KRAB-Induced Heterochromatin Effectively Silences PLOD2 Gene Expression in Somatic Cells and Is Resilient to TGFβ1 Activation
Abstract
1. Introduction
2. Results
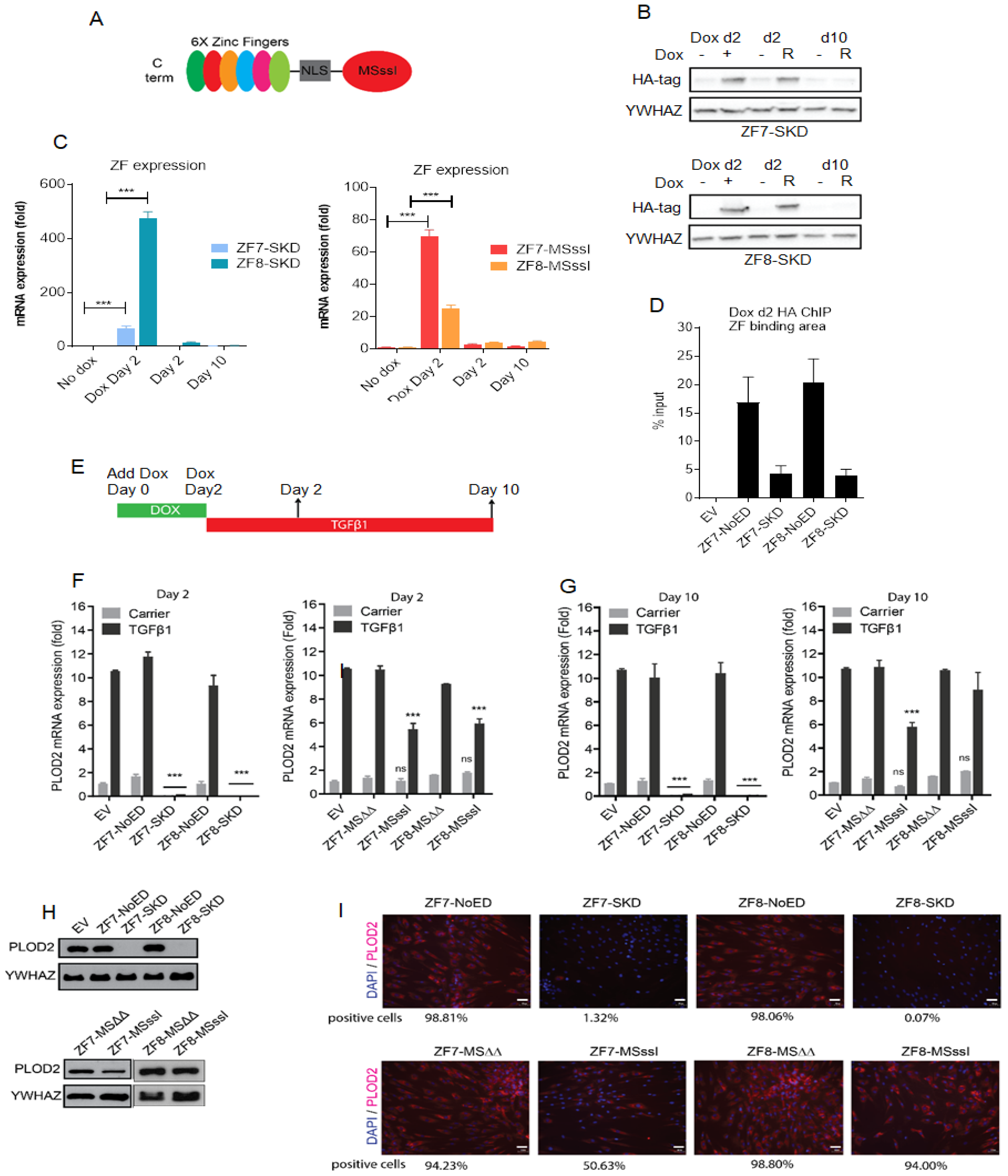
2.1. Engineered Transcription Factors Can Activate and Repress PLOD2 Expression
2.2. ZF Repressors Attenuate Fibrosis-Related PLOD2 Expression
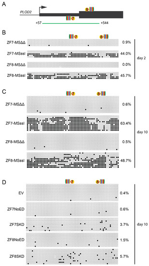
2.3. Both ZF-SKD as Well as ZF-M.SssI Induce Efficient Repression of PLOD2 in Fibroblasts
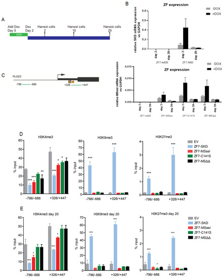
2.4. PLOD2 Repression is Associated with Epigenetic Modulation in TGFβ1 Stimulated Fibroblasts
2.5. SKD- and M.SssI-Induced Epigenetic Modulation in Highly Proliferative Breast Cancer Cells
2.6. ZF-SKD and ZF-M.SssI-Induced Repression of PLOD2 in Highly Proliferative Breast Cancer Cells
2.7. SKD and M.SssI-Induced Repression of PLOD2 Using the Transient CRISPR-dCas9 Platform
3. Discussion
4. Materials and Methods
4.1. Cell Culture and Stimulation
4.2. Zinc Finger Design and Cloning
4.3. Constructing dCas9 Fusions and Guide RNA Expression Plasmids
4.4. Viral Infections and Generating Stable Cells
4.5. Transient Transfection of Cells in CRISPR Experiments
4.6. DNA Methylation Analysis
4.7. RNA Isolation and Quantitative RT-PCR
4.8. Chromatin Immunoprecipitation
4.9. Western Blotting and Immunocytochemistry
4.10. Statistics
5. Conclusions
Supplementary Materials
Author Contributions
Funding
Acknowledgments
Conflicts of Interest
Abbreviations
| KRAB | Krüppel-associated box |
| SKD | Super KRAB Domain |
| dCas9 | Deactivated Cas9 |
| sgRNA | Single guide RNA |
| PLOD2 | Procollagen-Lysine, 2-Oxoglutarate 5-Dioxygenase 2 |
| ZF | Zinc finger |
| LH2 | Lysyl hydroxylase 2 |
| KAP-1 | KRAB-associated protein 1 |
| HP1 | Heterochromatin Protein 1 |
| CRISPR | Clustered regularly interspaced short palindromic repeats |
| M.SssI | CpG Methyltransferase |
| HEK293T | Human embryonic kidney cells |
| TALEN | Transcription activator-like effectors |
| ED | Effector domain |
| TGFβ1 | Transforming growth factor beta-1 |
| TSS | Transcription start site |
| HDFs | Human dermal fibroblasts |
| mRNA | Messenger RNA |
| DNA | Deoxyribonucleic acid |
| RNA | Ribonucleic acid |
| NoED | No effector domain |
| EV | Empty vector |
| CpGi | CG island |
| MTase | Methyltransferase |
| Dnmt | DNA methyltransferase |
| iPSCs | Induced pluripotent stem cells |
| FBS | Fetal bovine serum |
| DMEM | Dulbecco’s Modified Eagle Medium |
| BSA | Bovine serum albumin |
| PCR | Polymerase chain reaction |
| cDNA | complementary DNA |
| GAPDH | Glyceraldehyde 3-phosphate dehydrogenase |
| YWHAZ | 14-3-3 protein zeta/delta (14-3-3ζ) |
| ChIP | Chromatin immunoprecipitation |
| RIPA | Radioimmunoprecipitation assay |
| SDS-PAGE | Sodium dodecyl sulfate-polyacrylamide gel electrophoresis |
| TBS-T | Tris-buffered saline and Tween 20 |
| PBS | Phosphate-Buffered Saline |
| DAPI | 4′,6-diamidino-2-phenylindole |
| ANOVA | Analysis of variance |
References
- Berdasco, M.; Esteller, M. Clinical epigenetics: Seizing opportunities for translation. Nat. Rev. Genet. 2019, 20, 109–127. [Google Scholar] [CrossRef] [PubMed]
- Ganesan, A.; Arimondo, P.B.; Rots, M.G.; Jeronimo, C.; Berdasco, M. The timeline of epigenetic drug discovery: From reality to dreams. Clin. Epigenet. 2019, 11, 174. [Google Scholar] [CrossRef] [PubMed]
- Geel, T.M.; Ruiters, M.H.J.; Cool, R.H.; Halby, L.; Voshart, D.C.; Andrade Ruiz, L.; Niezen-Koning, K.E.; Arimondo, P.B.; Rots, M.G. The past and presence of gene targeting: From chemicals and DNA via proteins to rna. Philos. Trans. R. Soc. Lond. B Biol. Sci. 2018, 373, 20170077. [Google Scholar] [CrossRef] [PubMed]
- De Groote, M.L.; Verschure, P.J.; Rots, M.G. Epigenetic editing: Targeted rewriting of epigenetic marks to modulate expression of selected target genes. Nucleic Acids Res. 2012, 40, 10596–10613. [Google Scholar] [CrossRef]
- Thakore, P.I.; Kwon, J.B.; Nelson, C.E.; Rouse, D.C.; Gemberling, M.P.; Oliver, M.L.; Gersbach, C.A. Rna-guided transcriptional silencing in vivo with s. Aureus crispr-cas9 repressors. Nat. Commun. 2018, 9, 1674. [Google Scholar] [CrossRef]
- Bae, T.; Hur, J.W.; Kim, D.; Hur, J.K. Recent trends in crispr-cas system: Genome, epigenome, and transcriptome editing and crispr delivery systems. Genes Genom. 2019, 41, 871–877. [Google Scholar] [CrossRef]
- Gomez, J.A.; Beitnere, U.; Segal, D.J. Live-animal epigenome editing: Convergence of novel techniques. Trends Genet. 2019, 35, 527–541. [Google Scholar] [CrossRef]
- Groner, A.C.; Meylan, S.; Ciuffi, A.; Zangger, N.; Ambrosini, G.; Dénervaud, N.; Bucher, P.; Trono, D. Krab-zinc finger proteins and kap1 can mediate long-range transcriptional repression through heterochromatin spreading. PLoS Genet. 2010, 6, e1000869. [Google Scholar] [CrossRef]
- Groner, A.C.; Tschopp, P.; Challet, L.; Dietrich, J.E.; Verp, S.; Offner, S.; Barde, I.; Rodriguez, I.; Hiiragi, T.; Trono, D. The kruppel-associated box repressor domain can induce reversible heterochromatization of a mouse locus in vivo. J. Biol. Chem. 2012, 287, 25361–25369. [Google Scholar] [CrossRef]
- Stolzenburg, S.; Beltran, A.S.; Swift-Scanlan, T.; Rivenbark, A.G.; Rashwan, R.; Blancafort, P. Stable oncogenic silencing in vivo by programmable and targeted de novo DNA methylation in breast cancer. Oncogene 2015, 34, 5427–5435. [Google Scholar] [CrossRef]
- Thakore, P.I.; Black, J.B.; Hilton, I.B.; Gersbach, C.A. Editing the epigenome: Technologies for programmable transcription and epigenetic modulation. Nat. Methods 2016, 13, 127–137. [Google Scholar] [CrossRef] [PubMed]
- Amabile, A.; Migliara, A.; Capasso, P.; Biffi, M.; Cittaro, D.; Naldini, L.; Lombardo, A. Inheritable silencing of endogenous genes by hit-and-run targeted epigenetic editing. Cell 2016, 167, 219–232.e14. [Google Scholar] [CrossRef]
- O’Geen, H.; Ren, C.; Nicolet, C.M.; Perez, A.A.; Halmai, J.; Le, V.M.; Mackay, J.P.; Farnham, P.J.; Segal, D.J. Dcas9-based epigenome editing suggests acquisition of histone methylation is not sufficient for target gene repression. Nucleic Acids Res. 2017, 45, 9901–9916. [Google Scholar] [CrossRef] [PubMed]
- Mlambo, T.; Nitsch, S.; Hildenbeutel, M.; Romito, M.; Müller, M.; Bossen, C.; Diederichs, S.; Cornu, T.I.; Cathomen, T.; Mussolino, C. Designer epigenome modifiers enable robust and sustained gene silencing in clinically relevant human cells. Nucleic Acids Res. 2018, 46, 4456–4468. [Google Scholar] [CrossRef] [PubMed]
- Rivenbark, A.G.; Stolzenburg, S.; Beltran, A.S.; Yuan, X.; Rots, M.G.; Strahl, B.D.; Blancafort, P. Epigenetic reprogramming of cancer cells via targeted DNA methylation. Epigenetics 2012, 7, 350–360. [Google Scholar] [CrossRef]
- Siddique, A.N.; Nunna, S.; Rajavelu, A.; Zhang, Y.; Jurkowska, R.Z.; Reinhardt, R.; Rots, M.G.; Ragozin, S.; Jurkowski, T.P.; Jeltsch, A. Targeted methylation and gene silencing of vegf-a in human cells by using a designed dnmt3a-dnmt3l single-chain fusion protein with increased DNA methylation activity. J. Mol. Biol. 2013, 425, 479–491. [Google Scholar] [CrossRef]
- Cano-Rodriguez, D.; Gjaltema, R.A.; Jilderda, L.J.; Jellema, P.; Dokter-Fokkens, J.; Ruiters, M.H.; Rots, M.G. Writing of h3k4me3 overcomes epigenetic silencing in a sustained but context-dependent manner. Nat. Commun. 2016, 7, 12284. [Google Scholar] [CrossRef]
- Saunderson, E.A.; Stepper, P.; Gomm, J.J.; Hoa, L.; Morgan, A.; Allen, M.D.; Jones, J.L.; Gribben, J.G.; Jurkowski, T.P.; Ficz, G. Hit-and-run epigenetic editing prevents senescence entry in primary breast cells from healthy donors. Nat. Commun. 2017, 8, 1450. [Google Scholar] [CrossRef]
- Bintu, L.; Yong, J.; Antebi, Y.E.; McCue, K.; Kazuki, Y.; Uno, N.; Oshimura, M.; Elowitz, M.B. Dynamics of epigenetic regulation at the single-cell level. Science 2016, 351, 720–724. [Google Scholar] [CrossRef]
- Kungulovski, G.; Nunna, S.; Thomas, M.; Zanger, U.M.; Reinhardt, R.; Jeltsch, A. Targeted epigenome editing of an endogenous locus with chromatin modifiers is not stably maintained. Epigenet. Chromatin 2015, 8, 12. [Google Scholar] [CrossRef]
- McDonald, J.I.; Celik, H.; Rois, L.E.; Fishberger, G.; Fowler, T.; Rees, R.; Kramer, A.; Martens, A.; Edwards, J.R.; Challen, G.A. Reprogrammable crispr/cas9-based system for inducing site-specific DNA methylation. Biol. Open 2016, 5, 866–874. [Google Scholar] [CrossRef] [PubMed]
- O’Geen, H.; Bates, S.L.; Carter, S.S.; Nisson, K.A.; Halmai, J.; Fink, K.D.; Rhie, S.K.; Farnham, P.J.; Segal, D.J. Ezh2-dcas9 and krab-dcas9 enable engineering of epigenetic memory in a context-dependent manner. Epigenet. Chromatin 2019, 12, 26. [Google Scholar] [CrossRef] [PubMed]
- Gjaltema, R.A.; Bank, R.A. Molecular insights into prolyl and lysyl hydroxylation of fibrillar collagens in health and disease. Crit. Rev. Biochem. Mol. Biol. 2017, 52, 74–95. [Google Scholar] [CrossRef] [PubMed]
- Van der Slot, A.J.; Van Dura, E.A.; De Wit, E.C.; De Groot, J.; Huizinga, T.W.; Bank, R.A.; Zuurmond, A.M. Elevated formation of pyridinoline cross-links by profibrotic cytokines is associated with enhanced lysyl hydroxylase 2b levels. Biochim. Biophys. Acta 2005, 1741, 95–102. [Google Scholar] [CrossRef]
- Remst, D.F.; Blaney Davidson, E.N.; Vitters, E.L.; Blom, A.B.; Stoop, R.; Snabel, J.M.; Bank, R.A.; Van den Berg, W.B.; Van der Kraan, P.M. Osteoarthritis-related fibrosis is associated with both elevated pyridinoline cross-link formation and lysyl hydroxylase 2b expression. Osteoarthr. Cartil. 2013, 21, 157–164. [Google Scholar] [CrossRef]
- Gjaltema, R.A.; De Rond, S.; Rots, M.G.; Bank, R.A. Procollagen lysyl hydroxylase 2 expression is regulated by an alternative downstream transforming growth factor beta-1 activation mechanism. J. Biol. Chem. 2015, 290, 28465–28476. [Google Scholar] [CrossRef]
- Van der Slot, A.J.; Zuurmond, A.M.; Van den Bogaerdt, A.J.; Ulrich, M.M.; Middelkoop, E.; Boers, W.; Karel Ronday, H.; DeGroot, J.; Huizinga, T.W.; Bank, R.A. Increased formation of pyridinoline cross-links due to higher telopeptide lysyl hydroxylase levels is a general fibrotic phenomenon. Matrix Biol. 2004, 23, 251–257. [Google Scholar] [CrossRef]
- Piersma, B.; Bank, R.A. Collagen cross-linking mediated by lysyl hydroxylase 2: An enzymatic battlefield to combat fibrosis. Essays Biochem. 2019, 63, 377–387. [Google Scholar]
- Zuurmond, A.M.; Van der Slot-Verhoeven, A.J.; Van Dura, E.A.; De Groot, J.; Bank, R.A. Minoxidil exerts different inhibitory effects on gene expression of lysyl hydroxylase 1, 2, and 3: Implications for collagen cross-linking and treatment of fibrosis. Matrix Biol. 2005, 24, 261–270. [Google Scholar] [CrossRef]
- Gilkes, D.M.; Bajpai, S.; Wong, C.C.; Chaturvedi, P.; Hubbi, M.E.; Wirtz, D.; Semenza, G.L. Procollagen lysyl hydroxylase 2 is essential for hypoxia-induced breast cancer metastasis. Mol. Cancer Res. 2013, 11, 456–466. [Google Scholar] [CrossRef]
- Chen, Y.; Terajima, M.; Yang, Y.; Sun, L.; Ahn, Y.H.; Pankova, D.; Puperi, D.S.; Watanabe, T.; Kim, M.P.; Blackmon, S.H.; et al. Lysyl hydroxylase 2 induces a collagen cross-link switch in tumor stroma. J. Clin. Investig. 2015, 125, 1147–1162. [Google Scholar] [CrossRef] [PubMed]
- Van der Gun, B.T.; Maluszynska-Hoffman, M.; Kiss, A.; Arendzen, A.J.; Ruiters, M.H.; McLaughlin, P.M.; Weinhold, E.; Rots, M.G. Targeted DNA methylation by a DNA methyltransferase coupled to a triple helix forming oligonucleotide to down-regulate the epithelial cell adhesion molecule. Bioconjug. Chem. 2010, 21, 1239–1245. [Google Scholar] [CrossRef] [PubMed]
- Rathert, P.; Rasko, T.; Roth, M.; Slaska-Kiss, K.; Pingoud, A.; Kiss, A.; Jeltsch, A. Reversible inactivation of the cg specific sssi DNA (cytosine-c5)-methyltransferase with a photocleavable protecting group. ChemBioChem 2007, 8, 202–207. [Google Scholar] [CrossRef] [PubMed]
- Lei, Y.; Huang, Y.H.; Goodell, M.A. DNA methylation and de-methylation using hybrid site-targeting proteins. Genome Biol. 2018, 19, 187. [Google Scholar] [CrossRef]
- Stolzenburg, S.; Rots, M.G.; Beltran, A.S.; Rivenbark, A.G.; Yuan, X.; Qian, H.; Strahl, B.D.; Blancafort, P. Targeted silencing of the oncogenic transcription factor sox2 in breast cancer. Nucleic Acids Res. 2012, 40, 6725–6740. [Google Scholar] [CrossRef]
- Song, J.; Cano Rodriguez, D.; Winkle, M.; Gjaltema, R.A.; Goubert, D.; Jurkowski, T.P.; Heijink, I.H.; Rots, M.G.; Hylkema, M.N. Targeted epigenetic editing of spdef reduces mucus production in lung epithelial cells. Am. J. Physiol. Lung Cell Mol. Physiol. 2017, 312, L334–L347. [Google Scholar] [CrossRef]
- Falahi, F.; Huisman, C.; Kazemier, H.G.; Van der Vlies, P.; Kok, K.; Hospers, G.A.; Rots, M.G. Towards sustained silencing of her2/neu in cancer by epigenetic editing. Mol. Cancer Res. 2013, 11, 1029–1039. [Google Scholar] [CrossRef]
- Ecco, G.; Cassano, M.; Kauzlaric, A.; Duc, J.; Coluccio, A.; Offner, S.; Imbeault, M.; Rowe, H.M.; Turelli, P.; Trono, D. Transposable elements and their krab-zfp controllers regulate gene expression in adult tissues. Dev. Cell 2016, 36, 611–623. [Google Scholar] [CrossRef]
- Ying, Y.; Yang, X.; Zhao, K.; Mao, J.; Kuang, Y.; Wang, Z.; Sun, R.; Fei, J. The krüppel-associated box repressor domain induces reversible and irreversible regulation of endogenous mouse genes by mediating different chromatin states. Nucleic Acids Res. 2015, 43, 1549–1561. [Google Scholar] [CrossRef]
- Wiznerowicz, M.; Jakobsson, J.; Szulc, J.; Liao, S.; Quazzola, A.; Beermann, F.; Aebischer, P.; Trono, D. The kruppel-associated box repressor domain can trigger de novo promoter methylation during mouse early embryogenesis. J. Biol. Chem. 2007, 282, 34535–34541. [Google Scholar] [CrossRef]
- Oleksiewicz, U.; Gładych, M.; Raman, A.T.; Heyn, H.; Mereu, E.; Chlebanowska, P.; Andrzejewska, A.; Sozańska, B.; Samant, N.; Fąk, K.; et al. Trim28 and interacting krab-znfs control self-renewal of human pluripotent stem cells through epigenetic repression of pro-differentiation genes. Stem Cell Rep. 2017, 9, 2065–2080. [Google Scholar] [CrossRef] [PubMed]
- Quenneville, S.; Turelli, P.; Bojkowska, K.; Raclot, C.; Offner, S.; Kapopoulou, A.; Trono, D. The krab-zfp/kap1 system contributes to the early embryonic establishment of site-specific DNA methylation patterns maintained during development. Cell Rep. 2012, 2, 766–773. [Google Scholar] [CrossRef] [PubMed]
- Rowe, H.M.; Friedli, M.; Offner, S.; Verp, S.; Mesnard, D.; Marquis, J.; Aktas, T.; Trono, D. De novo DNA methylation of endogenous retroviruses is shaped by krab-zfps/kap1 and eset. Development 2013, 140, 519–529. [Google Scholar] [CrossRef]
- Mandegar, M.A.; Huebsch, N.; Frolov, E.B.; Shin, E.; Truong, A.; Olvera, M.P.; Chan, A.H.; Miyaoka, Y.; Holmes, K.; Spencer, C.I.; et al. CRISPR interference efficiently induces specific and reversible gene silencing in human ipscs. Cell Stem Cell 2016, 18, 541–553. [Google Scholar] [CrossRef] [PubMed]
- Hathaway, N.A.; Bell, O.; Hodges, C.; Miller, E.L.; Neel, D.S.; Crabtree, G.R. Dynamics and memory of heterochromatin in living cells. Cell 2012, 149, 1447–1460. [Google Scholar] [CrossRef]
- Vignaux, P.A.; Bregio, C.; Hathaway, N.A. Contribution of promoter DNA sequence to heterochromatin formation velocity and memory of gene repression in mouse embryo fibroblasts. PLoS ONE 2019, 14, e0217699. [Google Scholar] [CrossRef]
- Ma, A.N.; Wang, H.; Guo, R.; Wang, Y.X.; Li, W.; Cui, J.; Wang, G.; Hoffman, A.R.; Hu, J.F. Targeted gene suppression by inducing de novo DNA methylation in the gene promoter. Epigenet. Chromatin 2014, 7, 20. [Google Scholar] [CrossRef]
- Raynal, N.J.; Si, J.; Taby, R.F.; Gharibyan, V.; Ahmed, S.; Jelinek, J.; Estécio, M.R.; Issa, J.P. DNA methylation does not stably lock gene expression but instead serves as a molecular mark for gene silencing memory. Cancer Res. 2012, 72, 1170–1181. [Google Scholar] [CrossRef]
- Kearns, N.A.; Pham, H.; Tabak, B.; Genga, R.M.; Silverstein, N.J.; Garber, M.; Maehr, R. Functional annotation of native enhancers with a cas9-histone demethylase fusion. Nat. Methods 2015, 12, 401–403. [Google Scholar] [CrossRef]
- Darii, M.V.; Cherepanova, N.A.; Subach, O.M.; Kirsanova, O.V.; Raskó, T.; Slaska-Kiss, K.; Kiss, A.; Deville-Bonne, D.; Reboud-Ravaux, M.; Gromova, E.S. Mutational analysis of the cg recognizing DNA methyltransferase sssi: Insight into enzyme-DNA interactions. Biochim. Biophys. Acta 2009, 1794, 1654–1662. [Google Scholar] [CrossRef]
- Goubert, D.; Beckman, W.F.; Verschure, P.J.; Rots, M.G. Epigenetic editing: Towards realization of the curable genome concept. Converg. Sci. Phys. Oncol. 2017, 3. [Google Scholar] [CrossRef]
- Goubert, D.; Koncz, M.; Kiss, A.; Rots, M.G. Establishment of cell lines stably expressing dcas9-fusions to address kinetics of epigenetic editing. Methods Mol. Biol. 2018, 1767, 395–415. [Google Scholar] [PubMed]








© 2020 by the authors. Licensee MDPI, Basel, Switzerland. This article is an open access article distributed under the terms and conditions of the Creative Commons Attribution (CC BY) license (http://creativecommons.org/licenses/by/4.0/).
Share and Cite
Gjaltema, R.A.F.; Goubert, D.; Huisman, C.; Pilar García Tobilla, C.d.; Koncz, M.; Jellema, P.G.; Wu, D.; Brouwer, U.; Kiss, A.; Verschure, P.J.; et al. KRAB-Induced Heterochromatin Effectively Silences PLOD2 Gene Expression in Somatic Cells and Is Resilient to TGFβ1 Activation. Int. J. Mol. Sci. 2020, 21, 3634. https://doi.org/10.3390/ijms21103634
Gjaltema RAF, Goubert D, Huisman C, Pilar García Tobilla Cd, Koncz M, Jellema PG, Wu D, Brouwer U, Kiss A, Verschure PJ, et al. KRAB-Induced Heterochromatin Effectively Silences PLOD2 Gene Expression in Somatic Cells and Is Resilient to TGFβ1 Activation. International Journal of Molecular Sciences. 2020; 21(10):3634. https://doi.org/10.3390/ijms21103634
Chicago/Turabian StyleGjaltema, Rutger A. F., Désirée Goubert, Christian Huisman, Consuelo del Pilar García Tobilla, Mihály Koncz, Pytrick G. Jellema, Dandan Wu, Uilke Brouwer, Antal Kiss, Pernette J. Verschure, and et al. 2020. "KRAB-Induced Heterochromatin Effectively Silences PLOD2 Gene Expression in Somatic Cells and Is Resilient to TGFβ1 Activation" International Journal of Molecular Sciences 21, no. 10: 3634. https://doi.org/10.3390/ijms21103634
APA StyleGjaltema, R. A. F., Goubert, D., Huisman, C., Pilar García Tobilla, C. d., Koncz, M., Jellema, P. G., Wu, D., Brouwer, U., Kiss, A., Verschure, P. J., Bank, R. A., & Rots, M. G. (2020). KRAB-Induced Heterochromatin Effectively Silences PLOD2 Gene Expression in Somatic Cells and Is Resilient to TGFβ1 Activation. International Journal of Molecular Sciences, 21(10), 3634. https://doi.org/10.3390/ijms21103634

