Sign in to use this feature.

Years

Between: -

Subjects

remove_circle_outline
remove_circle_outline
remove_circle_outline
remove_circle_outline

Journals

Article Types

Countries / Regions

Search Results (10)

Search Parameters:
Keywords = vitamin D epimers

Order results
Result details
Results per page
Select all
Export citation of selected articles as:
12 pages, 1170 KB  
Article
The Effect of Vitamin D Supplementation with or without Calcium on Vitamin D Epimer and Metabolites
by Salah Gariballa, Ghada S. M. Al-Bluwi and Javed Yasin
Metabolites 2024, 14(10), 524; https://doi.org/10.3390/metabo14100524 - 27 Sep 2024
Viewed by 1223
Abstract
Background: A possible role of vitamin D epimers and metabolites in the measurement and response to treatment of vitamin D has been reported recently. Furthermore, the influence of underlying vitamin D receptor (VDR) genetic polymorphisms which have been linked to diseases such as [...] Read more.
Background: A possible role of vitamin D epimers and metabolites in the measurement and response to treatment of vitamin D has been reported recently. Furthermore, the influence of underlying vitamin D receptor (VDR) genetic polymorphisms which have been linked to diseases such as obesity remains unclear. We therefore aimed to examine the influence of vitamin D3 and calcium supplements on vitamin D epimer and metabolite concentrations in subjects with and those without vitamin D receptor (VDR) gene polymorphisms. Methods: A total of 277 participants who were part of a randomized intervention trial of vitamin D3 and calcium or a placebo for 6 months had clinical and anthropometric assessments. Blood samples were taken for measurements of vitamin D, epimers and metabolites of vitamin D, four vitamin D receptor gene polymorphism SNPs, namely, BsmI, FokI, TaqI, and ApaI, metabolic and inflammatory markers, and related biochemical variables. Repeated-measures analysis of variance was used to assess the between-group difference in cumulative changes in vitamin D epimers and metabolites at 6 months after adjusting for the presence of the 4 VDR genotypes and allele gene polymorphisms. Results: Overall, 277 participants, with a mean (±SD) age of 41 ± 12 and 204 (74%) of whom were female, were included in the study. We found no statistically significant differences in vitamin D metabolites or (epimers) between male and females or younger subjects compared to those over 40 years of age except in 7C4 BL (p < 0.05). There was a statistically significant difference in 1,25(OH)2D3 concentrations between subjects with and those without genotypes AG and the allele G SNP2_Taql VDR gene polymorphism. Vitamin D3 concentrations were also significantly lower in subjects with the CC SNP3_Apal gene polymorphism compared to those without the CC SNP3 gene. No statistically significant effects were seen on vitamin D epimers and metabolites concentration in response to supplements before or after adjusting for the presence of the 4 VDR genotypes and allele gene polymorphisms. Conclusions: The CC SNP3 gene had statistically significant influence on vitamin D3 levels. Vitamin D and/or calcium supplements, however, had no effects on vitamin D epimer and metabolite concentration before or after adjusting for the presence of the 4 VDR genotypes and alleles. Full article
(This article belongs to the Section Nutrition and Metabolism)
Show Figures

Figure 1

13 pages, 1034 KB  
Article
Dietary 25 Hydroxyvitamin D3 Improved Serum Concentration Level and Alkaline Phosphatase Activity during Lactation but Had Meager Impact on Post-Farrowing Reproductive Performance in Sows
by Prester C. John Okafor and Nitipong Homwong
Animals 2024, 14(3), 419; https://doi.org/10.3390/ani14030419 - 27 Jan 2024
Cited by 1 | Viewed by 1698
Abstract
Dietary 25 hydroxyvitamin D3 (25(OH)D3) promotes serum 25(OH)D3 concentration and alkaline phosphatase activity (ALP); however, post-farrowing reproductive performance of lactating sows fed with 14-epimer of 25(OH)D3 is uncertain. This study investigated post-farrowing reproductive performance, serum ALP activity, and serum 25(OH)D3 concentration in sows [...] Read more.
Dietary 25 hydroxyvitamin D3 (25(OH)D3) promotes serum 25(OH)D3 concentration and alkaline phosphatase activity (ALP); however, post-farrowing reproductive performance of lactating sows fed with 14-epimer of 25(OH)D3 is uncertain. This study investigated post-farrowing reproductive performance, serum ALP activity, and serum 25(OH)D3 concentration in sows fed VD3, 25(OH)D3, or 14-epi 25(OH)D3. Weaned sows (n = 203) in parities 2 and 3 were blocked weekly and treated with 2000 IU/kg VD3 (T1), 25 μg/kg 25(OH)D3:14-epi 25(OH)D3 (T2), or 50 μg/kg 25(OH)D3 (T3) diets, all equilibrated to 2000 IU/kg as fed. Sow performance, treatment, and sampling period effects were analyzed. Environmental conditions were analyzed as covariates. The number of piglets weaned (p = 0.029), pre-weaning mortality (p = 0.029), sampling period (p < 0.001), and treatment and period interaction (p = 0.028) differed significantly. There was an increase in 25(OH)D3 during lactation due to physiological demands for milk calcium and milk production. Supplementing twice the concentration of 25(OH)D3 compared to its epimer, 25(OH)D3:14-epi 25(OH)D3, had no significant effect on the post-farrowing reproductive performance of lactating sows. The effect of 25(OH)D3 on post-farrowing reproductive performance and ALP activity in sows was influenced by metabolic demand for calcium due to physiological changes during lactation as well as epimer conformation. Full article
(This article belongs to the Special Issue Feed Additives in Pig Feeding: 2nd Edition)
Show Figures

Figure 1

15 pages, 1454 KB  
Article
Inflammatory Markers in Non-Obese Women with Polycystic Ovary Syndrome Are Not Elevated and Show No Correlation with Vitamin D Metabolites
by Abu Saleh Md Moin, Thozhukat Sathyapalan, Stephen L. Atkin and Alexandra E. Butler
Nutrients 2022, 14(17), 3540; https://doi.org/10.3390/nu14173540 - 27 Aug 2022
Cited by 11 | Viewed by 3553
Abstract
Introduction. Chronic low-grade inflammation is a characteristic of women with polycystic ovary syndrome (PCOS), although this may be obesity-driven rather than an intrinsic facet of PCOS; furthermore, vitamin D deficiency, another common feature of PCOS, is reported to have an association with increased [...] Read more.
Introduction. Chronic low-grade inflammation is a characteristic of women with polycystic ovary syndrome (PCOS), although this may be obesity-driven rather than an intrinsic facet of PCOS; furthermore, vitamin D deficiency, another common feature of PCOS, is reported to have an association with increased inflammation. Therefore, circulating inflammatory protein levels and circulating levels of vitamin D may be linked in PCOS, though it is unclear which vitamin D metabolites may be important. Methods. We measured plasma levels of 24 inflammatory proteins and 12 matrix metalloproteinases (proteins modulated by the inflammatory process) by slow off-rate modified aptamer (SOMA)-scan plasma protein measurement in weight and aged-matched non-obese non-insulin resistant PCOS (n = 24) and control (n = 24) women. Inflammatory proteins and matrix metalloproteinases were correlated to 25-hydroxy vitamin D3 (25(OH)D3), its epimer 25-hydroxy-3epi-vitamin D (3epi25(OH)D) and the active 1,25-dihydroxyvitamin D3 (1,25(OH)2D3) as measured by gold standard isotope-dilution liquid chromatography tandem mass spectrometry. Results. PCOS women had both an elevated free androgen index and circulating anti-mullerian hormone, though insulin resistance was comparable to controls. C-reactive protein, as a standard circulatory marker of inflammation, was comparable between cohorts. Levels of circulating inflammatory proteins and matrix metalloproteinases were not different between the PCOS and control women, with no correlation of 25(OH)D3, 1,25(OH)2D3 or 3epi25(OH)D with any of the inflammatory proteins. Conclusion. In a non-obese PCOS population matched for age and insulin resistance, circulating inflammatory proteins and matrix metalloproteinases were not elevated and did not correlate with 25(OH)D3, its epimer 3epi25(OH)D or 1,25(OH)2D3 in either control or PCOS women, indicating that the inflammatory response is absent and the vitamin D-metabolite independent in non-obese women with PCOS. Full article
Show Figures

Figure 1

13 pages, 571 KB  
Article
The Weak Relationship between Vitamin D Compounds and Glucose Homeostasis Measures in Pregnant Women with Obesity: An Exploratory Sub-Analysis of the DALI Study
by Lilian Cristina Mendoza, Jürgen Harreiter, Gernot Desoye, David Simmons, Juan M. Adelantado, Alexandra Kautzky-Willer, Agnieszka Zawiejska, Ewa Wender-Ozegowska, Annunziata Lapolla, Maria G. Dalfra, Alessandra Bertolotto, Roland Devlieger, Fidelma Dunne, Elisabeth R. Mathiesen, Peter Damm, Lisse Lotte Andersen, Dorte Moller Jensen, David Hill, Mireille Nicoline Maria van Poppel and Rosa Corcoy
Nutrients 2022, 14(16), 3256; https://doi.org/10.3390/nu14163256 - 9 Aug 2022
Cited by 1 | Viewed by 2833
Abstract
Studies on the relationship between vitamin D (VitD) and glucose homeostasis usually consider either total VitD or 25OHD3 but not 25OHD2 and epimers. We aimed to evaluate the cross-sectional association of VitD compounds with glucose homeostasis measurements in pregnant women with overweight/obesity participating [...] Read more.
Studies on the relationship between vitamin D (VitD) and glucose homeostasis usually consider either total VitD or 25OHD3 but not 25OHD2 and epimers. We aimed to evaluate the cross-sectional association of VitD compounds with glucose homeostasis measurements in pregnant women with overweight/obesity participating in the Vitamin D And Lifestyle Intervention for Gestational Diabetes Mellitus Prevention study. Methods: The analysis included 912 women. Inclusion criteria: <20 weeks gestation, body mass index ≥29 kg/m2 and information on exposure and outcome variables at baseline. Measurements: A 75 g OGTT at <20, 24–28 and 35–37 weeks gestation (except if previous diabetes diagnosis). Exposure variables: 25OHD2, 25OHD3 and C3-epimer. Outcome variables: fasting and post-challenge insulin sensitivity and secretion indices, corresponding disposition indices (DI), plasma glucose at fasting and 1 and 2 h, hyperglycemia in pregnancy (HiP). Statistics: Multivariate regression analyses with adjustment. Results: Baseline VitD sufficiency was 66.3%. Overall, VitD compounds did not show strong associations with any glucose homeostasis measures. 25OHD3 showed direct significant associations with: FPG at <20 and 24–28 weeks (standardized β coefficient (β) 0.124, p = 0.030 and 0.111, p = 0.026 respectively), 2 h plasma glucose at 24–28 weeks (β 0.120, p = 0.018), and insulin sensitivity (1/HOMA-IR, β 0.127, p = 0.027) at 35–37 weeks; it showed an inverse association with fasting DI (QUCKI*HOMA-β) at <20 and 24–28 weeks (β −0.124, p = 0.045 and β −0.148, p = 0.004 respectively). 25OHD2 showed direct associations with post-challenge insulin sensitivity (Matsuda, β 0.149, p = 0.048) at 24–28 weeks) and post-challenge DI (Matsuda*Stumvoll phase 1) at 24–28 and 35–37 weeks (β 0.168, p = 0.030, β 0.239, p = 0.006). No significant association with C3-epimer was observed at any time period. Conclusions: In these women with average baseline VitD in sufficiency range, VitD compounds did not show clear beneficial associations with glucose homeostasis measures. Full article
(This article belongs to the Special Issue Vitamin D in Insulin Resistance)
Show Figures

Figure 1

20 pages, 9599 KB  
Article
Long-Term Vitamin D Deficiency Results in the Inhibition of Cell Proliferation and Alteration of Multiple Gastric Epithelial Cell Lineages in Mice
by Shaima Sirajudeen, Iltaf Shah, Mohammed Akli Ayoub, Sherif M. Karam and Asma Al Menhali
Int. J. Mol. Sci. 2022, 23(12), 6684; https://doi.org/10.3390/ijms23126684 - 15 Jun 2022
Cited by 5 | Viewed by 4153
Abstract
Over one billion people globally are vitamin D (VD) deficient. Studies on the biological roles of VD are numerous but very little on the stomach. This project aims to understand how gastric homeostasis is affected by VD deficiency caused by prolonged exposure to [...] Read more.
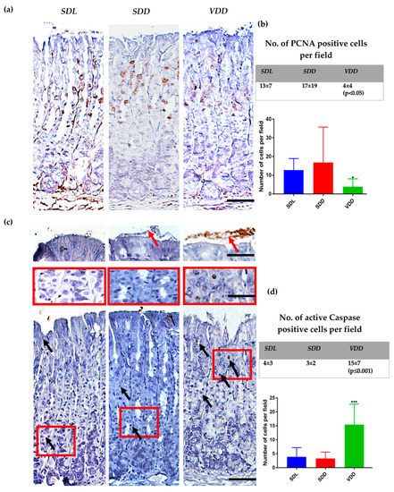
Over one billion people globally are vitamin D (VD) deficient. Studies on the biological roles of VD are numerous but very little on the stomach. This project aims to understand how gastric homeostasis is affected by VD deficiency caused by prolonged exposure to darkness alone or combined with VD deficient diet. Three groups of C57/BL6 mice were subjected to different light exposure conditions and diets for 12 months (n = 8–12/group): control—12 h/12 h light/dark SDL (Standard Diet/Light), 24 h dark SDD (Standard Diet/Dark), and 24 h dark VDD (VD deficient diet/Dark). Stomach samples were collected for different multi-label lectin-/immuno-histochemical and qRT-PCR analyses, and the serum for LC-MS-MS. We found that the membrane VD receptor is expressed widely in the stomach when compared to nuclear VD receptors. Compared to SDL, VDD mice developed mucous cell expansion with increased mucins-mRNA (3.27 ± 2.73 (p < 0.05)) increased apoptotic cells, 15 ± 7 (p ≤ 0.001)); decreased cell proliferation, 4 ± 4 (p < 0.05)) and decreased acid secretion 33 ± 2 μEq/kg (p ≤ 0.0001)). Interestingly, mice exposed to full darkness developed mild VD deficiency with higher VD epimer levels: 11.9 ± 2.08 ng/mL (p ≤ 0.0001)), expansion in zymogenic cell number (16 ± 3 (p ≤ 0.01)), and a reduction in acid secretion (18 ± 2 μEq/kg (p ≤ 0.0001)). In conclusion, changes in light exposure or VD levels have serious physiological effects on the gastric mucosa, which should be considered during the management of gastric disorders. Full article
(This article belongs to the Section Bioactives and Nutraceuticals)
Show Figures

Figure 1

14 pages, 2178 KB  
Article
An LC-MS/MS Method for Analysis of Vitamin D Metabolites and C3 Epimers in Mice Serum: Oral Supplementation Compared to UV Irradiation
by Amir Sohail, Asma Al Menhali, Soleiman Hisaindee and Iltaf Shah
Molecules 2021, 26(17), 5182; https://doi.org/10.3390/molecules26175182 - 26 Aug 2021
Cited by 9 | Viewed by 5146
Abstract
Introduction: The most common forms of vitamin D in human and mouse serum are vitamin D3 and vitamin D2 and their metabolites. The aim of this study is to determine whether diet and sunlight directly affect the circulating concentrations of vitamin D metabolites [...] Read more.
Introduction: The most common forms of vitamin D in human and mouse serum are vitamin D3 and vitamin D2 and their metabolites. The aim of this study is to determine whether diet and sunlight directly affect the circulating concentrations of vitamin D metabolites in a mouse model. We investigated the serum concentrations of eight vitamin D metabolites—vitamin D (vitamin D3 + vitamin D2), 25OHD (25OHD3 + 25OHD2), 1α25(OH)2D (1α25(OH)2D2, and 1α25(OH)2D3)—including their epimer, 3-epi-25OHD (3-epi-25OHD3 and 3-epi-25OHD2), and a bile acid precursor 7alpha-hydroxy-4-cholesten-3-one (7αC4), which is known to cause interference in liquid chromatography-tandem mass spectrometry (LC-MS/MS) analysis. Method: The LC-MS/MS method was validated according to FDA-US guidelines. The validated method was used for the analysis of mouse serum samples. Forty blood samples from mice were collected and divided into three groups. The first group, the DDD mice, were fed a vitamin D-deficient diet (25 IU VD3/kg of diet) and kept in the dark; the second group, the SDD mice, were maintained on a standard-vitamin D diet (1000 IU VD3) and kept in the dark; and the third group, SDL, were fed a standard-vitamin D diet (1000 IU VD3) but kept on a normal light/dark cycle. LC-MS/MS was used for the efficient separation and quantitation of all the analytes. Results: The validated method showed good linearity and specificity. The intraday and interday precision were both <16%, and the accuracy across the assay range was within 100 ± 15%. The recoveries ranged between 75 and 95%. The stability results showed that vitamin D metabolites are not very stable when exposed to continuous freeze–thaw cycles; the variations in concentrations of vitamin D metabolites ranged between 15 and 60%. The overlapping peaks of vitamin D, its epimers, and its isobar (7αC4) were resolved using chromatographic separation. There were significant differences in the concentrations of all metabolites of vitamin D between the DDD and SDL mice. Between the groups SDD (control) and SDL, a significant difference in the concentrations of 3-epi-25OHD was noted, where C3 epimer was about 30% higher in SDL group while no significant differences were noted in the concentrations of vitamin D, 25OHD, 1α25(OH)2D, and 7αC4 between SDD and SDL group. Conclusions: A validated method, combined with a simple extraction technique, for the sensitive LC-MS/MS determination of vitamin D metabolites is described here. The method can eliminate the interferences in LC-MS/MS analysis caused by the overlapping epimer and isobar due to them having the same molecular weights as 25OHD. The validated method was applied to mouse serum samples. It was concluded that a standard-vitamin D diet causes an increase in the proportion of all the vitamin D metabolites and C3 epimers and isobar, while UV light has no pronounced effect on the concentrations of the majority of the vitamin D metabolites except 3-epi-25OHD. Further studies are required to confirm this observation in humans and to investigate the biochemical pathways related to vitamin D’s metabolites and their epimers. Full article
(This article belongs to the Special Issue Application of LC–MS/MS to Biochemistry)
Show Figures

Figure 1

44 pages, 2913 KB  
Review
Vitamin D Metabolism and Profiling in Veterinary Species
by Emma A. Hurst, Natalie Z. Homer and Richard J. Mellanby
Metabolites 2020, 10(9), 371; https://doi.org/10.3390/metabo10090371 - 15 Sep 2020
Cited by 38 | Viewed by 10914
Abstract
The demand for vitamin D analysis in veterinary species is increasing with the growing knowledge of the extra-skeletal role vitamin D plays in health and disease. The circulating 25-hydroxyvitamin-D (25(OH)D) metabolite is used to assess vitamin D status, and the benefits of analysing [...] Read more.
The demand for vitamin D analysis in veterinary species is increasing with the growing knowledge of the extra-skeletal role vitamin D plays in health and disease. The circulating 25-hydroxyvitamin-D (25(OH)D) metabolite is used to assess vitamin D status, and the benefits of analysing other metabolites in the complex vitamin D pathway are being discovered in humans. Profiling of the vitamin D pathway by liquid chromatography tandem mass spectrometry (LC-MS/MS) facilitates simultaneous analysis of multiple metabolites in a single sample and over wide dynamic ranges, and this method is now considered the gold-standard for quantifying vitamin D metabolites. However, very few studies report using LC-MS/MS for the analysis of vitamin D metabolites in veterinary species. Given the complexity of the vitamin D pathway and the similarities in the roles of vitamin D in health and disease between humans and companion animals, there is a clear need to establish a comprehensive, reliable method for veterinary analysis that is comparable to that used in human clinical practice. In this review, we highlight the differences in vitamin D metabolism between veterinary species and the benefits of measuring vitamin D metabolites beyond 25(OH)D. Finally, we discuss the analytical challenges in profiling vitamin D in veterinary species with a focus on LC-MS/MS methods. Full article
(This article belongs to the Special Issue Steroid Profiling in Health and Disease)
Show Figures

Figure 1

16 pages, 2029 KB  
Review
Epimers of Vitamin D: A Review
by Bashar Al-Zohily, Asma Al-Menhali, Salah Gariballa, Afrozul Haq and Iltaf Shah
Int. J. Mol. Sci. 2020, 21(2), 470; https://doi.org/10.3390/ijms21020470 - 11 Jan 2020
Cited by 87 | Viewed by 8639
Abstract
In this review, we discuss the sources, formation, metabolism, function, biological activity, and potency of C3-epimers (epimers of vitamin D). We also determine the role of epimerase in vitamin D-binding protein (DBP) and vitamin D receptors (VDR) according to different subcellular localizations. The [...] Read more.
In this review, we discuss the sources, formation, metabolism, function, biological activity, and potency of C3-epimers (epimers of vitamin D). We also determine the role of epimerase in vitamin D-binding protein (DBP) and vitamin D receptors (VDR) according to different subcellular localizations. The importance of C3 epimerization and the metabolic pathway of vitamin D at the hydroxyl group have recently been recognized. Here, the hydroxyl group at the C3 position is orientated differently from the alpha to beta orientation in space. However, the details of this epimerization pathway are not yet clearly understood. Even the gene encoding for the enzyme involved in epimerization has not yet been identified. Many published research articles have illustrated the biological activity of C3 epimeric metabolites using an in vitro model, but the studies on in vivo models are substantially inadequate. The metabolic stability of 3-epi-1α,25(OH)2D3 has been demonstrated to be higher than its primary metabolites. 3-epi-1 alpha, 25 dihydroxyvitamin D3 (3-epi-1α,25(OH)2D3) is thought to have fewer calcemic effects than non-epimeric forms of vitamin D. Some researchers have observed a larger proportion of total vitamin D as C3-epimers in infants than in adults. Insufficient levels of vitamin D were found in mothers and their newborns when the epimers were not included in the measurement of vitamin D. Oral supplementation of vitamin D has also been found to potentially cause increased production of epimers in mice but not humans. Moreover, routine vitamin D blood tests for healthy adults will not be significantly affected by epimeric interference using LC–MS/MS assays. Recent genetic models also show that the genetic determinants and the potential factors of C3-epimers differ from those of non-C3-epimers.Most commercial immunoassays techniques can lead to inaccurate vitamin D results due to epimeric interference, especially in infants and pregnant women. It is also known that the LC–MS/MS technique can chromatographically separate epimeric and isobaric interference and detect vitamin D metabolites sensitively and accurately. Unfortunately, many labs around the world do not take into account the interference caused by epimers. In this review, various methods and techniques for the analysis of C3-epimers are also discussed. The authors believe that C3-epimers may have an important role to play in clinical research, and further research is warranted. Full article
Show Figures

Figure 1

29 pages, 2498 KB  
Review
A Narrative Role of Vitamin D and Its Receptor: With Current Evidence on the Gastric Tissues
by Shaima Sirajudeen, Iltaf Shah and Asma Al Menhali
Int. J. Mol. Sci. 2019, 20(15), 3832; https://doi.org/10.3390/ijms20153832 - 5 Aug 2019
Cited by 91 | Viewed by 17839
Abstract
Vitamin D is a major steroid hormone that is gaining attention as a therapeutic molecule. Due to the general awareness of its importance for the overall well-being, vitamin D deficiency (VDD) is now recognized as a major health issue. The main reason for [...] Read more.
Vitamin D is a major steroid hormone that is gaining attention as a therapeutic molecule. Due to the general awareness of its importance for the overall well-being, vitamin D deficiency (VDD) is now recognized as a major health issue. The main reason for VDD is minimal exposure to sunlight. The vitamin D receptor (VDR) is a member of the steroid hormone receptors that induces a cascade of cell signaling to maintain healthy Ca2+ levels that serve to regulate several biological functions. However, the roles of vitamin D and its metabolism in maintaining gastric homeostasis have not yet been completely elucidated. Currently, there is a need to increase the vitamin D status in individuals worldwide as it has been shown to improve musculoskeletal health and reduce the risk of chronic illnesses, including some cancers, autoimmune and infectious diseases, type 2 diabetes mellitus, neurocognitive disorders, and general mortality. The role of vitamin D in gastric homeostasis is crucial and unexplored. This review attempts to elucidate the central role of vitamin D in preserving and maintaining the overall health and homeostasis of the stomach tissue. Full article
Show Figures

Figure 1

7 pages, 206 KB  
Commentary
The Road Not So Travelled: Should Measurement of Vitamin D Epimers during Pregnancy Affect Our Clinical Decisions?
by Spyridon N. Karras, Kalliopi Kotsa, Elena Angeloudi, Pantelis Zebekakis and Declan P. Naughton
Nutrients 2017, 9(2), 90; https://doi.org/10.3390/nu9020090 - 28 Jan 2017
Cited by 9 | Viewed by 4541
Abstract
Observational studies suggest an adverse effect of maternal hypovitaminosis D during pregnancy. However, intervention studies failed to show convincing benefit from vitamin D supplementation during pregnancy. With analytical advances, vitamin D can now be measured in ten forms—including as epimers—which were thought to [...] Read more.
Observational studies suggest an adverse effect of maternal hypovitaminosis D during pregnancy. However, intervention studies failed to show convincing benefit from vitamin D supplementation during pregnancy. With analytical advances, vitamin D can now be measured in ten forms—including as epimers—which were thought to be biologically inactive, but can critically impair immunoassays. The aim of this commentary is to highlight the potential clinical and analytical significance of vitamin D epimers in the interpretation of vitamin D roles in pregnancy. Epimers may contribute a considerable proportion of total vitamin D—especially in the neonate—which renders the majority of common assays questionable. Furthermore, epimers have been suggested to have activity in laboratory studies, and evidence suggests that the fetus contributes significantly to epimer production. Maternal epimer levels contribute significantly to predict neonate circulating 25-hydroxyvitamin D concentrations. In conclusion, the existence of various vitamin D forms (such as epimers) has been established, and their clinical significance remains obscure. These results underscore the need for accurate measurements to appraise vitamin D status, in order to understand the current gap between observational and supplementation studies on the field. Full article
Back to TopTop