidence and anatomical variability of accessory and sesamoid bones of the foot. Ann. Med. Res. 2018, 25, 420–425. [Google Scholar] [CrossRef]
- Kruse, R.W.; Chen, J. Accessory bones of the foot: Clinical significance. Mil. Med. 1995, 160, 464–467. [Google Scholar] [CrossRef] [PubMed]
- Huang, J.; Zhang, Y.; Ma, X.; Wang, X.; Zhang, C.; Chen, L. Accessory navicular bone incidence in Chinese patients: A retrospective analysis of X-rays following trauma or progressive pain onset. Surg. Radiol. Anat. 2014, 36, 167–172. [Google Scholar] [CrossRef] [PubMed]
- Sarrafian, S. Osteology. In Anatomy of the Foot and Ankle; Sarrafian, S., Ed.; JB Lippincott: Philadelphia, PA, USA, 1983; pp. 25–106. [Google Scholar]
- Muehleman, C.; Williams, J.; Bareither, M.L. A radiologic and histologic study of the os peroneum: Prevalence, morphology, and relationship to degenerative joint disease of the foot and ankle in a cadaveric sample. Clin. Anat. 2009, 22, 747–754. [Google Scholar] [CrossRef] [PubMed]
- Burman, M.; Lapidus, P. The functional disturbances caused by the inconstant bones and sesamoids of the foot. Arch. Surg. 1931, 22, 936–975. [Google Scholar] [CrossRef]
- Mann, R.W.; Owsley, D.W. Os trigonum. Variation of a common accessory ossicle of the talus. J. Am. Podiatr. Med. Assoc. 1990, 80, 536–539. [Google Scholar] [CrossRef] [PubMed]
- Tsuruta, T.; Shiokawa, Y.; Kato, A.; Matsumoto, T.; Yamazoe, Y.; Oike, T.; Sugiyama, T.; Saito, M. Radiological study of the accessory skeletal elements in the foot and ankle (author’s transl). Nihon Seikeigeka Gakkai Zasshi 1981, 55, 357–370. [Google Scholar]
- Smith, T. Common pedal prominences. In McGlamry’s Comprehensive Textbook of Foot and Ankle Surgery, 3rd ed.; Banks, A., Downey, M., Martin, D., Miller, S., Eds.; Lippincott Williams and Wilkins: Philadelphia, PA, USA, 2001; pp. 419–422. [Google Scholar]
- Kalbouneh, H.; Alajoulin, O.; Alsalem, M.; Humoud, N.; Shawaqfeh, J.; Alkhoujah, M.; Abu-Hassan, H.; Mahafza, W.; Badran, D. Incidence and anatomical variations of accessory navicular bone in patients with foot pain: A retrospective radiographic analysis. Clin. Anat. 2017, 30, 436–444. [Google Scholar] [CrossRef]
- Kalbouneh, H.; Alsalem, M.; Hani, M.B.; Alhusamiah, H.; Momani, Y.; Massad, T.; Barakat, T.; Alajoulin, O. A Comprehensive Study of the Anatomical Variations of the Posterolateral Tubercle of Talus. Int. J. Morphol. 2021, 39, 858–863. [Google Scholar] [CrossRef]
- Coughlin, M. Sesamoid and accessory bones of the foot. In Surgery of the Foot and Ankle, 8th ed.; Elsevier: Amsterdam, The Netherlands, 2006; pp. 438–494. [Google Scholar]
- Keles-Celik, N.; Kose, O.; Sekerci, R.; Aytac, G.; Turan, A.; Guler, F. Accessory Ossicles of the Foot and Ankle: Disorders and a Review of the Literature. Cureus 2017, 9, e1881. [Google Scholar] [CrossRef]
- Bulut, M.D.; Yavuz, A.; Bora, A.; Gokalp, M.A.; Ozkacmaz, S.; Batur, A. Three-Dimensional CT Findings of Os Calcaneus Secundarius Mimicking a Fracture. Case Rep. Radiol. 2014, 2014, 537062. [Google Scholar] [CrossRef]
- Ersen, O.; Akyildiz, F.; Ozyurek, S.; Sivrioglu, A.K. Os calcaneus secundarius mimicking fracture. BMJ Case Rep. 2013, 2013, bcr2013009954. [Google Scholar] [CrossRef]
- Ceroni, D.; De Coulon, G.; Spadola, L.; De Rosa, V.; Kaelin, A. Calcaneus secundarius presenting as calcaneonavicular coalition: A case report. J. Foot Ankle Surg. 2006, 45, 25–27. [Google Scholar] [CrossRef] [PubMed]
- Kose, O.; Kilicaslan, O.F.; Guler, F.; Aktan, C. Intraarticular Entrapment of Os Subfibulare Following a Severe Inversion Injury of the Ankle: A Case Report. Arch. Trauma Res. 2015, 4, e27046. [Google Scholar] [CrossRef]
- Miller, G.A.; Black, J.R. Symptomatic os supra naviculare. A case report. J. Am. Podiatr. Med. Assoc. 1990, 80, 248–250. [Google Scholar] [CrossRef]
- Tuthill, H.L.; Finkelstein, E.R.; Sanchez, A.M.; Clifford, P.D.; Subhawong, T.K.; Jose, J. Imaging of tarsal navicular disorders: A pictorial review. Foot Ankle Spec. 2014, 7, 211–225. [Google Scholar] [CrossRef] [PubMed]
- Coral, A. The radiology of skeletal elements in the subtibial region: Incidence and significance. Skelet. Radiol. 1987, 16, 298–303. [Google Scholar] [CrossRef] [PubMed]
- Topal, M.; Kose, A.; Dincer, R.; Baran, T.; Kose, M.; Engin, M.C. Os subtibiale: Mimicking medial malleolar fracture. Am. J. Emerg. Med. 2017, 35, 940.e941–940.e943. [Google Scholar] [CrossRef]
- Madhuri, V.; Poonnoose, P.M.; Lurstep, W. Accessory Os Subtibiale: A case report of misdiagnosed fracture. Foot Ankle Online J. 2009, 2, 3. [Google Scholar] [CrossRef][Green Version]
- Le Minor, J.M. Comparative anatomy and significance of the sesamoid bone of the peroneus longus muscle (os peroneum). J. Anat. 1987, 151, 85–99. [Google Scholar] [PubMed]





| Accessory Ossicle | Incidence (%) N = 1000 | Male (%) N = 500 | Female (%) N = 500 | Right (%) N = 674 | Left (%) N = 326 |
|---|---|---|---|---|---|
| All | 402 (40.2) | 208 (41.6) | 194 (38.8) | 289 (42.8) | 127 (38.9) |
| p value | 0.1214 | 0.2454 | |||
| Coexistence of two or three ossicles | 44 (4.4) | 24 (4.8) | 20 (4.0) | 28 (4.1) | 16 (4.9) |
| p value | 0.6442 ns | 0.6226 ns | |||
| Os trigonum | 154 (15.4) | 65 (13.0) | 89 (17.8) | 105 (15.6) | 49 (15.0) |
| p value | 0.0436 * | 0.8522 ns | |||
| Accessory navicular | 137 (13.7) | 77 (15.4) | 60 (12.0) | 99 (14.7) | 38 (11.7) |
| p value | 0.1410 ns | 0.2033 ns | |||
| Os peroneum | 115 (11.5) | 64 (12.8) | 51 (10.2) | 81 (12.0) | 34 (10.4) |
| p value | 0.2341 ns | 0.5260 ns | |||
| Os intermetatarseum | 2 (0.2) | 1 (0.2) | 1 (0.2) | 2 (0.3) | 0 (0) |
| p value | 1.000 ns | 1.000 ns | |||
| Os vesalianum | 11 (1.1) | 7 (1.4) | 4 (0.8) | 9 (1.3) | 2 (0.6) |
| p value | 0.5466 ns | 0.5187 ns | |||
| Os calcaneus secundarius | 3 (0.3) | 2 (0.4) | 1 (0.2) | 2 (0.3) | 1 (0.3) |
| p value | 1.000 ns | 1.000 ns | |||
| Os supratalare | 3 (0.3) | 2 (0.4) | 1 (0.2) | 1 (0.1) | 2 (0.6) |
| p value | 1.000 ns | 0.2493 ns | |||
| Os subfibulare | 6 (0.6) | 2 (0.4) | 4 (0.8) | 3 (0.4) | 3 (0.9) |
| p value | 0.6866 ns | 0.3979 ns | |||
| Os supranaviculare | 7 (0.7) | 6 (1.2) | 1 (0.2) | 4 (0.6) | 3 (0.9) |
| p value | 0.1237 ns | 0.6886 ns | |||
| Os infranaviculare | 3 (0.3) | 2 (0.4) | 1 (0.2) | 2 (0.3) | 1 (0.3) |
| p value | 1.000 ns | 1.000 ns | |||
| Os subtibiale | 1 (0.1) | 1 (0.2) | 0 (0) | 0 (0) | 1 (0.3) |
| p value | 1.000 ns | 0.3260 ns | |||
| Os talotibiale | 4 (0.4) | 3 (0.6) | 1 (0.2) | 2 (0.3) | 2 (0.6) |
| p value | 0.6242 ns | 0.6001 ns | |||
| 95% Confidence Interval | ||||
|---|---|---|---|---|
| Accessory Ossicle | Kappa | Lower | Upper | SE |
| All | 0.956 | 0.937 | 0.975 | 0.010 |
| Os trigonum | 0.975 | 0.955 | 0.995 | 0.010 |
| Accessory navicular | 0.986 | 0.971 | 1.000 | 0.008 |
| Os peroneum | 0.989 | 0.974 | 1.000 | 0.008 |
| Os intermetatarseum | 0.800 | 0.415 | 1.000 | 0.196 |
| Os vesalianum | 0.841 | 0.663 | 1.000 | 0.091 |
| Os calcaneus secundarius | 0.800 | 0.415 | 1.000 | 0.196 |
| Os supratalare | 0.666 | 0.229 | 1.000 | 0.223 |
| Os subfibulare | 0.909 | 0.730 | 1.000 | 0.091 |
| Os supranaviculare | 0.832 | 0.604 | 1.000 | 0.117 |
| Os infranaviculare | 0.800 | 0.415 | 1.000 | 0.196 |
| Os subtibiale | 0.666 | 0.050 | 1.000 | 0.314 |
| Os talotibiale | 0.857 | 0.579 | 1.000 | 0.142 |
Publisher’s Note: MDPI stays neutral with regard to jurisdictional claims in published maps and institutional affiliations. |
© 2021 by the authors. Licensee MDPI, Basel, Switzerland. This article is an open access article distributed under the terms and conditions of the Creative Commons Attribution (CC BY) license (https://creativecommons.org/licenses/by/4.0/).
Share and Cite
Kalbouneh, H.; Alajoulin, O.; Shawaqfeh, J.; Mustafa, A.; Jaber, S.; Zaben, S.; Zapen, J.; Alsalem, M. Accessory Ossicles in the Region of the Foot and Ankle: An Epidemiologic Survey in a Jordanian Population. Medicina 2021, 57, 1178. https://doi.org/10.3390/medicina57111178
Kalbouneh H, Alajoulin O, Shawaqfeh J, Mustafa A, Jaber S, Zaben S, Zapen J, Alsalem M. Accessory Ossicles in the Region of the Foot and Ankle: An Epidemiologic Survey in a Jordanian Population. Medicina. 2021; 57(11):1178. https://doi.org/10.3390/medicina57111178
Chicago/Turabian StyleKalbouneh, Heba, Omar Alajoulin, Jamil Shawaqfeh, Ayman Mustafa, Shehab Jaber, Shaima’ Zaben, Ja’far Zapen, and Mohammad Alsalem. 2021. "Accessory Ossicles in the Region of the Foot and Ankle: An Epidemiologic Survey in a Jordanian Population" Medicina 57, no. 11: 1178. https://doi.org/10.3390/medicina57111178
APA StyleKalbouneh, H., Alajoulin, O., Shawaqfeh, J., Mustafa, A., Jaber, S., Zaben, S., Zapen, J., & Alsalem, M. (2021). Accessory Ossicles in the Region of the Foot and Ankle: An Epidemiologic Survey in a Jordanian Population. Medicina, 57(11), 1178. https://doi.org/10.3390/medicina57111178

