The Propensity of the Human Liver to Form Large Lipid Droplets Is Associated with PNPLA3 Polymorphism, Reduced INSIG1 and NPC1L1 Expression and Increased Fibrogenetic Capacity
Abstract
1. Introduction
2. Results
2.1. Characteristics of Donors and Percentage Distribution of the Types of Liver Graft Steatosis with Respect to the Total Number of Hepatocytes in the Entire Study Population
2.2. Percentage Distribution of Steatosis according to the Predominant Type, Ld-Mas or Sd-MaS, Calculated on the Total of Steatotic Hepatocytes
2.2.1. Univariate Analyses of Donor Variables Associated with the Absence of Steatosis or with the Predominant Type of Steatosis
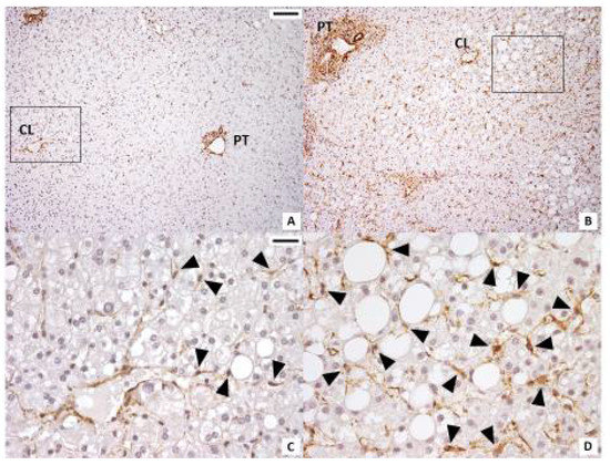
2.2.2. Univariate Analyses of Gene Expression of Hepatic Graft Lipid Metabolism and Hepatic Stellate Activation Associated with the Presence and the Predominant Type of Steatosis
2.2.3. Multivariate Analyses of Factors Associated with Each Predominant Type of Steatosis vs. Nil-Steatosis
2.2.4. Linear Regression Analyses of the Factors Associated with the Percentage of Steatotic Hepatocytes Affected by Ld-MaS
2.2.5. Association between the Percentage of Steatotic Hepatocytes Affected by Ld-MaS before Transplant and the Progression of Fibrosis due to Recurrent HCV Disease
3. Discussion
4. Materials and Methods
4.1. Liver Donors
4.2. Liver Graft Biopsies at Transplant
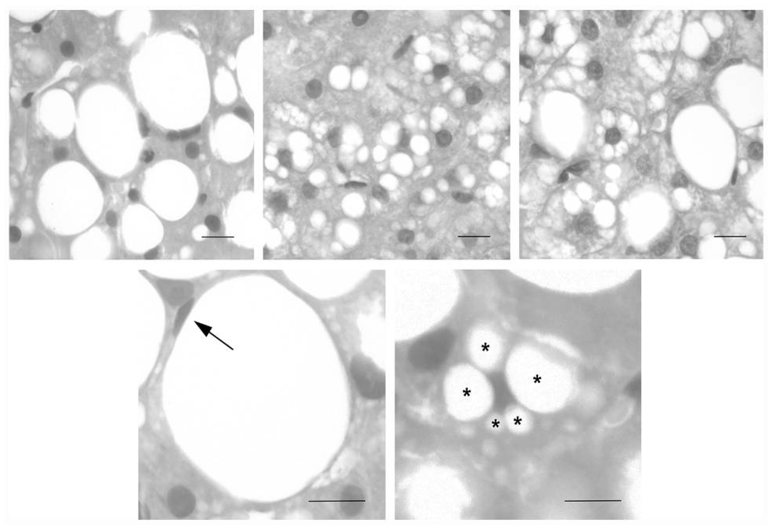
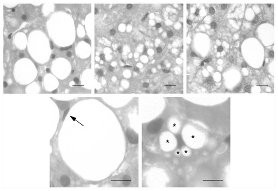
4.3. Liver Graft Steatosis Assessment
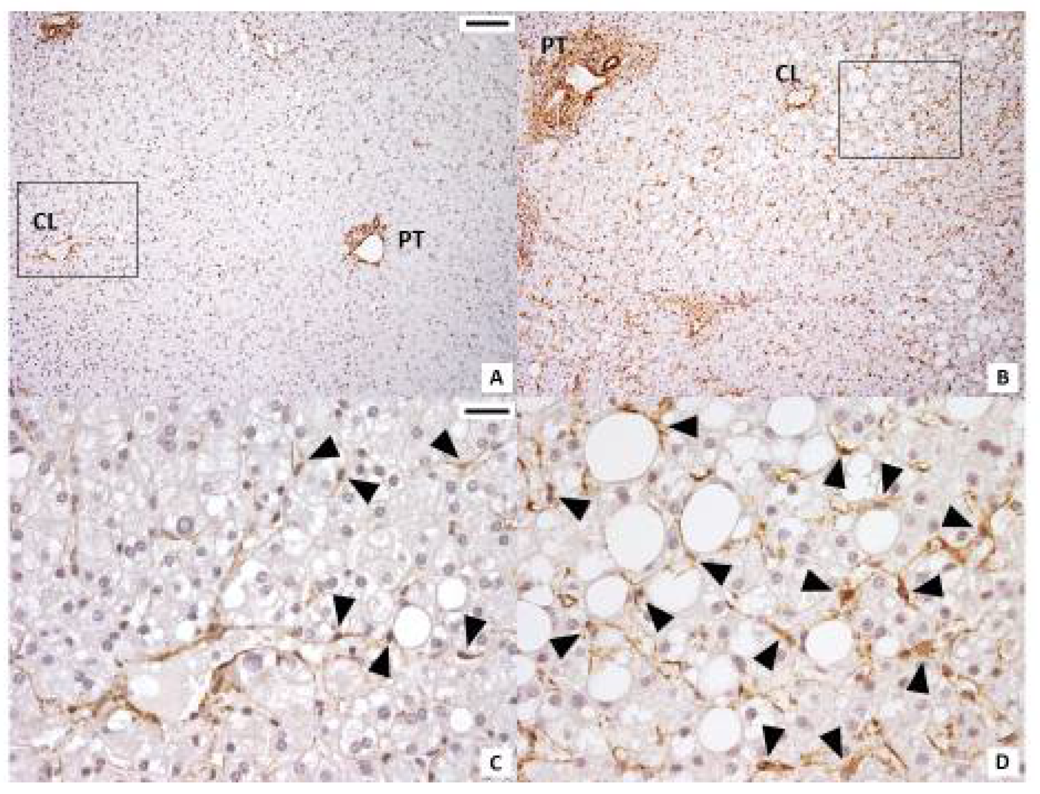
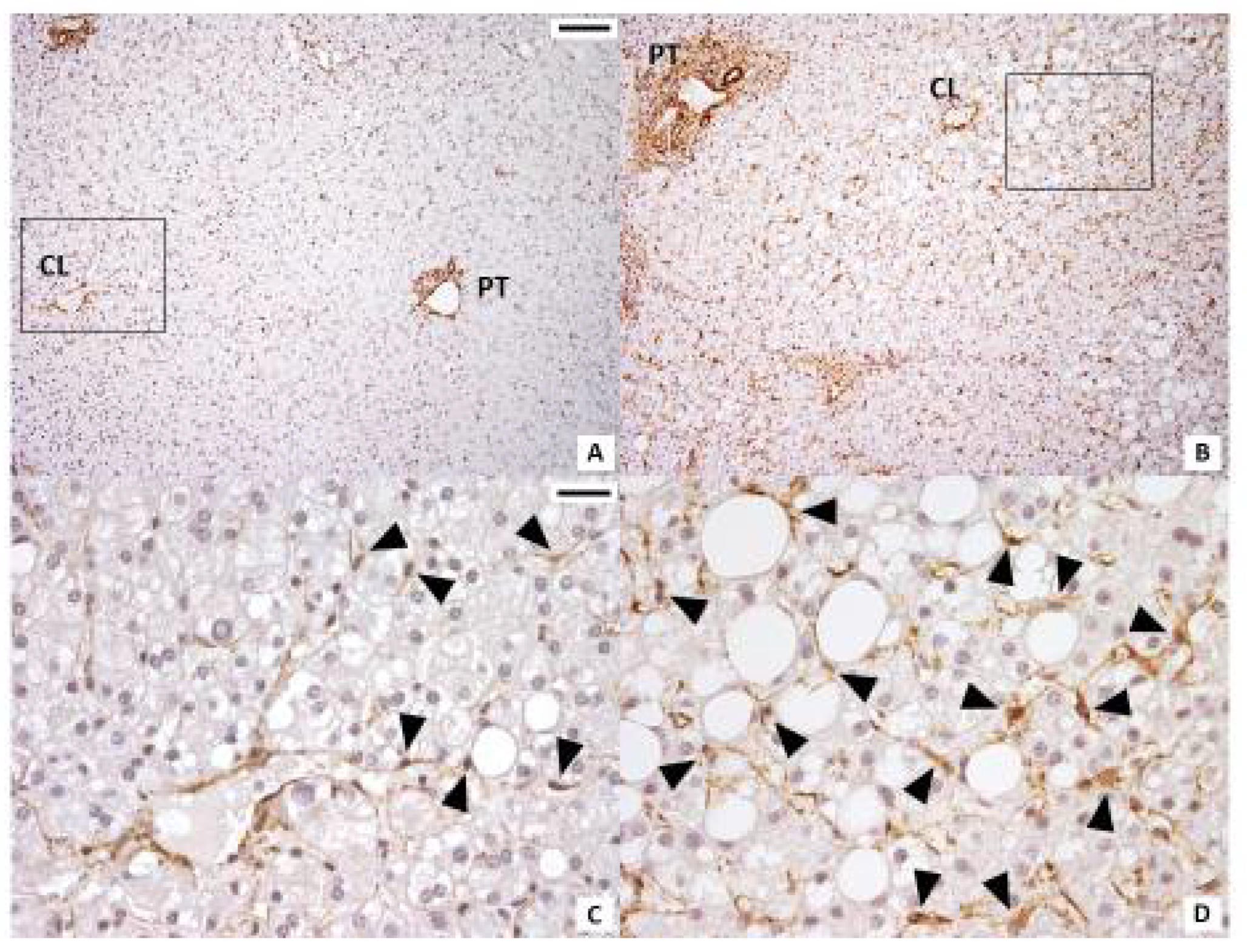
4.4. Liver Graft Hepatic Stellate Cell Activation
4.5. Liver Graft Lipid Metabolism mRNA Gene Expression
4.6. PNPLA3 rs738409 Single-Nucleotide Polymorphism Donor Screening
4.7. Fibrosis Progression after Transplant
4.8. Statistical Analyses
5. Conclusions
Supplementary Materials
Author Contributions
Funding
Institutional Review Board Statement
Informed Consent Statement
Data Availability Statement
Conflicts of Interest
References
- Makri, E.; Goulas, A.; Polyzos, S.A. Epidemiology, Pathogenesis, Diagnosis and Emerging Treatment of Nonalcoholic Fatty Liver Disease. Arch. Med. Res. 2020, 52, 25–37. [Google Scholar] [CrossRef] [PubMed]
- Allen, A.M.; Therneau, T.M.; Larson, J.J.; Coward, A.; Somers, V.K.; Kamath, P.S. Nonalcoholic fatty liver disease incidence and impact on metabolic burden and death: A 20 year-community study. Hepatology 2018, 67, 1726–1736. [Google Scholar] [CrossRef] [PubMed]
- Brunt, E.M. Pathology of fatty liver disease. Mod. Pathol. 2007, 20 (Suppl. 1), S40–S48. [Google Scholar] [CrossRef] [PubMed]
- Yersiz, H.; Lee, C.; Kaldas, F.M.; Hong, J.C.; Rana, A.; Schnickel, G.T.; Wertheim, J.A.; Zarrinpar, A.; Agopian, V.G.; Gornbein, J.; et al. Assessment of hepatic steatosis by transplant surgeon and expert pathologist: A prospective, double-blind evaluation of 201 donor livers. Liver Transpl. 2013, 19, 437–449. [Google Scholar] [CrossRef] [PubMed]
- De Graaf, L.E.; Kench, J.; Dilworth, P.; Shackel, N.A.; Strasser, S.I.; Joseph, D.; Pleass, H.; Crawford, M.; McCaughan, G.W.; Verran, D.J. Grade of deceased donor liver macrovesicular steatosis impacts graft and recipient outcomes more than the Donor Risk Index. J. Gastroenterol. Hepatol. 2012, 27, 540–546. [Google Scholar] [CrossRef] [PubMed]
- Rosenstengel, S.; Stoeppeler, S.; Bahde, R.; Spiegel, H.U.; Palmes, D. Type of steatosis influences microcirculation and fibrogenesis in different rat strains. J. Investig. Surg. 2011, 24, 273–282. [Google Scholar] [CrossRef] [PubMed]
- Stöppeler, S.; Palmes, D.; Fehr, M.; Hölzen, J.P.; Zibert, A.; Siaj, R.; Schmidt, H.H.; Spiegel, H.U.; Bahde, R. Gender and strain-specific differences in the development of steatosis in rats. Lab. Anim. 2013, 47, 43–52. [Google Scholar] [CrossRef]
- De Rudder, M.; Bouzin, C.; Nachit, M.; Louvegny, H.; Vande Velde, G.; Julé, Y.; Leclercq, I.A. Automated computerized image analysis for the user-independent evaluation of disease severity in preclinical models of NAFLD/NASH. Lab. Invest. 2020, 100, 147–160. [Google Scholar] [CrossRef]
- Najt, C.P.; Senthivinayagam, S.; Aljazi, M.B.; Fader, K.A.; Olenic, S.D.; Brock, J.R.; Lydic, T.A.; Jones, A.D.; Atshaves, B.P. Liver-specific loss of Perilipin 2 alleviates diet-induced hepatic steatosis, inflammation, and fibrosis. Am. J. Physiol. Liver Physiol. 2016, 310, G726–G738. [Google Scholar] [CrossRef] [PubMed]
- Mashek, D.G. Hepatic lipid droplets: A balancing act between energy storage and metabolic dysfunction in NAFLD. Mol. Metab. 2020, 10, 101115. [Google Scholar] [CrossRef] [PubMed]
- Chalasani, N.; Wilson, L.; Kleiner, D.E.; Cummings, O.W.; Brunt, E.M.; Unalp, A. NASH Clinical Research Network. Relationship of steatosis grade and zonal location to histological features of steatohepatitis in adult patients with non-alcoholic fatty liver disease. J. Hepatol. 2008, 48, 829–834. [Google Scholar] [CrossRef]
- Tandra, S.; Yeh, M.M.; Brunt, E.M.; Vuppalanchi, R.; Cummings, O.W.; Ünalp-Arida, A.; Wilson, L.A.; Chalasani, N. Presence and significance of microvesicular steatosis in nonalcoholic fatty liver disease. J. Hepatol. 2011, 55, 654–659. [Google Scholar] [CrossRef] [PubMed]
- Malhotra, P.; Gill, R.K.; Saksena, S.; Alrefai, W.A. Disturbances in Cholesterol Homeostasis and Non-alcoholic Fatty Liver Diseases. Front. Med. 2020, 7, 467. [Google Scholar] [CrossRef]
- Tirosh, O. Hypoxic Signaling and Cholesterol Lipotoxicity in Fatty Liver Disease Progression. Oxid. Med. Cell. Longev. 2018, 31, 2548154. [Google Scholar] [CrossRef] [PubMed]
- Minamikawa, T.; Ichimura-Shimizu, M.; Takanari, H.; Morimoto, Y.; Shiomi, R.; Tanioka, H.; Hase, E.; Yasui, T.; Tsuneyama, K. Molecular imaging analysis of microvesicular and macrovesicular lipid droplets in non-alcoholic fatty liver disease by Raman microscopy. Sci. Rep. 2020, 29, 18548. [Google Scholar] [CrossRef]
- Horai, Y.; Utsumi, H.; Ono, Y.; Kishimoto, T.; Ono, Y.; Fukunari, A. Pathological characterization and morphometric analysis of hepatic lesions in SHRSP5/Dmcr, an experimental non-alcoholic steatohepatitis model, induced by high-fat and high-cholesterol diet. Int. J. Exp. Pathol. 2016, 97, 75–85. [Google Scholar] [CrossRef]
- Schott, M.B.; Weller, S.G.; Schulze, R.J.; Krueger, E.W.; Drizyte-Miller, K.; Casey, C.A.; McNiven, M.A. Lipid droplet size directs lipolysis and lipophagy catabolism in hepatocytes. J. Cell Biol. 2019, 218, 3320–3335. [Google Scholar] [CrossRef] [PubMed]
- Schulze, R.J.; Krueger, E.W.; Weller, S.G.; Johnson, K.M.; Casey, C.A.; Schott, M.B.; McNiven, M.A. Direct lysosome-based autophagy of lipid droplets in hepatocytes. Proc. Natl. Acad. Sci. USA 2020, 117, 32443–32452. [Google Scholar] [CrossRef]
- Seebacher, F.; Zeigerer, A.; Kory, N.; Krahmer, N. Hepatic lipid droplet homeostasis and fatty liver disease. Semin. Cell Dev. Biol. 2020, 108, 72–81. [Google Scholar] [CrossRef]
- Dejgaard, S.Y.; Presley, J.F. Interactions of Lipid Droplets with the Intracellular Transport Machinery. Int. J. Mol. Sci. 2021, 22, 2776. [Google Scholar] [CrossRef] [PubMed]
- Pingitore, P.; Romeo, S. The role of PNPLA3 in health and disease. Biochim. Biophys. Acta Mol. Cell Biol. Lipids. 2019, 1864, 900–906. [Google Scholar] [CrossRef]
- Carpino, G.; Pastori, D.; Baratta, F.; Overi, D.; Labbadia, G.; Polimeni, L.; Di Costanzo, A.; Pannitteri, G.; Carnevale, R.; Del Ben, M.; et al. PNPLA3 variant and portal/periportal histological pattern in patients with biopsy-proven non-alcoholic fatty liver disease: A possible role for oxidative stress. Sci. Rep. 2017, 7, 15756. [Google Scholar] [CrossRef] [PubMed]
- Li, J.Z.; Huang, Y.; Karaman, R.; Ivanova, P.T.; Brown, H.A.; Roddy, T.; Castro-Perez, J.; Cohen, J.C.; Hobbs, H.H. Chronic overexpression of PNPLA3I148M in mouse liver causes hepatic steatosis. J. Clin. Investig. 2012, 122, 4130–4144. [Google Scholar] [CrossRef] [PubMed]
- Chamoun, Z.; Vacca, F.; Parton, R.G.; Gruenberg, J. PNPLA3/adiponutrin functions in lipid droplet formation. Biol. Cell. 2013, 105, 219–233. [Google Scholar] [CrossRef]
- Wang, Y.; Kory, N.; BasuRay, S.; Cohen, J.C.; Hobbs, H.H. PNPLA3, CGI-58, and Inhibition of Hepatic Triglyceride Hydrolysis in Mice. Hepatology 2019, 69, 2427–2441. [Google Scholar] [CrossRef] [PubMed]
- Smagris, E.; BasuRay, S.; Li, J.; Huang, Y.; Lai, K.M.; Gromada, J.; Cohen, J.C.; Hobbs, H.H. Pnpla3I148M knockin mice accumulate PNPLA3 on lipid droplets and develop hepatic steatosis. Hepatology 2015, 61, 108–118. [Google Scholar] [CrossRef]
- Xu, W.; Wu, L.; Yu, M.; Chen, F.J.; Arshad, M.; Xia, X.; Ren, H.; Yu, J.; Xu, L.; Xu, D.; et al. Differential Roles of Cell Death-inducing DNA Fragmentation Factor-α-like Effector (CIDE) Proteins in Promoting Lipid Droplet Fusion and Growth in Subpopulations of Hepatocytes. J. Biol. Chem. 2016, 291, 4282–4293. [Google Scholar] [CrossRef]
- Wallstab, C.; Eleftheriadou, D.; Schulz, T.; Damm, G.; Seehofer, D.; Borlak, J.; Holzhütter, H.G.; Berndt, N. A unifying mathematical model of lipid droplet metabolism reveals key molecular players in the development of hepatic steatosis. FEBS J. 2017, 284, 3245–3261. [Google Scholar] [CrossRef]
- Alamri, H.; Patterson, N.H.; Yang, E.; Zoroquiain, P.; Lazaris, A.; Chaurand, P.; Metrakos, P. Mapping the triglyceride distribution in NAFLD human liver by MALDI imaging mass spectrometry reveals molecular differences in micro and macro steatosis. Anal. Bioanal. Chem. 2019, 411, 885–894. [Google Scholar] [CrossRef]
- Ma, S.Y.; Sun, K.S.; Zhang, M.; Zhou, X.; Zheng, X.H.; Tian, S.Y.; Liu, Y.S.; Chen, L.; Gao, X.; Ye, J.; et al. Disruption of Plin5 degradation by CMA causes lipid homeostasis imbalance in NAFLD. Liver Int. 2020, 40, 2427–2438. [Google Scholar] [CrossRef]
- Nobili, V.; Liccardo, D.; Bedogni, G.; Salvatori, G.; Gnani, D.; Bersani, I.; Alisi, A.; Valenti, L.; Raponi, M. Influence of dietary pattern, physical activity, and I148M PNPLA3 on steatosis severity in at-risk adolescents. Genes Nutr. 2014, 9, 392. [Google Scholar] [CrossRef] [PubMed]
- Wu, J.T.; Liu, S.S.; Xie, X.J.; Liu, Q.; Xin, Y.N.; Xuan, S.Y. Independent and joint correlation of PNPLA3 I148M and TM6SF2 E167K variants with the risk of coronary heart disease in patients with non-alcoholic fatty liver disease. Lipids Health Dis. 2020, 19, 29. [Google Scholar] [CrossRef]
- Mantovani, A.; Taliento, A.; Zusi, C.; Baselli, G.; Prati, D.; Granata, S.; Zaza, G.; Colecchia, A.; Maffeis, C.; Byrne, C.D.; et al. PNPLA3 I148M gene variant and chronic kidney disease in type 2 diabetic patients with NAFLD: Clinical and experimental findings. Liver Int. 2020, 40, 1130–1141. [Google Scholar] [CrossRef]
- Schwartz, B.E.; Rajagopal, V.; Smith, C.; Cohick, E.; Whissell, G.; Gamboa, M.; Pai, R.; Sigova, A.; Grossman, I.; Bumcrot, D.; et al. Discovery and Targeting of the Signaling Controls of PNPLA3 to Effectively Reduce Transcription, Expression, and Function in Pre-Clinical NAFLD/NASH Settings. Cells 2020, 9, 2247. [Google Scholar] [CrossRef]
- Lindén, D.; Ahnmark, A.; Pingitore, P.; Ciociola, E.; Ahlstedt, I.; Andréasson, A.C.; Sasidharan, K.; Madeyski-Bengtson, K.; Zurek, M.; Mancina, R.M.; et al. Pnpla3 silencing with antisense oligonucleotides ameliorates nonalcoholic steatohepatitis and fibrosis in Pnpla3 I148M knock-in mice. Mol. Metab. 2019, 22, 49–61. [Google Scholar] [CrossRef] [PubMed]
- Sandhu, B.; Perez Matos, M.C.; Tran, S.; Zhong, A.; Csizmadia, E.; Kim, M.; Herman, M.A.; Nasser, I.; Lai, M.; Jiang, Z.G. Quantitative digital pathology reveals association of cell-specific PNPLA3 transcription with NAFLD disease activity. JHEP Rep. 2019, 1, 199–202. [Google Scholar] [CrossRef]
- Briceño, J.; Ciria, R.; Pleguezuelo, M.; de la Mata, M.; Muntané, J.; Naranjo, A.; Sánchez-Hidalgo, J.; Marchal, T.; Rufián, S.; López-Cillero, P. Impact of donor graft steatosis on overall outcome and viral recurrence after liver transplantation for hepatitis C virus cirrhosis. Liver Transpl. 2009, 15, 37–48. [Google Scholar] [CrossRef]
- Subramanian, V.; Seetharam, A.B.; Vachharajani, N.; Tiriveedhi, V.; Angaswamy, N.; Ramachandran, S.; Crippin, J.S.; Shenoy, S.; Chapman, W.C.; Mohanakumar, T.; et al. Donor graft steatosis influences immunity to hepatitis C virus and allograft outcome after liver transplantation. Transplantation 2011, 92, 1259–1268. [Google Scholar] [CrossRef]
- Yamauchi, T.; Iwai, M.; Kobayashi, N.; Shimazu, T. Noradrenaline and ATP decrease the secretion of triglyceride and apoprotein B from perfused rat liver. Pflugers Arch. 1998, 435, 368–374. [Google Scholar] [CrossRef] [PubMed]
- Isaza, S.C.; Del Pozo-Maroto, E.; Domínguez-Alcón, L.; Elbouayadi, L.; González-Rodríguez, Á.; García-Monzón, C. Hypoxia and Non-alcoholic Fatty Liver Disease. Front. Med. 2020, 7, 578001. [Google Scholar] [CrossRef]
- Gimm, T.; Wiese, M.; Teschemacher, B.; Deggerich, A.; Schödel, J.; Knaup, K.X.; Hackenbeck, T.; Hellerbrand, C.; Amann, K.; Wiesener, M.S.; et al. Hypoxia-inducible protein 2 is a novel lipid droplet protein and a specific target gene of hypoxia-inducible factor-1. FASEB J. 2010, 24, 4443–4458. [Google Scholar] [CrossRef] [PubMed]
- De la Rosa Rodriguez, M.A.; Kersten, S. Regulation of lipid droplet homeostasis by hypoxia inducible lipid droplet associated HILPDA. Biochim. Biophys. Acta Mol. Cell Biol. Lipids. 2020, 1865, 158738. [Google Scholar] [CrossRef] [PubMed]
- DiStefano, M.T.; Danai, L.V.; Roth Flach, R.J.; Chawla, A.; Pedersen, D.J.; Guilherme, A.; Czech, M.P. The Lipid Droplet Protein Hypoxia-inducible Gene 2 Promotes Hepatic Triglyceride Deposition by Inhibiting Lipolysis. J. Biol. Chem. 2015, 290, 15175–15184. [Google Scholar] [CrossRef] [PubMed]
- Wang, L.J.; Song, B.L. Niemann-Pick C1-Like 1 and cholesterol uptake. Biochim. Biophys. Acta 2012, 1821, 964–972. [Google Scholar] [CrossRef]
- Shuhui, O.; Zhongcheng, M.; Sha, S.; Kai, Y.; Yuncheng, L. Emerging role of Insig-1 in lipid metabolism and lipid disorders. Clin. Chim. Acta 2020, 508, 206–212. [Google Scholar] [CrossRef]
- Lee, H.Y.; Jun, D.W.; Kim, H.J.; Oh, H.; Saeed, W.K.; Ahn, H.; Cheung, R.C.; Nguyen, M.H. Ezetimibe decreased nonalcoholic fatty liver disease activity score but not hepatic steatosis. Korean J. Intern. Med. 2019, 34, 296–304. [Google Scholar] [CrossRef] [PubMed]
- Tomita, K.; Teratani, T.; Suzuki, T.; Shimizu, M.; Sato, H.; Narimatsu, K.; Okada, Y.; Kurihara, C.; Irie, R.; Yokoyama, H.; et al. Free cholesterol accumulation in hepatic stellate cells: Mechanism of liver fibrosis aggravation in nonalcoholic steatohepatitis in mice. Hepatology 2014, 59, 154–169. [Google Scholar] [CrossRef]
- Ogrodnik, M.; Miwa, S.; Tchkonia, T.; Tiniakos, D.; Wilson, C.L.; Lahat, A.; Day, C.P.; Burt, A.; Palmer, A.; Anstee, Q.M.; et al. Cellular senescence drives age-dependent hepatic steatosis. Nat. Commun. 2017, 8, 15691. [Google Scholar] [CrossRef]
- Ferri, F.; Lai, Q.; Molinaro, A.; Poli, E.; Parlati, L.; Lattanzi, B.; Mennini, G.; Melandro, F.; Pugliese, F.; Maldarelli, F.; et al. Donor Small-Droplet Macrovesicular Steatosis Affects Liver Transplant Outcome in HCV-Negative Recipients. Can. J. Gastroenterol. Hepatol. 2019, 2019, 5862985. [Google Scholar] [CrossRef]
- Carotti, S.; Morini, S.; Corradini, S.G.; Burza, M.A.; Molinaro, A.; Carpino, G.; Merli, M.; De Santis, A.; Muda, A.O.; Rossi, M.; et al. Glial fibrillary acidic protein as an early marker of hepatic stellate cell activation in chronic and posttransplant recurrent hepatitis C. Liver Transpl. 2008, 14, 806–814. [Google Scholar] [CrossRef] [PubMed]
- Livak, K.J.; Schmittgen, T.D. Analysis of relative gene expression data using real-time quantitative PCR and the 2(-Delta Delta C(T)) Method. Methods 2001, 25, 402–408. [Google Scholar] [CrossRef] [PubMed]
- Ishak, K.; Baptista, A.; Bianchi, L.; Callea, F.; De Groote, J.; Gudat, F.; Denk, H.; Desmet, V.; Korb, G.; MacSween, R.N.; et al. Histological grading and staging of chronic hepatitis. J. Hepatol. 1995, 22, 696–699. [Google Scholar] [CrossRef]





| Nil Steatosis | Pred. Sd-MaS | Pred. Ld-MaS | Overall p-Value | p-Value Pred. Ld-Mas vs. Pred. Sd-Mas | p-Value Pred. Ld-Mas vs. Nil Steatosis | p-Value Pred. Sd-Mas vs. Nil Steatosis | |
|---|---|---|---|---|---|---|---|
| n | 74 | 53 | 98 | ||||
| Age (years) | 40.50 (23.00–60.25) | 50.00 (34.00–62.5) | 56.00 (44.00–65.25) | 0.0002 | 0.117 | 0.0002 | 0.393 |
| Males, n (%) | 43 (58.1) | 33 (62.3) | 55 (56.1) | 0.766 | - | - | - |
| BMI (kg/m2) | 24.22 (22.79–25.33) | 25.39 (23.23–26.94) | 25.76 (24.17–27.76) | <0.0001 | 0.415 | <0.0001 | 0.040 |
| Obesity, n (%) | 1 (1.4) | 3 (5.7) | 10 (10.2) | 0.058 | - | - | - |
| Diabetes, n (%) | 5 (6.8) | 5 (9.4) | 11 (11.2) | 0.608 | - | - | - |
| Traumatic cause of death, n (%) | 32 (43.2) | 18 (34.0) | 23 (23.5) | 0.022 | 0.166 | 0.006 | 0.291 |
| Noradrenaline administration, (%) | 37 (50.0) | 18 (34.0) | 60 (61.2) | 0.006 | 0.001 | 0.142 | 0.072 |
| ICU stay (days) | 4.00 (2.00–7.75) | 3.00 (2.00–4.00) | 4.00 (2.00–7.00) | 0.013 | 0.024 | 1.000 | 0.022 |
| Serum AST (IU/L) | 36.50 (24.00–75.00) | 43.00 (27.25–79.50) | 35.00 (23.00–59.00) | 0.324 | - | - | - |
| Serum ALT (IU/L) | 33.00 (15.00–61.50) | 32.50 (17.00–52.50) | 30.00 (18.00–52.75) | 0.797 | - | - | - |
| Liver graft Ld-MaS (percent of total hepatocytes) | - | 5.00 (0.00–10.00) | 5.00 (5.00–12.25) | - | <0.0001 | NA | NA |
| Liver graft Sd-MaS (percent of total hepatocytes) | - | 20.00 (7.00–30.00) | 0.00 (0.00–3.00) | - | <0.0001 | NA | NA |
| Liver graft Ld-MaS (percent of steatotic hepatocytes) | - | 20.00 (0.00–33.33) | 100.00 (70.00–100.00) | - | <0.0001 | NA | NA |
| Donor PNPLA3, n (%) * | 0.053 | - | - | - | |||
| II | 29 (52.7) | 25 (73.5) | 32 (50.8) | ||||
| IM | 22 (40.0) | 8 (23.5) | 20 (31.7) | ||||
| MM | 4 (7.3) | 1 (2.9) | 11 (17.5) |
| Nil Steatosis | Pred. Sd-MaS | Pred. Ld-MaS | p-Value | p-Value Pred. Ld-Mas vs. Pred. Sd-Mas | p-Value Pred. Ld-Mas vs. Nil Steatosis | p-Value Pred. Sd-Mas vs. Nil Steatosis | |
|---|---|---|---|---|---|---|---|
| n | 22 | 12 | 29 | ||||
| Lobular HSC | 4.00 (1.88–7.00) | 2.00 (1.00–4.00) | 4.50 (3.50–5.75) | 0.041 | 0.036 | >0.999 | 0.228 |
| Acinar zone 1 HSC | 1.00 (0.50–1.00) | 0.50 (0.50–1.00) | 1.00 (0.50–1.50) | 0.204 | - | - | - |
| Acinar zone 2 HSC | 2.00 (0.50–3.00) | 0.75 (0.00–2.00) | 2.00 (1.50–2.50) | 0.041 | 0.035 | 0.980 | 0.303 |
| Acinar zone 3 HSC | 1.50 (0.50–2.25) | 0.75 (0.50–1.00) | 2.00 (1.00–2.00) | 0.043 | 0.037 | >0.999 | 0.258 |
| Crude | Adjusted * | |||||||||
|---|---|---|---|---|---|---|---|---|---|---|
| B | 95% CI | t | p | B | 95% CI | t | p | |||
| Lower | Upper | Lower | Upper | |||||||
| Noradrenaline administration | 0.267 | 8.095 | 30.855 | 3.382 | 0.001 | 16.562 | 5.182 | 28.002 | 2.874 | 0.005 |
| PNPLA3 polymorphism | 0.224 | 1.303 | 21.702 | 2.239 | 0.027 | 15.284 | 5.180 | 25.388 | 3.006 | 0.003 |
| INSIG1 mRNA | −0.364 | −9.157 | −1.665 | −2.895 | 0.005 | −5.102 | −9.243 | −0.962 | −2.473 | 0.017 |
| NPC1L1 mRNA | −0.330 | −8.933 | −1.138 | −2.589 | 0.012 | −4.618 | −8.695 | −0.542 | −2.273 | 0.027 |
| Activated total lobular HSCs | 0.514 | 3.934 | 13.177 | 3.744 | 0.001 | 7.766 | 3.278 | 12.253 | 3.510 | 0.001 |
| Activated acinar zone 1 HSCs | 0.379 | 5.337 | 45.763 | 2.557 | 0.015 | 19.668 | 0.059 | 39.277 | 2.034 | 0.049 |
| Activated acinar zone 2 HSCs | 0.537 | 9.635 | 29.601 | 3.975 | 0.0002 | 17.690 | 7.995 | 27.385 | 3.701 | 0.001 |
| Activated acinar zone 3 HSCs | 0.463 | 7.697 | 32.801 | 3.263 | 0.002 | 20.136 | 8.086 | 32.185 | 3.389 | 0.002 |
Publisher’s Note: MDPI stays neutral with regard to jurisdictional claims in published maps and institutional affiliations. |
© 2021 by the authors. Licensee MDPI, Basel, Switzerland. This article is an open access article distributed under the terms and conditions of the Creative Commons Attribution (CC BY) license (https://creativecommons.org/licenses/by/4.0/).
Share and Cite
Ferri, F.; Carotti, S.; Carpino, G.; Mischitelli, M.; Cantafora, A.; Molinaro, A.; Argenziano, M.E.; Parisse, S.; Corsi, A.; Riminucci, M.; et al. The Propensity of the Human Liver to Form Large Lipid Droplets Is Associated with PNPLA3 Polymorphism, Reduced INSIG1 and NPC1L1 Expression and Increased Fibrogenetic Capacity. Int. J. Mol. Sci. 2021, 22, 6100. https://doi.org/10.3390/ijms22116100
Ferri F, Carotti S, Carpino G, Mischitelli M, Cantafora A, Molinaro A, Argenziano ME, Parisse S, Corsi A, Riminucci M, et al. The Propensity of the Human Liver to Form Large Lipid Droplets Is Associated with PNPLA3 Polymorphism, Reduced INSIG1 and NPC1L1 Expression and Increased Fibrogenetic Capacity. International Journal of Molecular Sciences. 2021; 22(11):6100. https://doi.org/10.3390/ijms22116100
Chicago/Turabian StyleFerri, Flaminia, Simone Carotti, Guido Carpino, Monica Mischitelli, Alfredo Cantafora, Antonio Molinaro, Maria Eva Argenziano, Simona Parisse, Alessandro Corsi, Mara Riminucci, and et al. 2021. "The Propensity of the Human Liver to Form Large Lipid Droplets Is Associated with PNPLA3 Polymorphism, Reduced INSIG1 and NPC1L1 Expression and Increased Fibrogenetic Capacity" International Journal of Molecular Sciences 22, no. 11: 6100. https://doi.org/10.3390/ijms22116100
APA StyleFerri, F., Carotti, S., Carpino, G., Mischitelli, M., Cantafora, A., Molinaro, A., Argenziano, M. E., Parisse, S., Corsi, A., Riminucci, M., Lai, Q., Mennini, G., Spadetta, G., Pugliese, F., Rossi, M., Morini, S., Gaudio, E., & Ginanni Corradini, S. (2021). The Propensity of the Human Liver to Form Large Lipid Droplets Is Associated with PNPLA3 Polymorphism, Reduced INSIG1 and NPC1L1 Expression and Increased Fibrogenetic Capacity. International Journal of Molecular Sciences, 22(11), 6100. https://doi.org/10.3390/ijms22116100

