Effect of Short Tandem Target Mimic miR-5110 on Melanogenesis in Melanocytes of Alpaca (Vicugna pacos)
Abstract
1. Introduction
2. Materials and Methods
2.1. Construction of Plasmids
2.2. Cell Culture and Transfection
2.3. Dual-Luciferase Assay for miRNA Target Validation
2.4. Quantitative Real-Time PCR (qRT-PCR) for miR-5110 and mRNA
2.5. Western Blotting Analysis
2.6. Immunocytochemistry
2.7. Melanin Measurement
2.8. TYR Activity Measurement
2.9. Fontana-Masson Staining
2.10. Statistical Analysis
3. Results
3.1. STTM-miR-5110 Reduces the Levels of miR-5110 in Alpaca Melanocytes
3.2. STTM-miR-5110 Targeting SOX10
3.3. Effect of STTM-miR-5110 Overexpression on mRNA and Protein Levels of SOX10
3.4. Effect of STTM-miR-5110 Overexpression on the Expression of Melanogenic Genes
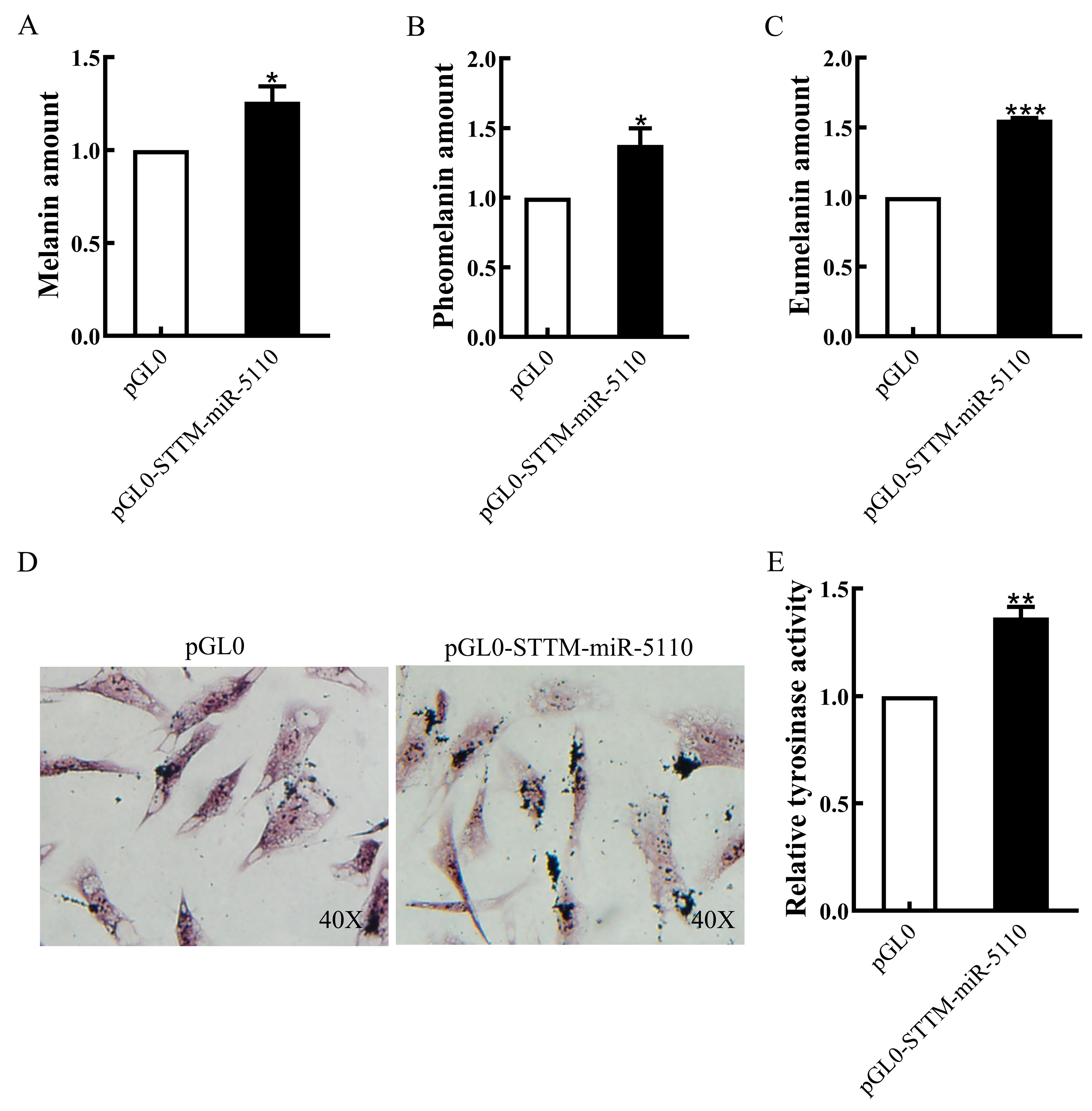
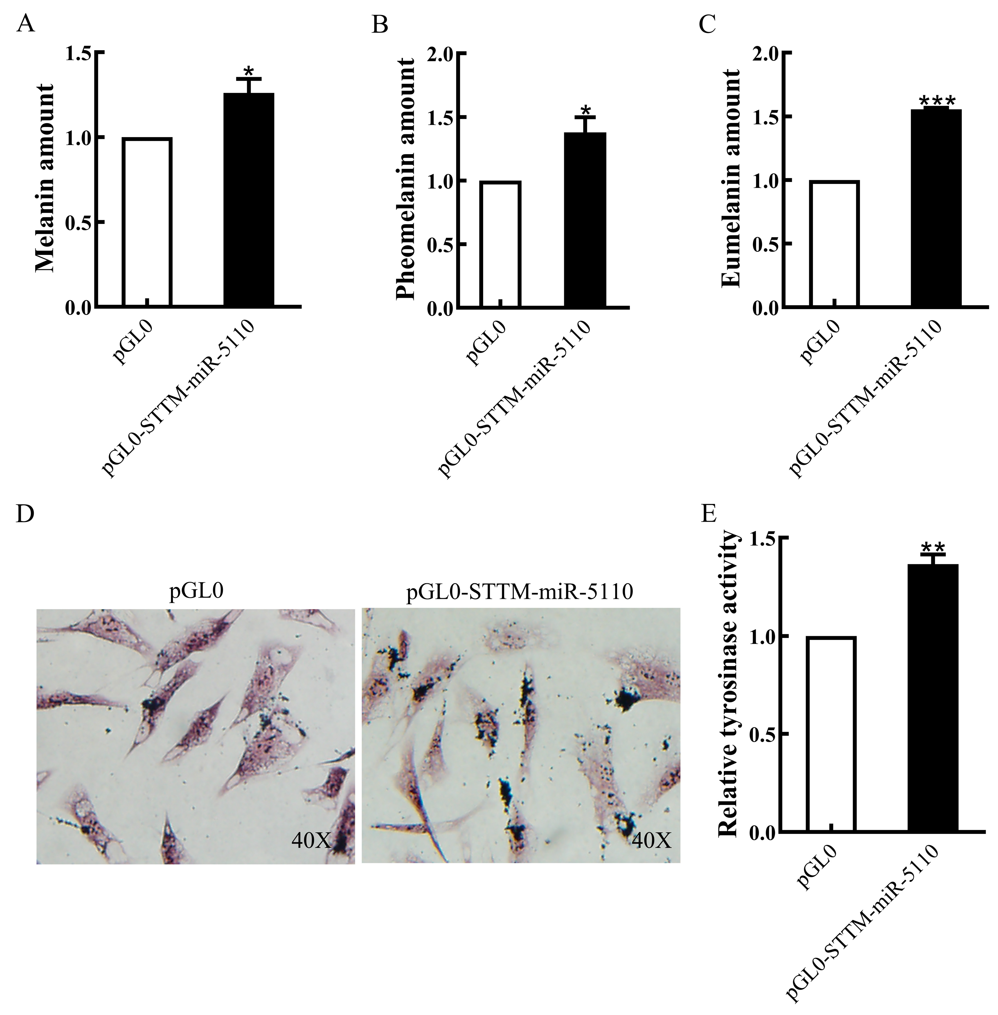
3.5. Effect of STTM-miR-5110 Overexpression on Melanin Production and TYR Activity
4. Discussion
5. Conclusions
Supplementary Materials
Author Contributions
Funding
Institutional Review Board Statement
Informed Consent Statement
Data Availability Statement
Conflicts of Interest
References
- Centeno, P.P.; Pavet, V.; Marais, R. The journey from melanocytes to melanoma. Nat. Rev. Cancer 2023, 23, 372–390. [Google Scholar] [CrossRef]
- Kai-Yuan, J.; Yi-Wei, Z.; Ru-Jun, W.; Khan, I.M.; Yun-Hai, Z. A genome-wide integrated analysis of lncRNA-mRNA in melanocytes from white and brown skin hair boer goats (Capra aegagrus hircus). Front. Vet. Sci. 2022, 9, 1009174. [Google Scholar] [CrossRef] [PubMed]
- Cheung, S.T.; Do, Y.; Kim, E.; Rella, A.; Goyarts, E.; Pernodet, N.; Wong, Y.H. G Protein-Coupled Receptors in Skin Aging. J. Investig. Dermatol. 2025, 145, 749–765.e8. [Google Scholar] [CrossRef] [PubMed]
- Yang, S.; Liu, B.; Ji, K.; Fan, R.; Dong, C. MicroRNA-5110 regulates pigmentation by cotargeting melanophilin and WNT family member 1. FASEB J. 2018, 32, 5405–5412. [Google Scholar] [CrossRef]
- Pavan, W.J.; Sturm, R.A. The Genetics of Human Skin and Hair Pigmentation. Annu. Rev. Genom. Hum. Genet. 2019, 20, 41–72. [Google Scholar] [CrossRef]
- Bartel, D.P. MicroRNAs: Target recognition and regulatory functions. Cell 2009, 136, 215–233. [Google Scholar] [CrossRef]
- Kim, H.; Lee, Y.Y.; Kim, V.N. The biogenesis and regulation of animal microRNAs. Nat. Rev. Mol. Cell Biol. 2025, 26, 276–296. [Google Scholar] [CrossRef] [PubMed]
- Huo, J.; Zhang, Y.; Li, R.; Wang, Y.; Wu, J.; Zhang, D. Upregulated MicroRNA-25 Mediates the Migration of Melanoma Cells by Targeting DKK3 through the WNT/β-Catenin Pathway. Int. J. Mol. Sci. 2016, 17, 1124. [Google Scholar] [CrossRef]
- Zhang, J.; Liu, Y.; Zhu, Z.; Yang, S.; Ji, K.; Hu, S.; Liu, X.; Yao, J.; Fan, R.; Dong, C. Role of microRNA508-3p in melanogenesis by targeting microphthalmia transcription factor in melanocytes of alpaca. Anim. Int. J. Anim. Biosci. 2017, 11, 236–243. [Google Scholar] [CrossRef]
- Liu, X.; Du, B.; Zhang, P.; Zhang, J.; Zhu, Z.; Liu, B.; Fan, R. miR-380-3p regulates melanogenesis by targeting SOX6 in melanocytes from alpacas (Vicugna pacos). BMC Genom. 2019, 20, 962. [Google Scholar] [CrossRef]
- Tang, G.; Yan, J.; Gu, Y.; Qiao, M.; Fan, R.; Mao, Y.; Tang, X. Construction of short tandem target mimic (STTM) to block the functions of plant and animal microRNAs. Methods 2012, 58, 118–125. [Google Scholar] [CrossRef]
- Peng, T.; Qiao, M.; Liu, H.; Teotia, S.; Zhang, Z.; Zhao, Y.; Wang, B.; Zhao, D.; Shi, L.; Zhang, C.; et al. A Resource for Inactivation of MicroRNAs Using Short Tandem Target Mimic Technology in Model and Crop Plants. Mol. Plant 2018, 11, 1400–1417. [Google Scholar] [CrossRef]
- Ludwig, A.; Rehberg, S.; Wegner, M. Melanocyte-specific expression of dopachrome tautomerase is dependent on synergistic gene activation by the Sox10 and Mitf transcription factors. FEBS Lett. 2004, 556, 236–244. [Google Scholar] [CrossRef]
- Chen, C.; Ridzon, D.A.; Broomer, A.J.; Zhou, Z.; Lee, D.H.; Nguyen, J.T.; Barbisin, M.; Xu, N.L.; Mahuvakar, V.R.; Andersen, M.R.; et al. Real-time quantification of microRNAs by stem-loop RT-PCR. Nucleic Acids Res. 2005, 33, e179. [Google Scholar] [CrossRef]
- Bustin, S.A.; Benes, V.; Garson, J.A.; Hellemans, J.; Huggett, J.; Kubista, M.; Mueller, R.; Nolan, T.; Pfaffl, M.W.; Shipley, G.L.; et al. The MIQE guidelines: Minimum information for publication of quantitative real-time PCR experiments. Clin. Chem. 2009, 55, 611–622. [Google Scholar] [CrossRef]
- Ito, S.; Nakanishi, Y.; Valenzuela, R.K.; Brilliant, M.H.; Kolbe, L.; Wakamatsu, K. Usefulness of alkaline hydrogen peroxide oxidation to analyze eumelanin and pheomelanin in various tissue samples: Application to chemical analysis of human hair melanins. Pigment Cell Melanoma Res. 2011, 24, 605–613. [Google Scholar] [CrossRef]
- Passeron, T.; Valencia, J.C.; Bertolotto, C.; Hoashi, T.; Le Pape, E.; Takahashi, K.; Ballotti, R.; Hearing, V.J. SOX9 is a key player in ultraviolet B-induced melanocyte differentiation and pigmentation. Proc. Natl. Acad. Sci. USA 2007, 104, 13984–13989. [Google Scholar] [CrossRef]
- Southard-Smith, E.M.; Kos, L.; Pavan, W.J. Sox10 mutation disrupts neural crest development in Dom Hirschsprung mouse model. Nat. Genet. 1998, 18, 60–64. [Google Scholar] [CrossRef] [PubMed]
- Dutton, K.A.; Pauliny, A.; Lopes, S.S.; Elworthy, S.; Carney, T.J.; Rauch, J.; Geisler, R.; Haffter, P.; Kelsh, R. Zebrafish colourless encodes sox10 and specifies non-ectomesenchymal neural crest fates. Development 2001, 128, 4113–4125. [Google Scholar] [CrossRef] [PubMed]
- Honoré, S.M.; Aybar, M.J.; Mayor, R. Sox10 is required for the early development of the prospective neural crest in Xenopus embryos. Dev. Biol. 2003, 260, 79–96. [Google Scholar] [CrossRef] [PubMed]
- Pingault, V.; Bondurand, N.; Kuhlbrodt, K.; Goerich, D.E.; Préhu, M.O.; Puliti, A.; Herbarth, B.; Hermans-Borgmeyer, I.; Legius, E.; Matthijs, G.; et al. SOX10 mutations in patients with Waardenburg-Hirschsprung disease. Nat. Genet. 1998, 18, 171–173. [Google Scholar] [CrossRef]
- Wegner, M. Secrets to a healthy Sox life: Lessons for melanocytes. Pigment Cell Res. 2005, 18, 74–85. [Google Scholar] [CrossRef]
- Elworthy, S.; Lister, J.A.; Carney, T.J.; Raible, D.W.; Kelsh, R.N. Transcriptional regulation of mitfa accounts for the sox10 requirement in zebrafish melanophore development. Development 2003, 130, 2809–2818. [Google Scholar] [CrossRef]
- Lai, X.; Luan, C.; Zhang, Z.; Wessely, A.; Heppt, M.V.; Berking, C.; Vera, J. SOX10, MITF, and microRNAs: Decoding their interplay in regulating melanoma plasticity. Int. J. Cancer 2025, 157, 1277–1293. [Google Scholar] [CrossRef]
- Verastegui, C.; Bille, K.; Ortonne, J.P.; Ballotti, R. Regulation of the microphthalmia-associated transcription factor gene by the Waardenburg syndrome type 4 gene, SOX10. J. Biol. Chem. 2000, 275, 30757–30760. [Google Scholar] [CrossRef] [PubMed]
- Rambow, F.; Marine, J.C.; Goding, C.R. Melanoma plasticity and phenotypic diversity: Therapeutic barriers and opportunities. Genes Dev. 2019, 33, 1295–1318. [Google Scholar] [CrossRef]
- Chang, C.M.; Coville, J.L.; Coquerelle, G.; Gourichon, D.; Oulmouden, A.; Tixier-Boichard, M. Complete association between a retroviral insertion in the tyrosinase gene and the recessive white mutation in chickens. BMC Genom. 2006, 7, 19. [Google Scholar] [CrossRef] [PubMed]
- Beermann, F.; Orlow, S.J.; Lamoreux, M.L. The Tyr (albino) locus of the laboratory mouse. Mamm. Genome 2004, 15, 749–758. [Google Scholar] [CrossRef] [PubMed]
- Wang, F.; Ma, W.; Fan, D.; Hu, J.; An, X.; Wang, Z. The biochemistry of melanogenesis: An insight into the function and mechanism of melanogenesis-related proteins. Front. Mol. Biosci. 2024, 11, 1440187. [Google Scholar] [CrossRef]
- Buscà, R.; Ballotti, R. Cyclic AMP a key messenger in the regulation of skin pigmentation. Pigment Cell Res. 2000, 13, 60–69. [Google Scholar] [CrossRef]





| Primer Name | Primer Sequence 5′–3′ | Application |
|---|---|---|
| SOX10-wt | F: GCGAGCTCTCACCACCAGTGCCCACA | Luciferase reporter-wt |
| R: GCCTCGAGGTCCCACCCTGCTCTTTAC | ||
| SOX10-mut | F: GAAGCTGTTGTACGAATTGATGATGAACAAAAGTCATCTGT | Luciferase reporter-mut |
| R: ACAGATGACTTTTGTTCATCATCTTAACGTACAACAGCTTC | ||
| miR-5110 | F: ACACTCCAGCTGGGGGAGGAGGTAGAGGGTGGT | Real time PCR |
| R: TGGTGTCGTGGAGTCG | ||
| Common-R | CGAGCAGTGCAGGGTCCGAGGT | RT-PCR |
| U6 | F: CTCGCTTCGGCAGCACA | Real time PCR |
| R:GTCGTATCCAGTGCAGGGTCCGAGGTATTCGCACTGGATACGACTCATCT | ||
| SOX10 | F: AAGCCTCACATCGACTTCGG | Real time PCR |
| R: GGTCAGAGATGGCCGTGTAG | ||
| MITF | F: TCCCAAGTCAAATGATCCAG | Real time PCR |
| R: GAGCCTGCATTTCAAGTTCC | ||
| TYR | F: GCTTTAGCAACTTCATGGGA | Real time PCR |
| R: CTTGTTCTTCTCTGGGACAC | ||
| TYRP1 | F: GCCTTCTTTCTCCCTTC | Real time PCR |
| R: CAGACCACTCGCCATT | ||
| TYRP2 | F: AGCAGACGGAACACTGGACT | Real time PCR |
| R: GCATCTGTGGAAGGGTTGTT | ||
| β-actin | F: CTAAGGAGAAGGGCCAGTCC | Real time PCR |
| R: CTCAAGTTGGGGGACAAAAA |
Disclaimer/Publisher’s Note: The statements, opinions and data contained in all publications are solely those of the individual author(s) and contributor(s) and not of MDPI and/or the editor(s). MDPI and/or the editor(s) disclaim responsibility for any injury to people or property resulting from any ideas, methods, instructions or products referred to in the content. |
© 2026 by the authors. Licensee MDPI, Basel, Switzerland. This article is an open access article distributed under the terms and conditions of the Creative Commons Attribution (CC BY) license.
Share and Cite
Yang, S.; Jiao, D.; Wang, X.; Yan, Y.; Song, T.; Wang, L.; Rui, P.; Ma, Z.; Li, F. Effect of Short Tandem Target Mimic miR-5110 on Melanogenesis in Melanocytes of Alpaca (Vicugna pacos). Curr. Issues Mol. Biol. 2026, 48, 72. https://doi.org/10.3390/cimb48010072
Yang S, Jiao D, Wang X, Yan Y, Song T, Wang L, Rui P, Ma Z, Li F. Effect of Short Tandem Target Mimic miR-5110 on Melanogenesis in Melanocytes of Alpaca (Vicugna pacos). Current Issues in Molecular Biology. 2026; 48(1):72. https://doi.org/10.3390/cimb48010072
Chicago/Turabian StyleYang, Shanshan, Dingxing Jiao, Xuqi Wang, Yangyang Yan, Tao Song, Lili Wang, Ping Rui, Zengjun Ma, and Fengsai Li. 2026. "Effect of Short Tandem Target Mimic miR-5110 on Melanogenesis in Melanocytes of Alpaca (Vicugna pacos)" Current Issues in Molecular Biology 48, no. 1: 72. https://doi.org/10.3390/cimb48010072
APA StyleYang, S., Jiao, D., Wang, X., Yan, Y., Song, T., Wang, L., Rui, P., Ma, Z., & Li, F. (2026). Effect of Short Tandem Target Mimic miR-5110 on Melanogenesis in Melanocytes of Alpaca (Vicugna pacos). Current Issues in Molecular Biology, 48(1), 72. https://doi.org/10.3390/cimb48010072

