Oxymatrine Alleviates Gentamicin-Induced Renal Injury in Rats
Abstract
1. Introduction
2. Results
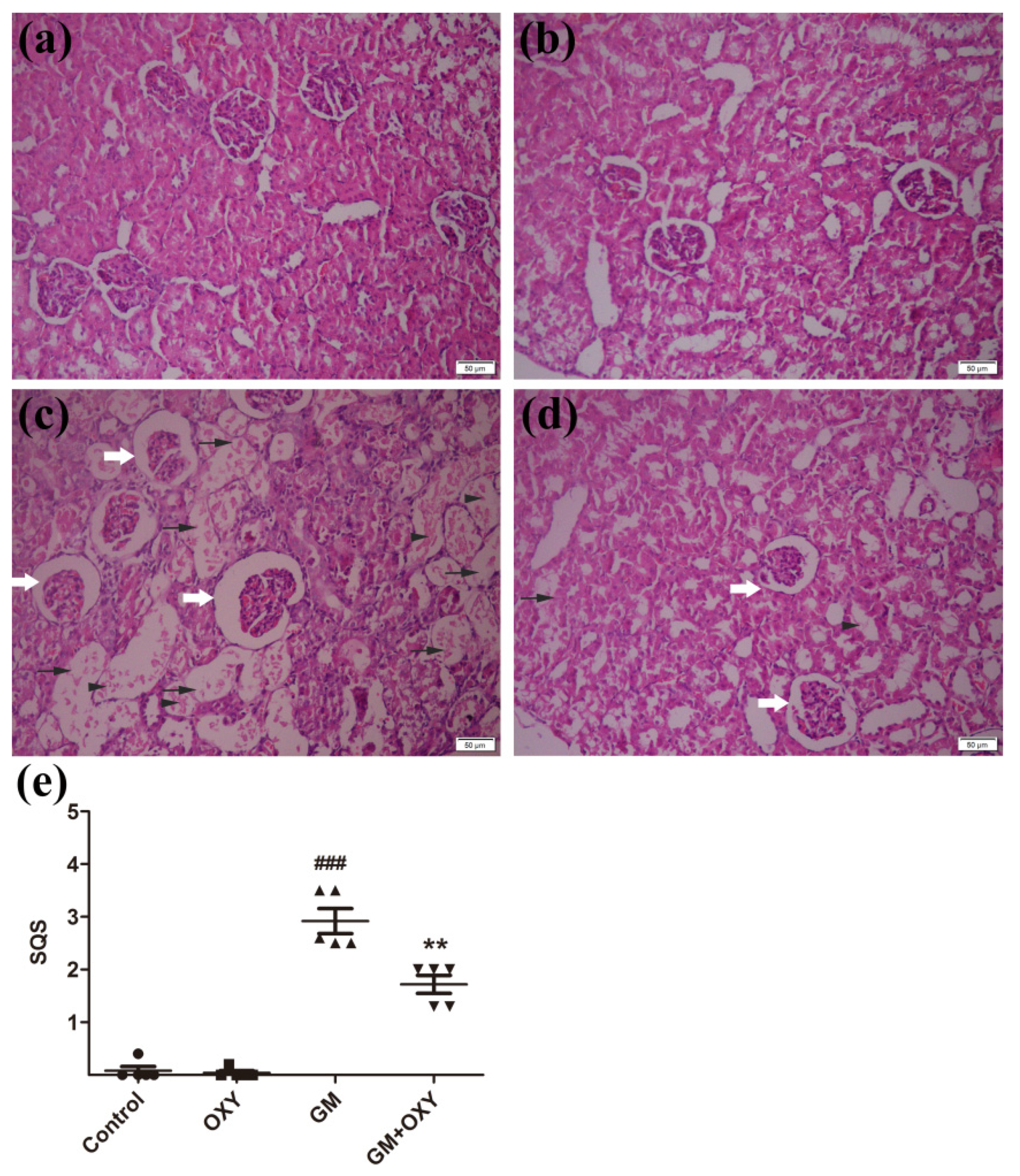
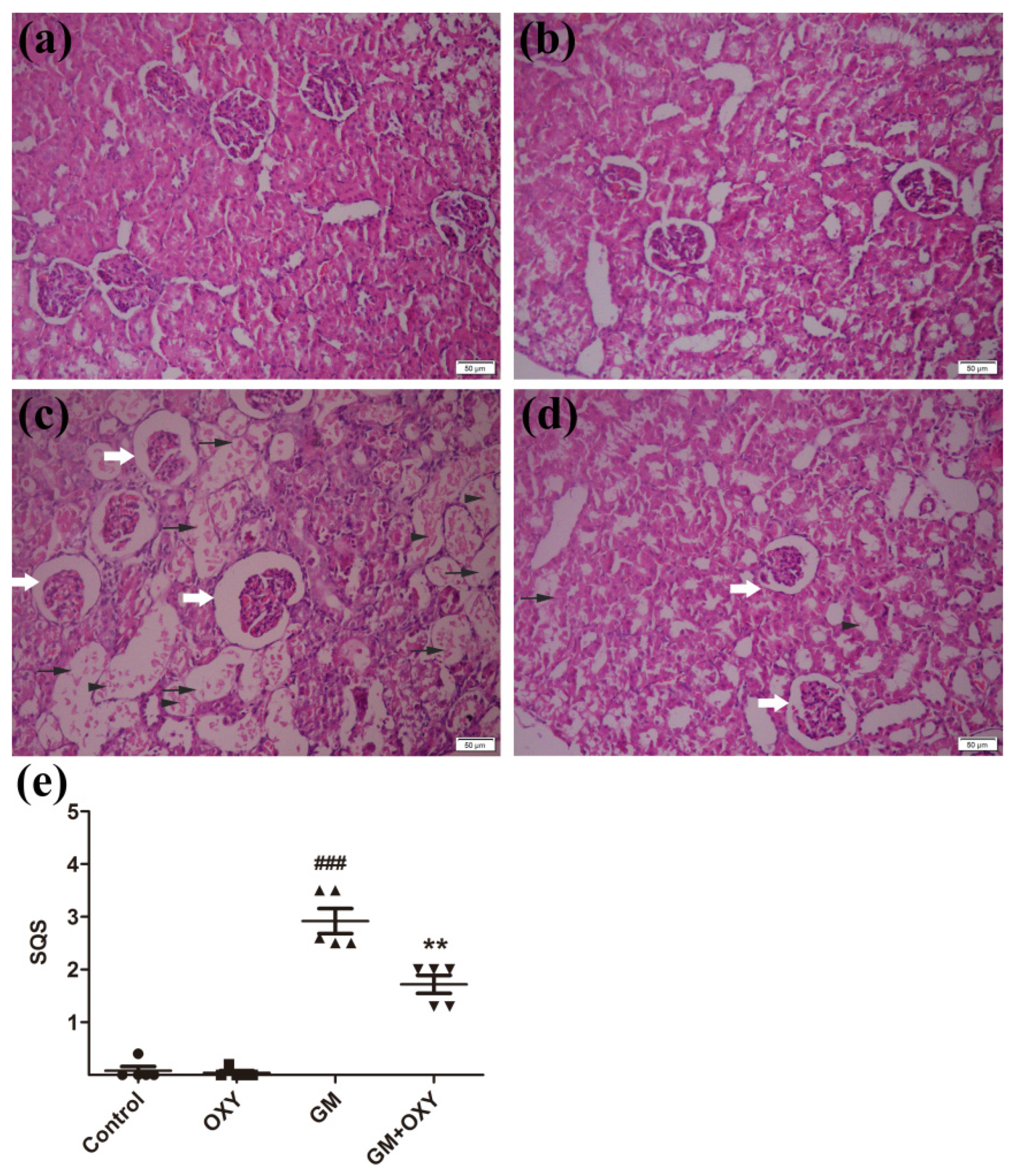
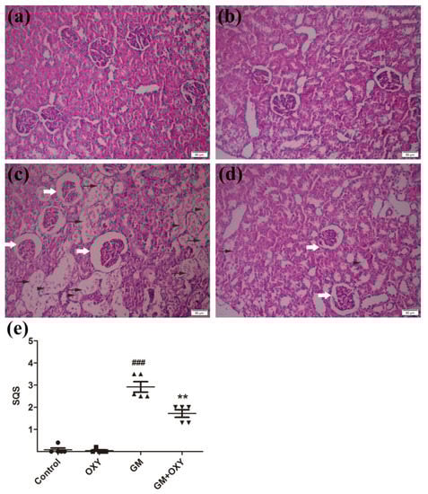
2.1. Oxymatrine Alleviated Gentamicin-Induced Nephrotoxicity in Rats
2.2. Oxymatrine Reduced Gentamicin-Induced Oxidative Stress in Renal Tissue
2.3. Oxymatrine Decreased Gentamicin-Induced Activation of Caspase-9 and Caspase-3 in Renal Tissues of Rats
2.4. Oxymatrine Surpressed Gentamicin Induced Inflammatory Mediators in Kidney
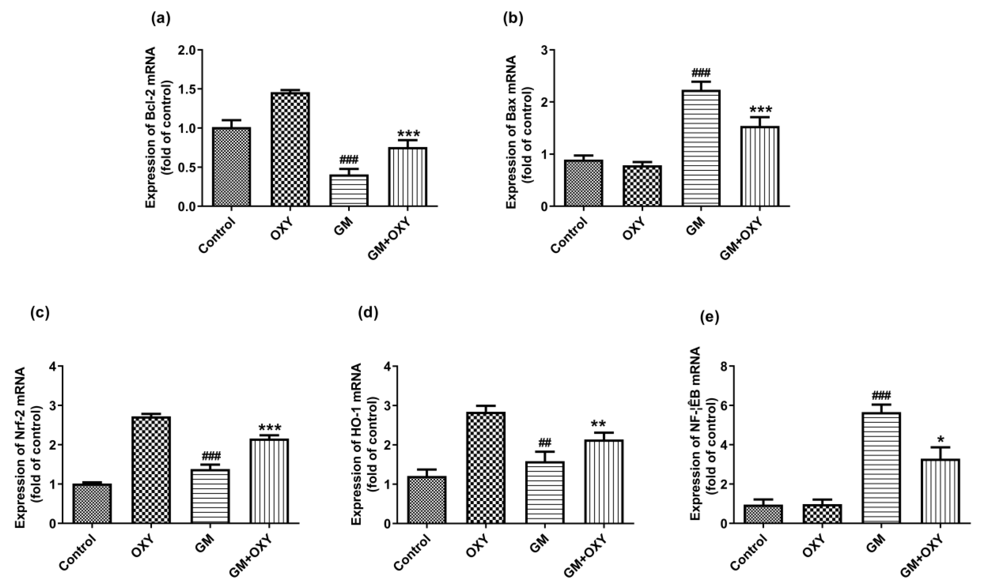
2.5. Oxymatrine Down-Regulated the Bax, NF-κB mRNAs Expression and Up-Regulated the Expression of Bcl-2, Nrf2 and HO-1 mRNAs
3. Discussion
4. Materials and Methods
4.1. Chemicals
4.2. Animals
4.3. Experimental Design
4.3.1. Measuring Blood Urea Nitrogen (BUN) and Serum Creatinine (s-CRE) Levels
4.3.2. Measuring SOD, GSH, CAT Activities and MDA, NO and iNOS Levels
4.3.3. Histopathological Examination
4.3.4. Measurement of the Caspase-9 and Caspase-3 Activities and the IL-6, IL-1β and TNF-α Levels
4.3.5. Quantitative Reverse-Transcription PCR
4.4. Statistical Analyses
Author Contributions
Funding
Institutional Review Board Statement
Informed Consent Statement
Data Availability Statement
Conflicts of Interest
References
- Felix, L.; Oliveira, M.M.; Videira, R.; Maciel, E.; Alves, N.D.; Nunes, F.M.; Alves, A.; Almeida, J.M.; Domingues, M.R.; Peixoto, F.P. Carvedilol exacerbate gentamicin-induced kidney mitochondrial alterations in adult rat. Exp. Toxicol. Pathol. 2017, 692, 83–92. [Google Scholar] [CrossRef] [PubMed]
- Balakumar, P.; WitnessKoe, W.E.; Gan, Y.S.; JemayPuah, S.M.; Kuganesswari, S.; Prajapati, S.K.; Varatharajan, R.; Jayachristy, S.A.; Sundram, K.; Bahari, M.B. Effects of pre and post-treatments with dipyridamole in gentamicin-induced acute nephrotoxicity in the rat. Regul. Toxicol. Pharmacol. 2017, 84, 35–44. [Google Scholar] [CrossRef]
- Lopez-Novoa, J.M.; Quiros, Y.; Vicente, L.; Morales, A.I.; Lopez-Hernandez, F.J. New insights into the mechanism of aminoglycoside nephrotoxicity: An integrative point of view. Kidney Int. 2011, 791, 33–45. [Google Scholar] [CrossRef] [PubMed]
- Ali, B.H. Agents ameliorating or augmenting experimental gentamicin nephrotoxicity: Some recent research. Food Chem. Toxicol. 2003, 4111, 1447–1452. [Google Scholar] [CrossRef]
- El Mouedden, M.; Laurent, G.; Mingeot-Leclercq, M.P.; Tulkens, P.M. Gentamicin-induced apoptosis in renal cell lines and embryonic rat fibroblasts. Toxicol. Sci. 2000, 561, 229–239. [Google Scholar] [CrossRef] [PubMed]
- Lee, I.C.; Kim, S.H.; Lee, S.M.; Baek, H.S.; Moon, C.; Kim, S.H.; Park, S.C.; Kim, H.C.; Kim, J.C. Melatonin attenuates gentamicin-induced nephrotoxicity and oxidative stress in rats. Arch. Toxicol. 2012, 8610, 1527–1536. [Google Scholar] [CrossRef] [PubMed]
- Bae, E.H.; Kim, I.J.; Joo, S.Y.; Kim, E.Y.; Choi, J.S.; Kim, C.S.; Ma, S.K.; Lee, J.; Kim, S.W. Renoprotective effects of the direct renin inhibitor aliskiren on gentamicin-induced nephrotoxicity in rats. J. Renin-Angiotensin-Aldosterone Syst. 2014, 154, 348–361. [Google Scholar] [CrossRef]
- Quiros, Y.; Vicente-Vicente, L.; Morales, A.I.; Lopez-Novoa, J.M.; Lopez-Hernandez, F.J. An integrative overview on the mechanisms underlying the renal tubular cytotoxicity of gentamicin. Toxicol. Sci. 2011, 1192, 245–256. [Google Scholar] [CrossRef]
- Beauchamp, D.; Laurent, G.; Grenier, L.; Gourde, P.; Zanen, J.; Heuson-Stiennon, J.A.; Bergeron, M.G. Attenuation of gentamicin-induced nephrotoxicity in rats by fleroxacin. Antimicrob. Agents Chemother. 1997, 416, 1237–1245. [Google Scholar] [CrossRef]
- Miyakita, H.; Puri, P. Urinary levels of N-acetyl-beta-D-glucosaminidase: A simple marker for predicting tubular damage in higher grades of vesicoureteric reflux. Eur. Urol. 1994, 252, 135–137. [Google Scholar] [CrossRef]
- Bonello, T.T.; Janco, M.; Hook, J.; Byun, A.; Appaduray, M.; Dedova, I.; Hitchcock-DeGregori, S.; Hardeman, E.C.; Stehn, J.R.; Bocking, T.; et al. A small molecule inhibitor of tropomyosin dissociates actin binding from tropomyosin-directed regulation of actin dynamics. Sci. Rep. 2016, 6, 19816. [Google Scholar] [CrossRef] [PubMed]
- Halim, C.E.; Xinjing, S.L.; Fan, L.; Bailey Vitarbo, J.; Arfuso, F.; Tan, C.H.; Narula, A.S.; Kumar, A.P.; Sethi, G.; Ahn, K.S. Anti-cancer effects of oxymatrine are mediated through multiple molecular mechanism(s) in tumor models. Pharmacol. Res. 2019, 147, 104327. [Google Scholar] [CrossRef] [PubMed]
- Fu, Y.; Wu, H.Q.; Cui, H.L.; Li, Y.Y.; Li, C.Z. Gastroprotective and anti-ulcer effects of oxymatrine against several gastric ulcer models in rats: Possible roles of antioxidant, antiinflammatory, and prosurvival mechanisms. Phytother. Res. 2018, 3210, 2047–2058. [Google Scholar] [CrossRef] [PubMed]
- Jung, Y.Y.; Shanmugam, M.K.; Narula, A.S.; Kim, C.; Lee, J.H.; Namjoshi, O.A.; Blough, B.E.; Sethi, G.; Ahn, K.S. Oxymatrine Attenuates Tumor Growth and Deactivates STAT5 Signaling in a Lung Cancer Xenograft Model. Cancers 2019, 111, 49. [Google Scholar] [CrossRef]
- Ye, J.; Zou, M.M.; Li, P.; Lin, X.J.; Jiang, Q.W.; Yang, Y.; Huang, J.R.; Yuan, M.L.; Xing, Z.H.; Wei, M.N.; et al. Oxymatrine and Cisplatin Synergistically Enhance Anti-tumor Immunity of CD8(+) T Cells in Non-small Cell Lung Cancer. Front. Oncol. 2018, 8, 631. [Google Scholar] [CrossRef]
- Wang, H.W.; Shi, L.; Xu, Y.P.; Qin, X.Y.; Wang, Q.Z. Oxymatrine inhibits renal fibrosis of obstructive nephropathy by downregulating the TGF-beta1-Smad3 pathway. Renal. Failure 2016, 386, 945–951. [Google Scholar] [CrossRef]
- Li, L.; Liu, Q.; Fan, L.; Xiao, W.; Zhao, L.; Wang, Y.; Ye, W.; Lan, F.; Jia, B.; Feng, H.; et al. Protective effects of oxymatrine against arsenic trioxide-induced liver injury. Oncotarget 2017, 88, 12792–12799. [Google Scholar] [CrossRef]
- Tavafi, M.; Ahmadvand, H.; Toolabi, P. Inhibitory effect of olive leaf extract on gentamicin-induced nephrotoxicity in rats. Iran. J. Kidney Dis. 2012, 61, 25–32. [Google Scholar]
- Oztopuz, O.; Turkon, H.; Sehitoglu, M.H.; Buyuk, B.; Uzun, M.; Ovali, M.A.; Demir, U. Hyperbaric oxygen treatment ameliorates gentamicin-induced nephrotoxicity and expression of kidney injury molecule 1 in the rat model. Undersea Hyperb. Med. 2019, 462, 125–133. [Google Scholar] [CrossRef]
- Yoshiyama, Y.; Yazaki, T.; Wong, P.C.; Beauchamp, D.; Kanke, M. The effect of fosfomycin on glycopeptide antibiotic-induced nephrotoxicity in rats. J. Infect. Chemother. 2001, 74, 243–246. [Google Scholar] [CrossRef]
- Circu, M.L.; Aw, T.Y. Reactive oxygen species, cellular redox systems, and apoptosis. Free Radic. Biol. Med. 2010, 486, 749–762. [Google Scholar] [CrossRef] [PubMed]
- Zhang, X.; Jiang, W.; Zhou, A.L.; Zhao, M.; Jiang, D.R. Inhibitory effect of oxymatrine on hepatocyte apoptosis via TLR4/PI3K/Akt/GSK-3beta signaling pathway. World J. Gastroenterol. 2017, 2321, 3839–3849. [Google Scholar] [CrossRef] [PubMed]
- Zhao, P.; Zhou, R.; Li, H.N.; Yao, W.X.; Qiao, H.Q.; Wang, S.J.; Niu, Y.; Sun, T.; Li, Y.X.; Yu, J.Q. Oxymatrine attenuated hypoxic-ischemic brain damage in neonatal rats via improving antioxidant enzyme activities and inhibiting cell death. Neurochem. Int. 2015, 89, 17–27. [Google Scholar] [CrossRef] [PubMed]
- Ozturk, H.; Cetinkaya, A.; Yilmaz, F.; Ozturk, H. Protective effect of oxymatrine against renal ischemia/reperfusion injury in rats. Bratislavske Lekarske Listy 2017, 1184, 217–222. [Google Scholar] [CrossRef] [PubMed]
- Zhang, Y.Y.; Yi, M.; Huang, Y.P. Oxymatrine Ameliorates Doxorubicin-Induced Cardiotoxicity in Rats. Cell. Physiol. Biochem. 2017, 432, 626–635. [Google Scholar] [CrossRef] [PubMed]
- Schlondorff, D.O. Overview of factors contributing to the pathophysiology of progressive renal disease. Kidney Int. 2008, 747, 860–866. [Google Scholar] [CrossRef] [PubMed]
- Sue, Y.M.; Cheng, C.F.; Chang, C.C.; Chou, Y.; Chen, C.H.; Juan, S.H. Antioxidation and anti-inflammation by haem oxygenase-1 contribute to protection by tetramethylpyrazine against gentamicin-induced apoptosis in murine renal tubular cells. Nephrol. Dial. Transplant. 2009, 243, 769–777. [Google Scholar] [CrossRef]
- Guijarro, C.; Egido, J. Transcription factor-kappa B (NF-kappa B) and renal disease. Kidney Int. 2001, 592, 415–424. [Google Scholar] [CrossRef]
- Rangan, G.; Wang, Y.; Harris, D. NF-kappaB signalling in chronic kidney disease. Front. Biosci. 2009, 14, 3496–3522. [Google Scholar] [CrossRef]
- Geyikoglu, F.; Emir, M.; Colak, S.; Koc, K.; Turkez, H.; Bakir, M.; Hosseinigouzdagani, M.; Cerig, S.; Keles, O.N.; Ozek, N.S. Effect of oleuropein against chemotherapy drug-induced histological changes, oxidative stress, and DNA damages in rat kidney injury. J. Food Drug Anal. 2017, 252, 447–459. [Google Scholar] [CrossRef]
- Tu, Y.; Sun, W.; Wan, Y.G.; Gao, K.; Liu, H.; Yu, B.Y.; Hu, H.; Huang, Y.R. Dahuang Fuzi Decoction ameliorates tubular epithelial apoptosis and renal damage via inhibiting TGF-beta1-JNK signaling pathway activation in vivo. J. Ethnopharmacol. 2014, 156, 115–124. [Google Scholar] [CrossRef] [PubMed]
- Yamamoto, Y.; Gaynor, R.B. Therapeutic potential of inhibition of the NF-kappaB pathway in the treatment of inflammation and cancer. J. Clin. Investig. 2001, 1072, 135–142. [Google Scholar] [CrossRef] [PubMed]
- Chu, S.; Zhang, H.; Ding, L. Efficiency of Sophora flavescens-Fructus Ligustri Lucidi Drug Pairs in the Treatment of Liver Fibrosis Based on the Response Surface Method. Evid.-Based Complement. Altern. Med. 2019, 2019, 8609490. [Google Scholar] [CrossRef] [PubMed]
- Liu, M.; Jin, S.; Yan, H.; Du, S. Effect of oxymatrine HSPC liposomes on improving bioavailability, liver target distribution and hepatoprotective activity of oxymatrine. Eur. J. Pharm. Sci. 2017, 104, 212–220. [Google Scholar] [CrossRef]
- Roberts, K.D.; Azad, M.A.; Wang, J.; Horne, A.S.; Thompson, P.E.; Nation, R.L.; Velkov, T.; Li, J. Antimicrobial Activity and Toxicity of the Major Lipopeptide Components of Polymyxin B and Colistin: Last-line Antibiotics against Multidrug-Resistant Gram-negative Bacteria. ACS Infect. Dis. 2015, 111, 568–575. [Google Scholar] [CrossRef]
- Dai, C.; Xiao, X.; Li, D.; Tun, S.; Wang, Y.; Velkov, T.; Tang, S. Chloroquine ameliorates carbon tetrachloride-induced acute liver injury in mice via the concomitant inhibition of inflammation and induction of apoptosis. Cell Death Dis. 2018, 912, 1164. [Google Scholar] [CrossRef]





| Biomarker | Treatment Group | |||
|---|---|---|---|---|
| Control Group | OXY Group | GM Group | GM plus OXY Group | |
| MDA (mmol/mg of protein) | 1.58 ± 0.069 | 1.68 ± 0.011 | 2.38 ± 0.092 # | 1.92 ± 0.20 * |
| SOD (U/mg of protein) | 1106 ± 1.414 | 1081 ± 6.899 | 1025 ± 6.980 ## | 1145 ± 47.13 * |
| CAT (U/mg of protein) | 98.8 ± 4.76 | 95.2 ± 3.40 | 68.8 ± 6.74 # | 96.1 ± 2.89 * |
| GSH (mmol/mg of protein) | 36.7 ± 2.80 | 36.4 ± 2.48 | 28.3 ± 2.23 # | 36.6 ± 1.97 ** |
| iNOS (U/mg of protein) | 0.811 ± 0.027 | 0.764 ± 0.028 | 1.81 ± 0.21 # | 0.845 ± 0.09 ** |
| NO (mol/g of protein) | 488.1 ± 39.86 | 483.4 ± 40.07 | 891.8 ± 30.28 ### | 665.6 ± 37.64 *** |
| Scores | Severity of Lesions |
|---|---|
| 0 | no pathological change |
| +1 | mild change |
| +2 | mild to moderate change |
| +3 | moderate change |
| +4 | moderate to severe change |
| +5 | severe pathological change |
| Gene | Primer Sequence (5′−3′) |
|---|---|
| Nrf2 | 5′-CAC ATT CCC AAA CAA GAT GC-3′ 5′-TCT TTT TCC AGC GAG GAG AT-3′ |
| HO-1 | 5′-CGT GCT CGA ATG AAC ACT CT-3′ 5′-GGA AGC TGA GAG TGA GGA CC-3′ |
| NF-κB | 5′-CAC TGT CTG CCT CTC TCG TCT-3′ 5′-AAG GAT GTC TCC ACA CCA CTG-3′ |
| Bax | 5′-CCA AGA AGC TGA GCG AGT GTC-3′ 5′-TGA GGA CTC CAG CCA CAA AGA-3′ |
| Bcl-2 | 5′-CCG GGA GAT CGT GAT GAA GT-3′ 5′- ATC CCA GCC TCC GTT ATC CT-3′ |
| GAPDH | 5′-ACA GTC CAT GCC ATC ACT GCC-3′ 5′-GCC TGC TTC ACC ACC TTC TTG-3′ |
| Step | Temperature | Time | Instructions |
|---|---|---|---|
| 1 | 95 °C | 5 min | initial activation |
| 2 | 95 °C | 30 s, 40 cycles | denaturing |
| 3 | 60 °C | 30 s | annealing |
| 4 | 72 | 30 s | elongation. |
Publisher’s Note: MDPI stays neutral with regard to jurisdictional claims in published maps and institutional affiliations. |
© 2022 by the authors. Licensee MDPI, Basel, Switzerland. This article is an open access article distributed under the terms and conditions of the Creative Commons Attribution (CC BY) license (https://creativecommons.org/licenses/by/4.0/).
Share and Cite
Kang, S.; Chen, T.; Hao, Z.; Yang, X.; Wang, M.; Zhang, Z.; Hao, S.; Lang, F.; Hao, H. Oxymatrine Alleviates Gentamicin-Induced Renal Injury in Rats. Molecules 2022, 27, 6209. https://doi.org/10.3390/molecules27196209
Kang S, Chen T, Hao Z, Yang X, Wang M, Zhang Z, Hao S, Lang F, Hao H. Oxymatrine Alleviates Gentamicin-Induced Renal Injury in Rats. Molecules. 2022; 27(19):6209. https://doi.org/10.3390/molecules27196209
Chicago/Turabian StyleKang, Songyao, Tingting Chen, Zhihui Hao, Xiao Yang, Mingfa Wang, Zhifang Zhang, Sijia Hao, Fengting Lang, and Hongxia Hao. 2022. "Oxymatrine Alleviates Gentamicin-Induced Renal Injury in Rats" Molecules 27, no. 19: 6209. https://doi.org/10.3390/molecules27196209
APA StyleKang, S., Chen, T., Hao, Z., Yang, X., Wang, M., Zhang, Z., Hao, S., Lang, F., & Hao, H. (2022). Oxymatrine Alleviates Gentamicin-Induced Renal Injury in Rats. Molecules, 27(19), 6209. https://doi.org/10.3390/molecules27196209
