Inflammatory Skin-Derived Cytokines Accelerate Osteoporosis in Mice with Persistent Skin Inflammation
Abstract
1. Introduction
2. Results
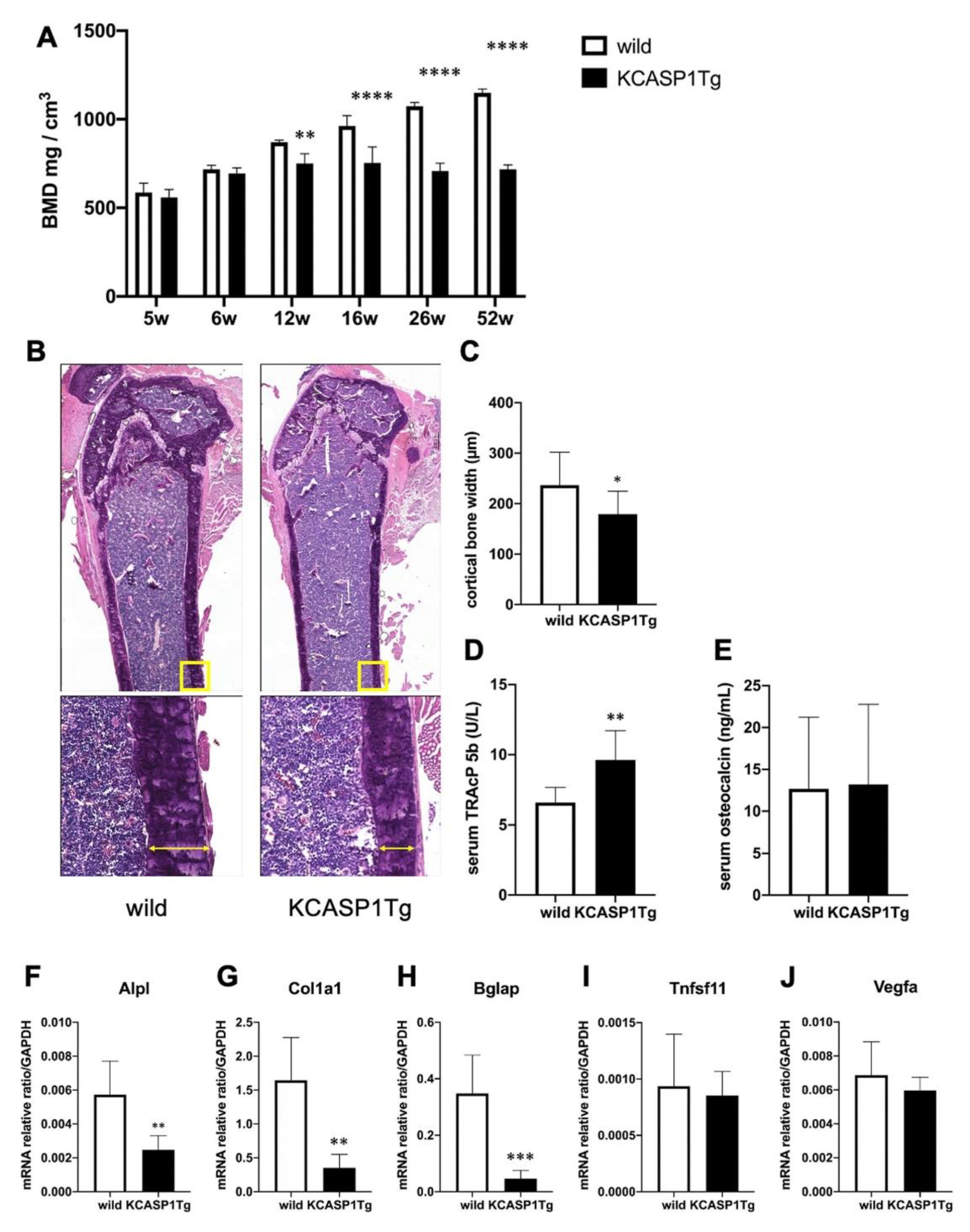
2.1. KCASP1Tg Mice EXHIBIT Osteoporosis
2.2. Analysis of Trabecular and Cortical Bone Structure by µCT: The Effect of Minodronate and Anti-RANKL Antibody on Bone Structure
2.3. Histological Analysis Revealed Osteoclast Activation in KCASP1Tg Mice
2.4. Femoral Blood Flow was Decreased in KCASP1Tg Mice, but Improved after Minodronate Administration
3. Discussion
4. Materials and Methods
4.1. Mouse Study
4.2. Tissue Sampling
4.3. Real-Time Polymerase Chain Reaction (Real-Time PCR)
4.4. ELISA
4.5. Measurement of BMD and Bone Architecture
4.6. Histomorphometry
4.7. Statistical Analysis
5. Conclusions
Author Contributions
Funding
Conflicts of Interest
Abbreviations
| AD | atopic dermatitis |
| BMD | bone mineral density |
| BV/TV | bone volume per tissue volume |
| Cs | cortical bone section area |
| Ct | cortical thickness |
| CV/AV | cortical bone volume per all bone volume |
| ES/BS | eroded surface per bone surface |
| HE | hematoxylin eosin |
| IBD | inflammatory bowel disease |
| IL | interleukin |
| µCT | micro computed tomography |
| MECA-32 | panendothelial cell antigen antibody |
| Ob.N/BS | number of osteoblasts per bone surface |
| Oc.N/BS | number of osteoclasts per bone surface |
| Oc.S/BS | surface of osteoclasts per bone surface |
| PsA | psoriasis arthritis |
| Pso | psoriasis vulgaris |
| RA | rheumatoid arthritis |
| RANKL | receptor activator of NF-κB ligand |
| S.Oc/BS | surface of osteoclasts per bone surface |
| Tb.N | trabecular number |
| Tb.Sp | trabecular separation |
| Tb.Th | trabecular thickness |
| TNF-α | tumor necrosis α |
| TRACP-5b | tartrate-resistant acid phosphatase 5b |
| TRAP | tartrate-resistant acid phosphatase |
References
- Harvey, N.; Dennison, E.; Cooper, C. Osteoporosis: impact on health and economics. Nat. Rev. Rheumatol. 2010, 6, 99–105. [Google Scholar] [CrossRef] [PubMed]
- Rachner, T.D.; Khosla, S.; Hofbauer, L.C. Osteoporosis: Now and the future. Lancet 2011, 377, 1276–1287. [Google Scholar] [CrossRef]
- Bernstein, C.N.; Leslie, W.D.; Leboff, M.S. AGA technical review on osteoporosis in gastrointestinal diseases. Gastroenterology 2003, 124, 795–841. [Google Scholar] [CrossRef] [PubMed]
- Boyanov, M.; Robeva, R.; Popivanov, P. Bone mineral density changes in women with systemic lupus erythematosus. Clin. Rheumatol. 2003, 22, 318–323. [Google Scholar] [CrossRef] [PubMed]
- Silva, J.A.D.; Jacobs, J.W.; Kirwan, J.R.; Boers, M.; Saag, K.G.; Ines, L.B.; de Koning, E.J.; Buttgereit, F.; Cutolo, M.; Capell, H.; et al. Safety of low dose glucocorticoid treatment in rheumatoid arthritis: Published evidence and prospective trial data. Ann. Rheum. Dis. 2006, 65, 285–293. [Google Scholar] [CrossRef] [PubMed]
- Montalcini, T.; Romeo, S.; Ferro, Y.; Migliaccio, V.; Gazzaruso, C.; Pujia, A. Osteoporosis in chronic inflammatory disease: The role of malnutrition. Endocrine 2013, 43, 59–64. [Google Scholar] [CrossRef]
- Kathuria, P.; Gordon, K.B.; Silverberg, J.I. Association of psoriasis and psoriatic arthritis with osteoporosis and pathological fractures. J. Am. Acad. Derm. 2017, 76, 1045–1053.e3. [Google Scholar] [CrossRef]
- Keller, J.J.; Kang, J.H.; Lin, H.C. Association between osteoporosis and psoriasis: Results from the Longitudinal Health Insurance Database in Taiwan. Osteoporos. Int. 2013, 24, 1835–1841. [Google Scholar] [CrossRef]
- Shaheen, M.S.; Silverberg, J.I. Atopic dermatitis is associated with osteoporosis and osteopenia in older adults. J. Am. Acad. Derm. 2019, 80, 550–551. [Google Scholar] [CrossRef]
- Wu, C.-Y.; Lu, Y.-Y.; Lu, C.-C.; Su, Y.-F.; Tsai, T.-H.; Wu, C.-H. Osteoporosis in adult patients with atopic dermatitis: A nationwide population-based study. PLoS ONE 2017, 12, e0171667. [Google Scholar] [CrossRef]
- Tu, K.N.; Lie, J.D.; Wan, C.K.V.; Cameron, M.; Austel, A.G.; Nguyen, J.K.; Van, K.; Hyun, D. Osteoporosis: A Review of Treatment Options. Pharmacy Therapeutics 2018, 43, 92–104. [Google Scholar] [PubMed]
- Kato, S.; Matsushima, Y.; Mizutani, K.; Kawakita, F.; Fujimoto, M.; Okada, K.; Kondo, M.; Habe, K.; Suzuki, H.; Mizutani, H.; et al. The Stenosis of Cerebral Arteries and Impaired Brain Glucose Uptake by Long-Lasting Inflammatory Cytokine Release from Dermatitis Is Rescued by Anti-IL-1 Therapy. J. Invest. Derm. 2018, 138, 2280–2283. [Google Scholar] [CrossRef] [PubMed]
- Yamanaka, K.; Nakanishi, T.; Saito, H.; Maruyama, J.; Isoda, K.; Yokochi, A.; Imanaka-Yoshida, K.; Tsuda, K.; Kakeda, M.; Okamoto, R.; et al. Persistent Release of IL-1s from Skin Is Associated with Systemic Cardio-Vascular Disease, Emaciation and Systemic Amyloidosis: The Potential of Anti-IL-1 Therapy for Systemic Inflammatory Diseases. PLoS ONE 2014, 9, e104479. [Google Scholar] [CrossRef] [PubMed]
- Yamanaka, K.I.; Tanaka, M.; Tsutsui, H.; Kupper, T.S.; Asahi, K.; Okamura, H.; Nakanishi, K.; Suzuki, M.; Kayagaki, N.; Black, R.A.; et al. Skin-Specific Caspase-1-Transgenic Mice Show Cutaneous Apoptosis and Pre-Endotoxin Shock Condition with a High Serum Level of Il-18. J. Immunol. 2000, 165, 997–1003. [Google Scholar] [CrossRef] [PubMed]
- Swaminathan, R. Biochemical markers of bone turnover. Clin. Chim. Acta 2001, 313, 95–105. [Google Scholar] [CrossRef]
- Yamanaka, K.; Okada, K.; Nakanishi, T.; Mizutani, K.; Matsushima, Y.; Kondo, M.; Habe, K.; Mizutani, H.; Seo, N. Skin inflammation leads immunoglobulin G aggregation and deposition in multiple organs. J. Dermatol. Sci. 2017, 88, 146–148. [Google Scholar] [CrossRef]
- Pietschmann, P.; Mechtcheriakova, D.; Meshcheryakova, A.; Foger-Samwald, U.; Ellinger, I. Immunology of Osteoporosis: A Mini-Review. Gerontology 2016, 62, 128–137. [Google Scholar] [CrossRef]
- Gilbert, L.; He, X.; Farmer, P.; Boden, S.; Kozlowski, M.; Rubin, J.; Nanes, M.S. Inhibition of osteoblast differentiation by tumor necrosis factor-alpha. Endocrinology 2000, 141, 3956–3964. [Google Scholar] [CrossRef]
- Kocijan, R.; Englbrecht, M.; Haschka, J.; Simon, D.; Kleyer, A.; Finzel, S.; Kraus, S.; Resch, H.; Muschitz, C.; Engelke, K.; et al. Quantitative and Qualitative Changes of Bone in Psoriasis and Psoriatic Arthritis Patients. J. Bone Miner. Res. 2015, 30, 1775–1783. [Google Scholar] [CrossRef]
- Kobayashi, K.; Takahashi, N.; Jimi, E.; Udagawa, N.; Takami, M.; Kotake, S.; Nakagawa, N.; Kinosaki, M.; Yamaguchi, K.; Shima, N.; et al. Tumor necrosis factor alpha stimulates osteoclast differentiation by a mechanism independent of the ODF/RANKL-RANK interaction. J. Exp. Med. 2000, 191, 275–286. [Google Scholar] [CrossRef]
- Li, J.; Sarosi, I.; Yan, X.Q.; Morony, S.; Capparelli, C.; Tan, H.L.; McCabe, S.; Elliott, R.; Scully, S.; Van, G.; et al. RANK is the intrinsic hematopoietic cell surface receptor that controls osteoclastogenesis and regulation of bone mass and calcium metabolism. Proc. Natl. Acad. Sci. USA 2000, 97, 1566–1571. [Google Scholar] [CrossRef] [PubMed]
- O’Brien, W.; Fissel, B.M.; Maeda, Y.; Yan, J.; Ge, X.; Gravallese, E.M.; Aliprantis, A.O.; Charles, J.F. RANK-Independent Osteoclast Formation and Bone Erosion in Inflammatory Arthritis. Arthritis Rheumatol. 2016, 68, 2889–2900. [Google Scholar] [CrossRef] [PubMed]
- Adamopoulos, I.E.; Chao, C.-C.; Geissler, R.; Laface, D.; Blumenschein, W.; Iwakura, Y.; McClanahan, T.; Bowman, E.P. Interleukin-17A upregulates receptor activator of NF-kappaB on osteoclast precursors. Arthritis Res. Ther. 2010, 12, R29. [Google Scholar] [CrossRef]
- Simon, D.; Kleyer, A.; Bayat, S.; Tascilar, K.; Kampylafka, E.; Meinderink, T.; Schuster, L.; Petrov, R.; Liphardt, A.M.; Rech, J.; et al. Effect of disease-modifying anti-rheumatic drugs on bone structure and strength in psoriatic arthritis patients. Arthritis Res. 2019, 21, 162. [Google Scholar] [CrossRef] [PubMed]
- Ramasamy, S.K.; Kusumbe, A.P.; Schiller, M.; Zeuschner, D.; Bixel, M.G.; Milia, C.; Gamrekelashvili, J.; Limbourg, A.; Medvinsky, A.; Santoro, M.M.; et al. Blood flow controls bone vascular function and osteogenesis. Nat. Commun. 2016, 7, 13601. [Google Scholar] [CrossRef] [PubMed]






© 2020 by the authors. Licensee MDPI, Basel, Switzerland. This article is an open access article distributed under the terms and conditions of the Creative Commons Attribution (CC BY) license (http://creativecommons.org/licenses/by/4.0/).
Share and Cite
Mizutani, K.; Isono, K.; Matsushima, Y.; Okada, K.; Umaoka, A.; Iida, S.; Habe, K.; Hagimori, K.; Yamazaki, H.; Yamanaka, K. Inflammatory Skin-Derived Cytokines Accelerate Osteoporosis in Mice with Persistent Skin Inflammation. Int. J. Mol. Sci. 2020, 21, 3620. https://doi.org/10.3390/ijms21103620
Mizutani K, Isono K, Matsushima Y, Okada K, Umaoka A, Iida S, Habe K, Hagimori K, Yamazaki H, Yamanaka K. Inflammatory Skin-Derived Cytokines Accelerate Osteoporosis in Mice with Persistent Skin Inflammation. International Journal of Molecular Sciences. 2020; 21(10):3620. https://doi.org/10.3390/ijms21103620
Chicago/Turabian StyleMizutani, Kento, Kana Isono, Yoshiaki Matsushima, Karin Okada, Ai Umaoka, Shohei Iida, Koji Habe, Kohei Hagimori, Hidetoshi Yamazaki, and Keiichi Yamanaka. 2020. "Inflammatory Skin-Derived Cytokines Accelerate Osteoporosis in Mice with Persistent Skin Inflammation" International Journal of Molecular Sciences 21, no. 10: 3620. https://doi.org/10.3390/ijms21103620
APA StyleMizutani, K., Isono, K., Matsushima, Y., Okada, K., Umaoka, A., Iida, S., Habe, K., Hagimori, K., Yamazaki, H., & Yamanaka, K. (2020). Inflammatory Skin-Derived Cytokines Accelerate Osteoporosis in Mice with Persistent Skin Inflammation. International Journal of Molecular Sciences, 21(10), 3620. https://doi.org/10.3390/ijms21103620

