Sign in to use this feature.

Years

Between: -

Subjects

remove_circle_outline
remove_circle_outline
remove_circle_outline
remove_circle_outline

Journals

Article Types

Countries / Regions

Search Results (21)

Search Parameters:
Keywords = slow transit constipation

Order results
Result details
Results per page
Select all
Export citation of selected articles as:
23 pages, 1820 KB  
Article
The Genetic and Embryo–Fetal Developmental Toxicity Profile of the Novel Transgelin Agonist Deg-AZM: Ames, Micronucleus, Chromosomal Aberration, and Rat EFD Studies
by Xiaoting Gu, Ying Xu, Nannan Liu, Keran Li, Xiaoting Wang, Jia Zhang, Xiaoting Zhang, Yanjie Ding, Xiaohe Li, Honggang Zhou, Xiaoyu Ai and Cheng Yang
Biomedicines 2025, 13(11), 2600; https://doi.org/10.3390/biomedicines13112600 - 23 Oct 2025
Viewed by 646
Abstract
Background: Slow-transit constipation (STC) lacks durable and safe prokinetics. Deglycosylated-azithromycin (Deg-AZM), a novel small-molecule transgelin agonist that restores colonic motility in STC, has been approved for clinical trials in 2024. Objectives: This study aimed to assess the genetic toxicity and embryo–fetal development (EFD) [...] Read more.
Background: Slow-transit constipation (STC) lacks durable and safe prokinetics. Deglycosylated-azithromycin (Deg-AZM), a novel small-molecule transgelin agonist that restores colonic motility in STC, has been approved for clinical trials in 2024. Objectives: This study aimed to assess the genetic toxicity and embryo–fetal development (EFD) toxicity of Deg-AZM through a series of standardized non-clinical safety studies. Methods: We conducted Ames, in vivo micronucleus, and chromosomal aberration tests to evaluate genotoxicity. Acute and 28-day repeated-dose oral toxicity studies were performed in Sprague-Dawley rats. EFD toxicity was assessed in pregnant rats administered Deg-AZM from gestation day (GD) 6 to 15. Toxicokinetic analyses were integrated into repeated-dose and EFD studies. Results: Deg-AZM demonstrated no mutagenic potential in the bacterial reverse-mutation assay at concentrations up to 2500 µg/plate (with metabolic activation) or 150 µg/plate (without metabolic activation). No clastogenic effects were observed in micronucleus or chromosomal aberration assays. The median lethal dose (LD50) exceeded 1600 mg/kg in acute oral toxicity. In the 28-day study, no adverse effects were observed at doses up to 600 mg/kg, though mild hematological and hepatic changes were noted at high doses, all of which were reversible. In the EFD study, Deg-AZM did not induce maternal toxicity, teratogenicity, or adverse fetal outcomes at doses up to 600 mg/kg. Conclusions: Deg-AZM demonstrates a favorable safety profile with no evidence of genetic toxicity or developmental harm at pharmacologically relevant doses, supporting its further development as a therapeutic agent for STC. Full article
(This article belongs to the Section Drug Discovery, Development and Delivery)
Show Figures

Graphical abstract

10 pages, 658 KB  
Article
Preparation and Digestive Properties of Biscuits Enriched with Extrusion-Modified Dietary Fiber: Effects on Slow Transit Constipation
by Zhan Wang, Dong Tan, Kemeng Zhao, Wangyang Shen, Jie Zhu, Hongjian Zhang and Xiwu Jia
Foods 2025, 14(19), 3436; https://doi.org/10.3390/foods14193436 - 8 Oct 2025
Cited by 1 | Viewed by 1386
Abstract
Dietary fiber (DF) is essential for digestive health, and wheat bran is a potential source because of its high fiber content. Extrusion processing enhances wheat bran’s functional properties by modifying its structure. This study aimed to examine the effects of extrusion-modified wheat bran [...] Read more.
Dietary fiber (DF) is essential for digestive health, and wheat bran is a potential source because of its high fiber content. Extrusion processing enhances wheat bran’s functional properties by modifying its structure. This study aimed to examine the effects of extrusion-modified wheat bran dietary fiber (E-WBDF) on biscuits, focusing on textural, color, and digestive characteristics, and evaluate its ability to alleviate constipation using a mouse model. E-WBDF-enriched biscuits exhibited lower brightness, deeper color, reduced hardness, and a significant decline in digestion rate compared with conventional biscuits. In the mouse model, E-WBDF biscuits increased fecal volume and moisture, shortened defecation time, and accelerated small intestine transit. The results indicate that E-WBDF can enhance the physical properties of biscuits while reducing their digestion rate, thereby exhibiting a potential therapeutic effect in alleviating constipation in the mouse model. This study provides novel insights into using E-WBDF in biscuit formulations, offering a promising strategy for developing functional foods that promote digestive health. Full article
Show Figures

Graphical abstract

26 pages, 4950 KB  
Article
Preclinical Safety Profile of Deg-AZM, a Clinical-Stage New Transgelin Agonist: hERG Inhibition Study In Vitro, Cardiovascular–Respiratory Pharmacology, and Single/Repeated-Dose Toxicity in Beagle Dogs
by Xiaoting Gu, Xiaohe Li, Hailong Li, Nannan Liu, Ying Xu, Keran Li, Jia Zhang, Xiaoting Wang, Xiaoting Zhang, Yanjie Ding, Honggang Zhou, Xiaoyu Ai and Cheng Yang
Biomedicines 2025, 13(9), 2180; https://doi.org/10.3390/biomedicines13092180 - 6 Sep 2025
Cited by 1 | Viewed by 897
Abstract
Background: Slow transit constipation (STC) represents a refractory gastrointestinal disorder with limited therapeutic options. Deglycosylated azithromycin (Deg-AZM) is a small molecule Transgelin agonist effective against STC, which has been approved for 2024 clinical trials. Objectives: This study comprehensively evaluated the cardiac safety (hERG [...] Read more.
Background: Slow transit constipation (STC) represents a refractory gastrointestinal disorder with limited therapeutic options. Deglycosylated azithromycin (Deg-AZM) is a small molecule Transgelin agonist effective against STC, which has been approved for 2024 clinical trials. Objectives: This study comprehensively evaluated the cardiac safety (hERG inhibition), acute cardiovascular–respiratory effects, and single/repeated-dose toxicity of Deg-AZM in Beagle dogs to de-risk clinical translation. Methods: Using automated patch-clamp (hERG-HEK293 cells; 0.1–1000 μM), telemetric monitoring in Beagles (3/8/24 mg/kg; Latin square design), and GLP-compliant toxicity studies (single-dose: 150–300 mg/kg; 28-day: 5–50 mg/kg/day), we assessed functional, biochemical, histopathological, and toxicokinetic parameters. Results: Deg-AZM showed negligible hERG inhibition (maximum 21.3% at 1000 μM). Transient PR prolongation (24 mg/kg; resolved by 4 h) and respiratory rate reduction (8–24 mg/kg; resolved by 2 h) occurred at supratherapeutic doses. Single-dose toxicity revealed one mortality at 300 mg/kg (acute cardiac ischemia), while 28-day studies identified fully reversible myocardial vacuolation at 50 mg/kg. Toxicokinetics demonstrated dose-proportional exposure (AUC and Cmax) and low accumulation (accumulation factors ≤ 1.5). No hematological, coagulation, or hepatic toxicity was observed. Conclusions: With absent hERG liability and manageable transient physiological effects, Deg-AZM exhibited a favorable preclinical safety profile supporting its clinical development for STC. Full article
(This article belongs to the Section Drug Discovery, Development and Delivery)
Show Figures

Graphical abstract

8 pages, 544 KB  
Article
Colonic Manometry in Pediatric Patients with Spina Bifida: Results from a Retrospective Cohort Study
by Albert Yuh Chyuan Shan, Barry Duel, Timothy Phillips, Paula Buchanan, Leonel Rodriguez and Dhiren Patel
Children 2025, 12(2), 184; https://doi.org/10.3390/children12020184 - 4 Feb 2025
Viewed by 1235
Abstract
Background/Objectives: Patients with spina bifida (SB) commonly experience neurogenic bowel dysfunction, characterized by defecation-related symptoms. While anorectal dysfunction and slow transit constipation (STC) have been implicated, the role of colonic motility in SB remains unclear. This study aimed to evaluate colonic motility in [...] Read more.
Background/Objectives: Patients with spina bifida (SB) commonly experience neurogenic bowel dysfunction, characterized by defecation-related symptoms. While anorectal dysfunction and slow transit constipation (STC) have been implicated, the role of colonic motility in SB remains unclear. This study aimed to evaluate colonic motility in SB patients with refractory bowel dysfunction. Methods: This retrospective cohort study included SB patients who failed the repeated optimization of a bowel regimen including stimulant laxatives and subsequently underwent anorectal manometry (ARM), colonic transit time (CTT) studies, or colonic manometry (CM). Diagnostic findings were analyzed alongside treatment outcomes. Results: A total of 13 patients with myelomeningocele were included; one declined further treatment, and 12 underwent treatment optimization, with four achieving bowel continence. Of the five patients who proceeded with advanced motility testing, two had abnormal ARM findings, one of three had abnormal CTT results, and all five had normal CM findings. Conclusions: These findings suggest that anorectal dysfunction or STC may play a larger role in refractory bowel symptoms, while colonic motility appears to be preserved, and this highlights the importance of maximizing conservative therapies, particularly with stimulant laxatives, before pursuing invasive tests or surgical interventions for bowel dysfunction in this population. Full article
(This article belongs to the Special Issue Advances in Pediatric Gastroenterology)
Show Figures

Figure 1

21 pages, 1756 KB  
Article
Association of Mucin-Degrading Gut Microbiota and Dietary Patterns with Colonic Transit Time in Constipation: A Secondary Analysis of a Randomized Clinical Trial
by Xuangao Wu, Hee-Jong Yang, Myeong-Seon Ryu, Su-Jin Jung, Kwangsu Ha, Do-Yeon Jeong and Sunmin Park
Nutrients 2025, 17(1), 138; https://doi.org/10.3390/nu17010138 - 31 Dec 2024
Cited by 8 | Viewed by 4121
Abstract
Background: The relationship between gut microbiota composition, lifestyles, and colonic transit time (CTT) remains poorly understood. This study investigated associations among gut microbiota profiles, diet, lifestyles, and CTT in individuals with subjective constipation. Methods: We conducted a secondary analysis of data from our [...] Read more.
Background: The relationship between gut microbiota composition, lifestyles, and colonic transit time (CTT) remains poorly understood. This study investigated associations among gut microbiota profiles, diet, lifestyles, and CTT in individuals with subjective constipation. Methods: We conducted a secondary analysis of data from our randomized clinical trial, examining gut microbiota composition, CTT, and dietary intake in baseline and final assessments of 94 participants with subjective constipation. Participants were categorized into normal-transit (<36 h) and slow-transit (≥36 h) groups based on CTT at baseline. Gut microbiota composition was measured using 16S rRNA sequencing, and dietary patterns were assessed through semi-quantitative food frequency questionnaires. Enterotype analysis, machine learning approaches, and metabolic modeling were employed to investigate microbiota–diet interactions. The constipated participants primarily belonged to Lachnospiraceae (ET-L). Results: The slow-transit group showed higher alpha diversity than the normal-transit group. Butyricicoccus faecihominis was abundant in the normal-transit group, while Neglectibacter timonensis, Intestinimonas massiliensis, and Intestinibacter bartlettii were abundant in the slow-transit group, which also had a higher abundance of mucin-degrading bacteria. Metabolic modeling predicted increased N-acetyl-D-glucosamine (GlcNAc), a mucin-derived metabolite, in the slow-transit group. Network analysis identified two microbial co-abundance groups (CAG3 and CAG9) significantly associated with transit time and dietary patterns. Six mucin-degrading species showed differential correlations with GlcNAc and a plant-based diet, particularly, including rice, bread, fruits and vegetables, and fermented beans. In conclusion, an increased abundance of mucin-degrading bacteria and their predicted metabolic products were associated with delayed CTT. Conclusion: These findings suggest dietary modulation of these bacterial populations as a potential therapeutic strategy for constipation. Moreover, our results reveal a potential immunometabolic mechanism where mucin-degrading bacteria and their metabolic interactions may influence intestinal transit, mucosal barrier function, and immune response. Full article
(This article belongs to the Special Issue Nutrition, Gut Microbiota and Immunity)
Show Figures

Figure 1

17 pages, 4666 KB  
Case Report
Twisted Troubles: A Rare Case of Intestinal Obstruction Due to Endometriosis and a Review of the Literature
by Ionut Eduard Iordache, Luana Alexandrescu, Alina Doina Nicoara, Razvan Popescu, Nicoleta Leopa, Gabriela Baltatescu, Andreea Nelson Twakor, Ionut Tiberiu Tofolean and Liliana Steriu
Clin. Pract. 2024, 14(5), 2027-2043; https://doi.org/10.3390/clinpract14050160 - 27 Sep 2024
Cited by 2 | Viewed by 5113
Abstract
Background and Objectives: Intestinal endometriosis is an exceptionally rare cause of intestinal obstruction. This case report and literature review aim to highlight the clinical presentation, diagnostic challenges, and surgical management of this condition. Materials and methods: We report the case of a 50-year-old [...] Read more.
Background and Objectives: Intestinal endometriosis is an exceptionally rare cause of intestinal obstruction. This case report and literature review aim to highlight the clinical presentation, diagnostic challenges, and surgical management of this condition. Materials and methods: We report the case of a 50-year-old female patient who presented diffuse abdominal pain, nausea, vomiting, a distended abdomen, and an absence of intestinal transit for gas and faeces. Initial symptoms included flatulence and constipation, which gradually worsened for two months prior to the patient’s hospital admission, leading to acute intestinal obstruction. Diagnostic investigations, including blood tests, ultrasound (USG), X-ray, and a contrast-enhanced computer tomography (CT) scan, revealed significant small bowel dilatation and an ileal volvulus. The patient underwent urgent hydro-electrolytic and metabolic rebalancing followed by a median laparotomy surgical procedure. Intraoperative findings included a distended small intestine and an obstructive ileal volvulus, and required an 8 cm segmental enterectomy and terminal ileostomy. Results: Postoperative recovery was slow but favourable, with a gradual digestive tolerance. Histopathological examination of the resected ileum revealed intestinal endometriosis characterized by a fibro-conjunctive reaction and nonspecific chronic active inflammation. Five months later, the patient underwent a successful reversal of the ileostomy with a mechanical lateral anastomosis of the cecum and ileum, resulting in a favourable postoperative course. Conclusions: This case underscores the importance of considering intestinal endometriosis in women presenting with unexplained gastrointestinal symptoms and highlights the need for timely surgical intervention and careful postoperative management. Further research is required to better understand the pathophysiology and optimal treatment strategies for intestinal endometriosis. Full article
Show Figures

Figure 1

8 pages, 432 KB  
Article
Superior Rectal Artery Preservation in Laparoscopically Assisted Subtotal Colectomy and Ileorectal Anastomosis for Slow-Transit Constipation
by Ta-Wei Pu, Yu-Hong Liu, Jung-Cheng Kang, Je-Ming Hu and Chao-Yang Chen
Biomedicines 2024, 12(5), 965; https://doi.org/10.3390/biomedicines12050965 - 26 Apr 2024
Viewed by 2206
Abstract
Our previous retrospective observational study demonstrated the safety of laparoscopically assisted subtotal colectomy with ileorectal anastomosis and preservation of the superior rectal artery (SRA), without instances of leakage, in patients with slow-transit constipation (STC). Thus, we extended the enrollment period and enlarged the [...] Read more.
Our previous retrospective observational study demonstrated the safety of laparoscopically assisted subtotal colectomy with ileorectal anastomosis and preservation of the superior rectal artery (SRA), without instances of leakage, in patients with slow-transit constipation (STC). Thus, we extended the enrollment period and enlarged the sample size to detect the differences in the postoperative complications and surgical and functional outcomes between patients who underwent laparoscopically assisted subtotal colectomy with and without SRA preservation. We conducted a retrospective single-center analysis of patients with STC who underwent laparoscopically assisted subtotal colectomy between 2016 and 2020. The diagnosis of STC was based on the colonic transit and anal functional tests and barium enema to exclude secondary causes. Patients were divided into group A, which underwent surgery with SRA preservation, and group B, which underwent ligation of the SRA during surgery. Outcome assessments for both groups included the incidence of anastomotic breakdown, intraoperative complications, length of hospital stay, estimated blood loss, time to first flatus, and complications. Propensity score matching allocated 34 patients to groups A and B each. Postoperative bowel function, including time to first flatus, stool, and oral intake, recovered better in group A than in group B. Anastomotic leakage, a significant postoperative complication, was less frequent in patients with SRA preservation. In conclusion, preservation of the SRA in patients undergoing laparoscopically assisted subtotal colectomy with ileorectal anastomosis for STC is associated with favorable postoperative bowel function recovery and lower anastomotic leakage rates. Full article
(This article belongs to the Section Molecular and Translational Medicine)
Show Figures

Figure 1

22 pages, 8756 KB  
Article
Mechanism of Mulberry Leaves and Black Sesame in Alleviating Slow Transit Constipation Revealed by Multi-Omics Analysis
by Chen Sun, Zheng Wang, Yang Tan, Ling Li, Feng Zhou, Shi-An Hu, Qin-Wen Yan, Lin-Hui Li and Gang Pei
Molecules 2024, 29(8), 1713; https://doi.org/10.3390/molecules29081713 - 10 Apr 2024
Cited by 1 | Viewed by 3917
Abstract
Traditional Chinese medicine (TCM) possesses the potential of providing good curative effects with no side effects for the effective management of slow transit constipation (STC), an intestinal disease characterized by colonic dyskinesia. Mulberry leaves (Morus alba L.) and black sesame (Sesamum indicum [...] Read more.
Traditional Chinese medicine (TCM) possesses the potential of providing good curative effects with no side effects for the effective management of slow transit constipation (STC), an intestinal disease characterized by colonic dyskinesia. Mulberry leaves (Morus alba L.) and black sesame (Sesamum indicum L.), referred to as SH, are processed and conditioned as per standardized protocols. SH has applications as food and medicine. Accordingly, we investigated the therapeutic potential of SH in alleviating STC. The analysis of SH composition identified a total of 504 compounds. The intervention with SH significantly improved intestinal motility, reduced the time for the first black stool, increased antioxidant activity, and enhanced water content, thereby effectively alleviating colon damage caused by STC. Transcriptome analysis revealed the SH in the treatment of STC related to SOD1, MUC2, and AQP1. The analysis of 16S rRNA gene sequences indicated notable differences in the abundance of 10 bacteria between the SH and model. Metabolomic analysis further revealed that SH supplementation increased the levels of nine metabolites associated with STC. Integrative analysis revealed that SH modulated amino acid metabolism, balanced intestinal flora, and targeted key genes (i.e., SOD1, MUC2, AQP1) to exert its effects. SH also inhibited the AQP1 expression and promoted SOD1 and MUC2 expression. Full article
(This article belongs to the Section Food Chemistry)
Show Figures

Figure 1

18 pages, 9367 KB  
Article
Xiao Cheng Qi Decoction, an Ancient Chinese Herbal Mixture, Relieves Loperamide-Induced Slow-Transit Constipation in Mice: An Action Mediated by Gut Microbiota
by Amanguli Tuohongerbieke, Huaiyou Wang, Jiahui Wu, Zhengqi Wang, Tingxia Dong, Yamiao Huang, Dequan Zhu, Dongmei Sun and Karl Wah Keung Tsim
Pharmaceuticals 2024, 17(2), 153; https://doi.org/10.3390/ph17020153 - 24 Jan 2024
Cited by 23 | Viewed by 5265
Abstract
Xiao Cheng Qi (XCQ) decoction, an ancient Chinese herbal mixture, has been used in treating slow-transit constipation (STC) for years. The underlying action mechanism in relieving the clinical symptoms is unclear. Several lines of evidence point to a strong link between constipation and [...] Read more.
Xiao Cheng Qi (XCQ) decoction, an ancient Chinese herbal mixture, has been used in treating slow-transit constipation (STC) for years. The underlying action mechanism in relieving the clinical symptoms is unclear. Several lines of evidence point to a strong link between constipation and gut microbiota. Short-chain fatty acids (SCFAs) and microbial metabolites have been shown to affect 5-HT synthesis by activating the GPR43 receptor localized on intestinal enterochromaffin cells, since 5-HT receptors are known to influence colonic peristalsis. The objective of this study was to evaluate the efficacy of XCQ in alleviating clinical symptoms in a mouse model of STC induced by loperamide. The application of loperamide leads to a decrease in intestinal transport and fecal water, which is used to establish the animal model of STC. In addition, the relationship between constipation and gut microbiota was determined. The herbal materials, composed of Rhei Radix et Rhizoma (Rhizomes of Rheum palmatum L., Polygonaceae) 55.2 g, Magnoliae Officinalis Cortex (Barks of Magnolia officinalis Rehd. et Wils, Magnoliaceae) 27.6 g, and Aurantii Fructus Immaturus (Fruitlet of Citrus aurantium L., Rutaceae) 36.0 g, were extracted with water to prepare the XCQ decoction. The constipated mice were induced with loperamide (10 mg/kg/day), and then treated with an oral dose of XCQ herbal extract (2.0, 4.0, and 8.0 g/kg/day) two times a day. Mosapride was administered as a positive drug. In loperamide-induced STC mice, the therapeutic parameters of XCQ-treated mice were determined, i.e., (i) symptoms of constipation, composition of gut microbiota, and amount of short-chain fatty acids in feces; (ii) plasma level of 5-HT; and (iii) expressions of the GPR43 and 5-HT4 receptor in colon. XCQ ameliorated the constipation symptoms of loperamide-induced STC mice. In gut microbiota, the treatment of XCQ in STC mice increased the relative abundances of Lactobacillus, Prevotellaceae_UCG_001, Prevotellaceae_NK3B31_group, Muribaculaceae, and Roseburia in feces and decreased the relative abundances of Desulfovibrio, Tuzzerella, and Lachnospiraceae_ NK4A136_group. The levels of SCFAs in stools from the STC group were significantly lower than those the control group, and were greatly elevated via treatment with XCQ. Compared with the STC group, XCQ increased the plasma level of 5-HT and the colonic expressions of the GPR43 and 5-HT4 receptor, significantly. The underlying mechanism of XCQ in anti-constipation could be related to the modulation of gut microbiota, the increase in SCFAs, the increase in plasma 5-HT, and the colonic expressions of the GPR43 and 5-HT4 receptor. Our results indicate that XCQ is a potent natural product that could be a therapeutic strategy for constipation. Full article
(This article belongs to the Special Issue The Mode of Action of Herbal Medicines and Natural Products)
Show Figures

Graphical abstract

23 pages, 935 KB  
Review
Idiopathic Slow Transit Constipation: Pathophysiology, Diagnosis, and Management
by Luke J. Vlismas, William Wu and Vincent Ho
Medicina 2024, 60(1), 108; https://doi.org/10.3390/medicina60010108 - 6 Jan 2024
Cited by 32 | Viewed by 24317
Abstract
Slow transit constipation (STC) has an estimated prevalence of 2–4% of the general population, and although it is the least prevalent of the chronic constipation phenotypes, it more commonly causes refractory symptoms and is associated with significant psychosocial stress, poor quality of life, [...] Read more.
Slow transit constipation (STC) has an estimated prevalence of 2–4% of the general population, and although it is the least prevalent of the chronic constipation phenotypes, it more commonly causes refractory symptoms and is associated with significant psychosocial stress, poor quality of life, and high healthcare costs. This review provides an overview of the pathophysiology, diagnosis, and management options in STC. STC occurs due to colonic dysmotility and is thought to be a neuromuscular disorder of the colon. Several pathophysiologic features have been observed in STC, including reduced contractions on manometry, delayed emptying on transit studies, reduced numbers of interstitial cells of Cajal on histology, and reduced amounts of excitatory neurotransmitters within myenteric plexuses. The underlying aetiology is uncertain, but autoimmune and hormonal mechanisms have been hypothesised. Diagnosing STC may be challenging, and there is substantial overlap with the other clinical constipation phenotypes. Prior to making a diagnosis of STC, other primary constipation phenotypes and secondary causes of constipation need to be ruled out. An assessment of colonic transit time is required for the diagnosis and can be performed by a number of different methods. There are several different management options for constipation, including lifestyle, dietary, pharmacologic, interventional, and surgical. The effectiveness of the available therapies in STC differs from that of the other constipation phenotypes, and prokinetics often make up the mainstay for those who fail standard laxatives. There are few available management options for patients with medically refractory STC, but patients may respond well to surgical intervention. STC is a common condition associated with a significant burden of disease. It can present a clinical challenge, but a structured approach to the diagnosis and management can be of great value to the clinician. There are many therapeutic options available, with some having more benefits than others. Full article
Show Figures

Figure 1

13 pages, 6630 KB  
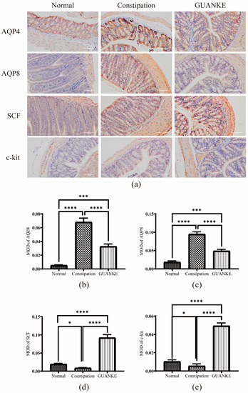
Article
Effects of Lactiplantibacillus plantarum GUANKE on Diphenoxylate-Induced Slow Transit Constipation and Gut Microbiota in Mice
by Yuanming Huang, Yanan Guo, Xianping Li, Yuchun Xiao, Zhihuan Wang, Liqiong Song and Zhihong Ren
Nutrients 2023, 15(17), 3741; https://doi.org/10.3390/nu15173741 - 26 Aug 2023
Cited by 13 | Viewed by 3519
Abstract
Slow transit constipation (STC) is a prevalent gastrointestinal condition with slow transit, and some probiotics can effectively relieve constipation, but the exact mechanisms have not been fully understood. In this study, we evaluate the impact of Lactiplantibacillus plantarum GUANKE (GUANKE) on diphenoxylate-induced slow [...] Read more.
Slow transit constipation (STC) is a prevalent gastrointestinal condition with slow transit, and some probiotics can effectively relieve constipation, but the exact mechanisms have not been fully understood. In this study, we evaluate the impact of Lactiplantibacillus plantarum GUANKE (GUANKE) on diphenoxylate-induced slow transit constipation and speculate on the underlying mechanisms in a mouse model. Administration of L. plantarum GUANKE alleviated constipation indexes, including defecation time, fecal output and water content, and gastrointestinal transit ratio. In addition, GUANKE restored the protein expression of constipation-related intestinal factors (aquaporins (AQPs) and interstitial Cajal cells (ICCs)) in colon tissues measured using immunofluorescence staining; regulated the neurotransmitters and hormones, such as increased levels of 5-hydroxytryptamine, substance P, and motilin; and decreased levels of vasoactive intestinal peptide and nitric oxide in serum, as measured by an ELISA. 16S rRNA and correlation analysis of feces indicated that GUANKE administration effectively reduced constipation-induced Prevotella enrichment and suggested a potential contribution of Prevotella to diphenoxylate-induced STC in mice. GUANKE had no effect on short-chain fatty acids (SCFAs) in cecum content. This study revealed that GUANKE may alleviate constipation in mice through regulating intestinal neurotransmitter and hormone release and altering specific bacterial taxa, rather than by affecting SCFAs and the diversity of microbiota in the gut. Further research is needed to confirm if the findings observed in this study will be consistent in other animal studies or clinical trials. Full article
(This article belongs to the Section Nutrition and Metabolism)
Show Figures

Figure 1

21 pages, 5598 KB  
Article
Flavonoids in Amomum tsaoko Crevost et Lemarie Ameliorate Loperamide-Induced Constipation in Mice by Regulating Gut Microbiota and Related Metabolites
by Yifan Hu, Xiaoyu Gao, Yan Zhao, Shuangfeng Liu, Kailian Luo, Xiang Fu, Jiayi Li, Jun Sheng, Yang Tian and Yuanhong Fan
Int. J. Mol. Sci. 2023, 24(8), 7191; https://doi.org/10.3390/ijms24087191 - 13 Apr 2023
Cited by 22 | Viewed by 3841
Abstract
Amomum tsaoko (AT) is a dietary botanical with laxative properties; however, the active ingredients and mechanisms are still unclear. The active fraction of AT aqueous extract (ATAE) for promoting defecation in slow transit constipation mice is the ethanol-soluble part (ATES). The total flavonoids [...] Read more.
Amomum tsaoko (AT) is a dietary botanical with laxative properties; however, the active ingredients and mechanisms are still unclear. The active fraction of AT aqueous extract (ATAE) for promoting defecation in slow transit constipation mice is the ethanol-soluble part (ATES). The total flavonoids of ATES (ATTF) were the main active component. ATTF significantly increased the abundance of Lactobacillus and Bacillus and reduced the dominant commensals, such as Lachnospiraceae, thereby changing the gut microbiota structure and composition. Meanwhile, ATTF changed the gut metabolites mainly enriched in pathways such as the serotonergic synapse. In addition, ATTF increased the serum serotonin (5-HT) content and mRNA expression of 5-hydroxytryptamine receptor 2A (5-HT2A), Phospholipase A2 (PLA2), and Cyclooxygenase-2 (COX2), which are involved in the serotonergic synaptic pathway. ATTF increased Transient receptor potential A1 (TRPA1), which promotes the release of 5-HT, and Myosin light chain 3(MLC3), which promotes smooth muscle motility. Notably, we established a network between gut microbiota, gut metabolites, and host parameters. The dominant gut microbiota Lactobacillus and Bacillus, prostaglandin J2 (PGJ2) and laxative phenotypes showed the most significant associations. The above results suggest that ATTF may relieve constipation by regulating the gut microbiota and serotonergic synaptic pathway and has great potential for laxative drug development in the future. Full article
(This article belongs to the Section Molecular Microbiology)
Show Figures

Figure 1

12 pages, 902 KB  
Hypothesis
Altered Gut Microbic Flora and Haemorrhoids: Could They Have a Possible Relationship?
by Vincenzo Davide Palumbo, Roberta Tutino, Marianna Messina, Mauro Santarelli, Casimiro Nigro, Giacomo Lo Secco, Chiara Piceni, Elena Montanari, Gabriele Barletta, Paolina Venturelli, Girolamo Geraci, Sebastiano Bonventre and Attilio Ignazio Lo Monte
J. Clin. Med. 2023, 12(6), 2198; https://doi.org/10.3390/jcm12062198 - 12 Mar 2023
Cited by 16 | Viewed by 5701
Abstract
To date, the exact pathophysiology of haemorrhoids is poorly understood. The different philosophies on haemorrhoids aetiology may lead to different approaches of treatment. A pathogenic theory involving a correlation between altered anal canal microflora, local inflammation, and muscular dyssynergia is proposed through an [...] Read more.
To date, the exact pathophysiology of haemorrhoids is poorly understood. The different philosophies on haemorrhoids aetiology may lead to different approaches of treatment. A pathogenic theory involving a correlation between altered anal canal microflora, local inflammation, and muscular dyssynergia is proposed through an extensive review of the literature. Since the middle of the twentieth century, three main theories exist: (1) the varicose vein theory, (2) the vascular hyperplasia theory, and (3) the concept of a sliding anal lining. These phenomena determine changes in the connective tissue (linked to inflammation), including loss of organization, muscular hypertrophy, fragmentation of the anal subepithelial muscle and the elastin component, and vascular changes, including abnormal venous dilatation and vascular thrombosis. Recent studies have reported a possible involvement of gut microbiota in gut motility alteration. Furthermore, dysbiosis seems to represent the leading cause of bowel mucosa inflammation in any intestinal district. The alteration of the gut microbioma in the anorectal district could be responsible for haemorrhoids and other anorectal disorders. A deeper knowledge of the gut microbiota in anorectal disorders lays the basis for unveiling the roles of these various gut microbiota components in anorectal disorder pathogenesis and being conductive to instructing future therapeutics. The therapeutic strategy of antibiotics, prebiotics, probiotics, and fecal microbiota transplantation will benefit the effective application of precision microbiome manipulation in anorectal disorders. Full article
(This article belongs to the Section Gastroenterology & Hepatopancreatobiliary Medicine)
Show Figures

Figure 1

16 pages, 4974 KB  
Article
Bifidobacterium bifidum CCFM1163 Alleviated Cathartic Colon by Regulating the Intestinal Barrier and Restoring Enteric Nerves
by Nan Tang, Qiangqing Yu, Chunxia Mei, Jialiang Wang, Linlin Wang, Gang Wang, Jianxin Zhao and Wei Chen
Nutrients 2023, 15(5), 1146; https://doi.org/10.3390/nu15051146 - 24 Feb 2023
Cited by 23 | Viewed by 3762
Abstract
Cathartic colon (CC), a type of slow-transit constipation caused by the long-term use of stimulant laxatives, does not have a precise and effective treatment. This study aimed to evaluate the ability of Bifidobacterium bifidum CCFM1163 to relieve CC and to investigate its underlying [...] Read more.
Cathartic colon (CC), a type of slow-transit constipation caused by the long-term use of stimulant laxatives, does not have a precise and effective treatment. This study aimed to evaluate the ability of Bifidobacterium bifidum CCFM1163 to relieve CC and to investigate its underlying mechanism. Male C57BL/6J mice were treated with senna extract for 8 weeks, followed by a 2-week treatment with B. bifidum CCFM1163. The results revealed that B. bifidum CCFM1163 effectively alleviated CC symptoms. The possible mechanism of B. bifidum CCFM1163 in relieving CC was analyzed by measuring the intestinal barrier and enteric nervous system (ENS)-related indices and establishing a correlation between each index and gut microbiota. The results indicated that B. bifidum CCFM1163 changed the gut microbiota by significantly increasing the relative abundance of Bifidobacterium, Faecalibaculum, Romboutsia, and Turicibacter as well as the content of short-chain fatty acids, especially propionic acid, in the feces. This increased the expression of tight junction proteins and aquaporin 8, decreased intestinal transit time, increased fecal water content, and relieved CC. In addition, B. bifidum CCFM1163 also increased the relative abundance of Faecalibaculum in feces and the expression of enteric nerve marker proteins to repair the ENS, promote intestinal motility, and relieve constipation. Full article
Show Figures

Figure 1

14 pages, 22144 KB  
Article
Distributions of Platelet-Derived Growth Factor Receptor-α Positive Cells and Interstitial Cells of Cajal in the Colon of Rats with Diabetes Mellitus Type 2
by Aleksandra Ivana Veličkov, Branka Djordjević, Milica Lazarević, Asen Veselin Veličkov, Vladimir Petrović, Marko Jović, Tijana Denčić and Goran Radenković
Medicina 2023, 59(2), 308; https://doi.org/10.3390/medicina59020308 - 7 Feb 2023
Cited by 3 | Viewed by 2798
Abstract
Background and Objectives: Diabetic gastroenteropathy (DG) is a common complication of diabetes mellitus type 2. Interstitial cells are non-neural cells of mesenchymal origin inserted between nerve elements and smooth muscle cells, necessary for normal function and peristaltic contractions in the gastrointestinal (GI) [...] Read more.
Background and Objectives: Diabetic gastroenteropathy (DG) is a common complication of diabetes mellitus type 2. Interstitial cells are non-neural cells of mesenchymal origin inserted between nerve elements and smooth muscle cells, necessary for normal function and peristaltic contractions in the gastrointestinal (GI) tract. There are at least two types of interstitial cells within the GI muscle layer—interstitial cells of Cajal (ICC) and interstitial platelet-derived growth factor receptor α-positive cells (IPC). The mechanism of diabetic gastroenteropathy is unclear, and interstitial cells disorders caused by metabolic changes in diabetes mellitus (DM) could explain the symptoms of DG (slow intestinal transit, constipation, fecal incontinence). The aim of this study was to identify PDGFRα and c-kit immunoreactive cells in the colon of rats with streptozotocin–nicotinamide-induced diabetes mellitus type 2, as well as to determine their distribution in relation to smooth muscle cells and enteric nerve structures. Materials and Methods: Male Wistar rats were used, and diabetes type 2 was induced by an intraperitoneal injection of streptozotocin, immediately after intraperitoneal application of nicotinamide. The colon specimens were exposed to PDGFRα and anti-c-kit antibodies to investigate interstitial cells; enteric neurons and smooth muscle cells were immunohistochemically labeled with NF-M and desmin antibodies. Results: Significant loss of the intramuscular ICC, myenteric ICC, and loss of their connection in intramuscular linear arrays and around the ganglion of the myenteric plexus were observed with no changes in nerve fiber distribution in the colon of rats with diabetes mellitus type 2. IPC were rarely present within the colon muscle layer with densely distributed PDGFRα+ cells in the colon mucosa and submucosa of both experimental groups. In summary, a decrease in intramuscular ICC, discontinuities and breakdown of contacts between myenteric ICC without changes in IPC and nerve fibers distribution were observed in the colon of streptozotocin/nicotinamide-induced diabetes type 2 rats. Full article
(This article belongs to the Section Endocrinology)
Show Figures

Figure 1

Back to TopTop