Changes in Cellular Regulatory Factors before and after Decompression of Odontogenic Keratocysts
Abstract
1. Introduction
2. Materials and Methods
2.1. Materials
2.2. Immunohistochemistry (IHC) Staining
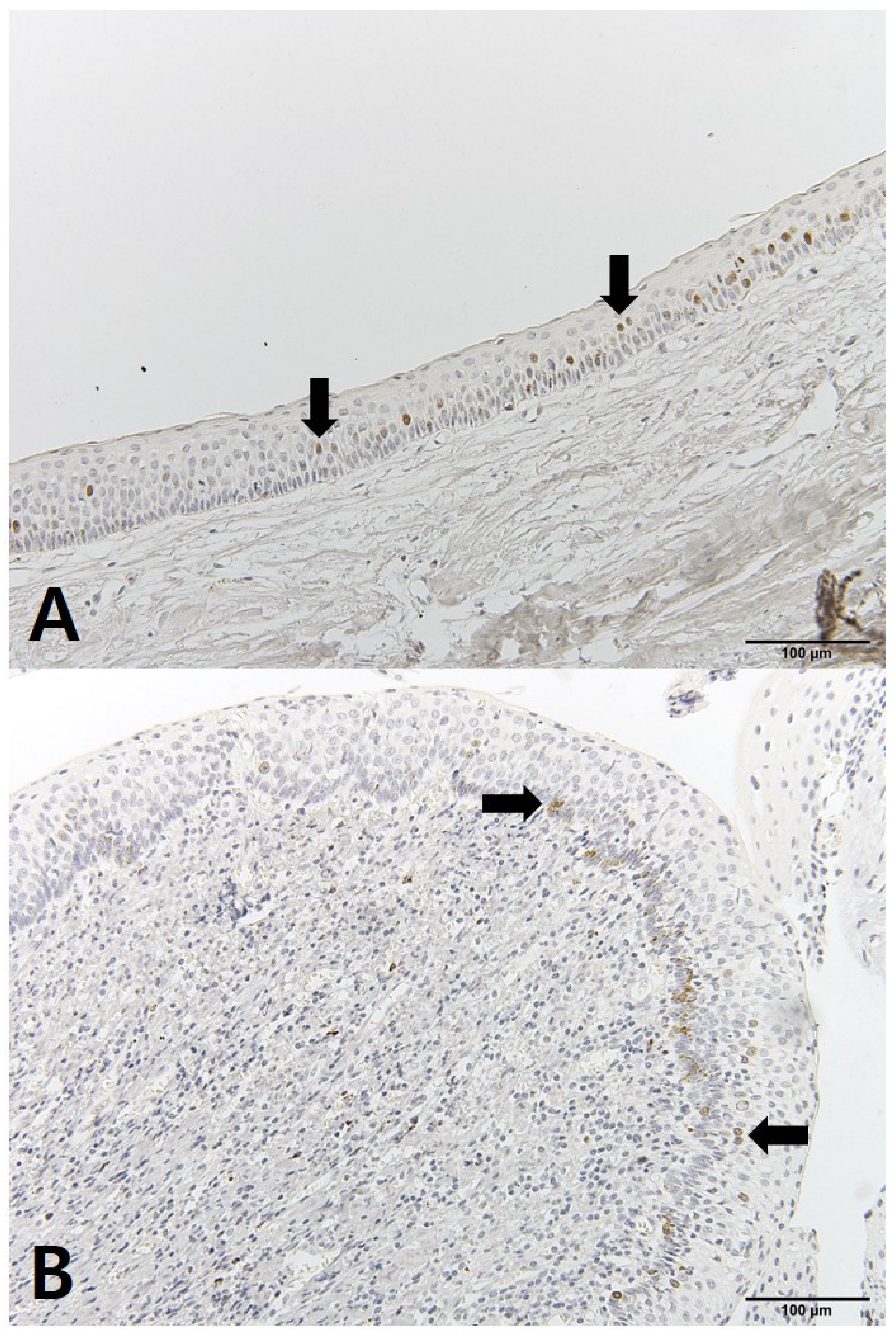
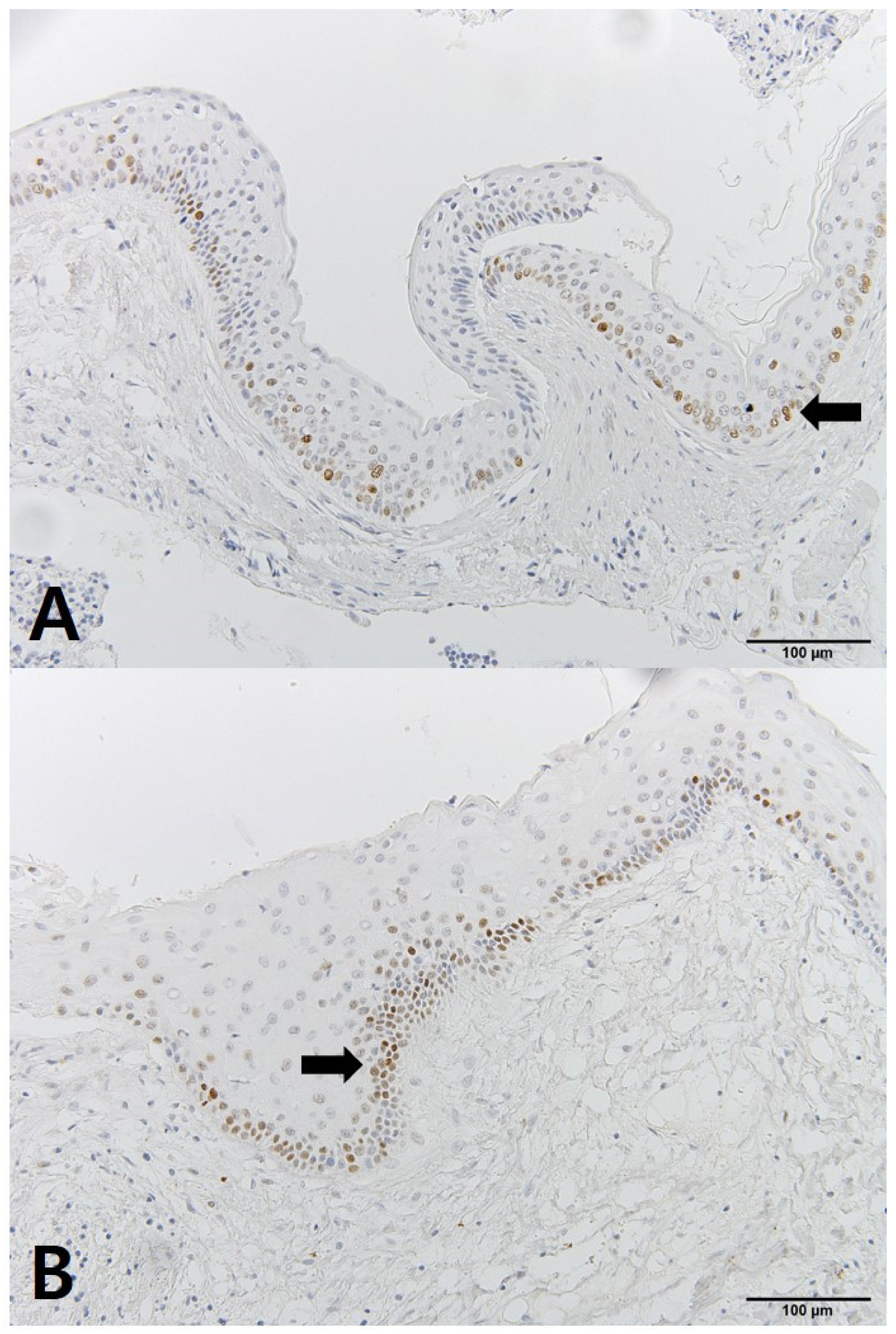
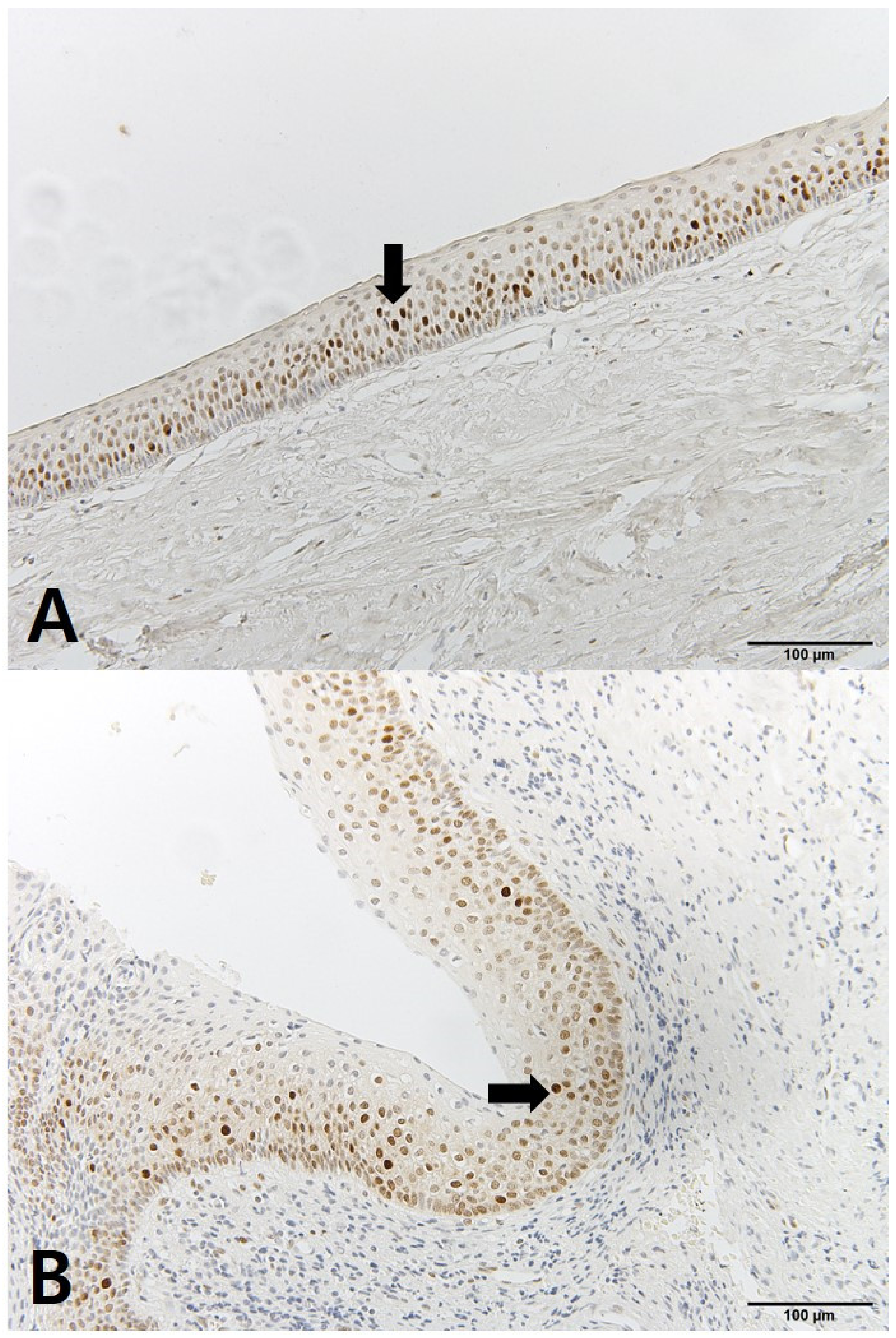
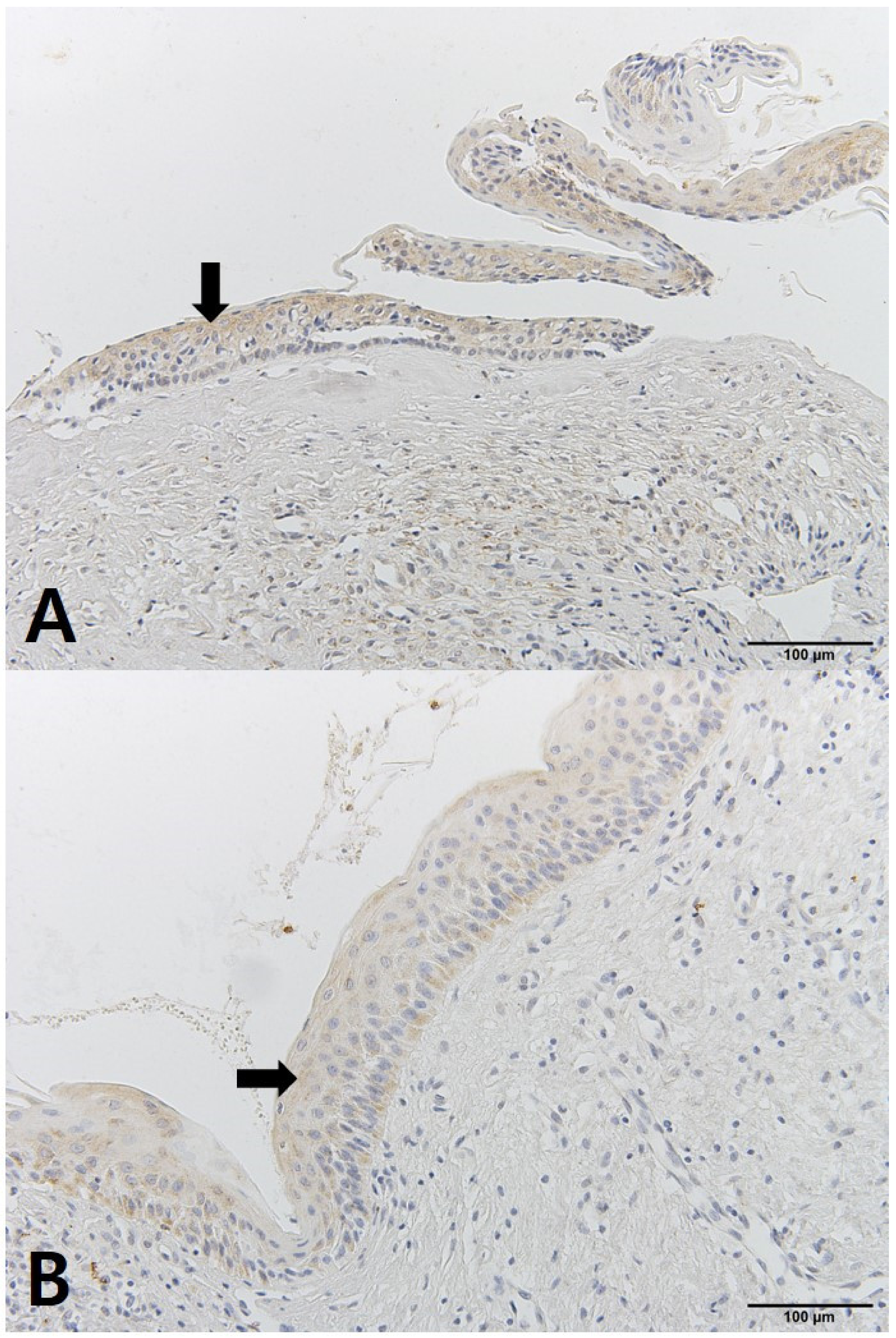
2.2.1. Markers
- Bcl-2
- B.
- EGFR
- C.
- Ki-67
- D.
- P53
- E.
- PCNA
- F.
- SMO
2.2.2. Staining Method
2.3. Staining Counting Method
2.3.1. Measuring Intensity
2.3.2. Measuring Internal Density
2.4. Statistical Analysis
3. Results
3.1. Decompression and Follow Up
3.2. Immunohistochemical Analysis
3.3. Statistical Results
4. Discussion
5. Conclusions
Author Contributions
Funding
Conflicts of Interest
References
- Neville, B.W.; Damm, D.D.; Allen, C.M.; Chi, A.C. Oral and Maxillofacial Pathology; Elsevier Health Sciences: London, UK, 2015. [Google Scholar]
- Ahlfors, E.; Larsson, Å.; Sjögren, S. The odontogenic keratocyst: A benign cystic tumor? J. Oral Maxillofac. Surg. 1984, 42, 10–19. [Google Scholar] [CrossRef]
- Maurette, P.E.; Jorge, J.; de Moraes, M. Conservative treatment protocol of odontogenic keratocyst: A preliminary study. J. Oral Maxillofac. Surg. 2006, 64, 379–383. [Google Scholar] [CrossRef] [PubMed]
- Bataineh, A.B.; Al Qudah, M.A. Treatment of mandibular odontogenic keratocysts. Oral Surg. Oral Med. Oral Pathol. Oral Radiol. Endodontology 1998, 86, 42–47. [Google Scholar] [CrossRef]
- Kaczmarzyk, T.; Mojsa, I.; Stypulkowska, J. A systematic review of the recurrence rate for keratocystic odontogenic tumour in relation to treatment modalities. Int. J. Oral Maxillofac. Surg. 2012, 41, 756–767. [Google Scholar] [CrossRef]
- Barnes, L.; Eveson, J.W.; Sidransky, D.; Reichart, P. Pathology and Genetics of Head and Neck Tumours; IARC: Lyon, France, 2005; Volume 9. [Google Scholar]
- Gomes, C.C.; Diniz, M.G.; Gomez, R.S. Review of the molecular pathogenesis of the odontogenic keratocyst. Oral Oncol. 2009, 45, 1011–1014. [Google Scholar] [CrossRef] [PubMed]
- Shear, M. The aggressive nature of the odontogenic keratocyst: Is it a benign cystic neoplasm? Part 1. Clinical and early experimental evidence of aggressive behaviour. Oral Oncol. 2002, 38, 219–226. [Google Scholar] [CrossRef]
- Soluk-Tekkeşin, M.; Wright, J.M. The World Health Organization classification of odontogenic lesions: A summary of the changes of the 2017 (4th) edition. Turk. Patoloji. Derg. 2018, 34, 1–18. [Google Scholar] [CrossRef]
- Li, T.J.; Browne, R.; Matthews, J. Epithelial cell proliferation in odontogenic keratocysts: A comparative immunocytochemical study of Ki67 in simple, recurrent and basal cell naevus syndrome (BCNS)-associated lesions. J. Oral Pathol. Med. 1995, 24, 221–226. [Google Scholar] [CrossRef]
- Li, T.J.; Browne, R.; Matthews, J. Quantification of PCNA+ cells within odontogenic jaw cyst epithelium. J. Oral Pathol. Med. 1994, 23, 184–189. [Google Scholar] [CrossRef]
- Ogden, G.; Chisholm, D.; Kiddie, R.; Lane, D. p53 protein in odontogenic cysts: Increased expression in some odontogenic keratocysts. J. Clin. Pathol. 1992, 45, 1007–1010. [Google Scholar] [CrossRef]
- Shear, M. The aggressive nature of the odontogenic keratocyst: Is it a benign cystic neoplasm? Part 2. Proliferation and genetic studies. Oral Oncol. 2002, 38, 323–331. [Google Scholar] [CrossRef]
- Shear, M. The aggressive nature of the odontogenic keratocyst: Is it a benign cystic neoplasm? Part 3. Immunocytochemistry of cytokeratin and other epithelial cell markers. Oral Oncol. 2002, 38, 407–415. [Google Scholar] [CrossRef]
- Rodu, B.; Tate, A.; Martinez, M., Jr. The implications of inflammation in odontogenic keratocysts. J. Oral Pathol. Med. 1987, 16, 518–521. [Google Scholar] [CrossRef] [PubMed]
- Brown, D.; Gatter, K. Ki67 protein: The immaculate deception? Histopathology 2002, 40, 2–11. [Google Scholar] [CrossRef] [PubMed]
- Brøndum, N.; Jensen, V.J. Recurrence of keratocysts and decompression treatment: A long-term follow-up of forty-four cases. Oral Surg. Oral Med. Oral Pathol. 1991, 72, 265–269. [Google Scholar] [CrossRef]
- Boffano, P.; Ruga, E.; Gallesio, C. Keratocystic odontogenic tumor (odontogenic keratocyst): Preliminary retrospective review of epidemiologic, clinical, and radiologic features of 261 lesions from University of Turin. J. Oral Maxillofac. Surg. 2010, 68, 2994–2999. [Google Scholar] [CrossRef]
- Borras-Ferreres, J.; Sanchez-Torres, A.; Alberdi-Navarro, J.; Aguirre-Urizar, J.M.; Mosqueda-Taylor, A.; Gay-Escoda, C. Therapeutic management of the odontogenic keratocyst. An energetic approach with a conservative perspective and review of the current therapeutic options. J. Clin. Exp. Dent. 2020, 12, e794–e799. [Google Scholar] [CrossRef]
- Titinchi, F. Protocol for management of odontogenic keratocysts considering recurrence according to treatment methods. J Korean Assoc. Oral Maxillofac. Surg. 2020, 46, 358–360. [Google Scholar] [CrossRef]
- Morgan, T.A.; Burton, C.C.; Qian, F. A retrospective review of treatment of the odontogenic keratocyst. J. Oral Maxillofac. Surg. 2005, 63, 635–639. [Google Scholar] [CrossRef]
- Zhao, Y.-F.; Wei, J.-X.; Wang, S.-P. Treatment of odontogenic keratocysts: A follow-up of 255 Chinese patients. Oral Surg. Oral Med. Oral Pathol. Oral Radiol. Endodontology 2002, 94, 151–156. [Google Scholar] [CrossRef] [PubMed]
- Stoelinga, P.J. The treatment of odontogenic keratocysts by excision of the overlying, attached mucosa, enucleation, and treatment of the bony defect with Carnoy solution. J. Oral Maxillofac. Surg. 2005, 63, 1662–1666. [Google Scholar] [CrossRef] [PubMed]
- Frerich, B.; Cornelius, C.-P.; Wiethölter, H. Critical time of exposure of the rabbit inferior alveolar nerve to Carnoy’s solution. J. Oral Maxillofac. Surg. 1994, 52, 599–606. [Google Scholar] [CrossRef]
- Schmidt, B.L. The use of liquid nitrogen cryotherapy in the management of the odontogenic keratocyst. Oral Maxillofac. Surg. Clin. N. Am. 2003, 15, 393–405. [Google Scholar] [CrossRef]
- Marker, P.; Brøndum, N.; Pr, P.; Bastian, H.L. Treatment of large odontogenic keratocysts by decompression and later cystectomy: A long-term follow-up and a histologic study of 23 cases. Oral Surg. Oral Med. Oral Pathol. Oral Radiol. Endodontology 1996, 82, 122–131. [Google Scholar] [CrossRef]
- Caminiti, M.F.; El-Rabbany, M.; Jeon, J.; Bradley, G. 5-Fluorouracil Is Associated with a Decreased Recurrence Risk in Odontogenic Keratocyst Management: A Retrospective Cohort Study. J. Oral Maxillofac. Surg. 2020. [Google Scholar] [CrossRef]
- Kumar, V.; Cotran, R. Robbins Basic Pathology, 7th ed.; Saunders: Philadelphia, PA, USA, 2003. [Google Scholar]
- Singh, B.B.; Chandler, F.W., Jr.; Whitaker, S.B.; Forbes-Nelson, A.E. Immunohistochemical evaluation of bcl-2 oncoprotein in oral dysplasia and carcinoma. Oral Surg. Oral Med. Oral Pathol. Oral Radiol. Endodontology 1998, 85, 692–698. [Google Scholar] [CrossRef]
- Bronner, M.; Culin, C.; Reed, J.; Furth, E.E. The bcl-2 proto-oncogene and the gastrointestinal epithelial tumor progression model. Am. J. Pathol. 1995, 146, 20. [Google Scholar]
- Laimer, K.; Spizzo, G.; Gastl, G.; Obrist, P.; Brunhuber, T.; Fong, D.; Barbieri, V.; Jank, S.; Doppler, W.; Rasse, M. High EGFR expression predicts poor prognosis in patients with squamous cell carcinoma of the oral cavity and oropharynx: A TMA-based immunohistochemical analysis. Oral Oncol. 2007, 43, 193–198. [Google Scholar] [CrossRef]
- Herbst, R.S. Review of epidermal growth factor receptor biology. Int. J. Radiat. Oncol. Biol. Phys. 2004, 59, S21–S26. [Google Scholar] [CrossRef]
- Sawhney, N.; Hall, P.A. Ki67—structure, function, and new antibodies. J. Pathol. 1992, 168, 161–162. [Google Scholar] [CrossRef]
- Levine, A.J.; Momand, J.; Finlay, C.A. The p53 tumour suppressor gene. Nature 1991, 351, 453–456. [Google Scholar] [CrossRef] [PubMed]
- de Oliveira, G.A.; Rangel, L.P.; Costa, D.C.; Silva, J.L. Misfolding, aggregation, and disordered segments in c-Abl and p53 in human cancer. Front. Oncol. 2015, 5, 97. [Google Scholar] [CrossRef] [PubMed]
- Mighell, A.J.; Robinson, P.A.; Hume, W.J. PCNA and Ki-67 immunoreactivity in multinucleated cells of giant cell fibroma and peripheral giant cell granuloma. J. Oral Pathol. Med. 1996, 25, 193–199. [Google Scholar] [CrossRef] [PubMed]
- Yu, C.C.W.; Fletcher, C.D.; Newman, P.L.; Goodlad, J.R.; Burton, J.C.; Levison, D.A. A comparison of proliferating cell nuclear antigen (PCNA) immunostaining, nucleolar organizer region (AgNOR) staining, and histological grading in gastrointestinal stromal tumours. J. Pathol. 1992, 166, 147–152. [Google Scholar] [CrossRef]
- Stone, D.M.; Hynes, M.; Armanini, M.; Swanson, T.A.; Gu, Q.; Johnson, R.L.; Scott, M.P.; Pennica, D.; Goddard, A.; Phillips, H. The tumour-suppressor gene patched encodes a candidate receptor for Sonic hedgehog. Nature 1996, 384, 129–134. [Google Scholar] [CrossRef]
- Yang, C.; Chen, W.; Chen, Y.; Jiang, J. Smoothened transduces Hedgehog signal by forming a complex with Evc/Evc2. Cell Res. 2012, 22, 1593–1604. [Google Scholar] [CrossRef]
- Shen, F.; Cheng, L.; Douglas, A.E.; Riobo, N.A.; Manning, D.R. Smoothened is a fully competent activator of the heterotrimeric G protein Gi. Mol. Pharmacol. 2013, 83, 691–697. [Google Scholar] [CrossRef]
- Vedtofte, P.; Holmstrup, P.; Dabelsteen, E. Human odontogenic keratocyst transplants in nude mice. Eur. J. Oral Sci. 1982, 90, 306–314. [Google Scholar] [CrossRef]
- Cotter, T.G. Apoptosis and cancer: The genesis of a research field. Nat. Rev. Cancer 2009, 9, 501–507. [Google Scholar] [CrossRef]
- Lin, S.-Y.; Makino, K.; Xia, W.; Matin, A.; Wen, Y.; Kwong, K.Y.; Bourguignon, L.; Hung, M.-C. Nuclear localization of EGF receptor and its potential new role as a transcription factor. Nat. Cell Biol. 2001, 3, 802–808. [Google Scholar] [CrossRef]
- Da Silva Baumgart, C.; da Silva Lauxen, I.; Sant’Anna Filho, M.; de Quadros, O.F. Epidermal growth factor receptor distribution in pericoronal follicles: Relationship with the origin of odontogenic cysts and tumors. Oral Surg. Oral Med. Oral Pathol. Oral Radiol. Endodontology 2007, 103, 240–245. [Google Scholar] [CrossRef] [PubMed]
- Brown, D.; Gatter, K. Monoclonal antibody Ki-67: Its use in histopathology. Histopathology 1990, 17, 489–503. [Google Scholar] [CrossRef] [PubMed]
- Thosaporn, W.; Iamaroon, A.; Pongsiriwet, S.; Ng, K. A comparative study of epithelial cell proliferation between the odontogenic keratocyst, orthokeratinized odontogenic cyst, dentigerous cyst, and ameloblastoma. Oral Dis. 2004, 10, 22–26. [Google Scholar] [CrossRef] [PubMed]
- Oka, S.; Uramoto, H.; Shimokawa, H.; Iwanami, T.; Tanaka, F. The expression of Ki-67, but not proliferating cell nuclear antigen, predicts poor disease free survival in patients with adenocarcinoma of the lung. Anticancer Res. 2011, 31, 4277–4282. [Google Scholar] [PubMed]
- Mateoiu, C.; Pirici, A.; Bogdan, F. Immunohistochemical nuclear staining for p53, PCNA, Ki-67 and bcl-2 in different histologic variants of basal cell carcinoma. Rom. J. Morphol. Embryol. 2011, 52, 315–319. [Google Scholar]
- Brastianos, P.K.; Horowitz, P.M.; Santagata, S.; Jones, R.T.; McKenna, A.; Getz, G.; Ligon, K.L.; Palescandolo, E.; Van Hummelen, P.; Ducar, M.D. Genomic sequencing of meningiomas identifies oncogenic SMO and AKT1 mutations. Nat. Genet. 2013, 45, 285–289. [Google Scholar] [CrossRef]
- Wang, C.; Wu, H.; Katritch, V.; Han, G.W.; Huang, X.-P.; Liu, W.; Siu, F.Y.; Roth, B.L.; Cherezov, V.; Stevens, R.C. Structure of the human smoothened receptor bound to an antitumour agent. Nature 2013, 497, 338–343. [Google Scholar] [CrossRef]
- Ruat, M.; Hoch, L.; Faure, H.; Rognan, D. Structure of the smoothened receptor. Med. Sci. 2013, 29, 855–860. [Google Scholar]
- Jiang, J.; Hui, C.-C. Hedgehog signaling in development and cancer. Dev. Cell 2008, 15, 801–812. [Google Scholar] [CrossRef]
- Amakye, D.; Jagani, Z.; Dorsch, M. Unraveling the therapeutic potential of the Hedgehog pathway in cancer. Nat. Med. 2013, 19, 1410. [Google Scholar] [CrossRef]
- Li, T.J.; Browne, R.M.; Prime, S.S.; Paterson, I.C.; Matthews, J.B. p53 expression in odontogenic keratocyst epithelium. J. Oral Pathol. Med. 1996, 25, 249–255. [Google Scholar] [CrossRef] [PubMed]
- Piattelli, A.; Fioroni, M.; Rubini, C. Differentiation of odontogenic keratocysts from other odontogenic cysts by the expression of bcl-2 immunoreactivity. Oral Oncol. 1998, 34, 404–407. [Google Scholar] [CrossRef]
- Kimi, K.; Kumamoto, H.; Ooya, K.; Motegi, K. Analysis of apoptosis-related factors and apoptotic cells in lining epithelium of odontogenic keratocysts. Oral Med. Pathol. 2000, 5, 35–40. [Google Scholar] [CrossRef]
- Mendes, R.A.; Carvalho, J.F.; van der Waal, I. A comparative immunohistochemical analysis of COX-2, p53, and Ki-67 expression in keratocystic odontogenic tumors. Oral Surg. Oral Med. Oral Pathol. Oral Radiol. Endodontology 2011, 111, 333–339. [Google Scholar] [CrossRef] [PubMed]
- Slootweg, P.J. p53 protein and Ki-67 reactivity in epithelial odontogenic lesions. An immunohistochemical study. J. Oral Pathol. Med. 1995, 24, 393–397. [Google Scholar] [CrossRef] [PubMed]
- Tekkesin, M.S.; Mutlu, S.; Olgaç, V. Expressions of bax, bcl-2 and Ki-67 in odontogenic keratocysts (Keratocystic Odontogenic Tumor) in comparison with ameloblastomas and radicular cysts. Turk. J. Pathol. 2012, 28, 49–55. [Google Scholar] [CrossRef] [PubMed]
- Kichi, E.; Enokiya, Y.; Muramatsu, T.; Hashimoto, S.; Inoue, T.; Abiko, Y.; Shimono, M. Cell proliferation, apoptosis and apoptosis-related factors in odontogenic keratocysts and in dentigerous cysts. J. Oral Pathol. Med. 2005, 34, 280–286. [Google Scholar] [CrossRef] [PubMed]
- de Oliveira, M.G.; da Silva Lauxen, I.; Chaves, A.C.M.; Rados, P.V.; Sant’Ana Filho, M. Odontogenic epithelium: Immunolabeling of Ki-67, EGFR and survivin in pericoronal follicles, dentigerous cysts and keratocystic odontogenic tumors. Head Neck Pathol. 2011, 5, 1–7. [Google Scholar] [CrossRef][Green Version]
- Razavi, S.M.; Torabinia, N.; Mohajeri, M.R.; Shahriyary, S.; Ghalegolab, S.; Nouri, S. Expression of Bcl-2 and epithelial growth factor receptor proteins in keratocystic odontogenic tumor in comparison with dentigerous cyst and ameloblastoma. Dent. Res. J. 2015, 12, 342. [Google Scholar]
- Ohki, K.; Kumamoto, H.; Ichinohasama, R.; Sato, T.; Takahashi, N.; Ooya, K. PTC gene mutations and expression of SHH, PTC, SMO, and GLI-1 in odontogenic keratocysts. Int. J. Oral Maxillofac. Surg. 2004, 33, 584–592. [Google Scholar] [CrossRef]
- Yagyuu, T.; Kirita, T.; Sasahira, T.; Moriwaka, Y.; Yamamoto, K.; Kuniyasu, H. Recurrence of keratocystic odontogenic tumor: Clinicopathological features and immunohistochemical study of the Hedgehog signaling pathway. Pathobiology 2008, 75, 171–176. [Google Scholar] [CrossRef] [PubMed]
- Zhang, L.; Chen, X.-M.; Sun, Z.-J.; Bian, Z.; Fan, M.-W.; Chen, Z. Epithelial expression of SHH signaling pathway in odontogenic tumors. Oral Oncol. 2006, 42, 398–408. [Google Scholar] [CrossRef] [PubMed]
- Ninomiya, T.; Kubota, Y.; Koji, T.; Shirasuna, K. Marsupialization inhibits interleukin-1α expression and epithelial cell proliferation in odontogenic keratocysts. J. Oral Pathol. Med. 2002, 31, 526–533. [Google Scholar] [CrossRef] [PubMed]
- Nakamura, N.; Mitsuyasu, T.; Mitsuyasu, Y.; Taketomi, T.; Higuchi, Y.; Ohishi, M. Marsupialization for odontogenic keratocysts: Long-term follow-up analysis of the effects and changes in growth characteristics. Oral Surg. Oral Med. Oral Pathol. Oral Radiol. Endodontology 2002, 94, 543–553. [Google Scholar] [CrossRef] [PubMed]
- Awni, S.; Conn, B. Decompression of keratocystic odontogenic tumors leading to increased fibrosis, but without any change in epithelial proliferation. Oral Surg. Oral Med. Oral Pathol. Oral Radiol. 2017, 123, 634–644. [Google Scholar] [CrossRef]
- Pogrel, M.A.; Jordan, R. Marsupialization as a definitive treatment for the odontogenic keratocyst. J. Oral Maxillofac. Surg. 2004, 62, 651–655. [Google Scholar] [CrossRef]
- Clark, P.; Marker, P.; Bastian, H.L.; Krogdahl, A. Expression of p53, Ki-67, and EGFR in odontogenic keratocysts before and after decompression. J. Oral Pathol. Med. 2006, 35, 568–572. [Google Scholar] [CrossRef]
- Blanas, N.; Freund, B.; Schwartz, M.; Furst, I.M. Systematic review of the treatment and prognosis of the odontogenic keratocyst. Oral Surg. Oral Med. Oral Pathol. Oral Radiol. Endodontology 2000, 90, 553–558. [Google Scholar] [CrossRef]
- Tolstunov, L.; Treasure, T. Surgical treatment algorithm for odontogenic keratocyst: Combined treatment of odontogenic keratocyst and mandibular defect with marsupialization, enucleation, iliac crest bone graft, and dental implants. J. Oral Maxillofac. Surg. 2008, 66, 1025–1036. [Google Scholar] [CrossRef]
- Paula, A.M.B.; Carvalhais, J.N.; Domingues, M.G.; Barreto, D.C.; Mesquita, R.A. Cell proliferation markers in the odontogenic keratocyst: Effect of inflammation. J. Oral Pathol. Med. 2000, 29, 477–482. [Google Scholar] [CrossRef]
- August, M.; Faquin, W.C.; Troulis, M.J.; Kaban, L.B. Dedifferentiation of odontogenic keratocyst epithelium after cyst decompression. J. Oral Maxillofac. Surg. 2003, 61, 678–683. [Google Scholar] [CrossRef] [PubMed]
- Lessey, B.A.; Savaris, R.F. Comparison of HSCORE assessment of endometrial β3 integrin subunit expression with digital HSCORE using computerized image analysis (ImageJ). Anal. Quant. Cytopathol. Histopathol. 2013, 35, 210. [Google Scholar]
- Miksch, R.C.; Hao, J.; Schoenberg, M.B.; Dötzer, K.; Schlüter, F.; Weniger, M.; Yin, S.; Ormanns, S.; D’Haese, J.G.; Guba, M.O. Development of a reliable and accurate algorithm to quantify the tumor immune stroma (QTiS) across tumor types. Oncotarget 2017, 8, 114935. [Google Scholar] [CrossRef] [PubMed]
- Rizzardi, A.E.; Zhang, X.; Vogel, R.I.; Kolb, S.; Geybels, M.S.; Leung, Y.-K.; Henriksen, J.C.; Ho, S.-M.; Kwak, J.; Stanford, J.L. Quantitative comparison and reproducibility of pathologist scoring and digital image analysis of estrogen receptor β2 immunohistochemistry in prostate cancer. Diagn. Pathol. 2016, 11, 63. [Google Scholar] [CrossRef] [PubMed]
- Rizzardi, A.E.; Johnson, A.T.; Vogel, R.I.; Pambuccian, S.E.; Henriksen, J.; Skubitz, A.P.; Metzger, G.J.; Schmechel, S.C. Quantitative comparison of immunohistochemical staining measured by digital image analysis versus pathologist visual scoring. Diagn. Pathol. 2012, 7, 42. [Google Scholar] [CrossRef]









| Patient Number | Age | Gender | Area | Adjacent Teeth | Decompression Period (Month) |
|---|---|---|---|---|---|
| 1 | 38 | Male | Maxilla Rt. | #18 | 5 m |
| 2 | 32 | Female | Maxilla Rt., Sinus | #18 | 12 m |
| 3 | 36 | Male | Maxilla Lt. | 7 m | |
| 4 | 23 | Female | Maxilla Lt., Sinus | #28 | 4 m 2 wk |
| 5 | 24 | Male | Maxilla Lt. | #28 | 5 m |
| 6 | 23 | Male | Maxilla Lt. | #28 | 10 m |
| 7 | 20 | Male | Maxilla Rt. | #18 | 11 m 2 wk |
| 8 | 44 | Female | Maxilla Lt., Sinus | #23, 24, 25 | 4 m |
| 9 | 27 | Female | Maxilla Lt. | #28 | 6 m |
| 10 | 40 | Male | Mandible Rt. | 7 m 3 wk | |
| 11 | 59 | Female | Mandible Rt. | 8 m | |
| 12 | 22 | Male | Mandible Lt. | 8 m | |
| 13 | 68 | Female | Mandible Rt., Ramus | #46, 47 | 6 m 3 wk |
| 14 | 61 | Male | Mandible Rt. | #38 | 9 m |
| 15 | 61 | Female | Mandible Rt. | 8 m 2 wk | |
| 16 | 81 | Female | Mandible Rt., Condyle, Ramus | 5 m | |
| 17 | 19 | Male | Mandible Lt. | 7 m | |
| 18 | 32 | Female | Mandible Rt., Ramus, body | #38 | 10 m |
| 19 | 27 | Male | Mandible Rt., | 4 m |
Publisher’s Note: MDPI stays neutral with regard to jurisdictional claims in published maps and institutional affiliations. |
© 2020 by the authors. Licensee MDPI, Basel, Switzerland. This article is an open access article distributed under the terms and conditions of the Creative Commons Attribution (CC BY) license (http://creativecommons.org/licenses/by/4.0/).
Share and Cite
Park, S.; Jung, H.-S.; Jung, Y.-S.; Nam, W.; Cha, J.Y.; Jung, H.-D. Changes in Cellular Regulatory Factors before and after Decompression of Odontogenic Keratocysts. J. Clin. Med. 2021, 10, 30. https://doi.org/10.3390/jcm10010030
Park S, Jung H-S, Jung Y-S, Nam W, Cha JY, Jung H-D. Changes in Cellular Regulatory Factors before and after Decompression of Odontogenic Keratocysts. Journal of Clinical Medicine. 2021; 10(1):30. https://doi.org/10.3390/jcm10010030
Chicago/Turabian StylePark, Slmaro, Han-Sung Jung, Young-Soo Jung, Woong Nam, Jung Yul Cha, and Hwi-Dong Jung. 2021. "Changes in Cellular Regulatory Factors before and after Decompression of Odontogenic Keratocysts" Journal of Clinical Medicine 10, no. 1: 30. https://doi.org/10.3390/jcm10010030
APA StylePark, S., Jung, H.-S., Jung, Y.-S., Nam, W., Cha, J. Y., & Jung, H.-D. (2021). Changes in Cellular Regulatory Factors before and after Decompression of Odontogenic Keratocysts. Journal of Clinical Medicine, 10(1), 30. https://doi.org/10.3390/jcm10010030

