New Lectins from Mediterranean Flora. Activity against HT29 Colon Cancer Cells
Abstract
1. Introduction
2. Results
2.1. Antitumor Activity of Plant Extracts
2.1.1. Cell Viability of HT29 Cells
2.1.2. Inhibitory Activities on HT29 Cells
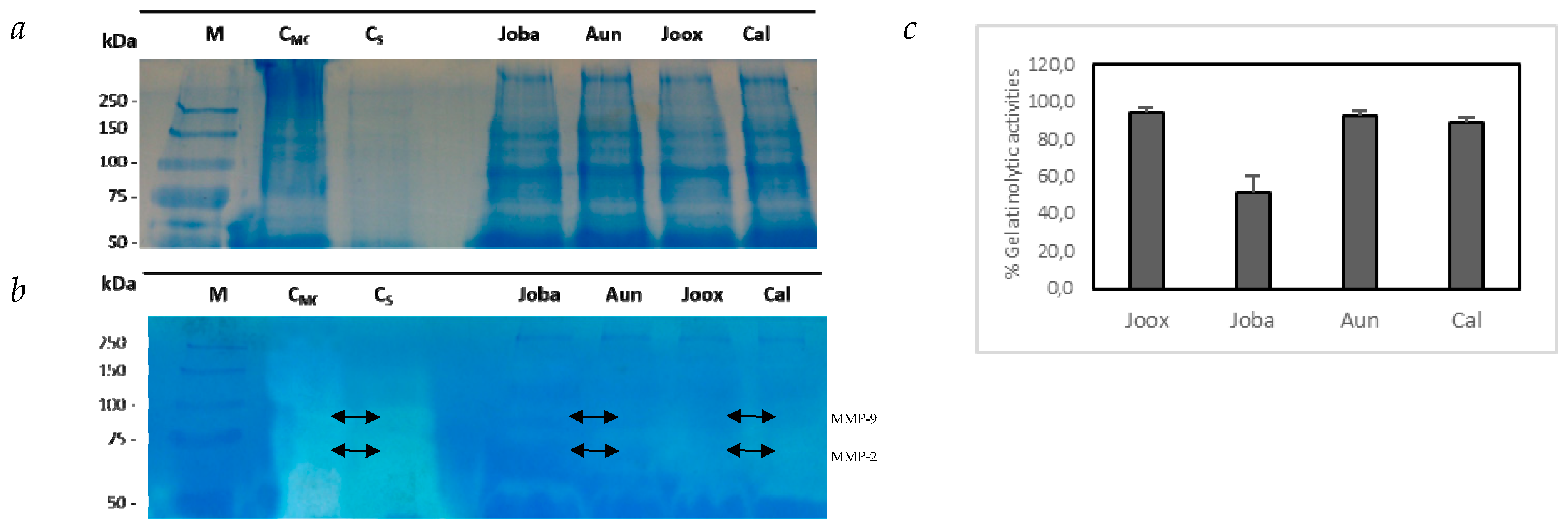
2.2. Proteolytic Activity Inhibition
2.3. Polypeptide Profile Characterization versus Glycodetection
2.4. Lectin Activity and Sugar Specificity
2.5. Lectin Specificity for HT29 Cell Membrane Glycosylated Receptors
3. Discussion
4. Materials and Methods
4.1. Plant Material and Animal Cells
4.1.1. Plants
4.1.2. HT29 Cells
4.1.3. Erythrocyte Cells
4.2. Leaf Protein Extraction
4.3. Antitumoral Activity
4.3.1. HT29 Cell Culture
4.3.2. Measurement of Cell Death and Viability by MTS and LDH
4.3.3. Inhibitory Activities on HT29 Cells
4.3.3.1. Determination of MMP-9 Inhibitory Activities
4.3.3.2. Migration Assay on HT29 Cells
4.3.3.3. Gelatinolytic Activity Quantification in HT29 Cell Media
4.3.3.4. Gelatin Zymography of HT29 Cell Media
4.3.3.5. Gelatinolytic Activity Quantification in HT29 Cell Media
4.4. Polypeptide and Lectin Characterization of Leaf Protein Extracts
4.4.1. Polypeptide Profile
4.4.2. Glycoprotein Detection
4.4.3. Haemagglutination Assays with Rabbit and Human Erythrocytes
4.4.3.1. Erythrocyte cells
4.4.3.2. Measurements of Haemagglutination Activity and Haemagglutination Inhibition
4.5. Lectin Binding to HT29 Cell Glycosylated Receptors
4.5.1. Isolation of HT29 Cell Membranes
4.5.2. Affinity Binding of Polypeptides/Lectins to HT29 Cells Membranes
4.5.3. Evaluation of Lectin Binding to HT29 Cell Membranes by 2D Analysis
4.6. Protein Quantification
4.7. Statistical Analysis
5. Conclusions
Author Contributions
Funding
Conflicts of Interest
Abbreviations
| ABA | Agaricus bisporus agglutinin |
| ACA | Amaranthus caudatus agglutinin |
| Aun | Arbutus unedo |
| Cal | Corema album |
| CBB | Coomassie Brilliant Blue |
| BfL | Bauhinia forficata lectin |
| CMC | Complete medium control |
| Con-A | Concanavalin A |
| CS | Control with saline |
| GNA | Galanthus nivalis agglutinin |
| H.U. | Haemagglutination unit |
| Joba | Juniperus oxycedrus subsp. badia |
| Joox | Juniperus oxycedrus subsp. oxycedrus |
| LDH | Lactate dehydrogenase |
| m.i.c. | Minimal inhibitory concentration |
| MLs | Mistletoe lectins |
| MM | Molecular mass |
| MMP | Matrix Metalloproteinase |
| MMP-2 | Matrix Metalloproteinase 2 |
| MMP-9 | Matrix Metalloproteinase 9 |
| MMPI | Matrix Metalloproteinase inhibitors |
| MTS | 3-(4,5-dimethylthiazol-2-yl)-5-(3-carboxymethoxyphenyl)-2-(4-sulfophenyl)-2H-tetrazolium, inner salt |
| PCD | Programed cell death |
| PCL | Polygonatum cyrtonema lectin |
| PVPP | Polyvinylpolypyrrolidone |
| RPMI | Roswell Park Memorial Institute |
| SNA | Sambucus nigra agglutinin |
| VFA | Vicia faba agglutinin |
| WGA | Wheat germ agglutinin |
References
- Lis, H.; Sharon, N. Lectins: Carbohydrate-specific proteins that mediate cellular recognition. Chem. Rev. 1998, 98, 637–674. [Google Scholar] [CrossRef] [PubMed]
- Ribeiro, A.C.; Ferreira, R.; Freitas, R. Plant Lectins: Bioactivities and Bioapplications. In Studies in Natural Products Chemistry; Atta-ur-Rahman, Ed.; Elsevier: Amersterdam, The Netherlands, 2018; pp. 2–42. [Google Scholar]
- Shi, Z.; Sun, R.; Yu, T.; Liu, R.; Cheng, L.-J.; Bao, J.-K.; Zou, L.; and Tang, Y. Identification of Novel Pathways in Plant Lectin-Induced Cancer Cell Apoptosis. Int. J. Mol. Sci. 2016, 17, 228. [Google Scholar] [CrossRef]
- Fu, L.-L.; Zhou, C.-C.; Yao, S.; Yu, J.-Y.; Liu, B.; Bao, J.-K. Plant lectins: Targeting programmed cell death pathways as antitumor agents. Int. J. Biochem. Cell Biol. 2011, 43, 1442–1449. [Google Scholar] [CrossRef] [PubMed]
- Souza, M.A.; Carvalho, F.C.; Ruas, L.P.; Ricci-Azevedo, R.; Roque-Barreira, M.C. The immunomodulatory effect of plant lectins: A review with emphasis on ArtinM properties. Glycoconj. J. 2013, 30, 641–657. [Google Scholar] [CrossRef] [PubMed]
- Sodhi, A.; Kesherwani, V. Signaling molecules involved in production and regulation of IL-1beta by murine peritoneal macrophages in vitro on treatment with concanavalin A. Int. Immunopharmacol. 2007, 7, 1403–14013. [Google Scholar] [CrossRef] [PubMed]
- Silva, M.C.C.; de Paula, C.A.A.; Ferreira, J.G.; Paredes-Gamero, E.J.; Vaz, A.M.S.F.; Sampaio, M.U.; Correia, M.T.S.; Oliva, M.L.V. Bauhinia forficata lectin (BfL) induces cell death and inhibits integrin-mediated adhesion on MCF7 human breast cancer cells. BBA 2014, 840, 2262–2271. [Google Scholar] [CrossRef] [PubMed]
- Podlech, O.; Harter, P.N.; Mittelbronn, M.; Pöschel, S.; Naumann, U. Fermented mistletoe extract as a multimodal antitumoral agent in gliomas. Evid. Based Complement Alternat. Med. 2012, 2012, 501796. [Google Scholar] [CrossRef]
- De Mejia, E.G.; Prisecaru, V.I. Lectins as bioactive plant proteins: A potential in cancer treatment. Crit. Rev. Food Sci. Nutr. 2005, 45, 425–445. [Google Scholar] [CrossRef]
- Yau, T.; Dan, X.; Ng, C.C.W.; Ng, T.B. Lectins with potential for anti-cancer therapy. Molecules 2015, 20, 3791–3810. [Google Scholar] [CrossRef]
- Roy, B.; Pattanaika, A.K.; Das, J.; Bhutia, S.K.; Behera, B.; Singh, P.; Maiti, T.K. Role of PI3K/Akt/mTOR and MEK/ERK pathway in Concanavalin A induced autophagy in HeLa cells. Chem. Biol. Interact. 2014, 210, 96–102. [Google Scholar] [CrossRef]
- Liu, B.; Cheng, Y.; Zhang, B.; Bian, H.-J. Polygonatum cyrtonema lectin induces apoptosis and autophagy in human melanoma A375 cells through a mitochondria-mediated ROS-p38-p53 pathway. Cancer Lett. 2009, 275, 54–60. [Google Scholar] [CrossRef] [PubMed]
- Wang, S.-Y.; Yu, Q.-J.; Bao, J.-K.; Liu, B. Polygonatum cyrtonema lectin, a potential antineoplastic drug targeting programmed cell death pathways. Biochem. Biophys. Res. Commun. 2011, 406, 497–500. [Google Scholar] [CrossRef] [PubMed]
- Lei, H.Y.; Chang, C.P. Induction of autophagy by concanavalin A and its application in anti-tumor therapy. Autophagy 2007, 3, 402–404. [Google Scholar] [CrossRef] [PubMed]
- Morelli, C.; Campioni, K.; Parolin, C.; Palù, G.; Tognon, M. Activity of the matrix metalloproteinase-9 promoter in human normal and tumor cells. J. Cell. Physiol. 2004, 199, 126–133. [Google Scholar] [CrossRef] [PubMed]
- Gokaslan, Z.L.; Chintala, S.K.; York, J.E.; Boyapati, V.; Jasti, S.; Sawaya, R.; Fuller, G.; Wildrick, D.M.; Nicolson, G.L.; Rao, J.S. Expression and role of matrix metalloproteinases MMP-2 and MMP-9 in human spinal column tumors. Clin. Exp. Metastasis 1998, 16, 721–728. [Google Scholar] [CrossRef] [PubMed]
- Dubois, B.; Peumans, W.J.; van Damme, E.J.M.; van Damme, J.; Opdenakker, G. Regulation of gelatinase B (MMP-9) in leukocytes by plant lectins. FEBS Lett. 1998, 427, 275–278. [Google Scholar] [CrossRef]
- Poiroux, G.; Barre, A.; van Damme, E.J.M.; Benoist, H.; Rougé, P. Plant Lectins Targeting O-Glycans at the Cell Surface as Tools for Cancer Diagnosis, Prognosis and Therapy. Int. J. Mol. Sci. 2017, 18, 1232. [Google Scholar] [CrossRef] [PubMed]
- Peiris, D.; Ossondo, M.; Fry, S.; Loizidou, M.; Smith-Ravin, J.; Dwek, M.V. Identification of O-Linked Glycoproteins Binding to the Lectin Helix pomatia Agglutinin as Markers of Metastatic Colorectal Cancer. PLoS ONE 2015, 10, e0138345. [Google Scholar] [CrossRef] [PubMed]
- Van Slambrouck, S.; Steelant, W.F. Clustering of monosialyl-Gb5 initiates downstream signalling events leading to invasion of MCF-7 breast cancer cells. Biochem. J. 2007, 401, 689–699. [Google Scholar] [CrossRef]
- Öztürk, M.; Tümen, İ.; Uǧur, A.; Aydoǧmuş-Öztürk, F.; Topçu, G. Evaluation of fruit extracts of six Turkish Juniperus species for their antioxidant, anticholinesterase and antimicrobial activities. J. Sci. Food Agric. 2011, 91, 867–876. [Google Scholar] [CrossRef]
- Yang, J.; Xu, C.; Chen, H.; Huang, M.; Ma, X.; Deng, S.; Huang, Y.; Wen, Y.; Yang, X.; Song, P. In vitro and in vivo antitumor effects of the diterpene-enriched extract from Taxodium ascendens through the mitochondrial-dependent apoptosis pathway. Biomed Pharmacother. 2017, 96, 1199–1208. [Google Scholar] [CrossRef] [PubMed]
- Tavares, W.R.; Seca, A.M.L. The Current Status of the Pharmaceutical Potential of Juniperus L. Metabolites. Medicines 2018, 5, 81. [Google Scholar] [CrossRef] [PubMed]
- Khan, F.; Khan, R.H.; Sherwani, A.; Mohmood, S.; Azfer, M.A. Lectins as markers for blood grouping. Med. Sci. Monit. 2002, 8, 293–300. [Google Scholar]
- Jordinson, M.; Jordinson, M.; El-Hariry, I.; Calnan, D.A.; Calam, J.; Pignatelli, M. Vicia Faba agglutinin, the lectin present in broad beans, stimulates differentiation of undifferentiated colon cancer cells. Gut 1999, 44, 709–714. [Google Scholar] [CrossRef] [PubMed]
- Yu, L.G.; Milton, J.D.; Fernig, D.G.; Rhodes, J.M. Opposite effects on human colon cancer cell proliferation of two dietary Thomsen-Friedenreich antigen-binding lectins. J. Cell Physiol. 2001, 186, 282–287. [Google Scholar] [CrossRef]
- Hauselmann, I.; Borsig, L. Altered Tumor-Cell Glycosylation Promotes Metastasis. Front. Oncol. 2014, 4, 28. [Google Scholar] [CrossRef]
- De Freitas, J.J.C.; Morgado-Diaz, J.A. The role of N-glycans in colorectal cancer progression: Potential biomarkers and therapeutic applications. Oncotarget 2016, 7, 19395–19413. [Google Scholar]
- Couldrey, C.; Green, J.E. Metastases: The glycan connection. Breast Cancer Res. 2000, 2, 321–323. [Google Scholar] [CrossRef]
- Gorelik, E.; Galili, U.; Raz, A. On the role of cell surface carbohydrates and their binding proteins (lectins) in tumor metastasis. Cancer Metastasis Rev. 2001, 20, 245–277. [Google Scholar] [CrossRef]
- Padler-Karavani, V. Aiming at the sweet side of cancer: Aberrant glycosylation as possible target for personalized-medicine. Cancer Lett. 2014, 352, 102–112. [Google Scholar] [CrossRef]
- Park, J.J.; Lee, M. Increasing the α-2, 6 sialylation of glycoproteins may contribute to metastatic spread and therapeutic resistance in colorectal cancer. Gut Liver 2013, 7, 629–641. [Google Scholar] [CrossRef] [PubMed]
- Nakajima, K.; Inomata, M.; Iha, H.; Hiratsuka, T.; Etoh, T.; Shiraishi, N.; Kashima, K.; Kitano, S. Establishment of new predictive markers for distant recurrence of colorectal cancer using lectin microarray analysis. Cancer Med. 2015, 4, 293–302. [Google Scholar] [CrossRef] [PubMed]
- Very, N.; Lefebvre, T.; Yazidi-Belkoura, I.E. Drug resistance related to aberrant glycosylation in colorectal cancer. Oncotarget 2018, 9, 1380–1402. [Google Scholar] [CrossRef] [PubMed]
- Jacobs, A.K.; Dry, I.B.; Robinson, S.P. Induction of different pathogenesis-related cDNAs in grapevine infected with powdery mildew and treated with ethephon. Plant Pathology. 1999, 48, 325–336. [Google Scholar] [CrossRef]
- Silva, R.; Souza, C. Extração e análise eletroforética em gel de poliacrilamida (SDS-PAGE) de proteínas totais de folhas e raízes de Piper tuberculatum. Acta Amazonica 2009, 39, 255–260. [Google Scholar] [CrossRef]
- Toth, M.; Sohail, A.; Fridman, R. Assessment of gelatinases (MMP-2 and MMP-9) by gelatin zymography. Methods Mol. Biol. 2012, 878, 121–135. [Google Scholar] [PubMed]
- Laemmli, U.K. Cleavage of structural proteins during the assembly of the head of bacteriophage T4. Nature 1970, 227, 680–685. [Google Scholar] [CrossRef] [PubMed]
- Blum, H.; Beier, H.; Gross, H.J. Improved silver staining of plant proteins, RNA and DNA in polyacrylamide gels. Electrophoresis 1987, 8, 93–99. [Google Scholar] [CrossRef]
- Faye, L.; Chrispeels, M.J. Characterization of N-linked oligosaccharides by affinoblotting with concanavalin A-peroxidase and treatment of the blots with glycosidases. Anal. Biochem. 1985, 149, 218–224. [Google Scholar] [CrossRef]
- Ribeiro, A.; Catarino, S.; Ferreira, R.B. Multiple lectin detection by cell membrane affinity binding. Carbohydr Res. 2012, 352, 206–210. [Google Scholar] [CrossRef]
- Vercoutter-Edouart, A.S.; Slomianny, M.C.; Dekeyzer-Beseme, O.; Haeuw, J.F.; Michalski, J.C. Glycoproteomics and glycomics investigation of membrane N-glycosylproteins from human colon carcinoma cells. Proteomics 2008, 8, 3236–3256. [Google Scholar] [CrossRef] [PubMed]
- Bradford, M.M. A rapid and sensitive method for the quantitation of microgram quantities of protein utilizing the principle of protein-dye binding. Anal. Biochem. 1976, 72, 248–254. [Google Scholar] [CrossRef]






| Plant Specie | Blood Source (4%) | A | B | 0 | Haemagglutination Activity (H.U.) (µg) | |||
|---|---|---|---|---|---|---|---|---|
| RH+ | RH- | RH+ | RH- | RH+ | RH- | |||
| Juniperus oxycedrus subsp. oxycedrus | Human | (+) | ND | ND | (-) | (-) | ND | ARH + = 16.6 |
| ND | (+) | ND | ND | ND | ND | ARH - = 250 | ||
| Rabbit | ------------------------------------------------------------------ | ND | ||||||
| Juniperus oxycedrus subsp. badia | Human | (+) | ND | ND | (-) | (-) | ND | ARH + = 50 |
| ND | (+) | ND | ND | ND | ND | ARH - = 27.7 | ||
| Rabbit | ------------------------------------------------------------------ | 0.205 | ||||||
| Arbutus unedo | Human | (-) | ND | ND | (-) | (-) | ND | ND |
| ND | (-) | ND | ND | ND | ND | ND | ||
| Rabbit | ------------------------------------------------------------------ | 0.045 | ||||||
| Corema album | Human | (-) | ND | ND | (-) | (-) | ND | ND |
| ND | (-) | ND | ND | ND | ND | ND | ||
| Rabbit | ------------------------------------------------------------------ | 0.069 | ||||||
| Sugars | Juniperus Oxycedrus subsp. badia 4 H.U. | Arbutus unedo 4 H.U. | Corema album 4 H.U. | |
|---|---|---|---|---|
| No. | (0.1 M) | Sugar Minimal Inhibitory Concentration (m.i.c.) (M) | ||
| 1 | D-Glucose | 0.033 | 0.074 | 0.1 |
| 2 | D-Glucosamine | 3.7 × 10−3 | 8.2 × 10−3 | UD |
| 3 | N-Acetyl-D-glucosamine | 11.1 × 10−3 | 0.025 | 0.1 |
| 4 | D-Galactose | UD | UD | UD |
| 5 | D-Galactosamine | 3.7x10−3 | 0.025 | 0.1 |
| 6 | N-Acetyl-D-galactosamine | UD | UD | UD |
| 7 | Lactose | UD | UD | UD |
| 8 | D-Mannose | 5.6 × 10−7 | 0.074 | 3.7 × 10–3 |
| 9 | Raffinose | 0.4 × 10−3 | UD | UD |
| 10 | L-Fucose* | 0.1 × 10−3 | UD | UD |
| 11 | Melezitose | 5.6 × 10−7 | 2.7 × 10−3 | 1.5 × 10–5 |
| 12 | α-Methyl-D-glucopyranoside | 5.6 × 10−7 | 0.025 | 0.4 × 10–3 |
| 13 | α-Methyl-D-mannopyranoside | 5.1 × 10−7 | 2.7 × 10−3 | 1.5 × 10–5 |
| 14 | Sucrose | 4.6 × 10−6 | 0.1 | 0.011 |
| 15 | Maltose | UD | 0.074 | ND |
| 16 | Sialic acid | UD | UD | UD |
| 17 | L(-)-Fucose * | 4.0 × 10−4 | 0.011 | ND |
© 2019 by the authors. Licensee MDPI, Basel, Switzerland. This article is an open access article distributed under the terms and conditions of the Creative Commons Attribution (CC BY) license (http://creativecommons.org/licenses/by/4.0/).
Share and Cite
Oliveira, I.; Nunes, A.; Lima, A.; Borralho, P.; Rodrigues, C.; Ferreira, R.B.; Ribeiro, A.C. New Lectins from Mediterranean Flora. Activity against HT29 Colon Cancer Cells. Int. J. Mol. Sci. 2019, 20, 3059. https://doi.org/10.3390/ijms20123059
Oliveira I, Nunes A, Lima A, Borralho P, Rodrigues C, Ferreira RB, Ribeiro AC. New Lectins from Mediterranean Flora. Activity against HT29 Colon Cancer Cells. International Journal of Molecular Sciences. 2019; 20(12):3059. https://doi.org/10.3390/ijms20123059
Chicago/Turabian StyleOliveira, Isabel, António Nunes, Ana Lima, Pedro Borralho, Cecília Rodrigues, Ricardo Boavida Ferreira, and Ana Cristina Ribeiro. 2019. "New Lectins from Mediterranean Flora. Activity against HT29 Colon Cancer Cells" International Journal of Molecular Sciences 20, no. 12: 3059. https://doi.org/10.3390/ijms20123059
APA StyleOliveira, I., Nunes, A., Lima, A., Borralho, P., Rodrigues, C., Ferreira, R. B., & Ribeiro, A. C. (2019). New Lectins from Mediterranean Flora. Activity against HT29 Colon Cancer Cells. International Journal of Molecular Sciences, 20(12), 3059. https://doi.org/10.3390/ijms20123059

