Sign in to use this feature.

Years

Between: -

Subjects

remove_circle_outline
remove_circle_outline
remove_circle_outline
remove_circle_outline
remove_circle_outline

Journals

Article Types

Countries / Regions

Search Results (19)

Search Parameters:
Keywords = sinus venosus

Order results
Result details
Results per page
Select all
Export citation of selected articles as:
9 pages, 498 KB  
Case Report
Prenatal Detection of a Right Atrial Echogenic Mass: A Case Report of Hypertrophic Crista Terminalis
by Mariangela Pati, Maria Paola Bonasoni, Andrea Musarò, Benedetta Petrachi, Francesco Di Dio, Elena Chesi, Francesco Leo, Giulia Barbato, Sonia Ricò, Giancarlo Gargano, Khush Shah and Lorenzo Aguzzoli
Diagnostics 2026, 16(1), 17; https://doi.org/10.3390/diagnostics16010017 - 20 Dec 2025
Viewed by 312
Abstract
Background and Clinical Significance: The crista terminalis (CT) is a fibromuscular ridge located on the posterolateral wall of the right atrium, formed by the junction of the sinus venosus and the primitive right atrium. A hypertrophic or prominent CT (HCT) refers to [...] Read more.
Background and Clinical Significance: The crista terminalis (CT) is a fibromuscular ridge located on the posterolateral wall of the right atrium, formed by the junction of the sinus venosus and the primitive right atrium. A hypertrophic or prominent CT (HCT) refers to a thickened or conspicuous configuration of this normal anatomical structure. In prenatal ultrasound (US) and/or echocardiographic assessments, HCT can mimic a right atrial mass, such as a tumor or a thrombus. Case Presentation: Herein, we describe a case of a fetal right atrial echogenic mass detected at 32 weeks, which remained stable through gestation and was confirmed postnatally as a likely HCT. No hemodynamic compromise, growth, or pathological sequelae were observed. Conclusions: Our case reinforces the importance of including atrial structural variants in the differential diagnosis of intracardiac masses, particularly when features favor stability and low risk. Serial imaging, avoidance of premature invasive measures, and careful counseling are key to appropriate management. Full article
(This article belongs to the Special Issue Advances in Fetal Diagnosis and Therapy)
Show Figures

Figure 1

9 pages, 2750 KB  
Brief Report
Minimally Invasive Repair of Sinus Venosus Atrial Septal Defects and Anomalous Pulmonary Venous Connections via Vertical Right Axillary Thoracotomy
by Sameh M. Said, Ali H. Mashadi, Yasin Essa, Kristin Greathouse, Nicholas Brown, Mahmoud I. Salem and Joseph Giamelli
J. Cardiovasc. Dev. Dis. 2025, 12(10), 404; https://doi.org/10.3390/jcdd12100404 - 11 Oct 2025
Viewed by 803
Abstract
(1) Background: There has been an increase in the utilization of the minimally invasive vertical right axillary thoracotomy approach for repairing congenital heart defects in children recently. We aim, in the current study, to evaluate the outcomes of this approach in repairing anomalous [...] Read more.
(1) Background: There has been an increase in the utilization of the minimally invasive vertical right axillary thoracotomy approach for repairing congenital heart defects in children recently. We aim, in the current study, to evaluate the outcomes of this approach in repairing anomalous pulmonary venous connections with or without an associated sinus venosus defect. (2) Methods: A total of 23 consecutive patients underwent surgical repair of anomalous pulmonary venous connections between April 2018 and February 2024. Perioperative and clinical follow-up data were obtained. (3) Results: The median age and weight were 36 months (1–277 months) and 14.4 kg (3.6–79.4 kg), respectively. More than half were females (13; 56.5%). There was no conversion to sternotomy. Partial anomalous pulmonary venous connections were the most frequent primary diagnoses (14; 60.9%), followed by scimitar syndrome (3; 13%), while two patients (8.7%) had total anomalous pulmonary venous connections. Repair techniques included single patch in 10 patients (43.5%), Warden in 6 (26.1%), and two-patch technique in 4 (17.4%). The median cardiopulmonary bypass and aortic cross-clamp times were 91 and 62 min, respectively. All patients were extubated in the operating room. The median length of hospital stay was 2 days. There were no mortalities or reoperations for pulmonary/systemic venous pathway obstruction. (4) Conclusions: Vertical right axillary thoracotomy is a valuable approach for repairing anomalous pulmonary venous connections with or without sinus venosus defects. All repair techniques, including Warden and scimitar, can be performed safely through this approach. The cosmetic superiority and short hospital stay make this approach worth considering. Full article
(This article belongs to the Section Cardiac Surgery)
Show Figures

Figure 1

21 pages, 8786 KB  
Article
Pseudopus apodus Soft Tissue Anatomy Based on Comparison of Classical Dissection and Multi-Detector Computed Tomography
by María Isabel García-Real, Encarnación Fernández-Valle, Sara Jiménez, María José Ruiz-Fernández, David Castejón-Ferrer, Andrés Montesinos-Barceló, María Ardiaca-García, Nerea Moreno and Juncal González-Soriano
Animals 2025, 15(5), 615; https://doi.org/10.3390/ani15050615 - 20 Feb 2025
Cited by 1 | Viewed by 1769
Abstract
Anatomy is critical for understanding the physiological and biological adaptations of living creatures. In the case of Pseudopus apodus, an anguimorph lizard belonging to the Order Squamata, it is particularly important considering the scarce previous works on the morphology of its coelomic [...] Read more.
Anatomy is critical for understanding the physiological and biological adaptations of living creatures. In the case of Pseudopus apodus, an anguimorph lizard belonging to the Order Squamata, it is particularly important considering the scarce previous works on the morphology of its coelomic cavity. It is interesting to consider that, over the years, using non-invasive approaches in reptiles, such as diagnostic imaging methods, is becoming popular for both scientific and clinical purposes. For the present work, we used a total of five Pseudopus apodus individuals (two males and three females); one male and one female were whole-body examined by multi-detector computed tomography (CT) and then all were dissected following a conventional anatomical protocol. The novelty and the main contribution of our multi-detector CT study is to identify structures that had never been identified before using this technique, such as the opening of the vomeronasal organ and the choanae, the tongue, the glottis, the hyoid bone, the esophagus, the stomach, the small and large intestines, the cloaca, the liver, the gallbladder, the kidneys, the ovarian follicles, the trachea, the bronchial bifurcation, the lungs, the heart, the aortic arches, the aorta, the sinus venosus, and the cranial cava veins. On the contrary, other organs like the thyroid, the pancreas, the spleen, the ureters, the urinary bladder, the oviducts, the testes, the hemipenes, the pulmonary trunk, and the pulmonary arteries were only identified in the anatomical dissection. Thus, our results demonstrate that multi-detector CT scanning is a useful tool to identify a significant number of anatomical structures in Pseudopus apodus, which is important for clinical veterinary practice related to this species or different conservation programs, among other applications. Full article
(This article belongs to the Section Veterinary Clinical Studies)
Show Figures

Figure 1

14 pages, 8347 KB  
Article
Developmental Toxicity and Cardiotoxicity of N, N-Dimethylaniline in Zebrafish Embryos
by Bin Liu, Bo Peng, Yan Jin, Yijie Tao, Wenping Xu, Yang Zhang and Zhong Li
Toxics 2025, 13(2), 125; https://doi.org/10.3390/toxics13020125 - 8 Feb 2025
Cited by 3 | Viewed by 2100
Abstract
N, N-Dimethylaniline is an important chemical intermediate and an important metabolite of the pesticide Fenaminosulf. It is widely used in chemical production, but there is an extreme paucity of environmental risk assessments for N, N-dimethylaniline.: In this study, the cardiotoxicity of continuous exposure [...] Read more.
N, N-Dimethylaniline is an important chemical intermediate and an important metabolite of the pesticide Fenaminosulf. It is widely used in chemical production, but there is an extreme paucity of environmental risk assessments for N, N-dimethylaniline.: In this study, the cardiotoxicity of continuous exposure to N, N-dimethylaniline (20, 40, and 80 μg/mL) for 72 h was evaluated using zebrafish embryos.: The study found that N, N-dimethylaniline not only exhibits developmental toxicity to zebrafish embryos, leading to abnormalities such as pericardial edema, yolk sac edema, and spinal curvature, but also induces oxidative stress, lipid accumulation, and apoptosis, particularly affecting the heart region. Cardiac function indicators such as pericardial area, sinus venosus (SV) and bulbar artery (BA) distance, heart rate, and red blood cell (RBC) rate were all significantly altered due to exposure to N, N-dimethylaniline, with impaired cardiac morphology and structure and the downregulation of gene expression related to heart development and function (myl7, vmhc, myh6, bmp4, tbx2b, and has2).: The research findings suggest that the heart may be the potential target organ for the toxic effects of N, N-dimethylaniline, providing a scientific basis for the rational use of this compound and environmental protection. Furthermore, it enhances public awareness of the safety of substances that may degrade to produce N, N-dimethylaniline during their use. Full article
Show Figures

Graphical abstract

16 pages, 6838 KB  
Article
The Acute Toxicity and Cardiotoxic Effects of Levofloxacin on Zebrafish (Danio rerio)
by Yixiao Wu, Wenjing Yu, Zhenyan Song, Jiawei He, Ze Li, Qi Chen, Shiwei Wang, Ping Li and Shaowu Cheng
Toxics 2025, 13(2), 122; https://doi.org/10.3390/toxics13020122 - 5 Feb 2025
Cited by 7 | Viewed by 3514
Abstract
Emerging contaminants refer to chemical substances that have not been widely regulated but possess the potential to cause adverse effects on both the environment and human health. Antibiotics, as emerging contaminants, pose significant threats to ecosystems and human health due to their widespread [...] Read more.
Emerging contaminants refer to chemical substances that have not been widely regulated but possess the potential to cause adverse effects on both the environment and human health. Antibiotics, as emerging contaminants, pose significant threats to ecosystems and human health due to their widespread use and persistence in the environment. Levofloxacin, a broad-spectrum fluoroquinolone antibiotic, is commonly employed in the treatment of bacterial infections, and has been frequently detected in environmental matrices and freshwater systems. In this study, we assessed the effects of levofloxacin on hatchability, mortality rates, malformations, behavioral changes, and cardiac development in zebrafish embryos by exposing them to varying concentrations of levofloxacin (0, 0.5, 1, 2, 4, and 8 mM). Our results demonstrate that levofloxacin exposure significantly impaired the growth and development of zebrafish larvae, particularly at higher concentrations. Notable effects included reduced body length, abnormal yolk sac and swim bladder development, pericardial edema, prolonged distances between the sinus venosus and arteriolar bulb (SV-BA), and disruptions in heart rate. Quantitative PCR analysis further revealed that levofloxacin exposure significantly upregulated the expression of key cardiac development genes in zebrafish larvae, including nppa, myh6, cacna1ab, myl7, gata4, nkx2.5, tbx2b, and tbx5b. These findings indicate that levofloxacin exposure exerts significant toxic effects on both embryonic and larval growth as well as heart development and gene expression in zebrafish. This study provides critical insights into the potential ecological risks posed by levofloxacin along with other antibiotics while laying a foundation for further investigation into their toxicological mechanisms. Full article
Show Figures

Graphical abstract

11 pages, 4415 KB  
Case Report
Surgical Correction of a Sinus Venosus Atrial Septal Defect with Partial Anomalous Pulmonary Venous Connections Using Cardiac Computed Tomography Imaging and a 3D-Printed Model
by Kyung-Min Kim, Chang-Hwan Moon, Won-Jong Lee, Woo-Jin Kim, Mihyung Kim, Jaemin Jeong, Hae-Beom Lee, Seong-Mok Jeong, Ho-Jung Choi, Tae Sung Hwang, Hee Chun Lee, Jae Hyeon Yu, Aryung Nam and Dae-Hyun Kim
Animals 2024, 14(7), 1094; https://doi.org/10.3390/ani14071094 - 3 Apr 2024
Cited by 2 | Viewed by 3275
Abstract
Sinus venosus atrial septal defects (SVASDs), concurrent with partial anomalous pulmonary venous connections (PAPVCs), are a rare congenital heart disease in dogs. Surgical correction is essential when clinical signs or significant hemodynamic changes are present. We aimed to report on the successful surgical [...] Read more.
Sinus venosus atrial septal defects (SVASDs), concurrent with partial anomalous pulmonary venous connections (PAPVCs), are a rare congenital heart disease in dogs. Surgical correction is essential when clinical signs or significant hemodynamic changes are present. We aimed to report on the successful surgical correction of an SVASD with PAPVCs, using a computed tomography (CT)-based customized 3D cardiac model. A 10-month-old male poodle was referred for corrective surgery for an ASD. Echocardiography confirmed a hemodynamically significant left-to-right shunting flow through an interatrial septal defect and severe right-sided heart volume overload. For a comprehensive diagnosis, a CT scan was performed, which confirmed an SVASD with PAPVCs. A customized 3D cardiac model was used for preoperative decision-making and surgical rehearsal. The defect was repaired using an autologous pericardial patch under a cardiopulmonary bypass (CPB). Temporary pacing was applied for sinus bradycardia and third-degree atrioventricular block. The patient recovered from the anesthesia without further complications. The pacemaker was removed during hospitalization and the patient was discharged without complications 2 weeks post-surgery. At the three-month follow-up, there was no shunting flow in the interatrial septum and the right-sided volume overload had been resolved. The cardiac medications were discontinued, and there were no complications. This report indicates the validity of surgical correction under CPB for an SVASD with PAPVCs, and the advantages of utilizing a CT-based 3D cardiac model for preoperative planning to increase the surgical success rate. Full article
(This article belongs to the Special Issue Advances in Small Animal Cardiology)
Show Figures

Figure 1

24 pages, 5569 KB  
Article
Timeline of Developmental Defects Generated upon Genetic Inhibition of the Retinoic Acid Receptor Signaling Pathway
by Marius Teletin, Manuel Mark, Olivia Wendling, Nadège Vernet, Betty Féret, Muriel Klopfenstein, Yann Herault and Norbert B. Ghyselinck
Biomedicines 2023, 11(1), 198; https://doi.org/10.3390/biomedicines11010198 - 12 Jan 2023
Cited by 4 | Viewed by 3160
Abstract
It has been established for almost 30 years that the retinoic acid receptor (RAR) signalling pathway plays essential roles in the morphogenesis of a large variety of organs and systems. Here, we used a temporally controlled genetic ablation procedure to precisely determine the [...] Read more.
It has been established for almost 30 years that the retinoic acid receptor (RAR) signalling pathway plays essential roles in the morphogenesis of a large variety of organs and systems. Here, we used a temporally controlled genetic ablation procedure to precisely determine the time windows requiring RAR functions. Our results indicate that from E8.5 to E9.5, RAR functions are critical for the axial rotation of the embryo, the appearance of the sinus venosus, the modelling of blood vessels, and the formation of forelimb buds, lung buds, dorsal pancreatic bud, lens, and otocyst. They also reveal that E9.5 to E10.5 spans a critical developmental period during which the RARs are required for trachea formation, lung branching morphogenesis, patterning of great arteries derived from aortic arches, closure of the optic fissure, and growth of inner ear structures and of facial processes. Comparing the phenotypes of mutants lacking the 3 RARs with that of mutants deprived of all-trans retinoic acid (ATRA) synthesising enzymes establishes that cardiac looping is the earliest known morphogenetic event requiring a functional ATRA-activated RAR signalling pathway. Full article
Show Figures

Figure 1

10 pages, 3270 KB  
Article
Three-Dimensional-Enabled Surgical Planning for the Correction of Right Partial Anomalous Pulmonary Venous Return
by Claudia Cattapan, Alvise Guariento, Olimpia Bifulco, Raphael Caraffa, Francesco Bertelli, Elena Reffo, Massimo Padalino, Giovanni Di Salvo and Vladimiro Vida
J. Clin. Med. 2023, 12(2), 472; https://doi.org/10.3390/jcm12020472 - 6 Jan 2023
Cited by 1 | Viewed by 2468
Abstract
Objectives: The surgical technique for right partial anomalous pulmonary venous return (PAPVR) depends on the location of the anomalous pulmonary veins (PVs). With this in mind, we sought to evaluate the impact of 3D heart segmentation and reconstruction on preoperative surgical planning. Methods: [...] Read more.
Objectives: The surgical technique for right partial anomalous pulmonary venous return (PAPVR) depends on the location of the anomalous pulmonary veins (PVs). With this in mind, we sought to evaluate the impact of 3D heart segmentation and reconstruction on preoperative surgical planning. Methods: A retrospective study was conducted on all patients who underwent PAPVR repair at our institution between January 2018 and October 2021; three-dimensional segmentations and reconstructions of all the heart anatomies were performed. A score (the PAPVR score) was established and calculated using two anatomical parameters (the distance between the most cranial anomalous PV and the superior rim of the sinus venosus defect/the sum of the latter and the distance between the PV and the azygos vein) to predict the type of correction. Results: A total of 30 patients were included in the study. The PAPVR score was found to be a good predictor of the type of surgery performed. A value > 0.68 was significantly associated with a Warden procedure (p < 0.001) versus single/double patch repair. Conclusions: Three-dimensional heart segmentations and reconstructions improve the quality of surgical planning in the case of PAPVR and allow for the introduction of a score that may facilitate surgical decisions on the type of repair required. Full article
(This article belongs to the Section Cardiovascular Medicine)
Show Figures

Figure 1

10 pages, 596 KB  
Article
Surgical Outcomes of Three Repair Techniques for Partial Anomalous Pulmonary Venous Connection in Adult Patients
by Aleksander Dokollari, Matteo Cameli, Massimo Maccherini, Haxhire Kafazi, Altin Veshti, Serge Sicouri and Massimo Bonacchi
Hearts 2022, 3(4), 137-146; https://doi.org/10.3390/hearts3040016 - 19 Nov 2022
Viewed by 3889
Abstract
Objectives: To investigate primary and secondary surgical outcomes following transcaval repair (TCR), modified Warden repair, and transatrial repair techniques for partial anomalous pulmonary venous connections (PAPVCs) and sinus venosus atrial septal defects (ASDs). Methods: This is an observational cohort clinical study. Patients who [...] Read more.
Objectives: To investigate primary and secondary surgical outcomes following transcaval repair (TCR), modified Warden repair, and transatrial repair techniques for partial anomalous pulmonary venous connections (PAPVCs) and sinus venosus atrial septal defects (ASDs). Methods: This is an observational cohort clinical study. Patients who underwent TCR, modified Warden repair, and transatrial surgical repair for PAPVC and ASD between January 2003 and October 2019 at our institution were included in the study. Patients had one of the surgical procedures based on the anatomy of the defect. Results: Ten patients, seven (70%) males and three (30%) females, were included in the analysis. Seven patients underwent TCR, two patients the modified Warden technique, and one patient underwent transatrial surgical repair. Mean age was 57 years ± 14.7. Mean EuroScore II was 3.4 ± 3.5. The baseline left ventricle ejection fraction was 45 ± 6.5%. No patient had previous stroke, pacemaker (PM) implantation, or myocardial infarction. Total cardiopulmonary bypass and cross-clamping time were 123 ± 72.5 and 100 ± 48.5 min, respectively. Mean mechanical ventilation, mean intensive care unit, and mean hospital length of stay for the transcaval, modified Warden, and transatrial groups were 4.6 ± 10.7, 5.7 ± 8.8, and 10.5 ± 9.2 days, respectively. Superior caval or pulmonary venous obstruction, sinus node dysfunction, and PM implantation were not present at follow-up. The patient who underwent transatrial repair had died at 5.5-year follow-up due to myocardial infarction. Total survival rate at 6 years was 90%. Conclusions: The findings from this study elicit that all three techniques have low postoperative morbidity and are feasible and reliable procedures. Full article
Show Figures

Figure 1

4 pages, 238 KB  
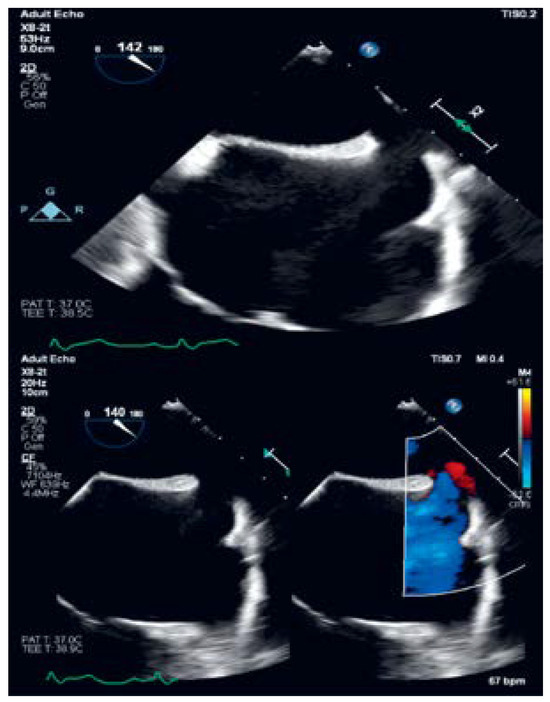
Interesting Images
Sinus Venosus Atrial Septal Defect with Partial Anomalous Pulmonary Vein Return
by Renata Wojtal, Andres Spirig, Tim Ohletz, Laurent M. Haegeli and Tobias A. Fuchs
Cardiovasc. Med. 2022, 25(4), 124; https://doi.org/10.4414/cvm.2022.02215 - 1 Jul 2022
Viewed by 230
Abstract
We report a 44-year-old patient, who was initially referred for routine cardiac evaluation, because of family history of sudden cardiac death and a probable new onset of a right bundle branch block (RBBB) on a regular electrocardiogram (ECG) (fig. 1). [...] Full article
Show Figures

Figure 1

37 pages, 73340 KB  
Review
Role of Echocardiography in the Diagnosis and Interventional Management of Atrial Septal Defects
by P. Syamasundar Rao
Diagnostics 2022, 12(6), 1494; https://doi.org/10.3390/diagnostics12061494 - 18 Jun 2022
Cited by 15 | Viewed by 13465
Abstract
This review centers on the usefulness of echo-Doppler studies in the diagnosis of ostium secundum atrial septal defects (ASDs) and in their management, both in children and adults. Transthoracic echocardiography can easily identify the secundum ASDs and also differentiate secundum ASDs from other [...] Read more.
This review centers on the usefulness of echo-Doppler studies in the diagnosis of ostium secundum atrial septal defects (ASDs) and in their management, both in children and adults. Transthoracic echocardiography can easily identify the secundum ASDs and also differentiate secundum ASDs from other kinds of ASDs, such as ostium primum ASD, sinus venosus ASD and coronary sinus ASD, as well as patent foramen ovale. Preliminary selection of patients for device occlusion can be made by transthoracic echocardiograms while final selection is based on transesophageal (TEE) or intracardiac (ICE) echocardiographic studies with optional balloon sizing of ASDs. TEE and ICE are extremely valuable in guiding device implantation and in evaluating the position of the device following its implantation. Echo-Doppler evaluation during follow-up is also useful in documenting improvements in ventricular size and function, in assessing the device position, in detecting residual shunts, and in identifying rare device-related complications. Examples of echo images under each section are presented. The reasons why echo-Doppler is very valuable in diagnosing and managing ASDs are extensively discussed. Full article
(This article belongs to the Special Issue Diagnosis and Management of Congenital Heart Disease)
Show Figures

Figure 1

8 pages, 2986 KB  
Case Report
Superior Sinus Venosus Atrial Septal Defect with Partial Anomalous Pulmonary Venous Drainage—Minimally Invasive Approach—Case Report
by Horațiu Moldovan, Andra-Mădălina Sibișan, Robert Țigănașu, Bogdan-Ștefan Popescu, Gabriel Vasile, Daniela Gheorghiță, Ondin Zaharia, Victor Sebastian Costache, Andrada Guță and Adrian Molnar
Medicina 2021, 57(9), 984; https://doi.org/10.3390/medicina57090984 - 18 Sep 2021
Cited by 6 | Viewed by 3630
Abstract
The atrial septal defect is, after bicuspid aortic valve disease, the most common congenital cardiac disease present in the adult population. The most common atrial septal defects are the ostium secundum type (75–80%), followed by the ostium primum type (15%). The sinus venosus [...] Read more.
The atrial septal defect is, after bicuspid aortic valve disease, the most common congenital cardiac disease present in the adult population. The most common atrial septal defects are the ostium secundum type (75–80%), followed by the ostium primum type (15%). The sinus venosus atrial septal defects (SV-ASD), defined as a communication in the posterior part of the interatrial septum, account for about 5 to 10% of atrial septal defects. Approximately 90% of SV-ASDs are associated with partial anomalous pulmonary venous drainage (PAPVD). The minimally invasive approach has gained ground in the treatment of ASDs, especially those of the ostium secundum type. The sinus venosus type is a relatively uncommon form of ASD, which, when associated with a PAPVD, is considered a complex cardiac malformation, and is usually treated in a classical manner, through median sternotomy. We describe the case of a 45-year-old woman diagnosed in adolescence with SV-ASD with PAPVD, who successfully underwent minimally invasive repair with fresh autologous pericardial patch reconstruction through an anterolateral mini-thoracotomy incision. The patient presented with shortness of breath and fatigue after heavy exertions, episodes of paroxysmal nocturnal dyspnea, palpitations during effort and at rest, and had a history of syncope dating from 17 years previously. Echocardiography revealed an SV-ASD with PAPVD in the right atrium and the intraoperative examination discovered that both right pulmonary veins were draining into the superior vena cava. Full article
Show Figures

Figure 1

16 pages, 3366 KB  
Article
Generation and Application of the Zebrafish heg1 Mutant as a Cardiovascular Disease Model
by Shuxian Lu, Mengyan Hu, Zhihao Wang, Hongkai Liu, Yao Kou, Zhaojie Lyu and Jing Tian
Biomolecules 2020, 10(11), 1542; https://doi.org/10.3390/biom10111542 - 12 Nov 2020
Cited by 36 | Viewed by 6042
Abstract
Cardiovascular disease (CVD) is the leading cause of global mortality, which has caused a huge burden on the quality of human life. Therefore, experimental animal models of CVD have become essential tools for analyzing the pathogenesis, developing drug screening, and testing potential therapeutic [...] Read more.
Cardiovascular disease (CVD) is the leading cause of global mortality, which has caused a huge burden on the quality of human life. Therefore, experimental animal models of CVD have become essential tools for analyzing the pathogenesis, developing drug screening, and testing potential therapeutic strategies. In recent decades, zebrafish has entered the field of CVD as an important model organism. HEG1, a heart development protein with EGF like domains 1, plays important roles in the development of vertebrate cardiovascular system. Loss of HEG1 will affect the stabilization of vascular endothelial cell connection and eventually lead to dilated cardiomyopathy (DCM). Here, we generated a heg1-specific knockout zebrafish line using CRISPR/Cas9 technology. Zebrafish heg1 mutant demonstrated severe cardiovascular malformations, including atrial ventricular enlargement, heart rate slowing, venous thrombosis and slow blood flow, which were similar to human heart failure and thrombosis phenotype. In addition, the expression of zebrafish cardiac and vascular markers was abnormal in heg1 mutants. In order to apply zebrafish heg1 mutant in cardiovascular drug screening, four Traditional Chinese Medicine (TCM) herbs and three Chinese herbal monomers were used to treat heg1 mutant. The pericardial area, the distance between sinus venosus and bulbus arteriosus (SV-BA), heart rate, red blood cells (RBCs) accumulation in posterior cardinal vein (PCV), and blood circulation in the tail vein were measured to evaluate the therapeutic effects of those drugs on DCM and thrombosis. Here, a new zebrafish model of DCM and thrombosis was established, which was verified to be suitable for drug screening of cardiovascular diseases. It provided an alternative method for traditional in vitro screening, and produced potential clinical related drugs in a rapid and cost-effective way. Full article
(This article belongs to the Special Issue Fish as Simple Models for Human Disease and Drug Screen)
Show Figures

Figure 1

5 pages, 730 KB  
Case Report
Sinus Venosus and Unroofed Coronary Sinus Defects: Two Cases Diagnosed and Treated in Adulthood
by Karimzadeh Soran, Sologashvili Tornike, Myers Patrick O., Hachulla Anne-Lise, Lador Frederic, Bouchardy Judith and Noble Stephane
Cardiovasc. Med. 2019, 22(6), w02074; https://doi.org/10.4414/cvm.2019.02074 - 17 Dec 2019
Cited by 1
Abstract
Interatrial communications are the most frequent congenital heart malformation in adulthood. Four different types of atrial defect are identified: the ostium secundum, ostium primum, sinus venosus and unroofed coronary sinus types. The unroofed coronary sinus defect is the rarest form of interatrial communication [...] Read more.
Interatrial communications are the most frequent congenital heart malformation in adulthood. Four different types of atrial defect are identified: the ostium secundum, ostium primum, sinus venosus and unroofed coronary sinus types. The unroofed coronary sinus defect is the rarest form of interatrial communication accounting for <1% overall. The presence of a persistent left superior vena cava is frequent in this form of atrial defect and associated anomalous pulmonary venous return has been described. The sinus venosus form – accounting for 5 to 10% of atrial defects – is a communication between the two atria localised within the mouth of the caval vein, which has a biatrial connection. It most frequently involves the superior vena cava and anomalous pulmonary venous return (usually the right upper pulmonary vein) and is associated with 85% of atrial defects. We report typical examples of sinus venosus and unroofed coronary sinus defects associated with anomalous pulmonary venous return. Full article
200 KB  
Case Report
A Case Report of Eustachian Valve Endocarditis Due to Salmonella typhimurium in an Aids Patient
by Dima Youssef, Tariq S. Marroush and Farah Tanveer
Germs 2019, 9(3), 154-157; https://doi.org/10.18683/germs.2019.1170 - 2 Sep 2019
Cited by 7 | Viewed by 118
Abstract
Introduction: The eustachian valve is a normal remnant of the right valve of the sinus venosus, which directs blood in the embryo life from the inferior vena cava into the left atrium through the foramen ovale. Case report: We report a case of [...] Read more.
Introduction: The eustachian valve is a normal remnant of the right valve of the sinus venosus, which directs blood in the embryo life from the inferior vena cava into the left atrium through the foramen ovale. Case report: We report a case of eustachian valve endocarditis (EVE) secondary to Salmonella typhimurium in a patient with acquired immunodeficiency syndrome (AIDS). The patient also had concomitant Pneumocystis pneumonia. Discussion: Salmonella bacteremia is one of the AIDS-defining illnesses, and many patients will have recurrent episodes. Salmonella endocarditis on the other hand is rare, but when present, it has a significant morbidity and mortality. EVE rarely requires surgical intervention, and the appropriate antibiotics are the treatment of choice. Conclusions: We recommend clinicians to consider obtaining an echocardiography in AIDS patients with Salmonella bacteremia to search for possible endocarditis, as it does change the treatment plan. Full article
Show Figures

Figure 1

Back to TopTop