A Case Report of Eustachian Valve Endocarditis Due to Salmonella typhimurium in an Aids Patient
Abstract
Introduction
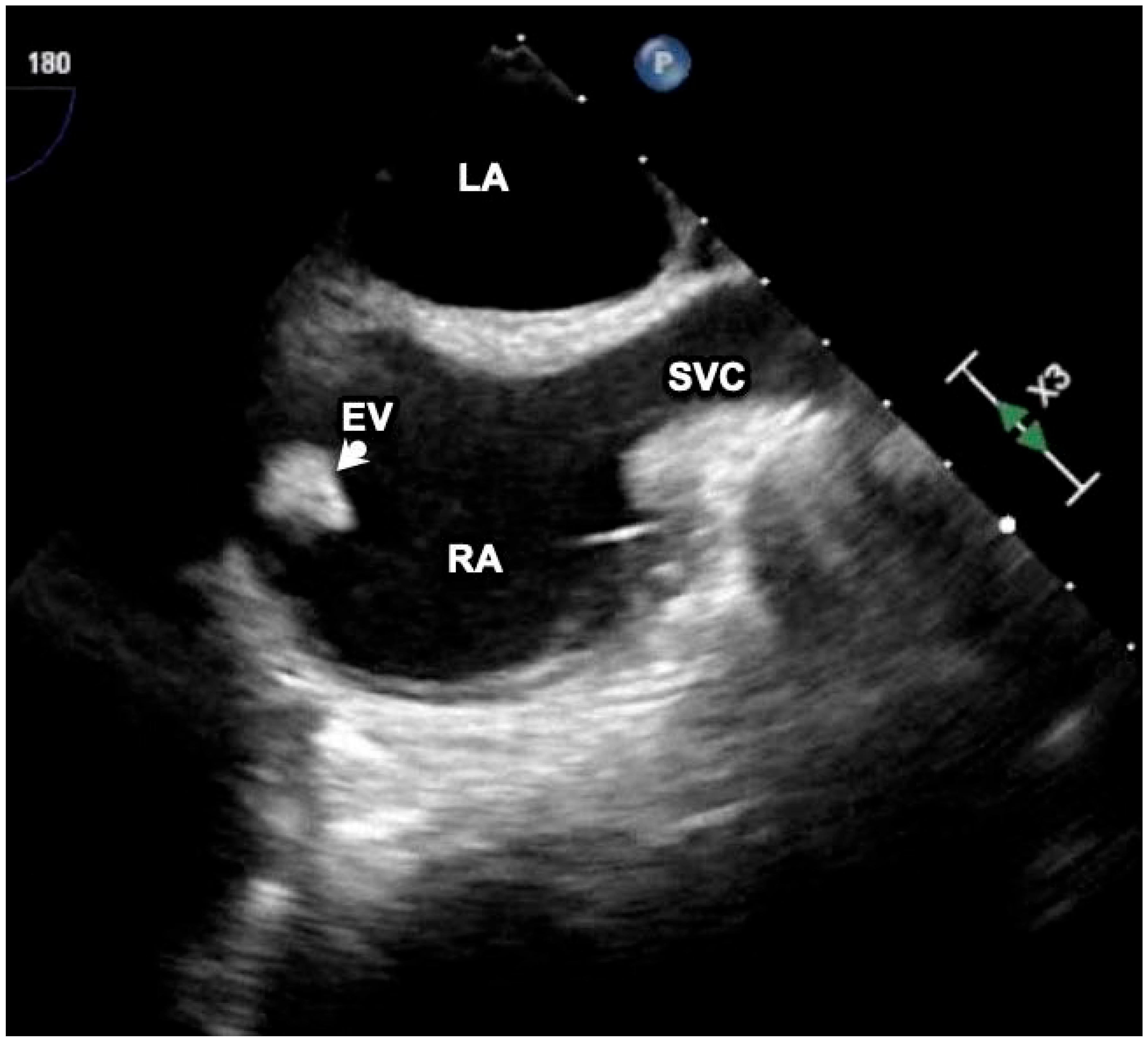
Case Report
Review of the Literature
Discussion
Conclusions
Author Contributions
Funding
Consent
Conflicts of Interest
References
- Pellicelli AM, Pino P, Terranova A, D’Ambrosio C, Soccorsi F. Eustachian valve endocarditis: A rare localization of right-side endocarditis. A case report and review of the literature. Cardiovasc Ultrasound 2005, 3, 30. [CrossRef] [PubMed]
- Edwards AD, Vickers MA, Morgan CJ. Infective endocarditis affecting the eustachian valve. Br Heart J 1986, 56, 561–562. [CrossRef] [PubMed]
- Kottam A, Kaur R, Bhandare D; et al. Actinomycotic endocarditis of the eustachian valve: A rare case and a review of the literature. Tex Heart Inst J 2015, 42, 44–49. [CrossRef] [PubMed]
- Palakodeti V, Keen WD Jr, Rickman LS, Blanchard DG. Eustachian valve endocarditis: Detection with multiplane transesophageal echocardiography. Clin Cardiol 1997, 20, 579–580. [CrossRef] [PubMed]
- Waymack JR, Sundareshan V. Acquired immune deficiency syndrome (AIDS). In StatPearls [Internet]; StatPearls Publishing: Treasure Island, FL, USA, 2019.
- Fischl MA, Dickinson GM, Sinave C, Pitchenik AE, Cleary TJ. Salmonella bacteremia as manifestation of acquired immunodeficiency syndrome. Arch Intern Med 1986, 146, 113–115. [CrossRef]
- Hung CC, Hung MN, Hsueh PR; et al. Risk of recurrent nontyphoid Salmonella bacteremia in HIV-infected patients in the era of highly active antiretroviral therapy and an increasing trend of fluoroquinolone resistance. Clin Infect Dis 2007, 45, e60–e67. [CrossRef] [PubMed]
- Kaplan JE, Benson C, Holmes KK; et al. Guidelines for prevention and treatment of opportunistic infections in HIV-infected adults and adolescents: Recommendations from CDC, the National Institutes of Health, and the HIV Medicine Association of the Infectious Diseases Society of America. MMWR Recomm Rep 2009, 58, 1–207, quiz CE1-4.
- Cheng WL, Li CW, Li MC, Lee NY, Lee CC, Ko WC. Salmonella infective endocarditis. J Microbiol Immunol Infect. 2016, 49, 313–320.
- Alves M, Faria R, Messias A, Meneses-Oliveira C. Eustachian valve endocarditis: Echocardiographic diagnosis in a critical care patient. Case Rep Crit Care 2018, 2018, 5193976.

| Characteristics | Patients (N = 31) |
|---|---|
| Predisposing factors | |
| Intravenous drug use | 13 |
| Central line | 8 |
| Pacemaker or AICD | 2 |
| Pneumonia | 1 |
| Rheumatic mitral valve | 1 |
| Poor dentition | 1 |
| Acute cholecystitis | 1 |
| Intrauterine device | 1 |
| Preterm | 1 |
| None | 2 |
| Organism | |
| Staphylococcus aureus | 18 |
| Klebsiella pneumoniae | 2 |
| Staphylococcus hominis | 1 |
| Streptococcus viridans | 1 |
| Enterobacter cloacae | 1 |
| Escherichia coli | 1 |
| Proteus vulgaris | 1 |
| Actinomyces israelii | 1 |
| Actinomyces turicensis | 1 |
| Candida albicans | 1 |
| Not reported | 3 |
© GERMS 2025.
Share and Cite
Youssef, D.; Marroush, T.S.; Tanveer, F. A Case Report of Eustachian Valve Endocarditis Due to Salmonella typhimurium in an Aids Patient. Germs 2019, 9, 154-157. https://doi.org/10.18683/germs.2019.1170
Youssef D, Marroush TS, Tanveer F. A Case Report of Eustachian Valve Endocarditis Due to Salmonella typhimurium in an Aids Patient. Germs. 2019; 9(3):154-157. https://doi.org/10.18683/germs.2019.1170
Chicago/Turabian StyleYoussef, Dima, Tariq S. Marroush, and Farah Tanveer. 2019. "A Case Report of Eustachian Valve Endocarditis Due to Salmonella typhimurium in an Aids Patient" Germs 9, no. 3: 154-157. https://doi.org/10.18683/germs.2019.1170
APA StyleYoussef, D., Marroush, T. S., & Tanveer, F. (2019). A Case Report of Eustachian Valve Endocarditis Due to Salmonella typhimurium in an Aids Patient. Germs, 9(3), 154-157. https://doi.org/10.18683/germs.2019.1170
