Pseudopus apodus Soft Tissue Anatomy Based on Comparison of Classical Dissection and Multi-Detector Computed Tomography
Simple Summary
Abstract
1. Introduction
2. Material and Methods
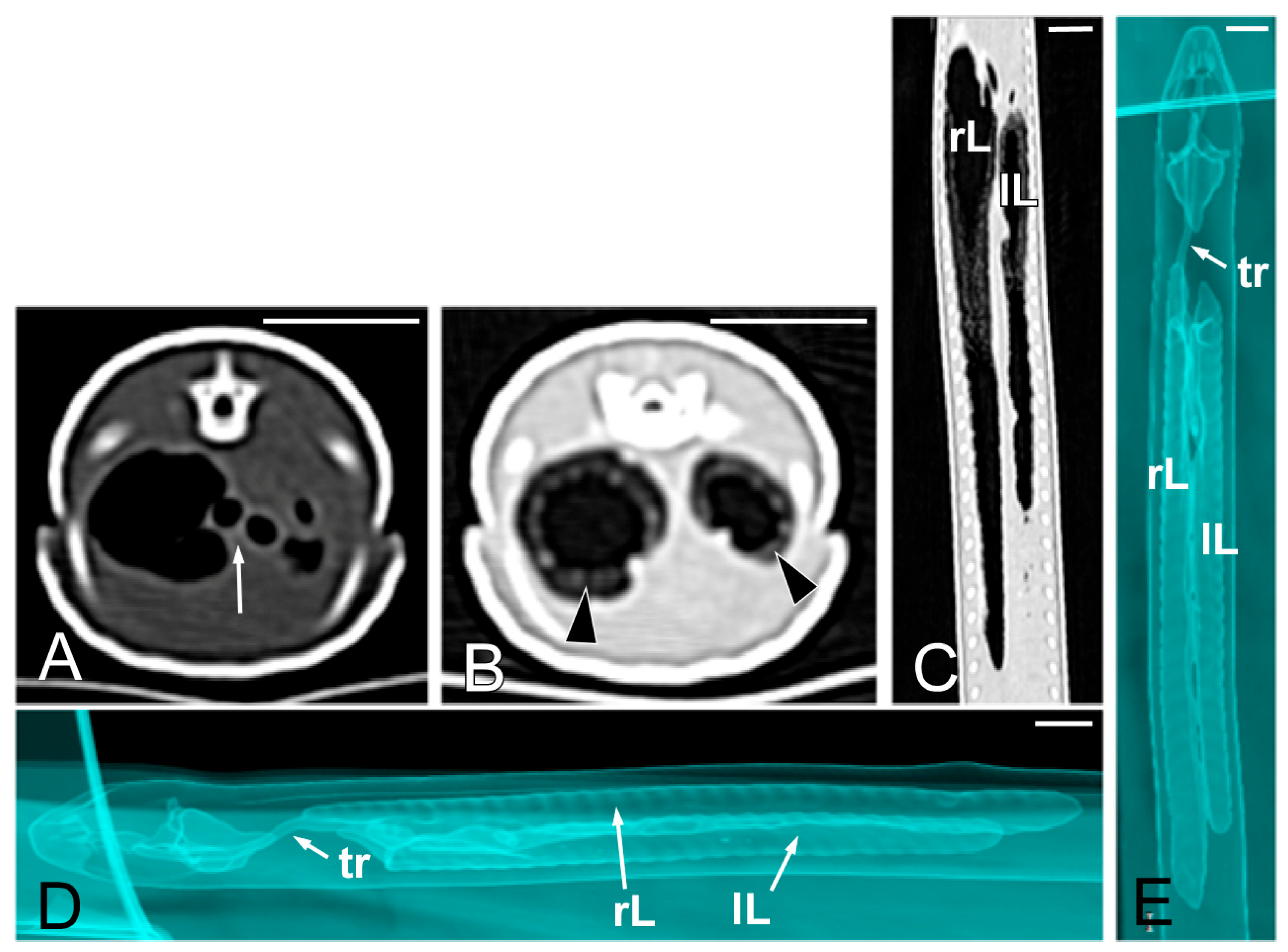
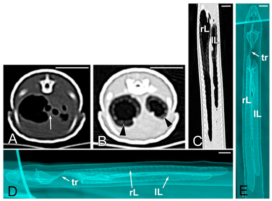
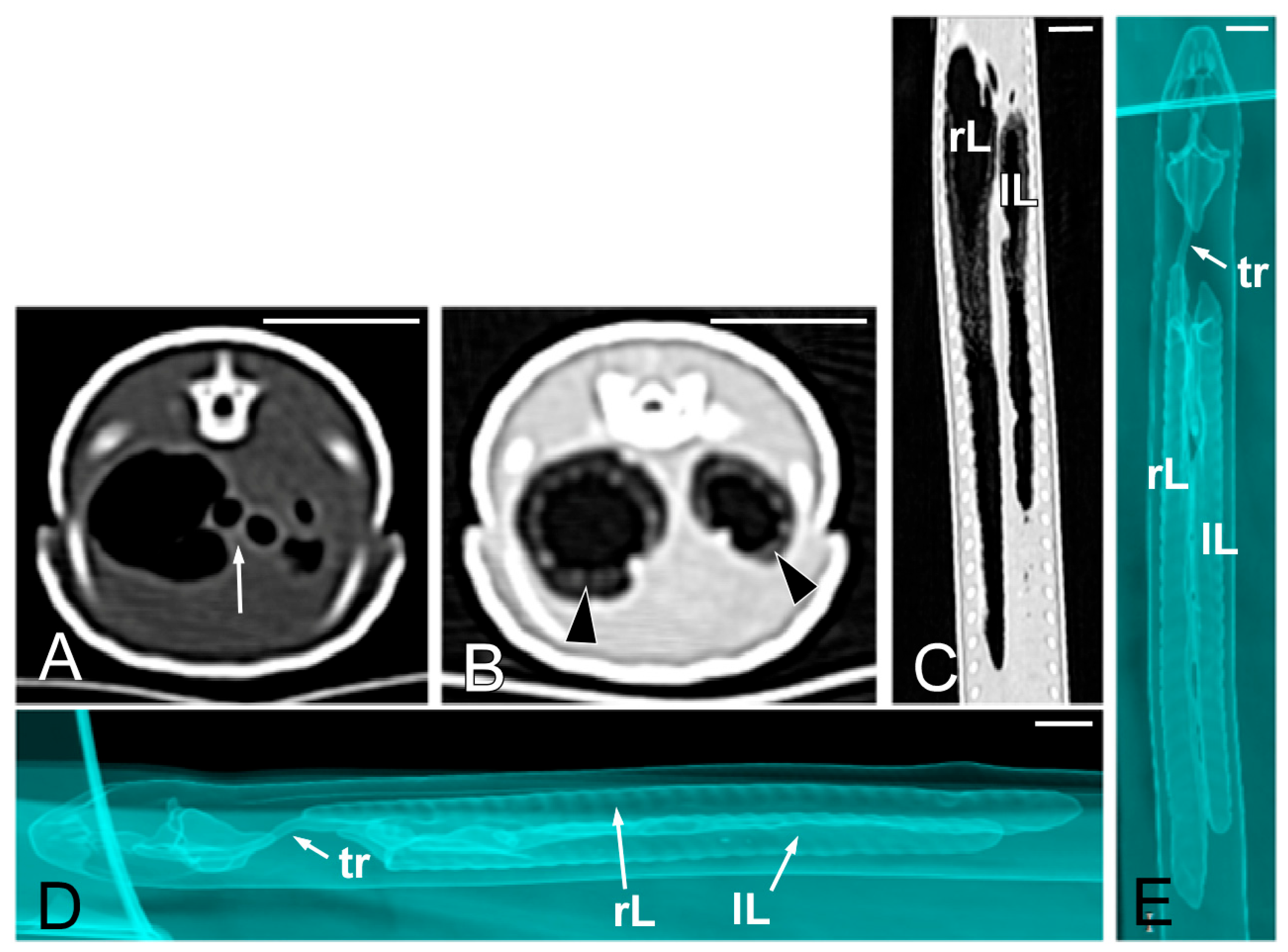
3. Results

4. Discussion
4.1. Anatomy
4.2. Imaging Diagnosis
5. Conclusions
Author Contributions
Funding
Institutional Review Board Statement
Informed Consent Statement
Data Availability Statement
Acknowledgments
Conflicts of Interest
Abbreviations
| a | atria |
| aa | aortic arches |
| Ag | adrenal glands |
| ao | dorsal aorta |
| B | bladder |
| C | cloaca |
| cv | cranial cava vein |
| cvc | caudal cava vein |
| E | esophagus |
| el | eyelid |
| ey | eye |
| G | gallbladder |
| gt | glottis |
| Hp | hemipenis |
| hy | hyoid bone |
| li | large intestine |
| lg | lateral groove |
| lL | left lung |
| Kd | kidney |
| Lv | liver |
| m | mouth |
| L | lungs |
| ns | nostril |
| Od | ovarian duct |
| oc | otic cleft |
| oo | oocytes |
| O | ovary |
| P | pancreas |
| pe | parietal eye |
| pm | pterygoideus muscles |
| rL | right lung |
| S | stomach |
| Si | small intestine |
| Sp | spleen |
| sv | sinus venosus |
| t | teeth |
| tes | testicles |
| Th | thyroid gland |
| to | tongue |
| tr | trachea |
| v | ventricle |
| vn | opening of the vomeronasal organ and choanae |
| vs | venous sinus |
References
- Doneley, B. Taxonomy and Introduction to Common Species. In Reptile Medicine and Surgery in Clinical Practice; Wiley: Hoboken, NJ, USA, 2017; pp. 1–14. [Google Scholar]
- Pallas, P. Lacerta apoda descripta. Novi Comment. Acad. Sci. Imp. Petropolitanae 1775, 19, 435–454. [Google Scholar]
- Arnold, N.; Ovenden, D. Reptiles and Amphibians of Europe; Princeton University Press: Princeton, NJ, USA, 2002. [Google Scholar]
- OBST, F.J. Ophisaurus apodus (Pallas, 1775)-Scheltopusik. In: Handbuch der Reptilien und Amphibien Europas. Echsen (Sauria). Akad. Verl. Ges. Wiesb. 1981, 1, 259–274. [Google Scholar]
- Rieppel, O.; Gauthier, J.; Maisano, J. Comparative morphology of the dermal palate in squamate reptiles, with comments on phylogenetic implications. Zool. J. Linn. Soc. 2008, 152, 131–152. [Google Scholar] [CrossRef]
- Klembara, J.; Hain, M.; Dobiašová, K. Comparative anatomy of the lower jaw and dentition of Pseudopus apodus and the interrelationships of species of subfamily Anguinae (Anguimorpha, Anguidae). Anat. Rec. 2014, 297, 516–544. [Google Scholar] [CrossRef] [PubMed]
- Klembara, J.; Dobiašová, K.; Hain, M.; Yaryhin, O. Skull Anatomy and Ontogeny of Legless Lizard Pseudopus apodus (Pallas, 1775): Heterochronic Influences on Form. Anat. Rec. 2017, 300, 460–502. [Google Scholar] [CrossRef]
- Čerňanský, A.; Yaryhin, O.; Ciceková, J.; Werneburg, I.; Hain, M.; Klembara, J. Vertebral Comparative Anatomy and Morphological Differences in Anguine Lizards With a Special Reference to Pseudopus apodus. Anat. Rec. 2019, 302, 232–257. [Google Scholar] [CrossRef]
- Klembara, J.; Yaryhin, O.; Majerová, J.; Hain, M. Comparative anatomy and ontogeny of appendicular skeleton of Pseudopus apodus (Pallas, 1775) (Anguimorpha, Anguidae) and a pattern of hindlimb loss in Anguinae. Anat. Rec. 2022, 305, 2290–2311. [Google Scholar] [CrossRef]
- Čerňanský, A.; Klembara, J. A skeleton of Ophisaurus (Squamata: Anguidae) from the middle Miocene of Germany, with a revision of the partly articulated postcranial material from Slovakia using micro-computed tomography. J. Vertebr. Paleontol. 2017, 37, e1333515. [Google Scholar] [CrossRef]
- Klembara, J.; Rummel, M. New material of Ophisaurus, Anguis and Pseudopus (Squamata, Anguidae, Anguinae) from the Miocene of the Czech Republic and Germany and systematic revision and palaeobiogeography of the Cenozoic Anguinae. Geol. Mag. 2018, 155, 20–44. [Google Scholar] [CrossRef]
- Klembara, J.; Čerňanský, A. Revision of the cranial anatomy of Ophisaurus acuminatus Jörg, 1965 (Anguimorpha, Anguidae) from the late Miocene of Germany. Geodiversitas 2020, 42, 539–557. [Google Scholar] [CrossRef]
- Georgalis, G.L.; Scheyer, T.M. Lizards and snakes from the earliest Miocene of Saint-Gérand-le-Puy, France: An anatomical and histological approach of some of the oldest Neogene squamates from Europe. BMC Ecol. Evol. 2021, 21, 144. [Google Scholar] [CrossRef] [PubMed]
- Directive 2010/63/eu of the European Parliament and of the Council of 22 September 2010 on the Protection of Animals Used for Scientific Purposes (Text with EEA Relevance). Available online: https://eur-lex.europa.eu/LexUriServ/LexUriServ.do?uri=OJ:L:2010:276:0033:0079:en:PDF (accessed on 12 July 2020).
- Kukushkin, O.V.; Dovgal, I.V. Sexual dimorphis in Pseudopus apodus (Reptilia: Sauria: Anguidae) from the steppe crimea. Ecol. Monten. 2018, 19, 1–21. [Google Scholar] [CrossRef][Green Version]
- Meckel, J.F. Deutsches Archiv für die Physiologie; HardPress Publishing: Ottawa, ON, Canada, 1818; Volume 4. [Google Scholar]
- López-Gracia, M.L.; Ros, M.A. Left-right asymmetry in vertebrate development. Adv. Anat. Embryol. Cell Biol. 2007, 188, 1–121. [Google Scholar] [PubMed]
- Lambertz, M.; Arenz, N.; Grommes, K. Variability in pulmonary reduction and asymmetry in a serpentiform lizard: The sheltopusik, Pseudopus apodus (Pallas, 1775). Vertebr. Zool. 2018, 68, 21–26. [Google Scholar] [CrossRef]
- van Soldt, B.J.; Metscher, B.D.; Poelmann, R.E.; Vervust, B.; Vonk, F.J.; Müller, G.B.; Richardson, M.K. Heterochrony and early left-right asymmetry in the development of the cardiorespiratory system of snakes. PLoS ONE 2015, 10, e116416. [Google Scholar] [CrossRef]
- Butler, G.W. On the complete or partial suppression of the right lung in the Amphisbaenidae and of the left ung in snaks and snake-like lizards and amphibians. Proc. Zool. Soc. Lond. 1895, 1895, 691–712. [Google Scholar]
- Perry, S.; Duncker, H.-R. Lung architecture, volume and static mechanics in five species of lizards. Respir. Physiol. 1978, 34, 61–81. [Google Scholar] [CrossRef]
- Crook, J.M.; Parsons, T.S. Visceral anatomy of the Amphisbaenia. J. Morphol. 1980, 163, 99–133. [Google Scholar] [CrossRef]
- Navega-Gonçalves, M.E. Anatomia visceral comparada de seis espécies de Amphisbaenidae (Squamata: Amphisbaenia). Zoölogia 2009, 26, 511–526. [Google Scholar] [CrossRef]
- Navega-Gonçalves, M.E.; Silva, J.R.M.C. Respiratory system of Amphisbaena vermicularis and Amphisbaena microcephala (Squamata, Amphisbaenia, Amphisbaenidae). Iheringia-Ser. Zool. 2013, 103, 20–30. [Google Scholar] [CrossRef]
- Vitt, L.J.; Caldwell, J.P. Herpetology: An Introductory Biology of Amphibians and Reptiles; Academic Press: Cambridge, MA, USA, 2008. [Google Scholar]
- Greco, A.; Meomartino, L.; Gnudi, G.; Brunetti, A.; Di Giancamillo, M. Imaging techniques in veterinary medicine. Part II: Computed tomography, magnetic resonance imaging, nuclear medicine. Eur. J. Radiol. Open 2023, 10, 100467. [Google Scholar] [CrossRef] [PubMed]
- Gumpenberger, M.; Henninger, W. The use of computed tomography in avian and reptile medicine. Semin. Avian Exot. Pet Med. 2001, 10, 174–180. [Google Scholar] [CrossRef]
- Arencibia, A.; Rivero, M.A.; De Miguel, I.; Contreras, S.; Cabrero, A.; Orós, J. Computed tomographic anatomy of the head of the loggerhead sea turtle (Caretta caretta). Res. Vet. Sci. 2006, 81, 165–169. [Google Scholar] [CrossRef] [PubMed]
- Valente, A.L.; Cuenca, R.; Zamora, M.; Parga, M.L.; Lavin, S.; Alegre, F.; Marco, I. Computed tomography of the vertebral column and coelomic structures in the normal loggerhead sea turtle (Caretta caretta). Vet. J. 2007, 174, 362–370. [Google Scholar] [CrossRef] [PubMed]
- Pees, M.C.; Kiefer, I.; Ludewig, E.W.; Schumacher, J.P.; Krautwald-Junghanns, M.E.; Oechtering, G.U. Computed tomography of the lungs of Indian pythons (Python molurus). Am. J. Vet. Res. 2007, 68, 428–434. [Google Scholar] [CrossRef]
- Pees, M.; Kiefer, I.; Thielebein, J.; Oechtering, G.; Krautwald-Junghanns, M.E. Computed tomography of the lung of healthy snakes of the species Python regius, Boa constrictor, Python reticulatus, Morelia viridis, Epicrates cenchria, and Morelia spilota. Vet. Radiol. Ultrasound 2009, 50, 487–491. [Google Scholar] [CrossRef]
- Banzato, T.; Russo, E.; Di Toma, A.; Palmisano, G.; Zotti, A. Evaluation of radiographic, computed tomographic, and cadaveric anatomy of the head of boa constrictors. Am. J. Vet. Res. 2011, 72, 1592–1599. [Google Scholar] [CrossRef]
- Banzato, T.; Selleri, P.; Veladiano, I.A.; Martin, A.; Zanetti, E.; Zotti, A. Comparative evaluation of the cadaveric, radiographic and computed tomographic anatomy of the heads of green iguana (Iguana iguana), common tegu (Tupinambis merianae) and bearded dragon (Pogona vitticeps). BMC Vet. Res. 2012, 8, 53. [Google Scholar] [CrossRef]
- Banzato, T.; Selleri, P.; Veladiano, I.A.; Zotti, A. Comparative evaluation of the cadaveric and computed tomographic features of the coelomic cavity in the green iguana (Iguana iguana), black and white tegu (Tupinambis merianae) and bearded dragon (Pogona vitticeps). Anat. Histol. Embryol. 2013, 42, 453–460. [Google Scholar] [CrossRef]
- Nardini, G.; Di Girolamo, N.; Leopardi, S.; Paganelli, I.; Zaghini, A.; Origgi, F.C.; Vignoli, M. Evaluation of liver parenchyma and perfusion using dynamic contrast-enhanced computed tomography and contrast-enhanced ultrasonography in captive green iguanas (Iguana iguana) under general anesthesia. BMC Vet. Res. 2014, 10, 112. [Google Scholar] [CrossRef]
- Di Ianni, F.; Volta, A.; Pelizzone, I.; Manfredi, S.; Gnudi, G.; Parmigiani, E. Diagnostic sensitivity of ultrasound, radiography and computed tomography for gender determination in four species of lizards. Vet. Radiol. Ultrasound 2015, 56, 40–45. [Google Scholar] [CrossRef] [PubMed]
- Sochorcova, V.; Proks, P.; Cermakova, E.; Knotek, Z. Contrast-enhanced computed tomography of the liver, gall bladder and urogenital tract in female red-eared terrapins (Trachemys scripta elegans). Vet. Med. 2017, 62, 674–680. [Google Scholar] [CrossRef]
- Ricciardi, M.; Franchini, D.; Valastro, C.; Ciccarelli, S.; Caprio, F.; Eyad Assad, A.; Di Bello, A. Multidetector Computed Tomographic Anatomy of the Lungs in the Loggerhead Sea Turtle (Caretta caretta). Anat. Rec. 2019, 302, 1658–1665. [Google Scholar] [CrossRef]
- Pérez Alberto, S.; Encinoso, M.; Morales, M.; Arencibia Espinosa, A.; Suárez Bonnet, A.; González Rodríguez, E.; Jáber Mohamad, J.R. Comparative evaluation of the Komodo Dragon (Varanus komodoensis) and the green Iguana (Iguana iguana) skull by three-dimensional computed tomographic reconstruction. Slov. Vet. Res. 2021, 58. [Google Scholar] [CrossRef]
- Yamaguchi, Y.; Kitayama, C.; Tanaka, S.; Kondo, S.; Miyazaki, A.; Okamoto, K.; Yanagawa, M.; Kondoh, D. Computed tomographic analysis of internal structures within the nasal cavities of green, loggerhead and leatherback sea turtles. Anat. Rec. 2021, 304, 584–590. [Google Scholar] [CrossRef]
- González Rodríguez, E.; Encinoso Quintana, M.; Morales Bordon, D.; Garcés, J.G.; Artiles Nuez, H.; Jaber, J.R. Anatomical Description of Rhinoceros Iguana (Cyclura cornuta cornuta) Head by Computed Tomography, Magnetic Resonance Imaging and Gross-Sections. Animals 2023, 13, 955. [Google Scholar] [CrossRef]
- Melero, A.; Verdés, J.; Espada, Y.; Novellas, R.; Encinoso, M.; Martorell, J. Computed tomography of the coelomic cavity in healthy veiled chameleons (Chamaeleo calyptratus) and panther chameleons (Furcifer pardalis). Open Vet. J. 2023, 13, 1071–1081. [Google Scholar] [CrossRef]
- Mohamad, J.R.J.; González-Rodríguez, E.; Arencibia, A.; Déniz, S.; Carrascosa, C.; Encinoso, M. Anatomical Description of Loggerhead Turtle (Caretta caretta) and Green Iguana (Iguana iguana) Skull by Three-Dimensional Computed Tomography Reconstruction and Maximum Intensity Projection Images. Animals 2023, 13, 621. [Google Scholar] [CrossRef]
- Mackey, E.B.; Hernandez-Divers, S.J.; Holland, M.; Frank, P. Clinical Technique: Application of Computed Tomography in Zoological Medicine. J. Exot. Pet Med. 2008, 17, 198–209. [Google Scholar] [CrossRef]
- Banzato, T.; Hellebuyck, T.; Van Caelenberg, A.; Saunders, J.H.; Zotti, A. A review of diagnostic imaging of snakes and lizards. Vet. Rec. 2013, 173, 43–49. [Google Scholar] [CrossRef]
- Gumpenberger, M. Diagnostic Imaging of the Respiratory Tract of the Reptile Patient. Vet. Clin. N. Am. Exot. Anim. Pract. 2021, 24, 293–320. [Google Scholar] [CrossRef] [PubMed]
- Gumpenberger, M. Diagnostic Imaging of Reproductive Tract Disorders in Reptiles. Vet. Clin. N. Am. Exot. Anim. Pract. 2017, 20, 327–343. [Google Scholar] [CrossRef] [PubMed]
- Kircher, B.K.; McCown, M.A.; Scully, D.M.; Behringer, R.R.; Larina, I.V. Structural analysis of the female reptile reproductive system by micro-computed tomography and optical coherence tomography. Biol. Reprod. 2024, 110, 1077–1085. [Google Scholar] [CrossRef] [PubMed]














Disclaimer/Publisher’s Note: The statements, opinions and data contained in all publications are solely those of the individual author(s) and contributor(s) and not of MDPI and/or the editor(s). MDPI and/or the editor(s) disclaim responsibility for any injury to people or property resulting from any ideas, methods, instructions or products referred to in the content. |
© 2025 by the authors. Licensee MDPI, Basel, Switzerland. This article is an open access article distributed under the terms and conditions of the Creative Commons Attribution (CC BY) license (https://creativecommons.org/licenses/by/4.0/).
Share and Cite
García-Real, M.I.; Fernández-Valle, E.; Jiménez, S.; Ruiz-Fernández, M.J.; Castejón-Ferrer, D.; Montesinos-Barceló, A.; Ardiaca-García, M.; Moreno, N.; González-Soriano, J. Pseudopus apodus Soft Tissue Anatomy Based on Comparison of Classical Dissection and Multi-Detector Computed Tomography. Animals 2025, 15, 615. https://doi.org/10.3390/ani15050615
García-Real MI, Fernández-Valle E, Jiménez S, Ruiz-Fernández MJ, Castejón-Ferrer D, Montesinos-Barceló A, Ardiaca-García M, Moreno N, González-Soriano J. Pseudopus apodus Soft Tissue Anatomy Based on Comparison of Classical Dissection and Multi-Detector Computed Tomography. Animals. 2025; 15(5):615. https://doi.org/10.3390/ani15050615
Chicago/Turabian StyleGarcía-Real, María Isabel, Encarnación Fernández-Valle, Sara Jiménez, María José Ruiz-Fernández, David Castejón-Ferrer, Andrés Montesinos-Barceló, María Ardiaca-García, Nerea Moreno, and Juncal González-Soriano. 2025. "Pseudopus apodus Soft Tissue Anatomy Based on Comparison of Classical Dissection and Multi-Detector Computed Tomography" Animals 15, no. 5: 615. https://doi.org/10.3390/ani15050615
APA StyleGarcía-Real, M. I., Fernández-Valle, E., Jiménez, S., Ruiz-Fernández, M. J., Castejón-Ferrer, D., Montesinos-Barceló, A., Ardiaca-García, M., Moreno, N., & González-Soriano, J. (2025). Pseudopus apodus Soft Tissue Anatomy Based on Comparison of Classical Dissection and Multi-Detector Computed Tomography. Animals, 15(5), 615. https://doi.org/10.3390/ani15050615

