Sign in to use this feature.

Years

Between: -

Subjects

remove_circle_outline
remove_circle_outline
remove_circle_outline
remove_circle_outline
remove_circle_outline
remove_circle_outline
remove_circle_outline
remove_circle_outline
remove_circle_outline

Journals

remove_circle_outline
remove_circle_outline
remove_circle_outline
remove_circle_outline
remove_circle_outline
remove_circle_outline
remove_circle_outline
remove_circle_outline
remove_circle_outline
remove_circle_outline
remove_circle_outline
remove_circle_outline
remove_circle_outline

Article Types

Countries / Regions

remove_circle_outline
remove_circle_outline
remove_circle_outline
remove_circle_outline
remove_circle_outline

Search Results (1,170)

Search Parameters:
Keywords = ultra-structural changes

Order results
Result details
Results per page
Select all
Export citation of selected articles as:
14 pages, 1259 KB  
Article
Breast-Cancer-Derived Secretomes from MCF-7 Cells Modulate Bacterial Pathogenic Traits
by Suha M. Mahmood, Huda K. Al-Nasrallah, Alanoud Aldossry, Mysoon M. Al-Ansari and Monther Al-Alwan
Int. J. Mol. Sci. 2026, 27(4), 2073; https://doi.org/10.3390/ijms27042073 - 23 Feb 2026
Abstract
Breast cancer is the most frequently diagnosed malignancy among women worldwide, with the luminal A subtype being the most prevalent. Several studies have reported a complex interplay between breast cancer cells and the local microbiome; however, the mechanisms by which tumor cell-secreted factors [...] Read more.
Breast cancer is the most frequently diagnosed malignancy among women worldwide, with the luminal A subtype being the most prevalent. Several studies have reported a complex interplay between breast cancer cells and the local microbiome; however, the mechanisms by which tumor cell-secreted factors influence bacterial biological properties remain insufficiently explored. In this study, we established an in vitro model that partially recapitulates the luminal A breast cancer microenvironment by exposing three breast-associated bacterial species, Pseudomonas aeruginosa, Enterococcus faecalis, and Escherichia coli, to conditioned media (CM) derived from MCF-7 (tumor) or MCF-10A (non-tumor control) cell lines. A combination of complementary approaches, including ultrastructural morphological assessment, biofilm formation assays, antimicrobial susceptibility testing, and virulence gene abundance profiling by genomic qPCR, was employed to reveal distinct tumor-microbiota interactions. Exposure to MCF-7 CM induced dose-dependent structural alterations in P. aeruginosa and E. faecalis, with pronounced membrane blebbing and structural disruption in E. faecalis. Biofilm formation was differentially modulated in a species- and concentration-dependent manner, with a persistent increase observed in E. coli. Antibiotic susceptibility profiles were selectively altered in E. faecalis, which displayed increased sensitivity to vancomycin, penicillin, and imipenem, along with decreased sensitivity to chloramphenicol. P. aeruginosa exhibited increased sensitivity to imipenem along with reduced sensitivity to meropenem and gentamicin, whereas no significant changes were observed in E. coli. qPCR analyses demonstrated that MCF-7 CM was associated with enrichment of multiple virulence-associated genes (e.g., lasB, exoS, pilB, plcH, fsrC, esp, fimH, and papG), reflecting enhanced pathogenic and adhesive potential. Collectively, these findings suggest that luminal A breast cancer-derived factors can reprogram microbial phenotypes in a species-specific manner, providing mechanistic insight into breast tumor-microbiome crosstalk and a platform to explore microbiome-targeted interventions. Full article
(This article belongs to the Special Issue Interplay Between the Human Microbiome and Diseases)
Show Figures

Figure 1

22 pages, 3924 KB  
Article
Simulated Aging Studies on Porcelain Restoration Adhesives for Conservation in Chinese Museums
by Kaixun Chen, Guanqun Xu, Kai Wang, Maolin Zhang, Yanting Zhong, Feng Yuan and Zihan Li
Materials 2026, 19(4), 808; https://doi.org/10.3390/ma19040808 - 20 Feb 2026
Viewed by 179
Abstract
The rapid development of archaeology in China has led to the excavation of numerous fragmented porcelain artifacts, for which adhesive materials play a critical role in conservation and restoration. The long-term stability of these adhesives directly affects the structural safety and visual integrity [...] Read more.
The rapid development of archaeology in China has led to the excavation of numerous fragmented porcelain artifacts, for which adhesive materials play a critical role in conservation and restoration. The long-term stability of these adhesives directly affects the structural safety and visual integrity of restored objects. In this study, four adhesives widely used in Chinese conservation practice—epoxy resin Hezhong AAA, epoxy resin Hongxing 509, acrylic resin Paraloid B-72, and cyanoacrylate adhesive 502—were systematically investigated through simulated cyclic aging experiments. A multi-analytical approach was employed, including ultra-depth-of-field microscopy, CIE Lab* colorimetric analysis, pencil hardness testing, and Fourier transform infrared spectroscopy (FTIR). The results reveal distinct aging behaviors among different adhesive types. Epoxy resin adhesives exhibit high initial hardness and pronounced hardening during aging, with coating hardness increasing from the B range to the H range after 15 aging cycles; however, they also show significant yellowing, with total color differences (ΔE) exceeding 10 and dominated by increases in the b* parameter. Paraloid B-72 maintains excellent color stability throughout aging, with ΔE values consistently below 2, although it shows limited thermal stability and delayed physical stabilization. The cyanoacrylate adhesive 502 demonstrates rapid curing and minimal discoloration but undergoes embrittlement and interfacial debonding during aging, indicating reduced long-term bonding reliability. By correlating macroscopic performance evolution with molecular-level chemical changes, this study elucidates the aging mechanisms of commonly used restoration adhesives and provides a scientific basis for adhesive selection, risk assessment, and long–term preservation strategies in porcelain conservation. Full article
Show Figures

Figure 1

16 pages, 1948 KB  
Article
Development and Validation of a UPLC-MS/MS Method for the Quantification of Amantadine in Rat Plasma: Application to a Pharmacokinetic Study Under High-Altitude Hypoxia and Mechanistic Insights
by Chang Wang, Wen Yan, Yingfei Zhang, Jinwen Wang, Jingyang Fang, Yuliang Ma, Qian Ji, Yuemei Sun, Wenbin Li and Rong Wang
Pharmaceuticals 2026, 19(2), 312; https://doi.org/10.3390/ph19020312 - 13 Feb 2026
Viewed by 167
Abstract
Background/Objectives: This study aimed to develop an ultra-performance liquid chromatography–tandem mass spectrometry (UPLC-MS/MS) method for quantifying amantadine (AMA) in rat plasma and to investigate its pharmacokinetics under simulated high-altitude hypoxia, contrasting its behavior with that of its structural analog memantine (MEM). Methods [...] Read more.
Background/Objectives: This study aimed to develop an ultra-performance liquid chromatography–tandem mass spectrometry (UPLC-MS/MS) method for quantifying amantadine (AMA) in rat plasma and to investigate its pharmacokinetics under simulated high-altitude hypoxia, contrasting its behavior with that of its structural analog memantine (MEM). Methods: The method entailed using memantine (MEM) as an internal standard. Sample preparation involved protein precipitation, followed by gradient elution with detection via positive electrospray ionization and selective reaction monitoring (SRM). The method validation complied with the International Conference on Harmonization (ICH) M10 guidelines. Pharmacokinetic studies were conducted in rats exposed to either low altitude (1500 m) or simulated high altitude (6500 m) after a single oral dose of AMA (10 mg/kg). Results: The assay demonstrated linearity from 5 to 1000 µg/L, with accuracy, precision, recovery, and stability all meeting the respective acceptance criteria. Hypoxia did not significantly alter systemic exposure to AMA, as measured by parameters such as the area under the concentration–time curve (AUC), maximum concentration (Cmax), and apparent clearance (CLz/F). However, hypoxia prolonged the elimination half-life by 55% and increased the variance in the mean residence time. This finding contrasts sharply with our previous results on MEM under identical hypoxic conditions, which showed a 72.15% increase in AUC and a 41.99% decrease in CLz/F. Conclusions: A robust UPLC-MS/MS method for quantifying AMA was successfully established. AMA exhibits unique pharmacokinetic resilience to acute hypoxia, characterized by increased variability in elimination without changes in overall exposure. This profile starkly differs from the heightened exposure and reduced clearance observed for drugs like MEM, which are predominantly cleared by hepatic metabolism (under the studied conditions). These findings are consistent with the concept that a drug’s primary elimination pathway (renal excretion vs. hepatic metabolism) critically determines its pharmacokinetic susceptibility to hypoxic stress. Full article
(This article belongs to the Section Pharmaceutical Technology)
Show Figures

Graphical abstract

19 pages, 4914 KB  
Article
Cell Damage, Toxicity and Bacterial Diversity Shifts of Microcystis and Oscillatoria Cultures Treated with Bacterial Isolates
by Luyanda Lindelwa Ndlela, James Wesley-Smith, Paul Johan Oberholster and Monique Smit
Phycology 2026, 6(1), 25; https://doi.org/10.3390/phycology6010025 - 11 Feb 2026
Viewed by 226
Abstract
The mitigation of toxic cyanobacterial blooms is a much-researched and ongoing challenge. Seasonal influences, microbial diversity, and the wide range of cyanotoxins known to be associated with cyanobacterial blooms add layers of complexity to these environmental threats. Strategies to remediate blooms must avoid [...] Read more.
The mitigation of toxic cyanobacterial blooms is a much-researched and ongoing challenge. Seasonal influences, microbial diversity, and the wide range of cyanotoxins known to be associated with cyanobacterial blooms add layers of complexity to these environmental threats. Strategies to remediate blooms must avoid inducing widespread cell lysis and the release of cyanotoxins, which would compound rather than address the problem. Bacterial isolates have been found to be effective in bloom mitigation and can impact the diversity associated with the bloom. The present study reports on the exposure of non-axenic cultures of colonial Microcystis sp. and filamentous Oscillatoria sp. isolated from dams in South Africa to low ratios of four antagonistic bacterial isolates for 4 days. TEM was used to assess ultrastructural changes, HPLC to determine the relative concentrations of microcystin-LR and RR, and next-generation sequencing (NGS) to explore possible shifts in diversity from control samples as a result of exposure to the biological control bacterial isolates used. Ultrastructurally, Microcystis showed greater signs of stress than cells of Oscillatoria, with isolate 1 (Aeromonas lacus) having the least effect overall, whilst Isolate B (Lysinibacillus) and 3Y (Pseudomonas sp.) induced cell lysis in Microcystis. All isolates reduced the concentration of the toxic microcystin-LR, while the -RR variant often increased after 4 days. Minimal diversity shifts were noted in Microcystis-treated cultures, whilst those of Oscillatoria showed a greater diversity shift, indicating an increase in families containing isolates linked to bloom decline. Full article
(This article belongs to the Collection Harmful Microalgae)
Show Figures

Figure 1

14 pages, 7343 KB  
Article
Symbiotic Germination in Cattleya purpurata: An Ultrastructural Journey from Fungal Dependence to Autotrophy
by Eliana de Medeiros Oliveira, Kelly Besen, Lucas Camargo dos Santos, Mateus Felipe Uller, Paulo Emilio Lovato, Miguel Pedro Guerra and Juliana Lischka Sampaio Mayer
Plants 2026, 15(4), 543; https://doi.org/10.3390/plants15040543 - 10 Feb 2026
Viewed by 398
Abstract
Orchids depend on mycorrhizal fungi for seed germination, a critical process especially for endangered species such as Cattleya purpurata. This study elucidates the ultrastructural ontogeny of the symbiosis between C. purpurata and the fungus Tulasnella sp. We demonstrate a defined spatiotemporal colonization [...] Read more.
Orchids depend on mycorrhizal fungi for seed germination, a critical process especially for endangered species such as Cattleya purpurata. This study elucidates the ultrastructural ontogeny of the symbiosis between C. purpurata and the fungus Tulasnella sp. We demonstrate a defined spatiotemporal colonization pattern: hyphae penetrate exclusively via suspensor cells, migrate through the basal region of the embryo, and only then colonize the apical region. Upon colonization, the fungus triggers changes in the embryonic cells, including nuclear hypertrophy and peloton formation. Ultrastructural analysis revealed a sequence of fungal degradation, from intact hyphae to senescent hyphae containing myelin-like bodies and an electron-dense cytoplasm, suggesting that programmed senescence precedes peloton digestion. This supports the novel hypothesis of active fungal participation in modulating its own digestion, challenging classical models. Simultaneously, embryonic cells exhibited rapid metabolic conversion, with the transition from proplastids to amyloplasts, and then to chloroplasts in less than 20 days, marking the onset of autotrophy. This integrated morphological study not only expands fundamental knowledge about symbiotic development in orchids but also provides an optimized protocol for producing symbiotic seedlings, offering a direct tool for the reintroduction and conservation of this species. Full article
(This article belongs to the Special Issue Microscopy Techniques in Plant Studies—2nd Edition)
Show Figures

Graphical abstract

17 pages, 3204 KB  
Article
A Transferable Digital Twin-Driven Process Design Framework for High-Performance Multi-Jet Polishing
by Honglei Mo, Xie Chen, Lingxi Guo, Zili Zhang, Xiao Chen, Jianning Chu and Ruoxin Wang
Micromachines 2026, 17(2), 226; https://doi.org/10.3390/mi17020226 - 10 Feb 2026
Viewed by 219
Abstract
The multi-jet polishing process (MJP) demonstrates high shape accuracy and surface quality in the machining of nonlinear and complex surfaces, and it achieves precise and adjustable material removal rates through computer control. However, there are still challenges in terms of machining efficiency, system [...] Read more.
The multi-jet polishing process (MJP) demonstrates high shape accuracy and surface quality in the machining of nonlinear and complex surfaces, and it achieves precise and adjustable material removal rates through computer control. However, there are still challenges in terms of machining efficiency, system complexity, and stability. In particular, maintaining the polishing quality presents a greater challenge when working conditions change. To overcome these issues, this paper conceptually proposes a digital twin (DT)-driven, human-centric design framework that integrates key factors of MJP, such as jet kinetic energy, nozzle structure, abrasive type, and machining path. Within this framework, a feature-encoded transfer learning-based model is introduced to enhance surface roughness prediction accuracy and robustness under varying working conditions. The effectiveness of the proposed model was verified by conducting experiments on 3D printed workpieces under two different MJP working conditions. The results show that our proposed method yields better predictive performance and cross-condition adaptability. Overall, this work provides a predictive modeling component that supports DT-driven process design, offering a practical and extensible perspective for optimizing complex ultra-precision manufacturing processes under data-scarce and uncertainty-dominated conditions. Full article
(This article belongs to the Special Issue Future Trends in Ultra-Precision Machining)
Show Figures

Figure 1

15 pages, 5503 KB  
Article
High-Uniformity Ultra-Broadband Composite Coatings for Large-Aperture Space Telescopes Using Dual-Ring Co-Evaporation
by Haifeng Wang, Jian Zhang, Xiaoyi Wang, Tongtong Wang, Zhenfeng Shen, Jingjie Pan, Haigui Yang and Zhen Liu
Coatings 2026, 16(2), 191; https://doi.org/10.3390/coatings16020191 - 3 Feb 2026
Viewed by 235
Abstract
In addressing the key technical challenges of achieving ultra-broadband and high film-thickness uniformity for meter-class large-aperture space telescopes, this study utilized a self-developed 4 m-class large-aperture thin-film deposition system. By employing plasma-assisted electron-beam evaporation technology and a co-evaporation method with inner and outer [...] Read more.
In addressing the key technical challenges of achieving ultra-broadband and high film-thickness uniformity for meter-class large-aperture space telescopes, this study utilized a self-developed 4 m-class large-aperture thin-film deposition system. By employing plasma-assisted electron-beam evaporation technology and a co-evaporation method with inner and outer dual-ring multi-evaporation sources, precise control of film-thickness uniformity within a 2 m range was achieved. A composite film structure combining a metal reflective layer and an ultraviolet-enhanced dielectric layer was adopted to realize high reflectivity across an ultra-broad spectrum from ultraviolet to long-wave infrared. Experimental results show that the average reflectance of the composite film reaches 91.52% in the 0.25~0.38 μm spectral band and 99.40% in the 0.38~12 μm spectral band. The thickness uniformity of ZrO2 and MgF2 films within the 2 m aperture area was controlled at 1.37% and 3.12%, respectively, meeting the requirements for high uniformity in large-aperture space applications. Radiation testing confirmed that the change in film reflectance is less than 1% under a total irradiation dose of 3.66 × 108 rad(Si), satisfying the demands for operation in harsh space environments. This research provides an innovative solution for thin-film technology in large-aperture, ultra-broad-spectrum space optical systems and holds significant value for engineering applications. Full article
(This article belongs to the Section Thin Films)
Show Figures

Figure 1

23 pages, 7519 KB  
Article
Characteristics and Microstructure of Coatings of Ultradisperse TiB2-TiAl Electrodes with Nanosized Additives Deposited on Ti-Gr2 by Non-Contact Electrospark Deposition
by Georgi Kostadinov, Antonio Nikolov, Yavor Sofronov, Todor Penyashki, Valentin Mishev, Boriana Tzaneva, Rayna Dimitrova, Krum Petrov, Radoslav Miltchev and Todor Gavrilov
Materials 2026, 19(3), 572; https://doi.org/10.3390/ma19030572 - 2 Feb 2026
Viewed by 205
Abstract
The article considers issues related to improving the surface characteristics of titanium Gr2 using one of the lightest, cheapest and most ecological methods—electrospark deposition with low pulse energy and with ultradisperse electrodes TiB2-TiAl with nanosized additives of NbC and ZrO2 [...] Read more.
The article considers issues related to improving the surface characteristics of titanium Gr2 using one of the lightest, cheapest and most ecological methods—electrospark deposition with low pulse energy and with ultradisperse electrodes TiB2-TiAl with nanosized additives of NbC and ZrO2. Using profilometric, metallographic, XRD, SEM and EDS methods, the change in the geometric characteristics, composition, structure, micro and nanohardness of the coatings as a function of the electrical parameters of the ESD regime has been studied. The results show that the use of TiB2-TiAl electrodes and low pulse energy allows the formation of dense, continuous and uniform coatings that demonstrate a significant reduction in roughness, inherent irregularities and structural defects of electrospark coatings. Coatings with minimal defects, with crystalline–amorphous structures, with newly formed intermetallic and wear-resistant double and triple phases of the type AlTi3, TiAl3, TiB, TiN0.3, Al2O3, AlB2, TiC0.3N0.7, Ti3.2B1.6N2.4, Al2.86O3.45N0.55 have been obtained. Possibilities have been found for controlling and obtaining specific values for the roughness and thickness of coatings in the ranges Ra = 1.5–3.2 µm and δ = 8–19.5 µm, respectively. The electrical parameters of the modes ensure the production of coatings with previously known thickness and roughness, with increased microhardness up to 13 GPa, with the maximum possible content of deliberately synthesized high-hard phases and with ultra-fine-grained structures have been defined. Full article
Show Figures

Graphical abstract

11 pages, 1643 KB  
Article
In Silico Analysis of Already Published DNAH6 Mutations: Correlating Structural, Mechanical, Microstructural, and Axonemal Assembly Impacts with Reproductive Health Phenotypes
by Tajamul Hussain
Reprod. Med. 2026, 7(1), 7; https://doi.org/10.3390/reprodmed7010007 - 2 Feb 2026
Viewed by 158
Abstract
Background/Objectives: Dynein axonemal heavy chain (DNAH) genes, including DNAH6, are implicated in male infertility, particularly multiple morphological abnormalities of the spermatozoa flagellum (MMAF). However, an underlying mechanism is unclear. Methods: This in silico study analyzed 19 previously reported DNAH6 mutations to [...] Read more.
Background/Objectives: Dynein axonemal heavy chain (DNAH) genes, including DNAH6, are implicated in male infertility, particularly multiple morphological abnormalities of the spermatozoa flagellum (MMAF). However, an underlying mechanism is unclear. Methods: This in silico study analyzed 19 previously reported DNAH6 mutations to elucidate their effects on the structural, mechanical, and microstructural aspects and axonemal assembly of flagellum and how these changes impact reproductive health, correlating with pathogenicity scores, ATP binding capacity, and protein interactions. Results: DNAH mutations were associated with CDGP (52.63%), male infertility (36.84%), and primary ovarian insufficiency (10.53%). MMAF-linked mutations exhibited higher SNAP2 scores (57.25 ± 5.68 vs. −32.58 ± 44.85, p = 0.002), reduced ATP binding affinity (−6.27 ± 4.20 vs. −8.92 ± 0.23 kcal/mol, p = 0.05), and smaller catalytic cavity size (17,646 ± 13,005 vs. 27190 ± 3485 Å3, p = 0.04). These mutations showed reduced DNAH6-CLIP4 binding affinity (−303.90 ± 5.23 vs. −313.60 ± 4.28 kcal/mol, p = 0.002). Literature-based semen analysis revealed correlations between Phred scores and absent flagella (r = 0.952, p = 0.012) and inverse correlations between ATP binding capacity and absent flagella (r = −0.902, p = 0.036) or irregular width (r = −0.949, p = 0.014). A mathematical model of ATP binding kinetics predicted reduced flagellar motility in MMAF mutants due to impaired dynein function. Ultrastructural analyses indicated that high pathogenicity scores and reduced ATP binding correlate with absent inner dynein arms and radial spokes, while impaired DNAH6-CLIP4 interactions disrupt axonemal assembly. Conclusions: In silico analyses, integrated with microstructural, axonemal, and mathematical modeling data, demonstrate that DNAH6 mutations cause MMAF by impairing ATP binding, protein interactions, and axonemal assembly, leading to severe flagellar dysfunction and thereby negatively affecting reproductive health. Full article
Show Figures

Figure 1

29 pages, 12243 KB  
Article
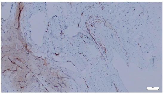
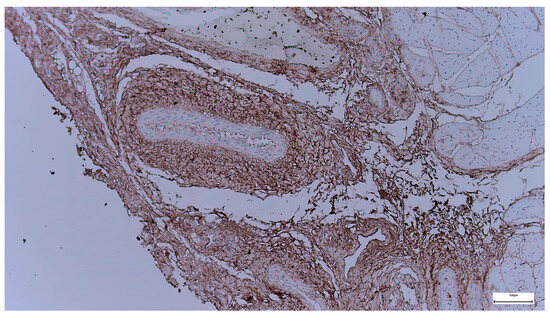
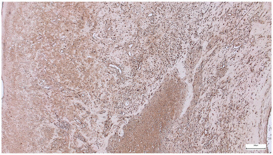
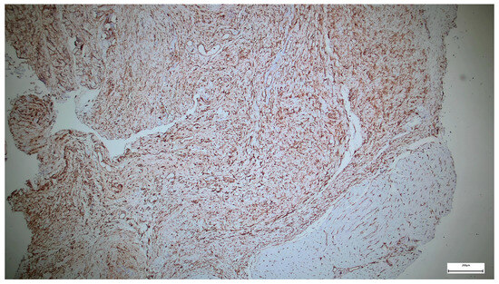
Ultrastructural and Immunohistochemical Alterations in Muscle and Vascular Tissues in Patients with Omphalocele
by Dina Rosca-Al Namat, Adrian Romulus Rosca, Delia Hînganu, Ludmila Lozneanu, Fabian Cezar Lupu, Elena Hanganu, Elena Tarca, Jana Bernic, Nadia Al Namat, Razan Al Namat and Marius Valeriu Hînganu
Int. J. Mol. Sci. 2026, 27(3), 1460; https://doi.org/10.3390/ijms27031460 - 1 Feb 2026
Viewed by 189
Abstract
Omphalocele is a congenital abdominal wall defect whose underlying muscular and fascial structural characteristics remain incompletely understood. This study aimed to investigate the anatomical and ultrastructural features of the abdominal wall in patients with omphalocele to provide additional insight into tissue organization at [...] Read more.
Omphalocele is a congenital abdominal wall defect whose underlying muscular and fascial structural characteristics remain incompletely understood. This study aimed to investigate the anatomical and ultrastructural features of the abdominal wall in patients with omphalocele to provide additional insight into tissue organization at the defect margins. We report a series of 11 term-born patients diagnosed with omphalocele between 2024 and 2025 who were admitted to a pediatric surgery department for operative management. Following informed consent from legal guardians, two small intraoperative biopsies were obtained during surgical repair from the rectus abdominis muscle and its anterior aponeurosis, sampled from the supraumbilical and subumbilical regions. Tissue specimens were fixed within 48 h and analyzed using conventional histopathology and scanning electron microscopy to assess potential structural and ultrastructural alterations. The combined microscopic approaches allowed for a detailed evaluation of muscle and aponeurotic architecture in different abdominal regions. These observations contribute to a more comprehensive understanding of abdominal wall tissue characteristics in omphalocele and may support improved interpretation of the structural changes associated with this congenital condition. Full article
(This article belongs to the Section Molecular Pathology, Diagnostics, and Therapeutics)
Show Figures

Figure 1

12 pages, 2766 KB  
Article
The Approximate Subcutaneous LD50 and Associated Lesions Induced by Ivalin, Extracted and Purified from Geigeria aspera Harv., in Sprague–Dawley Rats
by Sara Locke, Christo Botha, Sarah Clift and Antoinette Lensink
Molecules 2026, 31(3), 478; https://doi.org/10.3390/molecules31030478 - 29 Jan 2026
Viewed by 188
Abstract
“Vomiting disease” in ruminants is one of the most economically significant phytotoxicities in South Africa and is caused by chronic ingestion of sesquiterpene lactone compounds present in plants of the Geigeria genus. Affected livestock demonstrate mortality due to actin and myosin damage in [...] Read more.
“Vomiting disease” in ruminants is one of the most economically significant phytotoxicities in South Africa and is caused by chronic ingestion of sesquiterpene lactone compounds present in plants of the Geigeria genus. Affected livestock demonstrate mortality due to actin and myosin damage in the striated musculature; however, a validated parental-exposure laboratory animal model would be useful for further study of the toxicodynamics. We exposed Sprague–Dawley rats to ivalin in a sequential dosing procedure and evaluated clinical signs, mortality, histopathology and muscle ultrastructure. Three of the five exposed rats died acutely, and a maximum likelihood estimate method was used to calculate a Median Lethality (LD50) of 135.4 mg/kg Body Weight (BW). Striated muscle in exposed rats showed only minimal and inconsistent histopathological and ultrastructural changes. Subcutaneous ivalin exposure causes acute mortality with minimal muscle pathology, contrasting with the more protracted muscular disease seen in ruminants after plant ingestion. This suggests toxicity by parenteral exposure is due to another mechanism, most likely mitochondrial energy pathway disturbances. Whilst subcutaneously exposed rats do not appear to provide a suitable model for oral sesquiterpene lactone exposure in ruminants, this study provides a starting dose for further investigation of plant extracts in both species. Full article
Show Figures

Graphical abstract

10 pages, 1213 KB  
Brief Report
Chemical and Ultrastructural Changes in the Cuticle Observed in RabA2b Overexpressing Plants
by Opal Bechar, Sanaa Musa, Boris Fichtman, Ifat Matityahu and Yehoram Leshem
Plants 2026, 15(3), 408; https://doi.org/10.3390/plants15030408 - 29 Jan 2026
Viewed by 240
Abstract
The plant cuticle is a hydrophobic layer covering the cell wall that protects cells from pathogen invasion and water loss. In this study, we analyzed the cuticles of transgenic Arabidopsis thaliana plants overexpressing the vesicular trafficking small GTPase RabA2b. The RabA2b-overexpressing [...] Read more.
The plant cuticle is a hydrophobic layer covering the cell wall that protects cells from pathogen invasion and water loss. In this study, we analyzed the cuticles of transgenic Arabidopsis thaliana plants overexpressing the vesicular trafficking small GTPase RabA2b. The RabA2b-overexpressing plants exhibited distinctive structural and chemical modifications in their cuticles, including enhanced hair-like wax crystals and increased accumulation of phenolic compounds such as ferulic acid and coumaric acid, which contribute to cutin cross-linking and reinforcement of the cuticle matrix. These chemical and structural changes were associated with improved barrier function and increased drought resistance. Our findings suggest the involvement of RabA2b in affecting the plant cell’s exterior by altering the cuticle composition and architecture, thereby improving plant tolerance to water deficit. Full article
(This article belongs to the Special Issue Drought Responses and Adaptation Mechanisms in Plants, 2nd Edition)
Show Figures

Figure 1

31 pages, 1755 KB  
Review
Exercise Protects Skeletal Muscle Fibers from Age-Related Dysfunctional Remodeling of Mitochondrial Network and Sarcotubular System
by Feliciano Protasi, Matteo Serano, Alice Brasile and Laura Pietrangelo
Cells 2026, 15(3), 248; https://doi.org/10.3390/cells15030248 - 27 Jan 2026
Viewed by 510
Abstract
In skeletal muscles fibers, cellular respiration, excitation–contraction (EC) coupling (the mechanism that translates action potentials in Ca2+ release), and store-operated Ca2+ entry (SOCE, a mechanism that allows recovery of external Ca2+ during fatigue) take place in organelles specifically dedicated to [...] Read more.
In skeletal muscles fibers, cellular respiration, excitation–contraction (EC) coupling (the mechanism that translates action potentials in Ca2+ release), and store-operated Ca2+ entry (SOCE, a mechanism that allows recovery of external Ca2+ during fatigue) take place in organelles specifically dedicated to each function: (a) aerobic ATP production in mitochondria; (b) EC coupling in intracellular junctions formed by association between transverse tubules (TTs) and sarcoplasmic reticulum (SR) named triads; (c) SOCE in Ca2+ entry units (CEUs), SR-TT junctions that are in continuity with membranes of triads, but that contain a different molecular machinery (see Graphical Abstract). In the past 20 years, we have studied skeletal muscle fibers by collecting biopsies from humans and isolating muscles from animal models (mouse, rat, rabbit) under different conditions of muscle inactivity (sedentary aging, denervation, immobilization by casting) and after exercise, either after voluntary training in humans (running, biking, etc.) or in mice kept in wheel cages or after running protocols on a treadmill. In all these studies, we have assessed the ultrastructure of the mitochondrial network and of the sarcotubular system (i.e., SR plus TTs) by electron microscopy (EM) and then collected functional data correlating (i) the changes occurring with aging and inactivity with a loss-of-function, and (ii) the structural improvement/rescue after exercise with a gain-of-function. The picture that emerged from this long journey points to the importance of the internal architecture of muscle fibers for their capability to function properly. Indeed, we discovered how the intracellular organization of the mitochondrial network and of the membrane systems involved in controlling intracellular calcium concentration (i[Ca2+]) is finely controlled and remodeled by inactivity and exercise. In this manuscript, we give an integrated picture of changes caused by inactivity and exercise and how they may affect muscle function. Full article
(This article belongs to the Special Issue Skeletal Muscle: Structure, Physiology and Diseases)
Show Figures

Graphical abstract

26 pages, 425 KB  
Article
Ultra-Low-Power Energy Harvesters for IoT-Based Germination Systems: A Decision Framework Using Multi-Criteria Analysis
by Enrique García-Gutiérrez, Daniel Aguilar-Torres, Omar Jiménez-Ramírez, Eliel Carvajal-Quiroz and Rubén Vázquez-Medina
Technologies 2026, 14(2), 82; https://doi.org/10.3390/technologies14020082 - 27 Jan 2026
Viewed by 271
Abstract
The growing miniaturization of electronic systems and the expansion of sustainable, autonomous IoT technologies emphasize the need for efficient, ultra-low-power energy harvesting devices. This study evaluates fifteen devices from five industry leaders for use in small-scale autonomous seed germination systems. Its novelty lies [...] Read more.
The growing miniaturization of electronic systems and the expansion of sustainable, autonomous IoT technologies emphasize the need for efficient, ultra-low-power energy harvesting devices. This study evaluates fifteen devices from five industry leaders for use in small-scale autonomous seed germination systems. Its novelty lies in applying a competitive profile matrix within a flexible multicriteria evaluation framework based on the simple additive weighting (SAW) method that uses a comprehensive set of competitive technology factors (CTFs). The results demonstrate that a transparent and structured methodology can generate prioritized lists of suitable energy harvesters while accounting for technical, economic, and environmental trade-offs. The study also shows that device rankings depend on the scope and objectives of the project. If these change, then the CTF selection, classification, and weighting adjust accordingly. Therefore, the relevance of this study lies in the adaptability, replicability, and audibility of the proposed framework, which supports the selection of informed technology for autonomous, IoT-based germination systems and other technological projects. Full article
Show Figures

Figure 1

21 pages, 3411 KB  
Article
A Performance-Based Design Framework for Coupled Optimization of Urban Morphology and Thermal Comfort in High-Density Districts: A Case Study of Shenzhen
by Junhan Zhang, Juanli Guo, Weihao Liang and Hao Chang
Buildings 2026, 16(3), 496; https://doi.org/10.3390/buildings16030496 - 26 Jan 2026
Viewed by 246
Abstract
With accelerating urbanization and climate change, outdoor thermal comfort (OTC) in high-intensity urban blocks presents a critical challenge. While existing studies have established the general correlation between morphology and microclimate, most remain descriptive and lack a systematic framework to quantitatively integrate the non-linear [...] Read more.
With accelerating urbanization and climate change, outdoor thermal comfort (OTC) in high-intensity urban blocks presents a critical challenge. While existing studies have established the general correlation between morphology and microclimate, most remain descriptive and lack a systematic framework to quantitatively integrate the non-linear coupled effects between multi-dimensional morphological variables and green infrastructure. To address this, this study proposes an automated performance-based design (PBD) framework for urban morphology optimization in Shenzhen. Unlike traditional simulation-based analysis, this framework serves as a generative tool for urban renewal planning. It integrates a multi-dimensional design element system with a genetic algorithm (GA) workflow. Analysis across four urban typologies demonstrated that the Full Enclosure layout is the most effective strategy for mitigating thermal stress, achieving a final optimized UTCI of 37.15 °C. Crucially, this study reveals a non-linear synergistic mechanism: the high street aspect ratios (H/W) of enclosed forms act as a “radiation shelter”, which amplifies the cooling efficiency of green infrastructure (contributing an additional 1.79 °C reduction). This research establishes a significant, strong negative correlation between UTCI and the combined factors of building density and green shading coverage. The results provide quantifiable guidelines for retrofitting existing high-density districts, suggesting that maximizing structural shading is prioritized over ventilation in ultra-high-density, low-wind climates. Full article
(This article belongs to the Section Architectural Design, Urban Science, and Real Estate)
Show Figures

Figure 1

Back to TopTop