Treatment Resulting Changes in Volumes of High-18F-FDG-Uptake Adipose Tissues over Orbit and Epicardium Correlate with Treatment Response for Non-Hodgkin’s Lymphoma
Abstract
1. Introduction
2. Results
2.1. Patient Characteristics
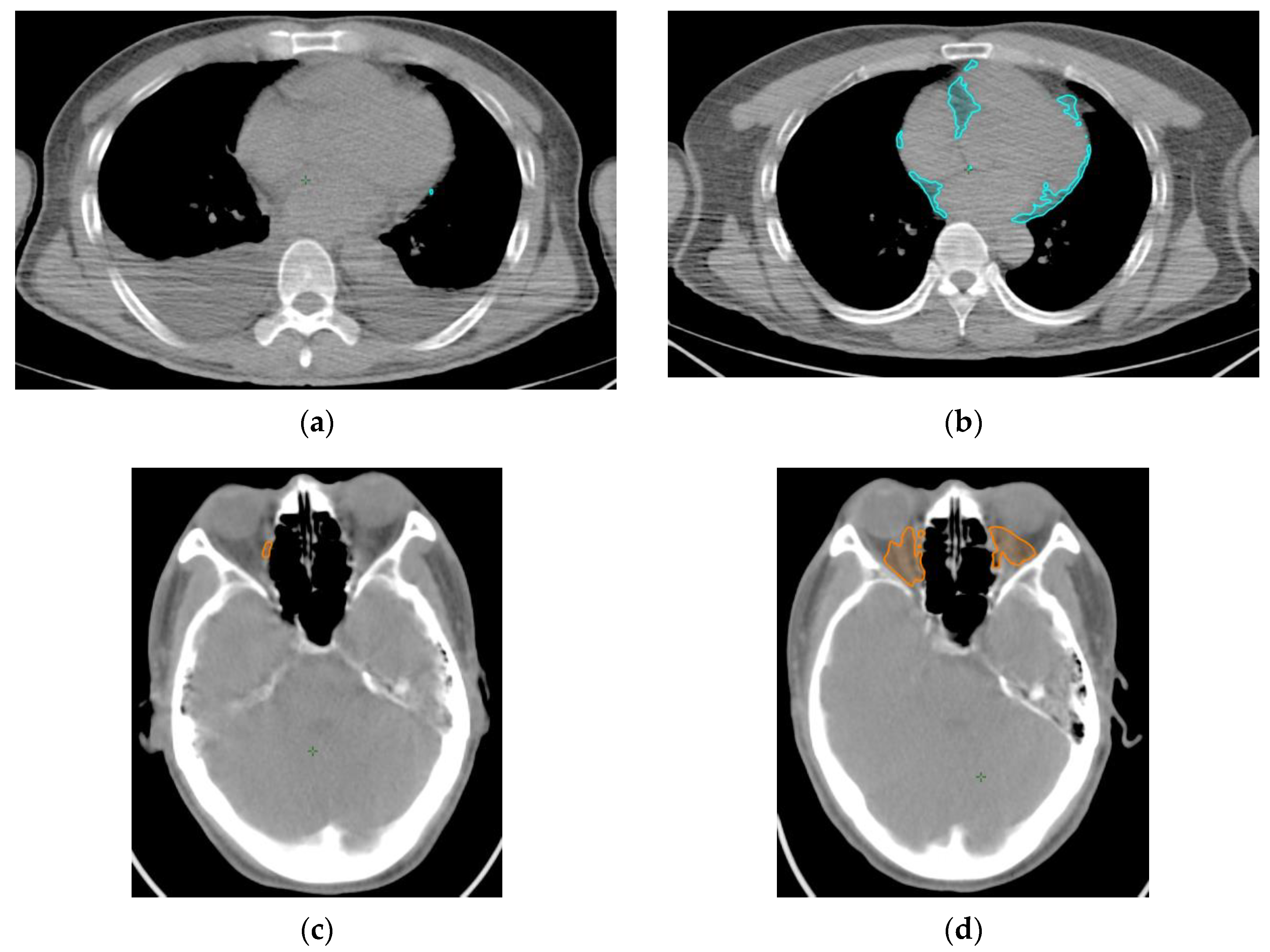
2.2. Pre- vs. Post-Treatment SUV-H EAT and OAT Volume, Serum LDH Levels, and BMI
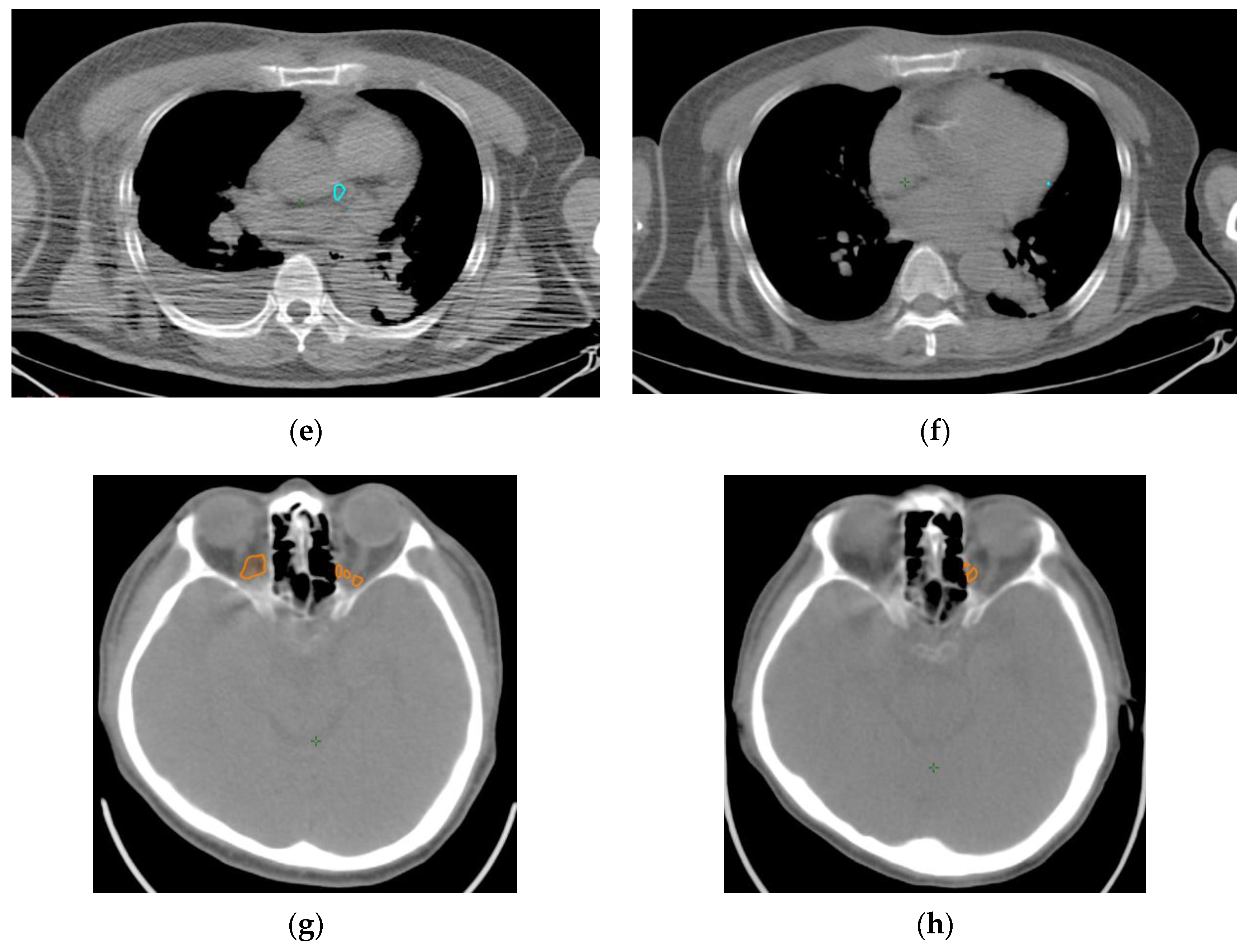
2.3. Responders vs. Non-Responders
2.4. Complete Responders vs. Partial Responders
2.5. Correlation Analysis
2.6. Logistic Regression Analysis
3. Discussion
4. Materials and Methods
5. Conclusions
Supplementary Materials
Author Contributions
Funding
Institutional Review Board Statement
Informed Consent Statement
Data Availability Statement
Conflicts of Interest
References
- Siegel, R.L.; Miller, K.D.; Fuchs, H.E.; Jemal, A. Cancer statistics, 2021. CA Cancer J. Clin. 2021, 71, 7–33. [Google Scholar] [CrossRef]
- Farmanfarma, K.K.; Kiasara, S.H.; Hassanipour, S.; Salehiniya, H. Non-Hodgkin’s lymphoma in the world: An epidemiological review. WCRJ 2020, 7, e1520. [Google Scholar]
- Al-Hamadani, M.; Habermann, T.M.; Cerhan, J.R.; Macon, W.R.; Maurer, M.J.; Go, R.S. Non-Hodgkin lymphoma subtype distribution, geodemographic patterns, and survival in the US: A longitudinal analysis of the National Cancer Data Base from 1998 to 2011. Am. J. Hematol. 2015, 90, 790–795. [Google Scholar] [CrossRef] [PubMed]
- Armitage, J.O.; Gascoyne, R.D.; Lunning, M.A.; Cavalli, F. Non-Hodgkin lymphoma. Lancet 2017, 390, 298–310. [Google Scholar] [CrossRef]
- Pierpont, T.M.; Limper, C.B.; Richards, K.L. Past, present, and future of rituximab—The world’s first oncology monoclonal antibody therapy. Front. Oncol. 2018, 8, 163. [Google Scholar]
- Al-Naeeb, A.B.; Ajithkumar, T.; Behan, S.; Hodson, D.J. Non-Hodgkin lymphoma. BMJ 2018, 362, k3204. [Google Scholar] [CrossRef]
- Pfreundschuh, M.; Schubert, J.; Ziepert, M.; Schmits, R.; Mohren, M.; Lengfelder, E.; Reiser, M.; Nickenig, C.; Clemens, M.; Peter, N. Six versus eight cycles of bi-weekly CHOP-14 with or without rituximab in elderly patients with aggressive CD20+ B-cell lymphomas: A randomised controlled trial (RICOVER-60). Lancet Oncol. 2008, 9, 105–116. [Google Scholar] [CrossRef] [PubMed]
- Quail, D.F.; Dannenberg, A.J. The obese adipose tissue microenvironment in cancer development and progression. Nat. Rev. Endocrinol. 2019, 15, 139–154. [Google Scholar]
- Afanas’eva, D.; Gushchina, M.; Borzenok, S. Comparison of morphology of adipose body of the orbit and subcutaneous fat in humans. Bull. Exp. Biol. Med. 2018, 164, 394–396. [Google Scholar] [CrossRef]
- Fedorenko, A.; Lishko, P.V.; Kirichok, Y. Mechanism of fatty-acid-dependent UCP1 uncoupling in brown fat mitochondria. Cell 2012, 151, 400–413. [Google Scholar] [CrossRef]
- Srivastava, S.; Veech, R.L. Brown and brite: The fat soldiers in the anti-obesity fight. Front. Physiol. 2019, 10, 38. [Google Scholar] [PubMed]
- Villarroya, F.; Cereijo, R.; Gavaldà-Navarro, A.; Villarroya, J.; Giralt, M. Inflammation of brown/beige adipose tissues in obesity and metabolic disease. J. Intern. Med. 2018, 284, 492–504. [Google Scholar] [CrossRef]
- Maliszewska, K.; Kretowski, A. Brown adipose tissue and its role in insulin and glucose homeostasis. Int. J. Mol. Sci. 2021, 22, 1530. [Google Scholar] [CrossRef] [PubMed]
- Cheng, L.; Wang, J.; Dai, H.; Duan, Y.; An, Y.; Shi, L.; Lv, Y.; Li, H.; Wang, C.; Ma, Q. Brown and beige adipose tissue: A novel therapeutic strategy for obesity and type 2 diabetes mellitus. Adipocyte 2021, 10, 48–65. [Google Scholar] [CrossRef] [PubMed]
- Corrêa, L.H.; Heyn, G.S.; Magalhaes, K.G. The impact of the adipose organ plasticity on inflammation and cancer progression. Cells 2019, 8, 662. [Google Scholar] [CrossRef] [PubMed]
- Zwezdaryk, K.; Sullivan, D.; Saifudeen, Z. The p53/adipose-tissue/cancer nexus. Front. Endocrinol. 2018, 9, 457. [Google Scholar]
- Heyn, G.S.; Corrêa, L.H.; Magalhaes, K.G. The impact of adipose tissue–derived miRNAs in metabolic syndrome, obesity, and cancer. Front. Endocrinol. 2020, 11, 563816. [Google Scholar]
- Lengyel, E.; Makowski, L.; DiGiovanni, J.; Kolonin, M.G. Cancer as a matter of fat: The crosstalk between adipose tissue and tumors. Trends Cancer 2018, 4, 374–384. [Google Scholar] [CrossRef]
- Jones, L.P.; Buelto, D.; Tago, E.; Owusu-Boaitey, K.E. Abnormal mammary adipose tissue environment of BRCA1 mutant mice show a persistent deposition of highly vascularized multilocular adipocytes. J. Cancer Sci. Ther. 2011, 2, 4. [Google Scholar] [CrossRef]
- Frontini, A.; Cinti, S. Distribution and development of brown adipocytes in the murine and human adipose organ. Cell. Metab. 2010, 11, 253–256. [Google Scholar] [CrossRef]
- Iacobellis, G.; Corradi, D.; Sharma, A.M. Epicardial adipose tissue: Anatomic, biomolecular and clinical relationships with the heart. Nat. Clin. Pract. Cardiovasc. Med. 2005, 2, 536–543. [Google Scholar] [CrossRef] [PubMed]
- Chu, D.T.; Gawronska-Kozak, B. Brown and brite adipocytes: Same function, but different origin and response. Biochimie 2017, 138, 102–105. [Google Scholar] [CrossRef]
- Rosenwald, M.; Perdikari, A.; Rülicke, T.; Wolfrum, C. Bi-directional interconversion of brite and white adipocytes. Nat. Cell. Biol. 2013, 15, 659–667. [Google Scholar] [CrossRef] [PubMed]
- Ong, F.J.; Ahmed, B.A.; Oreskovich, S.M.; Blondin, D.P.; Haq, T.; Konyer, N.B.; Noseworthy, M.D.; Haman, F.; Carpentier, A.C.; Morrison, K.M. Recent advances in the detection of brown adipose tissue in adult humans: A review. Clin. Sci. 2018, 132, 1039–1054. [Google Scholar] [CrossRef] [PubMed]
- Pace, L.; Nicolai, E.; D’Amico, D.; Ibello, F.; Della Morte, A.M.; Salvatore, B.; Pizzuti, L.M.; Salvatore, M.; Soricelli, A. Determinants of physiologic 18F-FDG uptake in brown adipose tissue in sequential PET/CT examinations. Mol. Imaging Biol. 2011, 13, 1029–1035. [Google Scholar] [CrossRef] [PubMed]
- Steinberg, J.D.; Vogel, W.; Vegt, E. Factors influencing brown fat activation in FDG PET/CT: A retrospective analysis of 15,000+ cases. Br. J. Radiol. 2017, 90, 20170093. [Google Scholar] [CrossRef] [PubMed]
- Chakraborty, D.; Bhattacharya, A.; Mittal, B.R. Patterns of brown fat uptake of 18F-fluorodeoxyglucose in positron emission tomography/computed tomography scan. Indian J. Nucl. Med. 2015, 30, 320–322. [Google Scholar] [CrossRef]
- Bos, S.A.; Gill, C.M.; Martinez-Salazar, E.L.; Torriani, M.; Bredella, M.A. Preliminary investigation of brown adipose tissue assessed by PET/CT and cancer activity. Skeletal Radiol. 2019, 48, 413–419. [Google Scholar] [CrossRef]
- Ruppert, A.S.; Dixon, J.G.; Salles, G.; Wall, A.; Cunningham, D.; Poeschel, V.; Haioun, C.; Tilly, H.; Ghesquieres, H.; Ziepert, M. International prognostic indices in diffuse large B-cell lymphoma: A comparison of IPI, R-IPI, and NCCN-IPI. Blood 2020, 135, 2041–2048. [Google Scholar] [CrossRef]
- Solal-Céligny, P.; Roy, P.; Colombat, P.; White, J.; Armitage, J.O.; Arranz-Saez, R.; Au, W.Y.; Bellei, M.; Brice, P.; Caballero, D. Follicular lymphoma international prognostic index. Blood 2004, 104, 1258–1265. [Google Scholar] [CrossRef]
- Yadav, C.; Ahmad, A.; D’Souza, B.; Agarwal, A.; Nandini, M.; Prabhu, K.A.; D’Souza, V. Serum lactate dehydrogenase in non-Hodgkin’s lymphoma: A prognostic indicator. Indian J. Clin. Biochem. 2016, 31, 240–242. [Google Scholar] [CrossRef] [PubMed]
- Sun, R.; Medeiros, L.J.; Young, K.H. Diagnostic and predictive biomarkers for lymphoma diagnosis and treatment in the era of precision medicine. Mod. Pathol. 2016, 29, 1118–1142. [Google Scholar] [PubMed]
- Makgoeng, S.B.; Bolanos, R.S.; Jeon, C.Y.; Weiss, R.E.; Arah, O.A.; Breen, E.C.; Martínez-Maza, O.; Hussain, S.K. Markers of immune activation and inflammation, and non-Hodgkin lymphoma: A meta-analysis of prospective studies. JNCI Cancer Spectr. 2018, 2, pky082. [Google Scholar] [PubMed]
- Barrington, S.F.; Trotman, J. The role of PET in the first-line treatment of the most common subtypes of non-Hodgkin lymphoma. Lancet Haematol. 2021, 8, e80–e93. [Google Scholar] [CrossRef]
- Rahman, W.T.; Wale, D.J.; Viglianti, B.L.; Townsend, D.M.; Manganaro, M.S.; Gross, M.D.; Wong, K.K.; Rubello, D. The impact of infection and inflammation in oncologic 18F-FDG PET/CT imaging. Biomed. Pharmacother. 2019, 117, 109168. [Google Scholar] [CrossRef]
- Chen, K.Y.; Cypess, A.M.; Laughlin, M.R.; Haft, C.R.; Hu, H.H.; Bredella, M.A.; Enerbäck, S.; Kinahan, P.E.; van Marken Lichtenbelt, W.; Lin, F.I. Brown Adipose Reporting Criteria in Imaging STudies (BARCIST 1.0): Recommendations for standardized FDG-PET/CT experiments in humans. Cell Metab. 2016, 24, 210–222. [Google Scholar] [CrossRef]
- Martinez-Tellez, B.; Nahon, K.J.; Sanchez-Delgado, G.; Abreu-Vieira, G.; Llamas-Elvira, J.M.; Van Velden, F.H.; Arias-Bouda, L.M.P.; Rensen, P.C.; Boon, M.R.; Ruiz, J.R. The impact of using BARCIST 1.0 criteria on quantification of BAT volume and activity in three independent cohorts of adults. Sci. Rep. 2018, 8, 1–8. [Google Scholar]
- Tai, H.C.; Lee, J.; Huang, W.C.; Liu, H.C.; Chen, C.H.; Huang, Y.C.; Lee, C.J.; Yun, C.H.; Hsu, S.M.; Chen, Y.J. The impact of radiation to epicardial adipose tissue on prognosis of esophageal squamous cell carcinoma receiving neoadjuvant chemoradiotherapy and esophagectomy. Appl. Sci. 2021, 11, 4023. [Google Scholar] [CrossRef]
- Doukbi, E.; Soghomonian, A.; Sengenès, C.; Ahmed, S.; Ancel, P.; Dutour, A.; Gaborit, B. Browning epicardial adipose tissue: Friend or foe? Cells 2022, 11, 991. [Google Scholar] [CrossRef]
- Sacks, H.S.; Fain, J.N.; Holman, B.; Cheema, P.; Chary, A.; Parks, F.; Karas, J.; Optican, R.; Bahouth, S.W.; Garrett, E. Uncoupling protein-1 and related messenger ribonucleic acids in human epicardial and other adipose tissues: Epicardial fat functioning as brown fat. J. Clin. Endocrinol. Metab. 2009, 94, 3611–3615. [Google Scholar] [CrossRef]
- Mazurek, T.; Zhang, L.; Zalewski, A.; Mannion, J.D.; Diehl, J.T.; Arafat, H.; Sarov-Blat, L.; O’Brien, S.; Keiper, E.A.; Johnson, A.G. Human epicardial adipose tissue is a source of inflammatory mediators. Circulation 2003, 108, 2460–2466. [Google Scholar] [CrossRef] [PubMed]
- Parisi, V.; Rengo, G.; Pagano, G.; D’Esposito, V.; Passaretti, F.; Caruso, A.; Grimaldi, M.G.; Lonobile, T.; Baldascino, F.; De Bellis, A. Epicardial adipose tissue has an increased thickness and is a source of inflammatory mediators in patients with calcific aortic stenosis. Int. J. Cardiol. 2015, 186, 167–169. [Google Scholar] [CrossRef] [PubMed]
- Philipp, S.; Horstmann, M.; Hose, M.; Daser, A.; Görtz, G.E.; Jesenek, C.; Flögel, U.; Hansen, W.; Bechrakis, N.; Banga, J.P.S. An early wave of macrophage infiltration intertwined with antigen-specific proinflammatory T cells and browning of adipose tissue characterizes the onset of orbital inflammation in a mouse model of Graves' orbitopathy. Thyroid 2022, 32, 283–293. [Google Scholar] [CrossRef]
- Cheson, B.D.; Fisher, R.I.; Barrington, S.F.; Cavalli, F.; Schwartz, L.H.; Zucca, E.; Lister, T.A. Recommendations for initial evaluation, staging, and response assessment of Hodgkin and non-Hodgkin lymphoma: The Lugano classification. J. Clin. Oncol. 2014, 32, 3059. [Google Scholar] [CrossRef] [PubMed]














| Characteristics | Responders (n = 17) | Non-Responders (n = 3) | |
|---|---|---|---|
| Diagnosis | |||
| FL | 12 | 1 | |
| DLBCL | 5 | 2 | |
| R-CHOP cycles | |||
| 4 | 3 | 1 | |
| 6 | 7 | 1 | |
| 8 | 7 | 1 | |
| PS | |||
| 0 | 13 | 2 | |
| 1 | 4 | 1 | |
| Gender | |||
| Male | 10 | 2 | |
| Female | 7 | 1 | |
| Median age (years) | 61 (range, 30–76) | 67 (range, 67–75) | |
| Stage | |||
| I | 1 | 0 | |
| II | 3 | 1 | |
| III | 4 | 0 | |
| IV | 9 | 2 | |
| Risk group 1 | |||
| Low | 3 | 0 | |
| Intermediate | 10 | 3 | |
| High | 4 | 0 | |
| LDH (U/L) 2 | 277.9 ± 50.3 | 377.7 ± 97.2 | |
| BMI (kg/m2) 2 | 24.7 ± 1.1 | 24.9 ± 3.1 | |
| IHC profiles | |||
| CD20 | + | 17 | 3 |
| − | 0 | 0 | |
| CD10 | + | 10 | 2 |
| − | 7 | 1 | |
| Bcl-6 | + | 9 | 3 |
| − | 8 | 0 | |
| Bcl-2 | + | 11 | 3 |
| − | 6 | 0 | |
| Responders (n = 17) | Non-Responders (n = 3) | ||||
|---|---|---|---|---|---|
| M | SD | M | SD | p | |
| SUV-H EAT (mL) | 14.8 | 6.5 | −8.6 | 6.5 | 0.03 1 |
| SUV-H OAT (mL) | 3.1 | 0.8 | −1.0 | 0.4 | 0.001 2 |
| LDH (U/L) | −11.4 | 66.5 | 398.7 | 151.2 | 0.03 1 |
| BMI (kg/m2) | −0.7 | 0.7 | −2.3 | 1.6 | 0.36 |
| Complete Responders (n = 10) | Partial Responders (n = 7) | ||||
|---|---|---|---|---|---|
| M | SD | M | SD | p | |
| SUV-H EAT (mL) | 24.2 | 10.1 | 1.3 | 1.1 | 0.04 1 |
| SUV-H OAT (mL) | 3.5 | 0.8 | 2.4 | 1.7 | 0.55 |
| LDH (U/L) | −23.0 | 49.2 | 5.3 | 153.2 | 0.84 |
| BMI (kg/m2) | −0.2 | 0.6 | −1.4 | 1.3 | 0.37 |
| SUV-H EAT | SUV-H OAT | LDH | BMI | |
|---|---|---|---|---|
| SUV-H EAT | 1.00 | 0.50 1 | −0.06 | 0.23 |
| SUV-H OAT | 1.00 | −0.70 2 | 0.23 | |
| LDH | 1.00 | −0.01 | ||
| BMI | 1.00 |
| SUV-H EAT | SUV-H OAT | LDH | BMI | |
|---|---|---|---|---|
| SUV-H EAT | 1.00 | 0.07 | 0.38 | −0.11 |
| SUV-H OAT | 1.00 | −0.55 1 | 0.06 | |
| LDH | 1.00 | −0.11 | ||
| BMI | 1.00 |
| Indicators | OR | 95% CI | p | |
|---|---|---|---|---|
| Delta SUV-H EAT volume (mL) | ≥0 | 1 | ||
| <0 | 32.00 | 1.39–737.46 | 0.03 1 | |
| Delta SUV-H OAT volume (mL) | ≥−0.2 | 1 | ||
| <−0.2 | 8.00 | 0.35–184.36 | 0.19 | |
| Delta LDH (U/L) | <200 | 1 | ||
| ≥200 | 32.00 | 1.39–737.46 | 0.03 1 | |
| Delta BMI (kg/m2) | ≥−0.2 | 1 | ||
| <−0.2 | 2.86 | 0.22–37.99 | 0.43 | |
| Gender | Female | 1 | ||
| Male | 1.40 | 0.11–18.62 | 0.79 | |
| Performance status | ECOG = 0 2 | 1 | ||
| ECOG = 1 2 | 1.63 | 0.12–22.98 | 0.72 | |
| Stage | I and II | 1 | ||
| III and IV | 1.63 | 0.12–22.98 | 0.72 | |
| Age (y) | <70 | 1 | ||
| ≥70 | 8.00 | 0.35–184.36 | 0.19 | |
Disclaimer/Publisher’s Note: The statements, opinions and data contained in all publications are solely those of the individual author(s) and contributor(s) and not of MDPI and/or the editor(s). MDPI and/or the editor(s) disclaim responsibility for any injury to people or property resulting from any ideas, methods, instructions or products referred to in the content. |
© 2023 by the authors. Licensee MDPI, Basel, Switzerland. This article is an open access article distributed under the terms and conditions of the Creative Commons Attribution (CC BY) license (https://creativecommons.org/licenses/by/4.0/).
Share and Cite
Huang, Y.-M.; Hsieh, C.-H.; Wang, S.-Y.; Tsao, C.-H.; Lee, J.-C.; Chen, Y.-J. Treatment Resulting Changes in Volumes of High-18F-FDG-Uptake Adipose Tissues over Orbit and Epicardium Correlate with Treatment Response for Non-Hodgkin’s Lymphoma. Int. J. Mol. Sci. 2023, 24, 2158. https://doi.org/10.3390/ijms24032158
Huang Y-M, Hsieh C-H, Wang S-Y, Tsao C-H, Lee J-C, Chen Y-J. Treatment Resulting Changes in Volumes of High-18F-FDG-Uptake Adipose Tissues over Orbit and Epicardium Correlate with Treatment Response for Non-Hodgkin’s Lymphoma. International Journal of Molecular Sciences. 2023; 24(3):2158. https://doi.org/10.3390/ijms24032158
Chicago/Turabian StyleHuang, Yu-Ming, Chen-Hsi Hsieh, Shan-Ying Wang, Chin-Ho Tsao, Jehn-Chuan Lee, and Yu-Jen Chen. 2023. "Treatment Resulting Changes in Volumes of High-18F-FDG-Uptake Adipose Tissues over Orbit and Epicardium Correlate with Treatment Response for Non-Hodgkin’s Lymphoma" International Journal of Molecular Sciences 24, no. 3: 2158. https://doi.org/10.3390/ijms24032158
APA StyleHuang, Y.-M., Hsieh, C.-H., Wang, S.-Y., Tsao, C.-H., Lee, J.-C., & Chen, Y.-J. (2023). Treatment Resulting Changes in Volumes of High-18F-FDG-Uptake Adipose Tissues over Orbit and Epicardium Correlate with Treatment Response for Non-Hodgkin’s Lymphoma. International Journal of Molecular Sciences, 24(3), 2158. https://doi.org/10.3390/ijms24032158

