Signing and Verifying Encrypted Medical Images Using Double Random Phase Encryption
Abstract
:1. Introduction
2. Background Review
2.1. Discrete Transforms
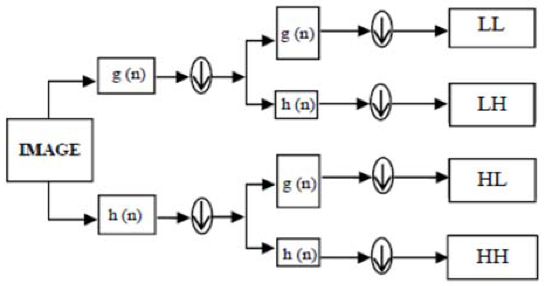
2.1.1. Discrete Wavelet Transform (DWT)
2.1.2. Discrete Cosine Transform (DCT)
2.2. The Double Random Phase Encryption (DRPE)
3. Related Work
4. Discussion
4.1. Signing Process
4.2. Verification Process
5. Simulation Results and Discussions
5.1. Structural Similarity Index (SSIM)
5.2. Comparative Analysis
6. Conclusions
Author Contributions
Funding
Informed Consent Statement
Data Availability Statement
Acknowledgments
Conflicts of Interest
References
- Parah, S.A.; Sheikh, J.A.; Ahad, F.; Loan, N.A.; Bhat, G.M. Information hiding in medical images: A robust medical image watermarking system for E-healthcare. Multimed. Tools Appl. 2017, 76, 10599–10633. [Google Scholar] [CrossRef]
- Kumar, C.; Singh, A.K.; Kumar, P. A recent survey on image watermarking techniques and its application in e-governance. Multimed. Tools Appl. 2018, 77, 3597–3622. [Google Scholar] [CrossRef]
- Pan, J.-S.; Huang, H.-C.; Jain, L.C. (Eds.) Intelligent Watermarking Techniques; World Scientific: Singapore, 2004. [Google Scholar]
- Ghazy, R.A.; Amoon, M.; Abdallah, H.A.; El-Fishawy, N.A.; Hadhoud, M.M.; Dessouky, M.I.; Alshebeili, S.A.; El-Samie, F.E.A. Block based embedding of encrypted watermarks using singular value decomposition. Optik 2014, 125, 6299–6304. [Google Scholar] [CrossRef]
- Gunjal, B.L.; Manthalkar, R.R. An Overview of Transform Domain Robust Digital Image Watermarking Algorithms. J. Emerg. Trends Comput. Inf. Sci. 2010, 2, 37–42. [Google Scholar]
- Begum, M.; Uddin, M.S. Digital Image Watermarking Techniques: A Review. Information 2020, 11, 110. [Google Scholar] [CrossRef] [Green Version]
- Abdallaha, H.A.; Faragallahb, O.S.; Elsayed, H.S.; Hadhoudd, M.M.; Shaalan, A.A.; Abd El-samie, F.E. Robust Image watermarking Method Using Homomorphic Block-Based KLT. Optik 2016, 127, 2374–2381. [Google Scholar] [CrossRef]
- Abdallah, H.A.; Ghazy, R.A.; Kasban, H.; Faragallah, O.S.; Shaalan, A.A.; Hadhoud, M.M.; Dessouky, M.I.; El-Fishawy, N.A.; Alshebeili, S.A.; Abd El-samie, F.E. Homomorphic image watermarking with a singular value decomposition algorithm. Inf. Process. Manag. 2014, 50, 909–923. [Google Scholar] [CrossRef]
- Refregier, P.; Javidi, B. Optical image encryption based on input plane and Fourier plane random encoding. Opt. Lett. 1995, 20, 767–769. [Google Scholar] [CrossRef] [PubMed]
- Zhang, J. A study on application of digital signature technology. In Proceedings of the 2010 International Conference on Networking and Digital Society, Wenzhou, China, 30–31 May 2010; pp. 498–501. [Google Scholar] [CrossRef]
- Van, D.H.; Thuc, N.D. A Privacy Preserving Message Authentication Code. In Proceedings of the 2015 5th International Conference on IT Convergence and Security (ICITCS), Kuala Lumpur, Malaysia, 24–27 August 2015. [Google Scholar]
- Mathew, S.; Saranya, G. Advanced Biometric Home Security System using Digital Signature and DNA Cryptography. In Proceedings of the 2017 International Conference on Innovations in Green Energy and Healthcare Technologies (IGEHT), Coimbatore, India, 16–18 March 2017. [Google Scholar]
- Dubrova, E.; Näslund, M.; Selander, G.; Lindqvist, F. Message Authentication Based on Cryptographically Secure CRC without Polynomial Irreducibility Test. Cryptogr. Commun. 2018, 10, 383–399. [Google Scholar] [CrossRef] [Green Version]
- Elhoseny, M.; Ramirez-Gonzalez, G.; Abu-Elnasr, O.M.; Shawkat, S.; Arunkumar, N.; Farouk, A. Secure Medical Data Transmission Model for IoT-Based Healthcare Systems. IEEE Access 2018, 6, 20596–20608. [Google Scholar] [CrossRef]
- Cui, J.; Shao, L.; Zhong, H.; Xu, Y.; Liu, L. Data aggregation with end-to-end confidentiality and integrity for large-scale wireless sensor networks. Netw. Appl. 2017, 11, 1022–1037. [Google Scholar] [CrossRef] [Green Version]
- Algarni, A.D.; Soliman, N.F.; Abdallah, H.A.; El-Samie, F.E.A. Encryption of ECG signals for telemedicine applications. Multimedia Tools Appl. 2021, 80, 10679–10703. [Google Scholar] [CrossRef]
- Anand, A.; Singh, A.K. An improved DWT-SVD domain watermarking for medical information security. Comput. Commun. 2020, 152, 72–80. [Google Scholar] [CrossRef]
- Nadhir, N.; Ali, S.; Abdelkrim, G. Medical Image Watermarking Scheme in Transform Domain based on Asymmetric crypto-system and Arnold Chaotic Map. In Proceedings of the 2021 44th International Conference on Telecommunications and Signal Processing (TSP), Brno, Czech Republic, 26–28 July 2021. [Google Scholar]
- Vaidya, S.P. Fingerprint-based robust medical image watermarking in hybrid transform. Vis. Comput. 2022, 1–16. [Google Scholar] [CrossRef] [PubMed]
- Moad, M.S.; Kafi, M.R.; Khaldi, A. A wavelet based medical image watermarking scheme for secure transmission in telemedicine applications. Microprocess. Microsyst. 2022, 90, 104490. [Google Scholar] [CrossRef]
- Ramzan, M.; Habib, M.; Khan, S.A. Secure and efficient privacy protection system for medical records. Sustain. Comput. Inform. Syst. 2022, 35, 100717. [Google Scholar] [CrossRef]
- Wang, Z.; Bovik, A.C.; Sheikh, H.R.; Simoncelli, E.P. Image quality assessment: From error visibility to structural similarity. IEEE Trans. Image. Process 2004, 13, 600–612. [Google Scholar] [CrossRef] [PubMed] [Green Version]
- Ding, H.; Xie, C.; Zeng, L.; Xu, Y.; Dan, G. The correlation between signal distance and consonant pronunciation in Mandarin words. In Proceedings of the 2016 10th International Symposium on Chinese Spoken Language Processing (ISCSLP), Tianjin, China, 17–20 October 2016. [Google Scholar]
- Makbol, N.M.; Khoo, B.E. Robust blind image watermarking scheme based on redundant discrete wavelet transform and singular value decomposition. AEU-Int. J. Electron. Commun. 2013, 67, 102–112. [Google Scholar] [CrossRef]
- Makbol, N.M.; Khoo, B.E. A new robust and secure digital image watermarking scheme based on the integer wavelet transform and singular value decomposition. Digit. Signal Process. 2014, 33, 134–147. [Google Scholar] [CrossRef]
- Abdallah, H.A.; Alsodairi, S. A Novel Watermarking Technique Based on Hybrid Transforms. Int. J. Commun. Netw. Inf. Secur. 2020, 12, 316–325. [Google Scholar]





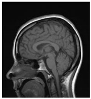
| Original Image | Marked Image | Encrypted Image (Chaotic) | Decrypted Image | Correlation between Extracted Blocks and Original Blocks |
![]() | ![]() PSNR = 35.99 dB SSIM = 0.97 | ![]() PSNR = 12.17 dB SSIM = 0.1035 | ![]() PSNR = 35.99 dB SSIM = 0.97 | ![]() |
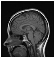
| Original Image | Marked Image | Encrypted Image (DRPE) | Decrypted Image | Correlation between Extracted Blocks and Original Blocks |
![]() | ![]() PSNR = 34.26 dB SSIM = 0.96 | ![]() PSNR = 12.84 dB SSIM = 0.0349 | ![]() PSNR = 34.37 dB SSIM = 0.96 | ![]() |
| AWGN (SNR) | Correlation between Extracted blocks and Original Blocks |
|---|---|
| 5 dB | ![]() |
| Mean correlation = 0.1192 | |
![]() | |
| Mean correlation = 0.0374 | |
| 10 dB | ![]() |
| Mean Correlation = 0.4416 | |
![]() | |
| Mean Correlation = 0.0737 | |
| 20 dB | ![]() |
| Mean Correlation = 0.3597 | |
![]() | |
| Mean Correlation = 0.1600 | |
| 30 db | ![]() |
| Mean correlation = 0.5407 | |
![]() | |
| Mean correlation = 0.3117 | |
| 50 dB | ![]() |
| Mean correlation = 0.7592 | |
![]() | |
| Mean correlation = 0.6159 |
| Original Image | Original Image with No Mark | Correlation between Extracted Blocks and Original Blocks in Image with No Mark |
|---|---|---|
![]() | ![]() | ![]() |
| Original Image | Original Image with Mark |
|---|---|
![]() | ![]() |
![]() | ![]() |
| Encrypted Image | Decrypted Image |
![]() | ![]() |
![]() | ![]() |
| Gaussian Noise | CR (Correlation) | |||
|---|---|---|---|---|
| Proposed Scheme | [24] | [25] | [26] | |
| Gaussian noise 0.5 | 0.75 | 0.63 | 0.58 | 0.28 |
| Correlation (cr) | |||||||||
|---|---|---|---|---|---|---|---|---|---|
| DWT | SVD | DWT Based SVD | DT-CWT Based SVD | ||||||
| cr1 | cr2 | cr1 | cr1 | cr2 | cr1 | cr2 | cr3 | cr4 | |
| No attack | 0.95 | 0.96 | 0.99 | 0.99 | 0.98 | 0.9996 | 0.9996 | 0.9996 | 0.9997 |
| Rotation angel | |||||||||
| −90 | 0.09 | 0.1 | 0.99 | 0.34 | 0.25 | 0.8253 | 0.9551 | 0.8527 | 0.9763 |
| −1 | 0.12 | 0.1 | 0.44 | 0.65 | 0.71 | 0.9655 | 0.9340 | 0.9898 | 0.9655 |
| Noise variance | |||||||||
| 0.1 | 0.05 | 0.06 | 0.04 | 0.13 | 0.18 | 0.3129 | 0.3353 | 0.3613 | 0.3926 |
| 0.5 | 0.03 | 0.04 | 0.002 | 0.1 | 0.14 | 0.2242 | 0.2393 | 0.2486 | 0.2703 |
| Resizing ratio | |||||||||
| 0.7 | 0.21 | 0.22 | 0.74 | 0.72 | 0.9 | 0.9766 | 0.9740 | 0.9866 | 0.9896 |
| 0.9 | 0.35 | 0.35 | 0.95 | 0.94 | 0.97 | 0.9873 | 0.9956 | 0.9960 | 0.9973 |
| Compression quality | |||||||||
| 10% | 0.3 | 0.26 | 0.81 | 0.97 | 0.97 | 0.9875 | 0.9906 | 0.9931 | 0.9937 |
| 30% | 0.55 | 0.48 | 0.93 | 0.97 | 0.98 | 0.9992 | 0.9978 | 0.9991 | 0.9985 |
| Cropping ratio | |||||||||
| 512–300 | 0.23 | 0.16 | −0.73 | 0.38 | 0.22 | 0.7600 | 0.6567 | 0.87 | 0.7719 |
| 512–100 | 0.19 | 0.13 | −0.87 | 0.21 | 0.09 | 0.6317 | 0.5882 | 0.6970 | 0.7139 |
Publisher’s Note: MDPI stays neutral with regard to jurisdictional claims in published maps and institutional affiliations. |
© 2022 by the authors. Licensee MDPI, Basel, Switzerland. This article is an open access article distributed under the terms and conditions of the Creative Commons Attribution (CC BY) license (https://creativecommons.org/licenses/by/4.0/).
Share and Cite
Abdallah, H.A.; ElKamchouchi, D.H. Signing and Verifying Encrypted Medical Images Using Double Random Phase Encryption. Entropy 2022, 24, 538. https://doi.org/10.3390/e24040538
Abdallah HA, ElKamchouchi DH. Signing and Verifying Encrypted Medical Images Using Double Random Phase Encryption. Entropy. 2022; 24(4):538. https://doi.org/10.3390/e24040538
Chicago/Turabian StyleAbdallah, Hanaa A., and Dalia H. ElKamchouchi. 2022. "Signing and Verifying Encrypted Medical Images Using Double Random Phase Encryption" Entropy 24, no. 4: 538. https://doi.org/10.3390/e24040538
APA StyleAbdallah, H. A., & ElKamchouchi, D. H. (2022). Signing and Verifying Encrypted Medical Images Using Double Random Phase Encryption. Entropy, 24(4), 538. https://doi.org/10.3390/e24040538
































