Combining Ability Analysis of Yield-Related Traits of Two Elite Rice Restorer Lines in Chinese Hybrid Rice
Abstract
1. Introduction
2. Results
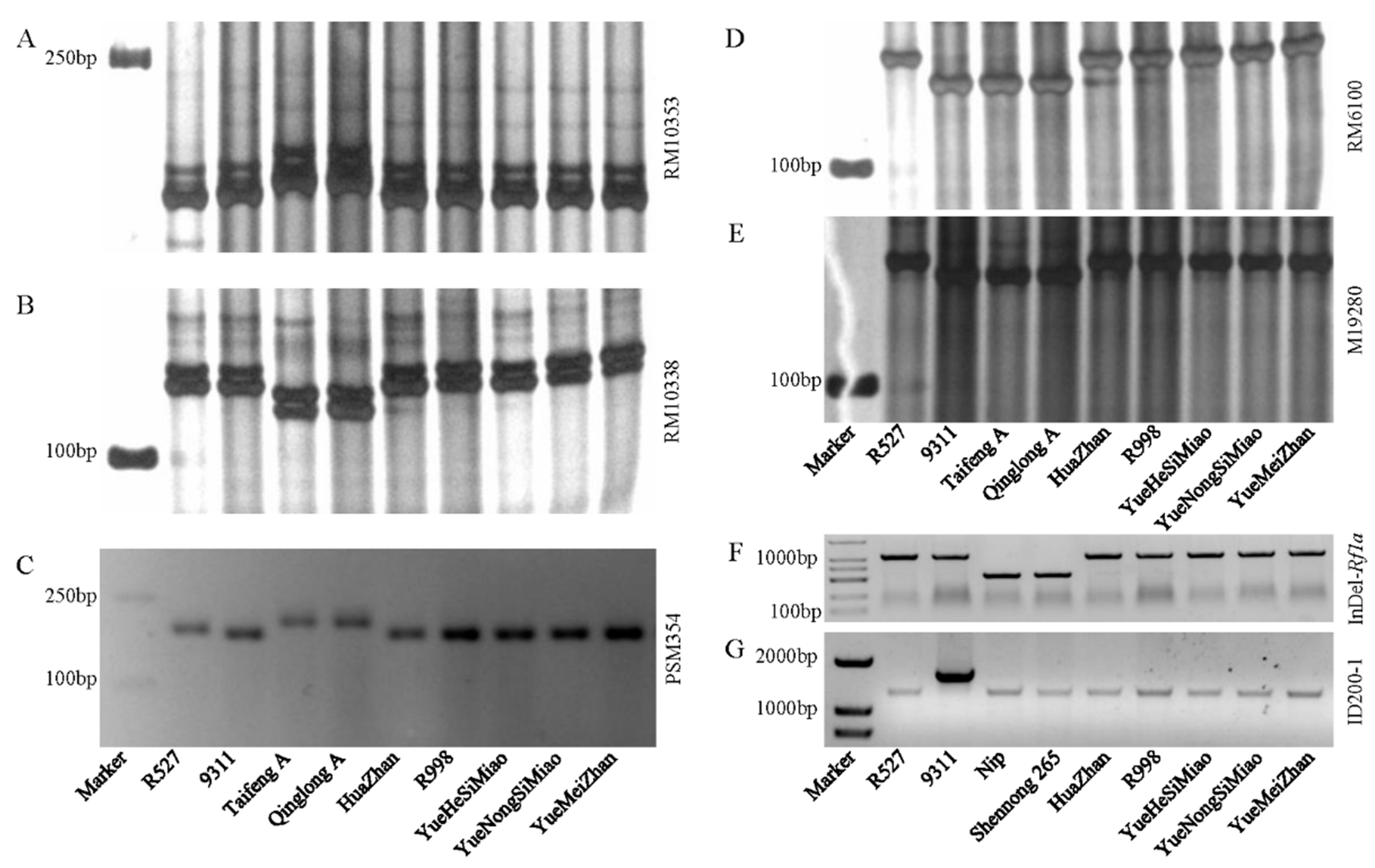
2.1. YNSM and YHSM Are High-Performance Restorer Lines for Hybrid Rice
2.2. Variance Analysis of Combining Ability
2.3. Genetic Effect Analysis of Combining Ability
2.4. YNSM and YHSM Exhibited High Combining Ability for Yield-Related Traits
2.5. Correlation Analysis of Yield Components
3. Discussion
4. Conclusions
5. Materials and Methods
5.1. Plant Materials and Growth Conditions
5.2. PCR-Based Genotyping
5.3. Agronomic Traits Evaluation
5.4. Statistical Analysis
Supplementary Materials
Author Contributions
Funding
Institutional Review Board Statement
Informed Consent Statement
Data Availability Statement
Conflicts of Interest
References
- Ray, D.K.; Mueller, N.D.; West, P.C.; Foley, J.A. Yield Trends Are Insufficient to Double Global Crop Production by 2050. PLoS ONE 2013, 8, e66428. [Google Scholar] [CrossRef] [PubMed]
- Bandumula, N. Rice Production in Asia: Key to Global Food Security. Proc. Natl. Acad. Sci. India Sect. B Biol. Sci. 2018, 88, 1323–1328. [Google Scholar] [CrossRef]
- Uyeh, D.D.; Asem-Hiablie, S.; Park, T.; Kim, K.; Mikhaylov, A.; Woo, S.; Ha, Y. Could Japonica Rice Be an Alternative Variety for Increased Global Food Security and Climate Change Mitigation? Foods 2021, 10, 1869. [Google Scholar] [CrossRef]
- Khush, G.S.; Gupta, P. Strategies for increasing the yield potential of cereals: Case of rice as an example. Plant Breed. 2013, 132, 433–436. [Google Scholar] [CrossRef]
- Sasaki, A.; Ashikari, M.; Ueguchi-Tanaka, M.; Itoh, H.; Nishimura, A.; Swapan, D.; Ishiyama, K.; Saito, T.; Kobayashi, M.; Khush, G.S.; et al. A mutant gibberellin-synthesis gene in rice. Nature 2002, 416, 701–702. [Google Scholar] [CrossRef]
- Spielmeyer, W.; Ellis, M.H.; Chandler, P.M. Semidwarf (sd-1), “green revolution” rice, contains a defective gibberellin 20-oxidase gene. Proc. Natl. Acad. Sci. USA 2002, 99, 9043–9048. [Google Scholar] [CrossRef]
- Lisa, M.; Noriyuki, K.; Rika, Y.; Junko, S.; Haruka, M.; Yumiko, M.; Masao, T.; Mizuho, S.; Shinobu, N.; Yuzo, M. Positional Cloning of Rice Semidwarfing Gene, sd-1: Rice “Green Revolution Gene” Encodes a Mutant Enzyme Involved in Gibberellin Synthesis. DNA Res. 2002, 9, 11–17. [Google Scholar]
- Jin, D.; Nassirou, T.Y. Progress and Perspectives of Distant Heterosis in Rice. In Advances in Plant Breeding Strategies: Breeding, Biotechnology and Molecular Tools; Al-Khayri, J.M., Jain, S.M., Johnson, D.V., Eds.; Springer International Publishing: Cham, Switzerland, 2015; Volume 1, pp. 193–214. [Google Scholar]
- Ali, J.; Anumalla, M.; Murugaiyan, V.; Li, Z. Green super rice (GSR) traits: Breeding and genetics for multiple biotic and abiotic stress tolerance in rice. In Rice Improvement: Physiological, Molecular Breeding and Genetic Perspectives; Springer International Publishing: Cham, Switzerland, 2021; pp. 59–97. [Google Scholar]
- Wing, R.A.; Purugganan, M.D.; Zhang, Q. The rice genome revolution: From an ancient grain to Green Super Rice. Nat. Rev. Genet. 2018, 19, 505–517. [Google Scholar] [CrossRef]
- Qian, Q.; Guo, L.; Smith, S.M.; Li, J. Breeding high-yield superior-quality hybrid super-rice by rational design. Natl. Sci. Rev. 2016, 3, 283–294. [Google Scholar] [CrossRef]
- Singh, H.P.; Kujur, M.J.; Kalia, S. Hybrid Rice: Development, Constraints and Prospects—A review. Bull. Environ. Pharmacol. Life Sci. 2018, 7, 01–05. [Google Scholar]
- Ma, G.; Yuan, L. Hybrid rice achievements, development and prospect in China. J. Integr. Agric. 2015, 14, 197–205. [Google Scholar] [CrossRef]
- Ordonio, R.L.; Matsuoka, M. New path towards a better rice architecture. Cell Res. 2017, 27, 1189–1190. [Google Scholar] [CrossRef] [PubMed]
- Yano, K.; Morinaka, Y.; Wang, F.; Huang, P.; Takehara, S.; Hirai, T.; Ito, A.; Koketsu, E.; Kawamura, M.; Kotake, K.; et al. GWAS with principal component analysis identifies a gene comprehensively controlling rice architecture. Proc. Natl. Acad. Sci. USA 2019, 116, 21262–21267. [Google Scholar] [CrossRef] [PubMed]
- Virmani, S.S.; Sun, Z.X.; Mou, T.M.; Ali, A.J.; Mao, C.X. Two-Line Hybrid Rice Breeding Manual; International Rice Research Institute: Los Baños, Philippines, 2003. [Google Scholar]
- Ren, Y.; Chen, D.; Li, W.; Tao, L.; Yuan, G.; Cao, Y.; Li, X.; Deng, Q.; Wang, S.; Zheng, A.; et al. Genome-wide pedigree analysis of elite rice Shuhui 527 reveals key regions for breeding. J. Integr. Agric. 2021, 20, 35–45. [Google Scholar] [CrossRef]
- Fu, J.; Zhang, Y.; Yan, T.; Li, Y.; Jiang, N.; Zhou, Y.; Zhou, Q.; Qin, P.; Fu, C.; Lin, H.; et al. Transcriptome profiling of two super hybrid rice provides insights into the genetic basis of heterosis. BMC Plant Biol. 2022, 22, 314. [Google Scholar] [CrossRef]
- Wang, S.; Ma, B.; Gao, Q.; Jiang, G.; Zhou, L.; Tu, B.; Qin, P.; Tan, X.; Liu, P.; Kang, Y.; et al. Dissecting the genetic basis of heavy panicle hybrid rice uncovered Gn1a and GS3 as key genes. Theor. Appl. Genet. 2018, 131, 1391–1403. [Google Scholar] [CrossRef]
- Tu, B.; Tao, Z.; Wang, S.; Zhou, L.; Zheng, L.; Zhang, C.; Li, X.; Zhang, X.; Yin, J.; Zhu, X. Loss of Gn1a/OsCKX2 confers heavy-panicle rice with excellent lodging resistance. J. Integr. Plant Biol. 2022, 64, 23–38. [Google Scholar] [CrossRef]
- Cheng, S.H.; Cao, L.Y.; Zhuang, J.Y.; Chen, S.G.; Zhan, X.D.; Fan, Y.Y.; Zhu, D.F.; Min, S.K. Super Hybrid Rice Breeding in China: Achievements and Prospects. J. Integr. Plant Biol. 2007, 49, 805–810. [Google Scholar] [CrossRef]
- Kumar, S.S.; Yadav, V.K.; Bhadana, V.P.; Yadav, M.C.; Sundaram, R. Wide Compatibility Gene Approaches and Heterosis Relationship in Japonica x Indica Hybrid Rice (Oryza sativa L.). Mol. Plant Breed. 2016, 7, 1–12. [Google Scholar] [CrossRef]
- Thalapati, S.; Guttikonda, H.; Nannapaneni, N.D.; Adari, P.B.; Surendhar Reddy, C.; Swamy, B.P.M.; Batchu, A.K.; Basava, R.K.; Viraktamath, B.C.; Neelamraju, S. Heterosis and combining ability in rice as influenced by introgressions from wild species Oryza rufipogon including qyld2.1 sub-QTL into the restorer line KMR3. Euphytica 2015, 202, 81–95. [Google Scholar] [CrossRef]
- El-Mowafi, H.F.; AlKahtani, M.D.F.; Abdallah, R.M.; Reda, A.M.; Attia, K.A.; El-Hity, M.A.; El-Dabaawy, H.E.; Husnain, L.A.; Al-Ateeq, T.K.; EL-Esawi, M.A. Combining Ability and Gene Action for Yield Characteristics in Novel Aromatic Cytoplasmic Male Sterile Hybrid Rice under Water-Stress Conditions. Agriculture 2021, 11, 226. [Google Scholar] [CrossRef]
- Toriyama, K. Molecular basis of cytoplasmic male sterility and fertility restoration in rice. Plant Biotechnol. 2021, 38, 285–295. [Google Scholar] [CrossRef] [PubMed]
- Wang, F. Achievements and Prospects of Hybrid Rice Breeding—Review of 50 Years’Research on Hybrid Rice by Rice Research Institute of Guangdong Academy of Agricultural Sciences. Guangdong Agric. Sci. 2020, 47, 31–41. [Google Scholar]
- Hussain, I.; Ali, S.; Liu, W.; Awais, M.; Li, J.; Liao, Y.; Zhu, M.; Fu, C.; Liu, D.; Wang, F. Identification of Heterotic Groups and Patterns Based on Genotypic and Phenotypic Characteristics Among Rice Accessions of Diverse Origins. Front. Genet. 2022, 13, 811124. [Google Scholar] [CrossRef]
- He, X.; Liu, W.; Lu, Z.; Lu, D.; Wang, X.; Wang, S.; Liao, Y.; Chen, Z. Breeding and Application of the Main Rice Variety Yuenongsimiao with Good Quality in South China. Guangdong Agric. Sci. 2021, 48, 52–59. [Google Scholar]
- Nadali, B.; Babaeian, J.N. Heterosis and Combining Ability Analysis for Yield and Related-Yield Traits in Hybrid Rice. Int. J. Biol. 2010, 2, 222–231. [Google Scholar]
- Gramaje, L.V.; Caguiat, J.D.; Enriquez, J.O.S.; dela Cruz, Q.D.; Millas, R.A.; Carampatana, J.E.; Tabanao, D.A.A. Heterosis and combining ability analysis in CMS hybrid rice. Euphytica 2020, 216, 14. [Google Scholar] [CrossRef]
- Gaballah, M.M.; Attia, K.A.; Ghoneim, A.M.; Khan, N.; EL-Ezz, A.F.; Yang, B.; Xiao, L.; Ibrahim, E.I.; Al-Doss, A.A. Assessment of Genetic Parameters and Gene Action Associated with Heterosis for Enhancing Yield Characters in Novel Hybrid Rice Parental Lines. Plants 2022, 11, 266. [Google Scholar] [CrossRef]
- Mowafi, H.; Arafat, E.; Negm, M.; Wissa, M.; Elsharnobi, D. Study of Heterosis and Genetic Parameters for Yield and its Components Traits in Hybrid Rice (Oryza sativa L.) using line x tester mating system. J. Plant Prod. 2022, 13, 297–303. [Google Scholar] [CrossRef]
- Cheng, S.; Zhuang, J.; Fan, Y.; Du, J.; Cao, L. Progress in research and development on hybrid rice: A super-domesticate in China. Ann. Bot. 2007, 100, 959–966. [Google Scholar] [CrossRef]
- Huang, W.; Yu, C.; Hu, J.; Wang, L.; Dan, Z.; Zhou, W.; He, C.; Zeng, Y.; Yao, G.; Qi, J.; et al. Pentatricopeptide-repeat family protein RF6 functions with hexokinase 6 to rescue rice cytoplasmic male sterility. Proc. Natl. Acad. Sci. USA 2015, 112, 14984–14989. [Google Scholar] [CrossRef]
- Kazama, T.; Toriyama, K. A fertility restorer gene, Rf4, widely used for hybrid rice breeding encodes a pentatricopeptide repeat protein. Rice 2014, 7, 28. [Google Scholar] [CrossRef] [PubMed]
- Rahimi, M.; Rabiei, B.; Samizadeh, H.; Ghasemi, A.K. Combining Ability and Heterosis in Rice (Oryza sativa L.) Cultivars. J. Agric. Sci. Technol. 2010, 12, 223–231. [Google Scholar]
- Elkhader, M.; Ali, N.; Zaid, I.U.; Li, D.; Hong, D. Association analysis between constructed SNPLDBs and GCA effects of 9 quality-related traits in parents of hybrid rice (Oryza sativa L.). BMC Genom. 2020, 21, 31. [Google Scholar]
- Gokulakrishnan, J.; Kumar, S.B. Heterotic studies using cytoplasmic male sterile lines for enhancing yield attributed traits in rice (Oryza sativa L.). Int. J. Curr. Res. 2018, 5, 27–29. [Google Scholar]
- Verma, O.P.; Srivastava, H.K. Genetic component and combining ability analyses in relation to heterosis for yield and associated traits using three diverse rice-growing ecosystems. Field Crops Res. 2004, 88, 91–102. [Google Scholar] [CrossRef]
- Chen, J.; Zhou, H.; Xie, W.; Xia, D.; Gao, G.; Zhang, Q.; Wang, G.; Lian, X.; Xiao, J.; He, Y. Genome-wide association analyses reveal the genetic basis of combining ability in rice. Plant Biotechnol. J. 2019, 17, 2211–2222. [Google Scholar] [CrossRef] [PubMed]
- Rahman, M.M.; Sarker, U.; Swapan, M.A.H.; Raihan, M.S.; Oba, S.; Alamri, S.; Siddiqui, M.H. Combining Ability Analysis and Marker-Based Prediction of Heterosis in Yield Reveal Prominent Heterotic Combinations from Diallel Population of Rice. Agronomy 2022, 12, 1797. [Google Scholar] [CrossRef]
- Hochholdinger, F.; Baldauf, J.A. Heterosis in plants. Curr. Biol. 2018, 28, R1089–R1092. [Google Scholar] [CrossRef]
- Birchler, J.A.; Yao, H.; Chudalayandi, S. Unraveling the genetic basis of hybrid vigor. Proc. Natl. Acad. Sci. USA 2006, 103, 12957–12958. [Google Scholar] [CrossRef]
- Fu, C.; Ma, C.; Zhu, M.; Liu, W.; Ma, X.; Li, J.; Liao, Y.; Liu, D.; Gu, X.; Wang, H. Transcriptomic and methylomic analyses provide insights into the molecular mechanism and prediction of heterosis in rice. Plant J. 2023, 115, 139–154. [Google Scholar] [CrossRef]
- Zhou, H.; Xia, D.; Zeng, J.; Jiang, G.; He, Y. Dissecting combining ability effect in a rice NCII-III population provides insights into heterosis in indica-japonica cross. Rice 2017, 10, 39. [Google Scholar] [CrossRef]
- Zhang, C.; Sun, Y.; Wang, D.; Sun, W.; Yu, Y.; Hu, Z.; Yu, S. Dissection of heterotic loci for grain yield using interconnected chromosome segment substitution lines in rice. Crop J. 2022, 10, 323–331. [Google Scholar] [CrossRef]
- Lu, Z.; Xiaofei, W.; Wei, L.; Dongbai, L.; Shiguang, W.; Jiao, X.; Xiuying, H. Influencing factors and genetic analysis of lodging resistance of high-quality rice ‘Yuenong Simiao’. J. Plant Genet. Resour. 2021, 22, 638–645. [Google Scholar]
- Xie, F.; Zhang, J. Shanyou 63: An elite mega rice hybrid in China. Rice 2018, 11, 17. [Google Scholar] [CrossRef]
- Zhou, X.; Nong, C.; Wu, B.; Zhou, T.; Zhang, B.; Liu, X.; Gao, G.; Mi, J.; Zhang, Q.; Liu, H.; et al. Combinations of Ghd7, Ghd8, and Hd1 determine strong heterosis of commercial rice hybrids in diverse ecological regions. J. Exp. Bot. 2021, 72, 6963–6976. [Google Scholar] [CrossRef]
- Wang, X.; Han, J.; Li, R.; Qiu, L.; Zhang, C.; Lu, M.; Huang, R.; Wang, X.; Zhang, J.; Xie, H.; et al. Gradual Daylength Sensing Coupled with Optimum Cropping Modes Enhanced Multi-Latitude Adaptation of Rice and Maize. Plant Commun. 2023, 4, 100433. [Google Scholar] [CrossRef]
- Murray, M.G.; Thompson, W.F. Rapid isolation of high molecular weight plant DNA. Nucleic Acids Res. 1980, 8, 4321–4325. [Google Scholar] [CrossRef] [PubMed]
- Anis, G.B. Assessment of Genetic Variability and Identification of Fertility Restoration Genes Rf3, Rf4 of WA-CMS in RILs Population of Rice. J. Appl. Sci. 2019, 19, 199–209. [Google Scholar] [CrossRef]
- Cai, J.; Liao, Q.P.; Dai, Z.J.; Zhu, H.T.; Zeng, R.Z.; Zhang, Z.M.; Zhang, G.Q. Allelic differentiations and effects of the Rf3 and Rf4 genes on fertility restoration in rice with wild abortive cytoplasmic male sterility. Biol. Plant. 2013, 57, 274–280. [Google Scholar] [CrossRef]
- Sheeba, N.K.; Viraktamath, B.C.; Sivaramakrishnan, S.; Gangashetti, M.G.; Khera, P.; Sundaram, R.M. Validation of molecular markers linked to fertility restorer gene(s) for WA-CMS lines of rice. Euphytica 2009, 167, 217–227. [Google Scholar] [CrossRef]
- Tang, H.; Luo, D.; Zhou, D.; Zhang, Q.; Tian, D.; Zheng, X.; Chen, L.; Liu, Y.G. The rice restorer Rf4 for wild-abortive cytoplasmic male sterility encodes a mitochondrial-localized PPR protein that functions in reduction of WA352 transcripts. Mol. Plant 2014, 7, 1497–1500. [Google Scholar] [CrossRef] [PubMed]
- Chen, T.; Luo, M.; Zhang, Y.; Zhu, Z.; Zhao, L.; Zhao, Q.; Zhou, L.-H.; Yao, S.; Yu, X.; Wang, C. Development and Application of a Functional Marker Associated with Fertility restoring Gene for BT type Cytoplasmic Male Sterility (CMS) in japonica Rice. Chin. J. Rice Sci. 2013, 27, 259–264. [Google Scholar]
- Panaud, O.; Chen, X.; Mccouch, S.R. Development of microsatellite markers and characterization of simple sequence length polymorphism (SSLP) in rice (Oryza sativa L.). Mol. Gen. Genet. 1996, 252, 597–607. [Google Scholar] [CrossRef] [PubMed]



| Source of Variation | PH | PL | EPN | NGP | NSP | SSP | TGW | YPP | df |
|---|---|---|---|---|---|---|---|---|---|
| Replicates | 322.74 ** | 0.48 | 0.62 | 2249.52 ** | 3977.11 ** | 43.61 | 0.06 | 61.83 * | 2 |
| Combinations | 88.75 ** | 2.38 ** | 2.06 | 1110.85 ** | 2768.20 ** | 137.24 ** | 8.64 ** | 44.74 ** | 49 |
| Female | 306.62 ** | 9.74 ** | 3.03 | 2643.93 ** | 11,536.69 ** | 408.06 ** | 33.27 ** | 124.45 ** | 9 |
| Male | 204.70 ** | 1.91 * | 3.83 | 2132.88 * | 807.77 | 282.56 ** | 4.27 | 38.79 | 4 |
| Female × Male | 21.39 ** | 0.59 | 1.62 | 614.03 ** | 793.9 * | 53.39 * | 2.96 ** | 25.47 * | 36 |
| Error | 6.52 | 0.57 | 1.39 | 326.68 | 439.17 | 33.60 | 0.03 | 15.42 | 98 |
| Traits | Genotype Variance | Variance Contributing Rate (%) | Heritability (%) | |||||||
|---|---|---|---|---|---|---|---|---|---|---|
| Female | Male | Female × Male | Error | Vg-GCA | Vs-SCA | Vg1 | Vg2 | Broad Heritability | Narrow Heritability | |
| PH | 19.015 | 6.110 | 4.959 | 6.518 | 83.52 | 16.48 | 63.21 | 20.31 | 82.19 | 68.64 |
| TGW | 2.021 | 0.044 | 0.976 | 0.034 | 67.91 | 32.09 | 66.47 | 1.44 | 98.89 | 67.15 |
| EPN | 0.094 | 0.074 | 0.077 | 1.391 | 68.67 | 31.33 | 38.55 | 30.12 | 14.94 | 10.26 |
| PL | 0.610 | 0.044 | 0.004 | 0.573 | 99.35 | 0.65 | 92.67 | 6.68 | 53.47 | 53.13 |
| SSP | 23.645 | 7.639 | 6.597 | 33.598 | 82.59 | 17.41 | 62.42 | 20.17 | 53.00 | 43.77 |
| NGP | 135.327 | 50.629 | 95.783 | 326.679 | 66.00 | 34.00 | 48.03 | 17.97 | 46.31 | 30.56 |
| NSP | 716.186 | 0.462 | 118.243 | 439.169 | 85.84 | 14.16 | 85.78 | 0.06 | 65.53 | 56.25 |
| YPP | 6.599 | 0.444 | 3.352 | 15.416 | 67.76 | 32.24 | 63.49 | 4.27 | 40.27 | 27.29 |
| Restorer Lines | PH | PL | EPN | NGP | NSP | SSP | TGW | YPP |
|---|---|---|---|---|---|---|---|---|
| HZ | −0.35 | 0.19 | 0.21 | −9.26 | −7.81 | −2.54 | −0.44 | −1.89 |
| R998 | 2.56 | −0.40 | 0.12 | −4.90 | −1.05 | −2.71 | 0.36 | −0.17 |
| YHSM | −2.85 | 0.24 | −0.36 | 9.38 | 6.41 | 3.05 | 0.40 | 0.98 |
| YNSM | −2.15 | −0.04 | −0.39 | 8.52 | 0.36 | 3.57 | −0.04 | 0.41 |
| YMZ | 2.80 | 0.01 | 0.42 | −3.74 | 2.09 | −1.36 | −0.29 | 0.66 |
Disclaimer/Publisher’s Note: The statements, opinions and data contained in all publications are solely those of the individual author(s) and contributor(s) and not of MDPI and/or the editor(s). MDPI and/or the editor(s) disclaim responsibility for any injury to people or property resulting from any ideas, methods, instructions or products referred to in the content. |
© 2023 by the authors. Licensee MDPI, Basel, Switzerland. This article is an open access article distributed under the terms and conditions of the Creative Commons Attribution (CC BY) license (https://creativecommons.org/licenses/by/4.0/).
Share and Cite
Wang, S.; Wu, H.; Lu, Z.; Liu, W.; Wang, X.; Fang, Z.; He, X. Combining Ability Analysis of Yield-Related Traits of Two Elite Rice Restorer Lines in Chinese Hybrid Rice. Int. J. Mol. Sci. 2023, 24, 12395. https://doi.org/10.3390/ijms241512395
Wang S, Wu H, Lu Z, Liu W, Wang X, Fang Z, He X. Combining Ability Analysis of Yield-Related Traits of Two Elite Rice Restorer Lines in Chinese Hybrid Rice. International Journal of Molecular Sciences. 2023; 24(15):12395. https://doi.org/10.3390/ijms241512395
Chicago/Turabian StyleWang, Shiguang, Haoxiang Wu, Zhanhua Lu, Wei Liu, Xiaofei Wang, Zhiqiang Fang, and Xiuying He. 2023. "Combining Ability Analysis of Yield-Related Traits of Two Elite Rice Restorer Lines in Chinese Hybrid Rice" International Journal of Molecular Sciences 24, no. 15: 12395. https://doi.org/10.3390/ijms241512395
APA StyleWang, S., Wu, H., Lu, Z., Liu, W., Wang, X., Fang, Z., & He, X. (2023). Combining Ability Analysis of Yield-Related Traits of Two Elite Rice Restorer Lines in Chinese Hybrid Rice. International Journal of Molecular Sciences, 24(15), 12395. https://doi.org/10.3390/ijms241512395

